海綿状血管腫 手術実績

海綿状血管腫 手術実績
Cavernous angioma surgery results

※ 画像をクリックすると拡大表示します。症例No.をクリックすると詳細ページを表示します。

※ 表は横スクロールすることができます。

No.
手術年月
年齢
手術医/助手
病名
紹介元
CT/MRI
手術前
手術後
術中写真
手術前
手術中
摘出後
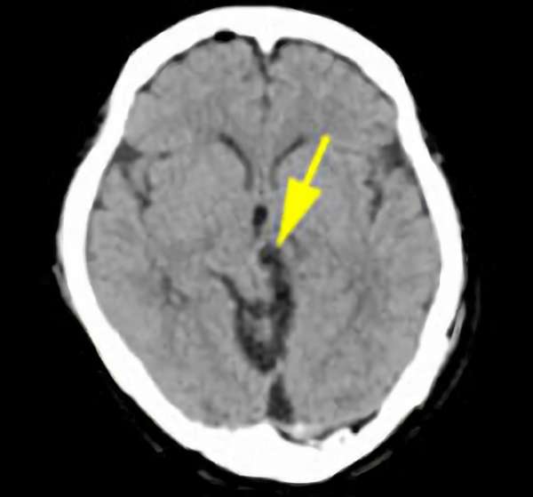
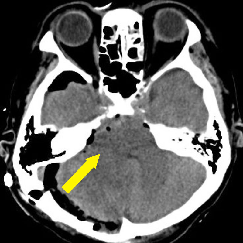
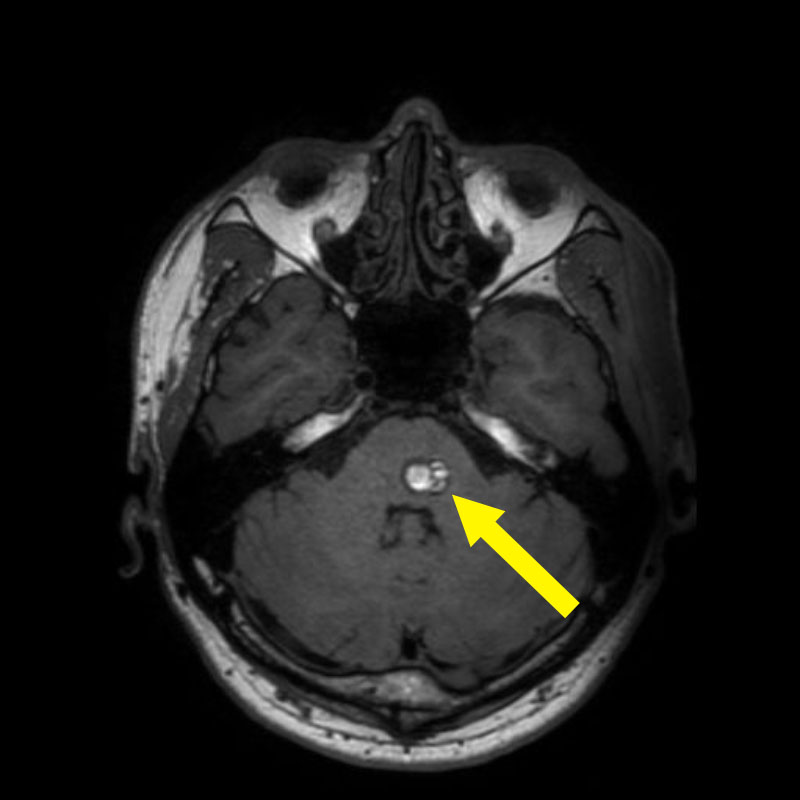
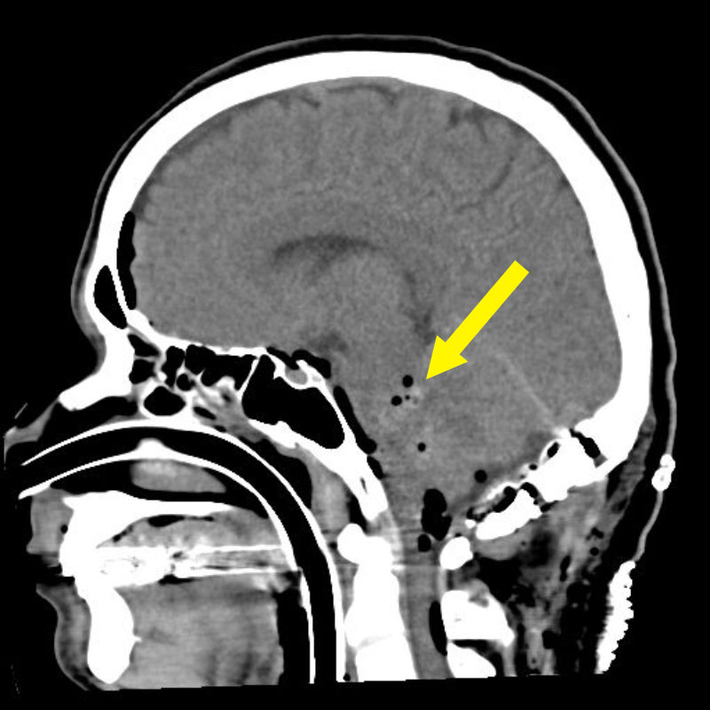
'25年10月
40代
南田,野本,元永
脳幹部
海綿状血管腫
出血の予防目的
熊本県の病院
No.No.62 手術前1
No.No.62 手術前2
No.No.62 手術後1
No.No.62 手術後2
No.No.62 摘出前
No.No.62 摘出中1
No.No.62 摘出中2
No.No.62 摘出後

