三叉神経痛・顔面痙攣 手術実績

三叉神経痛・顔面痙攣 手術実績
Trigeminal neuralgia & Facial Spasm

三叉神経痛・顔面痙攣 手術実績

Trigeminal neuralgia & Facial Spasm

※ 画像をクリックすると拡大表示します。

No.
手術年月
年齢
病名
(手術の目的)
紹介元
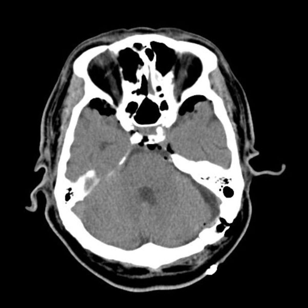
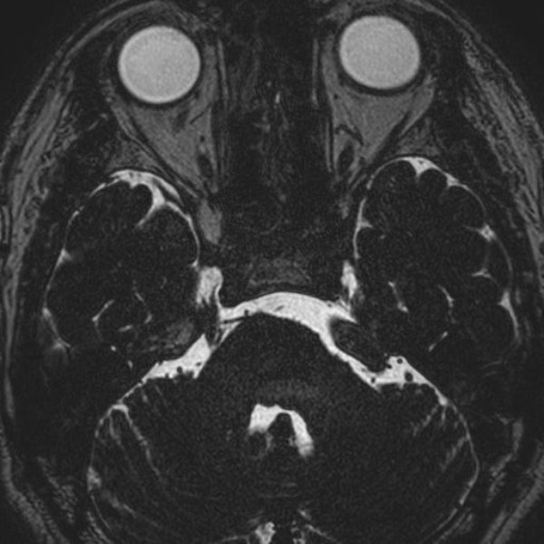
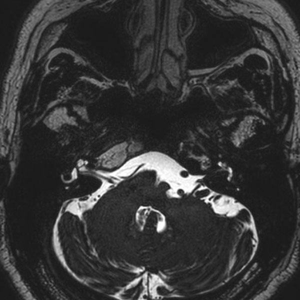
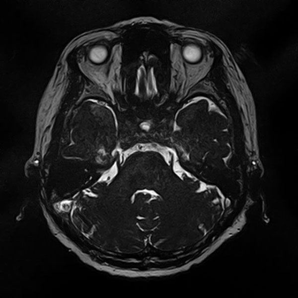
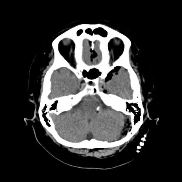
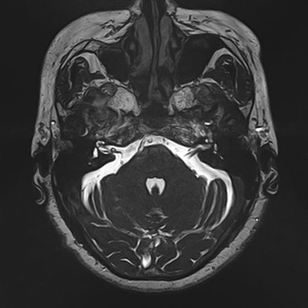
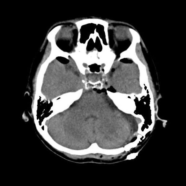
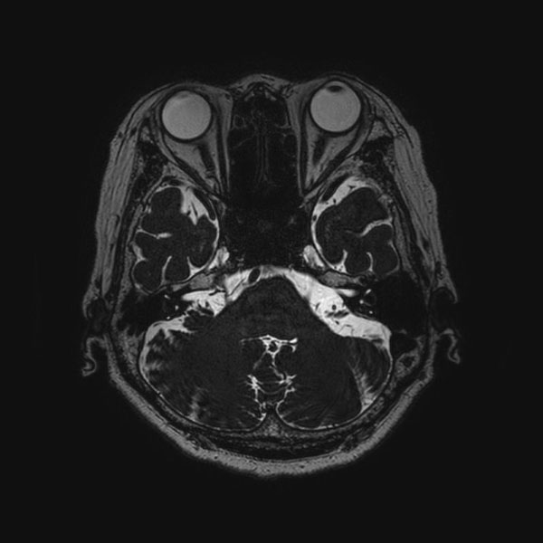
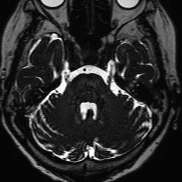
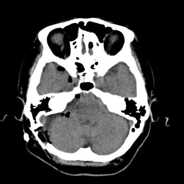
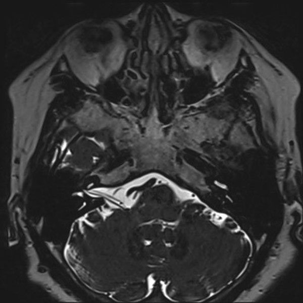
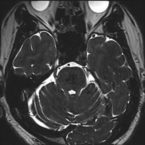
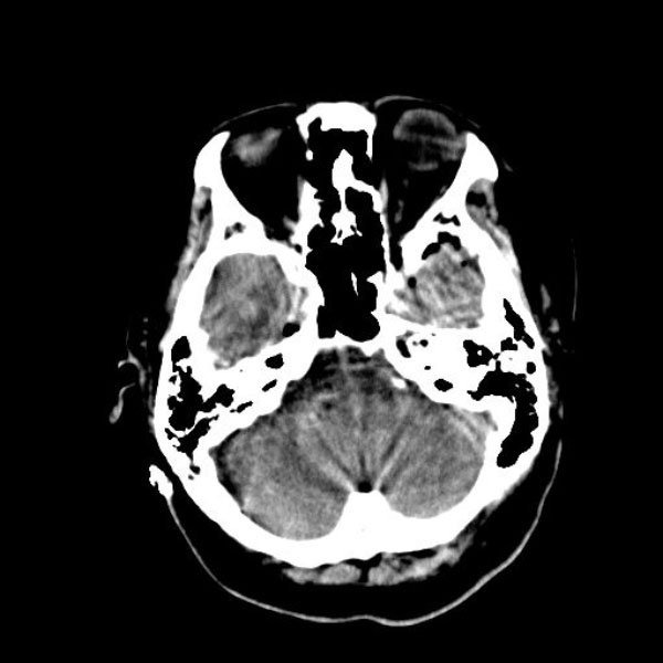
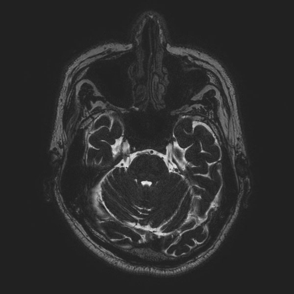
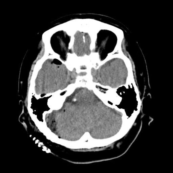
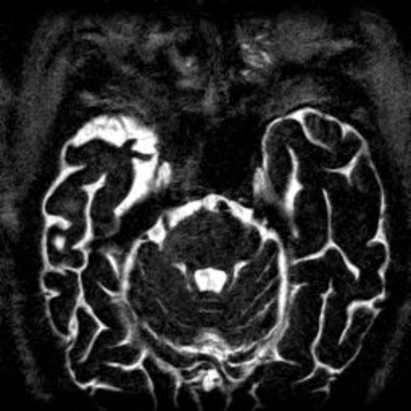
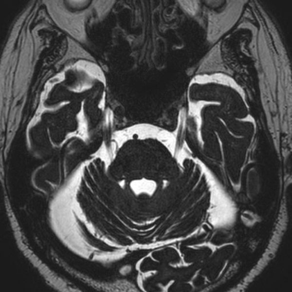
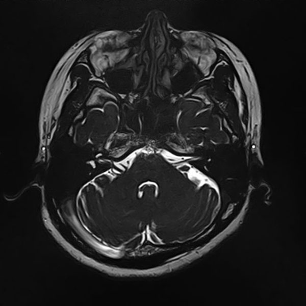
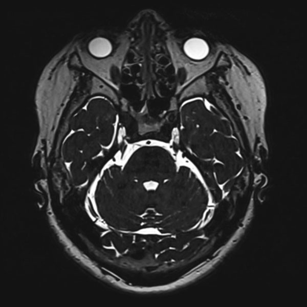
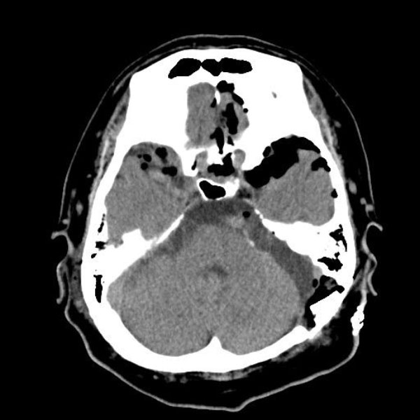
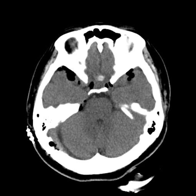
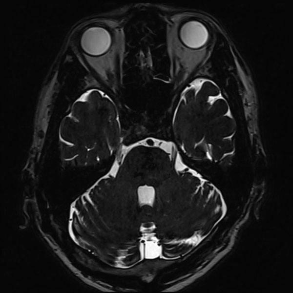
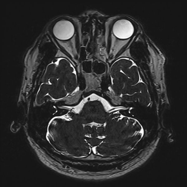
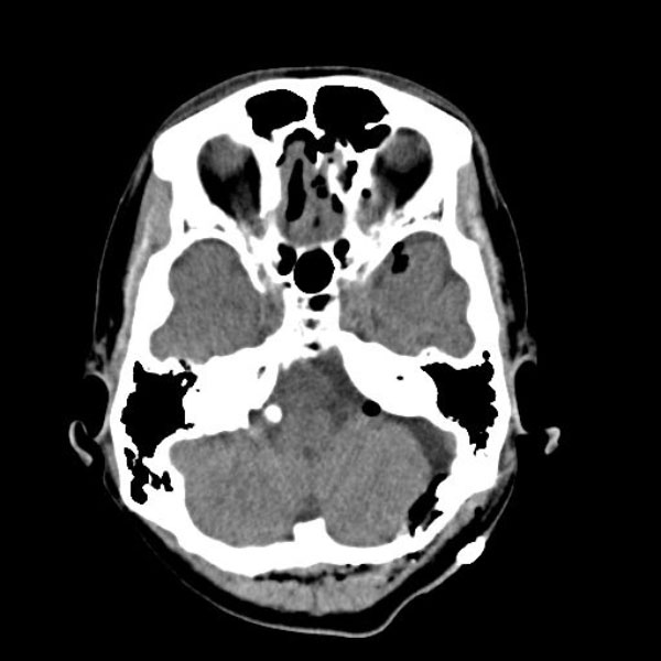
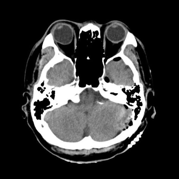
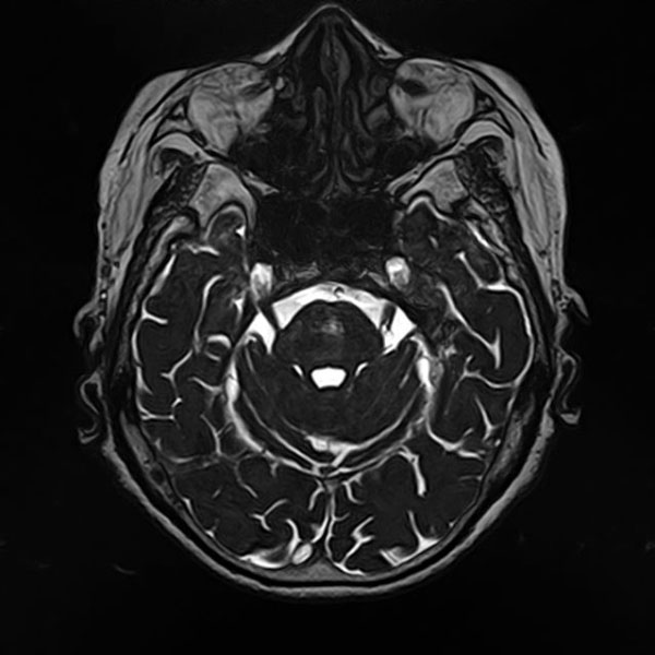
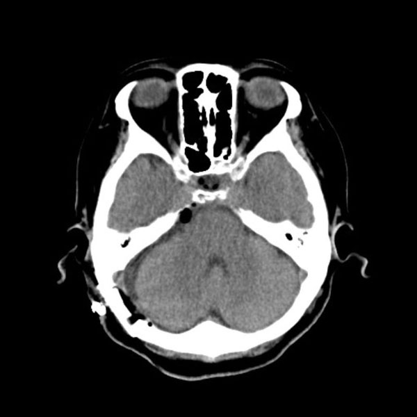
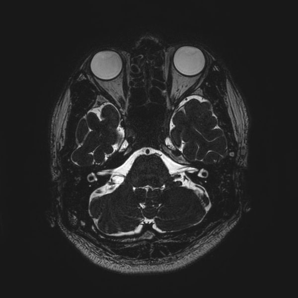
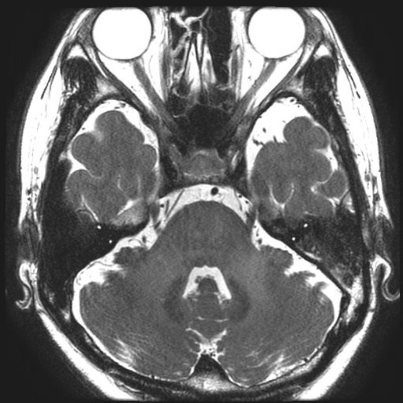
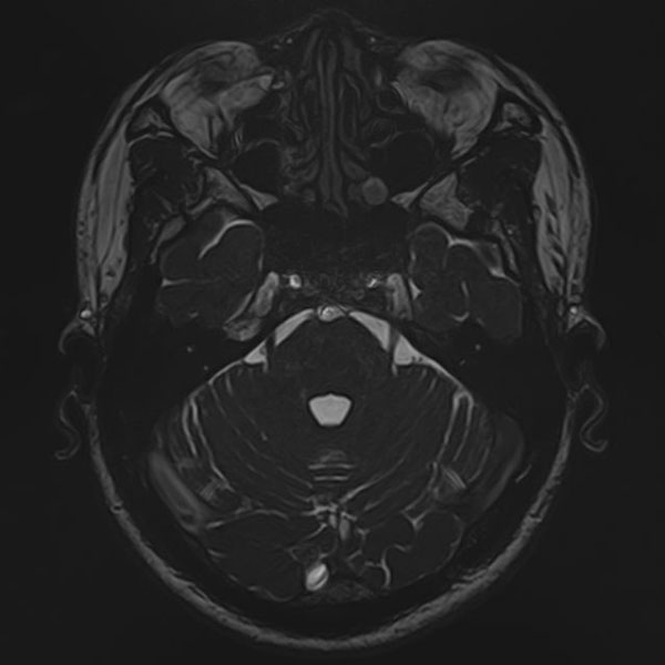
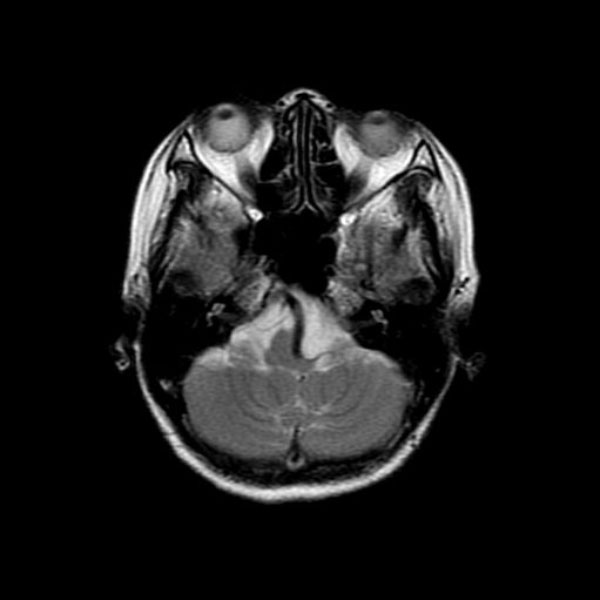
手術前
(MR1)
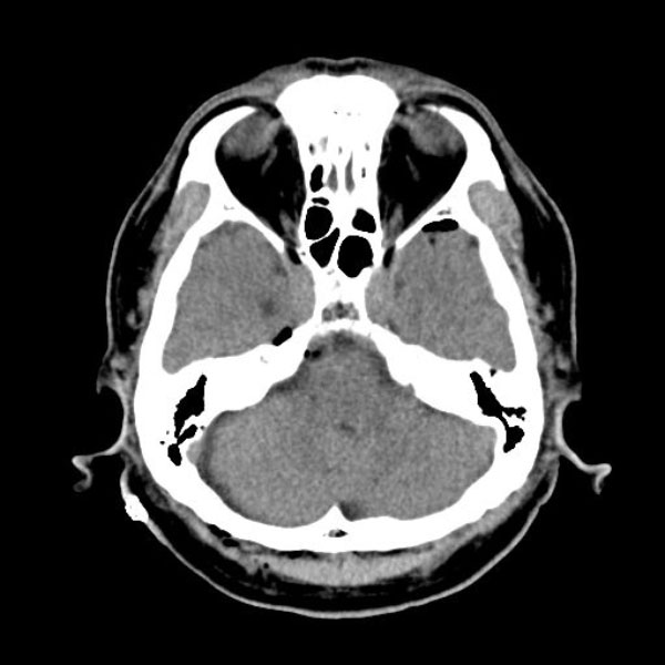
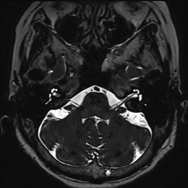
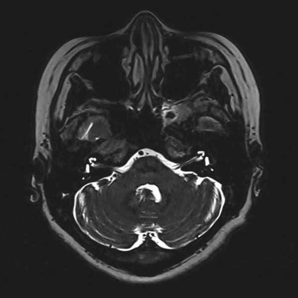
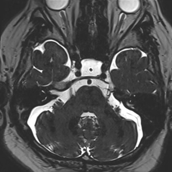
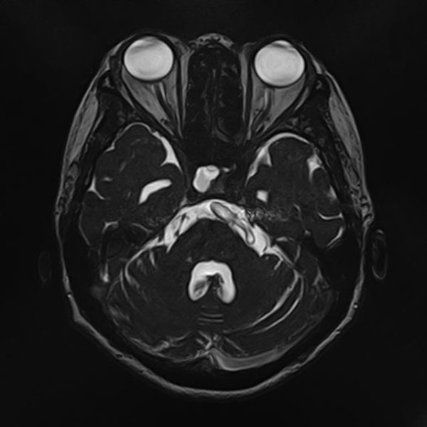
手術中
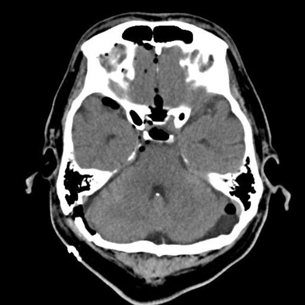
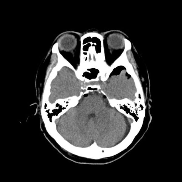
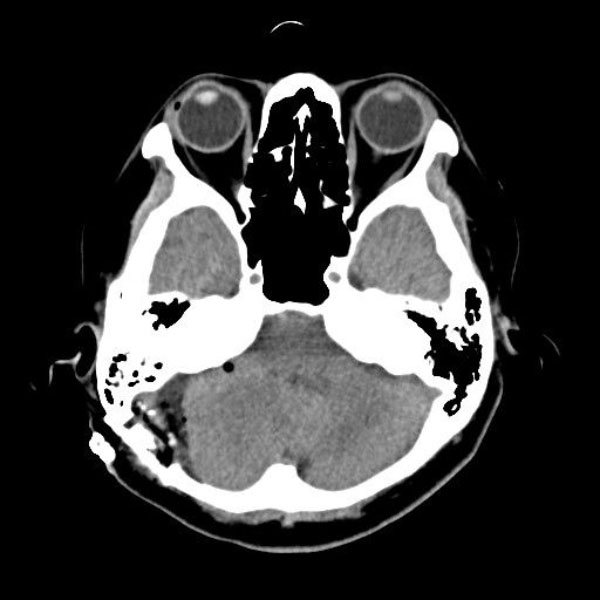
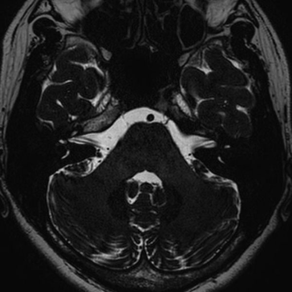
処置前
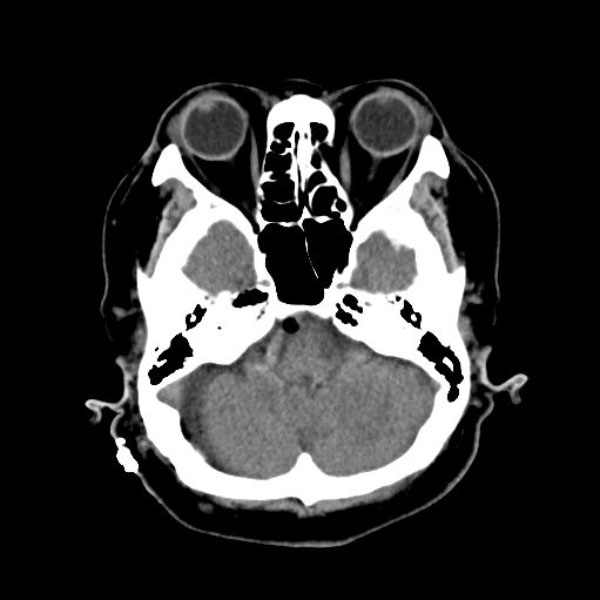
処置後
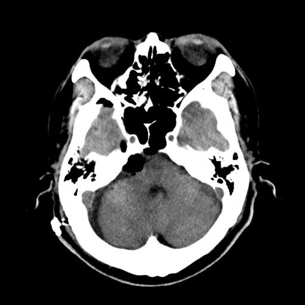
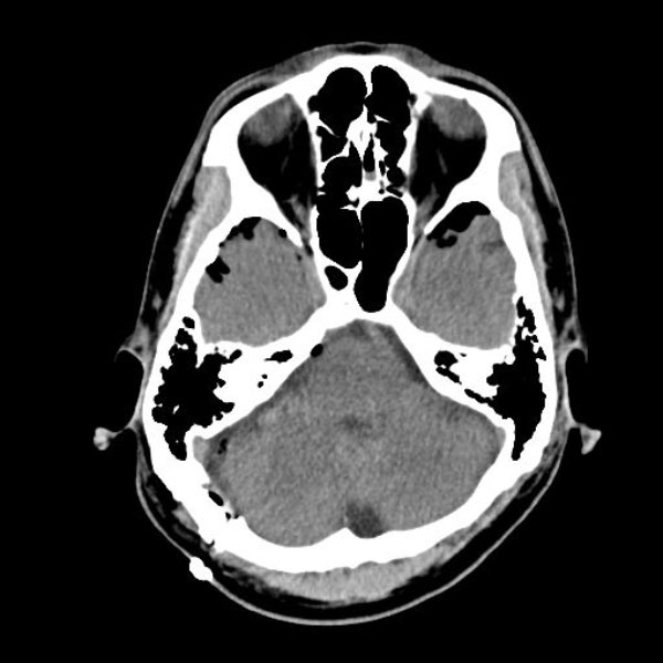
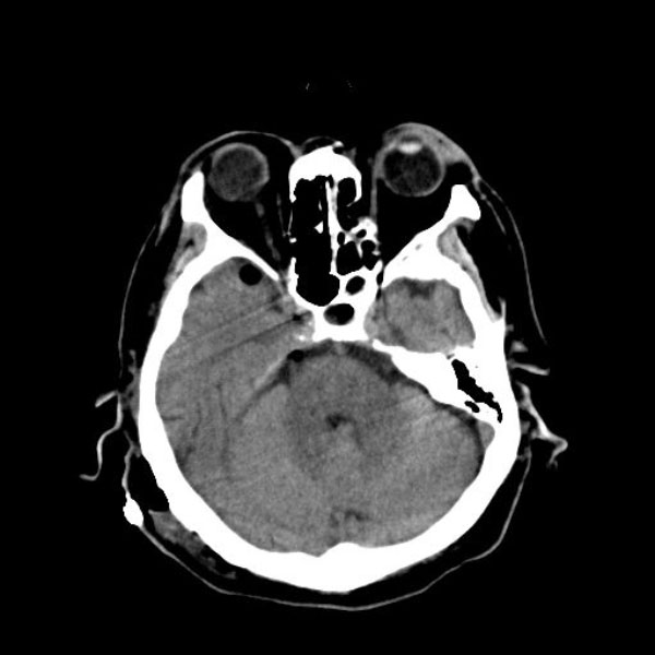
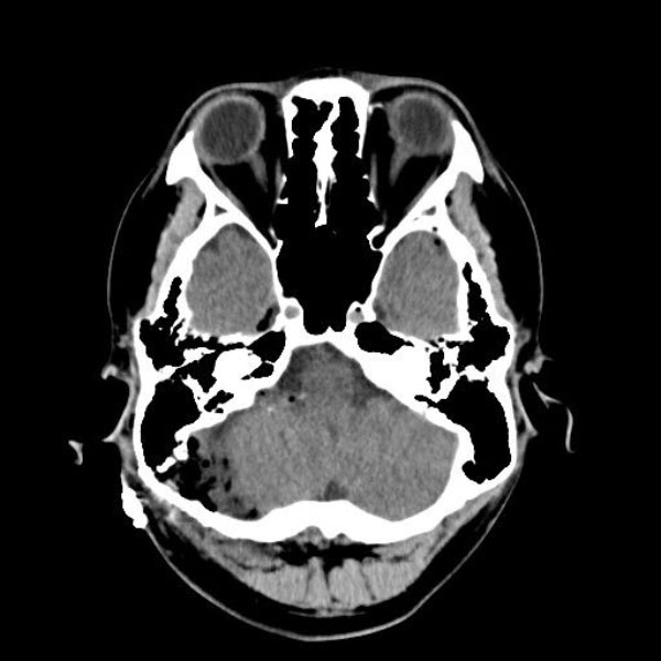
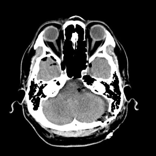
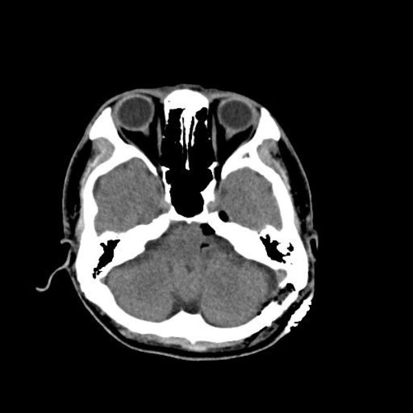
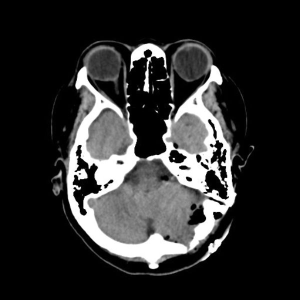
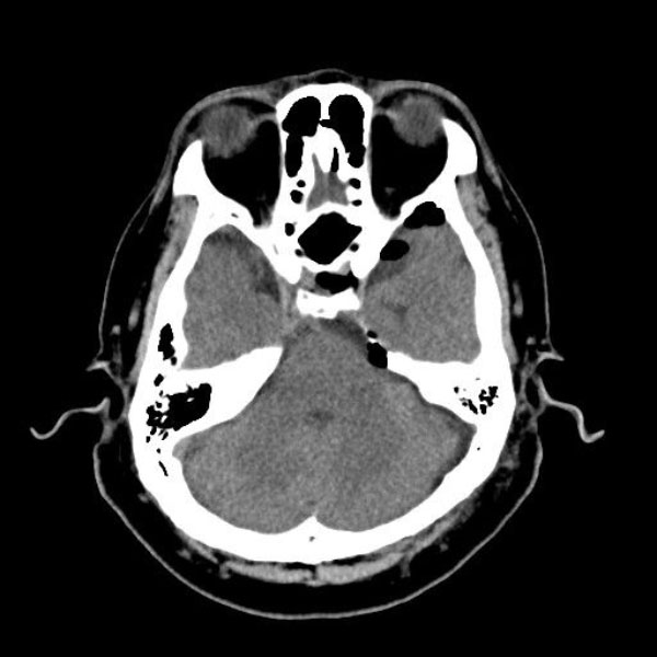
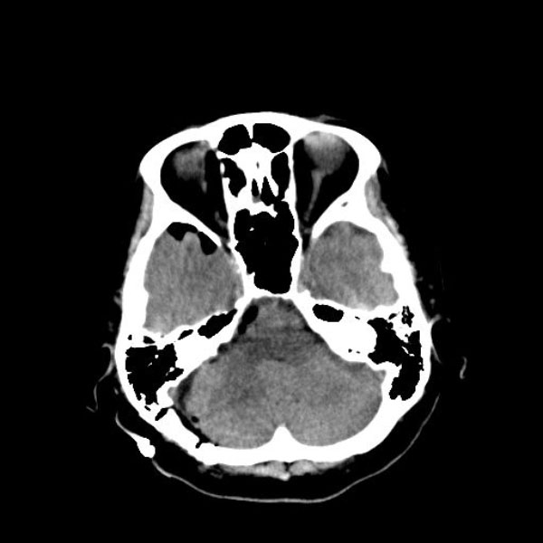
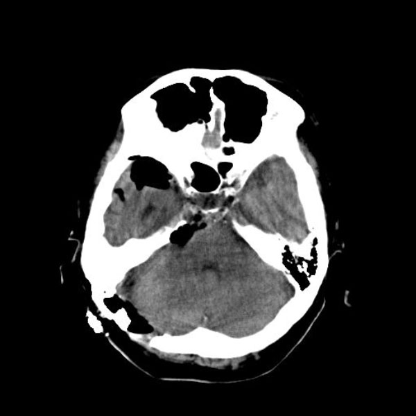
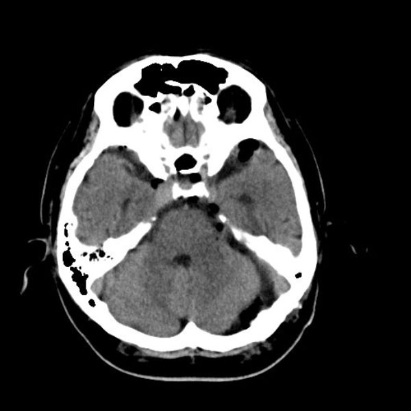
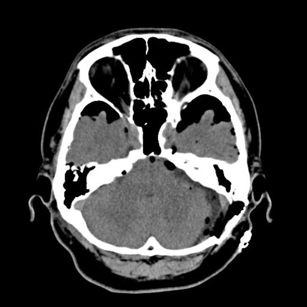
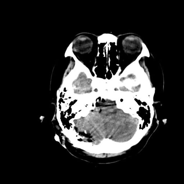
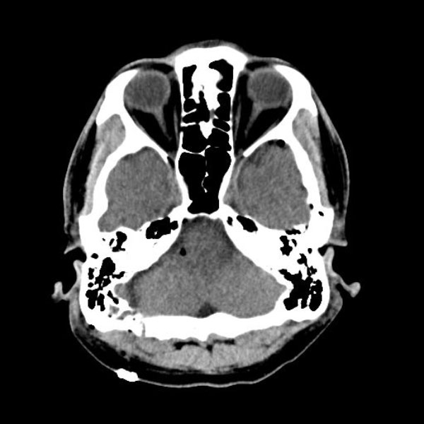
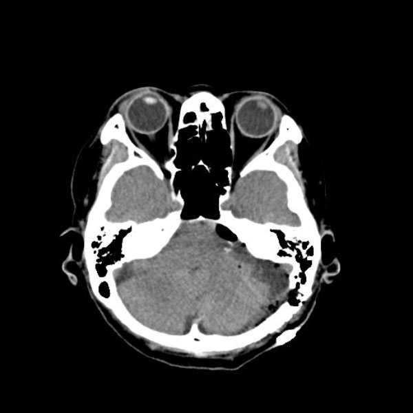
手術後
(CT)
590
 '26年4月
60代
三叉神経痛第3枝領域
(顔面の痛みをとること)
当院外来
589
 '26年4月
70代
左三叉神経痛
(顔面の痛みをとること)
当院外来
588
 '26年4月
40代
右三叉神経痛
(顔面の痛みをとること)
京都府の病院
587
 '26年4月
50代
左顔面痙攣
(痙攣をとること)
大阪府の病院
586
 '26年4月
50代
右顔面痙攣
(痙攣をとること)
大阪府の病院
585
 '26年3月
40代
左顔面痙攣
(痙攣をとること)
大阪府の病院
584
 '26年3月
50代
三叉神経痛第3枝領域
(顔面の痛みをとること)
奈良県の病院
583
 '26年3月
30代
左三叉神経痛
(顔面の痛みをとること)
奈良県の病院
582
 '26年3月
50代
左三叉神経痛
(顔面の痛みをとること)
大阪府の病院
581
 '26年3月
40代
左顔面痙攣
(痙攣をとること)
大阪府の病院
580
 '26年2月
70代
右三叉神経痛
(顔面の痛みをとること)
兵庫県の病院
579
 '26年2月
40代
右三叉神経痛
(顔面の痛みをとること)
大阪府の病院
578
 '26年2月
60代
右三叉神経痛
(顔面の痛みをとること)
当院外来
577
 '26年2月
40代
右顔面痙攣
(痙攣をとること)
大阪府の病院
576
 '26年2月
40代
左三叉神経痛
(顔面の痛みをとること)
大阪府の病院
575
 '26年1月
40代
左三叉神経痛
(顔面の痛みをとること)
大阪府の病院
574
 '26年1月
50代
左顔面痙攣症
(痙攣をとること)
奈良県の病院
573
 '26年1月
70代
三叉神経痛第2・3枝領域
(顔面の痛みをとること)
大阪府の病院
572
 '26年1月
70代
右三叉神経痛
(顔面の痛みをとること)
兵庫県の病院
571
 '26年1月
50代
右顔面痙攣
(痙攣をとること)
大阪府の病院
570
 '25年12月
40代
左三叉神経痛
(顔面の痛みをとること)
当院外来
569
 '25年12月
60代
左顔面痙攣
(痙攣をとること)
大阪府の病院
568
 '25年12月
60代
左顔面痙攣
(痙攣をとること)
大阪府の病院
567
 '25年12月
50代
三叉神経痛第2枝領域
(顔面の痛みをとること)
大阪府の病院
566
 '25年12月
50代
左顔面痙攣
(痙攣をとること)
当院外来
565
 '25年11月
60代
右顔面痙攣
(痙攣をとること)
当院外来
564
 '25年11月
50代
三叉神経痛第2枝領域
(顔面の痛みをとること)
大阪府の病院
563
 '25年11月
50代
左三叉神経痛
(顔面の痛みをとること)
大阪府の病院
562
 '25年11月
50代
右顔面痙攣
(痙攣をとること)
大阪府の病院
561
 '25年11月
40代
三叉神経痛
(顔面の痛みをとること)
大阪府の病院
560
 '25年11月
50代
右顔面痙攣
(痙攣をとること)
大阪府の病院
559
 '25年10月
50代
左顔面痙攣
(痙攣をとること)
当院外来
558
 '25年10月
60代
左顔面痙攣
(痙攣をとること)
当院外来
557
 '25年10月
20代
右顔面痙攣
(痙攣をとること)
大阪府の病院
556
 '25年10月
50代
三叉神経痛第1・2枝領域
(顔面の痛みをとること)
当院外来
555
 '25年10月
50代
右三叉神経痛
(顔面の痛みをとること)
当院外来
554
 '25年10月
60代
右顔面痙攣
(痙攣をとること)
当院外来
553
 '25年10月
40代
左顔面痙攣
(痙攣をとること)
大阪府の病院
552
 '25年9月
50代
右三叉神経痛
(顔面の痛みをとること)
大阪府の病院
551
 '25年9月
80代
右三叉神経痛
(顔面の痛みをとること)
大阪府の病院
550
 '25年9月
40代
左顔面痙攣
(痙攣をとること)
当院外来
549
 '25年9月
60代
三叉神経痛
(顔面の痛みをとること)
奈良県の病院
548
 '25年9月
60代
右顔面痙攣
(痙攣をとること)
当院外来
547
 '25年8月
70代
左三叉神経痛
(顔面の痛みをとること)
大阪府の病院
546
 '25年7月
40代
左顔面痙攣
(痙攣をとること)
大阪府の病院
545
 '25年7月
20代
左顔面痙攣
(痙攣をとること)
兵庫県の病院
544
 '25年7月
50代
左三叉神経痛
(顔面の痛みをとること)
和歌山県の病院
543
 '25年7月
40代
右顔面痙攣
(痙攣をとること)
長崎県の病院
542
 '25年7月
40代
左三叉神経痛
(顔面の痛みをとること)
奈良県の病院
541
 '25年6月
60代
左三叉神経痛
(顔面の痛みをとること)
当院外来
540
 '25年6月
50代
右顔面痙攣
(痙攣をとること)
大阪府の病院
539
 '25年6月
60代
右三叉神経痛
(顔面の痛みをとること)
大阪府の病院
538
 '25年6月
50代
左顔面痙攣
(痙攣をとること)
当院外来
537
 '25年6月
60代
右顔面痙攣
(痙攣をとること)
当院外来
536
 '25年6月
70代
左三叉神経痛
(顔面の痛みをとること)
奈良県の病院
535
 '25年5月
50代
右顔面痙攣
(痙攣をとること)
大阪府の病院
534
 '25年5月
50代
左顔面痙攣
(痙攣をとること)
当院外来
533
 '25年5月
60代
左顔面痙攣
(痙攣をとること)
当院外来
532
 '25年3月
60代
右顔面痙攣
(痙攣をとること)
大阪府の病院
531
 '25年3月
40代
右三叉神経痛
(顔面の痛みをとること)
当院外来
530
 '25年3月
50代
右三叉神経痛第2・3枝領域
(顔面の痛みをとること)
当院外来
529
 '25年3月
50代
右三叉神経痛
(顔面の痛みをとること)
当院外来
528
 '25年3月
50代
左三叉神経痛第2・3枝領域
(顔面の痛みをとること)
兵庫県の病院
527
 '25年2月
10代
右三叉神経痛
(顔面の痛みをとること)
当院外来
526
 '25年2月
60代
三叉神経痛
(顔面の痛みをとること)
当院外来
525
 '25年2月
40代
右三叉神経痛
(顔面の痛みをとること)
奈良県の病院
524
 '25年2月
60代
三叉神経痛第2枝領域
(顔面の痛みをとること)
大阪府の病院
523
 '25年2月
60代
左顔面痙攣
(痙攣をとること)
大阪府の病院
522
 '25年1月
50代
左側顔面痙攣
(痙攣をとること)
当院外来
521
 '24年12月
50代
右側三叉神経痛
(顔面の痛みをとること)
大阪府の病院
520
 '24年12月
30代
左顔面痙攣
(痙攣をとること)
大阪府の病院
519
 '24年12月
60代
右顔面痙攣
(痙攣をとること)
当院外来
518
 '24年12月
40代
左三叉神経痛
(顔面の痛みをとること)
大阪府の病院
517
 '24年11月
40代
右三叉神経痛
(顔面の痛みをとること)
沖縄県の病院
516
 '24年11月
50代
左三叉神経痛
(顔面の痛みをとること)
大阪府の病院
515
 '24年11月
40代
左顔面痙攣
(痙攣をとること)
大阪府の病院
514
 '24年11月
50代
左顔面痙攣
(痙攣をとること)
当院外来
513
 '24年11月
40代
右三叉神経痛
(顔面の痛みをとること)
大阪府の病院
512
 '24年10月
70代
左三叉神経痛
(顔面の痛みをとること)
大阪府の病院
511
 '24年9月
30代
左顔面痙攣
(痙攣をとること)
大阪府の病院
510
 '24年9月
80代
短時間持続性片側神経痛様頭痛発作
(顔面の痛みをとること)
京都府の病院
509
 '24年9月
30代
右三叉神経痛
(顔面の痛みをとること)
京都府の病院
508
 '24年8月
60代
左三叉神経痛
(顔面の痛みをとること)
当院外来
507
 '24年8月
40代
左顔面痙攣
(痙攣をとること)
当院外来
506
 '24年8月
70代
右三叉神経痛
(顔面の痛みをとること)
大阪府の病院
505
 '24年8月
50代
右三叉神経痛
(顔面の痛みをとること)
当院外来
504
 '24年8月
70代
右三叉神経痛
(顔面の痛みをとること)
三重県の病院
503
 '24年7月
50代
左三叉神経痛
(顔面の痛みをとること)
和歌山県の病院
502
 '24年6月
60代
左顔面痙攣
(痙攣をとること)
当院外来
501
 '24年6月
60代
三叉神経痛第1・2枝領域
(顔面の痛みをとること)
静岡県の病院
500
 '24年6月
40代
三叉神経痛第2枝領域
(顔面の痛みをとること)
奈良県の病院
499
 '24年6月
30代
三叉神経痛
(顔面の痛みをとること)
大阪府の病院
498
 '24年6月
60代
左顔面痙攣
(痙攣をとること)
大阪府の病院
497
 '24年5月
40代
右三叉神経痛第3枝領域
(顔面の痛みをとること)
大阪府の病院
496
 '24年5月
60代
右三叉神経痛
(顔面の痛みをとること)
大阪府の病院
495
 '24年4月
20代
左三叉神経痛第3枝領域
(顔面の痛みをとること)
当院外来
494
 '24年3月
70代
三叉神経痛第3枝領域
(顔面の痛みをとること)
大阪府の病院
493
 '24年3月
50代
右顔面痙攣
(痙攣をとること)
大阪府の病院
492
 '24年2月
50代
三叉神経痛
(顔面の痛みをとること)
大阪府の病院
491
 '24年2月
70代
左顔面痙攣症
(痙攣をとること)
大阪府の病院
490
 '24年2月
50代
右顔面痙攣
(痙攣をとること)
大阪府の病院
489
 '24年1月
50代
右三叉神経痛
(顔面の痛みをとること)
当院外来
488
 '23年12月
10代
右三叉神経痛
(顔面の痛みをとること)
大阪府の病院
487
 '23年12月
60代
右顔面痙攣
(痙攣をとること)
当院外来
486
 '23年12月
70代
右三叉神経痛
(顔面の痛みをとること)
兵庫県の病院
485
 '23年11月
60代
左顔面痙攣
(痙攣をとること)
兵庫県の病院
484
 '23年11月
60代
三叉神経痛
