手術予定表

手術予定表
Scheduled Surgery

全ての顕微鏡手術を本館2階にて、ライブで常に公開しております。
どなたも見ることが出来ます。(医師は手術室に入っての見学も可能です。)

予定手術 統計表(緊急手術は含みません。)

前週
(2026.5.7~5.13)
総計
(2026.1.1~5.13)
脳神経外科の治療総数 29 502
脳神経外科手術 13 263
脳腫瘍 1 43
脳動脈瘤 1 22
脳動静脈奇形 0 8
脊椎・脊髄手術 3 61
その他 8 129
血管内手術 5 96
脳動脈瘤 3 54
脳動静脈奇形 0 10
その他 2 32
ガンマナイフ治療 11 143

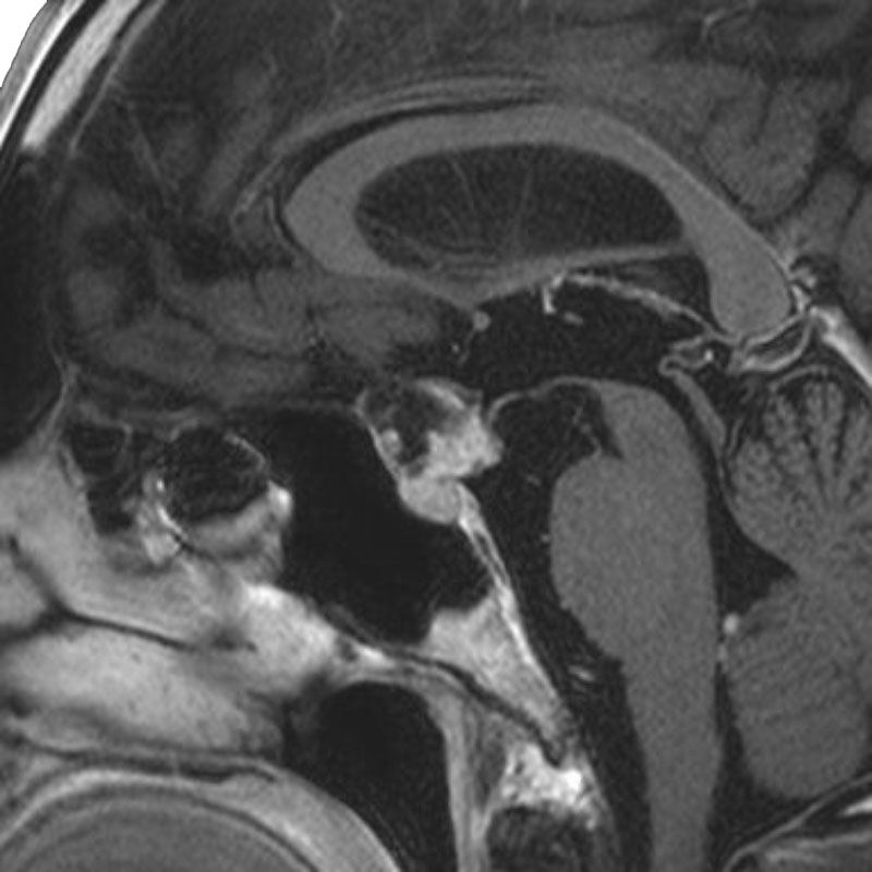
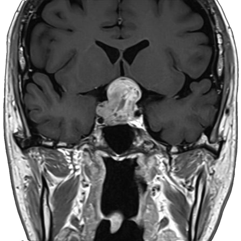
予定手術【2026年5月15日(金)~2026年5月21日(木)】

※ 画像をクリックすると拡大表示します。

※ 表は横スクロールすることができます。

開頭症例

手術日
主病名
術名
手術医
(助手)
画像
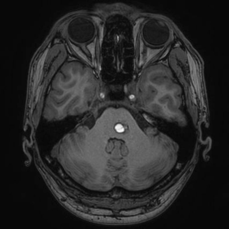
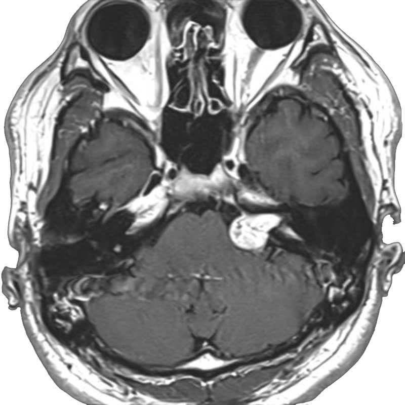
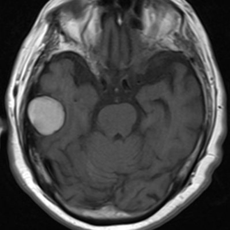
5月15日(金)
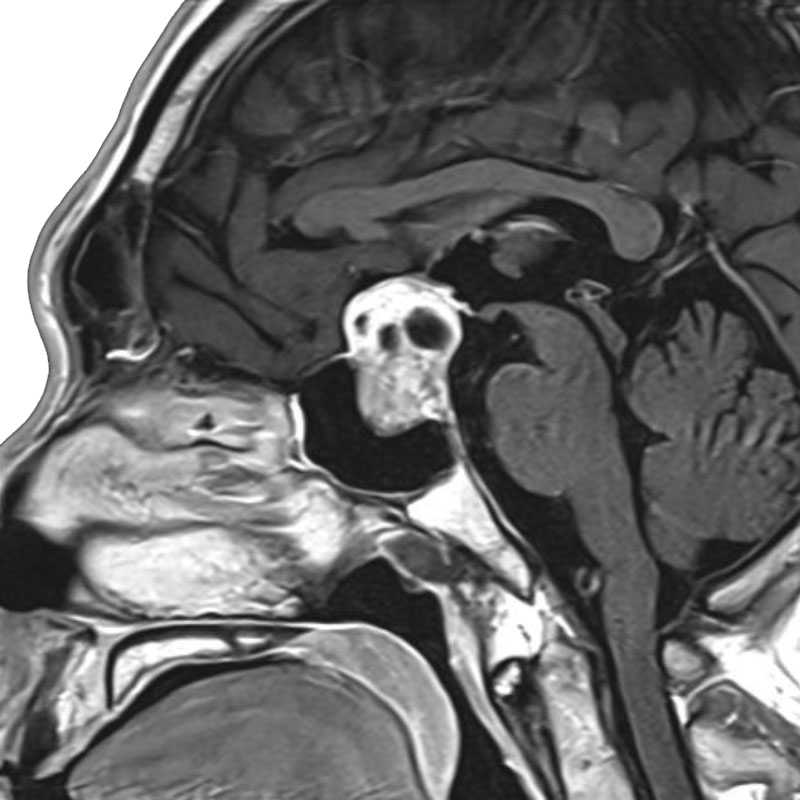
右顔面痙攣
微小血管減圧術
岩井/古部
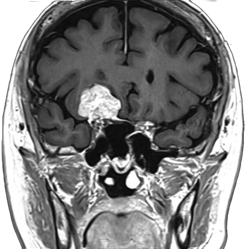
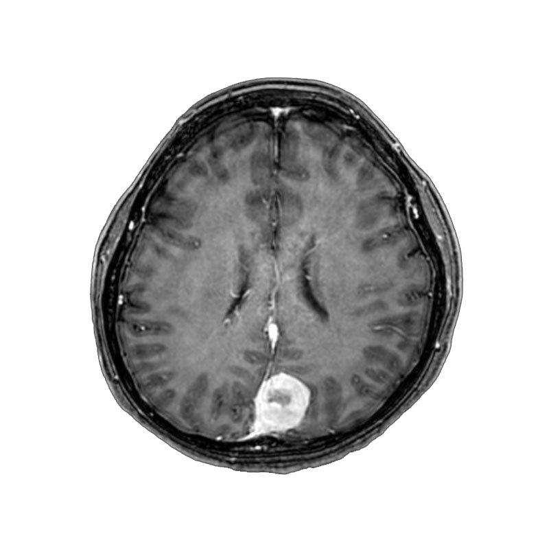
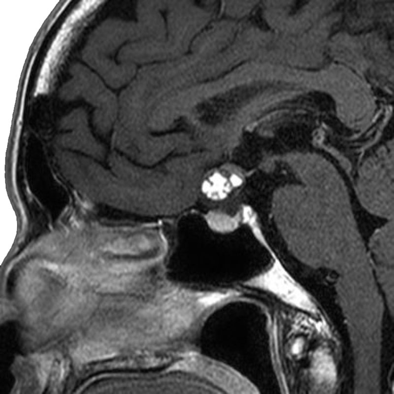
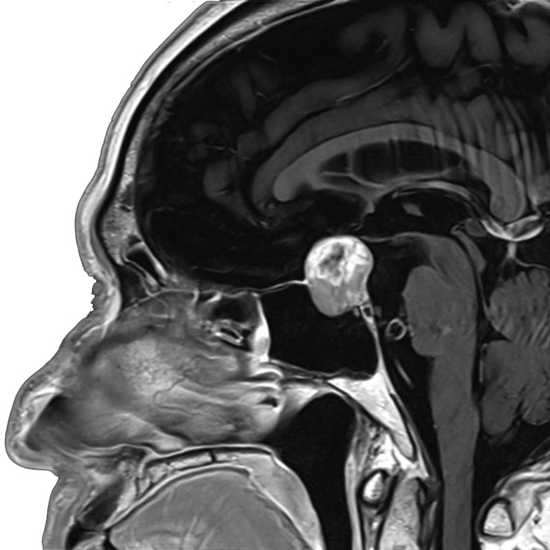
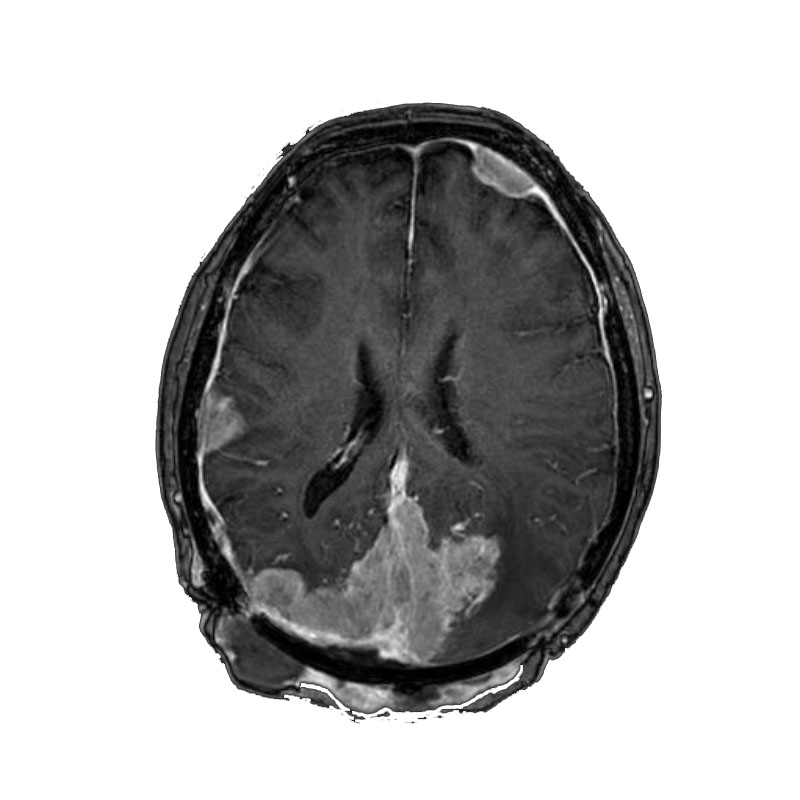
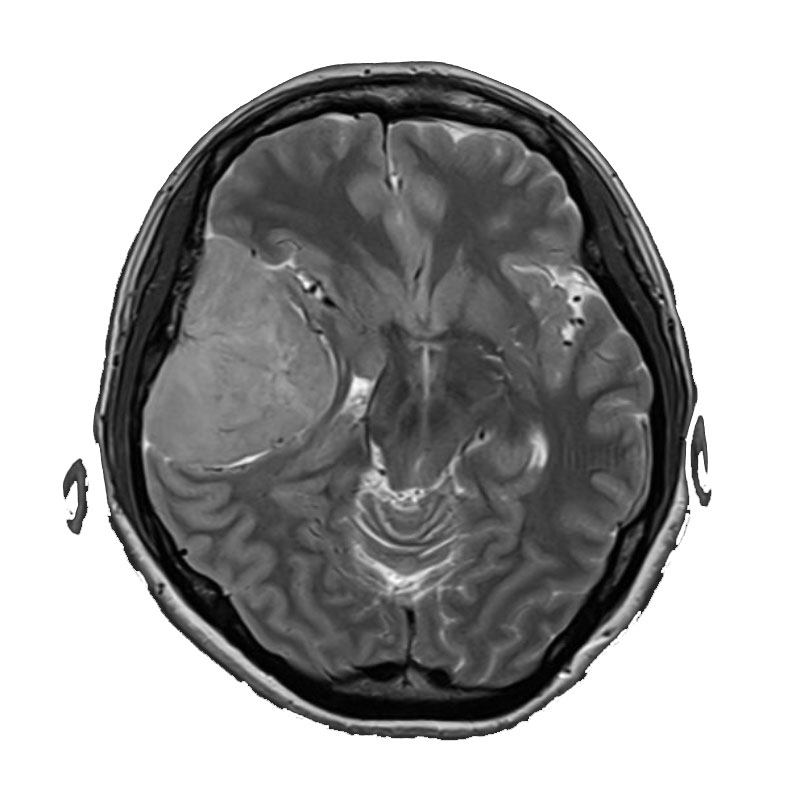
脳動脈瘤(Acom)
クリッピング術
松田/濵田/元永
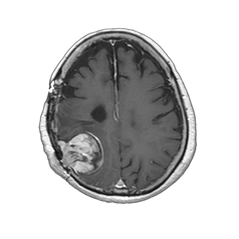
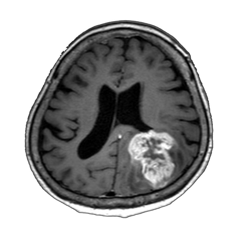
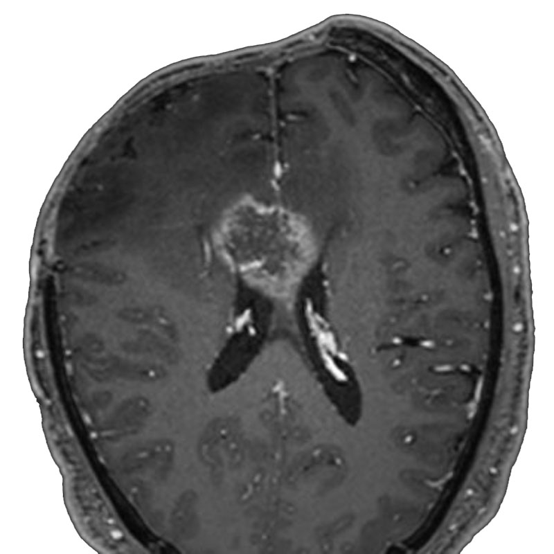
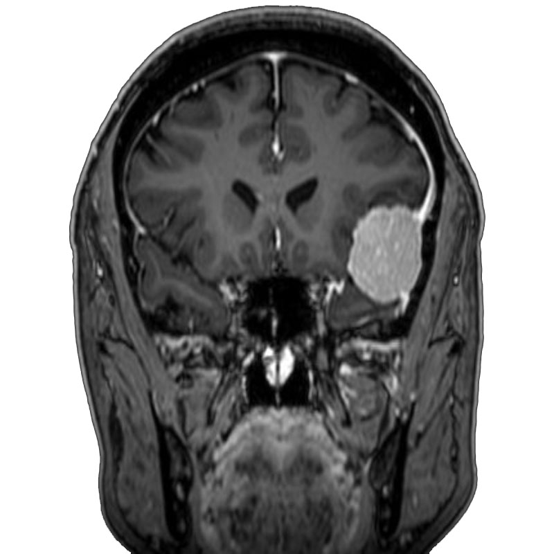
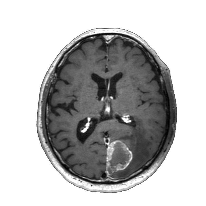
5月18日(月)
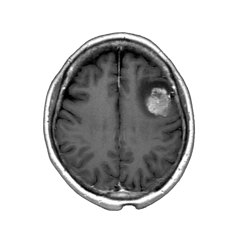
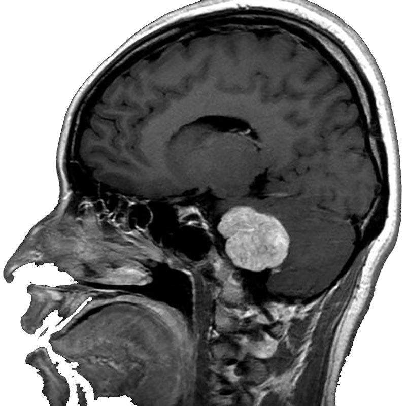
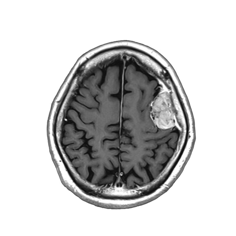
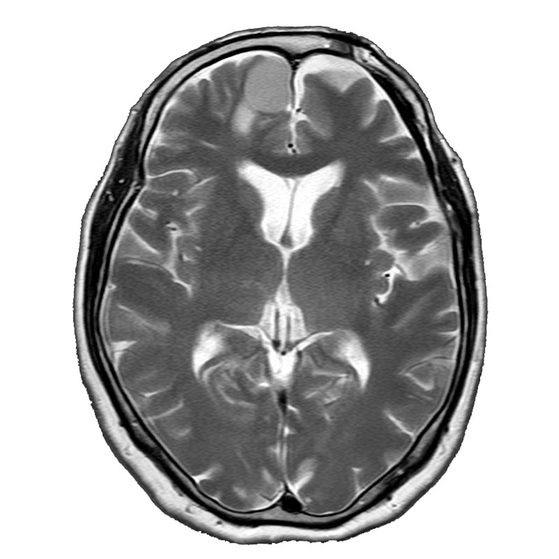
右側頭葉脳腫瘍
摘出術
南田/野本/佐伯
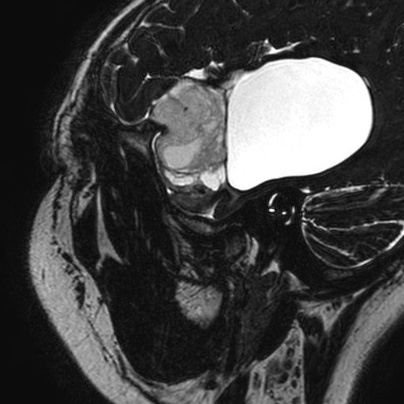
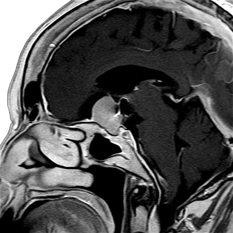
左三叉神経痛第2・3枝領域
微小血管減圧術
岩井/古部
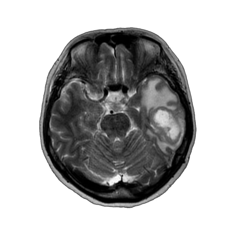
5月19日(火)
癒着性くも膜炎+脊髄空洞症
空洞-くも膜下腔シャント術
乾/長尾/殿元/青木
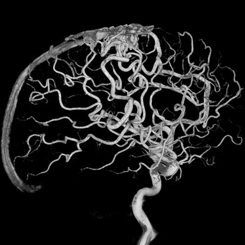
左内頚動脈狭窄症
内頚動脈内膜剝離術
松田/濵田
開頭術後骨欠損
頭蓋形成術
濵田
5月20日(水)
左椎骨動脈狭窄症
頚胸椎後方固定
乾/長尾/殿元/青木
腰椎骨性椎間孔狭窄症
後方除圧
乾/長尾/殿元/青木
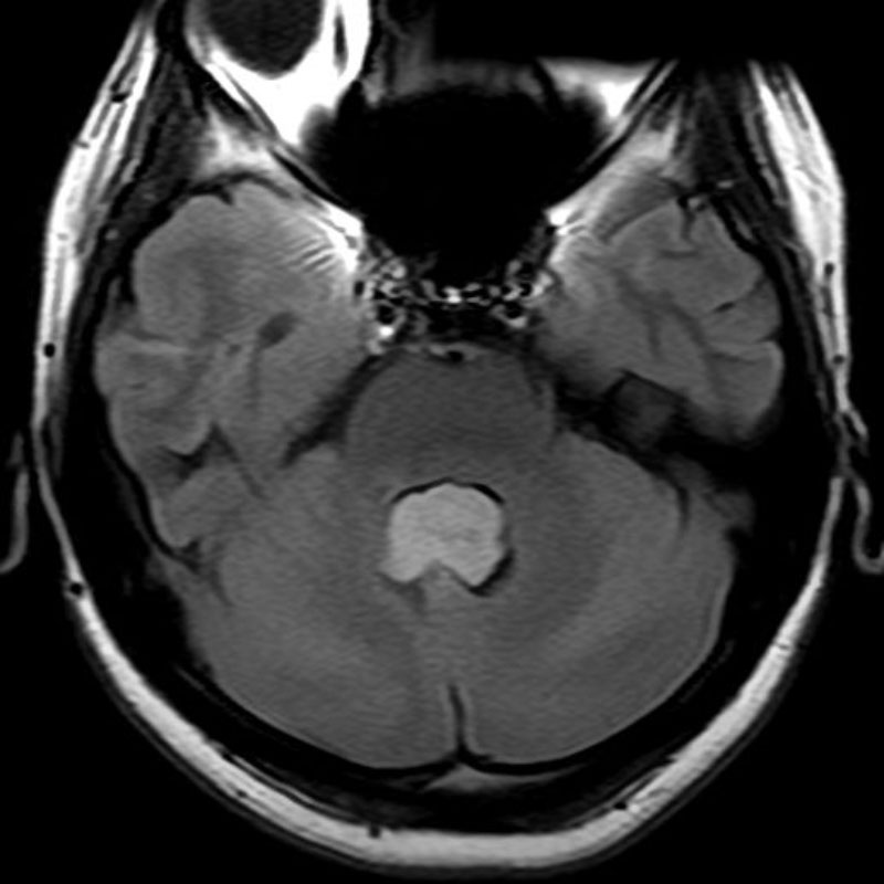
三叉神経鞘腫
摘出術
南田/野本
5月21日(木)
脳室内腫瘍
摘出術
北野/濵田
腰部脊柱管狭窄症
後方除圧
乾/長尾/殿元/青木

脳血管内手術症例

手術日
主病名
術名
手術医
(助手)
画像
5月19日(火)
左内頚動脈狭窄症
経皮的頸動脈ステント留置術
住吉/木本
5月20日(水)
左頚部内頚動脈狭窄症
経皮的頸動脈ステント留置術
須山/松田/濵田
脳動静脈奇形
血管塞栓術
松田/濵田/元永

ガンマナイフ症例

手術日
主病名
担当医
5月18日(月)
三叉神経痛
岩井
5月19日(火)
転移性脳腫瘍
岩井
三叉神経痛
岩井
三叉神経痛
岩井
転移性脳腫瘍
岩井
頭頂葉孤立性線維性腫瘍
岩井
脳動静脈奇形
岩井
転移性脳腫瘍
岩井
5月20日(水)
転移性脳腫瘍
山里

緊急手術【直近の過去1週間 2026年5月8日(金)~2026年5月14日(木)】

手術日
術式
主病名
術名
手術医
(助手)
5月11日(月)
開頭
硬膜下血腫
血腫穿孔洗浄術
住吉
開頭
慢性硬膜下血腫
血腫穿孔洗浄術
青木
5月13日(水)
血管内
脳梗塞・急性期
経皮的脳血栓回収術
野本/古谷/佐伯

予定手術【2026年5月8日(金)~2026年5月14日(木)】

※ 画像をクリックすると拡大表示します。

※ 表は横スクロールすることができます。

開頭症例

手術日
主病名
術名
手術医
(助手)
画像
5月8日(金)
左側顔面痙攣
微小血管減圧術
岩井/古部
脳動脈瘤(Rt.MC)
クリッピング術
松田/濵田
5月11日(月)
右側顔面痙攣
微小血管減圧術
岩井/古部
水頭症
V-P Shunt
野本/元永
5月12日(火)
三叉神経痛第2枝領域
微小血管減圧術
南田/野本/元永
5月13日(水)
馬尾神経鞘腫
摘出術
乾/長尾/殿元/青木
難治性疼痛
脊髄刺激装置埋込術
乾/長尾/殿元/青木
5月14日(木)
右小脳腫瘍
摘出術
北野
腰部脊柱管狭窄症
後方除圧
乾/長尾/殿元/青木

脳血管内手術症例

手術日
主病名
術名
手術医
(助手)
画像
5月12日(火)
脳動脈瘤(Rt.IC-PC)
フローダイバーター留置術
芝野/古谷/木本
脳動脈瘤(Lt.IC-PC)
フローダイバーター留置術
芝野/古谷/木本
5月13日(水)
脳動脈瘤(Rt.IC)
フローダイバーター留置術
松田/濵田/元永
左内頚動脈狭窄症
経皮的頸動脈ステント留置術
松田/濵田/元永

ガンマナイフ症例

手術日
主病名
担当医
5月12日(火)
脳動静脈奇形
岩井

緊急手術【直近の過去1週間 2026年5月1日(金)~2026年5月7日(木)】

手術日
術式
主病名
術名
手術医
(助手)
5月4日(月)
開頭
くも膜下出血
穿頭脳室ドレナージ
濵田/青木
5月5日(火)
開頭
慢性硬膜下血腫
血腫穿孔洗浄術
青木
5月6日(水)
開頭
慢性硬膜下血腫
血腫穿孔洗浄術
野本

予定手術【2026年5月1日(金)~2026年5月7日(木)】

※ 画像をクリックすると拡大表示します。

※ 表は横スクロールすることができます。

開頭症例

手術日
主病名
術名
手術医
(助手)
画像
5月1日(金)
下垂体腺腫
摘出術
北野
後頭蓋窩髄膜腫
摘出術
北野/古部/野本
5月7日(木)
髄膜腫
摘出術
岩井/古部
腰部脊柱管狭窄症
後方除圧
乾/長尾/殿元/佐伯

脳血管内手術症例

手術日
主病名
術名
手術医
(助手)
画像
5月1日(金)
硬膜動静脈瘻
血管塞栓術
青木

ガンマナイフ症例

手術日
主病名
担当医
5月7日(木)
右小脳橋角部髄膜腫
北野

緊急手術【直近の過去1週間 2026年4月24日(金)~2026年4月30日(木)】

手術日
術式
主病名
術名
手術医
(助手)
4月24日(金)
開頭
被殻出血
血腫除去術
野本/元永
4月30日(木)
血管内
心原性脳塞栓症
経皮的脳血栓回収術
古部/殿元

予定手術【2026年4月24日(金)~2026年4月30日(木)】

※ 画像をクリックすると拡大表示します。

※ 表は横スクロールすることができます。

開頭症例

手術日
主病名
術名
手術医
(助手)
画像
4月24日(金)
下垂体腺腫
摘出術
北野
前頭骨腫瘍
摘出術
北野/青木
水頭症
V-P Shunt
野本/元永
4月27日(月)
三叉神経痛
微小血管減圧術
岩井/古部
髄膜腫
摘出術
住吉
4月28日(火)
腰部脊柱管狭窄症
後方除圧
乾/長尾/殿元/佐伯
脳動静脈奇形
摘出術
南田/野本/古谷/元永
水頭症
L-P Shunt
松田/濵田
4月30日(木)
腰部脊柱管狭窄症
後方除圧
乾/長尾/殿元/佐伯
腰椎椎間板ヘルニア
後方除圧
長尾/濵田

脳血管内手術症例

手術日
主病名
術名
手術医
(助手)
画像
4月24日(金)
脳動静脈奇形
血管塞栓術
芝野/古谷
4月28日(火)
脳動脈瘤(Acom)
脳血管内手術
芝野/古谷/木本
4月30日(木)
後頭蓋窩髄膜腫
血管塞栓術
芝野/野本

ガンマナイフ症例

手術日
主病名
担当医
4月24日(金)
三叉神経痛
岩井
三叉神経痛
岩井
転移性脳腫瘍
岩井
4月28日(火)
聴神経腫瘍
岩井
海綿静脈洞部髄膜腫
岩井
4月30日(木)
転移性脳腫瘍
北野

緊急手術【直近の過去1週間 2026年4月17日(金)~2026年4月23日(木)】

手術日
術式
主病名
術名
手術医
(助手)
4月17日(金)
開頭
両側慢性硬膜下血腫
血腫穿孔洗浄術
佐伯
4月19日(日)
開頭
脳皮質下出血
血腫除去術
古部
4月20日(月)
開頭
被殻出血
血腫除去術
長尾/殿元/佐伯
開頭
脳動静脈奇形
摘出術
長尾/殿元/佐伯

予定手術【2026年4月17日(金)~2026年4月23日(木)】

※ 画像をクリックすると拡大表示します。

※ 表は横スクロールすることができます。

開頭症例

手術日
主病名
術名
手術医
(助手)
画像
4月17日(金)
下垂体腺腫
摘出術
北野
左三叉神経痛
微小血管減圧術
岩井/古部
4月20日(月)
髄膜腫
摘出術
岩井/古部
4月21日(火)
頚部脊柱管狭窄症
拡大椎弓形成術
乾/長尾/殿元/佐伯
三叉神経痛第3枝領域
微小血管減圧術
南田/元永
4月22日(水)
下垂体腺腫
摘出術
北野
腰部脊柱管狭窄症
後方除圧
乾/長尾/殿元/佐伯
軸椎歯突起後方偽腫瘍
後方固定術
乾/長尾/殿元/佐伯
脳動脈瘤(Lt.MC)
クリッピング術
南田/野本/元永
4月23日(木)
腰部脊柱管狭窄症
後方除圧
乾/長尾/殿元/佐伯
左頚部内頚動脈狭窄症
内頚動脈内膜剥離術
芝野/古谷

脳血管内手術症例

手術日
主病名
術名
手術医
(助手)
画像
4月18日(土)
脳動脈瘤(Rt.IC)
フローダイバーター留置術
須山/松田/濵田
4月20日(月)
脳動脈瘤(Lt.IC-PC)
脳血管内手術
芝野/古谷/木本
4月21日(火)
脳動脈瘤(Lt.VA-PICA)
脳血管内手術
芝野/古谷/木本

ガンマナイフ症例

手術日
主病名
担当医
4月20日(月)
三叉神経痛
岩井
4月21日(火)
聴神経腫瘍
岩井
聴神経腫瘍
岩井
転移性脳腫瘍
岩井
転移性脳腫瘍
岩井
4月22日(水)
海綿状血管腫
山里

緊急手術【直近の過去1週間 2026年4月10日(金)~2026年4月16日(木)】

手術日
術式
主病名
術名
手術医
(助手)
4月13日(月)
開頭
左慢性硬膜下血腫
血腫穿孔洗浄術
佐伯
4月15日(水)
血管内
脳梗塞・急性期
経皮的脳血栓回収術
古部/野本
開頭
慢性硬膜下血腫
血腫穿孔洗浄術
野本
4月16日(木)
開頭
右急性硬膜下血腫
血腫除去術
住吉/佐伯

予定手術【2026年4月10日(金)~2026年4月16日(木)】

※ 画像をクリックすると拡大表示します。

※ 表は横スクロールすることができます。

開頭症例

手術日
主病名
術名
手術医
(助手)
画像
4月10日(金)
錐体斜台部髄膜腫
摘出術
南田/野本/元永
4月13日(月)
三叉神経痛
微小血管減圧術
岩井/古部
4月14日(火)
頚椎椎間板ヘルニア
前方固定術
乾/長尾/殿元/佐伯
聴神経腫瘍
摘出術
南田/野本/元永
4月15日(水)
下垂体腫瘍
摘出術
北野
海綿静脈洞部テント上下髄膜腫
摘出術
乾/長尾/殿元/佐伯
左手根管症候群
左手根管開放術
乾/長尾/殿元/佐伯
4月16日(木)
三叉神経痛
微小血管減圧術
岩井/古部
腰部脊柱管狭窄症
後方除圧
乾/長尾/濵田

脳血管内手術症例

手術日
主病名
術名
手術医
(助手)
画像
4月10日(金)
海綿静脈洞部テント上下髄膜腫
血管塞栓術
須山/芝野
4月13日(月)
右内頚動脈狭窄症
経皮的頸動脈ステント留置術
野本/木本
4月14日(火)
脳動脈瘤(Acom)
脳血管内手術
芝野/古谷/木本
脳動脈瘤(BA)
フローダイバーター留置術
芝野/古谷/木本
4月15日(水)
脳動脈瘤(Lt.VA-PICA)
脳血管内手術
松田/濵田
脳動脈瘤(Rt.IC)
フローダイバーター留置術
松田/濵田
4月16日(木)
左頚部内頚動脈狭窄症
経皮的頸動脈ステント留置術
芝野/野本

ガンマナイフ症例

手術日
主病名
担当医
4月10日(金)
転移性脳腫瘍
岩井
転移性脳腫瘍
岩井
4月14日(火)
三叉神経痛
岩井
脳動静脈奇形
岩井
髄膜腫
岩井
左三叉神経痛
岩井
髄膜腫
岩井
転移性脳腫瘍
岩井
4月16日(木)
聴神経腫瘍
北野

緊急手術【直近の過去1週間 2026年4月3日(金)~2026年4月9日(木)】

手術日
術式
主病名
術名
手術医
(助手)
4月3日(金)
血管内
左内頚動脈閉塞症
経皮的脳血栓回収術
松田/住吉/野本/佐伯
4月4日(土)
開頭
脳皮質下出血
血腫除去術
濵田
開頭
右慢性硬膜下血腫
血腫穿孔洗浄術
元永
開頭
急性硬膜下血腫
血腫除去術
濵田
4月7日(火)
血管内
心原性脳塞栓症
経皮的脳血栓回収術
松田/濵田/元永
開頭
慢性硬膜下血腫
血腫穿孔洗浄術
古部/元永
4月9日(木)
開頭
慢性硬膜下血腫
血腫穿孔洗浄術
野本
開頭
急性硬膜下血腫
血腫除去術
減圧開頭術
住吉/青木

予定手術【2026年4月3日(金)~2026年4月9日(木)】

※ 画像をクリックすると拡大表示します。

※ 表は横スクロールすることができます。

開頭症例

手術日
主病名
術名
手術医
(助手)
画像
4月3日(金)
海綿静脈洞部髄膜腫
拡大ハーディ
北野
左後頭葉腫瘤
摘出術
南田/野本/元永
4月6日(月)
左側顔面痙攣
微小血管減圧術
岩井/古部
4月7日(火)
腰部脊柱管狭窄症
後方除圧
乾/長尾/殿元/佐伯
4月8日(水)
右手根管症候群
右手根管開放術
乾/長尾/殿元/佐伯
腰部脊柱管狭窄症
後方除圧
乾/長尾/殿元/佐伯
髄膜腫
摘出術
南田/野本/元永
4月9日(木)
左顔面痙攣
微小血管減圧術
乾/長尾/殿元/佐伯
脳動脈瘤(Rt.MC)
クリッピング術
長尾/濵田