CT/MRにより完全に摘出されたことが確認された

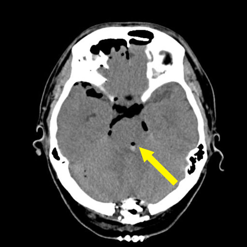
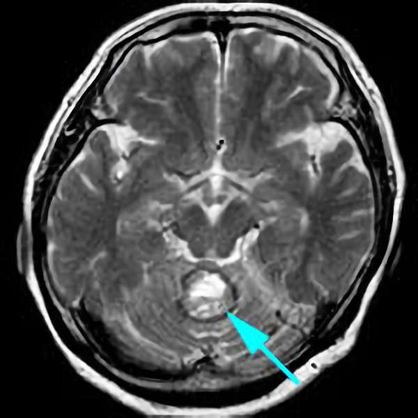
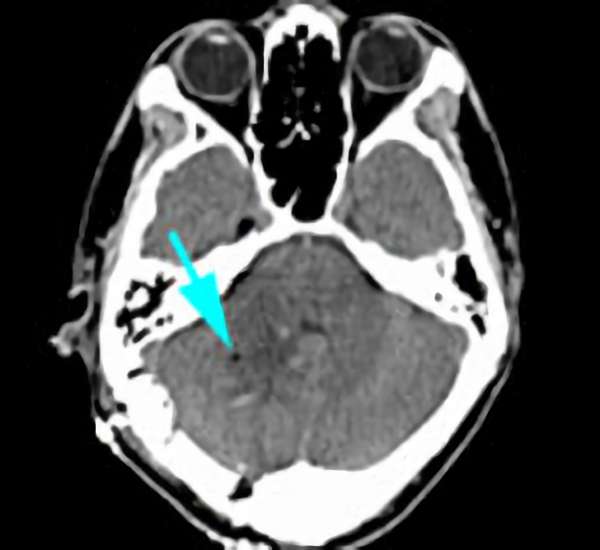
'25年7月
40代
南田,元永
右小脳
海綿状血管腫
出血の予防目的
大阪府の病院
より紹介
No.No.61 手術前1
No.No.61 手術前2
No.No.61 手術後1
No.No.61 手術後2
No.No.61 摘出前
No.No.61 摘出中1
No.No.61 摘出中2
No.No.61 摘出後

CT/MRにより完全に摘出されたことが確認された

'25年5月
60代
南田,青木
左前頭葉
出血性海綿状血管腫
再出血の予防目的
当院外来
No.No.60 手術前1
No.No.60 手術前2
No.No.60 手術後1
No.No.60 手術後2
No.No.60 摘出前
No.No.60 摘出中1
No.No.60 摘出中2
No.No.60 摘出後