(顔面の痛みをとること)
大阪府の病院
483
 '23年11月
50代
三叉神経痛第3枝領域
(顔面の痛みをとること)
大阪府の病院
482
 '23年10月
50代
左顔面痙攣
(痙攣をとること)
大阪府の病院
481
 '23年10月
40代
右顔面痙攣
(痙攣をとること)
当院外来
480
 '23年9月
30代
右三叉神経痛
(顔面の痛みをとること)
奈良県の病院
479
 '23年9月
60代
三叉神経痛
(顔面の痛みをとること)
大阪府の病院
478
 '23年8月
40代
左顔面痙攣
(痙攣をとること)
当院外来
477
 '23年8月
50代
左三叉神経痛
(顔面の痛みをとること)
大阪府の病院
476
 '23年8月
70代
左顔面痙攣
(痙攣をとること)
大阪府の病院
475
 '23年8月
40代
左顔面痙攣
(痙攣をとること)
大阪府の病院
474
 '23年8月
40代
右顔面痙攣
(痙攣をとること)
大阪府の病院
473
 '23年7月
40代
三叉神経痛
(顔面の痛みをとること)
兵庫県の病院
472
 '23年7月
70代
左顔面痙攣
(痙攣をとること)
当院外来
471
 '23年7月
40代
左顔面痙攣
(痙攣をとること)
大阪府の病院
470
 '23年7月
50代
右顔面痙攣
(痙攣をとること)
当院外来
469
 '23年6月
30代
右三叉神経痛
(顔面の痛みをとること)
大阪府の病院
468
 '23年6月
50代
右顔面痙攣
(痙攣をとること)
大阪府の病院
467
 '23年5月
40代
左三叉神経痛
(顔面の神経痛をとること)
当院外来
466
 '23年5月
60代
左側三叉神経痛
(顔面の痛みをとること)
大阪府の病院
465
 '23年5月
50代
右血管芽細胞腫
(顔面の痛みと腫瘍をとること)
大阪府の病院
464
 '23年4月
60代
左顔面痙攣症
(痙攣をとること)
大阪府の病院
463
 '23年4月
40代
左顔面痙攣
(痙攣をとること)
当院外来
462
 '23年4月
50代
左顔面痙攣
(痙攣をとること)
当院外来
461
 '23年3月
70代
左三叉神経痛
(顔面の痛みをとること)
大阪府の病院
460
 '23年3月
40代
左三叉神経痛
(顔面の痛みをとること)
当院外来
459
 '23年3月
60代
右顔面痙攣
(痙攣をとること)
当院外来
458
 '23年3月
20代
左顔面痙攣
(顔面の痛みをとること)
大阪府の病院
457
 '23年3月
60代
左顔面痙攣
(顔面の痛みをとること)
大阪府の病院
456
 '23年3月
30代
右三叉神経痛
(顔面の痛みをとること)
大阪府の病院
455
 '23年2月
50代
左顔面痙攣
(顔面の痛みをとること)
大阪府の病院
454
 '23年2月
50代
右三叉神経痛第2枝領域
(顔面の痛みをとること)
当院外来
453
 '23年2月
50代
右三叉神経痛
(顔面の痛みをとること)
大阪府の病院
452
 '23年2月
60代
左三叉神経痛
(顔面の痛みをとること)
当院外来
451
 '23年2月
40代
左顔面痙攣
(痙攣をとること)
当院外来
450
 '23年1月
60代
右顔面痙攣
(痙攣をとること)
大阪府の病院
449
 '23年1月
50代
左三叉神経痛
(顔面の痛みをとること)
兵庫県の病院
448
 '23年1月
40代
右顔面痙攣
(痙攣をとること)
大阪府の病院
447
 '23年1月
60代
右三叉神経痛
(顔面の痛みをとること)
兵庫県の病院
446
 '22年12月
50代
左顔面痙攣
(痙攣をとること)
大阪府の病院
445
 '22年12月
60代
右三叉神経痛
(顔面の痛みをとること)
大阪府の病院
444
 '22年11月
30代
右顔面痙攣
(痙攣をとること)
当院外来
443
 '22年11月
60代
左三叉神経痛
(顔面の痛みをとること)
大阪府の病院
442
 '22年11月
60代
左顔面痙攣
(痙攣をとること)
大阪府の病院
441
 '22年10月
70代
右三叉神経痛第3枝領域
(顔面の痛みをとること)
奈良県の病院
440
 '22年10月
40代
右三叉神経痛
(顔面の痛みをとること)
大阪府の病院
439
 '22年10月
40代
左顔面痙攣
(痙攣をとること)
当院外来
438
 '22年9月
60代
左顔面痙攣
(痙攣をとること)
大阪府の病院
437
 '22年9月
70代
右三叉神経・自律神経性頭痛
(顔面の痛みをとること)
大阪府の病院
436
 '22年8月
60代
左再発顔面痙攣
(痙攣をとること)
大阪府の病院
435
 '22年8月
60代
左顔面痙攣
(痙攣をとること)
当院外来
434
 '22年8月
60代
左顔面痙攣
(痙攣をとること)
当院外来
433
 '22年8月
60代
右顔面痙攣
(痙攣をとること)
大阪府の病院
432
 '22年7月
70代
左三叉神経痛
(顔面の痛みをとること)
当院外来
431
 '22年7月
60代
右顔面痙攣
(痙攣をとること)
当院外来
430
 '22年7月
50代
左顔面痙攣
(痙攣をとること)
当院外来
429
 '22年7月
70代
左顔面痙攣
(痙攣をとること)
当院外来
428
 '22年6月
70代
右三叉神経痛
(顔面の痛みをとること)
大阪府の病院
427
 '22年6月
70代
右顔面痙攣症
(痙攣をとること)
大阪府の病院
426
 '22年6月
50代
右顔面痙攣
(痙攣をとること)
大阪府の病院
425
 '22年6月
30代
右三叉神経痛
(顔面の痛みをとること)
兵庫県の病院
424
 '22年5月
40代
左三叉神経痛
(顔面の痛みをとること)
当院外来
423
 '22年5月
40代
右三叉神経痛
(顔面の痛みをとること)
大阪府の病院
422
 '22年5月
60代
左三叉神経痛
(顔面の痛みをとること)
大阪府の病院
421
 '22年3月
30代
右三叉神経痛
(顔面の痛みをとること)
兵庫県の病院
420
 '22年3月
50代
左顔面痙攣
(痙攣をとること)
当院外来
419
 '22年3月
60代
右三叉神経痛
(顔面の痛みをとること)
大阪府の病院
418
 '22年2月
40代
左三叉神経痛
(顔面の痛みをとること)
当院外来
417
 '21年12月
50代
右顔面痙攣
(痙攣をとること)
当院外来
416
 '21年12月
70代
右顔面痙攣
(痙攣をとること)
大阪府の病院
415
 '21年12月
50代
左三叉神経痛
(顔面の痛みをとること)
大阪府の病院
414
 '21年11月
40代
右三叉神経痛
(顔面の痛みをとること)
兵庫県の病院
413
 '21年10月
70代
左側三叉神経痛
(顔面の痛みをとること)
大阪府の病院
412
 '21年10月
50代
右顔面痙攣
(痙攣をとること)
当院外来
411
 '21年9月
60代
右三叉神経痛
(顔面の痛みをとること)
大阪府の病院
410
 '21年9月
30代
左三叉神経痛
(顔面の痛みをとること)
兵庫県の病院
409
 '21年8月
60代
右側顔面痙攣
(痙攣をとること)
当院外来
408
 '21年8月
40代
左三叉神経痛
(顔面の痛みをとること)
大阪府の病院
407
 '21年7月
50代
右顔面痙攣
(痙攣をとること)
奈良県の病院
406
 '21年6月
40代
左顔面痙攣
(痙攣をとること)
大阪府の病院
405
 '21年5月
40代
右顔面痙攣
(痙攣をとること)
兵庫県の病院
404
 '21年4月
70代
左三叉神経痛
(顔面の痛みをとること)
当院外来
403
 '21年4月
40代
右顔面痙攣
(痙攣をとること)
大阪府の病院
402
 '21年3月
70代
右三叉神経痛第2枝領域
(顔面の痛みをとること)
大阪府の病院
401
 '21年3月
60代
左眼瞼痙攣
(痙攣をとること)
当院外来
400
 '21年3月
60代
右顔面痙攣
(痙攣をとること)
大阪府の病院
399
 '21年3月
80代
右三叉神経痛第1・2枝領域
(顔面の痛みをとること)
当院外来
398
 '21年2月
60代
三叉神経痛
(顔面の痛みをとること)
当院外来
397
 '21年2月
60代
三叉神経痛
(顔面の痛みをとること)
当院外来
396
 '21年1月
50代
顔面痙攣
(痙攣をとること)
大阪府の病院
395
 '20年12月
60代
三叉神経痛
(顔面の痛みをとること)
大阪府の病院
394
 '20年12月
60代
顔面痙攣
(痙攣をとること)
大阪府の病院
393
 '20年10月
40代
顔面痙攣
(痙攣をとること)
大阪府の病院
392
 '20年10月
50代
三叉神経痛
(顔面の痛みをとること)
当院外来
391
 '20年9月
70代
左三叉神経痛
(顔面の痛みをとること)
当院外来
390
 '20年8月
10代
顔面痙攣症
(痙攣をとること)
大阪府の病院
389
 '20年6月
30代
顔面痙攣症
(痙攣をとること)
当院外来
388
 '20年4月
60代
左顔面痙攣
(痙攣をとること)
当院外来
387
 '20年3月
20代
顔面痙攣症
(痙攣をとること)
大阪府の病院
386
 '20年3月
50代
顔面痙攣
(痙攣をとること)
大阪府の病院
385
 '20年3月
70代
顔面痙攣
(痙攣をとること)
当院外来
384
 '20年2月
10代
三叉神経痛
(顔面の痛みをとること)
大阪府の病院
383
 '20年2月
40代
顔面痙攣
(痙攣をとること)
兵庫県の病院
382
 '20年1月
60代
右顔面痙攣
(痙攣をとること)
当院外来
381
 '19年12月
60代
三叉神経痛
(顔面の痛みをとること)
当院外来
380
 '19年12月
60代
左顔面痙攣
(痙攣をとること)
大阪府の病院
379
 '19年11月
70代
三叉神経痛
(顔面の痛みをとること)
大阪府の病院
378
 '19年11月
40代
右顔面痙攣
(痙攣をとること)
大阪府の病院
377
 '19年11月
70代
三叉神経痛
(顔面の痛みをとること)
大阪府の病院
376
 '19年10月
20代
三叉神経痛
(顔面の痛みをとること)
当院外来
375
 '19年10月
60代
三叉神経痛第3枝領域
(顔面の痛みをとること)
大阪府の病院
374
 '19年10月
30代
顔面痙攣
(痙攣をとること)
和歌山県の病院
373
 '19年9月
60代
右小脳橋角部腫瘍
(腫瘍をとること)
当院外来
372
 '19年9月
50代
左三叉神経痛
(顔面の痛みをとること)
兵庫県の病院
371
 '19年8月
60代
右三叉神経痛
(顔面の痛みをとること)
大阪府の病院
370
 '19年8月
70代
右三叉神経痛
(顔面の痛みをとること)
当院外来
369
 '19年8月
70代
三叉神経痛
(顔面の痛みをとること)
大阪府の病院
368
 '19年8月
70代
右顔面痙攣
(痙攣をとること)
当院外来
367
 '19年6月
50代
三叉神経痛
(顔面の痛みをとること)
大阪府の病院
366
 '19年6月
70代
三叉神経痛
(顔面の痛みをとること)
大阪府の病院
365
 '19年6月
40代
三叉神経痛
(顔面の痛みをとること)
大阪府の病院
364
 '19年6月
30代
左顔面痙攣
(痙攣をとること)
当院外来
363
 '19年5月
20代
左顔面痙攣
(痙攣をとること)
大阪府の病院
362
 '19年4月
40代
顔面痙攣
(痙攣をとること)
当院外来
361
 '19年4月
50代
顔面痙攣
(痙攣をとること)
京都府の病院
360
 '19年4月
70代
左顔面痙攣
(痙攣をとること)
大阪府の病院
359
 '19年3月
40代
顔面痙攣症
(痙攣をとること)
当院外来
358
 '18年11月
40代
右顔面痙攣
(痙攣をとること)
当院外来
357
 '18年11月
40代
三叉神経痛
(顔面の痛みをとること)
大阪府の病院
356
 '18年10月
30代
顔面痙攣
(痙攣をとること)
大阪府の病院
355
 '18年10月
50代
三叉神経痛
(顔面の痛みをとること)
当院外来
354
 '18年9月
80代
顔面痙攣
(痙攣をとること)
当院外来
353
 '18年8月
30代
顔面痙攣
(痙攣をとること)
大阪府の病院
352
 '18年8月
80代
三叉神経痛
(顔面の痛みをとること)
大阪府の病院
351
 '18年8月
70代
右三叉神経痛
(顔面の痛みをとること)
当院外来
350
 '18年8月
70代
右顔面痙攣
(痙攣をとること)
大阪府の病院
349
 '18年6月
70代
右顔面痙攣
(痙攣をとること)
当院外来
348
 '18年6月
50代
右顔面痙攣
(痙攣をとること)
当院外来
347
 '18年6月
60代
顔面痙攣
(痙攣をとること)
当院外来
346
 '18年5月
50代
左顔面痙攣
(痙攣をとること)
大阪府の病院
345
 '18年5月
60代
三叉神経痛
(顔面の痛みをとること)
当院外来
344
 '18年4月
60代
右顔面痙攣
(痙攣をとること)
当院外来
343
 '18年4月
40代
左顔面痙攣
(痙攣をとること)
当院外来
342
 '18年3月
80代
三叉神経痛
(顔面の痛みをとること)
当院外来
341
 '18年3月
80代
三叉神経痛
(顔面の痛みをとること)
当院外来
340
 '18年2月
70代
左三叉神経痛
(顔面の痛みをとること)
大阪府の病院
339
 '18年1月
60代
三叉神経痛
(顔面の痛みをとること)
大阪府の病院
338
 '17年12月
50代
左顔面痙攣
(痙攣をとること)
当院外来
337
 '17年12月
50代
三叉神経痛
(顔面の痛みをとること)
当院外来
336
 '17年12月
60代
左顔面痙攣
(痙攣をとること)
大阪府の病院
335
 '17年11月
60代
左顔面痙攣
(痙攣をとること)
当院外来
334
 '17年11月
70代
三叉神経痛
(顔面の痛みをとること)
大阪府の病院
333
 '17年10月
60代
顔面痙攣症
(痙攣をとること)
大阪府の病院
332
 '17年9月
70代
三叉神経痛第3枝領域
(顔面の痛みをとること)
当院外来
331
 '17年9月
50代
三叉神経痛第3枝領域
(顔面の痛みをとること)
当院外来
330
 '17年8月
40代
顔面神経麻痺
(麻痺をとること)
当院外来
329
 '17年8月
50代
顔面痙攣症
(痙攣をとること)
当院外来
328
 '17年7月
20代
三叉神経痛
(顔面の痛みをとること)
大阪府の病院
327
 '17年7月
60代
三叉神経痛
(顔面の痛みをとること)
当院外来
326
 '17年6月
80代
左三叉神経痛
(顔面の痛みをとること)
当院外来
325
 '17年6月
70代
三叉神経痛
(顔面の痛みをとること)
大阪府の病院
324
 '17年6月
70代
顔面痙攣症
(痙攣をとること)
当院外来
323
 '17年5月
60代
左三叉神経痛
(顔面の痛みをとること)
大阪府の病院
322
 '17年5月
70代
三叉神経痛
(顔面の痛みをとること)
大阪府の病院
321
 '17年5月
70代
左三叉神経痛
(顔面の痛みをとること)
大阪府の病院
320
 '17年5月
60代
右顔面痙攣症
(痙攣をとること)
当院外来
319
 '17年4月
50代
左顔面痙攣症
(痙攣をとること)
大阪府の病院
318
 '17年4月
60代
顔面痙攣
(痙攣をとること)
奈良県の病院
317
 '17年3月
60代
三叉神経痛
(顔面の痛みをとること)
当院外来
316
 '17年3月
60代
顔面痙攣
(痙攣をとること)
大阪府の病院
315
 '17年3月
60代
左顔面痙攣
(痙攣をとること)
京都府の病院
314
 '17年2月
30代
右片側顔面痙攣
(痙攣をとること)
大阪府の病院
313
 '17年2月
70代
三叉神経痛
(顔面の痛みをとること)
大阪府の病院
312
 '17年1月
