脳動静脈奇形(AVM)治療センター
Cerebral Arteriovenous Malformation

治療センターについて
脳動静脈奇形(AVM)専門外来
手術実績

AVM(脳動静脈奇形)手術実績

表示されるのに1分ほどかかることがあります。

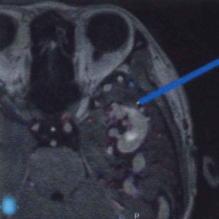
画像をクリックすると拡大表示、症例No.をクリックすると詳細ページが表示されます。本ページには2004年以降の症例のみを掲載しています。

2021年1月、Journal of Neurosurgery(米国)の手術ビデオ特集に選ばれた当院脳外科による「中小脳脚AVMの手術」(Usefulness of the middle cerebellar peduncle approach for microsurgical resection of lateral pontine AVM)は、症例No.359です。

※ 表は横スクロールすることができます。

No.
手術年月
年齢
手術医 助手
病名(手術の目的)
紹 介 元
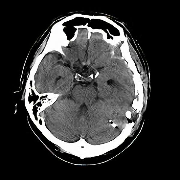
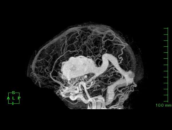
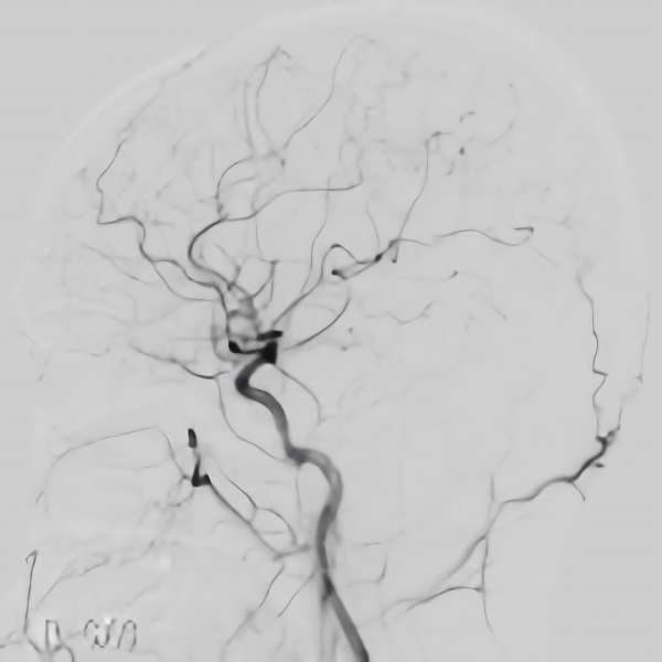
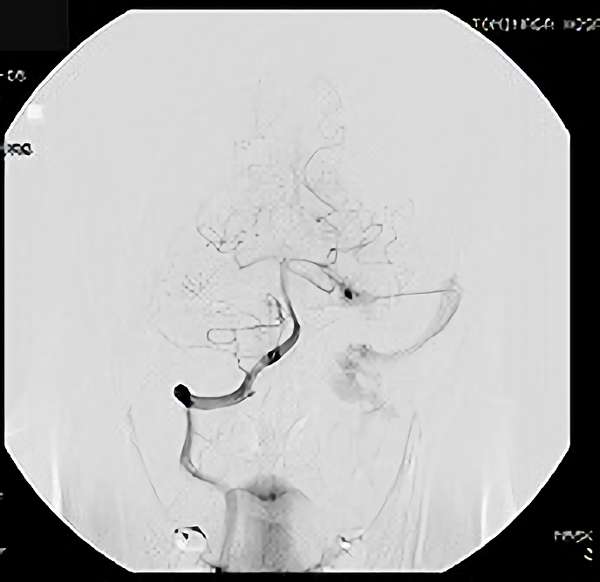
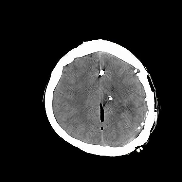
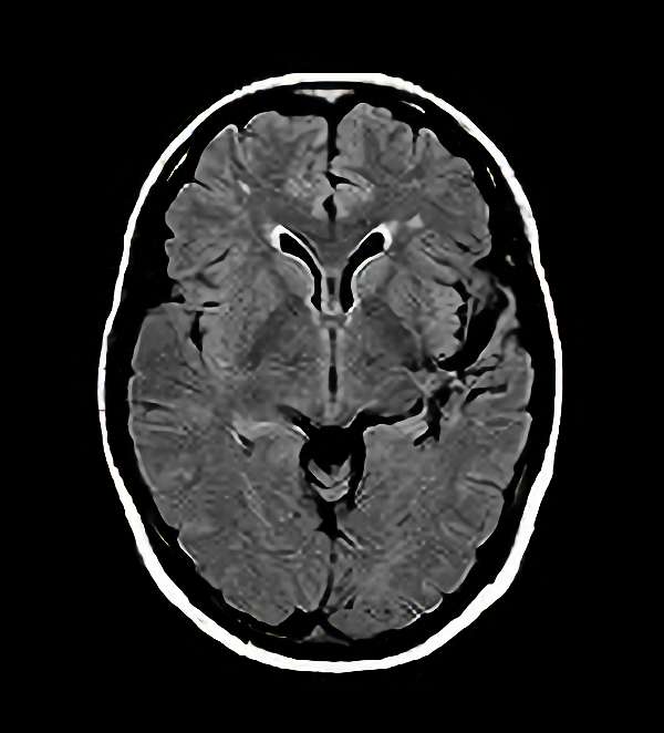
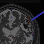
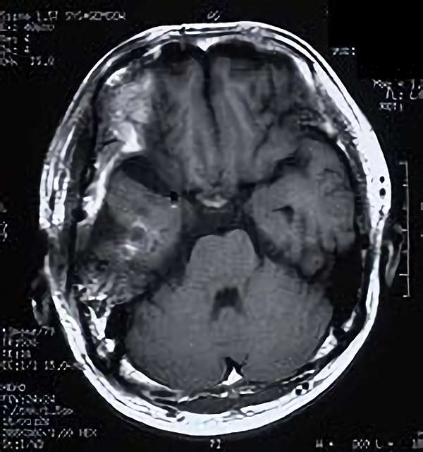
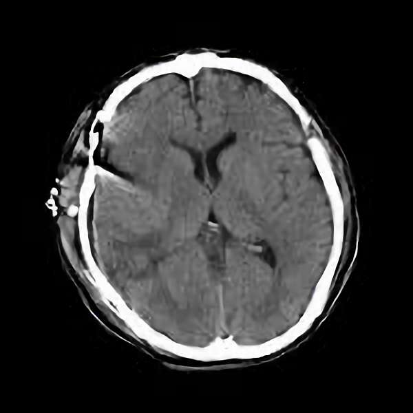
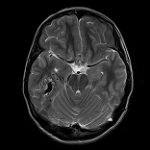
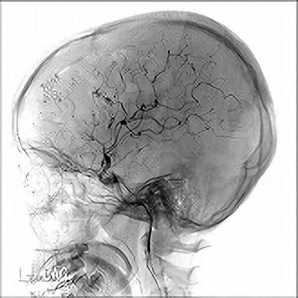
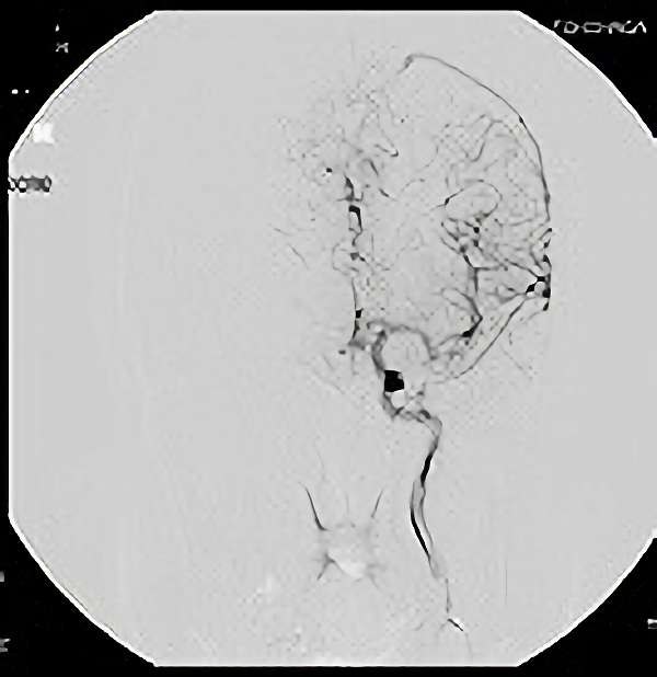
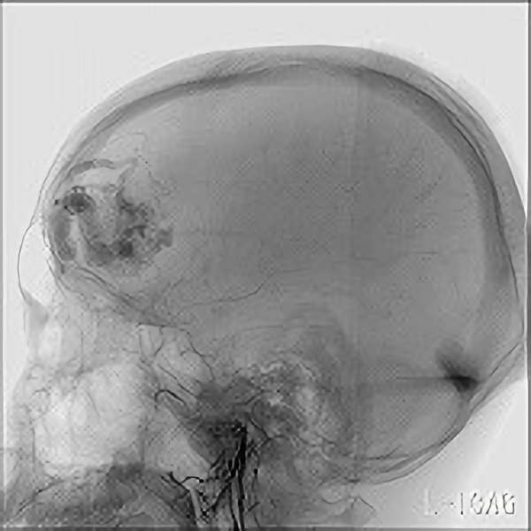
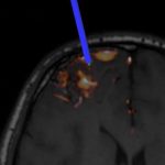
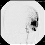
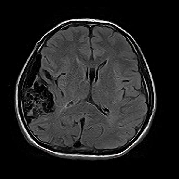
脳血管撮影
手術前
手術後
手術中
モニタリング
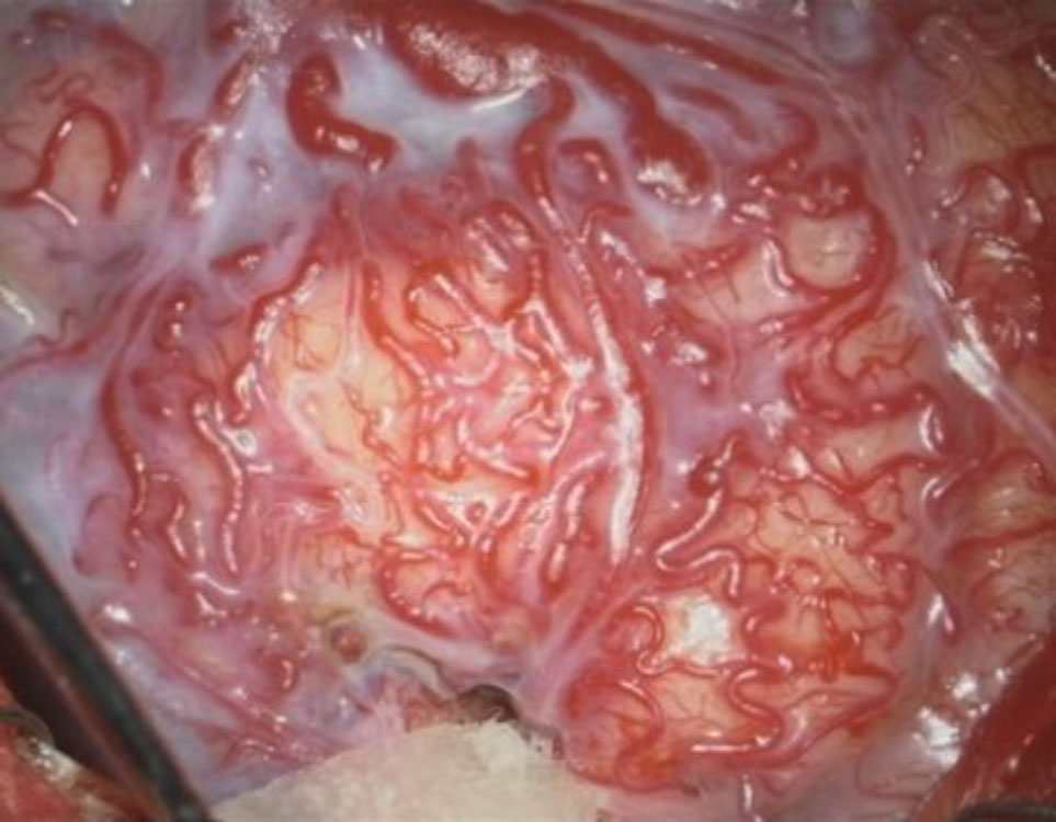
手術写真
手術前
手術中
手術後
手術の結果
(画像クリックで拡大できます)
'26年4月
10代
南田/野本/古谷/元永
右頭頂葉内側
(再出血予防)
1回の脳血管内治療
SM 3(S1,E1,V1)
滋賀県の病院
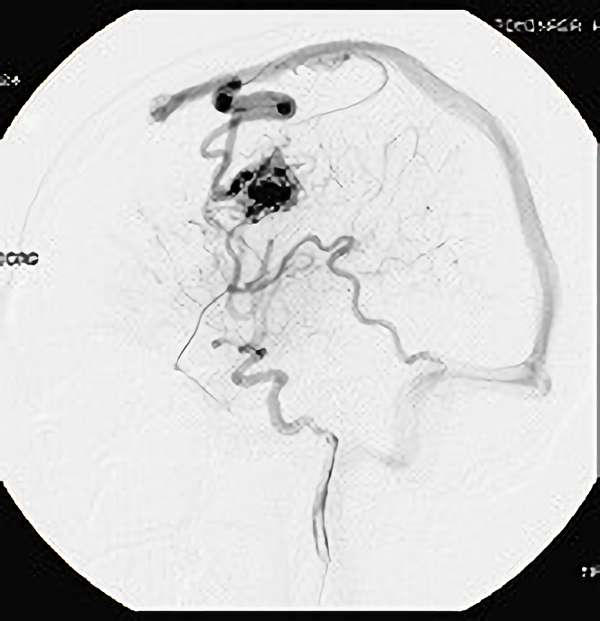
No.452 モニタリング
No.452 手術前
No.452 手術中
No.452 手術中
No.452 手術後
全治。
脳血管撮影により完全除去が確認された
'26年3月
20代
南田/野本/元永
左側頭葉
(再出血予防)
1回の脳血管内治療
SM 1(S0,E0,V1)
奈良県の病院
No.450 モニタリング
No.450 手術前
No.450 手術中
No.450 手術中
No.450 手術後
全治。
脳血管撮影により完全除去が確認された
'26年2月
20代
南田/野本/元永
右後頭葉
(再出血予防)
1回の脳血管内治療
SM 3(S1,E1,V1)
兵庫県の病院
No.449 モニタリング
No.449 手術前
No.449 手術中
No.449 手術中
No.449 手術後
全治。
脳血管撮影により完全除去が確認された
'26年1月
20代
松田/矢田
左頭頂
(再出血予防)
3回の脳血管内治療
SM 3(S2,E1,V0)
岐阜県の病院
No.448 モニタリング
No.448 手術前
No.448 手術中
No.448 手術中
No.448 手術後
全治。
脳血管撮影により完全除去が確認された
'25年10月
30代
松田/矢田
左前頭葉
(再出血予防)
1回の脳血管内治療
SM 1(S1,E0,V0)
救急外来
No.447 モニタリング
No.447 手術前
No.447 手術中
No.447 手術中
No.447 手術後
全治。
脳血管撮影により完全除去が確認された
'25年10月
20代
松田/矢田
左後頭葉
(再出血予防)
3回の脳血管内治療
SM 4(S2,E1,V1)
愛知県の病院
No.446 モニタリング
No.446 手術前
No.446 手術中
No.446 手術中
No.446 手術後
全治。
脳血管撮影により完全除去が確認された
'25年10月
50代
南田/野本/元永
左前頭葉
(再出血予防)
2回の脳血管内治療
SM 2(S1,E1,V0)
奈良県の病院
No.445 モニタリング
No.445 手術前
No.445 手術中
No.445 手術中
No.445 手術後
全治。
脳血管撮影により完全除去が確認された
'25年10月
60代
南田/野本/元永
左頭頂葉
(再出血予防)
2回の脳血管内治療
SM 4(S2,E1,V1)
大阪府の病院
No.444 モニタリング
No.444 手術前
No.444 手術中
No.444 手術中
No.444 手術後
全治。
脳血管撮影により完全除去が確認された
'25年7月
40代
松田/矢田
右前頭頭頂部
(出血予防)
1回の脳血管内治療
SM 2(S1,E1,V0)
救急外来
No.443 モニタリング
No.443 手術前
No.443 手術中
No.443 手術中
No.443 手術後
全治。
脳血管撮影により完全除去が確認された
'25年6月
60代
南田/芝野/佐伯
小脳
(再出血予防)
2回の脳血管内治療
SM 2(S1,E0,V1)
救急外来
No.442 モニタリング
No.442 手術前
No.442 手術中
No.442 手術中
No.442 手術後
全治。
脳血管撮影により完全除去が確認された
'25年6月
60代
南田/野本
左小脳
(再出血予防)
1回の脳血管内治療
SM 2(S2,E0,V0)
大阪府の病院
No.441 モニタリング
No.441 手術前
No.441 手術中
No.441 手術中
No.441 手術後
全治。
脳血管撮影により完全除去が確認された
'25年5月
20代
南田/野本/青木
左頭頂葉
(再出血予防)
1回の脳血管内治療
SM 2(S2,E0,V0)
救急外来
No.440 モニタリング
No.440 手術前
No.440 手術中
No.440 手術中
No.440 手術後
全治。
脳血管撮影により完全除去が確認された
'25年4月
20代
松田/矢田
左前頭葉
(再出血予防)
1回の脳血管内治療
SM 1(S1,E0,V0)
大阪府の病院
No.439 モニタリング
No.439 手術前
No.439 手術中
No.439 手術中
No.439 手術後
全治。
脳血管撮影により完全除去が確認された
'25年4月
60代
松田/矢田
右側頭葉
(出血予防)
1回の脳血管内治療
SM 2(S1,E0,V1)
大阪府の病院
No.438 モニタリング
No.438 手術前
No.438 手術中
No.438 手術中
No.438 手術後
全治。
脳血管撮影により完全除去が確認された
'25年2月
20代
南田/松田/矢田
右小脳部
(再出血予防)
2回の脳血管内治療
SM 2(S2,E0,V0)
当院外来
No.437 モニタリング
No.437 手術前
No.437 手術中
No.437 手術中
No.437 手術後
全治。
脳血管撮影により完全除去が確認された
'25年1月
60代
南田/松田/佐伯
右小脳
(再出血予防)
2回の脳血管内治療
SM 3(S1,E1,V1)
救急外来
No.436 モニタリング
No.436 手術前
No.436 手術中
No.436 手術中
No.436 手術後
全治。
脳血管撮影により完全除去が確認された
'25年1月
50代
松田/矢田
左頭頂葉
(再出血予防)
6回の脳血管内治療
SM 2(S2,E0,V0)
大阪府の病院
No.435 モニタリング
No.435 手術前
No.435 手術中
No.435 手術中
No.435 手術後
全治。
脳血管撮影により完全除去が確認された
'24年12月
60代
松田/矢田
左前頭葉
(再出血予防)
1回の脳血管内治療
SM 1(S1,E0,V0)
東京都の病院
No.434 モニタリング
No.434 手術前
No.434 手術中