CT/MRにより完全に摘出されたことが確認された

'25年1月
50代
南田,野本
右小脳
出血性海綿状血管腫
再出血の予防目的
兵庫県の病院
より紹介
No.No.59 手術前1
No.No.59 手術前2
No.No.59 手術後1
No.No.59 手術後2
No.No.59 摘出前
No.No.59 摘出中1
No.No.59 摘出中2
No.No.59 摘出後

CT/MRにより完全に摘出されたことが確認された

'24年11月
30代
南田,野本
左前頭葉
出血性海綿状血管腫
再出血の予防目的
北海道の病院
より紹介
No.No.58 手術前1
No.No.58 手術前2
No.No.58 手術後1
No.No.58 手術後2
No.No.58 摘出前
No.No.58 摘出中1
No.No.58 摘出中2
No.No.58 摘出後

CT/MRにより完全に摘出されたことが確認された

'24年7月
30代
松田,佐伯
右前頭葉
出血性海綿状血管腫
再出血の予防目的
岡山県の病院
より紹介
No.No.57 手術前1
No.No.57 手術前2
No.No.57 手術後1
No.No.57 手術後2
No.No.57 摘出前
No.No.57 摘出中1
No.No.57 摘出中2
No.No.57 摘出後

CT/MRにより完全に摘出されたことが確認された

'24年4月
50代
南田,矢田
左前頭葉
出血性海綿状血管腫
再出血の予防目的
埼玉県の病院
より紹介
No.No.56 手術前1
No.No.56 手術前2
No.No.56 手術後1
No.No.56 手術後2
No.No.56 摘出前
No.No.56 摘出中1
No.No.56 摘出中2
No.No.56 摘出後

CT/MRにより完全に摘出されたことが確認された

'24年4月
60代
南田,長尾
左脳幹部
出血性海綿状血管腫
再出血の予防目的
和歌山県の病院
より紹介
No.No.55 手術前1
No.No.55 手術前2
No.No.55 手術後1
No.No.55 手術後2
No.No.55 摘出前
No.No.55 摘出中1
No.No.55 摘出中2
No.No.55 摘出後

CT/MRにより完全に摘出されたことが確認された

'23年12月
30代
南田,松田,矢田
右頭頂葉
出血性海綿状血管腫
再出血の予防目的
沖縄県の病院
より紹介
No.No.54 手術前1
No.No.54 手術前2
No.No.54 手術後1
No.No.54 手術後2
No.No.54 摘出前
No.No.54 摘出中1
No.No.54 摘出中2
No.No.54 摘出後

CT/MRにより完全に摘出されたことが確認された

'23年2月
40代
富永/
松田,濵田,古谷
小脳
出血性海綿状血管腫
再出血の予防目的
大阪府の病院より紹介
Lt-supracerebellar
infratentorial
approach
No.No.53 手術前1
No.No.53 手術前2
No.No.53 手術後1
No.No.53 手術後2
No.No.53 摘出前
No.No.53 摘出中1
No.No.53 摘出中2
No.No.53 摘出後

CT/MRにより完全に摘出されたことが確認された

'22年11月
50代
富永/
松田,濵田,古谷
脳幹部(橋)
出血性海綿状血管腫
再出血の予防目的
大阪府の病院より紹介
Rt-supracerebellar
infratentorial
approach
No.No.52 手術前1
No.No.52 手術前2
No.No.52 手術後1
No.No.52 手術後2
No.No.52 摘出前
No.No.52 摘出中1
No.No.52 摘出中2
No.No.52 摘出後

CT/MRにより完全に摘出されたことが確認された

'22年8月
50代
富永/
松田,池間,殿元
脳幹部(橋)
出血性海綿状血管腫
再出血の予防目的
Rt-supracerebellar
infratentorial
approach
No.No.51 手術前1
No.No.51 手術前2
No.No.51 手術後1
No.No.51 手術後2
No.No.51 摘出前
No.No.51 摘出中1
No.No.51 摘出中2
No.No.51 摘出後

CT/MRにより完全に摘出されたことが確認された

'22年4月
20代
富永/
松田,池間,殿元
延髄(脳幹部)
出血性海綿状血管腫
吃逆の治療,再出血予防
大分県の病院より紹介
suboccipital
infratriangle
approach
No.No.50 手術前1
No.No.50 手術前2
No.No.50 手術後1
No.No.50 手術後2
No.No.50 摘出前
No.No.50 摘出中1
No.No.50 摘出中2
No.No.50 摘出後