60代
三叉神経痛
(顔面の痛みをとること)
大阪府の病院
311
 '16年11月
30代
舌咽神経痛
(顔面の痛みをとること)
大阪府の病院
310
 '16年11月
40代
顔面痙攣
(痙攣をとること)
当院外来
309
 '16年10月
50代
三叉神経痛
(顔面の痛みをとること)
当院外来
308
 '16年10月
70代
顔面痙攣
(痙攣をとること)
大阪府の病院
307
 '16年9月
60代
右顔面痙攣
(痙攣をとること)
当院外来
306
 '16年8月
50代
顔面痙攣 三叉神経痛
(痙攣をとること、顔面の痛みをとること)
当院外来
305
 '16年8月
50代
顔面痙攣
(痙攣をとること)
当院外来
304
 '16年8月
30代
顔面痙攣症
(痙攣をとること)
兵庫県の病院
303
 '16年7月
40代
顔面痙攣症
(痙攣をとること)
大阪府の病院
302
 '16年7月
70代
左三叉神経痛
(顔面の痛みをとること)
大阪府の病院
301
 '16年6月
50代
顔面痙攣
(痙攣をとること)
福井県の病院
300
 '16年6月
70代
三叉神経痛
(顔面の痛みをとること)
大阪府の病院
299
 '16年6月
50代
顔面痙攣
(痙攣をとること)
福井県の病院
298
 '16年5月
30代
顔面痙攣症
(痙攣をとること)
当院外来
297
 '16年5月
40代
右顔面痙攣
(痙攣をとること)
兵庫県の病院
296
 '16年4月
30代
顔面痙攣症
(痙攣をとること)
大阪府の病院
295
 '16年4月
30代
顔面痙攣症
(痙攣をとること)
兵庫県の病院
294
 '16年4月
20代
三叉神経痛
(顔面の痛みをとること)
大阪府の病院
293
 '16年3月
60代
顔面痙攣症
(痙攣をとること)
兵庫県の病院
292
 '16年3月
60代
右顔面痙攣
(痙攣をとること)
大阪府の病院
291
 '16年2月
60代
顔面痙攣
(痙攣をとること)
大阪府の病院
290
 '16年2月
60代
顔面痙攣
(痙攣をとること)
当院外来
289
 '16年1月
60代
顔面麻痺
(痙攣をとること)
当院外来
288
 '16年1月
50代
顔面痙攣症
(痙攣をとること)
大阪府の病院
287
 '16年1月
40代
三叉神経痛
(顔面の痛みをとること)
当院外来
286
 '15年12月
50代
右顔面痙孿
(痙攣をとること)
大阪府の病院
285
 '15年12月
50代
三叉神経痛
(顔面の痛みをとること)
当院外来
284
 '15年12月
50代
顔面痙攣症
(痙攣をとること)
大阪府の病院
283
 '15年11月
30代
顔面痙攣症
(痙攣をとること)
大阪府の病院
282
 '15年11月
40代
顔面痙攣
(痙攣をとること)
奈良県の病院
281
 '15年10月
60代
顔面痙攣症
(痙攣をとること)
当院外来
280
 '15年11月
30代
左顔面痙攣
(痙攣をとること)
当院外来
279
 '15年8月
30代
顔面痙攣症
(痙攣をとること)
大阪府の病院
278
 '15年8月
30代
左顔面痙攣症
(痙攣をとること)
当院外来
277
 '15年8月
50代
顔面痙攣症
(痙攣をとること)
大阪府の病院
276
 '15年8月
50代
三叉神経痛
(顔面の痛みをとること)
大阪府の病院
275
 '15年7月
60代
顔面痙攣症
(痙攣をとること)
当院外来
274
 '15年7月
50代
三叉神経痛
(顔面の痛みをとること)
大阪府の病院
273
 '15年6月
40代
顔面痙攣
(痙攣をとること)
当院外来
272
 '15年6月
50代
舌咽神経痛
(顔面の痛みをとること)
当院外来
271
 '15年6月
40代
顔面痙攣症
(痙攣をとること)
当院外来
270
 '15年6月
50代
顔面痙攣症
(痙攣をとること)
大阪府の病院
269
 '15年4月
70代
三叉神経痛
(顔面の痛みをとること)
大阪府の病院
268
 '15年4月
30代
顔面痙攣
(痙攣をとること)
当院外来
267
 '15年4月
60代
左顔面痙攣
(痙攣をとること)
当院外来
266
 '15年2月
60代
左三叉神経痛
(顔面の痛みをとること)
大阪府の病院
265
 '15年2月
60代
三叉神経痛
(顔面の痛みをとること)
当院外来
264
 '15年2月
70代
三叉神経痛
(顔面の痛みをとること)
大阪府の病院
263
 '15年1月
60代
左顔面痙攣
(痙攣をとること)
大阪府の病院
262
 '14年12月
70代
左顔面痙攣
(痙攣をとること)
大阪府の病院
261
 '14年12月
40代
右三叉神経痛
(顔面の痛みをとること)
当院外来
260
 '14年11月
20代
右顔面痙攣
(痙攣をとること)
当院外来
259
 '14年10月
70代
舌咽神経痛
(顔面の痛みをとること)
当院外来
258
 '14年10月
70代
三叉神経痛
(顔面の痛みをとること)
大阪府の病院
257
 '14年10月
50代
顔面痙攣
(痙攣をとること)
当院外来
256
 '14年10月
30代
右三叉神経痛
(顔面の痛みをとること)
大阪府の病院
255
 '14年10月
30代
右顔面痙攣
(痙攣をとること)
当院外来
254
 '14年10月
60代
顔面痙攣
(痙攣をとること)
当院外来
253
 '14年10月
70代
右顔面痙攣
(痙攣をとること)
当院外来
252
 '14年8月
60代
左顔面痙攣
(痙攣をとること)
大阪府の病院
251
 '14年7月
70代
三叉神経痛
(顔面の痛みをとること)
大阪府の病院
250
 '14年7月
30代
右顔面痙攣
(痙攣をとること)
大阪府の病院
249
 '14年7月
40代
右顔面痙攣
(痙攣をとること)
大阪府の病院
248
 '14年7月
30代
左顔面痙攣
(痙攣をとること)
大阪府の病院
247
 '14年7月
60代
三叉神経痛
(顔面の痛みをとること)
当院外来
246
 '14年6月
60代
三叉神経痛
(顔面の痛みをとること)
大阪府の病院
245
 '14年5月
40代
右顔面痙攣症
(痙攣をとること)
当院外来
244
 '14年5月
60代
左三叉神経痛
(顔面の痛みをとること)
当院外来
243
 '14年5月
40代
左顔面痙攣
(痙攣をとること)
当院外来
242
 '14年5月
60代
三叉神経痛
(顔面の痛みをとること)
大阪府の病院
241
 '14年4月
40代
左顔面痙攣
(痙攣をとること)
当院外来
240
 '14年4月
50代
左顔面痙攣
(痙攣をとること)
当院外来
239
 '14年4月
60代
左顔面痙攣
(痙攣をとること)
当院外来
238
 '14年2月
50代
左顔面痙攣
(痙攣をとること)
当院外来
237
 '14年2月
60代
顔面痙攣
(痙攣をとること)
当院外来
236
 '14年2月
50代
左顔面痙攣
(痙攣をとること)
当院外来
235
 '14年2月
40代
顔面痙攣
(痙攣をとること)
当院外来
234
 '14年1月
40代
三叉神経痛
(顔面の痛みをとること)
当院外来
233
 '13年12月
40代
右顔面痙攣
(痙攣をとること)
大阪府の病院
232
 '13年12月
60代
三叉神経痛
(顔面の痛みをとること)
当院外来
231
 '13年11月
70代
顔面痙攣
(痙攣をとること)
大阪府の病院
230
 '13年11月
50代
顔面痙攣
(痙攣をとること)
当院外来
229
 '13年11月
50代
右顔面痙攣
(痙攣をとること)
当院外来
228
 '13年11月
40代
顔面痙攣
(痙攣をとること)
当院外来
227
 '13年10月
20代
右顔面痙攣
(痙攣をとること)
当院外来
226
 '13年10月
50代
顔面痙攣
(痙攣をとること)
大阪府の病院
225
 '13年10月
30代
顔面痙攣
(痙攣をとること)
当院外来
224
 '13年10月
60代
右顔面痙攣
(痙攣をとること)
当院外来
223
 '13年9月
70代
三叉神経痛
(顔面の痛みをとること)
大阪府の病院
222
 '13年9月
50代
三叉神経痛
(顔面の痛みをとること)
当院外来
221
 '13年9月
40代
三叉神経痛
(顔面の痛みをとること)
当院外来
220
 '13年9月
70代
顔面痙攣
(痙攣をとること)
大阪府の病院
219
 '13年9月
70代
右顔面痙攣
(痙攣をとること)
大阪府の病院
218
 '13年7月
50代
左三叉神経痛
(顔面の痛みをとること)
奈良県の病院
217
 '13年7月
50代
顔面痙攣
(痙攣をとること)
奈良県の病院
216
 '13年7月
60代
左三叉神経痛第2枝領域
(顔面の痛みをとること)
当院外来
215
 '13年6月
60代
右三叉神経痛第2・3枝領域
(顔面の痛みをとること)
当院外来
214
 '13年5月
60代
顔面痙攣
(痙攣をとること)
大阪府の病院
213
 '13年5月
60代
顔面痙攣
(痙攣をとること)
当院外来
212
 '13年5月
60代
左顔面痙攣
(痙攣をとること)
当院外来
211
 '13年5月
60代
右顔面痙攣
(痙攣をとること)
大阪府の病院
210
 '13年4月
70代
三叉神経痛
(顔面の痛みをとること)
大阪府の病院
209
 '13年4月
40代
右三叉神経痛
(顔面の痛みをとること)
当院外来
208
 '13年4月
50代
左三叉神経痛
(顔面の痛みをとること)
当院外来
207
 '13年3月
70代
右三叉神経痛
(顔面の痛みをとること)
兵庫県の病院
206
 '13年3月
50代
顔面痙攣
(痙攣をとること)
当院外来
205
 '13年2月
50代
顔面痙攣
(痙攣をとること)
沖縄県の病院
204
 '13年2月
60代
左顔面痙攣
(痙攣をとること)
当院外来
203
 '13年2月
30代
右顔面痙攣
(痙攣をとること)
当院外来
202
 '13年2月
50代
顔面痙攣
(痙攣をとること)
当院外来
201
 '13年1月
60代
左三叉神経痛
(顔面の痛みをとること)
当院外来
200
 '13年1月
30代
左顔面痙攣
(痙攣をとること)
当院外来
199
 '12年11月
30代
左顔面痙攣
(痙攣をとること)
当院外来
198
 '12年11月
50代
三叉・舌咽神経痛
(顔面の痛みをとること)
大阪府の病院
197
 '12年10月
50代
右顔面痙攣
(痙攣をとること)
当院外来
196
 '12年10月
70代
右顔面痙攣
(痙攣をとること)
当院外来
195
 '12年9月
50代
顔面痙攣
(痙攣をとること)
当院外来
194
 '12年9月
60代
三叉神経痛
(顔面の痛みをとること)
兵庫県の病院
193
 '12年9月
50代
左三叉神経痛
(顔面の痛みをとること)
和歌山県の病院
192
 '12年9月
30代
左外転神経麻痺
(麻痺をとること)
奈良県の病院
191
 '12年9月
70代
顔面痙攣
(痙攣をとること)
大阪府の病院
190
 '12年9月
60代
三叉神経痛
(顔面の痛みをとること)
当院外来
189
 '12年8月
40代
顔面痙攣
(痙攣をとること)
大阪府の病院
188
 '12年8月
70代
左顔面痙攣
(痙攣をとること)
当院外来
187
 '12年8月
50代
左顔面痙攣
(痙攣をとること)
大阪府の病院
186
 '12年8月
20代
右顔面痙攣
(痙攣をとること)
当院外来
185
 '12年7月
70代
左顔面痙攣麻痺
(顔面の痛み・麻痺をとること)
当院外来
184
 '12年6月
50代
右三叉神経痛
(顔面の痛みをとること)
兵庫県の病院
183
 '12年5月
60代
三叉神経痛
(顔面の痛みをとること)
大阪府の病院
182
 '12年5月
50代
右三叉神経痛
(顔面の痛みをとること)
大阪府の病院
181
 '12年5月
20代
顔面痙攣
(痙攣をとること)
当院外来
180
 '12年4月
60代
顔面痙攣
(痙攣をとること)
大阪府の病院
179
 '12年3月
50代
左顔面痙攣
(痙攣をとること)
大阪府の病院
178
 '12年2月
60代
左三叉神経痛
(顔面の痛みをとること)
当院外来
177
 '12年2月
70代
右三叉神経痛第2・3領域
(顔面の痛みをとること)
大阪府の病院
176
 '11年12月
40代
左顔面痙攣
(痙攣をとること)
当院外来
175
 '11年12月
30代
左顔面痙攣
(痙攣をとること)
大阪府の病院
174
 '11年12月
40代
左顔面痙攣
(痙攣をとること)
当院外来
173
 '11年11月
60代
三叉神経痛
(顔面の痛みをとること)
当院外来
172
 '11年11月
80代
右三叉神経痛
(顔面の痛みをとること)
大阪府の病院
171
 '11年11月
70代
三叉神経痛
(顔面の痛みをとること)
大阪府の病院
170
 '11年10月
60代
顔面痙攣
(痙攣をとること)
当院外来
169
 '11年10月
60代
右三叉神経痛
(顔面の痛みをとること)
当院外来
168
 '11年9月
70代
顔面痙攣
(痙攣をとること)
当院外来
167
 '11年8月
60代
延髄圧迫症侯群
(痙攣をとること)
当院外来
166
 '12年5月
60代
左三叉神経痛
(顔面の痛みをとること)
当院外来
165
 '11年3月
60代
三叉神経痛
(顔面の痛みをとること)
当院外来
164
 '11年3月
60代
右顔面痙攣
(痙攣をとること)
当院外来
163
 '11年2月
70代
右顔面痙攣
(痙攣をとること)
当院外来
162
 '11年1月
70代
三叉神経痛
(顔面の痛みをとること)
大阪府の病院
161
 '10年12月
60代
右顔面痙攣
(痙攣をとること)
当院外来
160
 '10年12月
80代
右三叉神経痛
(顔面の痛みをとること)
当院外来
159
 '10年12月
60代
三叉神経痛
(顔面の痛みをとること)
当院外来
158
 '10年10月
40代
顔面痙攣
(痙攣をとること)
当院外来
157
 '10年9月
60代
右顔面痙攣
(痙攣をとること)
大阪府の病院
156
 '10年8月
60代
三叉神経痛
(顔面の痛みをとること)
当院外来
155
 '10年7月
50代
延髄圧症候群
(痙攣をとること)
島根県の病院
154
 '10年7月
60代
三叉神経痛
(顔面の痛みをとること)
大阪府の病院
153
 '10年7月
40代
顔面痙攣
(痙攣をとること)
徳島県の病院
152
 '10年7月
60代
左顔面痙攣
(痙攣をとること)
当院外来
151
 '10年7月
40代
顔面痙攣
(痙攣をとること)
大阪府の病院
150
 '10年5月
50代
右顔面痙攣
(痙攣をとること)
当院外来
149
 '10年4月
20代
右顔面痙攣
(痙攣をとること)
大阪府の病院
148
 '10年3月
40代
顔面痙攣
(痙攣をとること)
京都府の病院
147
 '10年2月
60代
顔面痙攣
(痙攣をとること)
当院外来
146
 '10年2月
40代
顔面痙攣
(痙攣をとること)
当院外来
145
 '10年1月
60代
顔面痙攣
(痙攣をとること)
当院外来
144
 '10年1月
50代
顔面痙攣
(痙攣をとること)
当院外来
143
 '09年12月
60代
左顔面痙攣
(痙攣をとること)
当院外来
142
 '09年12月
50代
右顔面痙攣
(痙攣をとること)
当院外来
141
 '09年11月
60代
顔面痙攣
(痙攣をとること)
当院外来
140
 '09年11月
50代
右顔面痙攣
(痙攣をとること)
当院外来
139
 '09年10月
30代
右顔面痙攣
(痙攣をとること)
当院外来
138
 '09年10月
40代
右顔面痙攣
(痙攣をとること)
大阪府の病院
137
 '09年9月
50代
右三叉神経痛
(顔面の痛みをとること)
大阪府の病院
136
 '09年9月
50代
右片側顔面神経麻痺
(麻痺をとること)