脳血管内手術症例

手術日
主病名
術名
手術医
(助手)
画像
4月7日(火)
左鎖骨下動脈狭窄症
経皮的脳血管形成術
芝野/古谷/木本
4月8日(水)
脳動脈瘤(Lt.IC-PC)
フローダイバーター留置術
須山/松田/濵田
脳動静脈奇形
血管塞栓術
松田/濵田

ガンマナイフ症例

手術日
主病名
担当医
4月3日(金)
聴神経腫瘍
岩井
4月6日(月)
三叉神経鞘腫
岩井
4月7日(火)
三叉神経痛
岩井
聴神経腫瘍
岩井
右硬膜動静脈瘻
岩井
転移性脳腫瘍
岩井
転移性脳腫瘍
岩井
転移性脳腫瘍
岩井
4月8日(水)
傍矢状洞髄膜腫
山里

緊急手術【直近の過去1週間 2026年3月27日(金)~2026年4月2日(木)】

手術日
術式
主病名
術名
手術医
(助手)
3月27日(金)
開頭
慢性硬膜下血腫
血腫穿孔洗浄術
殿元/元永
3月29日(日)
開頭
慢性硬膜下血腫
血腫穿孔洗浄術
長尾
4月1日(水)
開頭
被殻出血
血腫除去術
芝野/殿元
4月2日(木)
開頭
急性硬膜下血腫
血腫除去術
芝野/濵田/野本
血管内
くも膜下出血
(内頚動脈瘤破裂)
脳血管内手術
芝野/濵田

予定手術【2026年3月27日(金)~2026年4月2日(木)】

※ 画像をクリックすると拡大表示します。

※ 表は横スクロールすることができます。

開頭症例

手術日
主病名
術名
手術医
(助手)
画像
3月27日(金)
下垂体腺腫
摘出術
北野
3月31日(火)
硬膜動静脈瘻
流入血管遮断術
松田/濵田
4月1日(水)
右手根管症候群
右手根管開放術
乾/長尾/殿元/佐伯
髄膜腫
摘出術
南田/野本/元永
4月2日(木)
右顔面痙攣
微小血管減圧術
岩井/古部
頚椎症性脊髄症
拡大椎弓形成術
乾/長尾/殿元/佐伯
頚椎椎間板性椎間孔狭窄症
前方固定術
乾/長尾/殿元/佐伯

脳血管内手術症例

手術日
主病名
術名
手術医
(助手)
画像
3月30日(月)
左頚部内頚動脈狭窄症
経皮的頸動脈ステント留置術
芝野/野本/木本
4月1日(水)
脳動脈瘤(Lt.IC)
脳血管内手術
松田/濵田

ガンマナイフ症例

手術日
主病名
担当医
3月28日(土)
両側三叉神経痛
岩井
3月31日(火)
髄膜腫
岩井
転移性脳腫瘍
岩井
転移性脳腫瘍
岩井
転移性脳腫瘍
岩井
聴神経腫瘍
岩井
4月2日(木)
聴神経腫瘍
北野
孤立性線維性腫瘍
北野

緊急手術【直近の過去1週間 2026年3月20日(金)~2026年3月26日(木)】

手術日
術式
主病名
術名
手術医
(助手)
3月21日(土)
血管内
脳梗塞・急性期
経皮的脳血栓回収術
芝野/古部/青木
3月25日(水)
血管内
脳梗塞・急性期
経皮的脳血栓回収術
芝野/青木
3月26日(木)
開頭
脳皮質下出血
血腫除去術
古部/濵田

予定手術【2026年3月20日(金)~2026年3月26日(木)】

※ 画像をクリックすると拡大表示します。

※ 表は横スクロールすることができます。

開頭症例

手術日
主病名
術名
手術医
(助手)
画像
3月21日(土)
アテローム血栓性脳梗塞
内頚動脈内膜剥離術
松田/濵田/元永
3月24日(火)
頚椎症性神経根症
後方固定+後方除圧
乾/長尾/殿元/佐伯
左手根管症候群
左手根管開放術
乾/長尾/殿元/佐伯
3月25日(水)
頚椎椎間板ヘルニア
前方固定術
乾/長尾/殿元/佐伯
頚部脊柱管狭窄症
拡大椎弓形成術
乾/長尾/殿元/佐伯
脳動脈瘤(Rt.MC)
クリッピング術
南田/野本/元永
ギラン・バレー症候群
気管切開
古谷/青木
3月26日(木)
脊髄髄膜腫
摘出術
乾/長尾/殿元/佐伯

脳血管内手術症例

手術日
主病名
術名
手術医
(助手)
画像
3月21日(土)
左頚部内頚動脈狭窄症
経皮的脳血管形成術
芝野/野本
3月23日(月)
脳動脈瘤(Lt.IC)
脳血管内手術
芝野/野本/木本
脳動脈瘤(Rt.IC-Ach)
脳血管内手術
芝野/野本/木本
3月24日(火)
脳動脈瘤(Acom)
脳血管内手術
芝野/古谷/木本
脳動脈瘤(Rt.VA)
フローダイバーター留置術
芝野/殿元/木本

ガンマナイフ症例

手術日
主病名
担当医
3月23日(月)
脳動静脈奇形
岩井
転移性脳腫瘍
岩井
三叉神経痛
岩井
3月24日(火)
右聴神経腫瘍
岩井
転移性脳腫瘍
岩井
転移性脳腫瘍
岩井

緊急手術【直近の過去1週間 2026年3月13日(金)~2026年3月19日(木)】

手術日
術式
主病名
術名
手術医
(助手)
3月14日(土)
開頭
左脳皮質下出血
血腫除去術
濵田/佐伯
3月15日(日)
血管内
くも膜下出血
(前交通動脈瘤破裂)
脳血管内手術
須山/古部/佐伯
開頭
くも膜下出血
(前交通動脈瘤破裂)
穿頭脳室ドレナージ
古部/佐伯
血管内
くも膜下出血
(内頚動脈後交通動脈分岐部動脈瘤破裂)
脳血管内手術
須山/古部/野本
3月16日(月)
開頭
くも膜下出血
(内頚動脈後交通動脈分岐部動脈瘤破裂)
血腫除去術
古部/野本
3月19日(木)
開頭
脳室内出血
血腫除去術
穿頭脳室ドレナージ
古部/濵田

予定手術【2026年3月13日(金)~2026年3月19日(木)】

※ 画像をクリックすると拡大表示します。

※ 表は横スクロールすることができます。

開頭症例

手術日
主病名
術名
手術医
(助手)
画像
3月13日(金)
左視床腫瘍
摘出術
南田/濵田
3月16日(月)
脳動静脈奇形
摘出術
南田/野本/元永
3月17日(火)
脳動脈瘤(Rt.IC-PC)
クリッピング術
乾/長尾/殿元/佐伯
脳動脈瘤(Lt.IC-PC)
クリッピング術
松田/濵田
3月18日(水)
三叉神経痛第3枝領域
微小血管減圧術
南田/野本/元永
水頭症
V-P Shunt
野本/元永
水頭症
L-P Shunt
野本/元永
3月19日(木)
左顔面痙攣
微小血管減圧術
岩井/古部
腰部脊柱管狭窄症
後方除圧
乾/長尾/殿元/佐伯

脳血管内手術症例

手術日
主病名
術名
手術医
(助手)
画像
3月13日(金)
脳動脈瘤(Lt.VA)
脳血管内手術
松田/濵田
3月17日(火)
脳動脈瘤(BA)
脳血管内手術
芝野/古谷/木本
脳動脈瘤(Lt.IC-OP)
フローダイバーター留置術
芝野/古谷/木本
3月18日(水)
脳動脈瘤(Lt.IC)
フローダイバーター留置術
須山/松田/濵田
脳動脈瘤(Rt.IC)
フローダイバーター留置術
須山/松田/濵田

ガンマナイフ症例

手術日
主病名
担当医
3月17日(火)
転移性脳腫瘍
岩井
転移性脳腫瘍
岩井
3月19日(木)
転移性脳腫瘍
北野

緊急手術【直近の過去1週間 2026年3月6日(金)~2026年3月12日(木)】

手術日
術式
主病名
術名
手術医
(助手)
3月7日(土)
開頭
脳室内出血
穿頭脳室ドレナージ
乾/青木
血管内
くも膜下出血
(内頚動脈後交通動脈分岐部動脈瘤破裂)
脳血管内手術
松田/濵田/青木
3月8日(日)
血管内
くも膜下出血
(左椎骨動脈瘤破裂)
脳血管内手術
須山/松田/古谷
開頭
脳梗塞・急性期
減圧開頭術
乾/青木
開頭
くも膜下出血
(左椎骨動脈瘤破裂)
穿頭脳室ドレナージ
松田/古谷
3月9日(月)
血管内
塞栓性脳梗塞・急性期
経皮的頸動脈ステント留置術
松田/古谷
血管内
くも膜下出血
(前交通動脈瘤破裂)
脳血管内手術
須山/長尾/青木
開頭
慢性硬膜下血腫
血腫穿孔洗浄術
青木
3月11日(水)
開頭
右外傷性慢性硬膜下血腫
血腫穿孔洗浄術
古谷

予定手術【2026年3月6日(金)~2026年3月12日(木)】

※ 画像をクリックすると拡大表示します。

※ 表は横スクロールすることができます。

開頭症例

手術日
主病名
術名
手術医
(助手)
画像
3月6日(金)
脳動静脈奇形
摘出術
南田/野本/元永
左三叉神経痛
微小血管減圧術
岩井/古部
3月10日(火)
脳動脈瘤(Rt.IC-Ach・Rt.IC-PC)
クリッピング術
乾/芝野/長尾/殿元
脳動脈瘤(Rt.MC)
クリッピング術
芝野/古谷
3月11日(水)
髄膜腫
摘出術
北野
腰部脊柱管狭窄症
後方除圧
乾/長尾/殿元/佐伯
腰部脊柱管狭窄症
後方除圧
乾/長尾/殿元/佐伯
3月12日(木)
腰部脊柱管狭窄症
後方除圧
乾/長尾/殿元/佐伯
水頭症
L-P Shunt
野本/元永

脳血管内手術症例

手術日
主病名
術名
手術医
(助手)
画像
3月11日(水)
脳動脈瘤(Acom)
脳血管内手術
須山/松田/濵田
左内頚動脈狭窄症
経皮的頸動脈ステント留置術
松田/濵田
3月12日(木)
脳動静脈奇形
血管塞栓術
須山/芝野/元永

ガンマナイフ症例

手術日
主病名
担当医
3月6日(金)
聴神経腫瘍
北野
転移性脳腫瘍
北野
転移性脳腫瘍
北野
3月9日(月)
傍矢状洞髄膜腫
岩井
神経鞘腫
岩井
左側海綿静脈洞部腫瘍
岩井
髄膜腫
岩井
転移性脳腫瘍
岩井
3月10日(火)
三叉神経痛
岩井
右側聴神経腫瘍
岩井
聴神経腫瘍
岩井
転移性脳腫瘍
岩井

緊急手術【直近の過去1週間 2026年2月27日(金)~2026年3月5日(木)】

手術日
術式
主病名
術名
手術医
(助手)
2月27日(金)
血管内
内頚動脈脳動脈瘤
脳血管内手術
須山/芝野/青木
2月28日(土)
開頭
慢性硬膜下血腫
血腫穿孔洗浄術
青木

予定手術【2026年2月27日(金)~2026年3月5日(木)】

※ 画像をクリックすると拡大表示します。

※ 表は横スクロールすることができます。

開頭症例

手術日
主病名
術名
手術医
(助手)
画像
2月27日(金)
もやもや病
血行再建術
松田/元永
3月2日(月)
左顔面痙攣
微小血管減圧術
岩井/古部
頭頂部悪性髄膜腫
摘出術
南田/野本/元永
3月3日(火)
腰部脊柱管狭窄症
後方除圧
乾/長尾/殿元/佐伯
3月4日(水)
右前頭髄膜腫
摘出術
北野
頭蓋底腫瘍
摘出術+後方固定術
乾/長尾/殿元/佐伯
3月5日(木)
頭蓋咽頭腫
摘出術
北野
左三叉神経痛
微小血管減圧術
岩井/古部
頚椎症性脊髄症
後方除圧
乾/長尾/殿元/佐伯

脳血管内手術症例

手術日
主病名
術名
手術医
(助手)
画像
2月27日(金)
頭蓋底脳腫瘍
血管塞栓術
須山/芝野
3月2日(月)
脳動静脈奇形
血管塞栓術
芝野/野本/木本
脳動脈瘤(Rt.IC-PC)
フローダイバーター留置術
芝野/古谷/木本
3月3日(火)
脳動脈瘤(Lt.IC)
フローダイバーター留置術
芝野/古谷/木本
脳動脈瘤(Rt.VA)
フローダイバーター留置術
芝野/古谷/木本
3月4日(水)
脳動静脈奇形
血管塞栓術
松田/濵田
脳動脈瘤(BA)
脳血管内手術
松田/濵田

ガンマナイフ症例

手術日
主病名
担当医
2月27日(金)
転移性脳腫瘍
岩井
傍矢状洞悪性髄膜腫
岩井
三叉神経痛
岩井
2月28日(土)
転移性脳腫瘍
岩井
3月2日(月)
右円蓋部髄膜腫
北野
脳動静脈奇形
岩井
3月3日(火)
聴神経腫瘍
岩井
右前頭葉傍矢状洞悪性髄膜腫
岩井
脳動静脈奇形
岩井
聴神経腫瘍
岩井
三叉神経痛
岩井
3月4日(水)
下垂体腺腫
北野

緊急手術【直近の過去1週間 2026年2月20日(金)~2026年2月26日(木)】

手術日
術式
主病名
術名
手術医
(助手)
2月20日(金)
開頭
慢性硬膜下血腫
血腫穿孔洗浄術
濵田/青木
開頭
頭部外傷
血腫穿孔洗浄術
濵田/青木
2月23日(月)
開頭
くも膜下出血
(後下小脳動脈解離性動脈瘤破裂)
バイパス術
動脈瘤トラッピング術
松田/佐伯

予定手術【2026年2月20日(金)~2026年2月26日(木)】

※ 画像をクリックすると拡大表示します。

※ 表は横スクロールすることができます。

開頭症例

手術日
主病名
術名
手術医
(助手)
画像
2月20日(金)
脳動脈瘤(Lt.MC)
クリッピング術
芝野/野本
2月24日(火)
胸椎化膿性脊椎炎
胸腰椎後方固定術
乾/長尾/殿元/佐伯
腰部脊柱管狭窄症
後方除圧
乾/殿元/佐伯
大脳鎌髄膜腫
摘出術
南田/野本/元永
2月25日(水)
頚椎椎間板ヘルニア
前方固定術
乾/長尾/殿元/佐伯
2月26日(木)
水頭症
V-P Shunt
野本/元永

脳血管内手術症例

手術日
主病名
術名
手術医
(助手)
画像
2月21日(土)
硬膜動静脈瘻
脳血管内手術
松田/濵田
2月24日(火)
脳動脈瘤(Acom)
脳血管内手術
北野/青木/木本
脳動脈瘤(Lt.IC)
フローダイバーター留置術
芝野/古谷/木本
2月25日(水)
右内頚動脈狭窄症
経皮的頸動脈ステント留置術
松田/濵田
脳動脈瘤(Rt.IC)
フローダイバーター留置術
松田/濵田

ガンマナイフ症例

手術日
主病名
担当医
2月20日(金)
転移性脳腫瘍
岩井
脳動静脈奇形
岩井
2月24日(火)
髄膜腫
岩井
髄膜腫
岩井
三叉神経痛
岩井
左大脳鎌髄膜腫
岩井
右三叉神経痛
岩井
転移性脳腫瘍
岩井
2月25日(水)
下垂体腺腫
北野

緊急手術【直近の過去1週間 2026年2月13日(金)~2026年2月19日(木)】

手術日
術式
主病名
術名
手術医
(助手)
2月16日(月)
血管内
右塞栓性脳梗塞・急性期
経皮的脳血栓回収術
古谷/田邉
2月17日(火)
開頭
脳動静脈奇形
血腫除去術
穿頭脳室ドレナージ
乾/元永
2月19日(木)
血管内
心原性脳塞栓症
経皮的脳血栓回収術
芝野/殿元

予定手術【2026年2月13日(金)~2026年2月19日(木)】

※ 画像をクリックすると拡大表示します。

※ 表は横スクロールすることができます。

開頭症例

手術日
主病名
術名
手術医
(助手)
画像
2月13日(金)
左聴神経腫瘍
摘出術
北野
三叉神経痛
微小血管減圧術
岩井/古部
硬膜動静脈瘻
前頭蓋底流出血管遮断術
松田/矢田
2月16日(月)
三叉神経痛
微小血管減圧術
岩井/古部
脳動静脈奇形
摘出術
南田/野本/元永
2月17日(火)
脳動脈瘤(Lt.IC-PC)
クリッピング術
松田/濵田
右手根管症候群
手根管開放術
長尾
2月18日(水)
下垂体腺腫
摘出術
北野
難治性疼痛
脊髄刺激装置埋め込み術
乾/長尾/殿元/佐伯
頚椎症性脊髄症
拡大椎弓形成術
乾/長尾/殿元/佐伯
水頭症
V-P Shunt
野本/元永
2月19日(木)
慢性難治性疼痛
脊髄刺激装置入れ替え術
乾/長尾/殿元/佐伯
水頭症
V-P Shunt
野本

脳血管内手術症例

手術日
主病名
術名
手術医
(助手)
画像
2月17日(火)
脳動脈瘤(Lt.IC)
フローダイバーター留置術
芝野/古谷/木本
2月18日(水)
脳動脈瘤(BA)
脳血管内手術
松田/濵田
脳動脈瘤(Lt.IC)
脳血管内手術
松田/濵田

ガンマナイフ症例

手術日
主病名
担当医
2月13日(金)
右三叉神経痛第2枝領域
岩井
2月16日(月)
転移性脳腫瘍
岩井
頭蓋咽頭腫
岩井
2月17日(火)
脳動静脈奇形
岩井
2月18日(水)
海綿静脈洞部髄膜腫
北野
2月19日(木)
下垂体腺腫
北野
聴神経腫瘍
北野
転移性脳腫瘍
北野

緊急手術【直近の過去1週間 2026年2月6日(金)~2026年2月12日(木)】

手術日
術式
主病名
術名
手術医
(助手)
2月6日(金)
開頭
慢性硬膜下血腫
血腫穿孔洗浄術
元永
血管内
心原性脳塞栓症
経皮的脳血栓回収術
矢田/元永
2月7日(土)
開頭
慢性硬膜下血腫
血腫穿孔洗浄術
元永
2月11日(水)
血管内
くも膜下出血
(内頚動脈後交通動脈分岐部動脈瘤破裂)
脳血管内手術
須山/古部/野本
2月12日(木)
血管内
急性期心原性脳塞栓症
経皮的脳血栓回収術
古部/野本
血管内
塞栓性脳梗塞・急性期
経皮的脳血栓回収術
松田/濵田

予定手術【2026年2月6日(金)~2026年2月12日(木)】

※ 画像をクリックすると拡大表示します。

※ 表は横スクロールすることができます。

開頭症例

手術日
主病名
術名
手術医
(助手)
画像
2月6日(金)
下垂体腫瘍
摘出術
北野
左前頭葉腫瘤
摘出術
岩井/古部
脳動脈瘤(Rt.MC)
クリッピング術
松田/矢田
2月9日(月)
髄膜腫
摘出術
北野
三叉神経痛
微小血管減圧術
岩井/古部
脳動脈瘤(Lt.IC-Ach)
クリッピング術
芝野/古谷
2月10日(火)
脳動脈瘤(Acom)
クリッピング術
乾/長尾/佐伯
脳動脈瘤(Lt.MC)
クリッピング術
芝野/古谷
2月12日(木)
腰椎黄色靱帯骨化症
後方除圧
乾/長尾/殿元/佐伯
外傷性脳浮腫
頭蓋形成術
矢田
開頭術後骨欠損
頭蓋形成術
青木

脳血管内手術症例

手術日
主病名
術名
手術医
(助手)
画像
2月10日(火)
脳動静脈奇形
血管塞栓術
松田/濵田/矢田/木本

ガンマナイフ症例

手術日
主病名
担当医
2月9日(月)
転移性脳腫瘍
岩井
転移性脳腫瘍
岩井
転移性脳腫瘍
岩井
2月10日(火)
転移性脳腫瘍
岩井
左三叉神経痛
岩井
三叉神経痛
岩井
右三叉神経痛
岩井
2月12日(木)
転移性脳腫瘍
北野
右脳室髄膜腫
北野
大脳鎌髄膜腫
北野
転移性脳腫瘍
北野
聴神経腫瘍
北野

緊急手術【直近の過去1週間 2026年1月30日(金)~2026年2月5日(木)】

手術日
術式
主病名
術名
手術医
(助手)
1月30日(金)
開頭
脳皮質下出血
血腫除去術
濵田/元永
開頭
脳皮質下出血
血腫除去術
乾/矢田
1月31日(土)
開頭
慢性硬膜下血腫
血腫穿孔洗浄術
青木
2月4日(水)
開頭
外傷性慢性硬膜下血腫
血腫穿孔洗浄術
矢田

予定手術【2026年1月30日(金)~2026年2月5日(木)】

※ 画像をクリックすると拡大表示します。

※ 表は横スクロールすることができます。

開頭症例

手術日
主病名
術名
手術医
(助手)
画像
1月30日(金)
三叉神経痛
微小血管減圧術
岩井/古部
脳動脈瘤(Lt.MC)
クリッピング術
松田/矢田
2月2日(月)
三叉神経痛
微小血管減圧術
岩井/古部
膠芽腫
摘出術
南田/野本/元永
2月3日(火)
水頭症
V-P Shunt
岩井/矢田
頚椎症性脊髄症
前方固定術
乾/長尾/殿元/佐伯
もやもや病
血行再建術
松田/矢田/元永
2月4日(水)
腰部脊柱管狭窄症
後方除圧
乾/芝野/長尾/殿元
脊髄神経鞘腫
摘出術
乾/長尾/殿元/佐伯
2月5日(木)
頭蓋底腫瘍
拡大ハーディ
北野
顔面痙攣
微小血管減圧術
岩井/古部
腰部脊柱管狭窄症
後方除圧
乾/長尾/殿元/佐伯

脳血管内手術症例

手術日
主病名
術名
手術医
(助手)
画像
2月3日(火)
脳動脈瘤(Rt.IC)
フローダイバーター留置術
芝野/古谷/木本
2月4日(水)
脳動脈瘤(Rt.IC)
脳血管内手術
松田/矢田

緊急手術【直近の過去1週間 2026年1月23日(金)~2026年1月29日(木)】

手術日
術式
主病名
術名
手術医
(助手)
1月23日(金)
開頭
両側外傷性硬膜下水腫
血腫穿孔洗浄術
濵田
1月24日(土)
開頭
脳皮質下出血
血腫除去術
野本
開頭
慢性硬膜下血腫
血腫穿孔洗浄術
元永
1月25日(日)
開頭
被殻出血
血腫除去術
長尾
血管内
中大脳動脈塞栓症
経皮的脳血栓回収術
古部/殿元
1月26日(月)
開頭
続発性正常圧水頭症
水頭症手術(シャント手術)
矢田/元永
1月29日(木)
開頭
小脳出血
血腫除去術
古部/野本

予定手術【2026年1月23日(金)~2026年1月29日(木)】

※ 画像をクリックすると拡大表示します。

※ 表は横スクロールすることができます。

開頭症例

手術日
主病名
術名
手術医
(助手)
画像
1月23日(金)
脳動静脈奇形
摘出術(嚢胞)
松田/矢田
水頭症
V-P Shunt
野本/元永
1月26日(月)
下垂体腺腫
摘出術
北野
水頭症
V-P Shunt
矢田/元永
1月27日(火)
腰部脊柱管狭窄症
後方除圧
乾/長尾/殿元/佐伯
腰部脊柱管狭窄症
後方除圧
乾/長尾/殿元/佐伯
円蓋部髄膜腫
摘出術
南田/野本/元永
1月28日(水)
右手根管症候群
右手根管開放術
乾/芝野/殿元
腰部脊柱管狭窄症
後方除圧
乾/長尾/殿元/佐伯
1月29日(木)
右肘部管症候群
右肘部管開放術
乾/長尾/殿元/佐伯
開頭術後骨欠損
頭蓋形成術
吉岡/野本

脳血管内手術症例

手術日
主病名
術名
手術医
(助手)
画像
1月24日(土)
脳動脈瘤(Lt.IC)
フローダイバーター留置術
須山/松田/矢田
1月28日(水)
脳動脈瘤(Rt.IC-PC)
脳血管内手術
須山/松田/野本

緊急手術【直近の過去1週間 2026年1月16日(金)~2026年1月22日(木)】

手術日
術式
主病名
術名
手術医
(助手)
1月16日(金)
開頭
尾状核出血
穿頭脳室ドレナージ
濵田
血管内
心原性脳塞栓症
経皮的脳血栓回収術
芝野/古部
1月17日(土)
開頭
慢性硬膜下血腫
血腫穿孔洗浄術
野本/元永
1月18日(日)
開頭
くも膜下出血
交通性水頭症
穿頭脳室ドレナージ
古部/佐伯
血管内
くも膜下出血
脳血管内手術
須山/古部/佐伯
血管内
くも膜下出血
脳血管内手術
須山/古部/佐伯
1月20日(火)
開頭
内頚動脈後交通動脈分岐部動脈瘤
クリッピング術
松田/青木
1月21日(水)
血管内
脳外主幹動脈血栓症脳梗塞
経皮的脳血栓回収術
松田/長尾/濵田

予定手術【2026年1月16日(金)~2026年1月22日(木)】

※ 画像をクリックすると拡大表示します。

※ 表は横スクロールすることができます。

開頭症例

手術日
主病名
術名
手術医
(助手)
画像
1月16日(金)
右三叉神経痛
微小血管減圧術
岩井/古部
水頭症
V-P Shunt
芝野/古谷
脳動静脈奇形
摘出術
松田/矢田
1月19日(月)
水頭症
V-P Shunt
野本/元永
1月20日(火)
頚部脊柱管狭窄症
拡大椎弓形成術
乾/長尾/殿元/佐伯
左手根管症候群
左手根管開放術
乾/殿元/佐伯
三叉神経痛第2・3枝領域
微小血管減圧術
南田/野本/元永
1月21日(水)
下垂体腫瘍
摘出術
北野
左顔面痙攣症
微小血管減圧術
乾/長尾/殿元/佐伯
脳動脈瘤(Lt.IC-Ach)
クリッピング術
南田/野本/元永
1月22日(木)
錐体斜台部髄膜腫
摘出術
乾/長尾/殿元/佐伯
左頚部内頚動脈狭窄症
内頚動脈内膜剥離術
芝野/野本

脳血管内手術症例

手術日
主病名
術名
手術医
(助手)
画像
1月20日(火)
脳動脈瘤(Rt.IC-PC)
脳血管内手術
芝野/古谷/木本
1月21日(水)
脳動脈瘤(Rt.IC)
脳血管内手術
松田/矢田

緊急手術【直近の過去1週間 2026年1月9日(金)~2026年1月15日(木)】

手術日
術式
主病名
術名
手術医
(助手)
1月10日(土)
血管内
脳外主幹動脈血栓症脳梗塞
経皮的脳血栓回収術
芝野/青木
開頭
被殻出血
血腫除去術
長尾/濵田/元永
1月11日(日)
開頭
右慢性硬膜下血腫
血腫穿孔洗浄術
野本
開頭
左急性硬膜下血腫
血腫除去術
減圧開頭術
松田/矢田
開頭
小脳出血
血腫除去術
松田/野本
1月14日(水)
開頭
右被殻出血
血腫除去術
芝野/矢田

予定手術【2026年1月9日(金)~2026年1月15日(木)】

※ 画像をクリックすると拡大表示します。

※ 表は横スクロールすることができます。

開頭症例

手術日
主病名
術名
手術医
(助手)
画像
1月9日(金)
顔面痙攣
微小血管減圧術
南田/野本/元永
脳動脈瘤(Rt.MC)
クリッピング術
松田/矢田
1月13日(火)
頚椎後縦靭帯骨化症
拡大椎弓形成術
乾/長尾/殿元/佐伯
水頭症
V-P Shunt
元永
1月14日(水)
左頭頂葉腫瘍
摘出術
北野
右手根管症候群
右手根管開放術
乾/長尾/殿元/佐伯
頚椎後縦靭帯骨化症
拡大椎弓形成術
乾/長尾/殿元/佐伯
顔面痙攣
微小血管減圧術
南田/野本/元永
1月15日(木)
下垂体腺腫
摘出術
北野
頚部脊柱管狭窄症
拡大椎弓形成術
乾/長尾/殿元/佐伯

脳血管内手術症例

手術日
主病名
術名
手術医
(助手)
画像
1月10日(土)
脳動脈瘤(Rt.IC)
フローダイバーター留置術
須山/松田/矢田
1月13日(火)
脳動静脈奇形
血管塞栓術
松田/矢田/木本

緊急手術【直近の過去1週間 2025年12月26日(金)~2026年1月8日(木)】

手術日
術式
主病名
術名
手術医
(助手)
12月30日(火)
開頭
右視床出血
穿頭脳室ドレナージ
矢田/佐伯
1月1日(木)
血管内
前交通動脈瘤
脳血管内手術
須山/芝野/古谷
開頭
慢性硬膜下血腫
血腫穿孔洗浄術
元永
1月5日(月)
血管内
くも膜下出血
(前交通動脈瘤破裂)
脳血管内手術
経皮的脳血栓回収術
須山/古部/佐伯
開頭
脳室内出血
穿頭脳室ドレナージ
乾/佐伯
1月8日(木)
開頭
被殻出血
血腫除去術
古部
開頭
脳皮質下出血
血腫除去術
矢田/殿元
血管内
脳梗塞・急性期
経皮的脳血栓回収術
芝野/元永

予定手術【2025年12月26日(金)~2026年1月8日(木)】

※ 画像をクリックすると拡大表示します。

※ 表は横スクロールすることができます。

開頭症例

手術日
主病名
術名
手術医
(助手)
画像
12月26日(金)
左三叉神経痛
微小血管減圧術
岩井/古部
12月29日(月)
手根管症候群
開放術
長尾
1月6日(火)
脳動脈瘤(Rt.MC)
クリッピング術
南田/野本/元永
1月7日(水)
腰部脊柱管狭窄症
後方除圧
乾/長尾/殿元/佐伯
アーノルド・キアリ奇形
大孔部減圧術
乾/殿元/佐伯
大脳鎌髄膜腫
摘出術
南田/濵田
1月8日(木)
下垂体腫瘍
摘出術
北野
頚椎症性脊髄症
前方固定術
乾/長尾/殿元/佐伯
左円蓋部髄膜腫
デブリードマン
乾/殿元/佐伯

脳血管内手術症例

手術日
主病名
術名
手術医
(助手)
画像
12月27日(土)
硬膜動静脈瘻
脳血管内手術
松田/矢田
1月7日(水)
脳動脈瘤(Lt.IC)
脳血管内手術
松田/矢田

ガンマナイフ症例

手術日
主病名
担当医
12月26日(金)
転移性脳腫瘍
北野
1月6日(火)
転移性脳腫瘍
岩井

緊急手術【直近の過去1週間 2025年12月19日(金)~2025年12月25日(木)】

手術日
術式
主病名
術名
手術医
(助手)
12月19日(金)
開頭
外傷性慢性硬膜下血腫
血腫穿孔洗浄術
佐伯
開頭
脳皮質下出血
血腫除去術
古部/殿元/佐伯
12月21日(日)
血管内
くも膜下出血
(内頚動脈瘤破裂)
脳血管内手術
須山/長尾/矢田
12月22日(月)
血管内
くも膜下出血
脳血管内手術
(脳血管内ステント)
松田/矢田/青木
12月25日(木)
開頭
脳皮質下出血
血腫除去術
矢田

予定手術【2025年12月19日(金)~2025年12月25日(木)】

※ 画像をクリックすると拡大表示します。

※ 表は横スクロールすることができます。

開頭症例

手術日
主病名
術名
手術医
(助手)
画像
12月19日(金)
前頭葉膠芽腫
摘出術
南田/野本/元永
12月22日(月)
右急性期塞栓性脳梗塞
頭蓋形成術
野本
脳梗塞
頭蓋形成術
野本/元永
硬膜外膿瘍
デブリードマン
吉岡/矢田
12月23日(火)
腰部脊柱管狭窄症
後方除圧
乾/長尾/殿元
脊髄空洞症
空洞-腹腔シャント術
乾/長尾/殿元/佐伯
脳動脈瘤(Lt.MC)
クリッピング術
南田/野本/元永
髄膜腫
摘出術
長尾/濵田
12月24日(水)
左顔面痙攣
微小血管減圧術
乾/長尾/濵田
12月25日(木)
腰部脊柱管狭窄症
後方除圧
乾/長尾/殿元/佐伯

脳血管内手術症例

手術日
主病名
術名
手術医
(助手)
画像
12月22日(月)
左頚部内頚動脈閉塞症
経皮的脳血管形成術
芝野/古谷/木本
12月23日(火)
脳動脈瘤(Lt.IC)
脳血管内手術
芝野/古谷/木本

ガンマナイフ症例

手術日
主病名
担当医
12月19日(金)
転移性脳腫瘍
岩井
三叉神経痛
岩井
12月20日(土)
転移性脳腫瘍
岩井
12月22日(月)
転移性脳腫瘍
岩井
転移性脳腫瘍
岩井
髄膜腫
岩井
転移性脳腫瘍
岩井
12月23日(火)
脳動静脈奇形
岩井
右蝶形骨髄膜腫
岩井
左円蓋部髄膜腫
岩井

緊急手術【直近の過去1週間 2025年12月12日(金)~2025年12月18日(木)】

手術日
術式
主病名
術名
手術医
(助手)
12月12日(金)
血管内
心原性脳塞栓症
経皮的脳血栓回収術
松田/濵田

予定手術【2025年12月12日(金)~2025年12月18日(木)】

※ 画像をクリックすると拡大表示します。

※ 表は横スクロールすることができます。

開頭症例

手術日
主病名
術名
手術医
(助手)
画像
12月12日(金)
下垂体腫瘍
摘出術
北野
顔面痙攣症
微小血管減圧術
岩井/古部
脳梗塞
頭蓋形成術
野本/元永
12月15日(月)
左頚部内頚動脈狭窄症
内頚動脈内膜剥離術
芝野/古谷
12月17日(水)
右前頭葉腫瘍
摘出術
北野
腰部脊柱管狭窄症
後方除圧
乾/長尾/殿元/佐伯
腰椎椎間板ヘルニア
後方除圧
乾/長尾/殿元/佐伯
硬膜動静脈瘻
流入血管遮断術
松田/矢田
12月18日(木)
腰部脊柱管狭窄症
後方除圧
乾/殿元/佐伯