CT/MRにより完全に摘出されたことが確認された

持続性吃逆 (しゃっくり)は消失

手術に伴う合併症はなし

'22年2月
50代
富永/
松田,池間
脳幹部(橋)
出血性海綿状血管腫
再出血の予防目的
兵庫県の病院より紹介
Rt-supracerebellar
infratentorial
approach
No.No.49 手術前1
No.No.49 手術前2
No.No.49 手術後1
No.No.49 手術後2
No.No.49 摘出前
No.No.49 摘出中1
No.No.49 摘出中2
No.No.49 摘出後

CT/MRにより完全に摘出されたことが確認された

手術に伴う合併症はなし

'22年1月
30代
富永/
松田,北島,殿元
中脳
出血性海綿状血管腫
再出血の予防目的
山口県の病院より紹介
Rt-supracerebellar
infratentorial
approach
No.No.48 手術前1
No.No.48 手術前2
No.No.48 手術後1
No.No.48 手術後2
No.No.48 摘出前
No.No.48 摘出中1
No.No.48 摘出中2
No.No.48 摘出後

CT/MRにより完全に摘出されたことが確認された

従来から手術の結果をよく聞かれました。今後は公表することにします。
'21年12月
60代
富永/
松田,小谷
脳幹部(橋)
出血性海綿状血管腫
再出血の予防目的
長崎県の病院より紹介
Rt-supracerebellar
infratentorial
approach
No.No.47 手術前1
No.No.47 手術前2
No.No.47 手術後1
No.No.47 手術後2
No.No.47 摘出前
No.No.47 摘出中1
No.No.47 摘出中2
No.No.47 摘出後

CT/MRにより完全に摘出されたことが確認された

'21年8月
60代
富永/
長尾,古谷
脳幹部(橋)
海綿状血管腫
再出血の予防目的
大阪府の病院より紹介
Rt-supracerebellar
infratentorial
approach
No.No.46 手術前1
No.No.46 手術前2
No.No.46 手術後1
No.No.46 手術後2
No.No.46 摘出前
No.No.46 摘出中1
No.No.46 摘出中2
No.No.46 摘出後

CT/MRにより完全に摘出されたことが確認された

'21年5月
40代
富永/
松田,矢田,古谷
脳幹部(橋)
海綿状血管腫
再出血の予防目的
奈良県の病院より紹介
Rt-supracerebellar
infratentorial
approach
No.No.45 手術前1
No.No.45 手術前2
No.No.45 手術後1
No.No.45 手術後2
No.No.45 摘出前
No.No.45 摘出中1
No.No.45 摘出中2
No.No.45 摘出後

CT/MRにより完全に摘出されたことが確認された

'21年4月
20代
富永/
長尾,濵田,野本
脳幹部
海綿状血管腫
再々出血の予防目的
京都府の病院より紹介
Lateral
supracerebellar
infratentorial
approach
No.No.44 手術前1
No.No.44 手術前2
No.No.44 手術後1
No.No.44 手術後2
No.No.44 摘出前
No.No.44 摘出中1
No.No.44 摘出中2
No.No.44 摘出後

CT/MRにより完全に摘出されたことが確認された

'21年4月
60代
富永 /
久貝,野本
脳幹部
海綿状血管腫
再出血の予防目的
大阪府の病院より紹介
Telovelar
approach
No.No.43 手術前1
No.No.43 手術前2
No.No.43 手術後1
No.No.43 手術後2
No.No.43 摘出前
No.No.43 摘出中1
No.No.43 摘出中2
No.No.43 摘出後

CT/MRにより完全に摘出されたことが確認された

'21年3月
20代
富永/
松田,濵田
脳幹部
海綿状血管腫
再出血の予防目的
鹿児島県の病院より紹介
Supracerebellar
infratentorial
approach
No.No.42 手術前1
No.No.42 手術前2
No.No.42 手術後1
No.No.42 手術後2
No.No.42 摘出前
No.No.42 摘出中1
No.No.42 摘出中2
No.No.42 摘出後