当院外来
135
 '09年8月
60代
左顔面痙攣
(痙攣をとること)
当院外来
134
 '09年8月
70代
三叉神経痛
(顔面の痛みをとること)
当院外来
133
 '09年8月
50代
右顔面痙攣
(痙攣をとること)
大阪府の病院
132
 '09年7月
60代
右三叉神経痛
(顔面の痛みをとること)
当院外来
131
 '09年7月
70代
右顔面痙攣
(痙攣をとること)
大阪府の病院
130
 '09年7月
50代
三叉神経痛
(顔面の痛みをとること)
大阪府の病院
129
 '09年7月
50代
顔面痙攣
(痙攣をとること)
大阪府の病院
128
 '09年6月
70代
左三叉神経痛
(顔面の痛みをとること)
大阪府の病院
127
 '09年5月
60代
右顔面痙攣
(痙攣をとること)
当院外来
126
 '09年3月
50代
三叉神経痛
(顔面の痛みをとること)
当院外来
125
 '08年12月
30代
左顔面神経麻痺
(麻痺をとること)
大阪府の病院
124
 '08年12月
40代
右顔面痙攣
(痙攣をとること)
当院外来
123
 '08年10月
50代
左顔面痙攣
(痙攣をとること)
当院外来
122
 '08年10月
60代
右三叉神経痛
(顔面の痛みをとること)
大阪府の病院
121
 '08年9月
60代
右顔面痙攣
(痙攣をとること)
奈良県の病院
120
 '08年8月
20代
右顔面痙攣
(痙攣をとること)
当院外来
119
 '08年8月
70代
右顔面痙攣
(痙攣をとること)
大阪府の病院
118
 '08年8月
30代
右顔面痙攣
(痙攣をとること)
大阪府の病院
117
 '08年8月
80代
右顔面痙攣
(痙攣をとること)
当院外来
116
 '08年7月
60代
右三叉神経痛
(顔面の痛みをとること)
当院外来
115
 '08年7月
40代
左顔面痙攣
(痙攣をとること)
大阪府の病院
114
 '08年6月
70代
左顔面痙攣
(痙攣をとること)
大阪府の病院
113
 '08年5月
60代
右三叉神経痛
(顔面の痛みをとること)
当院外来
112
 '08年5月
60代
右三叉神経痛
(顔面の痛みをとること)
大阪府の病院
111
 '08年3月
50代
右三叉神経痛
(顔面の痛みをとること)
兵庫県の病院
110
 '08年3月
70代
右三叉神経痛
(顔面の痛みをとること)
大阪府の病院
109
 '08年3月
40代
左顔面痙攣
(痙攣をとること)
当院外来
108
 '08年1月
20代
右三叉神経痛
(顔面の痛みをとること)
大阪府の病院
107
 '08年1月
50代
右顔面痙攣
(痙攣をとること)
当院外来
106
 '07年12月
40代
顔面痙攣
(痙攣をとること)
当院外来
105
 '07年12月
60代
右顔面痙攣
(痙攣をとること)
大阪府の病院
104
 '07年11月
50代
左顔面痙攣
(痙攣をとること)
大阪府の病院
103
 '07年11月
70代
三叉神経痛
(顔面の痛みをとること)
当院外来
102
 '07年10月
30代
顔面痙攣
(痙攣をとること)
大阪府の病院
101
 '07年10月
60代
右顔面痙攣
(痙攣をとること)
大阪府の病院
100
 '07年9月
70代
右顔面痙攣
(痙攣をとること)
当院外来
99
 '07年9月
50代
左顔面痙攣
(痙攣をとること)
当院外来
98
 '07年8月
50代
左舌咽神経痛
(顔面の痛みをとること)
当院外来
97
 '07年6月
50代
左顔面痙攣
(痙攣をとること)
兵庫県の病院
96
 '07年3月
50代
左三叉神経痛
(顔面の痛みをとること)
当院外来
95
 '07年3月
30代
左顔面痙攣
(痙攣をとること)
当院外来
94
 '07年2月
40代
左顔面痙攣
(痙攣をとること)
当院外来
93
 '07年1月
60代
三叉神経痛
(顔面の痛みをとること)
大阪府の病院
92
 '07年1月
50代
顔面痙攣
(痙攣をとること)
大阪府の病院
91
 '07年1月
50代
右顔面痙攣
(痙攣をとること)
兵庫県の病院
90
 '06年12月
60代
右三叉神経痛
(顔面の痛みをとること)
当院外来
89
 '06年11月
50代
右顔面痙攣
(痙攣をとること)
当院外来
88
 '06年10月
60代
右三叉神経痛
(顔面の痛みをとること)
大阪府の病院
87
 '06年9月
50代
右三叉神経痛
(顔面の痛みをとること)
当院外来
86
 '06年8月
40代
右顔面痙攣
(痙攣をとること)
大阪府の病院
85
 '06年8月
30代
右三叉神経痛
(顔面の痛みをとること)
当院外来
84
 '06年4月
60代
左三又神経痛
(顔面の痛みをとること)
当院外来
83
 '06年3月
60代
三叉神経痛
(顔面の痛みをとること)
当院外来
82
 '06年3月
50代
左顔面痙攣
(痙攣をとること)
当院外来
81
 '06年2月
50代
左三叉神経痛
(顔面の痛みをとること)
大阪府の病院
80
 '06年2月
60代
左顔面痙攣
(痙攣をとること)
大阪府の病院
79
 '05年12月
70代
右顔面痙攣
(痙攣をとること)
当院外来
78
 '05年10月
50代
左顔面痙攣
(痙攣をとること)
大阪府の病院
77
 '05年10月
60代
左顔面痙攣
(痙攣をとること)
大阪府の病院
76
 '05年10月
40代
右顔面痙攣
(痙攣をとること)
当院外来
75
 '05年7月
60代
左顔面痙攣
(痙攣をとること)
当院外来
74
 '05年7月
70代
左三叉神経痛
(顔面の痛みをとること)
当院外来
73
 '05年7月
50代
右顔面痙攣
(痙攣をとること)
当院外来
72
 '05年6月
50代
左顔面痙攣
(痙攣をとること)
当院外来
71
 '05年6月
60代
右顔面痙攣
(痙攣をとること)
大阪府の病院
70
 '05年5月
50代
右顔面痙攣
(痙攣をとること)
当院外来
69
 '05年3月
それ以外
右顔面痙攣
(痙攣をとること)
当院外来
68
 '04年11月
70代
右三叉神経痛
(顔面の痛みをとること)
当院外来
67
 '04年11月
60代
右顔面痙攣
(痙攣をとること)
大阪府の病院
66
 '04年10月
50代
右舌咽神経痛
(顔面の痛みをとること)
当院外来
65
 '04年9月
40代
左三叉神経痛
(顔面の痛みをとること)
当院外来
64
 '04年7月
60代
右三叉神経痛
(顔面の痛みをとること)
当院外来
63
 '04年5月
60代
左顔面痙攣
(痙攣をとること)
当院外来
62
 '04年4月
60代
左三叉神経痛
(顔面の痛みをとること)
当院外来
61
 '04年3月
70代
左顔面痙攣
(痙攣をとること)
当院外来
60
 '03年12月
40代
右顔面痙攣
(痙攣をとること)
当院外来
59
 '03年11月
50代
左顔面痙攣
(痙攣をとること)
当院外来
58
 '03年8月
30代
左顔面痙攣
(痙攣をとること)
大阪府の病院
57
 '03年7月
50代
右顔面痙攣
(痙攣をとること)
大阪府の病院
56
 '03年1月
50代
右三叉神経痛
(顔面の痛みをとること)
当院外来
55
 '03年1月
60代
左顔面痙攣
(痙攣をとること)
当院外来
54
 '02年7月
それ以外
右三叉神経痛
(顔面の痛みをとること)
当院外来
53
 '02年4月
それ以外
左三叉神経痛
(顔面の痛みをとること)
当院外来
52
 '02年3月
それ以外
右顔面痙攣・小脳髄膜腫
(痙攣と腫瘍をとること)
当院外来
51
 '01年11月
それ以外
右三叉神経痛
(顔面の痛みをとること)
当院外来
50
 '01年9月
それ以外
左顔面痙攣
(痙攣をとること)
当院外来
49
 '01年9月
それ以外
左顔面痙攣
(痙攣をとること)
当院外来
48
 '01年7月
それ以外
右顔面痙攣
(痙攣をとること)
当院外来
47
 '01年6月
それ以外
右三叉神経痛
(顔面の痛みをとること)
当院外来
46
 '01年6月
それ以外
左三叉神経痛
(顔面の痛みをとること)
当院外来
45
 '01年2月
それ以外
左顔面痙攣
(痙攣をとること)
当院外来
44
 '01年2月
それ以外
右顔面痙攣
(痙攣をとること)
当院外来
43
 '01年2月
それ以外
左顔面痙攣
(痙攣をとること)
当院外来
42
 '01年1月
それ以外
右顔面痙攣
(痙攣をとること)
当院外来
41
 '00年12月
それ以外
右顔面痙攣
(痙攣をとること)
当院外来
40
 '00年10月
それ以外
左顔面痙攣
(痙攣をとること)
当院外来
39
 '00年8月
それ以外
右顔面痙攣
(痙攣をとること)
当院外来
38
 '00年5月
それ以外
右三叉神経痛
(顔面の痛みをとること)
当院外来
37
 '00年4月
それ以外
三叉神経痛
(顔面の痛みをとること)
当院外来
36
 '00年2月
それ以外
右顔面痙攣
(痙攣をとること)
当院外来
35
 '00年2月
それ以外
左顔面痙攣
(痙攣をとること)
当院外来
34
 '00年1月
それ以外
左顔面痙攣
(痙攣をとること)
当院外来
33
 '99年11月
それ以外
右顔面痙攣
(痙攣をとること)
当院外来
32
 '99年8月
それ以外
右顔面痙攣
(痙攣をとること)
当院外来
31
 '99年8月
それ以外
左顔面痙攣
(痙攣をとること)
当院外来
30
 '99年7月
それ以外
左三叉神経痛・舌咽神経痛
(顔面の痛みをとること)
当院外来
29
 '99年6月
それ以外
三叉神経痛
(顔面の痛みをとること)
当院外来
28
 '99年4月
それ以外
左顔面痙攣
(痙攣をとること)
当院外来
27
 '99年4月
それ以外
左顔面痙攣
(痙攣をとること)
当院外来
26
 '99年2月
それ以外
左三叉神経痛
(顔面の痛みをとること)
当院外来
25
 '99年1月
それ以外
左片麻痺
(麻痺をとること)
当院外来
24
 '98年10月
それ以外
右顔面痙攣
(痙攣をとること)
当院外来
23
 '98年10月
それ以外
左顔面痙攣
(痙攣をとること)
当院外来
22
 '98年10月
それ以外
右三叉神経痛
(顔面の痛みをとること)
当院外来
21
 '98年9月
それ以外
左顔面痙攣
(痙攣をとること)
当院外来
20
 '98年9月
それ以外
左顔面痙攣
(痙攣をとること)
当院外来
19
 '98年9月
それ以外
左顔面痙攣
(痙攣をとること)
当院外来
18
 '98年9月
それ以外
右顔面痙攣
(痙攣をとること)
当院外来
17
 '98年6月
それ以外
右三叉神経痛
(顔面の痛みをとること)
当院外来
16
 '98年6月
それ以外
右三叉神経痛
(顔面の痛みをとること)
当院外来
15
 '98年6月
それ以外
右顔面痙攣
(痙攣をとること)
当院外来
14
 '98年6月
それ以外
右三叉神経痛
(顔面の痛みをとること)
当院外来
13
 '98年6月
それ以外
左顔面痙攣
(痙攣をとること)
当院外来
12
 '98年6月
それ以外
顔面痙攣
(痙攣をとること)
当院外来
11
 '98年5月
それ以外
左顔面痙攣
(痙攣をとること)
当院外来
10
 '98年3月
それ以外
右顔面痙攣
(痙攣をとること)
当院外来
9
 '98年2月
それ以外
左顔面痙攣
(痙攣をとること)
当院外来
8
 '98年2月
それ以外
右顔面痙攣
(痙攣をとること)
当院外来
7
 '98年1月
それ以外
左顔面痙攣
(痙攣をとること)
当院外来
6
 '97年10月
それ以外
右顔面痙攣
(痙攣をとること)
当院外来
5
 '97年9月
それ以外
右顔面痙攣
(痙攣をとること)
当院外来
4
 '97年9月
それ以外
左顔面痙攣
(痙攣をとること)
当院外来
3
 '97年7月
それ以外
右顔面痙攣・脳腫瘍
(痙攣と腫瘍をとること)
当院外来
2
 '97年5月
それ以外
右三叉神経痛
(顔面の痛みをとること)
当院外来
1
 '97年1月
それ以外
左顔面痙攣
(痙攣をとること)
当院外来

※ 画像をクリックすると拡大表示します。症例No.をクリックすると詳細ページを表示します。

No.
590
手術年月
 '26年4月
年齢
60代
病名
(手術の目的)
三叉神経痛第3枝領域
(顔面の痛みをとること)
紹介元
当院外来
No.
589
手術年月
 '26年4月
年齢
70代
病名
(手術の目的)
左三叉神経痛
(顔面の痛みをとること)
紹介元
当院外来
No.
588
手術年月
 '26年4月
年齢
40代
病名
(手術の目的)
右三叉神経痛
(顔面の痛みをとること)
紹介元
京都府の病院
No.
587
手術年月
 '26年4月
年齢
50代
病名
(手術の目的)
左顔面痙攣
(痙攣をとること)
紹介元
大阪府の病院
No.
586
手術年月
 '26年4月
年齢
50代
病名
(手術の目的)
右顔面痙攣
(痙攣をとること)
紹介元
大阪府の病院
No.
585
手術年月
 '26年3月
年齢
40代
病名
(手術の目的)
左顔面痙攣
(痙攣をとること)
紹介元
大阪府の病院
No.
584
手術年月
 '26年3月
年齢
50代
病名
(手術の目的)
三叉神経痛第3枝領域
(顔面の痛みをとること)
紹介元
奈良県の病院
No.
583
手術年月
 '26年3月
年齢
30代
病名
(手術の目的)
左三叉神経痛
(顔面の痛みをとること)
紹介元
奈良県の病院
No.
582
手術年月
 '26年3月
年齢
50代
病名
(手術の目的)
左三叉神経痛
(顔面の痛みをとること)
紹介元
大阪府の病院
No.
581
手術年月
 '26年3月
年齢
40代
病名
(手術の目的)
左顔面痙攣
(痙攣をとること)
紹介元
大阪府の病院
No.
580
手術年月
 '26年2月
年齢
70代
病名
(手術の目的)
右三叉神経痛
(顔面の痛みをとること)
紹介元
兵庫県の病院
No.
579
手術年月
 '26年2月
年齢
40代
病名
(手術の目的)
右三叉神経痛
(顔面の痛みをとること)
紹介元
大阪府の病院
No.
578
手術年月
 '26年2月
年齢
60代
病名
(手術の目的)
右三叉神経痛
(顔面の痛みをとること)
紹介元
当院外来
No.
577
手術年月
 '26年2月
年齢
40代
病名
(手術の目的)
右顔面痙攣
(痙攣をとること)
紹介元
大阪府の病院
No.
576
手術年月
 '26年2月
年齢
40代
病名
(手術の目的)
左三叉神経痛
(顔面の痛みをとること)
紹介元
大阪府の病院
No.
575
手術年月
 '26年1月
年齢
40代
病名
(手術の目的)
左三叉神経痛
(顔面の痛みをとること)
紹介元
大阪府の病院
No.
574
手術年月
 '26年1月
年齢
50代
病名
(手術の目的)
左顔面痙攣症
(痙攣をとること)
紹介元
奈良県の病院
No.
573
手術年月
 '26年1月
年齢
70代
病名
(手術の目的)
三叉神経痛第2・3枝領域
(顔面の痛みをとること)
紹介元
大阪府の病院
No.
572
手術年月
 '26年1月
年齢
70代
病名
(手術の目的)
右三叉神経痛
(顔面の痛みをとること)
紹介元
兵庫県の病院
No.
571
手術年月
 '26年1月
年齢
50代
病名
(手術の目的)
右顔面痙攣
(痙攣をとること)
紹介元
大阪府の病院
No.
570
手術年月
 '25年12月
年齢
40代
病名
(手術の目的)
左三叉神経痛
(顔面の痛みをとること)
紹介元
当院外来
No.
569
手術年月
 '25年12月
年齢
60代
病名
(手術の目的)
左顔面痙攣
(痙攣をとること)
紹介元
大阪府の病院
No.
568
手術年月
 '25年12月
年齢
60代
病名
(手術の目的)
左顔面痙攣
(痙攣をとること)
紹介元
大阪府の病院
No.
567
手術年月
 '25年12月
年齢
50代
病名
(手術の目的)
三叉神経痛第2枝領域
(顔面の痛みをとること)
紹介元
大阪府の病院
No.