No.434 手術中
No.434 手術後
全治。
脳血管撮影により完全除去が確認された
'24年12月
50代
南田/芝野
右側頭葉
(再出血予防)
2回の脳血管内治療
SM 2(S1,E0,V1)
大阪府の病院
No.433 モニタリング
No.433 手術前
No.433 手術中
No.433 手術中
No.433 手術後
全治。
脳血管撮影により完全除去が確認された
'24年11月
50代
南田/松田/佐伯
右小脳
(再出血予防)
1回の脳血管内治療
SM 2(S1,E1,V0)
大阪府の病院
No.432 モニタリング
No.432 手術前
No.432 手術中
No.432 手術中
No.432 手術後
全治。
脳血管撮影により完全除去が確認された
'24年11月
20代
南田/松田/野本
右前頭葉
(再出血予防)
4回の脳血管内治療
SM 4(S3,E1,V0)
兵庫県の病院
No.431 モニタリング
No.431 手術前
No.431 手術中
No.431 手術中
No.431 手術後
全治。
脳血管撮影により完全除去が確認された
'24年11月
20代
南田/長尾/野本
右頭頂葉
(出血予防)
1回の脳血管内治療
SM 2(S2,E0,V0)
鹿児島県の病院
No.430 モニタリング
No.430 手術前
No.430 手術中
No.430 手術中
No.430 手術後
全治。
脳血管撮影により完全除去が確認された
'24年10月
10代
松田/矢田/佐伯
左前頭葉
(出血予防)
4回の脳血管内治療
SM 2(S2,E0,V0)
秋田県の病院
No.429 モニタリング
No.429 手術前
No.429 手術中
No.429 手術中
No.429 手術後
全治。
脳血管撮影により完全除去が確認された
'24年9月
40代
南田/松田/佐伯
左小脳頭腹側
(出血予防)
SM 2(S1,E0,V1)
東京都の病院
No.428 モニタリング
No.428 手術前
No.428 手術中
No.428 手術中
No.428 手術後
全治。
脳血管撮影により完全除去が確認された
'24年9月
40代
南田/佐伯
左前頭葉
(再出血予防)
SM 1(S1,E0,V0)
大阪府の病院
No.427 モニタリング
No.427 手術前
No.427 手術中
No.427 手術中
No.427 手術後
全治。
脳血管撮影により完全除去が確認された
'24年7月
20代
南田/野本
左小脳半球
(再出血予防)
SM 1(S1,E0,V0)
和歌山県の病院
No.426 モニタリング
No.426 手術前
No.426 手術中
No.426 手術中
No.426 手術後
全治。
脳血管撮影により完全除去が確認された
'24年6月
40代
南田/長尾 野本
左頭頂部
(出血予防)
2回の脳血管内治療
SM 2(S1,E1,V0)
愛知県の病院
No.425 モニタリング
No.425 手術前
No.425 手術中
No.425 手術中
No.425 手術後
全治。
脳血管撮影により完全除去が確認された
'24年6月
20代
富永
南田/松田 佐伯
左前頭葉
(出血予防)
3回の脳血管内治療
SM 2(S2,E0,V0)
大阪府の病院
No.424 モニタリング
No.424 手術前
No.424 手術中
No.424 手術中
No.424 手術後
全治。
脳血管撮影により完全除去が確認された
'24年4月
20代
松田/濵田
右前頭葉
(再出血予防)
1回の脳血管内治療
SM 2(S1,E1,V0)
大阪府の病院
No.423 モニタリング
No.423 手術前
No.423 手術中
No.423 手術中
No.423 手術後
全治。
脳血管撮影により完全除去が確認された
'24年2月
10代
松田/殿元
右頭頂葉
(再出血予防)
1回の脳血管内治療
SM 2(S1,E1,V0)
大阪府の病院
No.422 モニタリング
No.422 手術前
No.422 手術中
No.422 手術中
No.422 手術後
全治。
脳血管撮影により完全除去が確認された
'23年12月
60代
松田/古谷
左側頭葉
(再出血予防)
SM 2(S1,E1,V0)
兵庫県の病院
No.421 モニタリング
No.421 手術前
No.421 手術中
No.421 手術中
No.421 手術後
全治。
脳血管撮影により完全除去が確認された
'23年9月
10代
富永
久貝,殿元
左傍正中頭頂葉
(再出血予防)
3回の脳血管内治療
SM 4(S2,E1,V1)
広島市の病院
No.420 モニタリング
No.420 手術前
No.420 手術中
No.420 手術中
No.420 手術後
全治。
脳血管撮影により完全除去が確認された
'23年6月
20代
富永
久貝,芝野
右前頭葉
(出血予防)
4回の脳血管内治療
SM 3(S3,E0,V0)
大阪府の病院
No.419 モニタリング
No.419 手術前
No.419 手術中
No.419 手術中
No.419 手術後
全治。
脳血管撮影により完全除去が確認された
'23年6月
40代
富永
松田,野本
右側頭葉
(出血予防)
4回の脳血管内治療
SM 3(S3,E0,V0)
大阪府の病院
No.418 モニタリング
No.418 手術前
No.418 手術中
No.418 手術中
No.418 手術後
全治。
脳血管撮影により完全除去が確認された
'23年3月
20代
富永
久貝,殿元
右後頭葉
(再出血予防)
4回の脳血管内治療
SM 4(S2,E1,V1)
香川県の病院
No.417 モニタリング
No.417 手術前
No.417 手術中
No.417 手術中
No.417 手術後
全治。
脳血管撮影により完全除去が確認された
'22年10月
40代
富永
松田,殿元
右側頭葉
(再出血予防)
4回の脳血管内治療
SM 4(S3,E1,V0)
大阪府の病院
No.416 モニタリング
No.416 手術前
No.416 手術中
No.416 手術中
No.416 手術後
全治。
ICG撮影により完全除去が確認された
'22年9月
60代
富永
久貝,北島,矢田
右中小脳脚
(再出血予防)
1回の脳血管内治療
SM 2(S1,E1,V0)
大阪府の病院
No.415 モニタリング
No.415 手術前
No.415 手術中
No.415 手術中
No.415 手術後
全治。
脳血管撮影により完全除去が確認された
'22年7月
40代
富永
長尾,北島
右側頭葉
(出血予防)
2回の脳血管内治療
SM 1(S1,E0,V0)
大阪府の病院
No.414 モニタリング
No.414 手術前
No.414 手術中
No.414 手術中
No.414 手術後
全治。
脳血管撮影により完全除去が確認された
'22年6月
40代
富永
向,池間,矢田
右外側頭頂葉
(再出血予防)
1回の脳血管内治療
SM 1(S1,E0,V0)
大阪府の病院
No.413 モニタリング
No.413 手術前
No.413 手術中
No.413 手術中
No.413 手術後
全治。
脳血管撮影により完全除去が確認された
'22年5月
10代
富永
長尾,野本
左外側前頭葉
(再出血予防)
2回の脳血管内治療
SM 2(S1,E1,V0)
愛媛県の病院
No.412 モニタリング
No.412 手術前
No.412 手術中
No.412 手術中
No.412 手術後
全治。
脳血管撮影により完全除去が確認された
'22年4月
30代
富永
松田,池間
左側頭葉
(再出血予防とガンマナイフ治療に伴う嚢胞の治療)
SM 1(S1,E0,V0)
三重県の病院
No.411 モニタリング
No.411 手術前
No.411 手術中
No.411 手術中
No.411 手術後
全治。
ICG撮影により完全除去が確認された
'22年3月
30代
富永
芝野,古谷
右側頭葉
(再出血予防)
2回の脳血管内治療
SM 1(S1,E0,V0)
大阪府の病院
No.410 モニタリング
No.410 手術前
No.410 手術中
No.410 手術中
No.410 手術後
全治。
脳血管撮影により完全除去が確認された
'22年3月
60代
富永
芝野,矢田
左中側頭葉
(再出血予防)
1回の脳血管内治療
SM 1(S1,E0,V0)
大阪府の病院
No.409 モニタリング
No.409 手術前
No.409 手術中
No.409 手術中
No.409 手術後
全治。
脳血管撮影により完全除去が確認された
'22年1月
70代
富永
松田,殿元
左内側前頭葉
(再出血予防)
1回の脳血管内治療
SM 1(S1,E0,V0)
大阪府の病院
No.408 モニタリング1
No.408 モニタリング2
No.408 手術前
No.408 手術中
No.408 手術中
No.408 手術後
全治。
脳血管撮影により完全除去が確認された