CT/MRにより完全に摘出されたことが確認された

'21年3月
40代
富永/
左頭頂葉
海綿状血管腫
再出血の予防目的
広島県の病院より紹介
Parietal
transcortical
approach
No.No.41 手術前1
No.No.41 手術前2
No.No.41 手術後1
No.No.41 手術後2
No.No.41 摘出前
No.No.41 摘出中1
No.No.41 摘出中2
No.No.41 摘出後

CT/MRにより完全に摘出されたことが確認された

'21年2月
30代
富永/
松田
左脳幹(中脳・橋移行部)
海綿状血管腫
再出血の予防目的
救急外来
Supracerebellar
infratentorial
approach
No.No.40 手術前1
No.No.40 手術前2
No.No.40 手術後1
No.No.40 手術後2
No.No.40 摘出前
No.No.40 摘出中1
No.No.40 摘出中2
No.No.40 摘出後

CT/MRにより完全に摘出されたことが確認された

'21年1月
10代
南田/松田
左基底部
海綿状血管腫
出血性
大阪府の病院
より紹介
No.No.39 手術前1
No.No.39 手術前2
No.No.39 手術後1
No.No.39 手術後2
No.No.39 摘出前
No.No.39 摘出中1
No.No.39 摘出中2
No.No.39 摘出後

CT/MRにより完全に摘出されたことが確認された

'20年12月
40代
乾/濵田
右後頭葉
海綿状血管腫
出血性
大阪府の病院
より紹介
No.No.38 手術前1
No.No.38 手術前2
No.No.38 手術後1
No.No.38 手術後2
No.No.38 摘出前
No.No.38 摘出中1
No.No.38 摘出中2
No.No.38 摘出後

CT/MRにより完全に摘出されたことが確認された

'20年11月
40代
久貝/野本
右側頭葉
海綿状血管腫
出血性
和歌山県の病院
より紹介
No.No.37 手術前1
No.No.37 手術前2
No.No.37 手術後1
No.No.37 手術後2
No.No.37 摘出前
No.No.37 摘出中1
No.No.37 摘出中2
No.No.37 摘出後

CT/MRにより完全に摘出されたことが確認された

'20年10月
30代
北野/向
右側頭葉
海綿状血管腫
出血性
大阪府の病院
より紹介
No.No.36 手術前1
No.No.36 手術前2
No.No.36 手術後1
No.No.36 手術後2
No.No.36 摘出前
No.No.36 摘出中1
No.No.36 摘出中2
No.No.36 摘出後

CT/MRにより完全に摘出されたことが確認された

'20年10月
20代
南田/野本
海綿状血管腫
出血性
大阪府の病院
より紹介
No.No.35 手術前1
No.No.35 手術前2
No.No.35 手術後1
No.No.35 手術後2
No.No.35 摘出前
No.No.35 摘出中1
No.No.35 摘出中2
No.No.35 摘出後

CT/MRにより完全に摘出されたことが確認された

'20年6月
10代
松田/濱田
多発性
海綿状血管腫
出血性
大阪府の病院
より紹介
No.No.34 手術前1
No.No.34 手術前2
No.No.34 手術後1
No.No.34 手術後2
No.No.34 摘出前
No.No.34 摘出中1
No.No.34 摘出中2
No.No.34 摘出後

CT/MRにより完全に摘出されたことが確認された

'19年12月
20代
南田/山田
脳幹部
海綿状血管腫
出血性
大阪府の病院
より紹介
No.No.33 手術前1
No.No.33 手術前2
No.No.33 手術後1
No.No.33 手術後2
No.No.33 摘出前
No.No.33 摘出中1
No.No.33 摘出中2
No.No.33 摘出後

CT/MRにより完全に摘出されたことが確認された

'19年11月
40代
富永
南田
基底核
海綿状血管腫
出血性
兵庫県の病院
より紹介
No.No.32 手術前1
No.No.32 手術前2
No.No.32 手術後1
No.No.32 手術後2
No.No.32 摘出前
No.No.32 摘出中1
No.No.32 摘出中2
No.No.32 摘出後