566
手術年月
 '25年12月
年齢
50代
病名
(手術の目的)
左顔面痙攣
(痙攣をとること)
紹介元
当院外来
No.
565
手術年月
 '25年11月
年齢
60代
病名
(手術の目的)
右顔面痙攣
(痙攣をとること)
紹介元
当院外来
No.
564
手術年月
 '25年11月
年齢
50代
病名
(手術の目的)
三叉神経痛第2枝領域
(顔面の痛みをとること)
紹介元
大阪府の病院
No.
563
手術年月
 '25年11月
年齢
50代
病名
(手術の目的)
左三叉神経痛
(顔面の痛みをとること)
紹介元
大阪府の病院
No.
562
手術年月
 '25年11月
年齢
50代
病名
(手術の目的)
右顔面痙攣
(痙攣をとること)
紹介元
大阪府の病院
No.
561
手術年月
 '25年11月
年齢
40代
病名
(手術の目的)
三叉神経痛
(顔面の痛みをとること)
紹介元
大阪府の病院
No.
560
手術年月
 '25年11月
年齢
50代
病名
(手術の目的)
右顔面痙攣
(痙攣をとること)
紹介元
大阪府の病院
No.
559
手術年月
 '25年10月
年齢
50代
病名
(手術の目的)
左顔面痙攣
(痙攣をとること)
紹介元
当院外来
No.
558
手術年月
 '25年10月
年齢
60代
病名
(手術の目的)
左顔面痙攣
(痙攣をとること)
紹介元
当院外来
No.
557
手術年月
 '25年10月
年齢
20代
病名
(手術の目的)
右顔面痙攣
(痙攣をとること)
紹介元
大阪府の病院
No.
556
手術年月
 '25年10月
年齢
50代
病名
(手術の目的)
三叉神経痛第1・2枝領域
(顔面の痛みをとること)
紹介元
当院外来
No.
555
手術年月
 '25年10月
年齢
50代
病名
(手術の目的)
右三叉神経痛
(顔面の痛みをとること)
紹介元
当院外来
No.
554
手術年月
 '25年10月
年齢
60代
病名
(手術の目的)
右顔面痙攣
(痙攣をとること)
紹介元
当院外来
No.
553
手術年月
 '25年10月
年齢
40代
病名
(手術の目的)
左顔面痙攣
(痙攣をとること)
紹介元
大阪府の病院
No.
552
手術年月
 '25年9月
年齢
50代
病名
(手術の目的)
右三叉神経痛
(顔面の痛みをとること)
紹介元
大阪府の病院
No.
551
手術年月
 '25年9月
年齢
80代
病名
(手術の目的)
右三叉神経痛
(顔面の痛みをとること)
紹介元
大阪府の病院
No.
550
手術年月
 '25年9月
年齢
40代
病名
(手術の目的)
左顔面痙攣
(痙攣をとること)
紹介元
当院外来
No.
549
手術年月
 '25年9月
年齢
60代
病名
(手術の目的)
三叉神経痛
(顔面の痛みをとること)
紹介元
奈良県の病院
No.
548
手術年月
 '25年9月
年齢
60代
病名
(手術の目的)
右顔面痙攣
(痙攣をとること)
紹介元
当院外来
No.
547
手術年月
 '25年8月
年齢
70代
病名
(手術の目的)
左三叉神経痛
(顔面の痛みをとること)
紹介元
大阪府の病院
No.
546
手術年月
 '25年7月
年齢
40代
病名
(手術の目的)
左顔面痙攣
(痙攣をとること)
紹介元
大阪府の病院
No.
545
手術年月
 '25年7月
年齢
20代
病名
(手術の目的)
左顔面痙攣
(痙攣をとること)
紹介元
兵庫県の病院
No.
544
手術年月
 '25年7月
年齢
50代
病名
(手術の目的)
左三叉神経痛
(顔面の痛みをとること)
紹介元
和歌山県の病院
No.
543
手術年月
 '25年7月
年齢
40代
病名
(手術の目的)
右顔面痙攣
(痙攣をとること)
紹介元
長崎県の病院
No.
542
手術年月
 '25年7月
年齢
40代
病名
(手術の目的)
左三叉神経痛
(顔面の痛みをとること)
紹介元
奈良県の病院
No.
541
手術年月
 '25年6月
年齢
60代
病名
(手術の目的)
左三叉神経痛
(顔面の痛みをとること)
紹介元
当院外来
No.
540
手術年月
 '25年6月
年齢
50代
病名
(手術の目的)
右顔面痙攣
(痙攣をとること)
紹介元
大阪府の病院
No.
539
手術年月
 '25年6月
年齢
60代
病名
(手術の目的)
右三叉神経痛
(顔面の痛みをとること)
紹介元
大阪府の病院
No.
538
手術年月
 '25年6月
年齢
50代
病名
(手術の目的)
左顔面痙攣
(痙攣をとること)
紹介元
当院外来
No.
537
手術年月
 '25年6月
年齢
60代
病名
(手術の目的)
右顔面痙攣
(痙攣をとること)
紹介元
当院外来
No.
536
手術年月
 '25年6月
年齢
70代
病名
(手術の目的)
左三叉神経痛
(顔面の痛みをとること)
紹介元
奈良県の病院
No.
535
手術年月
 '25年5月
年齢
50代
病名
(手術の目的)
右顔面痙攣
(痙攣をとること)
紹介元
大阪府の病院
No.
534
手術年月
 '25年5月
年齢
50代
病名
(手術の目的)
左顔面痙攣
(痙攣をとること)
紹介元
当院外来
No.
533
手術年月
 '25年5月
年齢
60代
病名
(手術の目的)
左顔面痙攣
(痙攣をとること)
紹介元
当院外来
No.
532
手術年月
 '25年3月
年齢
60代
病名
(手術の目的)
右顔面痙攣
(痙攣をとること)
紹介元
大阪府の病院
No.
531
手術年月
 '25年3月
年齢
40代
病名
(手術の目的)
右三叉神経痛
(顔面の痛みをとること)
紹介元
当院外来
No.
530
手術年月
 '25年3月
年齢
50代
病名
(手術の目的)
右三叉神経痛第2・3枝領域
(顔面の痛みをとること)
紹介元
当院外来
No.
529
手術年月
 '25年3月
年齢
50代
病名
(手術の目的)
右三叉神経痛
(顔面の痛みをとること)
紹介元
当院外来
No.
528
手術年月
 '25年3月
年齢
50代
病名
(手術の目的)
左三叉神経痛第2・3枝領域
(顔面の痛みをとること)
紹介元
兵庫県の病院
No.
527
手術年月
 '25年2月
年齢
10代
病名
(手術の目的)
右三叉神経痛
(顔面の痛みをとること)
紹介元
当院外来
No.
526
手術年月
 '25年2月
年齢
60代
病名
(手術の目的)
三叉神経痛
(顔面の痛みをとること)
紹介元
当院外来
No.
525
手術年月
 '25年2月
年齢
40代
病名
(手術の目的)
右三叉神経痛
(顔面の痛みをとること)
紹介元
奈良県の病院
No.
524
手術年月
 '25年2月
年齢
60代
病名
(手術の目的)
三叉神経痛第2枝領域
(顔面の痛みをとること)
紹介元
大阪府の病院
No.
523
手術年月
 '25年2月
年齢
60代
病名
(手術の目的)
左顔面痙攣
(痙攣をとること)
紹介元
大阪府の病院
No.
522
手術年月
 '25年1月
年齢
50代
病名
(手術の目的)
左側顔面痙攣
(痙攣をとること)
紹介元
当院外来
No.
521
手術年月
 '24年12月
年齢
50代
病名
(手術の目的)
右側三叉神経痛
(顔面の痛みをとること)
紹介元
大阪府の病院
No.
520
手術年月
 '24年12月
年齢
30代
病名
(手術の目的)
左顔面痙攣
(痙攣をとること)
紹介元
大阪府の病院
No.
519
手術年月
 '24年12月
年齢
60代
病名
(手術の目的)
右顔面痙攣
(痙攣をとること)
紹介元
当院外来
No.
518
手術年月
 '24年12月
年齢
40代
病名
(手術の目的)
左三叉神経痛
(顔面の痛みをとること)
紹介元
大阪府の病院
No.
517
手術年月
 '24年11月
年齢
40代
病名
(手術の目的)
右三叉神経痛
(顔面の痛みをとること)
紹介元
沖縄県の病院
No.
516
手術年月
 '24年11月
年齢
50代
病名
(手術の目的)
左三叉神経痛
(顔面の痛みをとること)
紹介元
大阪府の病院
No.
515
手術年月
 '24年11月
年齢
40代
病名
(手術の目的)
左顔面痙攣
(痙攣をとること)
紹介元
大阪府の病院
No.
514
手術年月
 '24年11月
年齢
50代
病名
(手術の目的)
左顔面痙攣
(痙攣をとること)
紹介元
当院外来
No.
513
手術年月
 '24年11月
年齢
40代
病名
(手術の目的)
右三叉神経痛
(顔面の痛みをとること)
紹介元
大阪府の病院
No.
512
手術年月
 '24年10月
年齢
70代
病名
(手術の目的)
左三叉神経痛
(顔面の痛みをとること)
紹介元
大阪府の病院
No.
511
手術年月
 '24年9月
年齢
30代
病名
(手術の目的)
左顔面痙攣
(痙攣をとること)
紹介元
大阪府の病院
No.
510
手術年月
 '24年9月
年齢
80代
病名
(手術の目的)
短時間持続性片側神経痛様頭痛発作
(顔面の痛みをとること)
紹介元
京都府の病院
No.
509
手術年月
 '24年9月
年齢
30代
病名
(手術の目的)
右三叉神経痛
(顔面の痛みをとること)
紹介元
京都府の病院
No.
508
手術年月
 '24年8月
年齢
60代
病名
(手術の目的)
左三叉神経痛
(顔面の痛みをとること)
紹介元
当院外来
No.
507
手術年月
 '24年8月
年齢
40代
病名
(手術の目的)
左顔面痙攣
(痙攣をとること)
紹介元
当院外来
No.
506
手術年月
 '24年8月
年齢
70代
病名
(手術の目的)
右三叉神経痛
(顔面の痛みをとること)
紹介元
大阪府の病院
No.
505
手術年月
 '24年8月
年齢
50代
病名
(手術の目的)
右三叉神経痛
(顔面の痛みをとること)
紹介元
当院外来
No.
504
手術年月
 '24年8月
年齢
70代
病名
(手術の目的)
右三叉神経痛
(顔面の痛みをとること)
紹介元
三重県の病院
No.
503
手術年月
 '24年7月
年齢
50代
病名
(手術の目的)
左三叉神経痛
(顔面の痛みをとること)
紹介元
和歌山県の病院
No.
502
手術年月
 '24年6月
年齢
60代
病名
(手術の目的)
左顔面痙攣
(痙攣をとること)
紹介元
当院外来
No.
501
手術年月
 '24年6月
年齢
60代
病名
(手術の目的)
三叉神経痛第1・2枝領域
(顔面の痛みをとること)
紹介元
静岡県の病院
No.
500
手術年月
 '24年6月
年齢
40代
病名
(手術の目的)
三叉神経痛第2枝領域
(顔面の痛みをとること)
紹介元
奈良県の病院
No.
499
手術年月
 '24年6月
年齢
30代
病名
(手術の目的)
三叉神経痛
(顔面の痛みをとること)
紹介元
大阪府の病院
No.
498
手術年月
 '24年6月
年齢
60代
病名
(手術の目的)
左顔面痙攣
(痙攣をとること)
紹介元
大阪府の病院
No.
497
手術年月
 '24年5月
年齢
40代
病名
(手術の目的)
右三叉神経痛第3枝領域
(顔面の痛みをとること)
紹介元
大阪府の病院
No.
496
手術年月
 '24年5月
年齢
60代
病名
(手術の目的)
右三叉神経痛
(顔面の痛みをとること)
紹介元
大阪府の病院
No.
495
手術年月
 '24年4月
年齢
20代
病名
(手術の目的)
左三叉神経痛第3枝領域
(顔面の痛みをとること)
紹介元
当院外来
No.
494
手術年月
 '24年3月
年齢
70代
病名
(手術の目的)
三叉神経痛第3枝領域
(顔面の痛みをとること)
紹介元
大阪府の病院
No.
493
手術年月
 '24年3月
年齢
50代
病名
(手術の目的)
右顔面痙攣
(痙攣をとること)
紹介元
大阪府の病院
No.
492
手術年月
 '24年2月
年齢
50代
病名
(手術の目的)
三叉神経痛
(顔面の痛みをとること)
紹介元
大阪府の病院
No.
491
手術年月
 '24年2月
年齢
70代
病名
(手術の目的)
左顔面痙攣症
(痙攣をとること)
紹介元
大阪府の病院
No.
490
手術年月
 '24年2月
年齢
50代
病名
(手術の目的)
右顔面痙攣
(痙攣をとること)
紹介元
大阪府の病院
No.
489
手術年月
 '24年1月
年齢
50代
病名
(手術の目的)
右三叉神経痛
(顔面の痛みをとること)
紹介元
当院外来
No.
488
手術年月
 '23年12月
年齢
10代
病名
(手術の目的)
右三叉神経痛
(顔面の痛みをとること)
紹介元
大阪府の病院
No.
487
手術年月
 '23年12月
年齢
60代
病名
(手術の目的)
右顔面痙攣
(痙攣をとること)
紹介元
当院外来
No.
486
手術年月
 '23年12月
年齢
70代
病名
(手術の目的)
右三叉神経痛
(顔面の痛みをとること)
紹介元
兵庫県の病院
No.
485
手術年月
 '23年11月
年齢
60代
病名
(手術の目的)
左顔面痙攣
(痙攣をとること)
紹介元
兵庫県の病院
No.
484
手術年月
 '23年11月
年齢
60代
病名
(手術の目的)
三叉神経痛
(顔面の痛みをとること)
紹介元
大阪府の病院
No.
483
手術年月
 '23年11月
年齢
50代
病名
(手術の目的)
三叉神経痛第3枝領域
(顔面の痛みをとること)
紹介元
大阪府の病院
No.
482
手術年月
 '23年10月
年齢
50代
病名
(手術の目的)
左顔面痙攣
(痙攣をとること)
紹介元
大阪府の病院
No.
481
手術年月
 '23年10月
年齢
40代
病名
(手術の目的)
右顔面痙攣
(痙攣をとること)
紹介元
当院外来
No.
480
手術年月
 '23年9月
年齢
30代
病名
(手術の目的)
右三叉神経痛
(顔面の痛みをとること)
紹介元
奈良県の病院
No.
479
手術年月
 '23年9月
年齢
60代
病名
(手術の目的)
三叉神経痛
(顔面の痛みをとること)
紹介元
大阪府の病院
No.
478
手術年月
 '23年8月
年齢
40代
病名
(手術の目的)
左顔面痙攣
(痙攣をとること)
紹介元
当院外来
No.
477
手術年月
 '23年8月
年齢
50代
病名
(手術の目的)
左三叉神経痛
(顔面の痛みをとること)
紹介元
大阪府の病院
No.
476
手術年月
 '23年8月
年齢
70代
病名
(手術の目的)
左顔面痙攣
(痙攣をとること)
紹介元
大阪府の病院
No.
475
手術年月
 '23年8月
年齢
40代
病名
(手術の目的)
左顔面痙攣
(痙攣をとること)
紹介元
大阪府の病院
No.
474
手術年月
 '23年8月
年齢
40代
病名
(手術の目的)
右顔面痙攣
(痙攣をとること)
紹介元
大阪府の病院
No.
473
手術年月
 '23年7月
年齢
40代
病名
(手術の目的)
三叉神経痛
(顔面の痛みをとること)
紹介元
兵庫県の病院
No.
472
手術年月
 '23年7月
年齢
70代
病名
(手術の目的)
左顔面痙攣
(痙攣をとること)
紹介元
当院外来
No.
471
手術年月
 '23年7月
年齢
40代
病名
(手術の目的)
左顔面痙攣
(痙攣をとること)
紹介元
大阪府の病院
No.
470
手術年月
 '23年7月
年齢
50代
病名
(手術の目的)
右顔面痙攣
(痙攣をとること)
紹介元
当院外来
No.
469
手術年月
 '23年6月
年齢
30代
病名
(手術の目的)
右三叉神経痛
(顔面の痛みをとること)
紹介元
大阪府の病院
No.
468
手術年月
 '23年6月
年齢
50代
病名
(手術の目的)
右顔面痙攣
(痙攣をとること)
紹介元
大阪府の病院
No.
467
手術年月
 '23年5月
年齢
40代
病名
(手術の目的)
左三叉神経痛
(顔面の神経痛をとること)
紹介元
当院外来
No.
466
手術年月
 '23年5月
年齢
60代
病名
(手術の目的)
左側三叉神経痛
(顔面の痛みをとること)
紹介元
大阪府の病院
No.
465
手術年月
 '23年5月
年齢
50代
病名
(手術の目的)
右血管芽細胞腫
(顔面の痛みと腫瘍をとること)
紹介元
大阪府の病院
No.
464
手術年月
 '23年4月
年齢
60代
病名
(手術の目的)
左顔面痙攣症
(痙攣をとること)
紹介元
大阪府の病院
No.
463
手術年月
 '23年4月
年齢
40代
病名
(手術の目的)
左顔面痙攣
(痙攣をとること)
紹介元
当院外来
No.
462
手術年月
 '23年4月
年齢
50代
病名
(手術の目的)
左顔面痙攣
(痙攣をとること)
紹介元
当院外来
No.
461
手術年月
 '23年3月
年齢
70代
病名
(手術の目的)
左三叉神経痛
(顔面の痛みをとること)
紹介元
大阪府の病院
No.
460
手術年月
 '23年3月
年齢
40代
病名
(手術の目的)
左三叉神経痛
(顔面の痛みをとること)
紹介元
当院外来
No.
459
手術年月
 '23年3月
年齢
60代
病名
(手術の目的)
右顔面痙攣
(痙攣をとること)
紹介元
当院外来
No.
458
手術年月
 '23年3月
年齢
20代
病名
(手術の目的)
左顔面痙攣
(顔面の痛みをとること)
紹介元
大阪府の病院
No.
457
手術年月
 '23年3月
年齢
60代
病名
(手術の目的)
左顔面痙攣
(顔面の痛みをとること)
紹介元
大阪府の病院
No.
456
手術年月
 '23年3月
年齢
30代
病名
(手術の目的)
右三叉神経痛
(顔面の痛みをとること)
紹介元
大阪府の病院
No.
455
手術年月
 '23年2月
年齢
50代
病名
(手術の目的)
左顔面痙攣
(顔面の痛みをとること)
紹介元
大阪府の病院
No.
454
手術年月
 '23年2月
年齢
50代
病名
(手術の目的)
右三叉神経痛第2枝領域
(顔面の痛みをとること)
紹介元
当院外来
No.
453
手術年月
 '23年2月
年齢
50代
病名
(手術の目的)
右三叉神経痛
(顔面の痛みをとること)
紹介元
大阪府の病院
No.
452
手術年月
 '23年2月
年齢
60代
病名
(手術の目的)
左三叉神経痛
(顔面の痛みをとること)
紹介元
当院外来
No.
451
手術年月
 '23年2月
年齢
40代
病名
(手術の目的)
左顔面痙攣
(痙攣をとること)
紹介元
当院外来
No.
450
手術年月
 '23年1月
年齢
60代
病名
(手術の目的)
右顔面痙攣
(痙攣をとること)
紹介元
大阪府の病院
No.
449
手術年月
 '23年1月
年齢
50代
病名
(手術の目的)
左三叉神経痛
(顔面の痛みをとること)
紹介元
兵庫県の病院
No.
448
手術年月
 '23年1月
年齢
40代
病名
(手術の目的)
右顔面痙攣
(痙攣をとること)
紹介元
大阪府の病院
No.
447
手術年月
 '23年1月
年齢
60代
病名
(手術の目的)
右三叉神経痛
(顔面の痛みをとること)
紹介元
兵庫県の病院
No.
446
手術年月
 '22年12月
年齢
50代
病名
(手術の目的)
左顔面痙攣
(痙攣をとること)
紹介元
大阪府の病院
No.
445
手術年月
 '22年12月
年齢
60代
病名
(手術の目的)
右三叉神経痛
(顔面の痛みをとること)
紹介元
大阪府の病院
No.
444
手術年月
 '22年11月
年齢
30代
病名
(手術の目的)
右顔面痙攣
(痙攣をとること)
紹介元
当院外来
No.
443
手術年月
 '22年11月
年齢
60代
病名
(手術の目的)
左三叉神経痛
(顔面の痛みをとること)
紹介元
大阪府の病院
No.
442
手術年月
 '22年11月
年齢
60代
病名
(手術の目的)
左顔面痙攣
(痙攣をとること)
紹介元
大阪府の病院
No.
441
手術年月
 '22年10月
年齢
70代
病名
(手術の目的)
右三叉神経痛第3枝領域
(顔面の痛みをとること)
紹介元
奈良県の病院
No.
440
手術年月
 '22年10月
年齢
40代
病名
(手術の目的)
右三叉神経痛
(顔面の痛みをとること)
紹介元
大阪府の病院
No.
439
手術年月
 '22年10月
年齢
40代
病名
(手術の目的)
左顔面痙攣
(痙攣をとること)
紹介元
当院外来
No.
438
手術年月
 '22年9月
年齢
60代
病名
(手術の目的)
左顔面痙攣
(痙攣をとること)
紹介元
大阪府の病院
No.
437
手術年月
 '22年9月
年齢
70代
病名
(手術の目的)
右三叉神経・自律神経性頭痛
(顔面の痛みをとること)
紹介元
大阪府の病院
No.
436
手術年月
 '22年8月
年齢
60代
病名
(手術の目的)
左再発顔面痙攣
(痙攣をとること)
紹介元
大阪府の病院
No.
435
手術年月
 '22年8月
年齢
60代
病名
(手術の目的)
左顔面痙攣
(痙攣をとること)
紹介元
当院外来
No.
434
手術年月
 '22年8月
年齢
60代
病名
(手術の目的)
左顔面痙攣
(痙攣をとること)
紹介元
当院外来
No.
433
手術年月
 '22年8月
年齢
60代
病名
(手術の目的)
右顔面痙攣
(痙攣をとること)
紹介元
大阪府の病院
No.
432
手術年月
 '22年7月
年齢
70代
病名
(手術の目的)
左三叉神経痛
(顔面の痛みをとること)
紹介元
当院外来
No.
431
手術年月
 '22年7月
年齢
60代
病名
(手術の目的)
右顔面痙攣
(痙攣をとること)
紹介元
当院外来
No.
430
手術年月
 '22年7月
年齢
50代
病名
(手術の目的)
左顔面痙攣
(痙攣をとること)
紹介元
当院外来
No.
429
手術年月
 '22年7月
年齢
70代
病名
(手術の目的)
左顔面痙攣
(痙攣をとること)
紹介元
当院外来
No.
428
手術年月
 '22年6月
年齢
70代
病名
(手術の目的)
右三叉神経痛
(顔面の痛みをとること)
紹介元
大阪府の病院
No.