(手術前からの脳出血による後遺症をともなう)
'21年12月
20代
富永
古部,野本
左外側橋部
(出血予防)
2回の脳血管内治療
SM 4(S2,E1,V1)
大阪府の病院
No.407 モニタリング
No.407 手術前
No.407 手術中
No.407 手術中
No.407 手術後
全治。
脳血管撮影により完全除去が確認された

手術による後遺症なし
三叉神経,下位脳神経麻痺なし
'21年12月
60代
富永
芝野,谷
左後頭葉
(再出血予防)
2回の脳血管内治療
SM 2(S1,E1,V0)
大阪府の病院
No.406 モニタリング
No.406 手術前
No.406 手術中
No.406 手術中
No.406 手術後
全治。
脳血管撮影により完全除去が
確認された
'21年11月
30代
富永
古部,谷
左側脳室下角
(再出血予防とガンマナイフ
治療に伴う嚢胞の治療)
SM 1(S1,E0,V0)
愛知県の病院
No.405 モニタリング1
No.405 モニタリング2
No.405 手術前
No.405 手術中
No.405 手術中
No.405 手術後
全治。
AVM全摘手術直後より手術前からの失語症は軽快
脳血管撮影にて摘出できたことを確認した

全摘が確認された
'21年11月
20代
富永
松田,殿元
左外側頭頂葉
(再出血予防)
3回の脳血管内治療
SM 3(S3,E0,V0)
大阪府の病院
No.404 モニタリング1
No.404 モニタリング2
No.404 手術前
No.404 手術中
No.404 手術中
No.404 手術後
全治。
脳血管撮影により完全除去が
確認された

麻痺なし
言語障害なし
'21年11月
30代
富永
古部,古谷
左内側前頭葉
(再出血予防)
SM 1(S1,E0,V0)
大阪府の病院
No.403 モニタリング1
No.403 モニタリング2
No.403 手術前
No.403 手術中
No.403 手術中
No.403 手術後
全治。
脳血管撮影により完全除去が
確認された
'21年11月
40代
富永
長尾 北島
右頭頂葉
(再出血予防)
1回の脳血管内治療
SM 2(S1,E1,V0)
大阪府の病院
No.402 モニタリング1
No.402 モニタリング2
No.402 手術前
No.402 手術中
No.402 手術中
No.402 手術後
全治。
脳血管撮影により完全除去が
確認された
'21年10月
50代
富永
長尾 古谷
左頭頂葉
(再出血予防)
1回の脳血管内治療
SM 3(S1,E1,V1)
大阪府の病院
No.401 モニタリング
No.401 手術前
No.401 手術中
No.401 手術中
No.401 手術後
全治。
脳血管撮影により完全除去が
確認された

術後軽度の対側空間失認,対側下肢の感覚障害を認めたが、退院後1カ月,略治した。
'21年10月
20代
富永
久貝 古谷
左頭頂葉
(再出血予防)
2回の脳血管内治療
SM 3(S2,E0,V1)
愛知県の病院
No.400 モニタリング
No.400 手術前
No.400 手術中
No.400 手術中
No.400 手術後
全治。
脳血管撮影により完全除去が
確認された
麻痺なし
言語障害なし
従来から手術の結果をよく聞かれました。今後は公表することにします。

※ 表は横スクロールすることができます。

No.
手術年月
年齢
手術医 助手
病名(手術の目的)
紹 介 元
手術中
モニタリング
脳血管撮影
手術前
手術後
手術写真
手術前
手術中
手術後
'21年9月
40代
富永/長尾 池間
左側頭葉
(再出血予防)
SM 1(S1,E0,V0)
大阪府の病院
No.399 モニタリング
No.399 手術前
No.399 手術中
No.399 手術後
'21年8月
50代
富永/松田 古谷
右頭頂葉
(再出血予防)
SM 3(S3,E0,V0)
当院救外受診
No.398 モニタリング
No.398 手術前
No.398 手術中
No.398 手術後
'21年8月
10代
富永/松田 山田
左頭頂葉
(再出血予防)
SM 1(S1,E0,V0)
大阪府の病院
No.397 モニタリング
No.397 手術前
No.397 手術中
No.397 手術後
'21年7月
20代
富永/長尾
左頭頂葉
(再出血予防目的)
SM 2(S2,E0,V0)
兵庫県の病院
No.396 モニタリング
No.396 手術前
No.396 手術中
No.396 手術後
'21年2月
30代
富永/長尾
左上錐体部
(頭痛、出血予防目的)
SM 2(S1,E0,V1)
大阪府の病院
No.395 モニタリング
No.395 手術前
No.395 手術中
No.395 手術後
'21年1月
30代
富永/芝野
左出血性 小脳下錐体部
(再出血予防目的)
SM 2(S1,E0,V1)
京都府の病院
No.394 モニタリング
No.394 手術前
No.394 手術中
No.394 手術後
'20年12月
10代
富永/長尾
左出血性前頭葉
(感覚運動野)
(再出血予防目的)
SM 2(S1,E1,V0)
大阪府の病院
No.393 モニタリング
No.393 手術前
No.393 手術中
No.393 手術後
'20年11月
30代
富永/向
右出血性外側頭頂葉
(再出血予防目的)
SM 1(S1,E0,V0)
大阪府の病院
No.392 モニタリング
No.392 手術前
No.392 手術中
No.392 手術後
'20年11月
10代
富永/久貝
右側脳室三角部
(再出血予防目的)
SM 3(S2,E0,V1)
和歌山県の病院
No.391 モニタリング
No.391 手術前
No.391 手術中
No.391 手術後
'20年9月
30代
富永/松田
脳梁体部
(頭痛、再出血予防)
SM 2(S2,E0,V0)
三重県の病院
No.390 モニタリング
No.390 手術前
No.390 手術中
No.390 手術後
'20年9月
30代
富永/向
右内側側頭葉底
(再出血予防目的)
SM 2(S2,E0,V0)
大阪府の病院
No.389 モニタリング
No.389 手術前
No.389 手術中
No.389 手術後
'20年9月
10代
富永/北島
右小脳半球テント面
(再出血予防目的)
SM 3(S2,E0,V1)
埼玉県の病院
No.388 モニタリング
No.388 手術前
No.388 手術中
No.388 手術後
'20年8月
30代
富永/濵田
右内側側頭葉
てんかん発作
(再出血予防目的)
SM 3(S3,E0,V0)
大阪府の病院
No.387 モニタリング
No.387 手術前
No.387 手術中
No.387 手術後
'20年8月
10代
富永/芝野
右前頭葉底部
(再出血予防目的)
SM 1(S1,E0,V0)
大阪府の病院
No.386 モニタリング
No.386 手術前
No.386 手術中
No.386 手術後
'20年8月
10代
富永/長尾
右小脳半球後頭下部
(再出血予防目的)
SM 2(S1,E0,V1)
鳥取県の病院
No.385 モニタリング
No.385 手術前
No.385 手術中
No.385 手術後
'20年4月
20代
富永/北島
右内側後頭葉
(再出血予防目的)
SM 2(S1,E1,V0)
奈良県の病院
No.384 モニタリング
No.384 手術前
No.384 手術中
No.384 手術後
'20年4月
10代
富永/濵田
左運動領
(再出血予防目的)
SM 2(S1,E1,V0)
大阪府の病院
No.383 モニタリング
No.383 手術前
No.383 手術中
No.383 手術後
'20年4月
50代
富永/久貝
左運動領
(再出血予防目的)
SM 2(S1,E1,V0)
大阪府の病院
No.382 モニタリング
No.382 手術前
No.382 手術中
No.382 手術後
'20年3月
50代
富永/松田
左外側側頭葉
(再出血予防目的)
SM 2(S1,E1,V0)
兵庫県の病院
No.381 モニタリング
No.381 手術前
No.381 手術中
No.381 手術後
'20年2月
50代
富永/古部
右外側性頭頂葉
(再出血予防目的)
SM 2(S2,E0,V0)
大阪府の病院
No.380 モニタリング
No.380 手術前
No.380 手術中
No.380 手術後
'20年2月
20代
富永/古部
右外側前頭葉
(再出血予防目的)
SM 2(S1,E1,V0)
大阪府の病院
No.379 モニタリング
No.379 手術前
No.379 手術中
No.379 手術後
'20年2月
30代
富永/南田 濵田
右側脳室下角
出血発症
(再出血予防目的)
SM 2(S1,E0,V1)
愛知県の病院
No.378 モニタリング
No.378 手術前
No.378 手術中
No.378 手術後
'20年2月
70代
富永/谷
右小脳半球 片葉
血流関連性
動脈瘤を伴う
SM 2(S1,E0,V1)
大阪府の病院
No.377 モニタリング
No.377 手術前
No.377 手術中
No.377 手術後
'20年2月
70代
富永/久貝
右前頭葉 傍矢状部
出血予防
( do novo AVM )
SM 2(S1,E0,V1)
奈良県の病院
No.376 モニタリング
No.376 手術前
No.376 手術中
No.376 手術後
'20年1月
70代
富永/松田
右外側前頭葉
血流関連性
動脈瘤を伴う
SM 2(S1,E1,V0)
大阪府の病院
No.375 モニタリング
No.375 手術前
No.375 手術中
No.375 手術後
'20年1月
10代
富永/長尾
右後頭外側
側頭葉
SM 2(S2,E0,V0)
大阪府の病院
No.374 モニタリング
No.374 手術前
No.374 手術中
No.374 手術後
'19年11月
70代
富永/向
右外側後頭葉
出血発症
SM 2(S1,E1,V0)
大阪府の病院
No.373 モニタリング
No.373 手術前
No.373 手術中
No.373 手術後
'19年11月
30代
富永/久貝
右底部前頭葉
出血予防
SM 2(S2,E0,V0)
兵庫県の病院
No.372 モニタリング
No.372 手術前
No.372 手術中
No.372 手術後
'19年10月
50代
富永/古部
右外側前頭葉
出血性
SM 1(S1,E0,V0)
大阪府の病院
No.371 モニタリング
No.371 手術前
No.371 手術中
No.371 手術後
'19年10月
60代
富永/松田
左シルヴィス裂内
出血性
SM 2(S2,E0,V0)
愛知県の病院
No.370 モニタリング
No.370 手術前
No.370 手術中
No.370 手術後
'19年10月
40代
富永/久貝
左外側側頭葉
出血性
SM 3(S3,E0,V0)
大阪府の病院
No.369 モニタリング
No.369 手術前
No.369 手術中
No.369 手術後
'19年9月
20代
富永/古部
右外側底部側頭葉
再発性 出血性
(初回手術は他病院)
SM 2(S2,E0,V0)
和歌山県の病院
No.368 モニタリング
No.368 手術前
No.368 手術中
No.368 手術後
'19年9月
30代
富永/北島
右外側
底部後頭部
頭痛
SM 4(S2,E1,V1)
奈良県の病院
No.367 モニタリング
No.367 手術前
No.367 手術中
No.367 手術後
'19年8月
20代
富永/長尾
傍正中前頭 出血発症
SM 2(S1,E0,V1)
静岡県の病院
No.366 モニタリング
No.366 手術前
No.366 手術中
No.366 手術後
'19年8月
10代
富永/松田
右側脳室三角部 AVM
(出血発症・てんかん)
SM 3(S1,E1,V1)
大阪府の病院
No.365 モニタリング
No.365 手術前
No.365 手術中
No.365 手術後
'19年8月
10代
富永/長尾
右外側側頭葉
(出血予防を目的とした)
SM 3(S2,E0,V1)
大分県の病院
No.364 モニタリング
No.364 手術前
No.364 手術中
No.364 手術後
'19年8月
60代
富永/南田
右小脳橋角部 出血予防
SM 2(S1,E0,V1)
奈良県の病院
No.363 モニタリング
No.363 手術前
No.363 手術中
No.363 手術後
'19年7月
50代
富永/長尾
小脳下虫部 出血性
SM 1(S1,E0,V0)
大阪府の病院
No.362 モニタリング
No.362 手術前
No.362 手術中
No.362 手術後
'19年6月
30代
富永/松田
左内側(中,後2/3) 側頭葉 出血性
SM 3(S2,E0,V1)
大阪府の病院
No.361 モニタリング
No.361 手術前
No.361 手術中
No.361 手術後
'19年6月
60代
富永/古部
小脳上虫部 出血性
SM 3(S2,E0,V1)
和歌山県の病院
No.360 モニタリング
No.360 手術前
No.360 手術中
No.360 手術後
'19年5月
30代
富永/久貝
右中小脳脚 出血再発
SM 3(S1,E1,V1)
米国の病院
No.359 モニタリング
No.359 手術前
No.359 手術中
No.359 手術後