脳血管内手術症例

手術日
主病名
術名
手術医
(助手)
画像
12月13日(土)
脳動脈瘤(Lt.IC-OP)
フローダイバーター留置術
須山/松田/矢田
12月16日(火)
脳動脈瘤(Lt.MC)
脳血管内手術
芝野/古谷/木本

ガンマナイフ症例

手術日
主病名
担当医
12月12日(金)
転移性脳腫瘍
岩井
12月15日(月)
転移性脳腫瘍
岩井
12月16日(火)
転移性脳腫瘍
岩井
三叉神経痛
岩井
右小脳橋角部髄膜腫
岩井
転移性脳腫瘍
岩井
12月18日(木)
転移性脳腫瘍
北野

緊急手術【直近の過去1週間 2025年12月5日(金)~2025年12月11日(木)】

手術日
術式
主病名
術名
手術医
(助手)
12月10日(水)
開頭
くも膜下出血
穿頭脳室ドレナージ
長尾/矢田/元永
血管内
くも膜下出血
脳血管内手術
須山/長尾/矢田/元永
12月11日(木)
血管内
右心原性脳塞栓症
経皮的脳血栓回収術
芝野/殿元/古谷
開頭
特発性正常圧水頭症
水頭症手術(シャント手術)
野本/元永

予定手術【2025年12月5日(金)~2025年12月11日(木)】

※ 画像をクリックすると拡大表示します。

※ 表は横スクロールすることができます。

開頭症例

手術日
主病名
術名
手術医
(助手)
画像
12月5日(金)
左頭蓋窩腫瘤
摘出術
北野
12月8日(月)
下垂体腺腫
摘出術
北野
12月9日(火)
脊髄腫瘍
摘出術
乾/長尾/殿元/佐伯
三叉神経痛第2枝領域
微小血管減圧術
南田/野本/元永
12月10日(水)
開頭術後骨欠損
頭蓋形成術
北野
頚椎後縦靭帯骨化症
拡大椎弓形成術
乾/長尾/殿元/佐伯
12月11日(木)
良性頭蓋咽頭腫
摘出術
北野
脳動脈瘤(Rt.IC-PC)
クリッピング術
乾/殿元/佐伯
水頭症
V-P Shunt
野本/元永

脳血管内手術症例

手術日
主病名
術名
手術医
(助手)
画像
12月9日(火)
脳動脈瘤(Lt.IC-PC・Rt.IC-PC)
脳血管内手術
芝野/古谷/木本
12月10日(水)
脳動脈瘤(Rt.IC)
フローダイバーター留置術
松田/矢田
12月11日(木)
左内頚動脈狭窄症
経皮的頸動脈ステント留置術
芝野/古部

ガンマナイフ症例

手術日
主病名
担当医
12月5日(金)
転移性脳腫瘍
山里
12月9日(火)
左脳神経鞘腫
岩井
円蓋部髄膜腫
岩井
左側頭葉円蓋部髄膜腫
岩井
12月10日(水)
転移性脳腫瘍
北野
12月11日(木)
髄膜腫
北野

緊急手術【直近の過去1週間 2025年11月28日(金)~2025年12月4日(木)】

手術日
術式
主病名
術名
手術医
(助手)
11月28日(金)
血管内
くも膜下出血
(右内頚動脈後交通動脈分岐部動脈瘤破裂)
脳血管内手術
芝野/古谷
開頭
急性硬膜下血腫
穿頭脳室ドレナージ
血腫除去術
長尾/殿元/青木
11月30日(日)
開頭
脳血管閉塞性脳梗塞
減圧開頭術
野本
12月2日(火)
開頭
慢性硬膜下血腫
血腫穿孔洗浄術
青木
12月3日(水)
開頭
被殻出血
血腫除去術
古部
開頭
髄膜腫
血腫除去術
南田/野本/元永

予定手術【2025年11月28日(金)~2025年12月4日(木)】

※ 画像をクリックすると拡大表示します。

※ 表は横スクロールすることができます。

開頭症例

手術日
主病名
術名
手術医
(助手)
画像
11月28日(金)
右中頭蓋窩髄膜腫
摘出術
北野
顔面痙攣
微小血管減圧術
岩井/古部
12月1日(月)
先端巨大症
摘出術
北野
顔面痙攣
微小血管減圧術
岩井/古部
12月3日(水)
下垂体腺腫
摘出術
北野
右頭頂葉腫瘍
摘出術
乾/長尾/佐伯
髄膜腫
摘出術
南田/野本/元永
12月4日(木)
左後頭葉腫瘍
摘出術
岩井/古部

ガンマナイフ症例

手術日
主病名
担当医
11月28日(金)
転移性脳腫瘍
北野
12月1日(月)
転移性脳腫瘍
岩井
12月2日(火)
右聴神経腫瘍
岩井
右三叉神経痛
岩井
転移性脳腫瘍
岩井
12月4日(木)
転移性脳腫瘍
北野

緊急手術【直近の過去1週間 2025年11月21日(金)~2025年11月27日(木)】

手術日
術式
主病名
術名
手術医
(助手)
11月23日(日)
開頭
慢性硬膜下血腫
血腫穿孔洗浄術
長尾

予定手術【2025年11月21日(金)~2025年11月27日(木)】

※ 画像をクリックすると拡大表示します。

※ 表は横スクロールすることができます。

開頭症例

手術日
主病名
術名
手術医
(助手)
画像
11月21日(金)
左前頭葉腫瘍
摘出術
北野
左被殻出血
気管切開
野本/佐伯
11月25日(火)
頚椎症性脊髄症
拡大椎弓形成術
乾/長尾/殿元/佐伯
左肘部管症候群
左肘部管開放術
乾/長尾/殿元/佐伯
11月26日(水)
下垂体腺腫
摘出術
北野

脳血管内手術症例

手術日
主病名
術名
手術医
(助手)
画像
11月25日(火)
脳動脈瘤(Rt.IC)
フローダイバーター留置術
芝野/古谷/木本

ガンマナイフ症例

手術日
主病名
担当医
11月21日(金)
三叉神経痛
岩井
傍矢状洞髄膜腫
山里
11月22日(土)
傍矢状洞髄膜腫
山里
11月25日(火)
髄膜腫
岩井
小脳橋角部髄膜腫
岩井
髄膜腫
岩井
11月26日(水)
転移性脳腫瘍
山里
11月27日(木)
転移性脳腫瘍
北野

緊急手術【直近の過去1週間 2025年11月14日(金)~2025年11月20日(木)】

手術日
術式
主病名
術名
手術医
(助手)
11月15日(土)
開頭
尾状核出血
穿頭脳室ドレナージ
濵田
開頭
脳皮質下出血
血腫除去術
野本/元永
11月16日(日)
血管内
脳外主幹動脈血栓症脳梗塞
経皮的脳血栓回収術
芝野/青木
11月17日(月)
血管内
くも膜下出血
脳血管内手術
須山/古部/矢田/青木
開頭
外傷性慢性硬膜下血腫
血腫穿孔洗浄術
殿元

予定手術【2025年11月14日(金)~2025年11月20日(木)】

※ 画像をクリックすると拡大表示します。

※ 表は横スクロールすることができます。

開頭症例

手術日
主病名
術名
手術医
(助手)
画像
11月14日(金)
頭蓋咽頭腫
摘出術
北野
左三叉神経痛
微小血管減圧術
岩井/古部
11月17日(月)
眼窩腫瘍
摘出術
北野/古部/矢田
髄膜腫
摘出術
南田/野本/元永
右被殻出血
気管切開
野本
11月18日(火)
軸椎歯突起後方偽腫瘍
後弓切除
乾/長尾/殿元/佐伯
腰部脊柱管狭窄症
後方除圧
乾/殿元/佐伯
三叉神経痛第2枝領域
微小血管減圧術
南田/野本/元永
11月19日(水)
左前頭葉腫瘍
摘出術
北野
腰部脊柱管狭窄症
後方除圧
乾/殿元/佐伯
腰部脊柱管狭窄症
後方除圧
乾/殿元/佐伯
左手根管症候群
左手根管開放術
乾/殿元/佐伯
11月20日(木)
右前頭葉腫瘍
摘出術
長尾/佐伯

脳血管内手術症例

手術日
主病名
術名
手術医
(助手)
画像
11月17日(月)
内頚動脈狭窄症
経皮的頸動脈ステント留置術
芝野/矢田/木本
11月18日(火)
脳動静脈奇形
血管塞栓術
松田/矢田/木本

ガンマナイフ症例

手術日
主病名
担当医
11月14日(金)
脳動静脈奇形
岩井
11月15日(土)
転移性脳腫瘍
岩井
11月18日(火)
聴神経腫瘍
岩井
三叉神経痛
岩井
両側三叉神経痛
岩井

緊急手術【直近の過去1週間 2025年11月7日(金)~2025年11月13日(木)】

手術日
術式
主病名
術名
手術医
(助手)
11月7日(金)
開頭
慢性硬膜下血腫
血腫穿孔洗浄術
濵田
血管内
くも膜下出血
(右内頚動脈後交通動脈分岐部動脈瘤破裂)
脳血管内手術
芝野/古谷
開頭
慢性硬膜下血腫
血腫穿孔洗浄術
北野/青木
開頭
くも膜下出血
(右内頚動脈後交通動脈分岐部動脈瘤破裂)
脳内血腫除去術
穿頭脳室ドレナージ
芝野/古谷
開頭
慢性硬膜下血腫
血腫穿孔洗浄術
濵田
11月8日(土)
血管内
くも膜下出血
(前大脳動脈瘤破裂)
脳血管内手術
須山/古部/野本/佐伯
11月9日(日)
開頭
くも膜下出血
(前大脳動脈瘤破裂)
穿頭脳室ドレナージ
野本/佐伯
11月12日(水)
血管内
くも膜下出血
(中大脳動脈瘤破裂)
脳血管内手術
須山/古部/矢田
11月13日(木)
開頭
右中大脳動脈瘤
血腫除去術
芝野

予定手術【2025年11月7日(金)~2025年11月13日(木)】

※ 画像をクリックすると拡大表示します。

※ 表は横スクロールすることができます。

開頭症例

手術日
主病名
術名
手術医
(助手)
画像
11月7日(金)
顔面痙攣
微小血管減圧術
岩井/古部
脳動脈瘤(Rt.MC)
クリッピング術
松田/矢田
11月10日(月)
神経膠腫
摘出術
北野
頭蓋骨腫瘍
摘出術
南田/野本/元永
蝶形骨稜髄膜腫
摘出術
古部/矢田
11月11日(火)
左前頭葉腫瘍
摘出術
南田/野本/元永
脳動脈瘤(Lt.MC)
クリッピング術
松田/矢田
11月12日(水)
下垂体腫瘍
摘出術
北野
髄膜腫
摘出術
南田/野本/元永
11月13日(木)
眼窩腫瘍
摘出術
北野/古部/矢田
脳動脈瘤(Rt.MC)
クリッピング術
芝野/古谷

脳血管内手術症例

手術日
主病名
術名
手術医
(助手)
画像
11月7日(金)
右内頚動脈ステント植え込み状態
経皮的頸動脈ステント留置術
芝野/野本
11月11日(火)
脳動脈瘤(Lt.IC)
脳血管内手術
芝野/古谷/木本

ガンマナイフ症例

手術日
主病名
担当医
11月7日(金)
左頭頂葉脳動静脈奇形
岩井
転移性脳腫瘍
岩井
11月11日(火)
顔面神経鞘腫
岩井
三叉神経痛
岩井
転移性脳腫瘍
岩井
聴神経腫瘍
岩井
11月12日(水)
転移性脳腫瘍
山里

緊急手術【直近の過去1週間 2025年10月31日(金)~2025年11月6日(木)】

手術日
術式
主病名
術名
手術医
(助手)
11月1日(土)
開頭
左慢性硬膜下血腫
血腫穿孔洗浄術
佐伯
11月4日(火)
開頭
被殻出血
血腫除去術
長尾/野本
11月5日(水)
開頭
慢性硬膜下血腫
血腫穿孔洗浄術
青木
開頭
くも膜下出血
(破裂性内頚動脈解離)
穿頭脳室ドレナージ
矢田

予定手術【2025年10月31日(金)~2025年11月6日(木)】

※ 画像をクリックすると拡大表示します。

※ 表は横スクロールすることができます。

開頭症例

手術日
主病名
術名
手術医
(助手)
画像
10月31日(金)
脳動脈瘤(Lt.MC)
クリッピング術
南田/野本/元永
脳動脈瘤(AC)
クリッピング術
松田/矢田
11月4日(火)
腰部脊柱管狭窄症
後方除圧
乾/殿元/佐伯
脳動脈瘤(Rt.IC-PC)
クリッピング術
松田/矢田
11月5日(水)
腰部脊柱管狭窄症
後方除圧
乾/殿元/佐伯
右手根管症候群
右手根管開放術
乾/殿元/佐伯
円蓋部髄膜腫
摘出術
南田/野本/元永
11月6日(木)
顔面痙攣
微小血管減圧術
岩井/古部
三叉神経痛
微小血管減圧術
長尾/濵田

ガンマナイフ症例

手術日
主病名
担当医
11月4日(火)
聴神経腫瘍
岩井
脳動静脈奇形
岩井
硬膜動静脈瘻
岩井
11月5日(水)
転移性脳腫瘍
山里

緊急手術【直近の過去1週間 2025年10月24日(金)~2025年10月30日(木)】

手術日
術式
主病名
術名
手術医
(助手)
10月24日(金)
血管内
塞栓性脳梗塞・急性期
経皮的脳血栓回収術
古部/古谷/佐伯
10月27日(月)
血管内
硬膜動静脈瘻
血管塞栓術
松田/佐伯
開頭
硬膜下血腫
血腫穿孔洗浄術
長尾
10月29日(水)
開頭
くも膜下出血
穿頭脳室ドレナージ
野本/元永
血管内
くも膜下出血
脳血管内手術
須山/古部/野本/元永
10月30日(木)
開頭
くも膜下出血
減圧開頭術
野本/元永
開頭
左脳皮質下出血
血腫除去術
長尾/佐伯

予定手術【2025年10月24日(金)~2025年10月30日(木)】

※ 画像をクリックすると拡大表示します。

※ 表は横スクロールすることができます。

開頭症例

手術日
主病名
術名
手術医
(助手)
画像
10月24日(金)
下垂体腫瘍
摘出術
北野
脳動静脈奇形
摘出術
松田/矢田
10月27日(月)
下垂体腺腫
摘出術
北野
顔面痙攣
微小血管減圧術
南田/野本/元永
10月29日(水)
左側頭葉腫瘍
摘出術
古部/野本

脳血管内手術症例

手術日
主病名
術名
手術医
(助手)
画像
10月25日(土)
左総頚動脈狭窄症
経皮的頸動脈ステント留置術
須山/松田/矢田

ガンマナイフ症例

手術日
主病名
担当医
10月27日(月)
三叉神経痛
岩井
右聴神経鞘腫
岩井
10月28日(火)
脳動静脈奇形
岩井
右側聴神経鞘腫
岩井

緊急手術【直近の過去1週間 2025年10月17日(金)~2025年10月23日(木)】

手術日
術式
主病名
術名
手術医
(助手)
10月17日(金)
血管内
くも膜下出血
(前交通動脈瘤破裂)
脳血管内手術
須山/長尾/濵田
10月18日(土)
開頭
小脳腫瘍
穿頭脳室ドレナージ
矢田
開頭
外傷性慢性硬膜下血腫
血腫穿孔洗浄術
矢田
10月23日(木)
開頭
右脳皮質下出血
血腫除去術
古部/野本/佐伯

予定手術【2025年10月17日(金)~2025年10月23日(木)】

※ 画像をクリックすると拡大表示します。

※ 表は横スクロールすることができます。

開頭症例

手術日
主病名
術名
手術医
(助手)
画像
10月17日(金)
右後頭蓋窩髄膜腫
摘出術
北野
脳動静脈奇形
摘出術
松田/矢田
10月20日(月)
聴神経腫瘍
摘出術
北野
10月21日(火)
顔面痙攣
微小血管減圧術
南田/野本/元永
10月22日(水)
右手根管症候群
右手根管開放術
乾/殿元/佐伯
腰部脊柱管狭窄症
後方除圧
乾/殿元/佐伯
右肘部管症候群
右肘部管開放術
乾/殿元/佐伯
海綿状血管腫
摘出術
南田/野本/元永
10月23日(木)
右円蓋部髄膜腫
摘出術
北野
腰椎椎間板ヘルニア
Love法
乾/殿元/佐伯

脳血管内手術症例

手術日
主病名
術名
手術医
(助手)
画像
10月21日(火)
脳動静脈奇形
血管塞栓術
松田/矢田/木本
脳動静脈奇形
血管塞栓術
松田/矢田/木本

ガンマナイフ症例

手術日
主病名
担当医
10月17日(金)
転移性脳腫瘍
岩井
転移性脳腫瘍
岩井
転移性脳腫瘍
岩井

緊急手術【直近の過去1週間 2025年10月10日(金)~2025年10月16日(木)】

手術日
術式
主病名
術名
手術医
(助手)
10月10日(金)
血管内
脳梗塞
経皮的脳血栓回収術
芝野/青木
10月11日(土)
血管内
前交通動脈瘤
脳血管内手術
須山/芝野/青木
10月13日(月)
血管内
くも膜下出血
(前交通動脈瘤破裂)
脳血管内手術
松田/殿元
開頭
くも膜下出血
(前交通動脈瘤破裂)
穿頭脳室ドレナージ
殿元
10月14日(火)
血管内
くも膜下出血
脳血管内手術
芝野/古谷/木本
10月15日(水)
開頭
非交通性水頭症
穿頭脳室ドレナージ
野本
開頭
慢性硬膜下血腫
血腫穿孔洗浄術
野本
10月16日(木)
血管内
くも膜下出血
脳血管内手術(脳血管内ステント)
須山/芝野/青木

予定手術【2025年10月10日(金)~2025年10月16日(木)】

※ 画像をクリックすると拡大表示します。

※ 表は横スクロールすることができます。

開頭症例

手術日
主病名
術名
手術医
(助手)
画像
10月10日(金)
右顔面痙攣
微小血管減圧術
岩井/古部
脳動脈瘤(Rt.MC)
クリッピング術
松田/矢田
10月14日(火)
腰部脊柱管狭窄症
後方除圧
乾/殿元/佐伯
脳幹部腫瘍
摘出術
南田/野本/元永
10月15日(水)
頚部脊柱管狭窄症
前方固定術
乾/殿元/佐伯
頚部脊柱管狭窄症
拡大椎弓形成術
乾/殿元/佐伯
髄膜腫
摘出術
南田/野本/元永
水頭症
V-P Shunt
野本/元永
10月16日(木)
腰部脊柱管狭窄症
後方除圧
乾/殿元/佐伯

脳血管内手術症例

手術日
主病名
術名
手術医
(助手)
画像
10月14日(火)
脳動脈瘤(Lt.IC)
フローダイバーター留置術
芝野/古谷/木本
10月15日(水)
脳動静脈奇形
血管塞栓術
須山/松田/矢田

ガンマナイフ症例

手術日
主病名
担当医
10月10日(金)
聴神経腫瘍
岩井
10月11日(土)
転移性脳腫瘍
岩井
10月14日(火)
右聴神経腫瘍
岩井
転移性脳腫瘍
岩井
三叉神経痛
岩井

緊急手術【直近の過去1週間 2025年10月3日(金)~2025年10月9日(木)】

手術日
術式
主病名
術名
手術医
(助手)
10月3日(金)
血管内
くも膜下出血
(前交通動脈瘤破裂)
脳血管内手術
芝野/元永
10月5日(日)
開頭
被殻出血
血腫除去術
芝野/青木
開頭
くも膜下出血
(中大脳動脈瘤破裂)
クリッピング術
脊髄ドレナージ
芝野/矢田
10月6日(月)
開頭
被殻出血
血腫除去術
乾/元永
10月7日(火)
開頭
急性硬膜下血腫
血腫除去術
芝野/殿元
10月9日(木)
開頭
くも膜下出血
(左中大脳動脈瘤破裂)
クリッピング術
長尾/古谷

予定手術【2025年10月3日(金)~2025年10月9日(木)】

※ 画像をクリックすると拡大表示します。

※ 表は横スクロールすることができます。

開頭症例

手術日
主病名
術名
手術医
(助手)
画像
10月3日(金)
顔面痙攣
微小血管減圧術
岩井/古部
脳動静脈奇形
摘出術
南田/野本/元永
10月6日(月)
右三叉神経痛
微小血管減圧術
岩井/古部
水頭症
V-P Shunt
殿元/元永
10月7日(火)
左側前頭葉腫瘍
摘出術
岩井/矢田
三叉神経痛第1・2枝領域
微小血管減圧術
南田/野本/元永
10月8日(水)
腰部脊柱管狭窄症
後方除圧
乾/殿元/佐伯
腰部脊柱管狭窄症
後方除圧
乾/殿元/佐伯
脳動静脈奇形
摘出術
南田/野本/元永
10月9日(木)
腰部脊柱管狭窄症
後方除圧
乾/殿元/佐伯

脳血管内手術症例

手術日
主病名
術名
手術医
(助手)
画像
10月3日(金)
左頚部内頚動脈狭窄症
経皮的頸動脈ステント留置術
芝野/矢田/元永
10月6日(月)
脳動静脈奇形
血管塞栓術
芝野/古谷/木本
10月7日(火)
硬膜動静脈瘻
脳血管内手術
松田/矢田/木本

ガンマナイフ症例

手術日
主病名
担当医
10月3日(金)
第4脳室上衣腫
北野
10月4日(土)
転移性脳腫瘍
岩井
10月6日(月)
脳動静脈奇形
岩井
10月9日(木)
転移性脳腫瘍
北野

緊急手術【直近の過去1週間 2025年9月26日(金)~2025年10月2日(木)】

手術日
術式
主病名
術名
手術医
(助手)
9月26日(金)
開頭
被殻出血
血腫除去術
松田/殿元/元永
血管内
心原性脳塞栓症
経皮的脳血栓回収術
松田/元永
9月27日(土)
開頭
慢性硬膜下血腫
血腫穿孔洗浄術
矢田/元永
血管内
脳梗塞
(内頚動脈塞栓症)
経皮的脳血栓回収術
松田/濵田

予定手術【2025年9月26日(金)~2025年10月2日(木)】

※ 画像をクリックすると拡大表示します。

※ 表は横スクロールすることができます。

開頭症例

手術日
主病名
術名
手術医
(助手)
画像
9月26日(金)
三叉神経痛
微小血管減圧術
岩井/古部
9月29日(月)
三叉神経痛
微小血管減圧術
岩井/古部
9月30日(火)
腰部脊柱管狭窄症
後方除圧
乾/殿元/佐伯
10月1日(水)
小脳腫瘍
摘出術
古部/殿元
10月2日(木)
腰部脊柱管狭窄症
後方除圧
乾/殿元/佐伯

脳血管内手術症例

手術日
主病名
術名
手術医
(助手)
画像
9月27日(土)
脳動脈瘤(Rt.IC-PC)
脳血管内手術
矢田
9月30日(火)
脳動脈瘤(Acom)
脳血管内手術
芝野/古谷/木本
脳動静脈奇形
血管塞栓術
松田/野本/元永/木本

ガンマナイフ症例

手術日
主病名
担当医
9月27日(土)
転移性脳腫瘍
岩井
9月30日(火)
右蝶形骨髄膜腫
岩井
右内頚動脈海綿静脈洞瘻
岩井
脳動静脈奇形
岩井
右錐体斜台部髄膜腫
岩井
10月1日(水)
下垂体腺腫
北野

緊急手術【直近の過去1週間 2025年9月19日(金)~2025年9月25日(木)】

手術日
術式
主病名
術名
手術医
(助手)
9月20日(土)
開頭
脳皮質下出血
血腫除去術
古部/濵田
開頭
慢性硬膜下血腫
血腫穿孔洗浄術
元永
9月22日(月)
血管内
くも膜下出血
(前交通動脈瘤破裂)
脳血管内手術
経皮的脳血栓回収術
須山/松田/殿元
開頭
慢性硬膜下血腫
血腫穿孔洗浄術
野本/青木
開頭
くも膜下出血
(前交通動脈瘤破裂)
穿頭脳室ドレナージ
殿元
9月24日(水)
開頭
脳皮質下出血
血腫除去術
古部
9月25日(木)
開頭
急性硬膜下血腫
血腫除去術
殿元/佐伯

予定手術【2025年9月19日(金)~2025年9月25日(木)】

※ 画像をクリックすると拡大表示します。

※ 表は横スクロールすることができます。

開頭症例

手術日
主病名
術名
手術医
(助手)
画像
9月19日(金)
左顔面痙攣
微小血管減圧術
古部
9月20日(土)
慢性硬膜下血腫
穿頭洗浄術
青木
9月22日(月)
下垂体腫瘍
摘出術
北野
右側三叉神経痛
微小血管減圧術
岩井/古部
海綿状血管腫
摘出術
南田/野本/元永
9月24日(水)
腰部脊柱管狭窄症
後方除圧
乾/殿元/佐伯
胸椎椎間板ヘルニア
Love法
乾/殿元/佐伯
慢性難治性腰痛症
脊髄刺激装置埋込術
乾/殿元/佐伯
水頭症
V-P Shunt
南田/野本/元永
9月25日(木)
下垂体腺腫
摘出術
北野

脳血管内手術症例

手術日
主病名
術名
手術医
(助手)
画像
9月24日(水)
脳動脈瘤(Lt.IC)
フローダイバーター留置術
須山/松田/矢田
左内頚動脈狭窄症
経皮的頸動脈ステント留置術
松田/矢田

ガンマナイフ症例

手術日
主病名
担当医
9月19日(金)
右聴神経腫瘍
岩井
転移性脳腫瘍
岩井
9月22日(月)
転移性脳腫瘍
岩井

緊急手術【直近の過去1週間 2025年9月12日(金)~2025年9月18日(木)】

手術日
術式
主病名
術名
手術医
(助手)
9月12日(金)
開頭
右慢性硬膜下血腫
血腫穿孔洗浄術
佐伯
9月13日(土)
開頭
非交通性水頭症
穿頭脳室ドレナージ
松田/佐伯
9月14日(日)
血管内
くも膜下出血
(前交通動脈瘤破裂)
脳血管内手術
松田/佐伯
9月17日(水)
血管内
くも膜下出血
(内頚動脈後交通動脈分岐部動脈瘤破裂)
脳血管内手術
須山/古部/殿元
開頭
くも膜下出血
(内頚動脈後交通動脈分岐部動脈瘤破裂)
穿頭脳室ドレナージ
古部/殿元
血管内
心原性脳塞栓症
経皮的脳血栓回収術
古部/濵田/矢田

予定手術【2025年9月12日(金)~2025年9月18日(木)】

※ 画像をクリックすると拡大表示します。

※ 表は横スクロールすることができます。

開頭症例

手術日
主病名
術名
手術医
(助手)
画像
9月12日(金)
右脳皮質下出血
気管切開
矢田/殿元
9月16日(火)
脊髄腫瘍
摘出術
乾/長尾/殿元/佐伯
慢性難治性腰痛症
脊髄刺激装置埋込術
乾/殿元/佐伯
脳動脈瘤(Lt.IC-PC)
クリッピング術
松田/矢田
9月18日(木)
三叉神経痛
微小血管減圧術
岩井/古部

脳血管内手術症例

手術日
主病名
術名
手術医
(助手)
画像
9月16日(火)
左硬膜動静脈瘻
脳血管内手術
芝野/古谷/木本
9月17日(水)
脳動脈瘤(Acom)
脳血管内手術
須山/松田/矢田
内頚動脈狭窄症
経皮的頸動脈ステント留置術
松田/濵田

ガンマナイフ症例

手術日
主病名
担当医
9月16日(火)
左三叉神経痛
岩井
髄膜腫
岩井
転移性脳腫瘍
岩井
9月17日(水)
転移性脳腫瘍
岩井
9月18日(木)
右中頭蓋窩髄膜腫
北野
転移性脳腫瘍
北野
髄膜腫
北野

緊急手術【直近の過去1週間 2025年9月5日(金)~2025年9月11日(木)】

手術日
術式
主病名
術名
手術医
(助手)
9月6日(土)
血管内
脳梗塞
(脳底動脈塞栓症)
経皮的脳血栓回収術
濵田/野本
9月9日(火)
血管内
心原性脳塞栓症
経皮的脳血栓回収術
長尾/殿元
9月10日(水)
開頭
慢性硬膜下血腫
血腫穿孔洗浄術
古部
9月11日(木)
開頭
被殻出血
血腫除去術
野本/元永

予定手術【2025年9月5日(金)~2025年9月11日(木)】

※ 画像をクリックすると拡大表示します。

※ 表は横スクロールすることができます。

開頭症例

手術日
主病名
術名
手術医
(助手)
画像
9月5日(金)
下垂体腺腫
摘出術
北野
脳動脈瘤(Lt.IC-PC)
クリッピング術
松田/矢田
9月8日(月)
右側頭葉腫瘤
摘出術
北野
外傷性脳内血腫
頭蓋形成術
矢田
9月10日(水)
腰部脊柱管狭窄症
後方除圧
乾/殿元/佐伯
腰椎椎間板ヘルニア
Love法
乾/殿元/佐伯
三叉神経鞘腫
摘出術
南田/野本/元永
脳動脈瘤(Lt.MC)
クリッピング術
松田/濵田
9月11日(木)
頚部脊髄血管芽腫
摘出術
乾/長尾/殿元/佐伯
左急性期アテローム血栓性脳梗塞
内頚動脈内膜剥離術
矢田

脳血管内手術症例

手術日
主病名
術名
手術医
(助手)
画像
9月9日(火)
脳動静脈奇形
血管塞栓術
芝野/古谷/木本
脳動静脈奇形
血管塞栓術
松田/矢田/木本
9月10日(水)
脳動脈瘤(Rt.MC)
フローダイバーター留置術
須山/松田/矢田

ガンマナイフ症例

手術日
主病名
担当医
9月8日(月)
転移性脳腫瘍
岩井
転移性脳腫瘍
岩井
9月9日(火)
脳動静脈奇形
岩井
左聴神経腫瘍
岩井
聴神経腫瘍
岩井
9月10日(水)
下垂体腺腫
北野

緊急手術【直近の過去1週間 2025年8月29日(金)~2025年9月4日(木)】

手術日
術式
主病名
術名
手術医
(助手)
9月1日(月)
血管内
くも膜下出血
(内頚動脈後交通動脈分岐部動脈瘤破裂)
脳血管内手術
松田/古谷
9月4日(木)
血管内
心原性脳塞栓症
経皮的脳血栓回収術
長尾/野本/元永
開頭
慢性硬膜下血腫
血腫穿孔洗浄術
殿元/佐伯

予定手術【2025年8月29日(金)~2025年9月4日(木)】

※ 画像をクリックすると拡大表示します。

※ 表は横スクロールすることができます。

開頭症例

手術日
主病名
術名
手術医
(助手)
画像
8月29日(金)
VPシャント機能不全
VPシャント再建術
松田/矢田
9月2日(火)
右顔面痙攣
微小血管減圧術
南田/野本
9月3日(水)
小脳橋角部髄膜腫
摘出術
南田/野本/元永
左頚部内頚動脈狭窄症
内頚動脈内膜剥離術
松田/矢田

脳血管内手術症例

手術日
主病名
術名
手術医
(助手)
画像
9月2日(火)
脳動脈瘤(Lt.BA)
脳血管内手術
芝野/古谷/木本
9月3日(水)
脳動脈瘤(Rt.IC)
フローダイバーター留置術
松田/矢田

ガンマナイフ症例

手術日
主病名
担当医
8月29日(金)
転移性脳腫瘍
岩井
転移性脳腫瘍
岩井
9月1日(月)
転移性脳腫瘍
岩井
転移性脳腫瘍
岩井
神経鞘腫
岩井
9月2日(火)
脳動静脈奇形
岩井
髄膜腫
岩井

緊急手術【直近の過去1週間 2025年8月22日(金)~2025年8月28日(木)】

手術日
術式
主病名
術名
手術医
(助手)
8月23日(土)
開頭
くも膜下出血
(中大脳動脈瘤破裂)
クリッピング術
松田/佐伯
開頭
非交通性水頭症
血腫除去術
減圧開頭術
穿頭脳室ドレナージ
長尾/濵田/青木
8月24日(日)
開頭
急性硬膜下血腫
血腫除去術
長尾/青木
8月25日(月)
開頭
脳皮質下出血
血腫除去術
長尾/殿元
開頭
右被殻出血
血腫除去術
松田/古谷
8月27日(水)
開頭
右外傷性慢性硬膜下血腫
血腫穿孔洗浄術
古谷

予定手術【2025年8月22日(金)~2025年8月28日(木)】

※ 画像をクリックすると拡大表示します。

※ 表は横スクロールすることができます。

開頭症例

手術日
主病名
術名
手術医
(助手)
画像
8月22日(金)
脳動脈瘤(Acom)
クリッピング術
芝野
8月27日(水)
腰部脊柱管狭窄症
後方除圧
乾/殿元/佐伯
8月28日(木)
硬膜動静脈瘻
流入血管遮断術
芝野/古谷

脳血管内手術症例

手術日
主病名
術名
手術医
(助手)
画像
8月26日(火)
硬膜動静脈瘻
脳血管内手術
芝野/古谷/木本

ガンマナイフ症例

手術日
主病名
担当医
8月22日(金)
左聴神経鞘腫
岩井
転移性脳腫瘍
岩井

緊急手術【直近の過去1週間 2025年8月15日(金)~2025年8月21日(木)】

手術日
術式
主病名
術名
手術医
(助手)
8月19日(火)
血管内
脳梗塞
(中大脳動脈塞栓症)
経皮的脳血栓回収術
芝野/古谷/青木/木本

予定手術【2025年8月15日(金)~2025年8月21日(木)】

※ 画像をクリックすると拡大表示します。

※ 表は横スクロールすることができます。

開頭症例

手術日
主病名
術名
手術医
(助手)
画像
8月19日(火)
脳動脈瘤(Rt.IC-Ach)
クリッピング術
南田/野本/元永
8月20日(水)
下垂体腺腫
摘出術
北野
左大脳髄膜腫
摘出術
南田/野本
8月21日(木)
側頭葉神経膠腫
摘出術
古部/矢田

脳血管内手術症例

手術日
主病名
術名
手術医
(助手)
画像
8月19日(火)
脳動脈瘤(Acom)
脳血管内手術
芝野/古谷/木本
脳動脈瘤(Rt.IC)
フローダイバーター留置術
芝野/古谷/木本