427
手術年月
 '22年6月
年齢
70代
病名
(手術の目的)
右顔面痙攣症
(痙攣をとること)
紹介元
大阪府の病院
No.
426
手術年月
 '22年6月
年齢
50代
病名
(手術の目的)
右顔面痙攣
(痙攣をとること)
紹介元
大阪府の病院
No.
425
手術年月
 '22年6月
年齢
30代
病名
(手術の目的)
右三叉神経痛
(顔面の痛みをとること)
紹介元
兵庫県の病院
No.
424
手術年月
 '22年5月
年齢
40代
病名
(手術の目的)
左三叉神経痛
(顔面の痛みをとること)
紹介元
当院外来
No.
423
手術年月
 '22年5月
年齢
40代
病名
(手術の目的)
右三叉神経痛
(顔面の痛みをとること)
紹介元
大阪府の病院
No.
422
手術年月
 '22年5月
年齢
60代
病名
(手術の目的)
左三叉神経痛
(顔面の痛みをとること)
紹介元
大阪府の病院
No.
421
手術年月
 '22年3月
年齢
30代
病名
(手術の目的)
右三叉神経痛
(顔面の痛みをとること)
紹介元
兵庫県の病院
No.
420
手術年月
 '22年3月
年齢
50代
病名
(手術の目的)
左顔面痙攣
(痙攣をとること)
紹介元
当院外来
No.
419
手術年月
 '22年3月
年齢
60代
病名
(手術の目的)
右三叉神経痛
(顔面の痛みをとること)
紹介元
大阪府の病院
No.
418
手術年月
 '22年2月
年齢
40代
病名
(手術の目的)
左三叉神経痛
(顔面の痛みをとること)
紹介元
当院外来
No.
417
手術年月
 '21年12月
年齢
50代
病名
(手術の目的)
右顔面痙攣
(痙攣をとること)
紹介元
当院外来
No.
416
手術年月
 '21年12月
年齢
70代
病名
(手術の目的)
右顔面痙攣
(痙攣をとること)
紹介元
大阪府の病院
No.
415
手術年月
 '21年12月
年齢
50代
病名
(手術の目的)
左三叉神経痛
(顔面の痛みをとること)
紹介元
大阪府の病院
No.
414
手術年月
 '21年11月
年齢
40代
病名
(手術の目的)
右三叉神経痛
(顔面の痛みをとること)
紹介元
兵庫県の病院
No.
413
手術年月
 '21年10月
年齢
70代
病名
(手術の目的)
左側三叉神経痛
(顔面の痛みをとること)
紹介元
大阪府の病院
No.
412
手術年月
 '21年10月
年齢
50代
病名
(手術の目的)
右顔面痙攣
(痙攣をとること)
紹介元
当院外来
No.
411
手術年月
 '21年9月
年齢
60代
病名
(手術の目的)
右三叉神経痛
(顔面の痛みをとること)
紹介元
大阪府の病院
No.
410
手術年月
 '21年9月
年齢
30代
病名
(手術の目的)
左三叉神経痛
(顔面の痛みをとること)
紹介元
兵庫県の病院
No.
409
手術年月
 '21年8月
年齢
60代
病名
(手術の目的)
右側顔面痙攣
(痙攣をとること)
紹介元
当院外来
No.
408
手術年月
 '21年8月
年齢
40代
病名
(手術の目的)
左三叉神経痛
(顔面の痛みをとること)
紹介元
大阪府の病院
No.
407
手術年月
 '21年7月
年齢
50代
病名
(手術の目的)
右顔面痙攣
(痙攣をとること)
紹介元
奈良県の病院
No.
406
手術年月
 '21年6月
年齢
40代
病名
(手術の目的)
左顔面痙攣
(痙攣をとること)
紹介元
大阪府の病院
No.
405
手術年月
 '21年5月
年齢
40代
病名
(手術の目的)
右顔面痙攣
(痙攣をとること)
紹介元
兵庫県の病院
No.
404
手術年月
 '21年4月
年齢
70代
病名
(手術の目的)
左三叉神経痛
(顔面の痛みをとること)
紹介元
当院外来
No.
403
手術年月
 '21年4月
年齢
40代
病名
(手術の目的)
右顔面痙攣
(痙攣をとること)
紹介元
大阪府の病院
No.
402
手術年月
 '21年3月
年齢
70代
病名
(手術の目的)
右三叉神経痛第2枝領域
(顔面の痛みをとること)
紹介元
大阪府の病院
No.
401
手術年月
 '21年3月
年齢
60代
病名
(手術の目的)
左眼瞼痙攣
(痙攣をとること)
紹介元
当院外来
No.
400
手術年月
 '21年3月
年齢
60代
病名
(手術の目的)
右顔面痙攣
(痙攣をとること)
紹介元
大阪府の病院
No.
399
手術年月
 '21年3月
年齢
80代
病名
(手術の目的)
右三叉神経痛第1・2枝領域
(顔面の痛みをとること)
紹介元
当院外来
No.
398
手術年月
 '21年2月
年齢
60代
病名
(手術の目的)
三叉神経痛
(顔面の痛みをとること)
紹介元
当院外来
No.
397
手術年月
 '21年2月
年齢
60代
病名
(手術の目的)
三叉神経痛
(顔面の痛みをとること)
紹介元
当院外来
No.
396
手術年月
 '21年1月
年齢
50代
病名
(手術の目的)
顔面痙攣
(痙攣をとること)
紹介元
大阪府の病院
No.
395
手術年月
 '20年12月
年齢
60代
病名
(手術の目的)
三叉神経痛
(顔面の痛みをとること)
紹介元
大阪府の病院
No.
394
手術年月
 '20年12月
年齢
60代
病名
(手術の目的)
顔面痙攣
(痙攣をとること)
紹介元
大阪府の病院
No.
393
手術年月
 '20年10月
年齢
40代
病名
(手術の目的)
顔面痙攣
(痙攣をとること)
紹介元
大阪府の病院
No.
392
手術年月
 '20年10月
年齢
50代
病名
(手術の目的)
三叉神経痛
(顔面の痛みをとること)
紹介元
当院外来
No.
391
手術年月
 '20年9月
年齢
70代
病名
(手術の目的)
左三叉神経痛
(顔面の痛みをとること)
紹介元
当院外来
No.
390
手術年月
 '20年8月
年齢
10代
病名
(手術の目的)
顔面痙攣症
(痙攣をとること)
紹介元
大阪府の病院
No.
389
手術年月
 '20年6月
年齢
30代
病名
(手術の目的)
顔面痙攣症
(痙攣をとること)
紹介元
当院外来
No.
388
手術年月
 '20年4月
年齢
60代
病名
(手術の目的)
左顔面痙攣
(痙攣をとること)
紹介元
当院外来
No.
387
手術年月
 '20年3月
年齢
20代
病名
(手術の目的)
顔面痙攣症
(痙攣をとること)
紹介元
大阪府の病院
No.
386
手術年月
 '20年3月
年齢
50代
病名
(手術の目的)
顔面痙攣
(痙攣をとること)
紹介元
大阪府の病院
No.
385
手術年月
 '20年3月
年齢
70代
病名
(手術の目的)
顔面痙攣
(痙攣をとること)
紹介元
当院外来
No.
384
手術年月
 '20年2月
年齢
10代
病名
(手術の目的)
三叉神経痛
(顔面の痛みをとること)
紹介元
大阪府の病院
No.
383
手術年月
 '20年2月
年齢
40代
病名
(手術の目的)
顔面痙攣
(痙攣をとること)
紹介元
兵庫県の病院
No.
382
手術年月
 '20年1月
年齢
60代
病名
(手術の目的)
右顔面痙攣
(痙攣をとること)
紹介元
当院外来
No.
381
手術年月
 '19年12月
年齢
60代
病名
(手術の目的)
三叉神経痛
(顔面の痛みをとること)
紹介元
当院外来
No.
380
手術年月
 '19年12月
年齢
60代
病名
(手術の目的)
左顔面痙攣
(痙攣をとること)
紹介元
大阪府の病院
No.
379
手術年月
 '19年11月
年齢
70代
病名
(手術の目的)
三叉神経痛
(顔面の痛みをとること)
紹介元
大阪府の病院
No.
378
手術年月
 '19年11月
年齢
40代
病名
(手術の目的)
右顔面痙攣
(痙攣をとること)
紹介元
大阪府の病院
No.
377
手術年月
 '19年11月
年齢
70代
病名
(手術の目的)
三叉神経痛
(顔面の痛みをとること)
紹介元
大阪府の病院
No.
376
手術年月
 '19年10月
年齢
20代
病名
(手術の目的)
三叉神経痛
(顔面の痛みをとること)
紹介元
当院外来
No.
375
手術年月
 '19年10月
年齢
60代
病名
(手術の目的)
三叉神経痛第3枝領域
(顔面の痛みをとること)
紹介元
大阪府の病院
No.
374
手術年月
 '19年10月
年齢
30代
病名
(手術の目的)
顔面痙攣
(痙攣をとること)
紹介元
和歌山県の病院
No.
373
手術年月
 '19年9月
年齢
60代
病名
(手術の目的)
右小脳橋角部腫瘍
(腫瘍をとること)
紹介元
当院外来
No.
372
手術年月
 '19年9月
年齢
50代
病名
(手術の目的)
左三叉神経痛
(顔面の痛みをとること)
紹介元
兵庫県の病院
No.
371
手術年月
 '19年8月
年齢
60代
病名
(手術の目的)
右三叉神経痛
(顔面の痛みをとること)
紹介元
大阪府の病院
No.
370
手術年月
 '19年8月
年齢
70代
病名
(手術の目的)
右三叉神経痛
(顔面の痛みをとること)
紹介元
当院外来
No.
369
手術年月
 '19年8月
年齢
70代
病名
(手術の目的)
三叉神経痛
(顔面の痛みをとること)
紹介元
大阪府の病院
No.
368
手術年月
 '19年8月
年齢
70代
病名
(手術の目的)
右顔面痙攣
(痙攣をとること)
紹介元
当院外来
No.
367
手術年月
 '19年6月
年齢
50代
病名
(手術の目的)
三叉神経痛
(顔面の痛みをとること)
紹介元
大阪府の病院
No.
366
手術年月
 '19年6月
年齢
70代
病名
(手術の目的)
三叉神経痛
(顔面の痛みをとること)
紹介元
大阪府の病院
No.
365
手術年月
 '19年6月
年齢
40代
病名
(手術の目的)
三叉神経痛
(顔面の痛みをとること)
紹介元
大阪府の病院
No.
364
手術年月
 '19年6月
年齢
30代
病名
(手術の目的)
左顔面痙攣
(痙攣をとること)
紹介元
当院外来
No.
363
手術年月
 '19年5月
年齢
20代
病名
(手術の目的)
左顔面痙攣
(痙攣をとること)
紹介元
大阪府の病院
No.
362
手術年月
 '19年4月
年齢
40代
病名
(手術の目的)
顔面痙攣
(痙攣をとること)
紹介元
当院外来
No.
361
手術年月
 '19年4月
年齢
50代
病名
(手術の目的)
顔面痙攣
(痙攣をとること)
紹介元
京都府の病院
No.
360
手術年月
 '19年4月
年齢
70代
病名
(手術の目的)
左顔面痙攣
(痙攣をとること)
紹介元
大阪府の病院
No.
359
手術年月
 '19年3月
年齢
40代
病名
(手術の目的)
顔面痙攣症
(痙攣をとること)
紹介元
当院外来
No.
358
手術年月
 '18年11月
年齢
40代
病名
(手術の目的)
右顔面痙攣
(痙攣をとること)
紹介元
当院外来
No.
357
手術年月
 '18年11月
年齢
40代
病名
(手術の目的)
三叉神経痛
(顔面の痛みをとること)
紹介元
大阪府の病院
No.
356
手術年月
 '18年10月
年齢
30代
病名
(手術の目的)
顔面痙攣
(痙攣をとること)
紹介元
大阪府の病院
No.
355
手術年月
 '18年10月
年齢
50代
病名
(手術の目的)
三叉神経痛
(顔面の痛みをとること)
紹介元
当院外来
No.
354
手術年月
 '18年9月
年齢
80代
病名
(手術の目的)
顔面痙攣
(痙攣をとること)
紹介元
当院外来
No.
353
手術年月
 '18年8月
年齢
30代
病名
(手術の目的)
顔面痙攣
(痙攣をとること)
紹介元
大阪府の病院
No.
352
手術年月
 '18年8月
年齢
80代
病名
(手術の目的)
三叉神経痛
(顔面の痛みをとること)
紹介元
大阪府の病院
No.
351
手術年月
 '18年8月
年齢
70代
病名
(手術の目的)
右三叉神経痛
(顔面の痛みをとること)
紹介元
当院外来
No.
350
手術年月
 '18年8月
年齢
70代
病名
(手術の目的)
右顔面痙攣
(痙攣をとること)
紹介元
大阪府の病院
No.
349
手術年月
 '18年6月
年齢
70代
病名
(手術の目的)
右顔面痙攣
(痙攣をとること)
紹介元
当院外来
No.
348
手術年月
 '18年6月
年齢
50代
病名
(手術の目的)
右顔面痙攣
(痙攣をとること)
紹介元
当院外来
No.
347
手術年月
 '18年6月
年齢
60代
病名
(手術の目的)
顔面痙攣
(痙攣をとること)
紹介元
当院外来
No.
346
手術年月
 '18年5月
年齢
50代
病名
(手術の目的)
左顔面痙攣
(痙攣をとること)
紹介元
大阪府の病院
No.
345
手術年月
 '18年5月
年齢
60代
病名
(手術の目的)
三叉神経痛
(顔面の痛みをとること)
紹介元
当院外来
No.
344
手術年月
 '18年4月
年齢
60代
病名
(手術の目的)
右顔面痙攣
(痙攣をとること)
紹介元
当院外来
No.
343
手術年月
 '18年4月
年齢
40代
病名
(手術の目的)
左顔面痙攣
(痙攣をとること)
紹介元
当院外来
No.
342
手術年月
 '18年3月
年齢
80代
病名
(手術の目的)
三叉神経痛
(顔面の痛みをとること)
紹介元
当院外来
No.
341
手術年月
 '18年3月
年齢
80代
病名
(手術の目的)
三叉神経痛
(顔面の痛みをとること)
紹介元
当院外来
No.
340
手術年月
 '18年2月
年齢
70代
病名
(手術の目的)
左三叉神経痛
(顔面の痛みをとること)
紹介元
大阪府の病院
No.
339
手術年月
 '18年1月
年齢
60代
病名
(手術の目的)
三叉神経痛
(顔面の痛みをとること)
紹介元
大阪府の病院
No.
338
手術年月
 '17年12月
年齢
50代
病名
(手術の目的)
左顔面痙攣
(痙攣をとること)
紹介元
当院外来
No.
337
手術年月
 '17年12月
年齢
50代
病名
(手術の目的)
三叉神経痛
(顔面の痛みをとること)
紹介元
当院外来
No.
336
手術年月
 '17年12月
年齢
60代
病名
(手術の目的)
左顔面痙攣
(痙攣をとること)
紹介元
大阪府の病院
No.
335
手術年月
 '17年11月
年齢
60代
病名
(手術の目的)
左顔面痙攣
(痙攣をとること)
紹介元
当院外来
No.
334
手術年月
 '17年11月
年齢
70代
病名
(手術の目的)
三叉神経痛
(顔面の痛みをとること)
紹介元
大阪府の病院
No.
333
手術年月
 '17年10月
年齢
60代
病名
(手術の目的)
顔面痙攣症
(痙攣をとること)
紹介元
大阪府の病院
No.
332
手術年月
 '17年9月
年齢
70代
病名
(手術の目的)
三叉神経痛第3枝領域
(顔面の痛みをとること)
紹介元
当院外来
No.
331
手術年月
 '17年9月
年齢
50代
病名
(手術の目的)
三叉神経痛第3枝領域
(顔面の痛みをとること)
紹介元
当院外来
No.
330
手術年月
 '17年8月
年齢
40代
病名
(手術の目的)
顔面神経麻痺
(麻痺をとること)
紹介元
当院外来
No.
329
手術年月
 '17年8月
年齢
50代
病名
(手術の目的)
顔面痙攣症
(痙攣をとること)
紹介元
当院外来
No.
328
手術年月
 '17年7月
年齢
20代
病名
(手術の目的)
三叉神経痛
(顔面の痛みをとること)
紹介元
大阪府の病院
No.
327
手術年月
 '17年7月
年齢
60代
病名
(手術の目的)
三叉神経痛
(顔面の痛みをとること)
紹介元
当院外来
No.
326
手術年月
 '17年6月
年齢
80代
病名
(手術の目的)
左三叉神経痛
(顔面の痛みをとること)
紹介元
当院外来
No.
325
手術年月
 '17年6月
年齢
70代
病名
(手術の目的)
三叉神経痛
(顔面の痛みをとること)
紹介元
大阪府の病院
No.
324
手術年月
 '17年6月
年齢
70代
病名
(手術の目的)
顔面痙攣症
(痙攣をとること)
紹介元
当院外来
No.
323
手術年月
 '17年5月
年齢
60代
病名
(手術の目的)
左三叉神経痛
(顔面の痛みをとること)
紹介元
大阪府の病院
No.
322
手術年月
 '17年5月
年齢
70代
病名
(手術の目的)
三叉神経痛
(顔面の痛みをとること)
紹介元
大阪府の病院
No.
321
手術年月
 '17年5月
年齢
70代
病名
(手術の目的)
左三叉神経痛
(顔面の痛みをとること)
紹介元
大阪府の病院
No.
320
手術年月
 '17年5月
年齢
60代
病名
(手術の目的)
右顔面痙攣症
(痙攣をとること)
紹介元
当院外来
No.
319
手術年月
 '17年4月
年齢
50代
病名
(手術の目的)
左顔面痙攣症
(痙攣をとること)
紹介元
大阪府の病院
No.
318
手術年月
 '17年4月
年齢
60代
病名
(手術の目的)
顔面痙攣
(痙攣をとること)
紹介元
奈良県の病院
No.
317
手術年月
 '17年3月
年齢
60代
病名
(手術の目的)
三叉神経痛
(顔面の痛みをとること)
紹介元
当院外来
No.
316
手術年月
 '17年3月
年齢
60代
病名
(手術の目的)
顔面痙攣
(痙攣をとること)
紹介元
大阪府の病院
No.
315
手術年月
 '17年3月
年齢
60代
病名
(手術の目的)
左顔面痙攣
(痙攣をとること)
紹介元
京都府の病院
No.
314
手術年月
 '17年2月
年齢
30代
病名
(手術の目的)
右片側顔面痙攣
(痙攣をとること)
紹介元
大阪府の病院
No.
313
手術年月
 '17年2月
年齢
70代
病名
(手術の目的)
三叉神経痛
(顔面の痛みをとること)
紹介元
大阪府の病院
No.
312
手術年月
 '17年1月
年齢
60代
病名
(手術の目的)
三叉神経痛
(顔面の痛みをとること)
紹介元
大阪府の病院
No.
311
手術年月
 '16年11月
年齢
30代
病名
(手術の目的)
舌咽神経痛
(顔面の痛みをとること)
紹介元
大阪府の病院
No.
310
手術年月
 '16年11月
年齢
40代
病名
(手術の目的)
顔面痙攣
(痙攣をとること)
紹介元
当院外来
No.
309
手術年月
 '16年10月
年齢
50代
病名
(手術の目的)
三叉神経痛
(顔面の痛みをとること)
紹介元
当院外来
No.
308
手術年月
 '16年10月
年齢
70代
病名
(手術の目的)
顔面痙攣
(痙攣をとること)
紹介元
大阪府の病院
No.
307
手術年月
 '16年9月
年齢
60代
病名
(手術の目的)
右顔面痙攣
(痙攣をとること)
紹介元
当院外来
No.
306
手術年月
 '16年8月
年齢
50代
病名
(手術の目的)
顔面痙攣 三叉神経痛
(痙攣をとること、顔面の痛みをとること)
紹介元
当院外来
No.
305
手術年月
 '16年8月
年齢
50代
病名
(手術の目的)
顔面痙攣
(痙攣をとること)
紹介元
当院外来
No.
304
手術年月
 '16年8月
年齢
30代
病名
(手術の目的)
顔面痙攣症
(痙攣をとること)
紹介元
兵庫県の病院
No.
303
手術年月
 '16年7月
年齢
40代
病名
(手術の目的)
顔面痙攣症
(痙攣をとること)
紹介元
大阪府の病院
No.
302
手術年月
 '16年7月
年齢
70代
病名
(手術の目的)
左三叉神経痛
(顔面の痛みをとること)
紹介元
大阪府の病院
No.
301
手術年月
 '16年6月
年齢
50代
病名
(手術の目的)
顔面痙攣
(痙攣をとること)
紹介元
福井県の病院
No.
300
手術年月
 '16年6月
年齢
70代
病名
(手術の目的)
三叉神経痛
(顔面の痛みをとること)
紹介元
大阪府の病院
No.
299
手術年月
 '16年6月
年齢
50代
病名
(手術の目的)
顔面痙攣
(痙攣をとること)
紹介元
福井県の病院
No.
298
手術年月
 '16年5月
年齢
30代
病名
(手術の目的)
顔面痙攣症
(痙攣をとること)
紹介元
当院外来
No.
297
手術年月
 '16年5月
年齢
40代
病名
(手術の目的)
右顔面痙攣
(痙攣をとること)
紹介元
兵庫県の病院
No.
296
手術年月
 '16年4月
年齢
30代
病名
(手術の目的)
顔面痙攣症
(痙攣をとること)
紹介元
大阪府の病院
No.
295
手術年月
 '16年4月
年齢
30代
病名
(手術の目的)
顔面痙攣症
(痙攣をとること)
紹介元
兵庫県の病院
No.
294
手術年月
 '16年4月
年齢
20代
病名
(手術の目的)
三叉神経痛
(顔面の痛みをとること)
紹介元
大阪府の病院
No.
293
手術年月
 '16年3月
年齢
60代
病名
(手術の目的)
顔面痙攣症
(痙攣をとること)
紹介元
兵庫県の病院
No.
292
手術年月
 '16年3月
年齢
60代
病名
(手術の目的)
右顔面痙攣
(痙攣をとること)
紹介元
大阪府の病院
No.
291
手術年月
 '16年2月
年齢
60代
病名
(手術の目的)
顔面痙攣
(痙攣をとること)
紹介元
大阪府の病院
No.
290
手術年月
 '16年2月
年齢
60代
病名
(手術の目的)
顔面痙攣
(痙攣をとること)
紹介元
当院外来
No.
289
手術年月
 '16年1月
年齢
60代
病名
(手術の目的)
顔面麻痺
(痙攣をとること)
紹介元
当院外来
No.
288
手術年月
 '16年1月
年齢
50代
病名
(手術の目的)
顔面痙攣症
(痙攣をとること)
紹介元
大阪府の病院
No.
287
手術年月
 '16年1月
年齢
40代
病名
(手術の目的)
三叉神経痛
(顔面の痛みをとること)
紹介元
当院外来
No.
286
手術年月
 '15年12月
年齢
50代
病名
(手術の目的)
右顔面痙孿
(痙攣をとること)
紹介元
大阪府の病院
No.