出血既往があり。2回の手術前血管内手術の後に、
Lateral transpeduncular approachにより再々出血予防を目的に
摘出手術を行う。完全摘出であることを確認した。
手術による合併症や後遺症なしで退院した。経過良好。

No. モニタリング
No. 手術前
No. 手術中
No. 手術後
'19年5月
20代
富永/長尾
右前部(1/3)内側側頭葉 出血性、けいれん発作
SM 1(S1,E0,V0)
沖縄県の病院
No.358 モニタリング
No.358 手術前
No.358 手術中
No.358 手術後
'19年5月
30代
富永/向
外側部左側頭葉 出血性、一部血栓化
SM 2(S2,E0,V0)
大阪府の病院
No.357 モニタリング
No.357 手術前
No.357 手術中
No.357 手術後
'19年4月
40代
富永/久貝
左頭頂後頭葉 出血性
SM 4(S3,E1,V0)
大阪府の病院
No.356 モニタリング
No.356 手術前
No.356 手術中
No.356 手術後
'19年4月
30代
富永/古部
右外側前頭葉 出血性
SM 3(S2,E1,V0)
東京都の病院
No.355 モニタリング
No.355 手術前
No.355 手術中
No.355 手術後
'19年4月
10代
富永/長尾
右前頭頭頂葉弁蓋部 出血性
SM 2(S1,E1,V0)
大阪府の病院
No.354 モニタリング
No.354 手術前
No.354 手術中
No.354 手術後
'19年3月
40代
富永/松田
右外側前頭葉 出血性
SM 4(S2,E1,V1)
大阪府の病院
No.353 モニタリング
No.353 手術前
No.353 手術中
No.353 手術後
'19年3月
20代
富永/久貝
右内側後頭葉 出血性
SM 1(S1,E0,V0)
大阪府の病院
No.352 モニタリング
No.352 手術前
No.352 手術中
No.352 手術後
'19年3月
60代
富永/谷
右外側前頭葉 出血性
SM 2(S2,E0,V0)
大阪府の病院
No.351 モニタリング
No.351 手術前
No.351 手術中
No.351 手術後
'19年2月
30代
富永/久貝
右側脳室三角部 (micro AVM) 出血性
SM 3(S1,E1,V1)
大阪府の病院
No.350 モニタリング
No.350 手術前
No.350 手術中
No.350 手術後
'19年2月
30代
富永/森田
右外側前頭葉 出血性
SM 1(S1,E0,V0)
大阪府の病院
No.349 モニタリング
No.349 手術前
No.349 手術中
No.349 手術後
'19年1月
10代
富永/松田
右脳幹部 (三叉神経痛)
SM 4(S2,E1,V1)
大阪府の病院
No.348 モニタリング
No.348 手術前
No.348 手術中
No.348 手術後
'19年1月
20代
富永/森田
右外側側頭葉 出血性
SM 2(S2,E0,V0)
兵庫県の病院
No.347 モニタリング
No.347 手術前
No.347 手術中
No.347 手術後
'18年12月
60代
富永/久貝
右視床枕 (再出血例)
SM 4(S2,E1,V1)
大阪府の病院
No.346 モニタリング
No.346 手術前
No.346 手術中
No.346 手術後
'18年12月
40代
富永/長尾
左側頭葉外側部 出血性
SM 4(S3,E1,V0)
愛知県の病院
No.345 モニタリング
No.345 手術前
No.345 手術中
No.345 手術後
'18年12月
10代
富永/長尾
右前頭葉外側部 出血性
SM 4(S2,E1,V1) Sg2(A1,B0,C1)
神奈川県の病院
No.344 モニタリング
No.344 手術前
No.344 手術中
No.344 手術後
'18年11月
60代
富永/久貝
脳動静脈奇形 右側頭葉底部 出血性
SM5(S3,E1,V1) Sg3(A3,B0,C0)
静岡県の病院
No.343 モニタリング
No.343 手術前
No.343 手術中
No.343 手術後
'18年11月
20代
富永/久貝
脳動静脈奇形 内側後頭葉 出血性
SM3(S2,E1,V0) Sg2(A2,B0,C0)
大阪府の病院
No.342 モニタリング
No.342 手術前
No.342 手術中
No.342 手術後
'18年10月
40代
富永/松田
脳動静脈奇形 左基底核 出血性
SM4(S2,E1,V1) Sg3(A3,B0,C0)
大阪府の病院
No.341 モニタリング
No.341 手術前
No.341 手術中
No.341 手術後
'18年10月
30代
富永/松田
脳動静脈奇形 右前頭葉底部 頭痛発作
SMg3(S2,E0,V1) Sg3(A2,B1,C0)
愛媛県の病院
No.340 モニタリング
No.340 手術前
No.340 手術中
No.340 手術後
'18年10月
20代
富永/森田
脳動静脈奇形 右前頭葉内側部 てんかん発作
SMg3(S2,E1,V0) Sg2(A1,B1,C0)
大阪府の病院
No.339 モニタリング
No.339 手術前
No.339 手術中
No.339 手術後
'18年9月
20代
富永/松田
脳動静脈奇形 右前頭頭頂葉傍正中部 (運動知覚野)
SMg3(S2,E0,V1) Sg4(A2,B1,C0)
大阪府の病院
No.338 モニタリング
No.338 手術前
No.338 手術中
No.338 手術後
'18年9月
70代
富永/久貝
脳動静脈奇形
大阪府の病院
No.337 モニタリング
No.337 手術中
No.337 手術後
'18年9月
40代
富永/長尾
脳動静脈奇形
大阪府の病院
No.336 モニタリング
No.336 手術中
No.336 手術後
'18年7月
20代
富永/久貝
脳動静脈奇形
大阪府の病院
No.335 モニタリング
No.335 手術中
No.335 手術後
'18年6月
50代
富永/久貝
脳動静脈奇形
大阪府の病院
No.334 モニタリング
No.334 手術中
No.334 手術後
'18年6月
30代
富永/久貝
脳動静脈奇形
栃木県の病院
No.333 モニタリング
No.333 手術中
No.333 手術後
'18年5月
30代
富永/松田
脳動静脈奇形
広島県の病院
No.332 モニタリング
No.332 手術中
No.332 手術後
'18年4月
60代
富永/久貝
脳動静脈奇形
大阪府の病院
No.331 モニタリング
No.331 手術中
No.331 手術後
'18年4月
40代
富永/長尾
脳動静脈奇形
福井県の病院
No.330 モニタリング
No.330 手術中
No.330 手術後
'18年4月
10代
富永/松田
脳動静脈奇形
奈良県の病院
No.329 モニタリング
No.329 手術中
No.329 手術後
'18年1月
20代
富永/古部
脳動静脈奇形
富山県の病院
No.328 モニタリング
No.328 手術中
No.328 手術後
'18年1月
20代
富永/古部
脳動静脈奇形
大阪府の病院
No.327 モニタリング
No.327 手術中
No.327 手術後
'17年12月
30代
富永/久貝
脳動静脈奇形
大阪府の病院
No.326 モニタリング1
No.326 モニタリング2
No.326 手術中
No.326 手術後
'17年12月
60代
富永/久貝
脳動静脈奇形
大阪府の病院
No.325 モニタリング
No.325 手術中
No.325 手術後
'17年12月
30代
富永/久貝
脳動静脈奇形
東京都の病院
No.324 モニタリング
No.324 手術中
No.324 手術後
'17年12月
30代
富永/久貝
脳動静脈奇形
大阪府の病院
No.323 モニタリング
No.323 手術中
No.323 手術後
'17年10月
40代
富永/長尾
脳動静脈奇形
千葉県の病院
No.322 モニタリング
No.322 手術中
No.322 手術後
'17年10月
10代
富永/松田
脳動静脈奇形
奈良県の病院
No.321 モニタリング
No.321 手術中
No.321 手術後
'17年9月
40代
富永/古部
脳動静脈奇形
南米(ベネズエラ)の病院
No.320 モニタリング
No.320 手術中
No.320 手術後
'17年9月
10代
富永/森田
脳動静脈奇形
大阪府の病院
No.319 モニタリング
No.319 手術中
No.319 手術後
'17年9月
20代
富永/山田
脳動静脈奇形
兵庫県の病院
No.318 モニタリング
No.318 手術中
No.318 手術後
'17年9月
30代
富永/松田
脳動静脈奇形
千葉県の病院
No.317 モニタリング
No.317 手術中
No.317 手術後
'17年8月
20代
富永/古部
脳動静脈奇形
大阪府の病院
No.316 モニタリング
No.316 手術中
No.316 手術後
'17年8月
30代
富永/松田
脳動静脈奇形
福岡県の病院
No.315 モニタリング
No.315 手術中
No.315 手術後
'17年8月
10代
富永/古部
脳動静脈奇形
三重県の病院
No.314 モニタリング
No.314 手術中
No.314 手術後
'17年8月
20代
富永/向
脳動静脈奇形
大阪府の病院
No.313 モニタリング
No.313 手術中
No.313 手術後
'17年7月
40代
富永/長尾
脳動静脈奇形
愛知県の病院
No.312 モニタリング
No.312 手術中
No.312 手術後
'17年6月
40代
富永/長尾
脳動静脈奇形
北海道の病院
No.311 モニタリング
No.311 手術中
No.311 手術後
'17年6月
40代
富永/長尾
脳動静脈奇形
大阪府の病院
No.310 モニタリング
No.310 手術中
No.310 手術後
'17年6月
20代
富永/久貝
脳動静脈奇形
大阪府の病院
No.309 モニタリング
No.309 手術中
No.309 手術後
'17年6月
60代
富永/松田
脳動静脈奇形
大阪府の病院
No.308 モニタリング
No.308 手術中
No.308 手術後
'17年5月
40代
富永/長尾
脳動静脈奇形
大阪府の病院
No.307 モニタリング
No.307 手術中
No.307 手術後
'17年5月
40代
富永/谷
脳動静脈奇形
大阪府の病院
No.306 モニタリング
No.306 手術中
No.306 手術後
'17年5月
10代
富永/山田
脳動静脈奇形
奈良県の病院
No.305 モニタリング
No.305 手術中
No.305 手術後
'17年3月
20代
富永/松田
脳動静脈奇形
大阪府の病院
No.304 モニタリング
No.304 手術中
No.304 手術後
'17年3月
70代
富永/古部
脳動静脈奇形
大阪府の病院
No.303 モニタリング
No.303 手術中
No.303 手術後
'17年2月
40代
富永/松田
脳動静脈奇形
埼玉県の病院
No.302 モニタリング
No.302 手術中
No.302 手術後
'17年2月
30代
富永/山田
脳動静脈奇形
大阪府の病院
No.301 モニタリング
No.301 手術中
No.301 手術後
'17年1月
40代
富永/久貝
脳動静脈奇形
岩手県の病院
No.300 モニタリング
No.300 手術中
No.300 手術後
'17年1月
30代
富永/山田
脳動静脈奇形
福岡県の病院
No.299 モニタリング
No.299 手術中
No.299 手術後
'16年12月
40代
富永/久貝
脳動静脈奇形
兵庫県の病院
No.298 モニタリング
No.298 手術中
No.298 手術後
'16年12月
30代
富永/久貝
脳動静脈奇形
大阪府の病院
No.297 モニタリング
No.297 手術中
No.297 手術後
'16年12月
30代
富永/久貝
脳動静脈奇形
奈良県の病院
No.296 モニタリング
No.296 手術中
No.296 手術後
'16年11月
50代
富永/久貝
脳動静脈奇形
大阪府の病院
No.295 モニタリング
No.295 手術中
No.295 手術後
'16年11月
20代
富永/松田
脳動静脈奇形
福島県の病院
No.294 モニタリング
No.294 手術中
No.294 手術後
'16年11月
30代
富永/久貝
脳動静脈奇形
埼玉県の病院
No.293 モニタリング
No.293 手術中
No.293 手術後
'16年10月
20代
富永/久貝
脳動静脈奇形
千葉県の病院
No.292 モニタリング
No.292 手術中
No.292 手術後
'16年10月
50代
富永/松田
脳動静脈奇形
大阪府の病院
No.291 モニタリング
No.291 手術中
No.291 手術後
'16年10月
50代
富永/久貝
脳動静脈奇形
長崎県の病院
No.290 モニタリング
No.290 手術中
No.290 手術後
'16年10月
40代
富永/長尾
脳動静脈奇形
徳島県の病院
No.289 モニタリング
No.289 手術中
No.289 手術後
'16年9月
10代
富永/久貝
脳動静脈奇形
大阪府の病院
No.288 手術中
No.288 手術後
'16年9月
10代
富永/長尾
脳動静脈奇形
東京都の病院
No.287 モニタリング