ガンマナイフ症例

手術日
主病名
担当医
8月19日(火)
転移性脳腫瘍
岩井
三叉神経痛
岩井
髄膜腫
岩井

緊急手術【直近の過去1週間 2025年8月8日(金)~2025年8月14日(木)】

手術日
術式
主病名
術名
手術医
(助手)
8月8日(金)
血管内
くも膜下出血
脳血管内手術
松田/野本/元永
8月9日(土)
血管内
脳梗塞
(中大脳動脈閉塞)
経皮的脳血栓回収術
古部/野本/元永
開頭
視床出血
穿頭脳室ドレナージ
古部/元永
8月12日(火)
開頭
被殻出血
血腫除去術
長尾/佐伯
8月13日(水)
血管内
心原性脳塞栓症
経皮的脳血栓回収術
芝野/青木
8月14日(木)
開頭
外傷性慢性硬膜下血腫
血腫穿孔洗浄術
元永

予定手術【2025年8月8日(金)~2025年8月14日(木)】

※ 画像をクリックすると拡大表示します。

※ 表は横スクロールすることができます。

開頭症例

手術日
主病名
術名
手術医
(助手)
画像
8月8日(金)
下垂体腫瘍
摘出術
北野
三叉神経痛
微小血管減圧術
岩井/古部
8月12日(火)
腰椎椎間板ヘルニア
Love法
乾/殿元/佐伯
頚椎椎間板ヘルニア
前方固定術
乾/殿元/佐伯
8月13日(水)
下垂体腫瘍
摘出術
北野
脳腫瘍
摘出術
南田/野本/元永
脳動脈瘤(Rt.MC)
クリッピング術
松田/矢田
8月14日(木)
右手根管症候群
右手根管開放術
乾/殿元/佐伯

脳血管内手術症例

手術日
主病名
術名
手術医
(助手)
画像
8月12日(火)
脳動静脈奇形
血管塞栓術
松田/矢田/元永/木本

ガンマナイフ症例

手術日
主病名
担当医
8月9日(土)
髄膜腫
岩井
8月12日(火)
転移性脳腫瘍
岩井
三叉神経鞘腫
岩井

緊急手術【直近の過去1週間 2025年8月1日(金)~2025年8月7日(木)】

手術日
術式
主病名
術名
手術医
(助手)
8月1日(金)
開頭
被殻出血
血腫除去術
芝野/青木

予定手術【2025年8月1日(金)~2025年8月7日(木)】

※ 画像をクリックすると拡大表示します。

※ 表は横スクロールすることができます。

開頭症例

手術日
主病名
術名
手術医
(助手)
画像
8月4日(月)
聴神経腫瘍
摘出術
岩井/古部
8月6日(水)
下垂体腺腫
摘出術
北野
アーノルド・キアリ奇形
大孔部減圧術
乾/殿元/佐伯
慢性難治性腰痛症
脊髄刺激装置埋め込み術
乾/殿元/佐伯
傍矢状洞悪性髄膜腫
摘出術
古部/矢田
8月7日(木)
軸椎歯突起後方偽腫瘍
環軸椎後方固定
乾/殿元/佐伯
右手根管症候群
右手根管開放術
乾/殿元/佐伯

脳血管内手術症例

手術日
主病名
術名
手術医
(助手)
画像
8月5日(火)
脳動脈瘤(Rt.IC)
フローダイバーター留置術
芝野/古谷/木本
脳動静脈奇形
血管塞栓術
松田/矢田/木本
8月6日(水)
脳動脈瘤(Lt.IC・Rt.IC)
フローダイバーター留置術
須山/松田/矢田

ガンマナイフ症例

手術日
主病名
担当医
8月1日(金)
転移性脳腫瘍
岩井
8月5日(火)
転移性脳腫瘍
岩井
転移性脳腫瘍
岩井
左蝶形骨髄膜腫
岩井
8月7日(木)
転移性脳腫瘍
北野

緊急手術【直近の過去1週間 2025年7月25日(金)~2025年7月31日(木)】

手術日
術式
主病名
術名
手術医
(助手)
7月25日(金)
開頭
脳挫傷
減圧開頭術
血腫除去術
古部/矢田/元永
血管内
くも膜下出血
(中大脳動脈瘤破裂)
脳血管内手術
経皮的脳血栓回収術
須山/松田/野本
7月27日(日)
開頭
外傷性慢性硬膜下血腫
血腫穿孔洗浄術
矢田
7月28日(月)
開頭
慢性硬膜下血腫
血腫穿孔洗浄術
野本/元永
血管内
アテローム血栓性脳梗塞
経皮的脳血栓回収術
松田/野本/青木
7月31日(木)
開頭
脳挫傷
穿頭脳室ドレナージ
矢田

予定手術【2025年7月25日(金)~2025年7月31日(木)】

※ 画像をクリックすると拡大表示します。

※ 表は横スクロールすることができます。

開頭症例

手術日
主病名
術名
手術医
(助手)
画像
7月25日(金)
左顔面痙攣
微小血管減圧術
岩井/古部
7月28日(月)
脳腫瘍
摘出術
岩井/古部
7月29日(火)
腰部脊柱管狭窄症
後方除圧
乾/殿元/佐伯
7月30日(水)
環軸関節亜脱臼
骨移植術
乾/殿元/佐伯
脳動脈瘤(Lt.IC-PC)
クリッピング術
松田/矢田
7月31日(木)
左顔面痙攣
微小血管減圧術
岩井/古部

脳血管内手術症例

手術日
主病名
術名
手術医
(助手)
画像
7月29日(火)
右頚部内頚動脈狭窄症
経皮的頸動脈ステント留置術
芝野/矢田/元永/木本

ガンマナイフ症例

手術日
主病名
担当医
7月25日(金)
右三叉神経痛
岩井
転移性脳腫瘍
山里
7月26日(土)
転移性脳腫瘍
岩井
7月29日(火)
脳動静脈奇形
岩井
松果体胚細胞腫瘍
岩井
右硬膜動静脈瘻
岩井
転移性脳腫瘍
岩井
7月30日(水)
下垂体腺腫
北野

緊急手術【直近の過去1週間 2025年7月18日(金)~2025年7月24日(木)】

手術日
術式
主病名
術名
手術医
(助手)
7月19日(土)
開頭
頭部外傷
穿頭脳室ドレナージ
野本/青木
開頭
慢性硬膜下血腫
血腫穿孔洗浄術
元永
開頭
被殻出血
内血腫除去術
古部/野本/青木
7月22日(火)
開頭
脳動静脈奇形
血腫除去術
古部/矢田
7月23日(水)
開頭
外傷性慢性硬膜下血腫
血腫穿孔洗浄術
矢田/青木

予定手術【2025年7月18日(金)~2025年7月24日(木)】

※ 画像をクリックすると拡大表示します。

※ 表は横スクロールすることができます。

開頭症例

手術日
主病名
術名
手術医
(助手)
画像
7月18日(金)
脳動静脈奇形
摘出術
松田/矢田
7月22日(火)
脳幹腫瘍
摘出術
南田/野本/元永
開頭術後骨欠損
頭蓋形成術
野本/矢田
7月23日(水)
軸椎歯突起後方偽腫瘍
環軸椎後方除圧固定
乾/殿元/佐伯
脳動脈瘤(Rt.MC)
クリッピング術
南田/野本/元永
左頚部内頚動脈狭窄症
内頚動脈内膜剝離術
松田/濵田
水頭症
V-P Shunt
松田/矢田

脳血管内手術症例

手術日
主病名
術名
手術医
(助手)
画像
7月24日(木)
左頚部内頚動脈狭窄症
経皮的頸動脈ステント留置術
芝野/古谷

ガンマナイフ症例

手術日
主病名
担当医
7月18日(金)
三叉神経痛
岩井
転移性脳腫瘍
岩井
転移性脳腫瘍
岩井
7月22日(火)
髄膜腫
岩井
転移性脳腫瘍
岩井
海綿状血管腫
岩井
転移性脳腫瘍
岩井

緊急手術【直近の過去1週間 2025年7月11日(金)~2025年7月17日(木)】

手術日
術式
主病名
術名
手術医
(助手)
7月11日(金)
開頭
髄膜腫
血腫除去術
岩井/古部
7月14日(月)
開頭
被殻出血
血腫除去術
南田/古部/野本/元永
血管内
アテローム血栓性脳梗塞
経皮的脳血栓回収術
芝野/矢田
7月15日(火)
開頭
外傷性慢性硬膜下血腫
血腫穿孔洗浄術
矢田/元永
7月16日(水)
血管内
塞栓性脳梗塞
経皮的脳血栓回収術
長尾/矢田/青木/元永
7月17日(木)
血管内
脳梗塞
(脳底動脈閉塞)
経皮的脳血栓回収術
長尾/矢田/青木
血管内
塞栓性脳梗塞
経皮的脳血栓回収術
古部/野本
血管内
くも膜下出血
(前交通動脈瘤破裂)
脳血管内手術
松田/元永
開頭
慢性硬膜下血腫
血腫穿孔洗浄術
野本/元永

予定手術【2025年7月11日(金)~2025年7月17日(木)】

※ 画像をクリックすると拡大表示します。

※ 表は横スクロールすることができます。

開頭症例

手術日
主病名
術名
手術医
(助手)
画像
7月11日(金)
髄膜腫
摘出術
岩井/古部
脳動脈瘤(Acom)
クリッピング術
松田/矢田
7月14日(月)
顔面痙攣
微小血管減圧術
岩井/古部
7月15日(火)
脳動脈瘤(Acom)
クリッピング術
南田/野本/元永
創傷感染症
修復術
長尾/古谷
7月16日(水)
下垂体腺腫
摘出術
北野
腰椎椎間板ヘルニア
Love法
乾/殿元/佐伯
脳腫瘍
摘出術
南田/野本/元永
7月17日(木)
左三叉神経痛
微小血管減圧術
岩井/古部

脳血管内手術症例

手術日
主病名
術名
手術医
(助手)
画像
7月14日(月)
右内頚動脈狭窄症
経皮的頸動脈ステント留置術
芝野/野本/木本
7月15日(火)
脳動脈瘤(Lt.IC-PC)
脳血管内手術
芝野/野本/木本
脳動静脈奇形
血管塞栓術
松田/矢田/木本
7月16日(水)
脳動脈瘤(Lt.AC・Rt.MC)
脳血管内手術
須山/松田/矢田

ガンマナイフ症例

手術日
主病名
担当医
7月12日(土)
転移性脳腫瘍
岩井
7月14日(月)
転移性脳腫瘍
岩井
7月15日(火)
海綿状血管腫
岩井
転移性脳腫瘍
岩井
7月16日(水)
転移性脳腫瘍
岩井

緊急手術【直近の過去1週間 2025年7月4日(金)~2025年7月10日(木)】

手術日
術式
主病名
術名
手術医
(助手)
7月6日(日)
血管内
内頚動脈閉塞症
経皮的脳血栓回収術
松田
7月7日(月)
開頭
急性硬膜外血腫
急性硬膜下血腫
血腫除去術
野本/青木

予定手術【2025年7月4日(金)~2025年7月10日(木)】

※ 画像をクリックすると拡大表示します。

※ 表は横スクロールすることができます。

開頭症例

手術日
主病名
術名
手術医
(助手)
画像
7月4日(金)
左円蓋部髄膜腫
摘出術
北野
右頭頂葉腫瘍
摘出術
南田/野本/元永
三叉神経痛
微小血管減圧術
古部
7月7日(月)
髄膜腫
摘出術
南田/元永
右側頭葉神経膠腫
摘出術
古部/殿元
7月8日(火)
脳動脈瘤(Rt.IC-PC)
クリッピング術
松田/矢田
7月9日(水)
左手根管症候群
左手根管開放術
乾/殿元/佐伯
開頭術後骨欠損
頭蓋形成術
古部
7月10日(木)
右頚部内頚動脈狭窄症
内頚動脈内膜剥離術
矢田/元永

脳血管内手術症例

手術日
主病名
術名
手術医
(助手)
画像
7月7日(月)
脳動脈瘤(Lt.IC-PC)
フローダイバーター留置術
芝野/古谷/木本
7月8日(火)
脳動静脈瘻
血管塞栓術
芝野/古谷/木本
7月9日(水)
脳動脈瘤(Lt.IC-Ach・Lt.IC-PC)
脳血管内手術
須山/松田/矢田

ガンマナイフ症例

手術日
主病名
担当医
7月7日(月)
転移性脳腫瘍
岩井
転移性脳腫瘍
岩井
7月8日(火)
左硬膜動静脈瘻
岩井
脳動静脈奇形
岩井
右脳室内腫瘍
岩井
左三叉神経痛
岩井
7月9日(水)
転移性脳腫瘍
岩井
転移性脳腫瘍
山里

緊急手術【直近の過去1週間 2025年6月27日(金)~2025年7月3日(木)】

手術日
術式
主病名
術名
手術医
(助手)
6月29日(日)
開頭
被殻出血
血腫除去術
松田/矢田/佐伯
7月2日(水)
開頭
脳皮質下出血
血腫除去術
古部
7月3日(木)
開頭
神経鞘腫
血腫除去術
南田/野本
開頭
慢性硬膜下血腫
血腫穿孔洗浄術
矢田/佐伯

予定手術【2025年6月27日(金)~2025年7月3日(木)】

※ 画像をクリックすると拡大表示します。

※ 表は横スクロールすることができます。

開頭症例

手術日
主病名
術名
手術医
(助手)
画像
6月27日(金)
右顔面痙攣
微小血管減圧術
岩井/古部
内頚動脈狭窄症
内頚動脈内膜剥離術
松田/濵田
6月30日(月)
三叉神経痛
微小血管減圧術
岩井/古部
脳動静脈奇形
摘出術
南田/芝野/佐伯
7月1日(火)
海綿状血管腫
摘出術
南田/野本/元永
7月2日(水)
頚部脊柱管狭窄症
前方固定術
乾/殿元/佐伯
腰椎椎間板性椎間孔狭窄症
後方除圧
乾/殿元/佐伯
神経鞘腫
摘出術
南田/野本/元永
7月3日(木)
頚部脊柱管狭窄症
後方固定術
乾/殿元/佐伯

脳血管内手術症例

手術日
主病名
術名
手術医
(助手)
画像
7月2日(水)
脳動脈瘤(Rt.IC)
フローダイバーター留置術
須山/松田/矢田

ガンマナイフ症例

手術日
主病名
担当医
6月27日(金)
転移性脳腫瘍
山里
7月1日(火)
髄膜腫
岩井
悪性リンパ腫
岩井
硬膜動静脈瘻
岩井
7月3日(木)
左三叉神経痛
北野
転移性脳腫瘍
北野
転移性脳腫瘍
北野

緊急手術【直近の過去1週間 2025年6月20日(金)~2025年6月26日(木)】

手術日
術式
主病名
術名
手術医
(助手)
6月23日(月)
血管内
心原性脳塞栓症
経皮的脳血栓回収術
松田/殿元
6月26日(木)
血管内
内頚動脈塞栓症
経皮的脳血栓回収術
松田/濵田
開頭
小脳出血
血腫除去術
穿頭脳室ドレナージ
芝野/矢田/元永

予定手術【2025年6月20日(金)~2025年6月26日(木)】

※ 画像をクリックすると拡大表示します。

※ 表は横スクロールすることができます。

開頭症例

手術日
主病名
術名
手術医
(助手)
画像
6月20日(金)
脳腫瘍
摘出術
北野
神経鞘腫
摘出術
南田/野本/元永
右内頚動脈狭窄症
内頚動脈内膜剥離術
松田/矢田
6月23日(月)
三叉神経痛
微小血管減圧術
岩井/古部
6月24日(火)
脊髄腫瘍
摘出術
乾/殿元/佐伯
神経膠腫
摘出術
南田/野本/元永
6月25日(水)
脳動脈瘤(Rt.MC)
クリッピング術
南田/野本
6月26日(木)
腰部脊柱管狭窄症
後方除圧
乾/殿元/佐伯

脳血管内手術症例

手術日
主病名
術名
手術医
(助手)
画像
6月24日(火)
脳動静脈奇形
血管塞栓術
松田/矢田/木本
6月25日(水)
脳動脈瘤(Lt.IC)
フローダイバーター留置術
須山/松田/矢田

ガンマナイフ症例

手術日
主病名
担当医
6月23日(月)
転移性脳腫瘍
岩井
6月24日(火)
聴神経腫瘍
岩井
転移性脳腫瘍
岩井
転移性脳腫瘍
岩井
6月26日(木)
聴神経腫瘍
北野
脳室中枢性悪性神経細胞腫
北野

緊急手術【直近の過去1週間 2025年6月13日(金)~2025年6月19日(木)】

手術日
術式
主病名
術名
手術医
(助手)
6月16日(月)
開頭
くも膜下出血
(中大脳動脈瘤破裂)
クリッピング術
穿頭脳室ドレナージ
松田/濵田/元永
開頭
右慢性硬膜下血腫
血腫穿孔洗浄術
古谷
6月18日(水)
血管内
高血圧症
経皮的脳血栓回収術
須山/古部
6月19日(木)
開頭
アテローム血栓性脳梗塞
減圧開頭術
古部/元永

予定手術【2025年6月13日(金)~2025年6月19日(木)】

※ 画像をクリックすると拡大表示します。

※ 表は横スクロールすることができます。

開頭症例

手術日
主病名
術名
手術医
(助手)
画像
6月13日(金)
顔面痙攣症
微小血管減圧術
岩井/古部
6月16日(月)
三叉神経痛
微小血管減圧術
岩井/古部
6月17日(火)
環軸関節亜脱臼
環軸椎後方固定
乾/殿元/佐伯
髄膜腫
摘出術
南田/野本
6月18日(水)
蝶形骨洞炎
摘出術
北野
腰部脊柱管狭窄症
後方除圧
乾/殿元/佐伯
硬膜動静脈瘻
流出血管遮断術
松田/矢田
6月19日(木)
頚部脊柱管狭窄症
拡大椎弓形成術
乾/殿元/佐伯

脳血管内手術症例

手術日
主病名
術名
手術医
(助手)
画像
6月17日(火)
脳動脈瘤(Rt.IC)
脳血管内手術
芝野/古谷/木本

ガンマナイフ症例

手術日
主病名
担当医
6月16日(月)
頭蓋底三叉神経鞘腫
岩井
三叉神経痛
岩井
6月17日(火)
転移性脳腫瘍
岩井
髄膜腫
岩井
左頭蓋底髄膜腫
岩井
6月18日(水)
左蝶形骨縁悪性髄膜腫
北野

緊急手術【直近の過去1週間 2025年6月6日(金)~2025年6月12日(木)】

手術日
術式
主病名
術名
手術医
(助手)
6月6日(金)
開頭
脳出血
血腫除去術
乾/佐伯
6月7日(土)
開頭
脳皮質下出血
血腫除去術
乾/青木
6月11日(水)
開頭
右慢性硬膜下血腫
血腫除去術
長尾/古谷
血管内
脳血栓症
前交通動脈瘤
脳血管内手術
須山/松田/元永
血管内
右急性期アテローム血栓性脳梗塞
経皮的脳血栓回収術
松田/矢田/青木

予定手術【2025年6月6日(金)~2025年6月12日(木)】

※ 画像をクリックすると拡大表示します。

※ 表は横スクロールすることができます。

開頭症例

手術日
主病名
術名
手術医
(助手)
画像
6月6日(金)
髄膜腫
摘出術
北野
脳梗塞
右STA-SCAバイパス術
松田/矢田
6月9日(月)
下垂体腫瘍
摘出術
北野
三叉神経痛
微小血管減圧術
岩井/古部
脳動脈瘤(Lt.IC-PC)
クリッピング術
南田/野本
6月10日(火)
大脳悪性腫瘍
摘出術
南田/野本
右顔面痙攣
微小血管減圧術
長尾
6月11日(水)
脳動静脈奇形
摘出術
南田/佐伯

脳血管内手術症例

手術日
主病名
術名
手術医
(助手)
画像
6月10日(火)
脳動静脈奇形
血管塞栓術
芝野/古谷/佐伯/木本
6月11日(水)
脳動脈瘤(Acom)
脳血管内手術
須山/松田/矢田
6月12日(木)
左内頚動脈狭窄症
経皮的頸動脈ステント留置術
芝野/古部

ガンマナイフ症例

手術日
主病名
担当医
6月7日(土)
三叉神経痛
岩井
6月10日(火)
転移性脳腫瘍
岩井
転移性脳腫瘍
岩井
転移性脳腫瘍
岩井
左三叉神経痛第3枝領域
岩井
髄膜腫
岩井
6月12日(木)
左聴神経腫瘍
北野

緊急手術【直近の過去1週間 2025年5月30日(金)~2025年6月5日(木)】

手術日
術式
主病名
術名
手術医
(助手)
5月30日(金)
開頭
外傷性くも膜下出血
穿頭脳室ドレナージ
古部/青木
血管内
前交通動脈瘤
脳血管内手術
松田/矢田/青木/元永
6月2日(月)
血管内
心原性脳塞栓症
経皮的脳血栓回収術
松田/野本/矢田
6月3日(火)
開頭
左急性硬膜下血腫
血腫除去術
減圧開頭術
古部/古谷
6月4日(水)
開頭
視床出血
非交通性水頭症
穿頭脳室ドレナージ
松田/元永
開頭
脳室内出血
血腫除去術
芝野/佐伯

予定手術【2025年5月30日(金)~2025年6月5日(木)】

※ 画像をクリックすると拡大表示します。

※ 表は横スクロールすることができます。

開頭症例

手術日
主病名
術名
手術医
(助手)
画像
5月30日(金)
脳動脈瘤(Lt.IC-PC)
クリッピング術
南田/野本
水頭症
V-P Shunt
矢田
6月2日(月)
硬膜動静脈瘻
右前頭蓋底部流入静脈遮断術
芝野/古谷
6月3日(火)
頚椎症性脊髄症
前方固定術
乾/殿元/佐伯
硬膜動静脈瘻
摘出術
南田/野本
6月4日(水)
聴神経腫瘍
摘出術
北野
腰部脊柱管狭窄症
後方除圧
乾/殿元/佐伯
6月5日(木)
傍矢状洞髄膜腫
摘出術
乾/殿元/佐伯

脳血管内手術症例

手術日
主病名
術名
手術医
(助手)
画像
5月30日(金)
脳動脈瘤(Rt.IC)
脳血管内手術
松田/矢田
6月3日(火)
硬膜動静脈瘻
脳血管内手術
芝野/古谷/元永/木本
6月4日(水)
脳動脈瘤(Lt.IC-OP)
フローダイバーター留置術
松田/矢田
脳動脈瘤(Acom)
脳血管内手術
松田/矢田/殿元

ガンマナイフ症例

手術日
主病名
担当医
5月30日(金)
転移性脳腫瘍
岩井
三叉神経痛
岩井
6月2日(月)
転移性脳腫瘍
岩井
転移性脳腫瘍
岩井
6月5日(木)
転移性脳腫瘍
北野

緊急手術【直近の過去1週間 2025年5月23日(金)~2025年5月29日(木)】

手術日
術式
主病名
術名
手術医
(助手)
5月24日(土)
開頭
左慢性硬膜下血腫
血腫穿孔洗浄術
佐伯
5月28日(水)
開頭
外傷性慢性硬膜下血腫
血腫穿孔洗浄術
矢田
5月29日(木)
開頭
くも膜下出血
(中大脳動脈瘤破裂)
クリッピング術
長尾/矢田

予定手術【2025年5月23日(金)~2025年5月29日(木)】

※ 画像をクリックすると拡大表示します。

※ 表は横スクロールすることができます。

開頭症例

手術日
主病名
術名
手術医
(助手)
画像
5月23日(金)
下垂体腺腫
摘出術
北野
脳動静脈奇形
摘出術
南田/野本/青木
5月26日(月)
錐体斜台部髄膜腫
摘出術
北野
5月27日(火)
腰部脊柱管狭窄症
後方除圧
乾/殿元/佐伯
左手根管症候群
左手根管開放術
乾/殿元/佐伯
左前頭葉髄膜腫
摘出術
南田/野本
5月28日(水)
右手根管症候群
右手根管開放術
乾/殿元/佐伯
腰部脊柱管狭窄症
後方除圧
乾/殿元/佐伯
脳動脈瘤(Lt.MC)
クリッピング術
南田/野本
5月29日(木)
左頚部内頚動脈狭窄症
内頚動脈内膜剥離術
芝野/古谷

脳血管内手術症例

手術日
主病名
術名
手術医
(助手)
画像
5月27日(火)
脳動脈瘤(Rt.IC)
フローダイバーター留置術
芝野/古谷/木本
硬膜動静脈瘻
脳血管内手術
古谷/木本

ガンマナイフ症例

手術日
主病名
担当医
5月26日(月)
聴神経腫瘍
岩井
転移性脳腫瘍
岩井
5月27日(火)
転移性脳腫瘍
岩井
三叉神経痛
岩井
転移性脳腫瘍
岩井
5月28日(水)
下垂体腺腫
北野

緊急手術【直近の過去1週間 2025年5月16日(金)~2025年5月22日(木)】

手術日
術式
主病名
術名
手術医
(助手)
5月16日(金)
血管内
塞栓性脳梗塞・急性期
経皮的脳血栓回収術
長尾/野本/古谷/元永
5月17日(土)
開頭
外傷性慢性硬膜下血腫
血腫穿孔洗浄術
古谷/青木
5月18日(日)
開頭
外傷性慢性硬膜下血腫
血腫穿孔洗浄術
5月19日(月)
開頭
外傷性慢性硬膜下血腫
血腫穿孔洗浄術
殿元/佐伯
開頭
外傷性慢性硬膜下血腫
血腫穿孔洗浄術
殿元

予定手術【2025年5月16日(金)~2025年5月22日(木)】

※ 画像をクリックすると拡大表示します。

※ 表は横スクロールすることができます。

開頭症例

手術日
主病名
術名
手術医
(助手)
画像
5月19日(月)
左聴神経鞘腫
摘出術
北野
小脳神経膠腫
摘出術
南田/野本/元永
右顔面痙攣
微小血管減圧術
岩井/古部
5月20日(火)
頚椎症性神経根症
前方固定術
乾/殿元/佐伯
大脳鎌髄膜腫
摘出術
南田
左頚部内頚動脈狭窄症
内頚動脈内膜剥離術
芝野/古谷
5月21日(水)
腰部脊柱管狭窄症
後方除圧
乾/殿元/佐伯
円蓋部髄膜腫
摘出術
長尾
5月22日(木)
頚椎症性脊髄症
拡大椎弓形成術
乾/殿元/佐伯
右内頚動脈狭窄症
内頚動脈内膜剥離術
芝野/元永

脳血管内手術症例

手術日
主病名
術名
手術医
(助手)
画像
5月21日(水)
脳動脈瘤(Rt.MC)
フローダイバーター留置術
須山/松田/矢田

ガンマナイフ症例

手術日
主病名
担当医
5月20日(火)
髄膜腫
岩井
転移性脳腫瘍
岩井
転移性脳腫瘍
岩井

緊急手術【直近の過去1週間 2025年5月9日(金)~2025年5月15日(木)】

手術日
術式
主病名
術名
手術医
(助手)
5月10日(土)
開頭
右急性硬膜下血腫
血腫除去術
芝野/元永
5月15日(木)
開頭
外傷性慢性硬膜下血腫
血腫穿孔洗浄術
野本/青木

予定手術【2025年5月9日(金)~2025年5月15日(木)】

※ 画像をクリックすると拡大表示します。

※ 表は横スクロールすることができます。

開頭症例

手術日
主病名
術名
手術医
(助手)
画像
5月9日(金)
下垂体腺腫
摘出術
北野
海綿状血管腫
摘出術
南田/青木
5月12日(月)
下垂体腺腫
摘出術
北野
左顔面痙攣
微小血管減圧術
岩井/古部
5月13日(火)
脳動脈瘤(Lt.MC・Rt.MC)
クリッピング術
南田/野本
5月14日(水)
下垂体腺腫
摘出術
北野
頚部脊柱管狭窄症
拡大椎弓形成術
乾/古谷
脳動脈瘤(Lt.MC)
クリッピング術
松田/矢田

脳血管内手術症例

手術日
主病名
術名
手術医
(助手)
画像
5月10日(土)
脳動脈瘤(Rt.IC)
フローダイバーター留置術
須山/松田/矢田
5月12日(月)
海綿静脈洞部硬膜動静脈瘻
脳血管内手術
芝野/野本/木本

ガンマナイフ症例

手術日
主病名
担当医
5月9日(金)
転移性脳腫瘍
岩井
転移性脳腫瘍
岩井
5月12日(月)
三叉神経痛
岩井
5月13日(火)
左聴神経鞘腫
岩井
転移性脳腫瘍
岩井
髄膜腫
岩井

緊急手術【直近の過去1週間 2025年5月2日(金)~2025年5月8日(木)】

手術日
術式
主病名
術名
手術医
(助手)
5月2日(金)
開頭
くも膜下出血
(内頚動脈後交通動脈分岐部動脈瘤破裂)
減圧開頭術
血腫除去術
長尾/殿元
5月8日(木)
開頭
VAシャント機能不全
穿頭脳室ドレナージ
松田/元永

予定手術【2025年5月2日(金)~2025年5月8日(木)】

※ 画像をクリックすると拡大表示します。

※ 表は横スクロールすることができます。

開頭症例

手術日
主病名
術名
手術医
(助手)
画像
5月2日(金)
円蓋部髄膜腫
摘出術
南田/野本/元永
開頭術後骨欠損
頭蓋形成術
古部/矢田
5月7日(水)
頚部脊柱管狭窄症
拡大椎弓形成術
乾/殿元/佐伯
5月8日(木)
頚椎環軸椎亜脱臼
後方固定
乾/殿元/佐伯

ガンマナイフ症例

手術日
主病名
担当医
5月2日(金)
転移性脳腫瘍
岩井
転移性脳腫瘍
岩井
左聴神経腫瘍
岩井
転移性脳腫瘍
岩井

緊急手術【直近の過去1週間 2025年4月25日(金)~2025年5月1日(木)】

手術日
術式
主病名
術名
手術医
(助手)
4月25日(金)
開頭
慢性硬膜下血腫
血腫穿孔洗浄術
野本/元永
4月26日(土)
開頭
慢性硬膜下血腫
血腫穿孔洗浄術
濵田
5月1日(木)
血管内
くも膜下出血
(内頚動脈後交通動脈分岐部動脈瘤破裂)
脳血管内手術
長尾/野本

予定手術【2025年4月25日(金)~2025年5月1日(木)】

※ 画像をクリックすると拡大表示します。

※ 表は横スクロールすることができます。

開頭症例

手術日
主病名
術名
手術医
(助手)
画像
4月25日(金)
脳動脈瘤(Rt.MC)
右STA-MCAバイパス術
松田/矢田
4月28日(月)
右聴神経腫瘍
摘出術
岩井
4月30日(水)
腰部脊柱管狭窄症
後方除圧
乾/殿元/佐伯
腰部脊柱管狭窄症
後方除圧
乾/殿元/佐伯
視床腫瘍
摘出術
南田/野本/元永
5月1日(木)
左顔面痙攣
微小血管減圧術
岩井/古部
慢性難治性疼痛
脊髄刺激装置入れ替え術
乾/殿元/佐伯
左手根管症候群
左手根管開放術
乾/殿元/佐伯

ガンマナイフ症例

手術日
主病名
担当医
4月25日(金)
転移性脳腫瘍
岩井
左三叉神経痛
岩井
転移性脳腫瘍
山里

緊急手術【直近の過去1週間 2025年4月18日(金)~2025年4月24日(木)】

手術日
術式
主病名
術名
手術医
(助手)
4月19日(土)
開頭
右慢性硬膜下血腫
血腫穿孔洗浄術
古谷
4月22日(火)
開頭
外傷性慢性硬膜下血腫
血腫穿孔洗浄術
殿元/元永
4月24日(木)
開頭
右急性硬膜下血腫
血腫穿孔洗浄術
古部/殿元/佐伯

予定手術【2025年4月18日(金)~2025年4月24日(木)】

※ 画像をクリックすると拡大表示します。

※ 表は横スクロールすることができます。

開頭症例

手術日
主病名
術名
手術医
(助手)
画像
4月18日(金)
左内頚動脈狭窄症
内頚動脈内膜剥離術
松田/矢田
4月21日(月)
右大脳鎌髄膜腫
摘出術
岩井/古部
右前頭髄膜腫
摘出術
長尾
4月22日(火)
頚椎症性神経根症
前方固定術
乾/殿元/佐伯
腰部脊柱管狭窄症
後方除圧
乾/殿元/佐伯
円蓋部髄膜腫
摘出術
南田/野本
4月23日(水)
軸椎歯突起後方偽腫瘍
後方除圧固定
乾/殿元/佐伯
左手根管症候群
左手根管開放術
乾/殿元/佐伯
脳動脈瘤(Lt.OA-PICA)
バイパス術+トラッピング術
松田/矢田
4月24日(木)
脳動脈瘤(Lt.MC)
クリッピング術
乾/殿元/佐伯
円蓋部髄膜腫
摘出術
長尾

ガンマナイフ症例

手術日
主病名
担当医
4月18日(金)
右蝶形骨稜髄膜腫
岩井
4月19日(土)
転移性脳腫瘍
岩井
4月21日(月)
転移性脳腫瘍
岩井
4月22日(火)
転移性脳腫瘍
岩井
右海綿静脈洞部硬膜動静脈瘻
岩井
左錐体斜台部髄膜腫
岩井
転移性脳腫瘍
岩井
転移性脳腫瘍
岩井
4月23日(水)
転移性脳腫瘍
岩井

緊急手術【直近の過去1週間 2025年4月11日(金)~2025年4月17日(木)】

手術日
術式
主病名
術名
手術医
(助手)
4月11日(金)
開頭
両側慢性硬膜下血腫
血腫穿孔洗浄術
芝野
開頭
慢性硬膜下血腫
血腫穿孔洗浄術
濵田
4月14日(月)
開頭
被殻出血
血腫除去術
乾/青木
開頭
脳室内出血
血腫除去術
芝野/古谷/佐伯
開頭
脳室内出血
穿頭脳室ドレナージ
長尾/佐伯
4月17日(木)
開頭
脳皮質下出血
血腫除去術
古部

予定手術【2025年4月11日(金)~2025年4月17日(木)】

※ 画像をクリックすると拡大表示します。

※ 表は横スクロールすることができます。

開頭症例

手術日
主病名
術名
手術医
(助手)
画像
4月11日(金)
聴神経腫瘍
摘出術
北野
脳動静脈奇形
摘出術
松田/矢田
4月14日(月)
後頭葉膠芽腫
摘出術
岩井/古部
頚椎腰椎脊柱管内異物
摘出術
長尾
4月16日(水)
腰部脊柱管狭窄症
後方除圧
乾/殿元/佐伯
頚椎症性脊髄症
拡大椎弓形成術
乾/殿元/佐伯
脳動脈瘤(Lt.MC)
クリッピング術
松田/矢田
4月17日(木)
硬膜動静脈瘻
頭蓋頚椎移行部脊髄辺縁動静脈瘻血流遮断術
乾/古谷