CT/MRにより完全に摘出されたことが確認された

'19年11月
20代
富永
南田
前頭葉
海綿状血管腫
てんかん発作
大阪府の病院
より紹介
No.No.31 手術前1
No.No.31 手術前2
No.No.31 手術後1
No.No.31 手術後2
No.No.31 摘出前
No.No.31 摘出中1
No.No.31 摘出中2
No.No.31 摘出後

CT/MRにより完全に摘出されたことが確認された

'19年7月
10代
富永
南田
脳室
海綿状血管腫
出血性
大阪府の病院
より紹介
No.No.30 手術前1
No.No.30 手術前2
No.No.30 手術後1
No.No.30 手術後2
No.No.30 摘出前
No.No.30 摘出中1
No.No.30 摘出中2
No.No.30 摘出後

CT/MRにより完全に摘出されたことが確認された

'19年7月
50代
富永
松田
脳幹部
海綿状血管腫
出血性
大阪府の病院
より紹介
No.No.29 手術前1
No.No.29 手術前2
No.No.29 手術後1
No.No.29 手術後2
No.No.29 摘出前
No.No.29 摘出中1
No.No.29 摘出後

CT/MRにより完全に摘出されたことが確認された

'19年5月
50代
富永
松田
右基底核視床
海綿状血管腫
多発出血性
青森県の病院
より紹介
No.No.28 手術前1
No.No.28 手術前2
No.No.28 手術後1
No.No.28 手術後2
No.No.28 摘出前
No.No.28 摘出中1
No.No.28 摘出中2
No.No.28 摘出後

CT/MRにより完全に摘出されたことが確認された

'19年4月
50代
富永
長尾
右前頭葉
海綿状血管腫
出血性
大阪府の病院
より紹介
No.No.27 手術前1
No.No.27 手術前2
No.No.27 手術後1
No.No.27 手術後2
No.No.27 摘出前
No.No.27 摘出中1
No.No.27 摘出中2
No.No.27 摘出後

CT/MRにより完全に摘出されたことが確認された

※ 画像をクリックすると拡大表示します。症例No.をクリックすると詳細ページを表示します。

※ 表は横スクロールすることができます。

No.
手術年月
年齢
手術医/助手
病名
紹介元
CT/MRI
手術前
手術後
術中写真
手術前
摘出後
'19年1月
50代
富永
久貝
海綿状血管腫
大阪府の病院
より紹介
No.No.26 手術前1
No.No.26 手術後1
No.No.26 摘出前
No.No.26 摘出後

CT/MRにより完全に摘出されたことが確認された

'19年1月
50代
富永
北島
海綿状血管腫
岡山県の病院
より紹介
No.No.25 手術前1
No.No.25 手術後1
No.No.25 摘出前
No.No.25 摘出後

CT/MRにより完全に摘出されたことが確認された

海綿状血管腫
奈良県の病院
より紹介
No.No.24 手術前1
No.No.24 手術後1
No.No.24 摘出前
No.No.24 摘出後

CT/MRにより完全に摘出されたことが確認された

海綿状血管腫
大阪府の病院
より紹介
No.No.23 手術前1
No.No.23 手術後1
No.No.23 摘出前
No.No.23 摘出後

CT/MRにより完全に摘出されたことが確認された

海綿状血管腫
大阪府の病院
より紹介
No.No.22 手術前1
No.No.22 手術後1
No.No.22 摘出前
No.No.22 摘出後

CT/MRにより完全に摘出されたことが確認された

'18年
それ以外
富永
長尾
海綿状血管腫
和歌山県の病院
より紹介
No.No.21 手術前1
No.No.21 手術後1
No.No.21 摘出前
No.No.21 摘出後