No.287 手術中
No.287 手術後
'16年8月
30代
富永/松田
脳動静脈奇形
大阪府の病院
No.286 モニタリング
No.286 手術中
No.286 手術後
'16年8月
30代
富永/山田
脳動静脈奇形
大阪府の病院
No.285 モニタリング
No.285 手術中
No.285 手術後
'16年8月
40代
富永/松田
脳動静脈奇形
大阪府の病院
No.284 モニタリング
No.284 手術前1
No.284 手術前2
No.284 手術前3
No.284 手術前4
No.284 手術中
No.284 手術後
'16年8月
40代
富永/長尾
脳動静脈奇形
広島県の病院
No.283 モニタリング
No.283 手術中
No.283 手術後
'16年7月
40代
富永/久貝
脳動静脈奇形
三重県の病院
No.282 モニタリング
No.282 手術中
No.282 手術後
'16年6月
20代
富永/松田
脳動静脈奇形
愛知県の病院
No.281 モニタリング
No.281 手術中
No.281 手術後
'16年5月
10代
富永/松田
脳動静脈奇形
大阪府の病院
No.280 モニタリング
No.280 手術中
No.280 手術後
'16年5月
30代
富永/久貝
脳動静脈奇形
ネパールの病院
No.279 モニタリング
No.279 手術中
No.279 手術後
'16年5月
40代
富永/久貝
脳動静脈奇形
奈良県の病院
No.278 モニタリング
No.278 手術中
No.278 手術後
'16年4月
30代
富永/向
脳動静脈奇形
大阪府の病院
No.277 モニタリング
No.277 手術中
No.277 手術後
'16年4月
20代
富永/松田
脳動静脈奇形
岡山県の病院
No.276 モニタリング
No.276 手術中
No.276 手術後
'16年4月
20代
富永/久貝
脳動静脈奇形 左前頭葉
SMg4(S2,E1,V1) Sg3(A2,B1,C0)
奈良県の病院
No.275 モニタリング
No.275 手術中
No.275 手術後
'16年4月
20代
富永/下里
脳動静脈奇形 左深部前頭葉 Silent hemorrhage あり
SMg2(S1,E1,V0) Sg3(A2,B1,C0)
千葉県の病院
No.274 モニタリング
No.274 手術中
No.274 手術後
'16年4月
70代
富永/長尾
脳動静脈奇形 (多発性) 左小脳半球 (出血発症)
SMg2 (S1,E1,V0) Sg4 (A3,B0,C1)
大阪府の病院
No.273 手術中
No.273 手術後
'16年3月
30代
富永/久貝
脳動静脈奇形 左深部前頭葉 (出血発症)
SMg 2 (S1,E1,V0) Sg 2 (A2,B0,C0)
大阪府の病院
No.272 手術中
No.272 手術後
'16年3月
30代
富永/下里
脳動静脈奇形 左内側後頭葉
SMg3 (S1,E1,V1) Sg3 (A2,B1,C0)
沖縄県の病院
No.271 手術中
No.271 手術後
'16年3月
10代
富永/下里
脳動静脈奇形 左深部前頭葉 (出血発症)
SMg3 (S2,E1,V1) Sg1 (A1,B0,C0)
京都府の病院
No.270 手術中
No.270 手術後
'16年3月
30代
富永/松田
脳動静脈奇形 右基底核 (出血発症)
SMg3 (S1,E1,V1) Sg2 (A2,B0,C0)
秋田県の病院
No.269 手術中
No.269 手術後
'16年3月
20代
富永/長尾
脳動静脈奇形 右前・内側側頭葉
SMg3 (S1,E1,V1) Sg2 (A2,B0,C0)
秋田県の病院
No.268 手術中
No.268 手術後
'16年3月
10代
富永/松田
脳動静脈奇形 左前頭葉 (出血発症)
SMg2 (S1,E1,V0) Sg1 (A1,B0,C0)
神奈川県の病院
No.267 手術中
No.267 手術後
'16年2月
40代
富永/下里
脳動静脈奇形 左前頭・頭頂葉
SMg4 (S3,E1,V0) Sg4 (A3,B1,C0)
三重県の病院
No.266 手術中
No.266 手術後
'16年2月
40代
端/松田
脳動静脈奇形 左前内側側頭葉
SMg 1 (S1,E0,V0) Sg 4 (A3,B1,C0)
兵庫県の病院
No.265 手術中
No.265 手術後
'16年2月
30代
富永/松田
脳動静脈奇形 左中内側側頭葉 (出血発症)
SMg 3(S1,E1,V1) Sg2 (A2,B0,C0)
大阪府の病院
No.264 手術中
No.264 手術後
'16年2月
30代
富永/松田
脳動静脈奇形 右大脳基底核 Silent hemorrhage あり
SMg 4(S2,E1,V1) Sg 2 (A2,B0,C0)
青森県の病院
No.263 手術中
No.263 手術後
'16年2月
40代
富永/久貝
脳動静脈奇形 深部頭頂葉 (出血性)
SMg 3(S1,E1,V1) Sg 3 (A3,B0,C0)
福岡県の病院
No.262 手術中
No.262 手術後
'16年2月
30代
富永/久貝
脳動静脈奇形 内側後頭葉 (出血性)
SMg 2 (S1,E1,V0) Sg 2 (A2,B0,C0)
大阪府の病院
No.261 手術中
No.261 手術後
'16年2月
10代
富永/下里
脳動静脈奇形 左深部前頭葉 (出血性)
SMg 3 (S2,E1,V0) Sg 2 (A1,B0,C1)
福岡県の病院
No.260 手術中
No.260 手術後
'16年1月
40代
富永/久貝
脳動静脈奇形 右内側側頭葉 (陳旧性出血)
SMg 2 (S2,E0,V0) Sg 3 (A3,B0,C0)
大阪府の病院
No.259 手術中
No.259 手術後
'16年1月
20代
富永/松田
脳動静脈奇形 右前頭葉 (陳旧性出血)
SMg 5 (S3,E1,V1) Sg 2 (A2,B0,C0)
大阪府の病院
No.258 手術中
No.258 手術後
'16年1月
30代
富永/乾
脳動静脈奇形 内側後頭葉
(陳旧性出血例)
SMg 2 (S1,E1,V0) Sg 2 (A2,B0,C0)
大阪府の病院
No.257 手術中
No.257 手術後
'16年1月
50代
富永/久貝
脳動静脈奇形 右深部頭頂葉 (陳旧性出血例)
SMg 2 (S2,E0,V0) Sg 3 (A3,B0,C0)
長野県の病院
No.256 手術中
No.256 手術後
'15年12月
40代
富永/松田
脳動静脈奇形 右内側視床 (出血性)
SMg 4 (S2,E1,V1) Sg 3 (A3,B0,C0)
茨城県の病院
No.255 手術中
No.255 手術後
'15年12月
40代
富永/松田
脳動静脈奇形 右頭頂葉 (非出血性)
SMg 3 (S2,E1,V0) Sg 4 (A3,B1,C0)
長野県の病院
No.254 手術中
No.254 手術後
'15年12月
10代
富永/久貝
脳動静脈奇形 右内側後頭葉 (非出血性)
SMg 4 (S3,E1,V0) Sg 2 (A1,B1,C0)
京都府の病院
No.253 手術中
No.253 手術後
'15年11月
20代
富永/久貝
脳動静脈奇形 右深部後頭葉 (非出血性)
SMg 4 (S2,E1,V1) Sg 3 (A2,B1,C0)
広島県の病院
No.252 手術中
No.252 手術後
'15年11月
40代
富永/長尾
脳動静脈奇形 右小脳半球 (出血性)
SMg 1 (S1,E0,V0) Sg 3 (A3,B0,C0)
大阪府の病院
No.251 手術中
No.251 手術後
'15年10月
40代
富永/宮﨑
脳動静脈奇形
SMg 3 (S2,E1,V0) Sg 3 (A3,B0,C0)
大阪府の病院
No.250 手術中
No.250 手術後
'15年10月
60代
富永/宮﨑
脳動静脈奇形
SMg 1 (S1,E0,V0) Sg 3(A3,B0,C0)
大阪府の病院
No.249 手術中
No.249 手術後
'15年10月
20代
富永/下里
脳動静脈奇形
SMg 4 (S3,E1,V0) Sg 2(A2,B0,C0)
大阪府の病院
No.248 手術中
No.248 手術後
'15年10月
70代
富永/向
脳動静脈奇形
SMg 1 (S1,E0,V0) Sg 3(A3,B0,C0)
滋賀県の病院
No.247 手術中
No.247 手術後
'15年9月
10代
富永/松田
脳動静脈奇形
SMg 1 (S1,E0,V0) Sg 2 (A2,B0,C1)
当院への救急
No.246 手術中
No.246 手術後
'15年9月
10代
富永/長尾
脳動静脈奇形
SMg 3 (S1,E1,V1) Sg 1 (A1,B0,C0)
熊本県の病院
No.245 手術中
No.245 手術後
'15年8月
30代
富永/長尾
脳動静脈奇形
SMg 3 (S2,E0,V1) Sg 2 (A2,B0,C0)
静岡県の病院
No.244 手術中
No.244 手術後
'15年8月
50代
富永/長尾
脳動静脈奇形
SMg 3 (S2,E1,V0) Sg 4 (A3,B0,C1)
大阪府の病院
No.243 手術中
No.243 手術後
'15年8月
それ以外
富永/松田
脳動静脈奇形
SMg 3 (S2,E0,V1) Sg 3 (A1,B1,C1)
岡山県の病院
No.242 手術中
No.242 手術後
'15年8月
10代
富永/古部
脳動静脈奇形
SMg 1 (S1,E0,V0) Sg 2 (A2,B0,C0)
山形県の病院
No.241 手術中
No.241 手術後
'15年8月
40代
富永/松田
脳動静脈奇形
SMg 3 (S1,E1,V1) Sg 3 (A3,B0,C0)
大阪府の病院
No.240 手術中
No.240 手術後
'15年8月
40代
富永/松田
脳動静脈奇形
SMg 2 (S2,E0,V0) Sg 4 (A3,B1,C0)
大阪府の病院
No.239 手術中
No.239 手術後
'15年7月
40代
富永/久貝
脳動静脈奇形
SMg 4 (S2,E1,V1) Sg 3 (A3,B0,C0)
東京都の病院
No.238 手術中
No.238 手術後
'15年7月
60代
富永/下里
脳動静脈奇形
SMg 2 (S,E0,V0) Sg 4 (A3,B0,C1)
奈良県の病院
No.237 手術中
No.237 手術後
'15年7月
40代
富永/松田
脳動静脈奇形
SMg 1 (S1,E0,V0) Sg 3 (A3,B0,C0)
大阪府の病院
No.236 手術中
No.236 手術後
'15年7月
10代
富永/長尾
脳動静脈奇形
SMg 1 (S1,E0,V0) Sg 2 (A1,B0,C1)
熊本県の病院
No.235 手術中
No.235 手術後
'15年7月
30代
富永/古部
脳動静脈奇形
SMg 3 (S2,E1,V0) Sg 2 (A2,B0,C0)
岐阜県の病院
No.234 手術中
No.234 手術後
'15年6月
40代
富永/久貝
脳動静脈奇形
SMg 3 (S3,E0,V0) Sg 3 (A3,B0,C0)
広島県の病院
No.233 手術中
No.233 手術後
'15年5月
20代
富永/下里
脳動静脈奇形
SMg 2 (S1,E0,V1) Sg 2 (A2,B0,C0)
滋賀県の病院
No.232 手術中
No.232 手術後
'15年5月
20代
富永/宮﨑
脳動静脈奇形
SMg 1 (S1,E0,V0) Sg 2 (A2,B0,C0)
愛知県の病院
No.231 手術中
No.231 手術後
'15年5月
20代
富永/松田
脳動静脈奇形
SMg 3 (S2,E1,V0) Sg 3 (A2,B1,C0)
兵庫県の病院
No.230 手術中
No.230 手術後
'15年4月
40代
富永/宮﨑
脳動静脈奇形
SMg 2 (S2,E0,V0) Sg 3 (A3,B0,C0)
鹿児島県の病院
No.229 手術中
No.229 手術後
'15年4月
10代
富永/古部
脳動静脈奇形
SMg 4 (S3,E1,V0) Sg 2 (A1,B0,C1)
東京都の病院
No.228 手術中
No.228 手術後
'15年4月
10代
富永/松田
脳動静脈奇形
SMg 4 (S2,E1,V1) Sg 3 (A1,B1,C1)
大阪府の病院
No.227 手術中
No.227 手術後
'15年4月
10代
富永/松田
脳動静脈奇形
SMg 2 (S2,E0,V0) Sg 2 (A1,B0,C1)
広島県の病院
No.226 手術中
No.226 手術後
'15年3月
40代
富永/住吉
脳動静脈奇形
SMg 2 (S2,E0,V0) Sg 3 (A3,B0,C0)
広島県の病院
No.225 手術中
No.225 手術後
'15年3月
30代
富永/下里
脳動静脈奇形
SMg 3 (S2,E1,V0) Sg 3 (A2,B1,C0)
大阪府の病院
No.224 手術中
No.224 手術後
'15年3月
10代
富永/古部
脳動静脈奇形
SMg 4 (S3,E1,V0) Sg 3 (A1,B1,C1)
愛知県の病院
No.223 手術中
No.223 手術後
'15年2月
20代
富永/長尾
脳動静脈奇形
SMg 2 (S1,E1,V0) Sg 2 (A2,B0,C0)
山口県の病院
No.222 手術中
No.222 手術後
'15年1月
40代