脳血管内手術症例

手術日
主病名
術名
手術医
(助手)
画像
4月15日(火)
脳動脈瘤(Lt.IC-PC)
脳血管内手術
芝野/古谷/木本

ガンマナイフ症例

手術日
主病名
担当医
4月11日(金)
三叉神経痛
岩井
転移性脳腫瘍
岩井
転移性脳腫瘍
岩井
4月12日(土)
転移性脳腫瘍
岩井
4月14日(月)
転移性脳腫瘍
岩井
4月15日(火)
右側三叉神経痛
岩井
嗅溝部髄膜腫
岩井
4月17日(木)
転移性脳腫瘍
北野

緊急手術【直近の過去1週間 2025年4月4日(金)~2025年4月10日(木)】

手術日
術式
主病名
術名
手術医
(助手)
4月6日(日)
血管内
くも膜下出血
脳血管内手術
松田/殿元
4月7日(月)
血管内
心原性脳塞栓症
経皮的脳血栓回収術
芝野/矢田
開頭
外傷性慢性硬膜下血腫
血腫穿孔洗浄術
矢田
4月8日(火)
開頭
心原性脳塞栓症
穿頭脳室ドレナージ
矢田
4月9日(水)
開頭
慢性硬膜下血腫
血腫穿孔洗浄術
長尾
4月10日(木)
開頭
小脳出血
穿頭脳室ドレナージ
芝野/佐伯

予定手術【2025年4月4日(金)~2025年4月10日(木)】

※ 画像をクリックすると拡大表示します。

※ 表は横スクロールすることができます。

開頭症例

手術日
主病名
術名
手術医
(助手)
画像
4月4日(金)
脳動静脈奇形
摘出術
松田/矢田
開頭術後骨欠損
頭蓋形成術
古部/佐伯
4月7日(月)
脳腫瘍
摘出術
北野
円蓋部髄膜腫
摘出術
長尾
水頭症
V-P Shunt
矢田
心原性脳塞栓症
気管切開術
矢田
4月8日(火)
脊髄動静脈奇形
背髄辺縁動静脈瘻
乾/長尾/殿元/佐伯
腰椎椎間板ヘルニア
後方除圧術
乾/殿元/佐伯
神経膠腫
摘出術
南田/野本
4月9日(水)
下垂体腺腫
摘出術
北野
胸髄腫瘍
摘出術
乾/古谷
頚椎症性脊髄症
拡大椎弓形成術
乾/殿元/佐伯
脳動脈瘤(Lt.IC-PC)
クリッピング術
松田/矢田
4月10日(木)
腰部脊柱管狭窄症
後方除圧
乾/殿元/佐伯

脳血管内手術症例

手術日
主病名
術名
手術医
(助手)
画像
4月9日(水)
脳動静脈奇形
血管塞栓術
松田/矢田

ガンマナイフ症例

手術日
主病名
担当医
4月7日(月)
三叉神経痛
岩井
4月8日(火)
聴神経腫瘍
岩井
左聴神経腫瘍
岩井
三叉神経痛
岩井
髄膜腫
岩井

緊急手術【直近の過去1週間 2025年3月28日(金)~2025年4月3日(木)】

手術日
術式
主病名
術名
手術医
(助手)
3月28日(金)
血管内
右中大脳動脈塞栓症
経皮的脳血栓回収術
芝野/矢田/佐伯
開頭
被殻出血
血腫除去術
芝野/野本
3月29日(土)
開頭
硬膜下血腫
血腫穿孔洗浄術
乾/佐伯
3月31日(月)
開頭
左慢性硬膜下血腫
血腫穿孔洗浄術
矢田/佐伯
4月1日(火)
開頭
左外傷性慢性硬膜下血腫
脳膿瘍排膿術
長尾/殿元/青木
開頭
小脳出血
気管切開術
脊髄ドレナージ
芝野/青木
4月2日(水)
開頭
小脳出血
血腫除去術
乾/佐伯
4月3日(木)
開頭
急性硬膜外血腫
血腫除去術
古部/殿元

予定手術【2025年3月28日(金)~2025年4月3日(木)】

※ 画像をクリックすると拡大表示します。

※ 表は横スクロールすることができます。

開頭症例

手術日
主病名
術名
手術医
(助手)
画像
3月28日(金)
大脳悪性腫瘍
摘出術
南田/野本
4月1日(火)
腰椎椎間板ヘルニア
Love法
乾/古谷
4月2日(水)
BOW-HUNTER症候群
後方固定
乾/殿元/佐伯
頚椎椎間板ヘルニア
前方固定術
乾/殿元/佐伯
小脳血管芽腫
摘出術
南田/長尾

脳血管内手術症例

手術日
主病名
術名
手術医
(助手)
画像
3月28日(金)
未破裂脳動脈瘤(Rt.IC)
フローダイバーター留置術
松田/矢田
4月2日(水)
脳動静脈奇形
血管塞栓術
松田/矢田

ガンマナイフ症例

手術日
主病名
担当医
4月1日(火)
聴神経腫瘍
岩井
4月3日(木)
転移性脳腫瘍
北野

緊急手術【直近の過去1週間 2025年3月21日(金)~2025年3月27日(木)】

手術日
術式
主病名
術名
手術医
(助手)
3月21日(金)
開頭
外傷性慢性硬膜下血腫
血腫穿孔洗浄術
野本/青木
3月22日(土)
血管内
くも膜下出血
(前交通動脈瘤破裂)
脳血管内手術
松田/矢田
3月24日(月)
開頭
小脳出血
血腫除去術
芝野/青木
血管内
塞栓性脳梗塞・急性期
経皮的脳血栓回収術
古部/古谷
3月25日(火)
血管内
心原性脳塞栓症
経皮的脳血栓回収術
芝野/古部/矢田
血管内
くも膜下出血
(内頚動脈後交通動脈分岐部動脈瘤破裂)
脳血管内手術
経皮的脳血栓回収術
須山/芝野/矢田
3月26日(水)
開頭
心原性脳塞栓症
減圧開頭術
古部/矢田
3月27日(木)
開頭
心原性脳塞栓症
脳切除術
古部/矢田

予定手術【2025年3月21日(金)~2025年3月27日(木)】

※ 画像をクリックすると拡大表示します。

※ 表は横スクロールすることができます。

開頭症例

手術日
主病名
術名
手術医
(助手)
画像
3月21日(金)
髄膜腫
摘出術
北野
開頭術後骨欠損
頭蓋形成術
野本
3月24日(月)
三叉神経痛
微小血管減圧術
岩井/古部
3月25日(火)
腰部脊柱管狭窄症
後方除圧
乾/古谷
右顔面痙攣
微小血管減圧術
南田/野本
3月26日(水)
下垂体腫瘍
摘出術
北野
右手根管症候群
手根管開放術
乾/古谷
腰部脊柱管狭窄症
後方除圧
乾/古谷
水頭症
V-P Shunt
長尾/佐伯
3月27日(木)
開頭術後骨欠損
頭蓋形成術
芝野/佐伯

ガンマナイフ症例

手術日
主病名
担当医
3月24日(月)
眼窩腫瘍
岩井
髄膜腫
岩井
3月25日(火)
聴神経腫瘍
岩井
三叉神経痛
岩井
3月26日(水)
転移性脳腫瘍
北野
3月27日(木)
髄膜腫
北野
転移性脳腫瘍
北野
傍矢状洞髄膜腫
岩井

緊急手術【直近の過去1週間 2025年3月14日(金)~2025年3月20日(木)】

手術日
術式
主病名
術名
手術医
(助手)
3月14日(金)
血管内
くも膜下出血
脳血管内手術
須山/松田/野本/青木
3月15日(土)
血管内
心原性脳塞栓症
経皮的脳血栓回収術
須山/古部/矢田
3月16日(日)
開頭
被殻出血
血腫除去術
古部
3月17日(月)
開頭
右慢性硬膜下血腫
血腫穿孔洗浄術
古谷
開頭
アテローム血栓性脳梗塞
減圧開頭術
穿頭脳室ドレナージ
芝野/矢田
3月18日(火)
開頭
脳皮質下出血
血腫除去術
芝野/野本
3月20日(木)
開頭
小脳出血
血腫除去術
穿頭脳室ドレナージ
松田/矢田

予定手術【2025年3月14日(金)~2025年3月20日(木)】

※ 画像をクリックすると拡大表示します。

※ 表は横スクロールすることができます。

開頭症例

手術日
主病名
術名
手術医
(助手)
画像
3月14日(金)
三叉神経痛
微小血管減圧術
岩井/古部
内頚動脈狭窄症
内頚動脈内膜剥離術
松田/矢田/佐伯
脳動脈瘤(Rt.IC-PC)
気管切開
野本
3月17日(月)
トルコ鞍部腫瘍
摘出術
北野
左頭頂葉腫瘍
摘出術
岩井/古部
三叉神経痛第2・3枝領域
微小血管減圧術
南田/野本
3月18日(火)
腰部脊柱管狭窄症
後方除圧
乾/古谷
頚部脊柱管狭窄症
後方除圧
乾/古谷
3月19日(水)
腰部脊柱管狭窄症
後方除圧
乾/古谷
頚部脊柱管狭窄症
拡大椎弓形成術
乾/古谷
開頭術後骨欠損
頭蓋形成術
古部/矢田

ガンマナイフ症例

手術日
主病名
担当医
3月14日(金)
転移性脳腫瘍
岩井
3月15日(土)
転移性脳腫瘍
岩井
3月18日(火)
転移性脳腫瘍
岩井
髄膜腫
岩井
三叉神経痛
岩井
聴神経腫瘍
岩井

緊急手術【直近の過去1週間 2025年3月7日(金)~2025年3月13日(木)】

手術日
術式
主病名
術名
手術医
(助手)
3月7日(金)
開頭
急性硬膜下血腫
血腫除去術
野本/青木
開頭
右被殻出血
血腫除去術
芝野/佐伯
3月8日(土)
血管内
硬膜動静脈瘻
脳血管内手術
須山/松田/佐伯
3月11日(火)
血管内
塞栓性脳梗塞
経皮的脳血栓回収術
長尾/矢田/佐伯
3月12日(水)
開頭
慢性硬膜下血腫
血腫穿孔洗浄術
古谷/青木

予定手術【2025年3月7日(金)~2025年3月13日(木)】

※ 画像をクリックすると拡大表示します。

※ 表は横スクロールすることができます。

開頭症例

手術日
主病名
術名
手術医
(助手)
画像
3月10日(月)
左三叉神経痛第2・3枝領域
微小血管減圧術
岩井
髄膜腫
摘出術
南田/野本
3月11日(火)
慢性難治性疼痛
脊髄刺激装置埋め込み術
乾/古谷
頚部脊柱管狭窄症
後方固定
乾/古谷
水頭症
V-P Shunt
野本
3月12日(水)
頚部脊柱管狭窄症
拡大椎弓形成術
乾/古谷
腰部脊柱管狭窄症
後方除圧
乾/古谷
三叉神経痛
微小血管減圧術
南田/野本
3月13日(木)
右頚部内頚動脈狭窄症
内頚動脈内膜剥離術
芝野

脳血管内手術症例

手術日
主病名
術名
手術医
(助手)
画像
3月11日(火)
左総頚動脈狭窄症
経皮的頚動脈ステント留置術
矢田/木本

ガンマナイフ症例

手術日
主病名
担当医
3月7日(金)
硬膜動静脈瘻
岩井
転移性脳腫瘍
岩井
転移性脳腫瘍
岩井
右小脳橋角部類表皮のう胞
岩井
3月8日(土)
転移性脳腫瘍
岩井
脳動静脈奇形
岩井
3月10日(月)
神経鞘腫
岩井
3月11日(火)
非機能性下垂体腺腫
岩井
三叉神経痛
岩井
脳動静脈奇形
岩井
3月12日(水)
前頭蓋底髄膜腫増大
北野
3月13日(木)
右傍矢状洞髄膜腫
北野

緊急手術【直近の過去1週間 2025年2月28日(金)~2025年3月6日(木)】

手術日
術式
主病名
術名
手術医
(助手)
2月28日(金)
開頭
慢性硬膜下血腫
血腫穿孔洗浄術
濵田
開頭
右側頭葉腫瘍
血腫除去術
長尾/青木
3月1日(土)
血管内
脳梗塞
経皮的脳血栓回収術
松田/野本
開頭
慢性硬膜下血腫
血腫穿孔洗浄術
芝野/青木

予定手術【2025年2月28日(金)~2025年3月6日(木)】

※ 画像をクリックすると拡大表示します。

※ 表は横スクロールすることができます。

開頭症例

手術日
主病名
術名
手術医
(助手)
画像
2月28日(金)
もやもや病
血行再建術
松田/矢田
3月3日(月)
三叉神経痛第2・3枝領域
微小血管減圧術
南田/野本
3月4日(火)
頚部脊柱管狭窄症
拡大椎弓形成術
乾/古谷
右手根管症候群
右手根管開放術
乾/古谷
頭蓋内膿瘍
頭蓋形成術
長尾/矢田
3月5日(水)
下垂体腺腫
摘出術
北野
腰部脊柱管狭窄症
後方除圧
乾/古谷
右手根管症候群
右手根管開放術
乾/古谷
硬膜動静脈瘻
摘出術
南田/野本
3月6日(木)
脊髄腫瘍
摘出術
乾/古谷

脳血管内手術症例

手術日
主病名
術名
手術医
(助手)
画像
3月1日(土)
脳動脈瘤(Acom)
脳血管内手術
松田/矢田
3月4日(火)
脳動脈瘤(Acom)
脳血管内手術
芝野/木本

ガンマナイフ症例

手術日
主病名
担当医
3月6日(木)
髄膜腫
北野
転移性脳腫瘍
北野

緊急手術【直近の過去1週間 2025年2月21日(金)~2025年2月27日(木)】

手術日
術式
主病名
術名
手術医
(助手)
2月23日(日)
開頭
くも膜下出血
穿頭脳室ドレナージ
減圧開頭術
古部/野本
血管内
くも膜下出血
脳血管内手術
須山/古部/野本
2月25日(火)
血管内
脳梗塞
経皮的脳血栓回収術
長尾/野本
2月27日(木)
開頭
右慢性硬膜下血腫
血腫穿孔洗浄術
芝野

予定手術【2025年2月21日(金)~2025年2月27日(木)】

※ 画像をクリックすると拡大表示します。

※ 表は横スクロールすることができます。

開頭症例

手術日
主病名
術名
手術医
(助手)
画像
2月21日(金)
右三叉神経痛
微小血管減圧術
岩井/古部
脳動静脈奇形
摘出術
南田/松田/矢田
左前頭葉腫瘍
摘出術
南田/濵田/野本
2月25日(火)
腰部脊柱管狭窄症
後方除圧
乾/古谷
腰部脊柱管狭窄症
後方除圧
乾/古谷
硬膜動静脈瘻
流入血管遮断術
芝野
2月26日(水)
腰部脊柱管狭窄症
後方除圧
乾/古谷
右側頭葉腫瘤
摘出術
南田/長尾/青木

脳血管内手術症例

手術日
主病名
術名
手術医
(助手)
画像
2月26日(水)
脳動脈瘤(Acom)
脳血管内手術
須山/松田/矢田

ガンマナイフ症例

手術日
主病名
担当医
2月21日(金)
転移性脳腫瘍
山里
2月25日(火)
三叉神経痛
岩井
右前頭部円蓋部髄膜腫
岩井
転移性脳腫瘍
岩井
2月27日(木)
右聴神経鞘腫
北野

緊急手術【直近の過去1週間 2025年2月14日(金)~2025年2月20日(木)】

手術日
術式
主病名
術名
手術医
(助手)
2月15日(土)
開頭
くも膜下出血
(内頚動脈後交通動脈分岐部動脈瘤破裂)
クリッピング術
乾/佐伯
開頭
非交通性水頭症
穿頭脳室ドレナージ
古谷
2月16日(日)
開頭
外傷性脳内血腫
血腫除去術
松田/矢田
2月17日(月)
開頭
小脳出血性脳梗塞
減圧開頭術
芝野/矢田/佐伯
開頭
外傷性脳内血腫
血腫除去術
古部
2月18日(火)
開頭
慢性硬膜下血腫
血腫穿孔洗浄術
佐伯
2月19日(水)
血管内
心原性脳塞栓症
経皮的脳血栓回収術
長尾/古谷
2月20日(木)
開頭
慢性硬膜下血腫
血腫穿孔洗浄術
長尾/佐伯
開頭
慢性硬膜下血腫
血腫穿孔洗浄術
野本

予定手術【2025年2月14日(金)~2025年2月20日(木)】

※ 画像をクリックすると拡大表示します。

※ 表は横スクロールすることができます。

開頭症例

手術日
主病名
術名
手術医
(助手)
画像
2月14日(金)
左顔面痙攣
微小血管減圧術
岩井/古部
三叉神経痛第2枝領域
微小血管減圧術
南田/野本
水頭症
脳室ドレナージ
南田/古谷
2月17日(月)
脳動脈瘤(Rt.MC)
血行再建術
芝野
2月18日(火)
アーノルド・キアリ奇形
大孔部減圧術
乾/古谷
2月19日(水)
右三叉神経痛
微小血管減圧術
乾/古谷
右前頭葉腫瘍
摘出術
南田/長尾/佐伯
2月20日(木)
三叉神経痛
微小血管減圧術
岩井/古部

脳血管内手術症例

手術日
主病名
術名
手術医
(助手)
画像
2月14日(金)
脳動脈瘤(Rt.MC)
脳血管内手術
須山/松田/矢田
2月18日(火)
硬膜動静脈瘻
血管塞栓術
芝野/野本/木本
2月19日(水)
脳動静脈奇形
血管塞栓術
須山/松田/矢田
脳動脈瘤(Acom)
脳血管内手術
松田/矢田

ガンマナイフ症例

手術日
主病名
担当医
2月15日(土)
転移性脳腫瘍
岩井
転移性脳腫瘍
岩井
転移性脳腫瘍
岩井

緊急手術【直近の過去1週間 2025年2月7日(金)~2025年2月13日(木)】

手術日
術式
主病名
術名
手術医
(助手)
2月7日(金)
血管内
中大脳動脈狭窄症
経皮的脳血栓回収術
長尾/古部
2月10日(月)
血管内
くも膜下出血
(前大脳動脈瘤破裂)
脳血管内手術
須山/古部
開頭
慢性硬膜下血腫
血腫穿孔洗浄術
野本/佐伯
開頭
慢性硬膜下血腫
血腫穿孔洗浄術
野本
2月13日(木)
血管内
脳梗塞
経皮的脳血栓回収術
芝野
開頭
外傷性慢性硬膜下血腫
血腫穿孔洗浄術
古部/佐伯

予定手術【2025年2月7日(金)~2025年2月13日(木)】

※ 画像をクリックすると拡大表示します。

※ 表は横スクロールすることができます。

開頭症例

手術日
主病名
術名
手術医
(助手)
画像
2月7日(金)
慢性硬膜下血腫
穿頭洗浄術
南田/佐伯
左頚部内頚動脈狭窄症
内頚動脈内膜剥離術
松田/矢田
2月12日(水)
頚椎症性脊髄症
前方固定術
乾/古谷
頚部脊柱管狭窄症
拡大椎弓形成術
乾/古谷
嗅窩髄膜腫
摘出術
南田/野本
2月13日(木)
腰部脊柱管狭窄症
後方除圧
乾/古谷
左肘部管症候群
左肘部管開放術
乾/古谷

脳血管内手術症例

手術日
主病名
術名
手術医
(助手)
画像
2月14日(金)
脳動脈瘤(Rt.MC)
脳血管内手術
須山/松田/矢田

ガンマナイフ症例

手術日
主病名
担当医
2月10日(月)
転移性脳腫瘍
岩井
転移性脳腫瘍
岩井
転移性脳腫瘍
岩井
三叉神経痛
岩井
2月13日(木)
転移性脳腫瘍
北野

緊急手術【直近の過去1週間 2025年1月31日(金)~2025年2月6日(木)】

手術日
術式
主病名
術名
手術医
(助手)
1月31日(金)
開頭
急性硬膜下血腫
血腫除去術
減圧開頭術
芝野/野本
開頭
くも膜下出血
(中大脳動脈瘤破裂)
減圧開頭術
芝野/佐伯
開頭
VAシャント機能不全
髄液シャント抜去術
穿頭脳室ドレナージ
創傷処理
南田/古谷
開頭
被殻出血
血腫除去術
南田/佐伯
開頭
右被殻出血
血腫除去術
乾/佐伯
2月1日(土)
開頭
頭蓋内圧亢進症
ICPセンサー留置術
古部
2月3日(月)
開頭
両側慢性硬膜下血腫
血腫穿孔洗浄術
濵田/佐伯
開頭
被殻出血
血腫除去術
矢田/青木
2月4日(火)
開頭
外傷性慢性硬膜下血腫
血腫穿孔洗浄術
長尾/青木

予定手術【2025年1月31日(金)~2025年2月6日(木)】

※ 画像をクリックすると拡大表示します。

※ 表は横スクロールすることができます。

開頭症例

手術日
主病名
術名
手術医
(助手)
画像
2月3日(月)
傍矢状洞悪性髄膜腫
摘出術
古部/矢田
2月4日(火)
腰部脊柱管狭窄症
後方除圧
乾/古谷
頚部脊柱管狭窄症
拡大椎弓形成術
乾/古谷
右前床突起髄膜腫
摘出術
南田/野本
2月6日(木)
脳動脈瘤(Acom)
クリッピング術
乾/古谷

脳血管内手術症例

手術日
主病名
術名
手術医
(助手)
画像
1月31日(金)
脳動脈瘤(Acom)
脳血管内手術
須山/松田/矢田
2月4日(火)
脳動脈瘤(Rt.AC)
脳血管内手術
芝野/木本

ガンマナイフ症例

手術日
主病名
担当医
2月3日(月)
髄膜腫
岩井
2月4日(火)
転移性脳腫瘍
岩井

緊急手術【直近の過去1週間 2025年1月24日(金)~2025年1月30日(木)】

手術日
術式
主病名
術名
手術医
(助手)
1月29日(水)
開頭
被殻出血
血腫除去術
南田/濵田
1月30日(木)
開頭
くも膜下出血
(中大脳動脈瘤破裂)
クリッピング術
芝野/古部/佐伯

予定手術【2025年1月24日(金)~2025年1月30日(木)】

※ 画像をクリックすると拡大表示します。

※ 表は横スクロールすることができます。

開頭症例

手術日
主病名
術名
手術医
(助手)
画像
1月24日(金)
脳動脈瘤(Lt.VA)
クリッピング術
松田/矢田
1月28日(火)
腰椎椎間板ヘルニア
Love法
乾/古谷
頚椎症性脊髄症
拡大椎弓形成術
乾/古谷
脳動静脈奇形
摘出術
南田/松田/佐伯
1月29日(水)
腰部脊柱管狭窄症
後方除圧
乾/古谷
1月30日(木)
脳動脈瘤(Rt.MC)
クリッピング術
乾/古谷

脳血管内手術症例

手術日
主病名
術名
手術医
(助手)
画像
1月29日(水)
脳動脈瘤(Rt.IC)
フローダイバーター留置術
須山/松田/矢田

ガンマナイフ症例

手術日
主病名
担当医
1月28日(火)
転移性脳腫瘍
岩井
右蝶形骨髄膜腫
岩井
1月30日(木)
錐体斜台部髄膜腫
北野

緊急手術【直近の過去1週間 2025年1月17日(金)~2025年1月23日(木)】

手術日
術式
主病名
術名
手術医
(助手)
1月19日(日)
開頭
被殻出血
血腫除去術
古部/矢田
1月20日(月)
血管内
左心原性脳塞栓症
経皮的脳血栓回収術
長尾/佐伯
血管内
右心原性脳塞栓症
経皮的脳血栓回収術
長尾/佐伯
1月21日(火)
開頭
非交通性水頭症
穿頭脳室ドレナージ
古谷
1月23日(木)
血管内
中大脳動脈閉塞症
経皮的脳血栓回収術
須山/古部
血管内
塞栓性脳梗塞
経皮的脳血栓回収術
芝野/野本

予定手術【2025年1月17日(金)~2025年1月23日(木)】

※ 画像をクリックすると拡大表示します。

※ 表は横スクロールすることができます。

開頭症例

手術日
主病名
術名
手術医
(助手)
画像
1月17日(金)
大脳鎌髄膜腫
摘出術
北野
水頭症
V-P Shunt
南田
VAシャント感染症
V-A Shunt
松田/古谷
1月21日(火)
頚椎症性神経根症
前方固定術
乾/古谷
髄膜腫
摘出術
南田/野本
1月22日(水)
手根管症候群
左手根管開放術
乾/古谷
1月23日(木)
右被殻出血
頭蓋形成術
芝野/佐伯

脳血管内手術症例

手術日
主病名
術名
手術医
(助手)
画像
1月17日(金)
脳動脈瘤(Rt.IC-PC)
脳血管内手術
須山/松田/矢田
1月21日(火)
脳動脈瘤(Acom)
脳血管内手術
芝野/野本/木本
1月22日(水)
脳動脈瘤(Rt.IC)
脳血管内手術
須山/松田/矢田

ガンマナイフ症例

手術日
主病名
担当医
1月17日(金)
三叉神経痛
岩井
転移性脳腫瘍
岩井
1月20日(月)
転移性脳腫瘍
岩井
フォンヒッペル・リンダウ病
岩井
転移性脳腫瘍
岩井
1月21日(火)
転移性脳腫瘍
岩井
転移性脳腫瘍
岩井
1月23日(木)
聴神経腫瘍
北野
右聴神経腫瘍
北野

緊急手術【直近の過去1週間 2025年1月10日(金)~2025年1月16日(木)】

手術日
術式
主病名
術名
手術医
(助手)
1月10日(金)
開頭
左慢性硬膜下血腫
血腫穿孔洗浄術
佐伯
1月11日(土)
開頭
左慢性硬膜下血腫
血腫穿孔洗浄術
長尾/佐伯
1月12日(日)
開頭
右外傷性慢性硬膜下血腫
血腫穿孔洗浄術
野本
開頭
内頚動脈後交通動脈分岐部動脈瘤
クリッピング術
松田/野本
1月13日(月)
開頭
慢性硬膜下血腫
血腫穿孔洗浄術
松田/佐伯
血管内
心原性脳塞栓症
経皮的脳血栓回収術
松田/古谷
1月14日(火)
血管内
くも膜下出血
(前交通動脈瘤破裂)
脳血管内手術
須山/古部/矢田
1月15日(水)
血管内
心原性脳塞栓症
経皮的脳血栓回収術
松田/長尾/佐伯
開頭
心原性脳塞栓症
減圧開頭術
古部/矢田

予定手術【2025年1月10日(金)~2025年1月16日(木)】

※ 画像をクリックすると拡大表示します。

※ 表は横スクロールすることができます。

開頭症例

手術日
主病名
術名
手術医
(助手)
画像
1月10日(金)
左側頭葉膠芽腫
摘出術
南田/野本
1月14日(火)
左腰椎椎間板ヘルニア
Love法
乾/古谷
1月15日(水)
下垂体腺腫
摘出術
北野
左手根管症候群
左手根管開放術
乾/古谷
海綿状血管腫
摘出術
南田/野本
右慢性硬膜下血腫
穿頭洗浄術
古谷
1月16日(木)
腰部脊柱管狭窄症
後方除圧
乾/古谷
左内頚動脈狭窄症
内頚動脈内膜剥離術
古部/野本

脳血管内手術症例

手術日
主病名
術名
手術医
(助手)
画像
1月10日(金)
脳動脈瘤(Lt.IC)
フローダイバーター留置術
須山/松田/矢田
1月15日(水)
脳動静脈奇形
血管塞栓術
須山/松田/矢田

ガンマナイフ症例

手術日
主病名
担当医
1月10日(金)
転移性脳腫瘍
北野
1月14日(火)
転移性脳腫瘍
北野
左聴神経鞘腫
北野

緊急手術【直近の過去1週間 2024年12月27日(金)~2025年1月9日(木)】

手術日
術式
主病名
術名
手術医
(助手)
12月28日(土)
開頭
脳膿瘍
脳膿瘍排膿術
乾/佐伯
開頭
脳皮質下出血
血腫除去術
古部/野本
12月29日(日)
開頭
被殻出血
血腫除去術
矢田
12月31日(火)
開頭
脳皮質下出血
穿頭脳室ドレナージ
野本
開頭
右慢性硬膜下血腫
血腫穿孔洗浄術
佐伯
1月4日(土)
血管内
アテローム血栓性脳梗塞・急性期
経皮的脳血栓回収術
松田/佐伯
1月5日(日)
血管内
中大脳動脈閉塞症
経皮的脳血栓回収術
経皮的頸動脈ステント留置術
芝野/矢田/佐伯
1月6日(月)
血管内
心原性脳塞栓症
経皮的脳血栓回収術
長尾/矢田
開頭
慢性硬膜下血腫
血腫穿孔洗浄術
長尾
1月8日(水)
開頭
脳皮質下出血
血腫除去術
古部
1月9日(木)
開頭
左慢性硬膜下血腫
血腫穿孔洗浄術
古谷
開頭
非交通性水頭症
穿頭脳室ドレナージ
古谷

予定手術【2024年12月27日(金)~2025年1月9日(木)】

※ 画像をクリックすると拡大表示します。

※ 表は横スクロールすることができます。

開頭症例

手術日
主病名
術名
手術医
(助手)
画像
1月6日(月)
左側顔面痙攣
微小血管減圧術
岩井/古部
VAシャント感染症
左VAシャントの抜去
松田/古谷
1月7日(火)
頚椎椎間板ヘルニア
前方固定術
乾/古谷
水頭症
V-P Shunt
長尾
1月8日(水)
左手根管症候群
左手根管開放術
乾/濵田/古谷
腰部脊柱管狭窄症
後方除圧
乾/古谷
脳動静脈奇形
摘出術
松田/矢田
水頭症
V-P Shunt
長尾/矢田
1月9日(木)
頚椎症性脊髄症
拡大椎弓形成術
乾/古谷

脳血管内手術症例

手術日
主病名
術名
手術医
(助手)
画像
1月7日(火)
脳動脈瘤(Rt.IC-PC)
脳血管内手術
芝野/木本
脳動脈瘤(Lt.IC)
フローダイバーター留置術
芝野/木本

ガンマナイフ症例

手術日
主病名
担当医
1月7日(火)
聴神経腫瘍
岩井
左側頭葉脳動静脈奇形
岩井
1月8日(水)
転移性脳腫瘍
山里

緊急手術【直近の過去1週間 2024年12月20日(金)~2024年12月26日(木)】

手術日
術式
主病名
術名
手術医
(助手)
12月20日(金)
血管内
塞栓性脳梗塞・急性期
経皮的脳血栓回収術
長尾/古部/古谷/佐伯
12月21日(土)
開頭
右被殻出血
血腫除去術
古部/佐伯
12月22日(日)
血管内
脳底動脈狭窄症
経皮的脳血栓回収術
経皮的脳血管形成術
芝野/野本/古谷
12月23日(月)
開頭
悪性リンパ腫
血腫除去術
南田/野本/古谷
血管内
くも膜下出血
脳血管内手術
須山/長尾/矢田
血管内
くも膜下出血
脳血管内手術
須山/長尾/矢田
12月25日(水)
開頭
慢性硬膜下血腫
血腫穿孔洗浄術
野本

予定手術【2024年12月20日(金)~2024年12月26日(木)】

※ 画像をクリックすると拡大表示します。

※ 表は横スクロールすることができます。

開頭症例

手術日
主病名
術名
手術医
(助手)
画像
12月20日(金)
左顔面痙攣
微小血管減圧術
南田/野本
12月23日(月)
右側三叉神経痛
微小血管減圧術
岩井/古部
神経膠腫
生検
南田/野本
12月24日(火)
脳動脈瘤(Rt.MC)
クリッピング術
乾/古谷
脳動静脈奇形
摘出術
松田/矢田
12月25日(水)
脊髄腫瘍
摘出術
乾/古谷
右手根管症候群
右手根管開放術
乾/古谷
左中大脳動脈狭窄症
STA-MCAバイパス術
松田/矢田

脳血管内手術症例

手術日
主病名
術名
手術医
(助手)
画像
12月24日(火)
脳動脈瘤(Rt.IC)
フローダイバーター留置術
芝野/木本
左硬膜動静脈瘻
血管塞栓術
芝野/木本

ガンマナイフ症例

手術日
主病名
担当医
12月23日(月)
転移性脳腫瘍
岩井
12月24日(火)
転移性脳腫瘍
岩井
聴神経腫瘍
岩井

緊急手術【直近の過去1週間 2024年12月13日(金)~2024年12月19日(木)】

手術日
術式
主病名
術名
手術医
(助手)
12月13日(金)
開頭
右被殻出血
血腫除去術
芝野/佐伯
12月14日(土)
開頭
左慢性硬膜下血腫
血腫穿孔洗浄術
古谷
12月16日(月)
開頭
脳梗塞・急性期
減圧開頭術
穿頭脳室ドレナージ
古部/古谷
開頭
被殻出血
血腫除去術
芝野/佐伯
12月17日(火)
開頭
外傷性慢性硬膜下血腫
血腫穿孔洗浄術
矢田

予定手術【2024年12月13日(金)~2024年12月19日(木)】

※ 画像をクリックすると拡大表示します。

※ 表は横スクロールすることができます。

開頭症例

手術日
主病名
術名
手術医
(助手)
画像
12月13日(金)
脳動静脈奇形
摘出術
松田/矢田
12月16日(月)
左前頭葉悪性血管周皮腫
摘出術
岩井/古部
12月17日(火)
第5腰椎分離すべり症
後方固定術
乾/古谷
頭蓋骨腫瘍
摘出術
南田/野本/古谷
12月18日(水)
頚椎症性神経根症
前方固定術
乾/古谷
右手根管症候群
右手根管開放術
乾/古谷
脳動脈瘤(Rt.MC)
クリッピング術
松田/矢田

脳血管内手術症例

手術日
主病名
術名
手術医
(助手)
画像
12月18日(水)
脳動脈瘤(Lt.IC・Rt.IC)
フローダイバーター留置術
須山/松田/矢田

ガンマナイフ症例

手術日
主病名
担当医
12月14日(土)
右三叉神経痛
岩井
12月17日(火)
聴神経腫瘍
岩井
転移性脳腫瘍
岩井
転移性脳腫瘍
岩井
転移性脳腫瘍
岩井
12月18日(水)
右聴神経腫瘍
山里
12月19日(木)
聴神経腫瘍
北野