285
手術年月
 '15年12月
年齢
50代
病名
(手術の目的)
三叉神経痛
(顔面の痛みをとること)
紹介元
当院外来
No.
284
手術年月
 '15年12月
年齢
50代
病名
(手術の目的)
顔面痙攣症
(痙攣をとること)
紹介元
大阪府の病院
No.
283
手術年月
 '15年11月
年齢
30代
病名
(手術の目的)
顔面痙攣症
(痙攣をとること)
紹介元
大阪府の病院
No.
282
手術年月
 '15年11月
年齢
40代
病名
(手術の目的)
顔面痙攣
(痙攣をとること)
紹介元
奈良県の病院
No.
281
手術年月
 '15年10月
年齢
60代
病名
(手術の目的)
顔面痙攣症
(痙攣をとること)
紹介元
当院外来
No.
280
手術年月
 '15年11月
年齢
30代
病名
(手術の目的)
左顔面痙攣
(痙攣をとること)
紹介元
当院外来
No.
279
手術年月
 '15年8月
年齢
30代
病名
(手術の目的)
顔面痙攣症
(痙攣をとること)
紹介元
大阪府の病院
No.
278
手術年月
 '15年8月
年齢
30代
病名
(手術の目的)
左顔面痙攣症
(痙攣をとること)
紹介元
当院外来
No.
277
手術年月
 '15年8月
年齢
50代
病名
(手術の目的)
顔面痙攣症
(痙攣をとること)
紹介元
大阪府の病院
No.
276
手術年月
 '15年8月
年齢
50代
病名
(手術の目的)
三叉神経痛
(顔面の痛みをとること)
紹介元
大阪府の病院
No.
275
手術年月
 '15年7月
年齢
60代
病名
(手術の目的)
顔面痙攣症
(痙攣をとること)
紹介元
当院外来
No.
274
手術年月
 '15年7月
年齢
50代
病名
(手術の目的)
三叉神経痛
(顔面の痛みをとること)
紹介元
大阪府の病院
No.
273
手術年月
 '15年6月
年齢
40代
病名
(手術の目的)
顔面痙攣
(痙攣をとること)
紹介元
当院外来
No.
272
手術年月
 '15年6月
年齢
50代
病名
(手術の目的)
舌咽神経痛
(顔面の痛みをとること)
紹介元
当院外来
No.
271
手術年月
 '15年6月
年齢
40代
病名
(手術の目的)
顔面痙攣症
(痙攣をとること)
紹介元
当院外来
No.
270
手術年月
 '15年6月
年齢
50代
病名
(手術の目的)
顔面痙攣症
(痙攣をとること)
紹介元
大阪府の病院
No.
269
手術年月
 '15年4月
年齢
70代
病名
(手術の目的)
三叉神経痛
(顔面の痛みをとること)
紹介元
大阪府の病院
No.
268
手術年月
 '15年4月
年齢
30代
病名
(手術の目的)
顔面痙攣
(痙攣をとること)
紹介元
当院外来
No.
267
手術年月
 '15年4月
年齢
60代
病名
(手術の目的)
左顔面痙攣
(痙攣をとること)
紹介元
当院外来
No.
266
手術年月
 '15年2月
年齢
60代
病名
(手術の目的)
左三叉神経痛
(顔面の痛みをとること)
紹介元
大阪府の病院
No.
265
手術年月
 '15年2月
年齢
60代
病名
(手術の目的)
三叉神経痛
(顔面の痛みをとること)
紹介元
当院外来
No.
264
手術年月
 '15年2月
年齢
70代
病名
(手術の目的)
三叉神経痛
(顔面の痛みをとること)
紹介元
大阪府の病院
No.
263
手術年月
 '15年1月
年齢
60代
病名
(手術の目的)
左顔面痙攣
(痙攣をとること)
紹介元
大阪府の病院
No.
262
手術年月
 '14年12月
年齢
70代
病名
(手術の目的)
左顔面痙攣
(痙攣をとること)
紹介元
大阪府の病院
No.
261
手術年月
 '14年12月
年齢
40代
病名
(手術の目的)
右三叉神経痛
(顔面の痛みをとること)
紹介元
当院外来
No.
260
手術年月
 '14年11月
年齢
20代
病名
(手術の目的)
右顔面痙攣
(痙攣をとること)
紹介元
当院外来
No.
259
手術年月
 '14年10月
年齢
70代
病名
(手術の目的)
舌咽神経痛
(顔面の痛みをとること)
紹介元
当院外来
No.
258
手術年月
 '14年10月
年齢
70代
病名
(手術の目的)
三叉神経痛
(顔面の痛みをとること)
紹介元
大阪府の病院
No.
257
手術年月
 '14年10月
年齢
50代
病名
(手術の目的)
顔面痙攣
(痙攣をとること)
紹介元
当院外来
No.
256
手術年月
 '14年10月
年齢
30代
病名
(手術の目的)
右三叉神経痛
(顔面の痛みをとること)
紹介元
大阪府の病院
No.
255
手術年月
 '14年10月
年齢
30代
病名
(手術の目的)
右顔面痙攣
(痙攣をとること)
紹介元
当院外来
No.
254
手術年月
 '14年10月
年齢
60代
病名
(手術の目的)
顔面痙攣
(痙攣をとること)
紹介元
当院外来
No.
253
手術年月
 '14年10月
年齢
70代
病名
(手術の目的)
右顔面痙攣
(痙攣をとること)
紹介元
当院外来
No.
252
手術年月
 '14年8月
年齢
60代
病名
(手術の目的)
左顔面痙攣
(痙攣をとること)
紹介元
大阪府の病院
No.
251
手術年月
 '14年7月
年齢
70代
病名
(手術の目的)
三叉神経痛
(顔面の痛みをとること)
紹介元
大阪府の病院
No.
250
手術年月
 '14年7月
年齢
30代
病名
(手術の目的)
右顔面痙攣
(痙攣をとること)
紹介元
大阪府の病院
No.
249
手術年月
 '14年7月
年齢
40代
病名
(手術の目的)
右顔面痙攣
(痙攣をとること)
紹介元
大阪府の病院
No.
248
手術年月
 '14年7月
年齢
30代
病名
(手術の目的)
左顔面痙攣
(痙攣をとること)
紹介元
大阪府の病院
No.
247
手術年月
 '14年7月
年齢
60代
病名
(手術の目的)
三叉神経痛
(顔面の痛みをとること)
紹介元
当院外来
No.
246
手術年月
 '14年6月
年齢
60代
病名
(手術の目的)
三叉神経痛
(顔面の痛みをとること)
紹介元
大阪府の病院
No.
245
手術年月
 '14年5月
年齢
40代
病名
(手術の目的)
右顔面痙攣症
(痙攣をとること)
紹介元
当院外来
No.
244
手術年月
 '14年5月
年齢
60代
病名
(手術の目的)
左三叉神経痛
(顔面の痛みをとること)
紹介元
当院外来
No.
243
手術年月
 '14年5月
年齢
40代
病名
(手術の目的)
左顔面痙攣
(痙攣をとること)
紹介元
当院外来
No.
242
手術年月
 '14年5月
年齢
60代
病名
(手術の目的)
三叉神経痛
(顔面の痛みをとること)
紹介元
大阪府の病院
No.
241
手術年月
 '14年4月
年齢
40代
病名
(手術の目的)
左顔面痙攣
(痙攣をとること)
紹介元
当院外来
No.
240
手術年月
 '14年4月
年齢
50代
病名
(手術の目的)
左顔面痙攣
(痙攣をとること)
紹介元
当院外来
No.
239
手術年月
 '14年4月
年齢
60代
病名
(手術の目的)
左顔面痙攣
(痙攣をとること)
紹介元
当院外来
No.
238
手術年月
 '14年2月
年齢
50代
病名
(手術の目的)
左顔面痙攣
(痙攣をとること)
紹介元
当院外来
No.
237
手術年月
 '14年2月
年齢
60代
病名
(手術の目的)
顔面痙攣
(痙攣をとること)
紹介元
当院外来
No.
236
手術年月
 '14年2月
年齢
50代
病名
(手術の目的)
左顔面痙攣
(痙攣をとること)
紹介元
当院外来
No.
235
手術年月
 '14年2月
年齢
40代
病名
(手術の目的)
顔面痙攣
(痙攣をとること)
紹介元
当院外来
No.
234
手術年月
 '14年1月
年齢
40代
病名
(手術の目的)
三叉神経痛
(顔面の痛みをとること)
紹介元
当院外来
No.
233
手術年月
 '13年12月
年齢
40代
病名
(手術の目的)
右顔面痙攣
(痙攣をとること)
紹介元
大阪府の病院
No.
232
手術年月
 '13年12月
年齢
60代
病名
(手術の目的)
三叉神経痛
(顔面の痛みをとること)
紹介元
当院外来
No.
231
手術年月
 '13年11月
年齢
70代
病名
(手術の目的)
顔面痙攣
(痙攣をとること)
紹介元
大阪府の病院
No.
230
手術年月
 '13年11月
年齢
50代
病名
(手術の目的)
顔面痙攣
(痙攣をとること)
紹介元
当院外来
No.
229
手術年月
 '13年11月
年齢
50代
病名
(手術の目的)
右顔面痙攣
(痙攣をとること)
紹介元
当院外来
No.
228
手術年月
 '13年11月
年齢
40代
病名
(手術の目的)
顔面痙攣
(痙攣をとること)
紹介元
当院外来
No.
227
手術年月
 '13年10月
年齢
20代
病名
(手術の目的)
右顔面痙攣
(痙攣をとること)
紹介元
当院外来
No.
226
手術年月
 '13年10月
年齢
50代
病名
(手術の目的)
顔面痙攣
(痙攣をとること)
紹介元
大阪府の病院
No.
225
手術年月
 '13年10月
年齢
30代
病名
(手術の目的)
顔面痙攣
(痙攣をとること)
紹介元
当院外来
No.
224
手術年月
 '13年10月
年齢
60代
病名
(手術の目的)
右顔面痙攣
(痙攣をとること)
紹介元
当院外来
No.
223
手術年月
 '13年9月
年齢
70代
病名
(手術の目的)
三叉神経痛
(顔面の痛みをとること)
紹介元
大阪府の病院
No.
222
手術年月
 '13年9月
年齢
50代
病名
(手術の目的)
三叉神経痛
(顔面の痛みをとること)
紹介元
当院外来
No.
221
手術年月
 '13年9月
年齢
40代
病名
(手術の目的)
三叉神経痛
(顔面の痛みをとること)
紹介元
当院外来
No.
220
手術年月
 '13年9月
年齢
70代
病名
(手術の目的)
顔面痙攣
(痙攣をとること)
紹介元
大阪府の病院
No.
219
手術年月
 '13年9月
年齢
70代
病名
(手術の目的)
右顔面痙攣
(痙攣をとること)
紹介元
大阪府の病院
No.
218
手術年月
 '13年7月
年齢
50代
病名
(手術の目的)
左三叉神経痛
(顔面の痛みをとること)
紹介元
奈良県の病院
No.
217
手術年月
 '13年7月
年齢
50代
病名
(手術の目的)
顔面痙攣
(痙攣をとること)
紹介元
奈良県の病院
No.
216
手術年月
 '13年7月
年齢
60代
病名
(手術の目的)
左三叉神経痛第2枝領域
(顔面の痛みをとること)
紹介元
当院外来
No.
215
手術年月
 '13年6月
年齢
60代
病名
(手術の目的)
右三叉神経痛第2・3枝領域
(顔面の痛みをとること)
紹介元
当院外来
No.
214
手術年月
 '13年5月
年齢
60代
病名
(手術の目的)
顔面痙攣
(痙攣をとること)
紹介元
大阪府の病院
No.
213
手術年月
 '13年5月
年齢
60代
病名
(手術の目的)
顔面痙攣
(痙攣をとること)
紹介元
当院外来
No.
212
手術年月
 '13年5月
年齢
60代
病名
(手術の目的)
左顔面痙攣
(痙攣をとること)
紹介元
当院外来
No.
211
手術年月
 '13年5月
年齢
60代
病名
(手術の目的)
右顔面痙攣
(痙攣をとること)
紹介元
大阪府の病院
No.
210
手術年月
 '13年4月
年齢
70代
病名
(手術の目的)
三叉神経痛
(顔面の痛みをとること)
紹介元
大阪府の病院
No.
209
手術年月
 '13年4月
年齢
40代
病名
(手術の目的)
右三叉神経痛
(顔面の痛みをとること)
紹介元
当院外来
No.
208
手術年月
 '13年4月
年齢
50代
病名
(手術の目的)
左三叉神経痛
(顔面の痛みをとること)
紹介元
当院外来
No.
207
手術年月
 '13年3月
年齢
70代
病名
(手術の目的)
右三叉神経痛
(顔面の痛みをとること)
紹介元
兵庫県の病院
No.
206
手術年月
 '13年3月
年齢
50代
病名
(手術の目的)
顔面痙攣
(痙攣をとること)
紹介元
当院外来
No.
205
手術年月
 '13年2月
年齢
50代
病名
(手術の目的)
顔面痙攣
(痙攣をとること)
紹介元
沖縄県の病院
No.
204
手術年月
 '13年2月
年齢
60代
病名
(手術の目的)
左顔面痙攣
(痙攣をとること)
紹介元
当院外来
No.
203
手術年月
 '13年2月
年齢
30代
病名
(手術の目的)
右顔面痙攣
(痙攣をとること)
紹介元
当院外来
No.
202
手術年月
 '13年2月
年齢
50代
病名
(手術の目的)
顔面痙攣
(痙攣をとること)
紹介元
当院外来
No.
201
手術年月
 '13年1月
年齢
60代
病名
(手術の目的)
左三叉神経痛
(顔面の痛みをとること)
紹介元
当院外来
No.
200
手術年月
 '13年1月
年齢
30代
病名
(手術の目的)
左顔面痙攣
(痙攣をとること)
紹介元
当院外来
No.
199
手術年月
 '12年11月
年齢
30代
病名
(手術の目的)
左顔面痙攣
(痙攣をとること)
紹介元
当院外来
No.
198
手術年月
 '12年11月
年齢
50代
病名
(手術の目的)
三叉・舌咽神経痛
(顔面の痛みをとること)
紹介元
大阪府の病院
No.
197
手術年月
 '12年10月
年齢
50代
病名
(手術の目的)
右顔面痙攣
(痙攣をとること)
紹介元
当院外来
No.
196
手術年月
 '12年10月
年齢
70代
病名
(手術の目的)
右顔面痙攣
(痙攣をとること)
紹介元
当院外来
No.
195
手術年月
 '12年9月
年齢
50代
病名
(手術の目的)
顔面痙攣
(痙攣をとること)
紹介元
当院外来
No.
194
手術年月
 '12年9月
年齢
60代
病名
(手術の目的)
三叉神経痛
(顔面の痛みをとること)
紹介元
兵庫県の病院
No.
193
手術年月
 '12年9月
年齢
50代
病名
(手術の目的)
左三叉神経痛
(顔面の痛みをとること)
紹介元
和歌山県の病院
No.
192
手術年月
 '12年9月
年齢
30代
病名
(手術の目的)
左外転神経麻痺
(麻痺をとること)
紹介元
奈良県の病院
No.
191
手術年月
 '12年9月
年齢
70代
病名
(手術の目的)
顔面痙攣
(痙攣をとること)
紹介元
大阪府の病院
No.
190
手術年月
 '12年9月
年齢
60代
病名
(手術の目的)
三叉神経痛
(顔面の痛みをとること)
紹介元
当院外来
No.
189
手術年月
 '12年8月
年齢
40代
病名
(手術の目的)
顔面痙攣
(痙攣をとること)
紹介元
大阪府の病院
No.
188
手術年月
 '12年8月
年齢
70代
病名
(手術の目的)
左顔面痙攣
(痙攣をとること)
紹介元
当院外来
No.
187
手術年月
 '12年8月
年齢
50代
病名
(手術の目的)
左顔面痙攣
(痙攣をとること)
紹介元
大阪府の病院
No.
186
手術年月
 '12年8月
年齢
20代
病名
(手術の目的)
右顔面痙攣
(痙攣をとること)
紹介元
当院外来
No.
185
手術年月
 '12年7月
年齢
70代
病名
(手術の目的)
左顔面痙攣麻痺
(顔面の痛み・麻痺をとること)
紹介元
当院外来
No.
184
手術年月
 '12年6月
年齢
50代
病名
(手術の目的)
右三叉神経痛
(顔面の痛みをとること)
紹介元
兵庫県の病院
No.
183
手術年月
 '12年5月
年齢
60代
病名
(手術の目的)
三叉神経痛
(顔面の痛みをとること)
紹介元
大阪府の病院
No.
182
手術年月
 '12年5月
年齢
50代
病名
(手術の目的)
右三叉神経痛
(顔面の痛みをとること)
紹介元
大阪府の病院
No.
181
手術年月
 '12年5月
年齢
20代
病名
(手術の目的)
顔面痙攣
(痙攣をとること)
紹介元
当院外来
No.
180
手術年月
 '12年4月
年齢
60代
病名
(手術の目的)
顔面痙攣
(痙攣をとること)
紹介元
大阪府の病院
No.
179
手術年月
 '12年3月
年齢
50代
病名
(手術の目的)
左顔面痙攣
(痙攣をとること)
紹介元
大阪府の病院
No.
178
手術年月
 '12年2月
年齢
60代
病名
(手術の目的)
左三叉神経痛
(顔面の痛みをとること)
紹介元
当院外来
No.
177
手術年月
 '12年2月
年齢
70代
病名
(手術の目的)
右三叉神経痛第2・3領域
(顔面の痛みをとること)
紹介元
大阪府の病院
No.
176
手術年月
 '11年12月
年齢
40代
病名
(手術の目的)
左顔面痙攣
(痙攣をとること)
紹介元
当院外来
No.
175
手術年月
 '11年12月
年齢
30代
病名
(手術の目的)
左顔面痙攣
(痙攣をとること)
紹介元
大阪府の病院
No.
174
手術年月
 '11年12月
年齢
40代
病名
(手術の目的)
左顔面痙攣
(痙攣をとること)
紹介元
当院外来
No.
173
手術年月
 '11年11月
年齢
60代
病名
(手術の目的)
三叉神経痛
(顔面の痛みをとること)
紹介元
当院外来
No.
172
手術年月
 '11年11月
年齢
80代
病名
(手術の目的)
右三叉神経痛
(顔面の痛みをとること)
紹介元
大阪府の病院
No.
171
手術年月
 '11年11月
年齢
70代
病名
(手術の目的)
三叉神経痛
(顔面の痛みをとること)
紹介元
大阪府の病院
No.
170
手術年月
 '11年10月
年齢
60代
病名
(手術の目的)
顔面痙攣
(痙攣をとること)
紹介元
当院外来
No.
169
手術年月
 '11年10月
年齢
60代
病名
(手術の目的)
右三叉神経痛
(顔面の痛みをとること)
紹介元
当院外来
No.
168
手術年月
 '11年9月
年齢
70代
病名
(手術の目的)
顔面痙攣
(痙攣をとること)
紹介元
当院外来
No.
167
手術年月
 '11年8月
年齢
60代
病名
(手術の目的)
延髄圧迫症侯群
(痙攣をとること)
紹介元
当院外来
No.
166
手術年月
 '12年5月
年齢
60代
病名
(手術の目的)
左三叉神経痛
(顔面の痛みをとること)
紹介元
当院外来
No.
165
手術年月
 '11年3月
年齢
60代
病名
(手術の目的)
三叉神経痛
(顔面の痛みをとること)
紹介元
当院外来
No.
164
手術年月
 '11年3月
年齢
60代
病名
(手術の目的)
右顔面痙攣
(痙攣をとること)
紹介元
当院外来
No.
163
手術年月
 '11年2月
年齢
70代
病名
(手術の目的)
右顔面痙攣
(痙攣をとること)
紹介元
当院外来
No.
162
手術年月
 '11年1月
年齢
70代
病名
(手術の目的)
三叉神経痛
(顔面の痛みをとること)
紹介元
大阪府の病院
No.
161
手術年月
 '10年12月
年齢
60代
病名
(手術の目的)
右顔面痙攣
(痙攣をとること)
紹介元
当院外来
No.
160
手術年月
 '10年12月
年齢
80代
病名
(手術の目的)
右三叉神経痛
(顔面の痛みをとること)
紹介元
当院外来
No.
159
手術年月
 '10年12月
年齢
60代
病名
(手術の目的)
三叉神経痛
(顔面の痛みをとること)
紹介元
当院外来
No.
158
手術年月
 '10年10月
年齢
40代
病名
(手術の目的)
顔面痙攣
(痙攣をとること)
紹介元
当院外来
No.
157
手術年月
 '10年9月
年齢
60代
病名
(手術の目的)
右顔面痙攣
(痙攣をとること)
紹介元
大阪府の病院
No.
156
手術年月
 '10年8月
年齢
60代
病名
(手術の目的)
三叉神経痛
(顔面の痛みをとること)
紹介元
当院外来
No.
155
手術年月
 '10年7月
年齢
50代
病名
(手術の目的)
延髄圧症候群
(痙攣をとること)
紹介元
島根県の病院
No.
154
手術年月
 '10年7月
年齢
60代
病名
(手術の目的)
三叉神経痛
(顔面の痛みをとること)
紹介元
大阪府の病院
No.
153
手術年月
 '10年7月
年齢
40代
病名
(手術の目的)
顔面痙攣
(痙攣をとること)
紹介元
徳島県の病院
No.
152
手術年月
 '10年7月
年齢
60代
病名
(手術の目的)
左顔面痙攣
(痙攣をとること)
紹介元
当院外来
No.
151
手術年月
 '10年7月
年齢
40代
病名
(手術の目的)
顔面痙攣
(痙攣をとること)
紹介元
大阪府の病院
No.
150
手術年月
 '10年5月
年齢
50代
病名
(手術の目的)
右顔面痙攣
(痙攣をとること)
紹介元
当院外来
No.
149
手術年月
 '10年4月
年齢
20代
病名
(手術の目的)
右顔面痙攣
(痙攣をとること)
紹介元
大阪府の病院
No.
148
手術年月
 '10年3月
年齢
40代
病名
(手術の目的)
顔面痙攣
(痙攣をとること)
紹介元
京都府の病院
No.
147
手術年月
 '10年2月
年齢
60代
病名
(手術の目的)
顔面痙攣
(痙攣をとること)
紹介元
当院外来
No.
146
手術年月
 '10年2月
年齢
40代
病名
(手術の目的)
顔面痙攣
(痙攣をとること)
紹介元
当院外来
No.
145
手術年月
 '10年1月
年齢
60代
病名
(手術の目的)
顔面痙攣
(痙攣をとること)
紹介元
当院外来
No.
144
手術年月
 '10年1月
年齢
50代
病名
(手術の目的)
顔面痙攣
(痙攣をとること)
紹介元
当院外来
No.
143
手術年月
 '09年12月
年齢
60代
病名
(手術の目的)
左顔面痙攣
(痙攣をとること)
紹介元
当院外来
No.