富永/宮﨑
脳動静脈奇形
SMg 2 (S2,E0,V0) Sg 4 (A3,B1,C0)
千葉県の病院
No.221 手術中
No.221 手術後
'15年1月
50代
富永/住吉
脳動静脈奇形
SMg 3 (S2,E1,V0) Sg 3 (A3,B0,C0)
富山県の病院
No.220 手術中
No.220 手術後
'15年1月
50代
富永/松田
脳動静脈奇形
SMg 1 (S1,E0,V0) Sg 3 (A2,B0,C1)
三重県の病院
No.219 手術中
No.219 手術後
'14年12月
40代
富永/宮﨑
脳動静脈奇形
SMg 2 (S1,E1,V0) Sg 4 (A3,B0,C1)
大阪府の病院
No.218 手術中
No.218 手術後
'14年12月
40代
富永/松田
脳動静脈奇形
SMg 2 (S2,E0,V0) Sg 4 (A3,B1,C0)
奈良県の病院
No.217 手術中
No.217 手術後
'14年11月
70代
富永/久貝
脳動静脈奇形 (混合型)
SMg 2 (S1,E0,V1) Sg 4 (A3,B1,C0)
大阪府の病院
No.216 手術中
No.216 手術後
'14年11月
20代
富永/乾
脳動静脈奇形
SMg 2 (S2,E0,V0) Sg 3 (A2,B1,C0)
大阪府の病院
No.215 手術中
No.215 手術後
'14年11月
30代
富永/久貝
脳動静脈奇形
SMg 2 (S2,E0,V0) Sg 2 (A2,B0,C0)
東京都の病院
No.214 手術中
No.214 手術後
'14年11月
40代
富永/宮﨑
脳動静脈奇形
SMg 3 (S2,E1,V0) Sg 4 (A3,B1,C0)
大阪府の病院
No.213 手術中
No.213 手術後
'14年11月
30代
富永/長尾
脳動静脈奇形
SMg 3 (S2,E0,V1) Sg 3 (A2,B1,C0)
岡山県の病院
No.212 手術中
No.212 手術後
'14年10月
40代
富永/山下
脳動静脈奇形
SMg 3 (S2,E1,V0) Sg 4 (A3,B1,C0)
兵庫県の病院
No.211 手術中
No.211 手術後
'14年10月
10代
富永/住吉
脳動静脈奇形
SMg 3 (S2,E0,V1) Sg 2 (A1,B1,C0)
東京都の病院
No.210 手術中
No.210 手術後
'14年10月
40代
富永/住吉
脳動静脈奇形
SMg 4 (S2,E1,V1) Sg 3 (A3,B0,C0)
長野県の病院
No.209 手術中
No.209 手術後
'14年10月
60代
富永/住吉
脳動静脈奇形
SMg 3 (S2,E1,V0) Sg 3 (A3,B0,C0)
大阪府の病院
No.208 手術中
No.208 手術後
'14年10月
70代
富永/下里
脳動静脈奇形
SMg 4 (S2,E1,V1) Sg 4 (A3,B0,C1)
当院への救急
No.207 手術中
No.207 手術後
'14年10月
30代
富永/宮﨑
脳動静脈奇形
SMg 3 (S2,E0,V1) Sg 3 (A2,B0,C1)
島根県の病院
No.206 手術中
No.206 手術後
'14年9月
30代
富永/長尾
脳動静脈奇形
SMg 2 (S2,E0,V0)
大阪府の病院
No.205 手術中
No.205 手術後
'14年9月
70代
富永/下里
脳動静脈奇形
SMg 4 (S2,E1,V1)
当院への救急
No.204 手術中
No.204 手術後
'14年9月
60代
富永/下里
脳動静脈奇形
SMg 3 (S2,E0,V1)
大阪府の病院
No.203 手術中
No.203 手術後
'14年9月
30代
富永/古部
脳動静脈奇形
SMg 2 (S2,E0,V0)
救急搬送
No.202 手術中
No.202 手術後
'14年9月
50代
富永/宮﨑
脳動静脈奇形
SMg 3 (S2,E1,V0)
大阪府の病院
No.201 手術中
No.201 手術後
'14年8月
10代
富永/山下
脳動静脈奇形
SMg 5 (S3,E1,V1)
愛媛県の病院
No.200 手術中
No.200 手術後
'14年8月
40代
富永/松田
脳動静脈奇形
SMg 5 (S3,E1,V1)
大阪府の病院
No.199 手術中
No.199 手術後
'14年8月
60代
富永/久貝
脳動静脈奇形
大阪府の病院
No.198 手術中
No.198 手術後
'14年8月
10代
富永/松田
脳動静脈奇形
京都府の病院
No.197 手術中
No.197 手術後
'14年7月
60代
富永/久貝
脳動静脈奇形
大阪府の病院
No.196 手術中
No.196 手術後
'14年7月
それ以外
富永/久貝
脳動静脈奇形
デュッセルドルフ大学病院
(ドイツ)
No.195 手術中
No.195 手術後
'14年7月
10代
富永/松田
脳動静脈奇形
福岡県の病院
No.194 手術中
No.194 手術後
'14年7月
30代
富永/長尾
脳動静脈奇形
大阪府の病院
No.193 手術中
No.193 手術後
'14年6月
40代
富永/久貝
脳動静脈奇形
大阪府の病院
No.192 手術中
No.192 手術後
'14年6月
20代
富永/松田
脳動静脈奇形
兵庫県の病院
No.191 手術中
No.191 手術後
'14年6月
50代
富永/久貝
脳動静脈奇形
大阪府の病院
No.190 手術中
No.190 手術後
'14年6月
20代
富永/松田
脳動静脈奇形
鳥取県の病院
No.189 手術中
No.189 手術後
'14年6月
20代
富永/久貝
脳動静脈奇形
三重県の病院
No.188 手術中
No.188 手術後
'14年5月
10代
富永/住吉
脳動静脈奇形
奈良県の病院
No.187 手術中
No.187 手術後
'14年5月
60代
富永/下里
脳動静脈奇形
当院への救急
No.186 手術中
No.186 手術後
'14年4月
30代
富永/松田
脳動静脈奇形
三重県の病院
No.185 手術中
No.185 手術後
'14年4月
20代
富永/住吉
脳動静脈奇形
長野県の病院
No.184 手術中
No.184 手術後
'14年4月
20代
富永/古部
脳動静脈奇形
大阪府の病院
No.183 手術中
No.183 手術後
'14年4月
40代
富永/古部
脳動静脈奇形
大阪府の病院
No.182 手術中
No.182 手術後
'14年3月
30代
富永/住吉
脳動静脈奇形
徳島県の病院
No.181 手術中
No.181 手術後
'14年1月
50代
富永/下里
脳動静脈奇形
大阪府の病院
No.180 手術中
No.180 手術後
'14年1月
30代
富永/松田
脳動静脈奇形
大阪府の病院
No.179 手術中
No.179 手術後
'13年12月
30代
富永/宮﨑
脳動静脈奇形
愛知県の病院
No.178 手術中
No.178 手術後
'13年12月
30代
富永/久貝
脳動静脈奇形
宮崎県の病院
No.177 手術中
No.177 手術後
'13年12月
30代
富永/長尾
脳動静脈奇形
愛知県の病院
No.176 手術中
No.176 手術後
'13年12月
20代
富永/村上
脳動静脈奇形
当院への救急
No.175 手術中
No.175 手術後
'13年11月
20代
富永/松田
脳動静脈奇形
兵庫県の病院
No.174 手術中
No.174 手術後
'13年11月
30代
富永/宮﨑
脳動静脈奇形
愛知県の病院
No.173 手術中
No.173 手術後
'13年11月
60代
富永/松田
脳動静脈奇形
三重県の病院
No.172 手術中
No.172 手術後
'13年11月
10代
富永/長尾
脳動静脈奇形
大阪府の病院
No.171 手術中
No.171 手術後
'13年11月
70代
富永/我妻
脳動静脈奇形
奈良県の病院
No.170 手術中
No.170 手術後
'13年10月
30代
富永/住吉
脳動静脈奇形
大阪府の病院
No.169 手術中
No.169 手術後
'13年10月
20代
富永/下里
脳動静脈奇形
愛知県の病院
No.168 手術中
No.168 手術後
'13年8月
30代
富永/久貝
脳動静脈奇形
兵庫県の病院
No.167 手術中
No.167 手術後
'13年8月
10代
富永/松田
脳動静脈奇形
岡山県の病院
No.166 手術中
No.166 手術後
'13年8月
50代
富永/宮﨑
脳動静脈奇形
大阪府の病院
No.165 手術中
No.165 手術後
'13年7月
50代
富永/住吉
脳動静脈奇形
当院への救急
No.164 手術中
No.164 手術後
'13年6月
30代
富永/松田
脳動静脈奇形
当院の病院(出血発症)
No.163 手術中
No.163 手術後
'13年4月
20代
富永/長尾
脳動静脈奇形
カナダの病院
No.162 手術中
No.162 手術後
'13年4月
20代
富永/下里
脳動静脈奇形
大阪府の病院
No.161 手術中
No.161 手術後
'13年4月
50代
富永/松田
脳動静脈奇形
当院の救急
No.160 手術中
No.160 手術後
'13年4月
40代
富永/久貝
脳動静脈奇形
大阪府の病院
No.159 手術中
No.159 手術後
'13年3月
10代
富永/久貝
脳動静脈奇形
宮崎県の病院
No.158 手術中
No.158 手術後
'13年2月
10代
富永/下里
脳動静脈奇形
山形県の病院
No.157 手術中
No.157 手術後
'13年1月
40代
富永/長尾
脳動静脈奇形
ベトナムの病院
No.156 手術中
No.156 手術後
'12年12月
30代
富永/松田
脳動静脈奇形
滋賀県の病院
No.155 手術中
No.155 手術後
'12年12月
10代
富永/久貝
脳動静脈奇形
長野県の病院
No.154 手術中
No.154 手術後
'12年11月
30代
富永/久貝
脳動静脈奇形
千葉県の病院
No.153 手術中
No.153 手術後
'12年11月
60代
富永/祖母井
脳動静脈奇形
奈良県の病院
No.152 手術中
No.152 手術後
'12年10月
70代
富永/松田
脳動静脈奇形
大阪府の病院
No.151 手術中
No.151 手術後
'12年9月
30代
富永/久貝
脳動静脈奇形
大阪府の病院
No.150 手術中
No.150 手術後
'12年9月
60代
富永/久貝
脳動静脈奇形
大阪府の病院
No.149 手術中
No.149 手術後
'12年9月
40代
富永/松田
脳動静脈奇形
福井県の病院
No.148 手術中
No.148 手術後
'12年9月
30代
富永/松田
脳動静脈奇形
奈良県の病院
No.147 手術中
No.147 手術後
'12年8月
30代
富永/久貝
脳動静脈奇形
大阪府の病院
No.146 手術中
No.146 手術後
'12年8月
20代
富永/松田
脳動静脈奇形
兵庫県の病院
No.145 手術中
No.145 手術後
'12年8月
40代
富永/乾
脳動静脈奇形
大阪府の病院
No.144 手術中
No.144 手術後
'12年6月
20代
富永/久貝
脳動静脈奇形
大阪府の病院
No.143 手術中
No.143 手術後
'12年6月
50代
富永/乾
脳動静脈奇形
大阪府の病院
No.142 手術前
No.142 手術中
'12年6月
10代
富永/宮﨑
脳動静脈奇形
静岡県の病院
No.141 手術中
No.141 手術後
'12年5月
10代
富永/久貝
脳動静脈奇形
神奈川県の病院
No.140 手術中
No.140 手術後
'12年5月
20代
富永/松田
脳動静脈奇形
兵庫県の病院
No.139 手術中
No.139 手術後
'12年5月
30代
富永/久貝
脳動静脈奇形
香川県の病院
No.138 手術中
No.138 手術後
'12年3月
50代
富永/乾
脳動静脈奇形
大阪府の病院
No.137 手術中
No.137 手術後
'12年2月
20代
富永/中島
脳動静脈奇形
大阪府の病院
No.136 手術中
No.136 手術後
'12年3月
30代
富永/松田
脳動静脈奇形
大阪府の病院
No.135 手術中
No.135 手術後
'12年3月
20代
富永/祖母井
脳動静脈奇形
兵庫県の病院
No.134 手術中
No.134 手術後
'12年2月
40代
富永/長尾
脳動静脈奇形
大阪府の病院
No.133 手術中
No.133 手術後
'12年2月
60代
富永/長尾
脳動静脈奇形
大阪府の病院
No.132 手術中
No.132 手術後
'12年2月
50代
富永/松田
脳動静脈奇形
大阪府の病院
No.131 手術中
No.131 手術後
'12年2月
50代
富永/松田
脳動静脈奇形
奈良県の病院
No.130 手術中
No.130 手術後
'12年2月
20代
富永/久貝
脳動静脈奇形
東京都の病院
No.129 手術中
No.129 手術後
'12年2月
30代
富永/久貝
脳動静脈奇形
大阪府の病院
No.128 手術中
No.128 手術後
'12年2月
40代
富永/祖母井
脳動静脈奇形
大阪府の病院
No.127 手術中
No.127 手術後
'12年1月
60代
富永/中島
脳動静脈奇形
大阪府の病院
No.126 手術中
No.126 手術後
'11年12月
70代
富永(松田)
脳動静脈奇形 視床・背内側核