緊急手術【直近の過去1週間 2024年12月6日(金)~2024年12月12日(木)】

手術日
術式
主病名
術名
手術医
(助手)
12月7日(土)
開頭
硬膜下膿瘍
血腫穿孔洗浄術
野本
12月9日(月)
開頭
外傷性慢性硬膜下血腫
血腫穿孔洗浄術
長尾
12月12日(木)
開頭
右慢性硬膜下血腫
血腫穿孔洗浄術
佐伯

予定手術【2024年12月6日(金)~2024年12月12日(木)】

※ 画像をクリックすると拡大表示します。

※ 表は横スクロールすることができます。

開頭症例

手術日
主病名
術名
手術医
(助手)
画像
12月6日(金)
右顔面痙攣
微小血管減圧術
岩井/古部
脳動脈瘤(Rt.IC-PC・Rt.MC)
クリッピング術
松田/矢田
12月9日(月)
右前頭葉傍矢状洞悪性髄膜腫
摘出術
岩井/古部
嗅溝部髄膜腫
摘出術
南田/野本
12月11日(水)
右前頭葉腫瘍
摘出術
北野
脳動脈瘤(Lt.AC・Rt.AC)
クリッピング術
松田/矢田

脳血管内手術症例

手術日
主病名
術名
手術医
(助手)
画像
12月10日(火)
脳動脈瘤(Lt.IC)
フローダイバーター留置術
芝野/木本
脳動脈瘤(Acom)
脳血管内手術
松田/矢田/木本
12月11日(水)
脳動静脈奇形
血管塞栓術
須山/松田/矢田
12月12日(木)
右内頚動脈ステント植え込み状態
経皮的頸動脈ステント留置術
芝野/古部

ガンマナイフ症例

手術日
主病名
担当医
12月6日(金)
転移性脳腫瘍
北野
転移性脳腫瘍
山里
12月10日(火)
聴神経腫瘍
岩井
転移性脳腫瘍
岩井
三叉神経痛
岩井
転移性脳腫瘍
岩井
左大脳鎌髄膜腫
岩井
転移性脳腫瘍
岩井
転移性脳腫瘍
岩井
12月11日(水)
鞍結節部髄膜腫
北野
下垂体腺腫
北野

緊急手術【直近の過去1週間 2024年11月29日(金)~2024年12月5日(木)】

手術日
術式
主病名
術名
手術医
(助手)
11月30日(土)
開頭
慢性硬膜下血腫
血腫穿孔洗浄術
野本
開頭
左頚部内頚動脈狭窄症
動脈血栓内膜摘出術
芝野/佐伯
12月3日(火)
開頭
慢性硬膜下血腫
血腫穿孔洗浄術
野本
12月5日(木)
開頭
左外傷性慢性硬膜下血腫
血腫穿孔洗浄術
矢田

予定手術【2024年11月29日(金)~2024年12月5日(木)】

※ 画像をクリックすると拡大表示します。

※ 表は横スクロールすることができます。

開頭症例

手術日
主病名
術名
手術医
(助手)
画像
11月29日(金)
水頭症
V-P Shunt
矢田
12月2日(月)
左三叉神経痛
微小血管減圧術
岩井/古部
12月3日(火)
脳動静脈奇形
摘出術
南田/芝野
水頭症
V-P Shunt
矢田
12月4日(水)
脳動脈瘤(Acom)
クリッピング術
南田/野本

脳血管内手術症例

手術日
主病名
術名
手術医
(助手)
画像
11月29日(金)
左内頚動脈狭窄症
経皮的頸動脈ステント留置術
松田/矢田
12月4日(水)
脳動脈瘤(Rt.VA)
脳血管内手術
須山/松田/矢田

ガンマナイフ症例

手術日
主病名
担当医
11月29日(金)
転移性脳腫瘍
岩井
12月3日(火)
転移性脳腫瘍
岩井
脳動静脈奇形
岩井
12月5日(木)
髄膜腫
北野

緊急手術【直近の過去1週間 2024年11月22日(金)~2024年11月28日(木)】

手術日
術式
主病名
術名
手術医
(助手)
11月22日(金)
開頭
小脳出血
血腫除去術
古部/矢田
開頭
外傷性慢性硬膜下血腫
血腫穿孔洗浄術
矢田
11月25日(月)
開頭
被殻出血
血腫除去術
穿頭脳室ドレナージ
芝野/長尾/佐伯
11月26日(火)
開頭
被殻出血
血腫除去術
芝野/長尾/佐伯
開頭
慢性硬膜下血腫
血腫穿孔洗浄術
長尾
11月27日(水)
血管内
心原性脳塞栓症
経皮的脳血栓回収術
松田/古部/野本

予定手術【2024年11月22日(金)~2024年11月28日(木)】

※ 画像をクリックすると拡大表示します。

※ 表は横スクロールすることができます。

開頭症例

手術日
主病名
術名
手術医
(助手)
画像
11月22日(金)
三叉神経痛
微小血管減圧術
岩井/古部
脳動静脈奇形
摘出術
南田/松田/佐伯
11月25日(月)
右聴神経腫瘍
摘出術
岩井/古部
11月26日(火)
腰部脊柱管狭窄症
後方除圧
乾/古谷
海綿状血管腫
摘出術
南田/野本
水頭症
V-P Shunt
矢田
11月27日(水)
頚部脊柱管狭窄症
拡大椎弓形成術
乾/古谷
もやもや病
血行再建術
松田/矢田
11月28日(木)
右頚部内頚動脈狭窄症
内頚動脈内膜剥離術
芝野/佐伯

脳血管内手術症例

手術日
主病名
術名
手術医
(助手)
画像
11月25日(月)
脳動脈瘤(Rt.MC)
脳血管内手術
芝野/木本
脳動静脈奇形
血管塞栓術
芝野/野本/木本

ガンマナイフ症例

手術日
主病名
担当医
11月26日(火)
三叉神経痛
岩井
転移性脳腫瘍
岩井
転移性脳腫瘍
岩井
右三叉神経痛
岩井

緊急手術【直近の過去1週間 2024年11月15日(金)~2024年11月21日(木)】

手術日
術式
主病名
術名
手術医
(助手)
11月15日(金)
血管内
くも膜下出血
(右椎骨動脈瘤破裂)
脳血管内手術
松田/佐伯
開頭
くも膜下出血
(右椎骨動脈瘤破裂)
穿頭脳室ドレナージ
佐伯
11月16日(土)
血管内
脳梗塞
(右内頚動脈閉塞)
経皮的脳血栓回収術
芝野/佐伯
11月18日(月)
血管内
塞栓性脳梗塞
経皮的脳血栓回収術
長尾/矢田
11月21日(木)
開頭
右急性硬膜下血腫
血腫除去術
減圧開頭術
長尾/古谷

予定手術【2024年11月15日(金)~2024年11月21日(木)】

※ 画像をクリックすると拡大表示します。

※ 表は横スクロールすることができます。

開頭症例

手術日
主病名
術名
手術医
(助手)
画像
11月15日(金)
脳動静脈奇形
摘出術
南田/松田/野本
水頭症
V-P Shunt
矢田
11月18日(月)
脳動脈瘤(Rt.MC)
クリッピング術
芝野
11月19日(火)
腰部脊柱管狭窄症
後方除圧
乾/古谷
腰部脊柱管狭窄症
Love法
乾/古谷
左聴神経腫瘍
摘出術
南田/野本
左頚部内頚動脈閉塞症
血行再建術
松田/矢田
11月20日(水)
環軸関節亜脱臼
後方固定術
乾/古谷
11月21日(木)
三叉神経痛
微小血管減圧術
岩井/古部

脳血管内手術症例

手術日
主病名
術名
手術医
(助手)
画像
11月20日(水)
脳動脈瘤(BA)
脳血管内手術
須山/松田/矢田

ガンマナイフ症例

手術日
主病名
担当医
11月18日(月)
左小脳橋角部髄膜腫
岩井
転移性脳腫瘍
岩井
小脳テント髄膜腫
岩井
11月19日(火)
転移性脳腫瘍
岩井

緊急手術【直近の過去1週間 2024年11月8日(金)~2024年11月14日(木)】

手術日
術式
主病名
術名
手術医
(助手)
11月12日(火)
開頭
脳皮質下出血
血腫除去術
矢田
11月14日(木)
血管内
くも膜下出血
(前交通動脈瘤破裂)
脳血管内手術
須山/芝野/佐伯

予定手術【2024年11月8日(金)~2024年11月14日(木)】

※ 画像をクリックすると拡大表示します。

※ 表は横スクロールすることができます。

開頭症例

手術日
主病名
術名
手術医
(助手)
画像
11月8日(金)
後頭蓋窩腫瘍
摘出術
北野
顔面痙攣
微小血管減圧術
岩井/古部
脳動脈瘤(Lt.IC-PC・Lt.MC)
クリッピング術
松田/佐伯
11月11日(月)
顔面痙攣
微小血管減圧術
南田/野本
第三脳室髄膜腫
摘出術
古部/矢田
11月12日(火)
後縦靭帯骨化症
前方固定術
乾/古谷
左前頭葉腫瘍
摘出術
長尾/佐伯
11月13日(水)
下垂体腫瘍
摘出術
北野
末梢性神経障害性疼痛
脊髄刺激装置埋め込み術
乾/古谷
頚椎症性脊髄症
前方固定術
乾/古谷
右小脳神経膠腫
摘出術
南田/長尾

脳血管内手術症例

手術日
主病名
術名
手術医
(助手)
画像
11月11日(月)
脳動脈瘤(Rt.IC-PC)
脳血管内手術
芝野/木本
11月12日(火)
脳動脈瘤(Lt.VA-PICA)
脳血管内手術
芝野/木本
脳動脈瘤(Rt.IC)
フローダイバーター留置術
芝野/木本
11月13日(水)
脳動静脈奇形
血管塞栓術
須山/松田/矢田

ガンマナイフ症例

手術日
主病名
担当医
11月11日(月)
転移性脳腫瘍
岩井
転移性脳腫瘍
岩井
小脳血管芽腫
岩井
11月12日(火)
右聴神経腫瘍
岩井
転移性脳腫瘍
岩井
転移性脳腫瘍
岩井

緊急手術【直近の過去1週間 2024年11月1日(金)~2024年11月7日(木)】

手術日
術式
主病名
術名
手術医
(助手)
11月1日(金)
開頭
慢性硬膜下血腫
血腫穿孔洗浄術
長尾
開頭
小脳出血
穿頭脳室ドレナージ
古谷
11月2日(土)
血管内
くも膜下出血
(内頚動脈前脈絡叢動脈分岐部動脈瘤破裂)
脳血管内手術
須山/長尾/野本
11月4日(月)
開頭
脳室内腫瘍
穿頭脳室ドレナージ
野本
11月5日(火)
血管内
心原性脳塞栓症
経皮的脳血栓回収術
芝野/古谷/佐伯
11月7日(木)
血管内
塞栓性脳梗塞・急性期
経皮的脳血栓回収術
松田/古谷

予定手術【2024年11月1日(金)~2024年11月7日(木)】

※ 画像をクリックすると拡大表示します。

※ 表は横スクロールすることができます。

開頭症例

手術日
主病名
術名
手術医
(助手)
画像
11月1日(金)
三叉神経痛
微小血管減圧術
岩井/古部
11月5日(火)
脳幹神経膠腫
摘出術
南田/野本
水頭症
V-P Shunt
芝野/佐伯
11月6日(水)
脳動静脈奇形
摘出術
南田/長尾/野本

脳血管内手術症例

手術日
主病名
術名
手術医
(助手)
画像
11月5日(火)
脳動静脈奇形
血管塞栓術
松田/矢田/木本
脳動静脈奇形
血管塞栓術
松田/佐伯/木本
11月6日(水)
脳動脈瘤(Lt.IC)
フローダイバーター留置術
須山/松田/佐伯

ガンマナイフ症例

手術日
主病名
担当医
11月5日(火)
脳動静脈奇形
岩井
転移性脳腫瘍
岩井

緊急手術【直近の過去1週間 2024年10月25日(金)~2024年10月31日(木)】

手術日
術式
主病名
術名
手術医
(助手)
10月25日(金)
血管内
心原性脳塞栓症
経皮的脳血栓回収術
松田/矢田
10月27日(日)
血管内
心原性脳塞栓症
経皮的脳血栓回収術
須山/古部
10月28日(月)
開頭
左外傷性硬膜下水腫
血腫穿孔洗浄術
矢田/佐伯
10月29日(火)
開頭
皮質脳内出血
血腫除去術
松田/矢田
開頭
慢性硬膜下血腫
血腫穿孔洗浄術
古部
10月30日(水)
開頭
慢性硬膜下血腫
血腫穿孔洗浄術
矢田/佐伯
10月31日(木)
開頭
外傷性慢性硬膜下血腫
血腫穿孔洗浄術
矢田

予定手術【2024年10月25日(金)~2024年10月31日(木)】

※ 画像をクリックすると拡大表示します。

※ 表は横スクロールすることができます。

開頭症例

手術日
主病名
術名
手術医
(助手)
画像
10月25日(金)
下垂体腫瘍
摘出術
北野
三叉神経痛
微小血管減圧術
岩井/古部
神経膠腫
摘出術
南田/野本
10月29日(火)
腰部脊柱管狭窄症
後方除圧
乾/古谷
10月30日(水)
腰部脊柱管狭窄症
後方除圧
乾/古谷
右小脳神経膠腫
摘出術
南田/長尾
脳動静脈奇形
摘出術
松田/矢田
10月31日(木)
腰部脊柱管狭窄症
後方除圧
乾/古谷
脳動脈瘤(Rt.MC)
クリッピング術
芝野/古部

脳血管内手術症例

手術日
主病名
術名
手術医
(助手)
画像
10月25日(金)
脳動脈瘤(Rt.IC)
フローダイバーター留置術
須山/松田/佐伯
10月26日(土)
右内頚動脈狭窄症
経皮的頸動脈ステント留置術
芝野/古部
10月28日(月)
脳動脈瘤(Acom)
脳血管内手術
芝野/木本
脳動静脈奇形
血管塞栓術
芝野/野本/木本
10月29日(火)
脳動脈瘤(Rt.IC-OP)
フローダイバーター留置術
芝野/木本
脳動静脈奇形
血管塞栓術
矢田/木本

ガンマナイフ症例

手術日
主病名
担当医
10月25日(金)
転移性脳腫瘍
山里
10月28日(月)
転移性脳腫瘍
岩井
転移性脳腫瘍
岩井
10月29日(火)
転移性脳腫瘍
岩井
転移性脳腫瘍
岩井
10月30日(水)
髄膜腫
北野

緊急手術【直近の過去1週間 2024年10月18日(金)~2024年10月24日(木)】

手術日
術式
主病名
術名
手術医
(助手)
10月20日(日)
血管内
くも膜下出血
(内頚動脈後交通動脈分岐部動脈瘤破裂)
脳血管内手術
須山/松田/矢田
血管内
脳梗塞
(脳底動脈閉塞)
経皮的脳血栓回収術
長尾/古谷

予定手術【2024年10月18日(金)~2024年10月24日(木)】

※ 画像をクリックすると拡大表示します。

※ 表は横スクロールすることができます。

開頭症例

手術日
主病名
術名
手術医
(助手)
画像
10月18日(金)
頭蓋咽頭腫
拡大ハーディ
北野
左前頭葉脳動静脈奇形
摘出術
松田/佐伯
10月21日(月)
右側頭葉神経膠腫
摘出術
岩井/古部
脳動脈瘤(Lt.IC-PC)
クリッピング術
南田/野本
10月22日(火)
腰部脊柱管狭窄症
後方除圧
乾/古谷
頚椎後縦靭帯骨化症
人工椎体置換術
乾/古谷
右内頚動脈狭窄症
内頚動脈内膜剥離術
芝野
10月23日(水)
下垂体腺腫
摘出術
北野
10月24日(木)
頚椎黄色靱帯骨化症
拡大椎弓形成術
乾/古谷

脳血管内手術症例

手術日
主病名
術名
手術医
(助手)
画像
10月23日(水)
脳動脈瘤(Lt.MC)
脳血管内手術
須山/松田/佐伯

ガンマナイフ症例

手術日
主病名
担当医
10月21日(月)
髄膜腫
岩井
10月22日(火)
右内頚動脈硬膜動静脈瘻
岩井

緊急手術【直近の過去1週間 2024年10月11日(金)~2024年10月17日(木)】

手術日
術式
主病名
術名
手術医
(助手)
10月12日(土)
開頭
左慢性硬膜下血腫
血腫穿孔洗浄術
野本
血管内
くも膜下出血
(前交通動脈瘤破裂)
脳血管内手術
須山/芝野/佐伯
10月14日(月)
血管内
塞栓性脳梗塞・急性期
経皮的脳血栓回収術
松田/古谷
10月16日(水)
開頭
慢性硬膜下血腫
血腫穿孔洗浄術
松田

予定手術【2024年10月11日(金)~2024年10月17日(木)】

※ 画像をクリックすると拡大表示します。

※ 表は横スクロールすることができます。

開頭症例

手術日
主病名
術名
手術医
(助手)
画像
10月11日(金)
水頭症
V-P Shunt
南田/野本
10月15日(火)
頚椎症性神経根症
前方固定術
乾/古谷
10月16日(水)
下垂体腺腫
摘出術
北野
脳動脈瘤(Rt.MC)
クリッピング術
南田/野本
10月17日(木)
右側頭葉腫瘤
摘出術
長尾

脳血管内手術症例

手術日
主病名
術名
手術医
(助手)
画像
10月15日(火)
脳動脈瘤(Lt.IC-PC)
脳血管内手術
芝野/野本/矢田/木本
左前頭葉脳動静脈奇形
血管塞栓術
松田/佐伯/木本

ガンマナイフ症例

手術日
主病名
担当医
10月11日(金)
転移性脳腫瘍
岩井
三叉神経痛
岩井
10月12日(土)
聴神経腫瘍
岩井
10月15日(火)
髄膜腫
岩井
転移性脳腫瘍
岩井
10月16日(水)
脳幹部髄膜腫
北野

緊急手術【直近の過去1週間 2024年10月4日(金)~2024年10月10日(木)】

手術日
術式
主病名
術名
手術医
(助手)
10月4日(金)
開頭
左視床出血
穿頭脳室ドレナージ
矢田/佐伯
10月5日(土)
血管内
くも膜下出血
(脳底動脈瘤破裂)
脳血管内手術
松田/矢田
10月6日(日)
開頭
くも膜下出血
(脳底動脈瘤破裂)
穿頭脳室ドレナージ
松田/矢田
10月7日(月)
開頭
右急性硬膜下血腫
血腫除去術
長尾/古谷

予定手術【2024年10月4日(金)~2024年10月10日(木)】

※ 画像をクリックすると拡大表示します。

※ 表は横スクロールすることができます。

開頭症例

手術日
主病名
術名
手術医
(助手)
画像
10月4日(金)
脳動脈瘤(Rt.MC)
クリッピング術
松田/佐伯
10月7日(月)
右聴神経腫瘍
摘出術
北野
左聴神経鞘腫
摘出術
岩井/古部
脳動脈瘤(Lt.MC)
クリッピング術
芝野/野本
10月8日(火)
腰椎椎間板性椎間孔狭窄症
後方除圧
乾/殿元
腰部脊柱管狭窄症
後方除圧
乾/殿元
脳動脈瘤(Rt.MC)
クリッピング術
南田/野本
10月9日(水)
脳動脈瘤(Rt.MC)
クリッピング術
乾/殿元
左聴神経鞘腫
摘出術
南田/野本
もやもや病
血行再建術
松田/矢田

ガンマナイフ症例

手術日
主病名
担当医
10月4日(金)
転移性脳腫瘍
北野
10月8日(火)
転移性脳腫瘍
岩井
転移性脳腫瘍
岩井
小細胞肺癌
岩井
硬膜動静脈瘻
岩井

緊急手術【直近の過去1週間 2024年9月27日(金)~2024年10月3日(木)】

手術日
術式
主病名
術名
手術医
(助手)
9月28日(土)
開頭
慢性硬膜下血腫
血腫穿孔洗浄術
野本
9月29日(日)
開頭
急性硬膜下血腫
血腫除去術
古部/矢田
開頭
急性硬膜下血腫
血腫除去術
松田/矢田
10月2日(水)
開頭
外傷性慢性硬膜下血腫
血腫穿孔洗浄術
矢田
開頭
被殻出血
血腫除去術
松田/野本

予定手術【2024年9月27日(金)~2024年10月3日(木)】

※ 画像をクリックすると拡大表示します。

※ 表は横スクロールすることができます。

開頭症例

手術日
主病名
術名
手術医
(助手)
画像
9月27日(金)
脳動脈瘤(Lt.MC)
クリッピング術
松田/佐伯
脳動脈瘤(Acom)
クリッピング術
古部/野本
9月28日(土)
聴神経腫瘍
摘出術
岩井/古部
9月30日(月)
左顔面痙攣
微小血管減圧術
岩井/古部
蝶形骨髄膜腫
摘出術
長尾
10月1日(火)
脳動脈瘤(Rt.MC)
クリッピング術
南田/野本
10月2日(水)
左手根管症候群
左手根管開放術
乾/殿元
頚椎症性脊髄症
拡大椎弓形成術
乾/殿元
腰椎椎間板ヘルニア
後方除圧
乾/殿元
10月3日(木)
頚椎後縦靭帯骨化症
前方固定術
乾/殿元

脳血管内手術症例

手術日
主病名
術名
手術医
(助手)
画像
9月27日(金)
脳動静脈奇形
血管塞栓術
須山/松田/佐伯
9月30日(月)
脳動脈瘤(Rt.IC-PC)
フローダイバーター留置術
芝野/野本/矢田/木本
脳動脈瘤(Acom)
脳血管内手術
芝野/野本/矢田/木本
10月1日(火)
脳動脈瘤(Lt.IC-OP)
フローダイバーター留置術
芝野/野本/木本
脳動静脈奇形
血管塞栓術
松田/佐伯/木本
10月2日(水)
脳動静脈奇形
血管塞栓術
松田/佐伯

ガンマナイフ症例

手術日
主病名
担当医
9月30日(月)
右三叉神経痛
岩井
10月1日(火)
転移性脳腫瘍
岩井
聴神経腫瘍
岩井
左側頭葉脳動静脈奇形
岩井
右小脳橋角部髄膜腫
岩井
10月3日(木)
第4脳室上衣腫
北野
聴神経腫瘍
北野
転移性脳腫瘍
北野

緊急手術【直近の過去1週間 2024年9月20日(金)~2024年9月26日(木)】

手術日
術式
主病名
術名
手術医
(助手)
9月22日(日)
開頭
脳室内出血
穿頭脳室ドレナージ
芝野/佐伯
開頭
外傷性慢性硬膜下血腫
血腫穿孔洗浄術
矢田
開頭
くも膜下出血
(中大脳動脈瘤破裂)
クリッピング術
芝野/矢田
9月26日(木)
開頭
被殻出血
血腫除去術
芝野

予定手術【2024年9月20日(金)~2024年9月26日(木)】

※ 画像をクリックすると拡大表示します。

※ 表は横スクロールすることができます。

開頭症例

手術日
主病名
術名
手術医
(助手)
画像
9月20日(金)
短時間持続性片側神経痛様頭痛発作
微小血管減圧術
岩井/古部
脳動脈瘤(Acom)
クリッピング術
松田/佐伯
9月24日(火)
腰部脊柱管狭窄症
後方除圧
乾/殿元
腰部脊柱管狭窄症
後方除圧
乾/殿元
左蝶形骨髄膜腫
摘出術
南田/長尾
9月25日(水)
軸椎歯突起後方偽腫瘍
後方固定術
乾/殿元
小脳橋角部髄膜腫
摘出術
南田/長尾/野本
脳腫瘍
摘出術
古部/矢田
9月26日(木)
脳動脈瘤(Lt.IC・Lt.IC-PC)
クリッピング術
乾/殿元

脳血管内手術症例

手術日
主病名
術名
手術医
(助手)
画像
9月20日(金)
右内頚動脈狭窄症
経皮的頸動脈ステント留置術
須山/松田/佐伯
9月25日(水)
脳動脈瘤(Rt.VA-PICA)
脳血管内手術
須山/松田/佐伯

ガンマナイフ症例

手術日
主病名
担当医
9月20日(金)
転移性脳腫瘍
岩井
9月24日(火)
左眼窩内神経鞘腫
岩井
転移性脳腫瘍
岩井
左三叉神経痛第2・3枝領域
岩井
硬膜動静脈瘻
岩井
9月25日(水)
転移性脳腫瘍
岩井
9月26日(木)
転移性脳腫瘍
北野

緊急手術【直近の過去1週間 2024年9月13日(金)~2024年9月19日(木)】

手術日
術式
主病名
術名
手術医
(助手)
9月14日(土)
開頭
くも膜下出血
(左中大脳動脈瘤破裂)
クリッピング術
松田/矢田

予定手術【2024年9月13日(金)~2024年9月19日(木)】

※ 画像をクリックすると拡大表示します。

※ 表は横スクロールすることができます。

開頭症例

手術日
主病名
術名
手術医
(助手)
画像
9月13日(金)
脳動静脈奇形
摘出術
南田/松田/佐伯
右前頭葉腫瘍
生検
古部/殿元
9月17日(火)
頭頂葉悪性血管周皮腫
オマイヤー留置
岩井/矢田
脳腫瘍摘出術後遺症
摘出術
南田/長尾/野本
脳動脈瘤(Lt.IC)
クリッピング術
松田/佐伯
9月18日(水)
左前頭葉膠芽腫
摘出術
北野
脳動脈瘤(Lt.MC)
クリッピング術
南田/野本
腰部脊柱管狭窄症
後方除圧
乾/殿元
腰部脊柱管狭窄症
後方除圧
乾/殿元
9月19日(木)
右三叉神経痛
微小血管減圧術
岩井/古部
腰部脊柱管狭窄症
後方除圧
乾/殿元

脳血管内手術症例

手術日
主病名
術名
手術医
(助手)
画像
9月17日(火)
脳動脈瘤(Acom)
血管塞栓術
芝野/野本/木本
硬膜動静脈瘻
血管塞栓術
芝野/野本/矢田/木本
9月18日(水)
脳動脈瘤(Rt.IC-PC)
血管塞栓術
須山/松田/佐伯

ガンマナイフ症例

手術日
主病名
担当医
9月13日(金)
転移性脳腫瘍
岩井
9月17日(火)
右側頭葉髄膜腫
岩井
髄膜腫
岩井

緊急手術【直近の過去1週間 2024年9月6日(金)~2024年9月12日(木)】

手術日
術式
主病名
術名
手術医
(助手)
9月6日(金)
開頭
被殻出血
血腫除去術
古部
開頭
外傷性慢性硬膜下血腫
血腫穿孔洗浄術
殿元
9月9日(月)
血管内
塞栓性脳梗塞
経皮的脳血栓回収術
芝野/長尾/殿元
9月10日(火)
開頭
慢性硬膜下血腫
血腫穿孔洗浄術
長尾
開頭
被殻出血
血腫除去術
松田/矢田
9月12日(木)
開頭
外傷性慢性硬膜下血腫
血腫穿孔洗浄術
矢田

予定手術【2024年9月6日(金)~2024年9月12日(木)】

※ 画像をクリックすると拡大表示します。

※ 表は横スクロールすることができます。

開頭症例

手術日
主病名
術名
手術医
(助手)
画像
9月6日(金)
左前頭葉脳動静脈奇形
摘出術
南田/佐伯
9月9日(月)
小脳血管芽腫
摘出術
北野
左海綿静脈洞部腫瘍
摘出術
南田/野本
9月10日(火)
腰椎椎間板ヘルニア
Love法
乾/殿元
腰部脊柱管狭窄症
後方除圧
乾/殿元
脳動脈瘤(Rt.MC・Rt.IC・Rt.IC-PC)
クリッピング術
松田/佐伯
9月11日(水)
下垂体腺腫
摘出術
北野
術後脳脊髄液漏
髄液瘻修復術
乾/殿元
左脳腫瘍
摘出術
南田/長尾/佐伯
9月12日(木)
腰部脊柱管狭窄症
後方除圧
乾/殿元

脳血管内手術症例

手術日
主病名
術名
手術医
(助手)
画像
9月10日(火)
左頚部内頚動脈狭窄症
経皮的頸動脈ステント留置術
矢田/木本
9月11日(水)
脳動静脈奇形
血管塞栓術
須山/松田/佐伯

ガンマナイフ症例

手術日
主病名
担当医
9月9日(月)
蝶形骨稜髄膜腫
岩井
転移性脳腫瘍
岩井
転移性脳腫瘍
岩井
硬膜動静脈瘻
岩井
9月10日(火)
傍矢状洞髄膜腫
岩井
転移性脳腫瘍
岩井
9月12日(木)
髄膜腫
北野

緊急手術【直近の過去1週間 2024年8月30日(金)~2024年9月5日(木)】

手術日
術式
主病名
術名
手術医
(助手)
9月3日(火)
開頭
脳室内出血
穿頭脳室ドレナージ
芝野/矢田
9月4日(水)
開頭
両外傷性慢性硬膜下血腫
血腫穿孔洗浄術
野本
開頭
右脳皮質下出血
血腫除去術
佐伯/矢田
9月5日(木)
開頭
くも膜下出血
(椎骨動脈瘤破裂)
穿頭脳室ドレナージ
古部/佐伯

予定手術【2024年8月30日(金)~2024年9月5日(木)】

※ 画像をクリックすると拡大表示します。

※ 表は横スクロールすることができます。

開頭症例

手術日
主病名
術名
手術医
(助手)
画像
8月30日(金)
右側頭葉脳腫瘍
摘出術
北野
左頚部内頚動脈狭窄症
内頚動脈内膜剝離術
芝野/佐伯
水頭症
シャント入れ替え
野本
9月2日(月)
脳腫瘍
摘出術
北野
9月3日(火)
頚部脊柱管狭窄症
拡大椎弓形成術
乾/殿元
腰部脊柱管狭窄症
後方除圧
乾/殿元

脳血管内手術症例

手術日
主病名
術名
手術医
(助手)
画像
9月2日(月)
脳動脈瘤(Lt.MC)
血管塞栓術
芝野/野本/木本
9月3日(火)
脳動脈瘤(Rt.IC)
血管塞栓術
芝野/野本/木本
9月4日(水)
左前頭葉脳動静脈奇形
血管塞栓術
須山/松田/佐伯

ガンマナイフ症例

手術日
主病名
担当医
9月2日(月)
三叉神経痛
岩井
9月3日(火)
転移性脳腫瘍
岩井
聴神経腫瘍
岩井
転移性脳腫瘍
岩井
9月5日(木)
聴神経腫瘍
北野

緊急手術【直近の過去1週間 2024年8月23日(金)~2024年8月29日(木)】

手術日
術式
主病名
術名
手術医
(助手)
8月25日(日)
開頭
くも膜下出血
(中大脳動脈瘤破裂)
穿頭脳室ドレナージ
クリッピング術
芝野/古部
8月28日(水)
開頭
被殻出血
血腫除去術
古部/野本
開頭
慢性硬膜下血腫
血腫穿孔洗浄術
野本

予定手術【2024年8月23日(金)~2024年8月29日(木)】

※ 画像をクリックすると拡大表示します。

※ 表は横スクロールすることができます。

開頭症例

手術日
主病名
術名
手術医
(助手)
画像
8月23日(金)
先端巨大症
摘出術
北野
脳動脈瘤(Rt.MC)
クリッピング術
松田/佐伯
8月26日(月)
右円蓋部髄膜腫
摘出術
北野
左顔面痙攣
微小血管減圧術
岩井/古部
8月27日(火)
腰部脊柱管狭窄症
後方除圧
乾/殿元
8月28日(水)
脳動脈瘤(Rt.MC)
クリッピング術
松田/佐伯
大脳鎌髄膜腫
摘出術
南田/長尾
8月29日(木)
左三叉神経痛
微小血管減圧術
岩井/古部
脳動脈瘤(Rt.MC)
クリッピング術
芝野/野本

脳血管内手術症例

手術日
主病名
術名
手術医
(助手)
画像
8月23日(金)
脳動脈瘤(Acom)
血管塞栓術
須山/松田/佐伯
8月26日(月)
脳動脈瘤(Rt.AC)
血管塞栓術
矢田/木本
8月27日(火)
右頚部内頚動脈狭窄症
経皮的頸動脈ステント留置術
芝野/野本/木本
左前頭葉脳動静脈奇形
血管塞栓術
松田/佐伯/木本
8月28日(水)
脳動脈瘤(Lt.IC)
血管塞栓術
須山/松田/佐伯

ガンマナイフ症例

手術日
主病名
担当医
8月27日(火)
硬膜動静脈瘻
岩井

緊急手術【直近の過去1週間 2024年8月16日(金)~2024年8月22日(木)】

手術日
術式
主病名
術名
手術医
(助手)
8月16日(金)
血管内
心原性脳塞栓症
経皮的脳血栓回収術
芝野/野本
8月17日(土)
開頭
急性硬膜外血腫
血腫除去術
乾/佐伯
8月18日(日)
開頭
急性硬膜下血腫
血腫除去術
松田/矢田
8月21日(水)
開頭
小脳出血
穿頭脳室ドレナージ
血腫除去術
古部
開頭
右外傷性慢性硬膜下血腫
血腫穿孔洗浄術
矢田

予定手術【2024年8月16日(金)~2024年8月22日(木)】

※ 画像をクリックすると拡大表示します。

※ 表は横スクロールすることができます。

開頭症例

手術日
主病名
術名
手術医
(助手)
画像
8月20日(火)
脳動脈瘤(Lt.MC)
クリッピング術
松田/佐伯
8月21日(水)
右手根管症候群
右手根管開放術
乾/殿元
三叉神経痛
微小血管減圧術
南田/長尾
8月22日(木)
右三叉神経痛
微小血管減圧術
岩井/古部

脳血管内手術症例

手術日
主病名
術名
手術医
(助手)
画像
8月17日(土)
右頚部内頚動脈狭窄症
経皮的頸動脈ステント留置術
松田/矢田
8月19日(月)
左鎖骨下動脈狭窄症
経皮的脳血管形成術
芝野/野本/木本
8月20日(火)
脳動脈瘤(Rt.IC)
フローダイバーター留置術
芝野/野本/木本
8月21日(水)
脳動静脈奇形
血管塞栓術
須山/松田/佐伯

ガンマナイフ症例

手術日
主病名
担当医
8月16日(金)
転移性脳腫瘍
北野
8月20日(火)
転移性脳腫瘍
岩井
転移性脳腫瘍
岩井
転移性脳腫瘍
岩井
8月21日(水)
転移性脳腫瘍
北野
脳腫瘍
北野