142
手術年月
 '09年12月
年齢
50代
病名
(手術の目的)
右顔面痙攣
(痙攣をとること)
紹介元
当院外来
No.
141
手術年月
 '09年11月
年齢
60代
病名
(手術の目的)
顔面痙攣
(痙攣をとること)
紹介元
当院外来
No.
140
手術年月
 '09年11月
年齢
50代
病名
(手術の目的)
右顔面痙攣
(痙攣をとること)
紹介元
当院外来
No.
139
手術年月
 '09年10月
年齢
30代
病名
(手術の目的)
右顔面痙攣
(痙攣をとること)
紹介元
当院外来
No.
138
手術年月
 '09年10月
年齢
40代
病名
(手術の目的)
右顔面痙攣
(痙攣をとること)
紹介元
大阪府の病院
No.
137
手術年月
 '09年9月
年齢
50代
病名
(手術の目的)
右三叉神経痛
(顔面の痛みをとること)
紹介元
大阪府の病院
No.
136
手術年月
 '09年9月
年齢
50代
病名
(手術の目的)
右片側顔面神経麻痺
(麻痺をとること)
紹介元
当院外来
No.
135
手術年月
 '09年8月
年齢
60代
病名
(手術の目的)
左顔面痙攣
(痙攣をとること)
紹介元
当院外来
No.
134
手術年月
 '09年8月
年齢
70代
病名
(手術の目的)
三叉神経痛
(顔面の痛みをとること)
紹介元
当院外来
No.
133
手術年月
 '09年8月
年齢
50代
病名
(手術の目的)
右顔面痙攣
(痙攣をとること)
紹介元
大阪府の病院
No.
132
手術年月
 '09年7月
年齢
60代
病名
(手術の目的)
右三叉神経痛
(顔面の痛みをとること)
紹介元
当院外来
No.
131
手術年月
 '09年7月
年齢
70代
病名
(手術の目的)
右顔面痙攣
(痙攣をとること)
紹介元
大阪府の病院
No.
130
手術年月
 '09年7月
年齢
50代
病名
(手術の目的)
三叉神経痛
(顔面の痛みをとること)
紹介元
大阪府の病院
No.
129
手術年月
 '09年7月
年齢
50代
病名
(手術の目的)
顔面痙攣
(痙攣をとること)
紹介元
大阪府の病院
No.
128
手術年月
 '09年6月
年齢
70代
病名
(手術の目的)
左三叉神経痛
(顔面の痛みをとること)
紹介元
大阪府の病院
No.
127
手術年月
 '09年5月
年齢
60代
病名
(手術の目的)
右顔面痙攣
(痙攣をとること)
紹介元
当院外来
No.
126
手術年月
 '09年3月
年齢
50代
病名
(手術の目的)
三叉神経痛
(顔面の痛みをとること)
紹介元
当院外来
No.
125
手術年月
 '08年12月
年齢
30代
病名
(手術の目的)
左顔面神経麻痺
(麻痺をとること)
紹介元
大阪府の病院
No.
124
手術年月
 '08年12月
年齢
40代
病名
(手術の目的)
右顔面痙攣
(痙攣をとること)
紹介元
当院外来
No.
123
手術年月
 '08年10月
年齢
50代
病名
(手術の目的)
左顔面痙攣
(痙攣をとること)
紹介元
当院外来
No.
122
手術年月
 '08年10月
年齢
60代
病名
(手術の目的)
右三叉神経痛
(顔面の痛みをとること)
紹介元
大阪府の病院
No.
121
手術年月
 '08年9月
年齢
60代
病名
(手術の目的)
右顔面痙攣
(痙攣をとること)
紹介元
奈良県の病院
No.
120
手術年月
 '08年8月
年齢
20代
病名
(手術の目的)
右顔面痙攣
(痙攣をとること)
紹介元
当院外来
No.
119
手術年月
 '08年8月
年齢
70代
病名
(手術の目的)
右顔面痙攣
(痙攣をとること)
紹介元
大阪府の病院
No.
118
手術年月
 '08年8月
年齢
30代
病名
(手術の目的)
右顔面痙攣
(痙攣をとること)
紹介元
大阪府の病院
No.
117
手術年月
 '08年8月
年齢
80代
病名
(手術の目的)
右顔面痙攣
(痙攣をとること)
紹介元
当院外来
No.
116
手術年月
 '08年7月
年齢
60代
病名
(手術の目的)
右三叉神経痛
(顔面の痛みをとること)
紹介元
当院外来
No.
115
手術年月
 '08年7月
年齢
40代
病名
(手術の目的)
左顔面痙攣
(痙攣をとること)
紹介元
大阪府の病院
No.
114
手術年月
 '08年6月
年齢
70代
病名
(手術の目的)
左顔面痙攣
(痙攣をとること)
紹介元
大阪府の病院
No.
113
手術年月
 '08年5月
年齢
60代
病名
(手術の目的)
右三叉神経痛
(顔面の痛みをとること)
紹介元
当院外来
No.
112
手術年月
 '08年5月
年齢
60代
病名
(手術の目的)
右三叉神経痛
(顔面の痛みをとること)
紹介元
大阪府の病院
No.
111
手術年月
 '08年3月
年齢
50代
病名
(手術の目的)
右三叉神経痛
(顔面の痛みをとること)
紹介元
兵庫県の病院
No.
110
手術年月
 '08年3月
年齢
70代
病名
(手術の目的)
右三叉神経痛
(顔面の痛みをとること)
紹介元
大阪府の病院
No.
109
手術年月
 '08年3月
年齢
40代
病名
(手術の目的)
左顔面痙攣
(痙攣をとること)
紹介元
当院外来
No.
108
手術年月
 '08年1月
年齢
20代
病名
(手術の目的)
右三叉神経痛
(顔面の痛みをとること)
紹介元
大阪府の病院
No.
107
手術年月
 '08年1月
年齢
50代
病名
(手術の目的)
右顔面痙攣
(痙攣をとること)
紹介元
当院外来
No.
106
手術年月
 '07年12月
年齢
40代
病名
(手術の目的)
顔面痙攣
(痙攣をとること)
紹介元
当院外来
No.
105
手術年月
 '07年12月
年齢
60代
病名
(手術の目的)
右顔面痙攣
(痙攣をとること)
紹介元
大阪府の病院
No.
104
手術年月
 '07年11月
年齢
50代
病名
(手術の目的)
左顔面痙攣
(痙攣をとること)
紹介元
大阪府の病院
No.
103
手術年月
 '07年11月
年齢
70代
病名
(手術の目的)
三叉神経痛
(顔面の痛みをとること)
紹介元
当院外来
No.
102
手術年月
 '07年10月
年齢
30代
病名
(手術の目的)
顔面痙攣
(痙攣をとること)
紹介元
大阪府の病院
No.
101
手術年月
 '07年10月
年齢
60代
病名
(手術の目的)
右顔面痙攣
(痙攣をとること)
紹介元
大阪府の病院
No.
100
手術年月
 '07年9月
年齢
70代
病名
(手術の目的)
右顔面痙攣
(痙攣をとること)
紹介元
当院外来
No.
99
手術年月
 '07年9月
年齢
50代
病名
(手術の目的)
左顔面痙攣
(痙攣をとること)
紹介元
当院外来
No.
98
手術年月
 '07年8月
年齢
50代
病名
(手術の目的)
左舌咽神経痛
(顔面の痛みをとること)
紹介元
当院外来
No.
97
手術年月
 '07年6月
年齢
50代
病名
(手術の目的)
左顔面痙攣
(痙攣をとること)
紹介元
兵庫県の病院
No.
96
手術年月
 '07年3月
年齢
50代
病名
(手術の目的)
左三叉神経痛
(顔面の痛みをとること)
紹介元
当院外来
No.
95
手術年月
 '07年3月
年齢
30代
病名
(手術の目的)
左顔面痙攣
(痙攣をとること)
紹介元
当院外来
No.
94
手術年月
 '07年2月
年齢
40代
病名
(手術の目的)
左顔面痙攣
(痙攣をとること)
紹介元
当院外来
No.
93
手術年月
 '07年1月
年齢
60代
病名
(手術の目的)
三叉神経痛
(顔面の痛みをとること)
紹介元
大阪府の病院
No.
92
手術年月
 '07年1月
年齢
50代
病名
(手術の目的)
顔面痙攣
(痙攣をとること)
紹介元
大阪府の病院
No.
91
手術年月
 '07年1月
年齢
50代
病名
(手術の目的)
右顔面痙攣
(痙攣をとること)
紹介元
兵庫県の病院
No.
90
手術年月
 '06年12月
年齢
60代
病名
(手術の目的)
右三叉神経痛
(顔面の痛みをとること)
紹介元
当院外来
No.
89
手術年月
 '06年11月
年齢
50代
病名
(手術の目的)
右顔面痙攣
(痙攣をとること)
紹介元
当院外来
No.
88
手術年月
 '06年10月
年齢
60代
病名
(手術の目的)
右三叉神経痛
(顔面の痛みをとること)
紹介元
大阪府の病院
No.
87
手術年月
 '06年9月
年齢
50代
病名
(手術の目的)
右三叉神経痛
(顔面の痛みをとること)
紹介元
当院外来
No.
86
手術年月
 '06年8月
年齢
40代
病名
(手術の目的)
右顔面痙攣
(痙攣をとること)
紹介元
大阪府の病院
No.
85
手術年月
 '06年8月
年齢
30代
病名
(手術の目的)
右三叉神経痛
(顔面の痛みをとること)
紹介元
当院外来
No.
84
手術年月
 '06年4月
年齢
60代
病名
(手術の目的)
左三又神経痛
(顔面の痛みをとること)
紹介元
当院外来
No.
83
手術年月
 '06年3月
年齢
60代
病名
(手術の目的)
三叉神経痛
(顔面の痛みをとること)
紹介元
当院外来
No.
82
手術年月
 '06年3月
年齢
50代
病名
(手術の目的)
左顔面痙攣
(痙攣をとること)
紹介元
当院外来
No.
81
手術年月
 '06年2月
年齢
50代
病名
(手術の目的)
左三叉神経痛
(顔面の痛みをとること)
紹介元
大阪府の病院
No.
80
手術年月
 '06年2月
年齢
60代
病名
(手術の目的)
左顔面痙攣
(痙攣をとること)
紹介元
大阪府の病院
No.
79
手術年月
 '05年12月
年齢
70代
病名
(手術の目的)
右顔面痙攣
(痙攣をとること)
紹介元
当院外来
No.
78
手術年月
 '05年10月
年齢
50代
病名
(手術の目的)
左顔面痙攣
(痙攣をとること)
紹介元
大阪府の病院
No.
77
手術年月
 '05年10月
年齢
60代
病名
(手術の目的)
左顔面痙攣
(痙攣をとること)
紹介元
大阪府の病院
No.
76
手術年月
 '05年10月
年齢
40代
病名
(手術の目的)
右顔面痙攣
(痙攣をとること)
紹介元
当院外来
No.
75
手術年月
 '05年7月
年齢
60代
病名
(手術の目的)
左顔面痙攣
(痙攣をとること)
紹介元
当院外来
No.
74
手術年月
 '05年7月
年齢
70代
病名
(手術の目的)
左三叉神経痛
(顔面の痛みをとること)
紹介元
当院外来
No.
73
手術年月
 '05年7月
年齢
50代
病名
(手術の目的)
右顔面痙攣
(痙攣をとること)
紹介元
当院外来
No.
72
手術年月
 '05年6月
年齢
50代
病名
(手術の目的)
左顔面痙攣
(痙攣をとること)
紹介元
当院外来
No.
71
手術年月
 '05年6月
年齢
60代
病名
(手術の目的)
右顔面痙攣
(痙攣をとること)
紹介元
大阪府の病院
No.
70
手術年月
 '05年5月
年齢
50代
病名
(手術の目的)
右顔面痙攣
(痙攣をとること)
紹介元
当院外来
No.
69
手術年月
 '05年3月
年齢
それ以外
病名
(手術の目的)
右顔面痙攣
(痙攣をとること)
紹介元
当院外来
No.
68
手術年月
 '04年11月
年齢
70代
病名
(手術の目的)
右三叉神経痛
(顔面の痛みをとること)
紹介元
当院外来
No.
67
手術年月
 '04年11月
年齢
60代
病名
(手術の目的)
右顔面痙攣
(痙攣をとること)
紹介元
大阪府の病院
No.
66
手術年月
 '04年10月
年齢
50代
病名
(手術の目的)
右舌咽神経痛
(顔面の痛みをとること)
紹介元
当院外来
No.
65
手術年月
 '04年9月
年齢
40代
病名
(手術の目的)
左三叉神経痛
(顔面の痛みをとること)
紹介元
当院外来
No.
64
手術年月
 '04年7月
年齢
60代
病名
(手術の目的)
右三叉神経痛
(顔面の痛みをとること)
紹介元
当院外来
No.
63
手術年月
 '04年5月
年齢
60代
病名
(手術の目的)
左顔面痙攣
(痙攣をとること)
紹介元
当院外来
No.
62
手術年月
 '04年4月
年齢
60代
病名
(手術の目的)
左三叉神経痛
(顔面の痛みをとること)
紹介元
当院外来
No.
61
手術年月
 '04年3月
年齢
70代
病名
(手術の目的)
左顔面痙攣
(痙攣をとること)
紹介元
当院外来
No.
60
手術年月
 '03年12月
年齢
40代
病名
(手術の目的)
右顔面痙攣
(痙攣をとること)
紹介元
当院外来
No.
59
手術年月
 '03年11月
年齢
50代
病名
(手術の目的)
左顔面痙攣
(痙攣をとること)
紹介元
当院外来
No.
58
手術年月
 '03年8月
年齢
30代
病名
(手術の目的)
左顔面痙攣
(痙攣をとること)
紹介元
大阪府の病院
No.
57
手術年月
 '03年7月
年齢
50代
病名
(手術の目的)
右顔面痙攣
(痙攣をとること)
紹介元
大阪府の病院
No.
56
手術年月
 '03年1月
年齢
50代
病名
(手術の目的)
右三叉神経痛
(顔面の痛みをとること)
紹介元
当院外来
No.
55
手術年月
 '03年1月
年齢
60代
病名
(手術の目的)
左顔面痙攣
(痙攣をとること)
紹介元
当院外来
No.
54
手術年月
 '02年7月
年齢
それ以外
病名
(手術の目的)
右三叉神経痛
(顔面の痛みをとること)
紹介元
当院外来
No.
53
手術年月
 '02年4月
年齢
それ以外
病名
(手術の目的)
左三叉神経痛
(顔面の痛みをとること)
紹介元
当院外来
No.
52
手術年月
 '02年3月
年齢
それ以外
病名
(手術の目的)
右顔面痙攣・小脳髄膜腫
(痙攣と腫瘍をとること)
紹介元
当院外来
No.
51
手術年月
 '01年11月
年齢
それ以外
病名
(手術の目的)
右三叉神経痛
(顔面の痛みをとること)
紹介元
当院外来
No.
50
手術年月
 '01年9月
年齢
それ以外
病名
(手術の目的)
左顔面痙攣
(痙攣をとること)
紹介元
当院外来
No.
49
手術年月
 '01年9月
年齢
それ以外
病名
(手術の目的)
左顔面痙攣
(痙攣をとること)
紹介元
当院外来
No.
48
手術年月
 '01年7月
年齢
それ以外
病名
(手術の目的)
右顔面痙攣
(痙攣をとること)
紹介元
当院外来
No.
47
手術年月
 '01年6月
年齢
それ以外
病名
(手術の目的)
右三叉神経痛
(顔面の痛みをとること)
紹介元
当院外来
No.
46
手術年月
 '01年6月
年齢
それ以外
病名
(手術の目的)
左三叉神経痛
(顔面の痛みをとること)
紹介元
当院外来
No.
45
手術年月
 '01年2月
年齢
それ以外
病名
(手術の目的)
左顔面痙攣
(痙攣をとること)
紹介元
当院外来
No.
44
手術年月
 '01年2月
年齢
それ以外
病名
(手術の目的)
右顔面痙攣
(痙攣をとること)
紹介元
当院外来
No.
43
手術年月
 '01年2月
年齢
それ以外
病名
(手術の目的)
左顔面痙攣
(痙攣をとること)
紹介元
当院外来
No.
42
手術年月
 '01年1月
年齢
それ以外
病名
(手術の目的)
右顔面痙攣
(痙攣をとること)
紹介元
当院外来
No.
41
手術年月
 '00年12月
年齢
それ以外
病名
(手術の目的)
右顔面痙攣
(痙攣をとること)
紹介元
当院外来
No.
40
手術年月
 '00年10月
年齢
それ以外
病名
(手術の目的)
左顔面痙攣
(痙攣をとること)
紹介元
当院外来
No.
39
手術年月
 '00年8月
年齢
それ以外
病名
(手術の目的)
右顔面痙攣
(痙攣をとること)
紹介元
当院外来
No.
38
手術年月
 '00年5月
年齢
それ以外
病名
(手術の目的)
右三叉神経痛
(顔面の痛みをとること)
紹介元
当院外来
No.
37
手術年月
 '00年4月
年齢
それ以外
病名
(手術の目的)
三叉神経痛
(顔面の痛みをとること)
紹介元
当院外来
No.
36
手術年月
 '00年2月
年齢
それ以外
病名
(手術の目的)
右顔面痙攣
(痙攣をとること)
紹介元
当院外来
No.
35
手術年月
 '00年2月
年齢
それ以外
病名
(手術の目的)
左顔面痙攣
(痙攣をとること)
紹介元
当院外来
No.
34
手術年月
 '00年1月
年齢
それ以外
病名
(手術の目的)
左顔面痙攣
(痙攣をとること)
紹介元
当院外来
No.
33
手術年月
 '99年11月
年齢
それ以外
病名
(手術の目的)
右顔面痙攣
(痙攣をとること)
紹介元
当院外来
No.
32
手術年月
 '99年8月
年齢
それ以外
病名
(手術の目的)
右顔面痙攣
(痙攣をとること)
紹介元
当院外来
No.
31
手術年月
 '99年8月
年齢
それ以外
病名
(手術の目的)
左顔面痙攣
(痙攣をとること)
紹介元
当院外来
No.
30
手術年月
 '99年7月
年齢
それ以外
病名
(手術の目的)
左三叉神経痛・舌咽神経痛
(顔面の痛みをとること)
紹介元
当院外来
No.
29
手術年月
 '99年6月
年齢
それ以外
病名
(手術の目的)
三叉神経痛
(顔面の痛みをとること)
紹介元
当院外来
No.
28
手術年月
 '99年4月
年齢
それ以外
病名
(手術の目的)
左顔面痙攣
(痙攣をとること)
紹介元
当院外来
No.
27
手術年月
 '99年4月
年齢
それ以外
病名
(手術の目的)
左顔面痙攣
(痙攣をとること)
紹介元
当院外来
No.
26
手術年月
 '99年2月
年齢
それ以外
病名
(手術の目的)
左三叉神経痛
(顔面の痛みをとること)
紹介元
当院外来
No.
25
手術年月
 '99年1月
年齢
それ以外
病名
(手術の目的)
左片麻痺
(麻痺をとること)
紹介元
当院外来
No.
24
手術年月
 '98年10月
年齢
それ以外
病名
(手術の目的)
右顔面痙攣
(痙攣をとること)
紹介元
当院外来
No.
23
手術年月
 '98年10月
年齢
それ以外
病名
(手術の目的)
左顔面痙攣
(痙攣をとること)
紹介元
当院外来
No.
22
手術年月
 '98年10月
年齢
それ以外
病名
(手術の目的)
右三叉神経痛
(顔面の痛みをとること)
紹介元
当院外来
No.
21
手術年月
 '98年9月
年齢
それ以外
病名
(手術の目的)
左顔面痙攣
(痙攣をとること)
紹介元
当院外来
No.
20
手術年月
 '98年9月
年齢
それ以外
病名
(手術の目的)
左顔面痙攣
(痙攣をとること)
紹介元
当院外来
No.
19
手術年月
 '98年9月
年齢
それ以外
病名
(手術の目的)
左顔面痙攣
(痙攣をとること)
紹介元
当院外来
No.
18
手術年月
 '98年9月
年齢
それ以外
病名
(手術の目的)
右顔面痙攣
(痙攣をとること)
紹介元
当院外来
No.
17
手術年月
 '98年6月
年齢
それ以外
病名
(手術の目的)
右三叉神経痛
(顔面の痛みをとること)
紹介元
当院外来
No.
16
手術年月
 '98年6月
年齢
それ以外
病名
(手術の目的)
右三叉神経痛
(顔面の痛みをとること)
紹介元
当院外来
No.
15
手術年月
 '98年6月
年齢
それ以外
病名
(手術の目的)
右顔面痙攣
(痙攣をとること)
紹介元
当院外来
No.
14
手術年月
 '98年6月
年齢
それ以外
病名
(手術の目的)
右三叉神経痛
(顔面の痛みをとること)
紹介元
当院外来
No.
13
手術年月
 '98年6月
年齢
それ以外
病名
(手術の目的)
左顔面痙攣
(痙攣をとること)
紹介元
当院外来
No.
12
手術年月
 '98年6月
年齢
それ以外
病名
(手術の目的)
顔面痙攣
(痙攣をとること)
紹介元
当院外来
No.
11
手術年月
 '98年5月
年齢
それ以外
病名
(手術の目的)
左顔面痙攣
(痙攣をとること)
紹介元
当院外来
No.
10
手術年月
 '98年3月
年齢
それ以外
病名
(手術の目的)
右顔面痙攣
(痙攣をとること)
紹介元
当院外来
No.
9
手術年月
 '98年2月
年齢
それ以外
病名
(手術の目的)
左顔面痙攣
(痙攣をとること)
紹介元
当院外来
No.
8
手術年月
 '98年2月
年齢
それ以外
病名
(手術の目的)
右顔面痙攣
(痙攣をとること)
紹介元
当院外来
No.
7
手術年月
 '98年1月
年齢
それ以外
病名
(手術の目的)
左顔面痙攣
(痙攣をとること)
紹介元
当院外来
No.
6
手術年月
 '97年10月
年齢
それ以外
病名
(手術の目的)
右顔面痙攣
(痙攣をとること)
紹介元
当院外来
No.
5
手術年月
 '97年9月
年齢
それ以外
病名
(手術の目的)
右顔面痙攣
(痙攣をとること)
紹介元
当院外来
No.
4
手術年月
 '97年9月
年齢
それ以外
病名
(手術の目的)
左顔面痙攣
(痙攣をとること)
紹介元
当院外来
No.
3
手術年月
 '97年7月
年齢
それ以外
病名
(手術の目的)
右顔面痙攣・脳腫瘍
(痙攣と腫瘍をとること)
紹介元
当院外来
No.
2
手術年月
 '97年5月
年齢
それ以外
病名
(手術の目的)
右三叉神経痛
(顔面の痛みをとること)
紹介元
当院外来
No.
1
手術年月
 '97年1月
年齢
それ以外
病名
(手術の目的)
左顔面痙攣
(痙攣をとること)
紹介元
当院外来

電話でのお問い合わせ

代表 06-6568-1601

専用フォームでのお問合せ

お問い合せ
矢印TOP