No.125 手術前1
No.125 手術前2
'11年10月
40代
富永(下里)
脳動静脈奇形 前頭葉

No.124 手術前1
No.124 手術前2
'11年11月
40代
富永(松田)
脳動静脈奇形

No.123 手術前1
No.123 手術前2
'11年10月
40代
富永(松田)
脳動静脈奇形 頭頂葉

No.122 手術前1
No.122 手術前2
'11年10月
40代
富永(長尾)
脳動静脈奇形

No.121 手術前1
No.121 手術前2
'11年10月
40代
富永(乾)
脳動静脈奇形

No.120 手術前1
No.120 手術前2
'11年10月
20代
富永(久貝)
脳動静脈奇形

No.119 手術前1
No.119 手術前2
'11年10月
30代
富永(久貝)
脳動静脈奇形

No.118 手術前1
No.118 手術前2
'11年10月
30代
富永(久貝)
脳動静脈奇形

No.117 手術前1
No.117 手術前2
'11年10月
40代
富永(久貝)
脳動静脈奇形

No.116 手術前1
No.116 手術前2
'11年10月
30代
富永(久貝)
脳動静脈奇形

No.115 手術前1
No.115 手術前2
'11年9月
30代
富永(松田)
脳動静脈奇形

No.114 手術前1
No.114 手術前2
'11年9月
20代
富永(久貝)
脳動静脈奇形

No.113 手術前1
No.113 手術前2
'11年9月
20代
須山(久貝)
脳動静脈奇形

No.112 手術前1
No.112 手術前2
'11年9月
40代
富永(松田)
脳動静脈奇形 (中脳)

No.111 手術前1
No.111 手術前2
'11年9月
30代
富永(久貝)
脳動静脈奇形

No.110 手術前1
No.110 手術前2
'11年8月
10代
富永(久貝)
脳動静脈奇形

No.109 手術前1
No.109 手術前2
'11年5月
20代
富永(久貝)
脳動静脈奇形

No.108 手術前1
No.108 手術前2
'11年4月
20代
手術医 (助手)
脳動静脈奇形

No.107 手術前1
No.107 手術前2
'11年4月
10代
永島(下里)
脳動静脈奇形

No.106 手術前1
No.106 手術前2
'11年4月
30代
富永(久貝)
脳動静脈奇形 (左側頭葉)

No.105 手術前1
No.105 手術前2
'11年4月
50代
永島/下里
脳動静脈奇形

No.104 手術前1
No.104 手術前2
'11年4月
40代
永島(宮﨑)
脳動静脈奇形

No.103 手術前1
No.103 手術前2
'11年3月
30代
富永(久貝)
脳動静脈奇形 (左側頭葉)

No.102 手術前1
No.102 手術前2
'11年2月
30代
富永(久貝)
脳動静脈奇形 (左頭頂葉)

No.101 手術前1
No.101 手術前2
'11年2月
30代
富永(久貝)
脳動静脈奇形 (右側頭葉)

No.100 手術前1
No.100 手術前2
'11年1月
40代
富永(久貝)
脳動静脈奇形 (右側頭葉)

No.99 手術前1
No.99 手術前2
'10年12月
40代
富永(永島)
脳動静脈奇形 (左側頭葉)

No.98 手術前
No.98 手術中
'10年12月
10代
永島 (祖母井)
脳動静脈奇形 (左前頭葉)

No.97 手術前
No.97 手術中
'10年12月
50代
富永(永島)
脳動静脈奇形 (右後頭葉)

No.96 手術前
No.96 手術中
'10年11月
30代
富永(永島)
脳動静脈奇形 (右後頭葉)

No.93 手術前
No.93 手術中
No.93 手術後
'10年11月
20代
富永(永島)
脳動静脈奇形 (右後頭葉)

No.92 手術前
No.92 手術中
No.92 手術後
'10年11月
20代
富永(永島)
脳動静脈奇形 (右側頭葉)

No.91 手術前
No.91 手術中
'10年8月
10代
富永(永島)
脳動静脈奇形 (右前頭葉)