10歳未満

CT/MRにより完全に摘出されたことが確認された

海綿状血管腫
大阪府の病院
より紹介
No.No.20 手術前1
No.No.20 手術後1
No.No.20 摘出前
No.No.20 摘出後

CT/MRにより完全に摘出されたことが確認された

海綿状血管腫
奈良県の病院
より紹介
No.No.19 手術前1
No.No.19 手術後1
No.No.19 摘出前
No.No.19 摘出後

CT/MRにより完全に摘出されたことが確認された

海綿状血管腫
大阪府の病院
より紹介
No.No.18 手術前1
No.No.18 手術後1
No.No.18 摘出前
No.No.18 摘出後

CT/MRにより完全に摘出されたことが確認された

海綿状血管腫
大阪府の病院
より紹介
No.No.17 手術前1
No.No.17 手術後1
No.No.17 摘出前

CT/MRにより完全に摘出されたことが確認された

海綿状血管腫
大阪府の病院
より紹介
No.No.16 手術前1
No.No.16 手術後1
No.No.16 摘出前
No.No.16 摘出後

CT/MRにより完全に摘出されたことが確認された

海綿状血管腫
大阪府の病院
より紹介
No.No.15 手術前1
No.No.15 手術後1
No.No.15 摘出前
No.No.15 摘出後

CT/MRにより完全に摘出されたことが確認された

海綿状血管腫
愛知県の病院
より紹介
No.No.14 手術前1
No.No.14 手術後1
No.No.14 摘出前
No.No.14 摘出後

CT/MRにより完全に摘出されたことが確認された

海綿状血管腫
兵庫県の病院
より紹介
No.No.13 手術前1
No.No.13 手術後1
No.No.13 摘出前
No.No.13 摘出後

CT/MRにより完全に摘出されたことが確認された

海綿状血管腫
大阪府の病院
より紹介
No.No.12 手術前1
No.No.12 手術後1
No.No.12 摘出前
No.No.12 摘出後

CT/MRにより完全に摘出されたことが確認された

海綿状血管腫
奈良県の病院
より紹介
No.No.11 手術前1
No.No.11 手術後1
No.No.11 摘出前
No.No.11 摘出後

CT/MRにより完全に摘出されたことが確認された

海綿状血管腫
佐賀県の病院
より紹介
No.No.10 手術前1
No.No.10 手術後1
No.No.10 摘出前
No.No.10 摘出後

CT/MRにより完全に摘出されたことが確認された

'14年
40代
富永
長尾
海綿状血管腫
兵庫県の病院
より紹介
No.No.9 手術前1
No.No.9 手術後1
No.No.9 摘出前
No.No.9 摘出後

CT/MRにより完全に摘出されたことが確認された

'14年
40代
富永
久貝
海綿状血管腫
大阪府の病院
より紹介
No.No.8 手術前1
No.No.8 手術後1
No.No.8 摘出前
No.No.8 摘出後

CT/MRにより完全に摘出されたことが確認された

'14年
30代
富永
松田
海綿状血管腫
大阪府の病院
より紹介
No.No.7 手術前1
No.No.7 手術後1
No.No.7 摘出前
No.No.7 摘出後

CT/MRにより完全に摘出されたことが確認された

'12年
50代
富永
松田
海綿状血管腫
大阪府の病院
より紹介
No.No.6 手術前1
No.No.6 手術後1
No.No.6 摘出前
No.No.6 摘出後

CT/MRにより完全に摘出されたことが確認された

'12年
50代
富永
久貝
海綿状血管腫
兵庫県の病院
より紹介
No.No.5 手術前1
No.No.5 手術後1
No.No.5 摘出前
No.No.5 摘出後

CT/MRにより完全に摘出されたことが確認された

'12年
30代
富永
長尾
海綿状血管腫
京都府の病院
より紹介
No.No.4 手術前1
No.No.4 手術後1
No.No.4 摘出前
No.No.4 摘出後

CT/MRにより完全に摘出されたことが確認された

'12年
30代
富永
宮﨑
海綿状血管腫
大阪府の病院
より紹介
No.No.3 手術前1
No.No.3 手術後1
No.No.3 摘出前
No.No.3 摘出後

CT/MRにより完全に摘出されたことが確認された

'12年
60代
富永
久貝
海綿状血管腫
大阪府の病院
より紹介
No.No.2 手術前1
No.No.2 手術後1
No.No.2 摘出前
No.No.2 摘出後

CT/MRにより完全に摘出されたことが確認された

'12年
30代
富永
久貝
海綿状血管腫
大阪府の病院
より紹介
No.No.1 手術前1
No.No.1 手術後1
No.No.1 摘出前
No.No.1 摘出後

CT/MRにより完全に摘出されたことが確認された

電話でのお問い合わせ

代表 06-6568-1601

専用フォームでのお問合せ

お問い合せ
矢印TOP