緊急手術【直近の過去1週間 2024年8月9日(金)~2024年8月15日(木)】

手術日
術式
主病名
術名
手術医
(助手)
8月10日(土)
開頭
外傷性慢性硬膜下血腫
血腫穿孔洗浄術
殿元
8月11日(日)
血管内
心原性脳塞栓症
経皮的脳血栓回収術
松田/野本
8月13日(火)
開頭
硬膜外血腫
血腫除去術
北野/古部/矢田
開頭
左蝶形骨髄膜腫
摘出術
北野/古部/矢田
開頭
外傷性慢性硬膜下血腫
血腫穿孔洗浄術
矢田
8月14日(水)
開頭
慢性硬膜下血腫
血腫穿孔洗浄術
野本

予定手術【2024年8月9日(金)~2024年8月15日(木)】

※ 画像をクリックすると拡大表示します。

※ 表は横スクロールすることができます。

開頭症例

手術日
主病名
術名
手術医
(助手)
画像
8月13日(火)
腰部脊柱管狭窄症
後方除圧
乾/殿元
8月14日(水)
大脳鎌髄膜腫
摘出術
北野
頚椎後縦靭帯骨化症
拡大椎弓形成術
乾/殿元
神経膠腫
摘出術
南田/古部
8月15日(木)
三叉神経痛
微小血管減圧術
岩井/古部
右頚部内頚動脈狭窄症
内頚動脈内膜剥離術
芝野/野本

ガンマナイフ症例

手術日
主病名
担当医
8月9日(金)
聴神経腫瘍
岩井
8月10日(土)
転移性脳腫瘍
岩井
8月13日(火)
転移性脳腫瘍
岩井
第4脳室上衣腫
岩井
脳動静脈奇形
岩井
三叉神経痛
岩井
転移性脳腫瘍
岩井
8月15日(木)
転移性脳腫瘍
北野

緊急手術【直近の過去1週間 2024年8月2日(金)~2024年8月8日(木)】

手術日
術式
主病名
術名
手術医
(助手)
8月6日(火)
開頭
右外傷性くも膜下出血
右脳挫傷
血腫除去術
古部/佐伯
8月7日(水)
開頭
慢性硬膜下血腫
血腫穿孔洗浄術
長尾

予定手術【2024年8月2日(金)~2024年8月8日(木)】

※ 画像をクリックすると拡大表示します。

※ 表は横スクロールすることができます。

開頭症例

手術日
主病名
術名
手術医
(助手)
画像
8月2日(金)
左内頚動脈狭窄症
内頚動脈内膜剥離術
松田/佐伯
髄膜腫
摘出術
南田/野本
頭蓋咽頭腫
摘出術
北野
8月5日(月)
下垂体腺腫
摘出術
北野
8月6日(火)
大脳鎌髄膜腫
摘出術
南田/長尾/野本
8月7日(水)
左円蓋部髄膜腫
頭蓋形成術
長尾
脊髄症
前方固定術
乾/殿元
腰部脊柱管狭窄症
後方除圧
乾/殿元
8月8日(木)
頚部脊柱管狭窄症
拡大推弓形成術
乾/殿元

脳血管内手術症例

手術日
主病名
術名
手術医
(助手)
画像
8月2日(金)
脳動脈瘤(Lt.IC-PC)
フローダイバーター留置術
須山/松田/佐伯
8月5日(月)
硬膜動静脈瘻
血管塞栓術
芝野/野本
8月6日(火)
脳動脈瘤(Lt.MC)
脳血管内手術
木本/芝野/佐伯
脳動脈瘤(Lt.IC)
フローダイバーター留置術
須山/松田/佐伯

ガンマナイフ症例

手術日
主病名
担当医
8月2日(金)
転移性脳腫瘍
岩井
転移性脳腫瘍
岩井
転移性脳腫瘍
岩井
8月3日(土)
転移性脳腫瘍
岩井
8月8日(木)
転移性脳腫瘍
北野

緊急手術【直近の過去1週間 2024年7月26日(金)~2024年8月1日(木)】

手術日
術式
主病名
術名
手術医
(助手)
7月28日(日)
開頭
両側外傷性慢性硬膜下血腫
血腫穿孔洗浄術
乾/佐伯
7月30日(火)
開頭
急性硬膜下血腫
血腫除去術
芝野
8月1日(木)
開頭
両側慢性硬膜下血腫
血腫穿孔洗浄術
松田/佐伯
開頭
外傷性慢性硬膜下血腫
血腫穿孔洗浄術
殿元

予定手術【2024年7月26日(金)~2024年8月1日(木)】

※ 画像をクリックすると拡大表示します。

※ 表は横スクロールすることができます。

開頭症例

手術日
主病名
術名
手術医
(助手)
画像
7月26日(金)
左前頭葉腫瘍
摘出術
北野
7月29日(月)
左蝶形骨縁悪性髄膜腫
摘出術
北野
脳動脈瘤(Rt.MC)
クリッピング術
芝野/野本
7月30日(火)
大脳鎌髄膜腫
摘出術
南田/野本
脳動脈瘤(Rt.MC)
クリッピング術
松田/佐伯
7月31日(水)
腰部脊柱管狭窄症
後方除圧
乾/殿元
頚椎症性脊髄症
拡大椎弓形成術
乾/殿元
左聴神経腫瘍
摘出術
南田/野本
もやもや病
血行再建術
松田/佐伯
8月1日(木)
右頭頂葉髄膜腫
摘出術
長尾

脳血管内手術症例

手術日
主病名
術名
手術医
(助手)
画像
7月26日(金)
脳動脈瘤(Rt.AC)
血管塞栓術
須山/芝野/野本
左頚部内頚動脈狭窄症
経皮的頸動脈ステント留置術
松田/佐伯
7月30日(火)
右頚部内頚動脈狭窄症
経皮的頸動脈ステント留置術
松田/佐伯/木本

ガンマナイフ症例

手術日
主病名
担当医
7月26日(金)
転移性脳腫瘍
岩井
転移性脳腫瘍
岩井
7月29日(月)
右眼窩内神経鞘腫
岩井
血管周皮腫
岩井
三叉神経痛
岩井
7月30日(火)
転移性脳腫瘍
岩井

緊急手術【直近の過去1週間 2024年7月19日(金)~2024年7月25日(木)】

手術日
術式
主病名
術名
手術医
(助手)
7月22日(月)
血管内
塞栓性脳梗塞
経皮的脳血栓回収術
松田/佐伯
7月23日(火)
開頭
脳皮質下出血
血腫除去術
長尾/殿元

予定手術【2024年7月19日(金)~2024年7月25日(木)】

※ 画像をクリックすると拡大表示します。

※ 表は横スクロールすることができます。

開頭症例

手術日
主病名
術名
手術医
(助手)
画像
7月23日(火)
髄膜腫
摘出術
南田/野本
7月24日(水)
海綿静脈洞部腫瘍
摘出術
北野
腰部脊柱管狭窄症
後方除圧
乾/殿元

脳血管内手術症例

手術日
主病名
術名
手術医
(助手)
画像
7月23日(火)
脳動脈瘤(Lt.IC・Rt.IC)
フローダイバーター留置術
松田/佐伯/木本
脳動脈瘤(Lt.IC)
フローダイバーター留置術
松田/佐伯/木本
7月24日(水)
脳動脈瘤(Acom)
血管塞栓術
須山/松田/佐伯
脳動静脈奇形
血管塞栓術
矢田

ガンマナイフ症例

手術日
主病名
担当医
7月22日(月)
転移性脳腫瘍
岩井
髄膜腫
岩井
転移性脳腫瘍
岩井
転移性脳腫瘍
岩井
7月23日(火)
転移性脳腫瘍
岩井
髄膜腫
岩井

緊急手術【直近の過去1週間 2024年7月12日(金)~2024年7月18日(木)】

手術日
術式
主病名
術名
手術医
(助手)
7月15日(月)
血管内
心原性脳塞栓症
経皮的脳血栓回収術
須山/長尾/矢田
7月17日(水)
開頭
くも膜下出血
(内頚動脈後交通動脈分岐部動脈瘤破裂)
クリッピング術
松田/矢田

予定手術【2024年7月12日(金)~2024年7月18日(木)】

※ 画像をクリックすると拡大表示します。

※ 表は横スクロールすることができます。

開頭症例

手術日
主病名
術名
手術医
(助手)
画像
7月12日(金)
傍矢状洞髄膜腫
摘出術
北野
水頭症
V-P Shunt
松田/佐伯
7月16日(火)
腰部脊柱管狭窄症
後方除圧
乾/殿元
7月17日(水)
下垂体腺腫
摘出術
北野
腰部脊柱管狭窄症
拡大椎弓形成術
乾/殿元
小脳血管芽腫
摘出術
南田/野本
7月18日(木)
腰部脊柱管狭窄症
後方除圧
乾/殿元
頭蓋骨悪性腫瘍
摘出術
吉岡/古部

脳血管内手術症例

手術日
主病名
術名
手術医
(助手)
画像
7月12日(金)
脳動静脈奇形
血管塞栓術
須山/松田/佐伯
7月18日(木)
頭蓋骨悪性腫瘍
血管塞栓術
芝野/古部

ガンマナイフ症例

手術日
主病名
担当医
7月16日(火)
左三叉神経痛
岩井
転移性脳腫瘍
岩井
転移性脳腫瘍
岩井
転移性脳腫瘍
岩井
転移性脳腫瘍
岩井
7月17日(水)
下垂体腺腫
北野
海綿静脈洞部髄膜腫
北野

緊急手術【直近の過去1週間 2024年7月5日(金)~2024年7月11日(木)】

手術日
術式
主病名
術名
手術医
(助手)
7月6日(土)
開頭
慢性硬膜下血腫
血腫穿孔洗浄術
野本
7月8日(月)
開頭
外傷性慢性硬膜下血腫
血腫穿孔洗浄術
殿元
7月11日(木)
血管内
くも膜下出血
(前交通動脈瘤破裂)
脳血管内手術
須山/芝野/佐伯

予定手術【2024年7月5日(金)~2024年7月11日(木)】

※ 画像をクリックすると拡大表示します。

※ 表は横スクロールすることができます。

開頭症例

手術日
主病名
術名
手術医
(助手)
画像
7月5日(金)
下垂体腺腫
摘出術
北野
短時間持続性片側神経痛様頭痛発作 (左三叉神経痛)
微小血管減圧術
岩井/古部
海綿状血管腫
摘出術
松田/佐伯
内頚動脈狭窄症
内頚動脈内膜剥離術
矢田
7月8日(月)
小脳腫瘍
定位脳手術
岩井/古部
7月9日(火)
皮下腫瘍
摘出術
南田/野本
三叉神経痛
微小血管減圧術
長尾
7月10日(水)
脳動静脈奇形
摘出術
富永/南田/野本
腰部椎間板ヘルニア
Love法
乾/殿元
脊髄腫瘍
摘出術
乾/殿元
7月11日(木)
頚椎椎間板ヘルニア
前方固定術
乾/殿元

脳血管内手術症例

手術日
主病名
術名
手術医
(助手)
画像
7月8日(月)
脳動脈瘤(Rt.VA)
血管塞栓術
芝野/野本/木本
脳動脈瘤(Lt.IC-OP)
フローダイバーター留置術
松田/佐伯/木本
7月9日(火)
左前頭葉脳動静脈奇形
血管塞栓術
松田/佐伯/木本
7月10日(水)
脳動脈瘤(BA)
血管塞栓術
須山/松田/佐伯

ガンマナイフ症例

手術日
主病名
担当医
7月6日(土)
転移性脳腫瘍
岩井
7月8日(月)
傍矢状洞髄膜腫
岩井
転移性脳腫瘍
岩井
7月9日(火)
転移性脳腫瘍
岩井
転移性脳腫瘍
岩井
転移性脳腫瘍
岩井

緊急手術【直近の過去1週間 2024年6月28日(金)~2024年7月4日(木)】

手術日
術式
主病名
術名
手術医
(助手)
6月29日(土)
開頭
脳挫傷
血腫除去術
松田/矢田
6月30日(日)
開頭
慢性硬膜下血腫
血腫穿孔洗浄術
7月2日(火)
血管内
脳梗塞
(右内頚動脈閉塞)
経皮的脳血栓回収術
松田/矢田
7月4日(木)
開頭
視床出血
穿頭脳室ドレナージ
野本

予定手術【2024年6月28日(金)~2024年7月4日(木)】

※ 画像をクリックすると拡大表示します。

※ 表は横スクロールすることができます。

開頭症例

手術日
主病名
術名
手術医
(助手)
画像
6月28日(金)
左前頭葉腫瘍
摘出術
南田/野本
6月29日(土)
左内頚動脈狭窄症
内頚動脈内膜剥離術
南田/野本
7月1日(月)
右後頭蓋窩髄膜腫
摘出術
古部/矢田
7月2日(火)
腰部脊柱管狭窄症
後方除圧
乾/殿元
腰部脊柱管狭窄症
後方除圧
乾/殿元
7月3日(水)
左聴神経腫瘍
摘出術
北野
馬尾神経腫瘍
摘出術
乾/殿元
脳動脈瘤(Rt.MC)
クリッピング術
松田/佐伯
7月4日(木)
頚椎後縦靭帯骨化症
拡大椎弓形成術
乾/殿元
右側頭頭頂部腫瘤
摘出術
長尾

脳血管内手術症例

手術日
主病名
術名
手術医
(助手)
画像
7月3日(水)
右内頚動脈狭窄症
経皮的頸動脈ステント留置術
須山/松田/佐伯

ガンマナイフ症例

手術日
主病名
担当医
6月28日(金)
転移性脳腫瘍
北野
7月1日(月)
転移性脳腫瘍
岩井
右円蓋部髄膜腫
岩井
右円蓋部悪性髄膜腫
岩井
転移性脳腫瘍
岩井
右側聴神経腫瘍
岩井
7月2日(火)
錐体斜台部髄膜腫
岩井
右側顔面神経鞘腫
岩井
右側聴神経腫瘍
岩井

緊急手術【直近の過去1週間 2024年6月21日(金)~2024年6月27日(木)】

手術日
術式
主病名
術名
手術医
(助手)
6月23日(日)
血管内
くも膜下出血
(椎骨動脈瘤破裂)
脳血管内手術
須山/松田/殿元
血管内
塞栓性脳梗塞
経皮的脳血栓回収術
松田/殿元
6月26日(水)
開頭
硬膜下血腫
血腫穿孔洗浄術
野本

予定手術【2024年6月21日(金)~2024年6月27日(木)】

※ 画像をクリックすると拡大表示します。

※ 表は横スクロールすることができます。

開頭症例

手術日
主病名
術名
手術医
(助手)
画像
6月24日(月)
下垂体腺腫
摘出術
北野
左後頭葉腫瘍
摘出術
南田/古部/野本
6月25日(火)
脊髄神経鞘腫
摘出術
乾/殿元
前頭葉星細胞腫
摘出術
南田/野本
6月26日(水)
腰部脊柱管狭窄症
後方除圧
乾/殿元
腰部脊柱管狭窄症
後方除圧
乾/殿元
左前頭葉腫瘍
摘出術
南田/野本
右側頭頭頂部腫瘤
摘出術
長尾
6月27日(木)
腰部脊柱管狭窄症
後方固定術
乾/殿元

脳血管内手術症例

手術日
主病名
術名
手術医
(助手)
画像
6月25日(火)
脳動脈瘤(Lt.IC)
フローダイバーター留置術
松田/佐伯/木本
6月26日(水)
脳動脈瘤(Lt.BA)
血管塞栓術
須山/松田/佐伯

ガンマナイフ症例

手術日
主病名
担当医
6月21日(金)
転移性脳腫瘍
岩井
6月24日(月)
聴神経腫瘍
岩井
転移性脳腫瘍
岩井
髄膜腫
岩井
転移性脳腫瘍
岩井
6月25日(火)
左側頭葉脳動静脈奇形
岩井
6月26日(水)
転移性脳腫瘍
山里

緊急手術【直近の過去1週間 2024年6月14日(金)~2024年6月20日(木)】

手術日
術式
主病名
術名
手術医
(助手)
6月17日(月)
開頭
外傷性慢性硬膜下血腫
血腫穿孔洗浄術
殿元
6月18日(火)
開頭
左慢性硬膜下血腫
血腫穿孔洗浄術
殿元/佐伯
6月19日(水)
開頭
外傷性慢性硬膜下血腫
血腫穿孔洗浄術
矢田
開頭
特発性脳内出血
血腫除去術
南田/佐伯

予定手術【2024年6月14日(金)~2024年6月20日(木)】

※ 画像をクリックすると拡大表示します。

※ 表は横スクロールすることができます。

開頭症例

手術日
主病名
術名
手術医
(助手)
画像
6月17日(月)
顔面痙攣症
微小血管減圧術
岩井/古部
6月18日(火)
脳動静脈奇形
摘出術
富永/南田/長尾/野本
6月19日(水)
腰部脊柱管狭窄症
後方除圧
乾/殿元
右側頭葉良性びまん性星細胞腫
摘出術
南田/古部
脳動脈瘤(Lt.IC-PC)
クリッピング術
松田/佐伯
6月20日(木)
腰部脊柱管狭窄症
後方除圧
乾/殿元

脳血管内手術症例

手術日
主病名
術名
手術医
(助手)
画像
6月17日(月)
脳動静脈奇形
血管塞栓術
須山/松田/佐伯

ガンマナイフ症例

手術日
主病名
担当医
6月17日(月)
硬膜動静脈瘻
岩井
転移性脳腫瘍
岩井
6月18日(火)
転移性脳腫瘍
岩井
頭蓋咽頭腫
岩井
転移性脳腫瘍
岩井
6月20日(木)
転移性脳腫瘍
北野
聴神経腫瘍
北野

緊急手術【直近の過去1週間 2024年6月7日(金)~2024年6月13日(木)】

手術日
術式
主病名
術名
手術医
(助手)
6月7日(金)
開頭
外傷性慢性硬膜下血腫
血腫穿孔洗浄術
殿元
6月10日(月)
開頭
外傷性慢性硬膜下血腫
血腫穿孔洗浄術
殿元
6月12日(水)
開頭
被殻出血
血腫除去術
古部
6月13日(木)
血管内
脳梗塞
(中大脳動脈塞栓症)
経皮的脳血栓回収術
芝野/矢田

予定手術【2024年6月7日(金)~2024年6月13日(木)】

※ 画像をクリックすると拡大表示します。

※ 表は横スクロールすることができます。

開頭症例

手術日
主病名
術名
手術医
(助手)
画像
6月7日(金)
下垂体腫瘍
摘出術
北野
右側頭葉腫瘍
摘出術
岩井/古部
脳動脈瘤(Acom)
クリッピング術
松田/殿元
6月10日(月)
三叉神経痛
微小血管減圧術
岩井/古部
三叉神経痛第2枝領域
微小血管減圧術
南田/野本
6月11日(火)
三叉神経痛第1・2枝領域
微小血管減圧術
南田/野本
6月12日(水)
下垂体腫瘍
摘出術
北野
脳腫瘍
摘出術
南田/長尾/佐伯

脳血管内手術症例

手術日
主病名
術名
手術医
(助手)
画像
6月10日(月)
左前頭葉脳動静脈奇形
血管塞栓術
松田/佐伯/木本

ガンマナイフ症例

手術日
主病名
担当医
6月10日(月)
転移性脳腫瘍
岩井
6月11日(火)
転移性脳腫瘍
岩井
転移性脳腫瘍
岩井
転移性脳腫瘍
岩井

緊急手術【直近の過去1週間 2024年5月31日(金)~2024年6月6日(木)】

手術日
術式
主病名
術名
手術医
(助手)
5月31日(金)
血管内
くも膜下出血
脳血管内手術
経皮的頸動脈ステント留置術
須山/松田/野本
開頭
慢性硬膜下血腫
血腫穿孔洗浄術
野本
6月5日(水)
血管内
心原性脳塞栓症
経皮的脳血栓回収術
芝野/古部

予定手術【2024年5月31日(金)~2024年6月6日(木)】

※ 画像をクリックすると拡大表示します。

※ 表は横スクロールすることができます。

開頭症例

手術日
主病名
術名
手術医
(助手)
画像
5月31日(金)
脳動脈瘤(Rt.IC・Rt.MC)
クリッピング術
松田/佐伯
6月3日(月)
顔面痙攣
微小血管減圧術
岩井/古部
髄膜腫
摘出術
長尾
6月4日(火)
脳動静脈奇形
摘出術
富永/南田/松田/佐伯
6月5日(水)
下垂体腺腫
摘出術
北野
右手根管症候群
右手根管開放術
乾/殿元
6月6日(木)
右内頚動脈狭窄症
内頚動脈内膜剝離術
芝野/野本

脳血管内手術症例

手術日
主病名
術名
手術医
(助手)
画像
6月5日(水)
脳動脈瘤(Rt.IC)
血管塞栓術
須山/松田/佐伯

ガンマナイフ症例

手術日
主病名
担当医
5月31日(金)
転移性脳腫瘍
岩井
頭頂葉悪性血管周皮腫
岩井
転移性脳腫瘍
岩井
6月3日(月)
転移性脳腫瘍
岩井
転移性脳腫瘍
岩井
6月4日(火)
転移性脳腫瘍
岩井

緊急手術【直近の過去1週間 2024年5月24日(金)~2024年5月30日(木)】

手術日
術式
主病名
術名
手術医
(助手)
5月25日(土)
開頭
右慢性硬膜下血腫
血腫穿孔洗浄術
芝野/佐伯
5月29日(水)
開頭
慢性硬膜下血腫
血腫穿孔洗浄術
古部

予定手術【2024年5月24日(金)~2024年5月30日(木)】

※ 画像をクリックすると拡大表示します。

※ 表は横スクロールすることができます。

開頭症例

手術日
主病名
術名
手術医
(助手)
画像
5月24日(金)
左内頚動脈狭窄症
内頚動脈内膜剥離術
芝野/野本
5月27日(月)
良性小脳血管芽腫
摘出術
岩井/古部
5月28日(火)
腰部脊柱管狭窄症
後方除圧
乾/殿元
5月29日(水)
腰部脊柱管狭窄症
後方除圧
乾/殿元
左後頭蓋窩腫瘍
摘出術
南田/野本
5月30日(木)
頚椎後縦靭帯骨化症
拡大椎弓形成術
乾/殿元

脳血管内手術症例

手術日
主病名
術名
手術医
(助手)
画像
5月24日(金)
脳動脈瘤(AC)
血管塞栓術
須山/松田/殿元
5月25日(土)
脳動静脈奇形
血管塞栓術
須山/松田/佐伯
5月27日(月)
脳動脈瘤(Lt.IC)
フローダイバーター留置術
松田/佐伯/木本
5月28日(火)
脳動脈瘤(Acom)
血管塞栓術
芝野/木本
脳動静脈奇形
血管塞栓術
松田/矢田/木本

ガンマナイフ症例

手術日
主病名
担当医
5月24日(金)
転移性脳腫瘍
北野
5月28日(火)
転移性脳腫瘍
岩井
転移性脳腫瘍
岩井
転移性脳腫瘍
岩井

緊急手術【直近の過去1週間 2024年5月17日(金)~2024年5月23日(木)】

手術日
術式
主病名
術名
手術医
(助手)
5月20日(月)
血管内
塞栓性脳梗塞
経皮的脳血栓回収術
長尾/殿元
5月21日(火)
開頭
脳皮質下出血
血腫除去術
長尾/殿元
5月22日(水)
開頭
外傷性慢性硬膜下血腫
血腫穿孔洗浄術
殿元

予定手術【2024年5月17日(金)~2024年5月23日(木)】

※ 画像をクリックすると拡大表示します。

※ 表は横スクロールすることができます。

開頭症例

手術日
主病名
術名
手術医
(助手)
画像
5月17日(金)
下垂体腺腫
摘出術
北野
5月20日(月)
脳室内腫瘍
摘出術
南田/古部
5月21日(火)
脳動脈瘤(Rt.MC)
クリッピング術
芝野/野本
5月22日(水)
腰椎椎間板ヘルニア
Love法
乾/殿元
右傍矢状洞髄膜腫
摘出術
南田/野本
5月23日(木)
脳動脈瘤(Rt.MC)
クリッピング術
乾/殿元

脳血管内手術症例

手術日
主病名
術名
手術医
(助手)
画像
5月18日(土)
脳動脈瘤(Rt.MC)
血管塞栓術
須山/松田/佐伯
5月22日(水)
脳動脈瘤(Lt.IC)
血管塞栓術
須山/松田/佐伯

ガンマナイフ症例

手術日
主病名
担当医
5月17日(金)
転移性脳腫瘍
岩井
5月20日(月)
下垂体腺腫
岩井
三叉神経鞘腫
岩井
転移性脳腫瘍
岩井
転移性脳腫瘍
岩井
5月21日(火)
転移性脳腫瘍
岩井
5月22日(水)
転移性脳腫瘍
岩井

緊急手術【直近の過去1週間 2024年5月10日(金)~2024年5月16日(木)】

手術日
術式
主病名
術名
手術医
(助手)
5月11日(土)
開頭
くも膜下出血
(前交通動脈瘤破裂)
クリッピング術
脊髄ドレナージ
芝野/野本
5月13日(月)
血管内
心原性脳塞栓症
経皮的脳血栓回収術
芝野/野本
5月14日(火)
開頭
左急性硬膜下血腫
血腫穿孔洗浄術
野本
5月16日(木)
開頭
両側外傷性慢性硬膜下血腫
血腫穿孔洗浄術
殿元/佐伯

予定手術【2024年5月10日(金)~2024年5月16日(木)】

※ 画像をクリックすると拡大表示します。

※ 表は横スクロールすることができます。

開頭症例

手術日
主病名
術名
手術医
(助手)
画像
5月10日(金)
下垂体腺腫
摘出術
北野
三叉神経痛第3枝領域
微小血管減圧術
南田/野本
左頚部内頚動脈狭窄症
内頚動脈内膜剥離術
松田/矢田
5月13日(月)
中枢神経系原発Malgリンパ腫
生検
岩井/古部
5月14日(火)
右頭頂葉脳動静脈奇形
摘出術
富永/南田/長尾
5月15日(水)
髄膜腫
摘出術
南田/長尾

脳血管内手術症例

手術日
主病名
術名
手術医
(助手)
画像
5月13日(月)
右頭頂葉脳動静脈奇形
血管塞栓術
松田/木本
脳動脈瘤(Rt.IC)
フローダイバーター留置術
芝野/野本/木本
5月14日(火)
脳動静脈奇形
血管塞栓術
松田/木本

ガンマナイフ症例

手術日
主病名
担当医
5月13日(月)
転移性脳腫瘍
岩井
5月14日(火)
転移性脳腫瘍
岩井
ラクナ梗塞
岩井
5月16日(木)
聴神経腫瘍
北野
転移性脳腫瘍
北野

緊急手術【直近の過去1週間 2024年5月3日(金)~2024年5月9日(木)】

手術日
術式
主病名
術名
手術医
(助手)
5月4日(土)
開頭
視床出血
脳室内出血
血腫除去術
古部
5月5日(日)
開頭
外傷性慢性硬膜下血腫
血腫穿孔洗浄術
矢田
開頭
外傷性慢性硬膜下血腫
血腫穿孔洗浄術
矢田
5月7日(火)
開頭
慢性硬膜下血腫
血腫穿孔洗浄術
古部
開頭
外傷性慢性硬膜下血腫
血腫穿孔洗浄術
矢田

予定手術【2024年5月3日(金)~2024年5月9日(木)】

※ 画像をクリックすると拡大表示します。

※ 表は横スクロールすることができます。

開頭症例

手術日
主病名
術名
手術医
(助手)
画像
5月7日(火)
三叉神経痛
微小血管減圧術
岩井/古部
頚椎症性脊髄症
前方固定術
乾/殿元
腰部脊柱管狭窄症
後方除圧
乾/殿元
5月8日(水)
脳動脈瘤(Lt.MC)
クリッピング術
南田/野本
腰椎黄色靱帯骨化症
人工椎体置換
乾/矢田
腰椎椎間板ヘルニア
後方除圧
乾/殿元

脳血管内手術症例

手術日
主病名
術名
手術医
(助手)
画像
5月8日(水)
脳動脈瘤(Lt.IC)
脳血管内手術
須山/松田/野本

ガンマナイフ症例

手術日
主病名
担当医
5月7日(火)
転移性脳腫瘍
岩井
5月8日(水)
下垂体腺腫
北野
転移性脳腫瘍
山里
5月9日(木)
転移性脳腫瘍
北野

緊急手術【直近の過去1週間 2024年4月26日(金)~2024年5月2日(木)】

手術日
術式
主病名
術名
手術医
(助手)
4月26日(金)
開頭
外傷性慢性硬膜下血腫
血腫穿孔洗浄術
矢田
4月28日(日)
血管内
心原性脳塞栓症
経皮的脳血栓回収術
須山/長尾
4月29日(月)
血管内
くも膜下出血
(前交通動脈瘤破裂)
脳血管内手術
須山/松田/殿元
開頭
左外傷性慢性硬膜下血腫
血腫穿孔洗浄術
殿元
5月2日(木)
開頭
慢性硬膜下血腫
血腫穿孔洗浄術
野本

予定手術【2024年4月26日(金)~2024年5月2日(木)】

※ 画像をクリックすると拡大表示します。

※ 表は横スクロールすることができます。

開頭症例

手術日
主病名
術名
手術医
(助手)
画像
4月30日(火)
海綿状血管腫
摘出術
南田/矢田
5月1日(水)
頚椎症性脊髄症
拡大椎弓形成術
乾/矢田
術後脳脊髄液漏
修復術
南田/濵田
5月2日(木)
脳動脈瘤(Rt.MC)
頭蓋形成術
芝野/野本

ガンマナイフ症例

手術日
主病名
担当医
4月26日(金)
三叉神経痛
岩井
4月30日(火)
転移性脳腫瘍
岩井
転移性脳腫瘍
岩井

緊急手術【直近の過去1週間 2024年4月19日(金)~2024年4月25日(木)】

手術日
術式
主病名
術名
手術医
(助手)
4月20日(土)
血管内
脳梗塞・急性期
経皮的脳血栓回収術
芝野/野本
4月24日(水)
開頭
慢性硬膜下血腫
血腫穿孔洗浄術
野本
血管内
脳梗塞
(内頚動脈閉塞)
経皮的脳血栓回収術
松田/野本

予定手術【2024年4月19日(金)~2024年4月25日(木)】

※ 画像をクリックすると拡大表示します。

※ 表は横スクロールすることができます。

開頭症例

手術日
主病名
術名
手術医
(助手)
画像
4月19日(金)
下垂体腺腫
摘出術
北野
4月22日(月)
蝶形骨稜髄膜腫
摘出術
南田/野本
聴神経鞘腫
摘出術
岩井/古部
4月23日(火)
小脳橋角部髄膜腫
摘出術
南田/野本
4月24日(水)
腰部脊柱管狭窄症
後方除圧
乾/殿元
腰部脊柱管狭窄症
後方除圧
乾/殿元
4月25日(木)
頚椎症性脊髄症
拡大椎弓形成術
乾/殿元

脳血管内手術症例

手術日
主病名
術名
手術医
(助手)
画像
4月19日(金)
脳動脈瘤(Rt.VA)
脳血管内手術
須山/松田/矢田
4月24日(水)
脳動脈瘤(Lt.AC)
脳血管内手術
須山/芝野/野本

ガンマナイフ症例

手術日
主病名
担当医
4月19日(金)
右脳動静脈奇形
岩井
4月23日(火)
脳動静脈奇形
岩井
4月25日(木)
神経鞘腫
北野
円蓋部髄膜腫
北野

緊急手術【直近の過去1週間 2024年4月12日(金)~2024年4月18日(木)】

手術日
術式
主病名
術名
手術医
(助手)
4月13日(土)
血管内
くも膜下出血
(前交通動脈瘤破裂)
脳血管内手術
須山/古部/矢田
4月15日(月)
開頭
くも膜下出血
(前交通動脈瘤破裂)
穿頭脳室ドレナージ
矢田
開頭
外傷性慢性硬膜下血腫
血腫穿孔洗浄術
殿元
開頭
外傷性慢性硬膜下血腫
血腫穿孔洗浄術
矢田
4月16日(火)
開頭
左被殻出血
血腫除去術
松田/矢田
4月17日(水)
開頭
くも膜下出血
穿頭脳室ドレナージ
野本

予定手術【2024年4月12日(金)~2024年4月18日(木)】

※ 画像をクリックすると拡大表示します。

※ 表は横スクロールすることができます。

開頭症例

手術日
主病名
術名
手術医
(助手)
画像
4月12日(金)
脳動静脈奇形
摘出術
富永/松田/濵田
4月15日(月)
下垂体腺腫
摘出術
北野
左三叉神経痛第3枝領域
微小血管減圧術
岩井/古部
4月16日(火)
右前頭葉腫瘍
摘出術
南田/野本
4月17日(水)
下垂体腫瘍
摘出術
北野
腰部脊柱管狭窄症
後方除圧
乾/殿元
頚部脊柱管狭窄症
前方固定術
乾/殿元
4月18日(木)
脳動脈瘤(Rt.MC)
クリッピング術
乾/殿元

脳血管内手術症例

手術日
主病名
術名
手術医
(助手)
画像
4月12日(金)
左内頚動脈狭窄症
経皮的頸動脈ステント留置術
芝野/古部
4月15日(月)
脳動静脈奇形
血管塞栓術
矢田/木本
4月16日(火)
脳動脈瘤(Acom)
血管塞栓術
芝野/木本

ガンマナイフ症例

手術日
主病名
担当医
4月12日(金)
転移性脳腫瘍
岩井
4月16日(火)
転移性脳腫瘍
岩井
転移性脳腫瘍
岩井
4月18日(木)
転移性脳腫瘍
北野

緊急手術【直近の過去1週間 2024年4月5日(金)~2024年4月11日(木)】

手術日
術式
主病名
術名
手術医
(助手)
4月5日(金)
開頭
くも膜下出血
(中大脳動脈瘤破裂)
クリッピング術
血腫除去術
芝野/野本
4月6日(土)
開頭
脳皮質下出血
血腫除去術
古部/野本
4月7日(日)
開頭
慢性硬膜下血腫
血腫穿孔洗浄術
長尾
4月8日(月)
開頭
被殻出血
血腫除去術
芝野/矢田

予定手術【2024年4月5日(金)~2024年4月11日(木)】

※ 画像をクリックすると拡大表示します。

※ 表は横スクロールすることができます。

開頭症例

手術日
主病名
術名
手術医
(助手)
画像
4月5日(金)
右頚部内頚動脈狭窄症
内頚動脈内膜剥離術
矢田
4月8日(月)
神経膠腫
摘出術
南田/野本
4月9日(火)
腰椎すべり症
腰椎後方椎間固定術
乾/殿元
右手根管症候群
右手根管開放術
乾/殿元
4月10日(水)
頚椎症性脊髄症
拡大椎弓形成術
乾/殿元
4月11日(木)
脳皮質下出血
摘出術
岩井/古部/野本
頚椎椎間板ヘルニア
Love法
乾/殿元