No.90 手術前
No.90 手術中
No.90 手術後
'10年8月
30代
富永(永島)
脳動静脈奇形 (右側頭葉)

No.89 手術前
No.89 手術中
No.89 手術後
'10年6月
20代
富永(永島)
脳動静脈奇形 (左頭頂葉)

No.88 手術前
No.88 手術中
'10年6月
30代
富永(永島)
脳動静脈奇形 (左頭頂葉)

No.87 手術前
No.87 手術中
No.87 手術後
'10年6月
50代
富永(久貝)
脳動静脈奇形 (左後頭葉)

No.86 手術前
No.86 手術中
No.86 手術後
'10年5月
30代
富永(乾)
脳動静脈奇形 (右後頭葉)

No.85 手術前
No.85 手術中
No.85 手術後
'10年5月
40代
富永(松田)
脳動静脈奇形 (右前頭葉)

No.84 手術前
No.84 手術中
'10年3月
30代
富永(久貝)
脳動静脈奇形 (左頭頂葉)

No.83 手術前
No.83 手術中
No.83 手術後
'10年3月
30代
富永(永島)
脳動静脈奇形 (右側脳室)

No.82 手術前
No.82 手術中
No.82 手術後
'10年3月
10代
富永(永島)
脳動静脈奇形 (右小脳半球)

No.81 手術前
No.81 手術中
No.81 手術後
'10年2月
20代
富永(永島)
脳動静脈奇形 (側脳室)

No.80 手術前
No.80 手術中
No.80 手術後
'10年2月
30代
富永(永島)
脳動静脈奇形 (右後頭葉)

No.79 手術前
No.79 手術中
No.79 手術後
'10年1月
10代
富永(久貝)
脳動静脈奇形 (左前頭葉)

No.78 手術前
No.78 手術中
No.78 手術後
'09年10月
10代
富永(永島)
脳動静脈奇形 (左後頭葉)

No.77 手術前
No.77 手術中
No.77 手術後
'09年10月
40代
富永(永島)
脳動静脈奇形 (左側頭葉)

No.76 手術前
No.76 手術中
No.76 手術後
'09年9月
20代
富永(久貝)
脳動静脈奇形 (脳幹部)

No.75 手術前
No.75 手術後
'09年7月
10代
富永(久貝)
脳動静脈奇形 (左前頭葉)

No.74 手術前
No.74 手術中
No.74 手術後
'09年6月
40代
富永(山里)
脳動静脈奇形 (左後頭葉)

No.73 手術前
No.73 手術中
No.73 手術後
'09年5月
60代
富永(久貝)
脳動静脈奇形 (小脳)

No.72 手術前
No.72 手術中
No.72 手術後
'09年5月
50代
富永(松田)
脳動静脈奇形 (左側頭葉)

No.71 手術前
No.71 手術中
No.71 手術後
'09年4月
40代
富永(永島)
脳動静脈奇形 (左頭頂葉)

No.70 手術前
No.70 手術中
No.70 手術後
'09年3月
60代
富永(米田)
脳動静脈奇形 (左頭頂葉)

No.69 手術前
No.69 手術中
No.69 手術後
'09年3月
60代
富永(永島)
脳動静脈奇形 (左側頭葉)

No.68 手術前
No.68 手術中
No.68 手術後
'09年3月
30代
富永(久貝)
脳動静脈奇形 (右側頭葉)

No.67 手術前
No.67 手術中
No.67 手術後
'09年1月
30代
富永 (原国)
脳動静脈奇形 (右頭頂葉)

No.66 手術前
No.66 手術中
No.66 手術後
'09年2月
40代
富永(永島)
脳動静脈奇形 (後頭蓋窩)

No.65 手術前
No.65 手術中
No.65 手術後
'09年1月
10代
富永(久貝)
脳動静脈奇形 (右頭頂葉)

No.64 手術前
No.64 手術中
No.64 手術後
'08年11月
40代
富永(永島)
脳動静脈奇形 (左後頭葉)

No.63 手術前
No.63 手術中
No.63 手術後
'08年10月
30代
富永(久貝)
脳動静脈奇形 (右側頭葉)

No.62 手術前
No.62 手術中
No.62 手術後
'08年9月
50代
富永(久貝)
脳動静脈奇形 (右前頭葉)

No.61 手術前
No.61 手術中
No.61 手術後
'08年8月
10代
富永 (原国)
脳動静脈奇形 (右前頭葉)

No.60 手術前
No.60 手術中
No.60 手術後
'08年8月
50代
富永(米田)
脳動静脈奇形 (左前頭葉)

No.59 手術前
No.59 手術中
No.59 手術後
'08年8月
10代
富永(永島)
脳動静脈奇形 (左前頭葉)

No.58 手術前
No.58 手術中
No.58 手術後
'08年8月
10代
富永(永島)
脳動静脈奇形 (右側頭葉)

No.57 手術前
No.57 手術中
No.57 手術後
'08年7月
30代
富永(祖母井)
脳動静脈奇形 (小脳)

No.56 手術前
No.56 手術中
No.56 手術後
'08年7月
30代
富永(我妻)
脳動静脈奇形 (左前頭葉)

No.55 手術前
No.55 手術中
No.55 手術後
'08年7月
40代
富永(我妻)
脳動静脈奇形 (右後頭葉)

No.54 手術前
No.54 手術中
No.54 手術後
'08年7月
40代
富永(久貝)
脳動静脈奇形 (右側頭葉)

No.53 手術前
No.53 手術後
'08年6月
30代
富永(永島)
脳動静脈奇形 (左後頭葉)

No.52 手術前
No.52 手術中
No.52 手術後
'08年5月
20代
富永(山里)
脳動静脈奇形 (右頭頂)

No.51 手術前
No.51 手術中
No.51 手術後
'08年5月
40代
富永(我妻)
脳動静脈奇形 (小脳)

No.50 手術前
No.50 手術中
No.50 手術後
'08年4月
20代
富永 (原国)
脳動静脈奇形 (左前頭・頭頂葉)

No.49 手術前
No.49 手術中
No.49 手術後
'08年3月
40代
富永(久貝)
脳動静脈奇形 (右頭頂葉)

No.48 手術前
No.48 手術中
No.48 手術後
'08年3月
20代
富永(永島)
脳動静脈奇形 (右頭頂葉)

No.46 手術前
No.46 手術中
No.46 手術後
'08年2月
30代
富永 (原国)
脳動静脈奇形 (右後頭葉)

No.45 手術前
No.45 手術中
No.45 手術後
'08年2月
30代
富永(永島)
脳動静脈奇形 (左側脳室)

No.44 手術前
No.44 手術中
No.44 手術後
'07年11月
40代
富永 (永島・松田)
脳動静脈奇形 (右側脳室)

No.42 手術前
No.42 手術中
No.42 手術後
'07年12月
60代
乾(我妻)
脳動静脈奇形 (前頭葉)

No.41 手術前
No.41 手術中
No.41 手術後
'07年9月
20代
富永(永島)
脳動静脈奇形 (左側頭葉)

No.40 手術前
No.40 手術中
No.40 手術後
'07年8月
60代
富永 (原国)
脳動静脈奇形 (左大脳半球)

No.39 手術前
No.39 手術中
No.39 手術後
'07年8月
30代
富永(松田)
脳動静脈奇形 (左前頭葉)

No.38 手術前
No.38 手術中
No.38 手術後
'07年8月
20代
富永(久貝)
脳動静脈奇形 (左小脳半球)

No.37 手術前
No.37 手術中
No.37 手術後
'07年8月
10代
富永(永島)
脳動静脈奇形 (左前頭葉)

No.36 手術前
No.36 手術中
No.36 手術後
'07年7月
30代
富永 (原国)
脳動静脈奇形 (左前頭葉)

No.35 手術前
No.35 手術中
No.35 手術後
'07年6月
40代
富永(村上)
脳動静脈奇形 (右側頭葉)

No.34 手術前
No.34 手術中
No.34 手術後
'07年5月
30代
富永(久貝)
脳動静脈奇形 (右側頭部)

No.33 手術前
No.33 手術中
No.33 手術後
'07年5月
10代
富永(永島)
脳動静脈奇形 (右小脳半球)

No.32 手術前
No.32 手術中
No.32 手術後
'07年3月
40代
富永 (原国)
脳動静脈奇形 (右側脳室)

No.31 手術前
No.31 手術中
No.31 手術後
'07年3月
40代
富永(永島)
脳動静脈奇形 (右側頭葉)

No.30 手術前
No.30 手術中
No.30 手術後
'07年3月
30代
富永 (原国)
脳動静脈奇形 (左視床部)

No.29 手術前
No.29 手術中
No.29 手術後
'70年1月
10代
富永 (原国)
脳動静脈奇形(右前頭葉)

No.28 手術前
No.28 手術中
No.28 手術後
'70年1月
10代
富永(永島)
脳動静脈奇形 (右頭頂葉)

No.27 手術前
No.27 手術中
No.27 手術後
'06年7月
20代
富永 (原国)
脳動静脈奇形 (左側頭葉)

'06年6月
50代
富永 (原国)
脳動静脈奇形 (左後頭葉)

'06年7月
20代
富永 (原国)
脳動静脈奇形 (右側頭葉)

No.24 手術前
No.24 手術後
'06年5月
30代
富永 (原国)
脳動静脈奇形 (左前頭葉)

'06年3月
60代
富永(久貝)
脳動静脈奇形 (右側頭葉)

No.21 手術前
No.21 手術後
'06年2月
20代
富永(久貝)
脳動静脈奇形 (右側頭葉)

'06年1月
20代
富永(永島)
脳動静脈奇形 (右側頭葉)

No.19 手術前
No.19 手術中
No.19 手術後
'05年11月
60代
富永(久貝)
脳動静脈奇形(左側頭葉)

No.18 手術前
No.18 手術後
'05年10月
10代
富永(永島)
脳動静脈奇形 (シルビィウス裂・側脳室)

No.17 手術前
No.17 手術後
'05年8月
30代
富永 (原国)
脳動静脈奇形(小脳)

No.16 手術前
No.16 手術後
'05年6月
20代
富永 (原国)
脳動静脈奇形(左頭頂葉)

No.15 手術前
No.15 手術中
No.15 手術後
'05年5月
40代
富永 (原国)
脳動静脈奇形(右前頭葉)

No.14 手術前
No.14 手術後
'05年4月
30代
須山 (伊藤)
脳動静脈奇形(右小脳)

'05年3月
40代
須山 (久保)
脳動静脈奇形(小脳)

'05年3月
10代
富永 (宇都宮)
脳動静脈奇形(左前頭葉)

No.11 手術前
No.11 手術後
'05年2月
60代
富永 (宇都宮)
脳動静脈奇形(左前頭葉)

No.10 手術前1
No.10 手術前2
No.10 手術前3
No.10 手術前
No.10 手術後
'05年1月
60代
富永 (宇都宮)
脳動静脈奇形(右前頭葉)

No.9 手術前
No.9 手術後
'05年1月
40代
富永 (原国)
脳動静脈奇形 (右視床部)

'05年1月
60代
富永 (山里)
脳動静脈奇形 (右視床)

'04年12月
50代
富永 (久保)
脳動静脈奇形  (右小脳半球)

No.6 手術前
No.6 手術後
'04年10月
30代
富永 (村上)
脳動静脈奇形 (右側頭頂葉)

No.5 手術前
No.5 手術後
'04年8月
30代
富永 (乾)
脳動静脈奇形  (巨大・右前頭頭頂葉)  多発性硬膜動静脈瘻(前頭部と後頭部)

No.4 手術前
No.4 手術後
'04年8月
30代
富永 (宇都宮)
脳動静脈奇形 (小脳虫部)

No.3 手術前
No.3 手術後
'04年4月
30代
長谷川(永島)
脳動静脈奇形 (右後頭葉)

No.2 手術前
No.2 手術後
'04年4月
50代
富永 (野中)
脳動静脈奇形 (右頭頂葉)

No.1 手術前
No.1 手術後

電話でのお問い合わせ

代表 06-6568-1601

専用フォームでのお問合せ

お問い合せ
矢印TOP