脳血管内手術症例

手術日
主病名
術名
手術医
(助手)
画像
4月10日(水)
脳動脈瘤(Rt.IC)
脳血管内手術
須山/松田/矢田

ガンマナイフ症例

手術日
主病名
担当医
4月5日(金)
転移性脳腫瘍
岩井
転移性脳腫瘍
岩井
三叉神経痛
岩井
4月8日(月)
転移性脳腫瘍
岩井
聴神経腫瘍
岩井
転移性脳腫瘍
岩井
4月9日(火)
三叉神経痛
岩井
三叉神経痛
岩井

緊急手術【直近の過去1週間 2024年3月29日(金)~2024年4月4日(木)】

手術日
術式
主病名
術名
手術医
(助手)
3月29日(金)
開頭
脳皮質下出血
血腫除去術
古部
4月2日(火)
開頭
両側慢性硬膜下血腫
血腫穿孔洗浄術
松田
4月4日(木)
血管内
塞栓性脳梗塞
経皮的脳血栓回収術
松田/野本/矢田
開頭
慢性硬膜下血腫
血腫穿孔洗浄術
濵田

予定手術【2024年3月29日(金)~2024年4月4日(木)】

※ 画像をクリックすると拡大表示します。

※ 表は横スクロールすることができます。

開頭症例

手術日
主病名
術名
手術医
(助手)
画像
3月29日(金)
左内頚動脈狭窄症
内頚動脈内膜剥離術
矢田
4月2日(火)
腰部脊柱管狭窄症
後方除圧
乾/殿元
脊髄神経鞘腫
摘出術
乾/殿元
小脳橋角部髄膜腫
摘出術
南田/長尾
4月3日(水)
頚椎症性脊髄症
拡大椎弓形成術
乾/矢田
腰部脊柱管狭窄症
後方除圧
乾/殿元
海綿状血管腫
摘出術
南田/長尾
4月4日(木)
腰椎黄色靱帯骨化症
人工椎体置換
乾/矢田

脳血管内手術症例

手術日
主病名
術名
手術医
(助手)
画像
4月1日(月)
脳動静脈奇形
血管塞栓術
松田/矢田/木本

ガンマナイフ症例

手術日
主病名
担当医
4月3日(水)
転移性脳腫瘍
北野

緊急手術【直近の過去1週間 2024年3月22日(金)~2024年3月28日(木)】

手術日
術式
主病名
術名
手術医
(助手)
3月22日(金)
血管内
くも膜下出血
(上小脳動脈瘤破裂)
脳血管内手術
須山/芝野/矢田
開頭
外傷性慢性硬膜下血腫
血腫穿孔洗浄術
矢田
3月24日(日)
開頭
被殻出血
血腫除去術
松田/殿元
3月25日(月)
開頭
外傷性慢性硬膜下血腫
血腫穿孔洗浄術
殿元
3月28日(木)
血管内
くも膜下出血
(前交通動脈瘤破裂)
脳血管内手術
須山/長尾/殿元
開頭
慢性硬膜下血腫
血腫穿孔洗浄術
濵田
血管内
心原性脳塞栓症
経皮的脳血栓回収術
芝野/古部

予定手術【2024年3月22日(金)~2024年3月28日(木)】

※ 画像をクリックすると拡大表示します。

※ 表は横スクロールすることができます。

開頭症例

手術日
主病名
術名
手術医
(助手)
画像
3月25日(月)
左中頭蓋窩髄膜腫
摘出術
岩井/古部
3月26日(火)
三叉神経痛第3枝領域
微小血管減圧術
南田/殿元
3月27日(水)
小脳上衣腫
摘出術
南田/濵田
3月28日(木)
頚椎症性脊髄症
前方固定術
乾/矢田

脳血管内手術症例

手術日
主病名
術名
手術医
(助手)
画像
3月23日(土)
右内頚動脈狭窄症
経皮的頸動脈ステント留置術
松田/矢田
3月27日(水)
脳動脈瘤(Rt.IC-PC)
血管塞栓術
須山/松田/矢田

ガンマナイフ症例

手術日
主病名
担当医
3月22日(金)
転移性肺腫瘍
山里
3月27日(水)
下垂体腺腫
北野
3月28日(木)
転移性脳腫瘍
北野

緊急手術【直近の過去1週間 2024年3月15日(金)~2024年3月21日(木)】

手術日
術式
主病名
術名
手術医
(助手)
3月17日(日)
開頭
両慢性硬膜下血腫
血腫穿孔洗浄術
古谷
3月21日(木)
血管内
右中大脳動脈閉塞症
経皮的脳血栓回収術
芝野/殿元

予定手術【2024年3月15日(金)~2024年3月21日(木)】

※ 画像をクリックすると拡大表示します。

※ 表は横スクロールすることができます。

開頭症例

手術日
主病名
術名
手術医
(助手)
画像
3月15日(金)
脳動脈瘤(Rt.IC-PC)
クリッピング術
松田/矢田
3月19日(火)
腰部脊柱管狭窄症
後方除圧
乾/矢田
左手根管症候群
左手根管開放術
乾/矢田
眼窩腫瘍
摘出術
南田/向
3月21日(木)
腰椎椎間板ヘルニア
人工椎間板置換術
乾/矢田

脳血管内手術症例

手術日
主病名
術名
手術医
(助手)
画像
3月18日(月)
左内頚動脈狭窄症
経皮的頸動脈ステント留置術
松田/古谷/木本
3月19日(火)
脳動静脈奇形
血管塞栓術
松田/矢田/木本

ガンマナイフ症例

手術日
主病名
担当医
3月15日(金)
転移性脳腫瘍
山里
3月18日(月)
転移性脳腫瘍
岩井
転移性脳腫瘍
岩井
3月19日(火)
三叉神経痛
岩井

緊急手術【直近の過去1週間 2024年3月8日(金)~2024年3月14日(木)】

手術日
術式
主病名
術名
手術医
(助手)
3月9日(土)
開頭
右視床出血
血腫除去術
穿頭脳室ドレナージ
芝野/古谷
3月10日(日)
開頭
くも膜下出血
(中大脳動脈瘤破裂)
クリッピング術
松田/殿元
3月13日(水)
開頭
髄液鼻漏
髄液漏閉鎖術
南田/殿元
開頭
慢性硬膜下血腫
血腫穿孔洗浄術
芝野
3月14日(木)
開頭
外傷性慢性硬膜下血腫
血腫穿孔洗浄術
殿元

予定手術【2024年3月8日(金)~2024年3月14日(木)】

※ 画像をクリックすると拡大表示します。

※ 表は横スクロールすることができます。

開頭症例

手術日
主病名
術名
手術医
(助手)
画像
3月11日(月)
下垂体腫瘍
摘出術
北野
3月12日(火)
脳動脈瘤(Rt.AC)
クリッピング術
南田/向
3月13日(水)
腰部脊柱管狭窄症
後方除圧
乾/矢田
腰部脊柱管狭窄症
後方除圧
乾/矢田
脳腫瘍
摘出術
古部/矢田
3月14日(木)
小脳血管芽腫
摘出術
乾/古谷

脳血管内手術症例

手術日
主病名
術名
手術医
(助手)
画像
3月8日(金)
脳動脈瘤(Lt.IC)
脳血管内手術
矢田
3月13日(水)
脳動脈瘤(Rt.IC-PC)
脳血管内手術
松田/矢田

ガンマナイフ症例

手術日
主病名
担当医
3月8日(金)
右小脳動静脈奇形
岩井
3月11日(月)
転移性脳腫瘍
岩井
3月12日(火)
海綿状血管腫
岩井

緊急手術【直近の過去1週間 2024年3月1日(金)~2024年3月7日(木)】

手術日
術式
主病名
術名
手術医
(助手)
3月3日(日)
血管内
くも膜下出血
(左内頚動脈後交通動脈分岐部動脈瘤破裂)
脳血管内手術
須山/古部
3月5日(火)
血管内
くも膜下出血
(前交通動脈瘤破裂)
脳血管内手術
須山/芝野
3月7日(木)
血管内
右中大脳動脈閉塞症
経皮的脳血栓回収術
長尾/古谷
開頭
左慢性硬膜下血腫
血腫穿孔洗浄術
芝野
血管内
くも膜下出血
(前大脳動脈瘤破裂)
脳血管内手術
須山/芝野/古谷

予定手術【2024年3月1日(金)~2024年3月7日(木)】

※ 画像をクリックすると拡大表示します。

※ 表は横スクロールすることができます。

開頭症例

手術日
主病名
術名
手術医
(助手)
画像
3月1日(金)
左前頭葉腫瘍
摘出術
南田/矢田
3月4日(月)
ラトケのう胞
摘出術
北野
右中頭蓋窩髄膜腫
摘出術
南田/長尾
脳動脈瘤(Rt.AC)
クリッピング術
長尾/殿元
3月5日(火)
腰部脊柱管狭窄症
後方除圧
乾/矢田
慢性難治性疼痛
試験電極の埋め込み術
乾/矢田
右顔面痙攣
微小血管減圧術
南田/向
3月6日(水)
下垂体腫瘍
摘出術
北野
腰部脊柱管狭窄症
後方除圧
乾/矢田
3月7日(木)
胸椎黄色靱帯骨化症
後方除圧
乾/矢田

脳血管内手術症例

手術日
主病名
術名
手術医
(助手)
画像
3月4日(月)
脳動脈瘤(Rt.IC)
フローダイバーター留置術
芝野/古谷/木本
脳動脈瘤(Lt.IC)
フローダイバーター留置術
松田/矢田/木本
脳動脈瘤(Acom)
脳血管内手術
古部/矢田/木本
3月5日(火)
脳動静脈奇形
血管塞栓術
矢田/木本

ガンマナイフ症例

手術日
主病名
担当医
3月4日(月)
転移性脳腫瘍
岩井
転移性脳腫瘍
岩井
聴神経腫瘍
岩井
頭蓋咽頭腫
岩井
3月5日(火)
転移性脳腫瘍
岩井
左大脳鎌髄膜腫
岩井
3月6日(水)
前頭蓋底髄膜腫
北野
下垂体腺腫
北野

緊急手術【直近の過去1週間 2024年2月23日(金)~2024年2月29日(木)】

手術日
術式
主病名
術名
手術医
(助手)
2月26日(月)
開頭
外傷性慢性硬膜下血腫
血腫穿孔洗浄術
古部
2月28日(水)
開頭
外傷性慢性硬膜下血腫
血腫穿孔洗浄術
殿元
血管内
中大脳動脈閉塞症
経皮的脳血栓回収術
松田/長尾/古谷

予定手術【2024年2月23日(金)~2024年2月29日(木)】

※ 画像をクリックすると拡大表示します。

※ 表は横スクロールすることができます。

開頭症例

手術日
主病名
術名
手術医
(助手)
画像
2月26日(月)
円蓋部髄膜腫
摘出術
長尾/殿元
2月27日(火)
水頭症
V-P Shunt
南田/濵田
2月28日(水)
頚椎症性脊髄症
前方固定術
乾/矢田
非ホジキンリンパ腫
定位脳手術
南田/殿元
2月29日(木)
腰部脊柱管狭窄症
後方除圧
乾/矢田
腰部脊柱管狭窄症
後方除圧
乾/矢田

ガンマナイフ症例

手術日
主病名
担当医
2月26日(月)
左後頭蓋窩髄膜腫増大
北野
髄膜腫
岩井
2月27日(火)
転移性脳腫瘍
岩井
2月28日(水)
左錐体斜台部髄膜腫
北野

緊急手術【直近の過去1週間 2024年2月16日(金)~2024年2月22日(木)】

手術日
術式
主病名
術名
手術医
(助手)
2月18日(日)
血管内
心原性脳塞栓症
経皮的脳血栓回収術
松田
2月21日(水)
血管内
くも膜下出血
(前交通動脈瘤破裂)
脳血管内手術
須山/長尾/殿元
2月22日(木)
血管内
右前大脳動脈解離
脳血管内手術
芝野/向

予定手術【2024年2月16日(金)~2024年2月22日(木)】

※ 画像をクリックすると拡大表示します。

※ 表は横スクロールすることができます。

開頭症例

手術日
主病名
術名
手術医
(助手)
画像
2月16日(金)
脳動静脈奇形
摘出術
富永/松田/殿元
トルコ鞍部腫瘍
拡大ハーディ
北野
2月19日(月)
三叉神経痛
微小血管減圧術
岩井/古部
右蝶形骨縁髄膜腫
摘出術
南田/長尾
2月20日(火)
腰部脊柱管狭窄症
後方除圧
乾/矢田
水頭症
V-P Shunt
南田/向
2月21日(水)
傍矢状洞髄膜腫
摘出術
乾/矢田

脳血管内手術症例

手術日
主病名
術名
手術医
(助手)
画像
2月17日(土)
右蝶形骨縁髄膜腫
血管塞栓術
松田/長尾
2月19日(月)
脳動脈瘤(Lt.AC)
血管塞栓術
芝野/野本/古谷/木本
2月20日(火)
脳動脈瘤(Lt.IC-PC)
血管塞栓術
芝野/古部/木本

ガンマナイフ症例

手術日
主病名
担当医
2月17日(土)
左聴神経腫瘍
岩井
転移性脳腫瘍
岩井
2月19日(月)
転移性脳腫瘍
岩井
2月20日(火)
転移性脳腫瘍
岩井
転移性脳腫瘍
岩井
転移性脳腫瘍
岩井
2月22日(木)
転移性脳腫瘍
北野

緊急手術【直近の過去1週間 2024年2月9日(金)~2024年2月15日(木)】

手術日
術式
主病名
術名
手術医
(助手)
2月11日(日)
開頭
慢性硬膜下血腫
血腫穿孔洗浄術
松田
2月13日(火)
開頭
外傷性慢性硬膜下血腫
血腫穿孔洗浄術
矢田
2月14日(水)
開頭
被殻出血
血腫除去術
古部

予定手術【2024年2月9日(金)~2024年2月15日(木)】

※ 画像をクリックすると拡大表示します。

※ 表は横スクロールすることができます。

開頭症例

手術日
主病名
術名
手術医
(助手)
画像
2月9日(金)
下垂体腫瘍
摘出術
北野
2月13日(火)
脳動脈瘤(Lt.MC・Rt.MC)
クリッピング術
南田/向
2月14日(水)
頚部脊柱管狭窄症
拡大椎弓形成術
乾/矢田
脳動脈瘤(Lt.MC)
クリッピング術
南田/古部/向

脳血管内手術症例

手術日
主病名
術名
手術医
(助手)
画像
2月14日(水)
脳動静脈奇形
血管塞栓術
須山/松田/殿元
左内頚動脈狭窄症
経皮的頸動脈ステント留置術
矢田

ガンマナイフ症例

手術日
主病名
担当医
2月9日(金)
転移性脳腫瘍
山里
2月13日(火)
聴神経腫瘍
岩井
右側頭葉円蓋部髄膜腫
岩井
2月15日(木)
聴神経腫瘍
北野

緊急手術【直近の過去1週間 2024年2月2日(金)~2024年2月8日(木)】

手術日
術式
主病名
術名
手術医
(助手)
2月2日(金)
血管内
心原性脳塞栓症
経皮的脳血栓回収術
松田/矢田
2月3日(土)
開頭
外傷性慢性硬膜下血腫
血腫穿孔洗浄術
殿元
2月4日(日)
血管内
くも膜下出血
(内頚動脈後交通動脈分岐部動脈瘤破裂)
脳血管内手術
須山/松田/古谷
2月5日(月)
開頭
左外傷性慢性硬膜下血腫
血腫穿孔洗浄術
松田
開頭
外傷性慢性硬膜下血腫
血腫穿孔洗浄術
矢田
2月6日(火)
血管内
左中大脳動脈閉塞症
経皮的脳血栓回収術
松田/殿元
開頭
慢性硬膜下血腫
血腫穿孔洗浄術
濱田
開頭
左慢性硬膜下血腫
血腫穿孔洗浄術
古谷

予定手術【2024年2月2日(金)~2024年2月8日(木)】

※ 画像をクリックすると拡大表示します。

※ 表は横スクロールすることができます。

開頭症例

手術日
主病名
術名
手術医
(助手)
画像
2月2日(金)
開頭術後骨欠損
頭蓋形成術
北野/古谷
2月5日(月)
顔面痙攣
微小血管減圧術
岩井/古部
脳動脈瘤(Acom)
クリッピング術
南田/向
2月6日(火)
顔面痙攣
微小血管減圧術
岩井/古部
頚椎椎間板ヘルニア
人工椎間板置換術
乾/矢田
脳動脈瘤(Acom)
クリッピング術
南田/向
2月7日(水)
脳腫瘍
オマイヤー留置
北野
2月8日(木)
水頭症
V-P Shunt
芝野/古谷
脳腫瘍
摘出術
長尾/濵田

脳血管内手術症例

手術日
主病名
術名
手術医
(助手)
画像
2月5日(月)
脳動脈瘤(Rt.IC)
フローダイバーター留置術
長尾/殿元/木本
2月6日(火)
脳動脈瘤(Rt.IC)
フローダイバーター留置術
松田/矢田/木本
2月7日(水)
右頚動脈ステント植え込み状態
血行再建術
松田/矢田

ガンマナイフ症例

手術日
主病名
担当医
2月8日(木)
転移性脳腫瘍
北野
転移性脳腫瘍
北野

緊急手術【直近の過去1週間 2024年1月26日(金)~2024年2月1日(木)】

手術日
術式
主病名
術名
手術医
(助手)
1月30日(火)
開頭
左慢性硬膜下血腫
血腫穿孔洗浄術
松田
1月31日(水)
血管内
心原性脳塞栓症
経皮的脳血栓回収術
向/古谷

予定手術【2024年1月26日(金)~2024年2月1日(木)】

※ 画像をクリックすると拡大表示します。

※ 表は横スクロールすることができます。

開頭症例

手術日
主病名
術名
手術医
(助手)
画像
1月29日(月)
脳動脈瘤(Rt.MC)
クリッピング術
南田/向
1月30日(火)
髄膜腫
摘出術
南田/向
1月31日(水)
腰部脊柱管狭窄症
後方除圧
乾/矢田
頚椎症性脊髄症
拡大椎弓形成術
乾/矢田
2月1日(木)
脳腫瘍
摘出術
岩井/長尾/濵田

脳血管内手術症例

手術日
主病名
術名
手術医
(助手)
画像
1月26日(金)
左内頚動脈狭窄症
経皮的頸動脈ステント留置術
古部

ガンマナイフ症例

手術日
主病名
担当医
1月26日(金)
転移性脳腫瘍
北野
右聴神経鞘腫
北野
転移性脳腫瘍
岩井
1月27日(土)
転移性脳腫瘍
岩井
1月29日(月)
転移性脳腫瘍
岩井
三叉神経痛
岩井

緊急手術【直近の過去1週間 2024年1月19日(金)~2024年1月25日(木)】

手術日
術式
主病名
術名
手術医
(助手)
1月19日(金)
開頭
交通性水頭症
穿頭脳室ドレナージ
古部
1月20日(土)
開頭
左慢性硬膜下血腫
血腫除去術
向/矢田
1月23日(火)
開頭
両慢性硬膜下血腫
血腫穿孔洗浄術
古谷
1月25日(木)
開頭
脳皮質下出血
血腫除去術
松田/長尾/濵田

予定手術【2024年1月19日(金)~2024年1月25日(木)】

※ 画像をクリックすると拡大表示します。

※ 表は横スクロールすることができます。

開頭症例

手術日
主病名
術名
手術医
(助手)
画像
1月19日(金)
鼻腔異物
摘出術
北野
1月20日(土)
左被殻出血
気管切開
松田/古谷
1月23日(火)
頚椎後縦靭帯骨化症
摘出術
乾/矢田
1月24日(水)
下垂体腺腫
摘出術
北野
1月25日(木)
左前頭部腫瘤
摘出術
長尾/殿元

脳血管内手術症例

手術日
主病名
術名
手術医
(助手)
画像
1月23日(火)
脳動脈瘤(Acom)
脳血管内手術
長尾/殿元/木本

ガンマナイフ症例

手術日
主病名
担当医
1月22日(月)
脳動静脈奇形
岩井
右側三叉神経痛
岩井
1月24日(水)
下垂体腺腫
北野
1月25日(木)
聴神経腫瘍
北野
三叉神経鞘腫
北野
転移性脳腫瘍
北野

緊急手術【直近の過去1週間 2024年1月12日(金)~2024年1月18日(木)】

手術日
術式
主病名
術名
手術医
(助手)
1月13日(土)
開頭
左慢性硬膜下血腫
血腫穿孔洗浄術
矢田
開頭
左被殻出血
血腫除去術
松田/古谷
1月15日(月)
開頭
脳皮質下出血
血腫除去術
穿頭脳室ドレナージ
松田/矢田
1月17日(水)
開頭
外傷性慢性硬膜下血腫
血腫穿孔洗浄術
矢田
1月18日(木)
血管内
くも膜下出血
(前交通動脈瘤破裂)
脳血管内手術
須山/古部

予定手術【2024年1月12日(金)~2024年1月18日(木)】

※ 画像をクリックすると拡大表示します。

※ 表は横スクロールすることができます。

開頭症例

手術日
主病名
術名
手術医
(助手)
画像
1月12日(金)
下垂体腺腫
摘出術
北野
右三叉神経痛
微小血管減圧術
岩井/古部
髄膜腫
摘出術
松田/矢田
1月15日(月)
下垂体腺腫
摘出術
北野
水頭症
V-P Shunt
向/矢田
1月16日(火)
左頭頂側頭葉血管周皮腫
摘出術
岩井/古部
脳動脈瘤(Acom)
クリッピング術
乾/矢田
右手根管症候群
右手根管開放術
乾/矢田
1月17日(水)
頚椎後縦靭帯骨化症
前方固定術
乾/矢田

ガンマナイフ症例

手術日
主病名
担当医
1月13日(土)
脳動静脈奇形
岩井
転移性脳腫瘍
岩井
1月15日(月)
三叉神経痛
岩井
脳動脈瘤(Lt.IC)
岩井
転移性脳腫瘍
岩井
転移性脳腫瘍
岩井
1月16日(火)
転移性脳腫瘍
岩井

緊急手術【直近の過去1週間 2024年1月5日(金)~2024年1月11日(木)】

手術日
術式
主病名
術名
手術医
(助手)
1月5日(金)
開頭
被殻出血
血腫除去術
松田/矢田

予定手術【2024年1月5日(金)~2024年1月11日(木)】

※ 画像をクリックすると拡大表示します。

※ 表は横スクロールすることができます。

開頭症例

手術日
主病名
術名
手術医
(助手)
画像
1月9日(火)
腰部脊柱管狭窄症
後方除圧
乾/矢田
1月10日(水)
左蝶形骨髄膜腫
摘出術
北野
腰部脊柱管狭窄症
後方除圧
乾/矢田
1月11日(木)
右小脳橋角部腫瘍
摘出術
乾/矢田
水頭症
V-P Shunt
乾/矢田
左頚部症候性内頚動脈狭窄症
内頚動脈内膜剥離術
芝野/古谷

脳血管内手術症例

手術日
主病名
術名
手術医
(助手)
画像
1月9日(火)
脳動脈瘤(Lt.VA)
脳血管内手術
芝野/古谷/木本
1月10日(水)
左内頚動脈狭窄症
経皮的頸動脈ステント留置術
須山/長尾/矢田

緊急手術【直近の過去1週間 2023年12月29日(金)~2024年1月4日(木)】

手術日
術式
主病名
術名
手術医
(助手)
12月29日(金)
開頭
外傷性慢性硬膜下血腫
血腫穿孔洗浄術
殿元
12月31日(日)
血管内
くも膜下出血
(椎骨動脈瘤破裂)
脳血管内手術
須山/松田/野本

予定手術【2023年12月29日(金)~2024年1月4日(木)】

※ 画像をクリックすると拡大表示します。

※ 表は横スクロールすることができます。

開頭症例

手術日
主病名
術名
手術医
(助手)
画像
12月29日(金)
下垂体腫瘍
摘出術
北野
1月4日(木)
開頭術後骨欠損
骨形成術
乾/濵田/矢田

ガンマナイフ症例

手術日
主病名
担当医
12月29日(金)
転移性脳腫瘍
岩井
転移性脳腫瘍
岩井
1月4日(木)
左頭頂側頭葉血管周皮腫
岩井

緊急手術【直近の過去1週間 2023年12月22日(金)~2023年12月28日(木)】

手術日
術式
主病名
術名
手術医
(助手)
12月22日(金)
開頭
くも膜下出血
(椎骨動脈瘤破裂)
穿頭脳室ドレナージ
古谷
12月24日(日)
開頭
脳梗塞
(中大脳動脈閉塞)
クリッピング術
芝野
血管内
脳梗塞
(中大脳動脈閉塞)
経皮的脳血栓回収術
芝野/江藤/白木
12月25日(月)
開頭
外傷性慢性硬膜下血腫
血腫穿孔洗浄術
殿元

予定手術【2023年12月22日(金)~2023年12月28日(木)】

※ 画像をクリックすると拡大表示します。

※ 表は横スクロールすることができます。

開頭症例

手術日
主病名
術名
手術医
(助手)
画像
12月25日(月)
水頭症
V-P Shunt
北野
12月26日(火)
腰部脊柱管狭窄症
後方除圧
乾/矢田
脳腫瘍
摘出術
南田/濵田
12月27日(水)
水頭症
V-P Shunt
長尾/濵田

ガンマナイフ症例

手術日
主病名
担当医
12月22日(金)
転移性脳腫瘍
北野
12月25日(月)
円蓋部髄膜腫
岩井
小脳橋角部類表皮のう胞
岩井
転移性脳腫瘍
岩井
12月26日(火)
右前頭葉脳動静脈奇形
岩井
転移性脳腫瘍
岩井
転移性脳腫瘍
岩井
12月27日(水)
転移性脳腫瘍
山里

緊急手術【直近の過去1週間 2023年12月15日(金)~2023年12月21日(木)】

手術日
術式
主病名
術名
手術医
(助手)
12月15日(金)
開頭
慢性硬膜下血腫
血腫穿孔洗浄術
濵田
12月20日(水)
開頭
急性硬膜下血腫
血腫除去術
南田/向
12月21日(木)
開頭
脳皮質下出血
血腫除去術
クリッピング術
減圧開頭術
松田/殿元

予定手術【2023年12月15日(金)~2023年12月21日(木)】

※ 画像をクリックすると拡大表示します。

※ 表は横スクロールすることができます。

開頭症例

手術日
主病名
術名
手術医
(助手)
画像
12月19日(火)
腰椎椎間板ヘルニア
Love法
乾/矢田
右顔面痙攣
微小血管減圧術
南田
水頭症
L-P Shunt
松田/矢田
手根管症候群
手根管開放術
長尾/濵田
12月20日(水)
脳動静脈奇形
摘出術
北野
開頭術後骨欠損
頭蓋形成術
古部
12月21日(木)
脳動脈瘤(Rt.IC)
クリッピング術
乾/矢田

ガンマナイフ症例

手術日
主病名
担当医
12月18日(月)
海綿状血管腫
岩井
円蓋部髄膜腫
岩井
三叉神経痛
岩井
転移性脳腫瘍
岩井
12月19日(火)
髄膜腫
岩井
円蓋部髄膜腫
岩井
転移性脳腫瘍
岩井
12月20日(水)
下垂体腺腫
北野
下垂体腺腫
北野

緊急手術【直近の過去1週間 2023年12月8日(金)~2023年12月14日(木)】

手術日
術式
主病名
術名
手術医
(助手)
12月9日(土)
開頭
閉鎖性急性硬膜外血腫
血腫除去術
長尾/古谷
12月12日(火)
開頭
両慢性硬膜下血腫
血腫穿孔洗浄術
古谷
12月13日(水)
開頭
慢性硬膜下血腫
血腫穿孔洗浄術
濵田

予定手術【2023年12月8日(金)~2023年12月14日(木)】

※ 画像をクリックすると拡大表示します。

※ 表は横スクロールすることができます。

開頭症例

手術日
主病名
術名
手術医
(助手)
画像
12月8日(金)
三叉神経痛
微小血管減圧術
岩井/古部
海綿状血管腫
摘出術
南田/松田/矢田
12月11日(月)
下垂体腺腫
摘出術
北野
12月12日(火)
腰部脊柱管狭窄症
後方除圧
乾/矢田
12月13日(水)
頭蓋咽頭腫
摘出術
北野
腰部脊柱管狭窄症
後方除圧
乾/矢田
腰椎椎間板ヘルニア
後方除圧
乾/矢田

脳血管内手術症例

手術日
主病名
術名
手術医
(助手)
画像
12月11日(月)
硬膜動静脈瘻
血管塞栓術
松田/矢田/木本
12月12日(火)
脳動脈瘤(Rt.IC-PC)
フローダイバーター留置術
芝野/矢田/古谷/木本
12月13日(水)
脳動脈瘤(Acom)
脳血管内手術
須山/松田/矢田

ガンマナイフ症例

手術日
主病名
担当医
12月11日(月)
転移性脳腫瘍
岩井
転移性脳腫瘍
岩井
転移性脳腫瘍
岩井
12月12日(火)
右三叉神経痛
岩井
転移性脳腫瘍
岩井

緊急手術【直近の過去1週間 2023年12月1日(金)~2023年12月7日(木)】

手術日
術式
主病名
術名
手術医
(助手)
12月4日(月)
開頭
V-P Shunt 機能不全
水頭症手術
松田/古谷
12月6日(水)
開頭
慢性硬膜下血腫
血腫穿孔洗浄術
12月7日(木)
開頭
小脳出血
血腫除去術
松田/濵田

予定手術【2023年12月1日(金)~2023年12月7日(木)】

※ 画像をクリックすると拡大表示します。

※ 表は横スクロールすることができます。

開頭症例

手術日
主病名
術名
手術医
(助手)
画像
12月1日(金)
脳動静脈奇形
摘出術
富永/松田
12月4日(月)
下垂体腺腫
摘出術
北野
12月5日(火)
大脳鎌髄膜腫
摘出術
乾/矢田
12月6日(水)
頭蓋咽頭腫
摘出術
北野
頚部脊柱管狭窄症
拡大椎弓形成術
乾/矢田
腰部脊柱管狭窄症
後方除圧
乾/矢田
12月7日(木)
腰部脊柱管狭窄症
後方除圧
乾/矢田

脳血管内手術症例

手術日
主病名
術名
手術医
(助手)
画像
12月4日(月)
右頚動脈ステント植え込み状態
経皮的頸動脈ステント留置術
芝野/古谷/木本
12月5日(火)
脳動脈瘤(Lt.VA)
フローダイバーター留置術
芝野/古谷/木本

ガンマナイフ症例

手術日
主病名
担当医
12月1日(金)
右側三叉神経痛
岩井
12月4日(月)
転移性脳腫瘍
岩井
12月5日(火)
転移性脳腫瘍
岩井
転移性脳腫瘍
岩井

緊急手術【直近の過去1週間 2023年11月24日(金)~2023年11月30日(木)】

手術日
術式
主病名
術名
手術医
(助手)
11月28日(火)
開頭
慢性硬膜下血腫
血腫穿孔洗浄術
殿元
11月30日(木)
開頭
被殻出血
血腫除去術
松田/矢田

予定手術【2023年11月24日(金)~2023年11月30日(木)】

※ 画像をクリックすると拡大表示します。

※ 表は横スクロールすることができます。

開頭症例

手術日
主病名
術名
手術医
(助手)
画像
11月24日(金)
脳腫瘍
オマイヤー留置
北野
大孔部神経鞘腫
デブリードマン
北野
11月27日(月)
脳腫瘍
摘出術
北野
11月28日(火)
右肘部管症候群
右肘部管開放術
乾/矢田
脳動脈瘤(Lt.IC)
クリッピング術
南田/向
11月30日(木)
腰部脊柱管狭窄症
後方除圧
乾/矢田

ガンマナイフ症例

手術日
主病名
担当医
11月24日(金)
右小脳動静脈奇形
岩井
11月27日(月)
右前頭葉膠芽腫
岩井
転移性脳腫瘍
岩井
11月30日(木)
転移性脳腫瘍
北野

緊急手術【直近の過去1週間 2023年11月17日(金)~2023年11月23日(木)】

手術日
術式
主病名
術名
手術医
(助手)
11月18日(土)
開頭
外傷性慢性硬膜下血腫
血腫穿孔洗浄術
殿元
11月21日(火)
開頭
右外傷性慢性硬膜下血腫
血腫穿孔洗浄術
古部
血管内
脳梗塞
(内頚動脈塞栓症)
経皮的脳血栓回収術
芝野
11月22日(水)
開頭
正常圧水頭症
髄液シャント抜去術
水頭症手術
久貝/古部/古谷
11月23日(木)
開頭
左錐体斜台部髄膜腫
血腫除去術
北野/古部

予定手術【2023年11月17日(金)~2023年11月23日(木)】

※ 画像をクリックすると拡大表示します。

※ 表は横スクロールすることができます。

開頭症例

手術日
主病名
術名
手術医
(助手)
画像
11月17日(金)
下垂体腺腫
摘出術
北野
11月20日(月)
左錐体斜台部髄膜腫
摘出術
北野/古部
脳動脈瘤(Rt.MC)
クリッピング術
南田/向/殿元
11月21日(火)
頚部脊柱管狭窄症
拡大椎弓形成術
乾/矢田
11月22日(水)
下垂体腺腫
摘出術
北野
腰部脊柱管狭窄症
後方除圧
乾/矢田

ガンマナイフ症例

手術日
主病名
担当医
11月17日(金)
転移性脳腫瘍
山里
11月20日(月)
転移性脳腫瘍
岩井
転移性脳腫瘍
岩井
11月21日(火)
転移性脳腫瘍
岩井
転移性脳腫瘍
岩井
転移性脳腫瘍
岩井

緊急手術【直近の過去1週間 2023年11月10日(金)~2023年11月16日(木)】

手術日
術式
主病名
術名
手術医
(助手)
11月10日(金)
開頭
硬膜下膿瘍
デブレードマン
南田/濵田/北島
11月12日(日)
開頭
くも膜下出血
(左中大脳動脈瘤破裂)
クリッピング術
南田/古部/向
11月13日(月)
血管内
脳梗塞
(右中大脳動脈閉塞)
経皮的脳血栓回収術
松田/古谷
11月14日(火)
開頭
くも膜下出血
減圧開頭術
血腫除去術
古部/向/矢田
11月16日(木)
血管内
心原性脳塞栓症
経皮的脳血栓回収術
須山/松田/殿元

予定手術【2023年11月10日(金)~2023年11月16日(木)】

※ 画像をクリックすると拡大表示します。

※ 表は横スクロールすることができます。

開頭症例

手術日
主病名
術名
手術医
(助手)
画像
11月10日(金)
脳動脈瘤(Lt.IC-PC)
クリッピング術
松田/矢田
11月13日(月)
大脳鎌髄膜腫
摘出術
北野
脳動脈瘤(Acom)
クリッピング術
南田/向
11月14日(火)
髄膜腫
摘出術
長尾/殿元
水頭症
V-P Shunt
北島/古谷
11月15日(水)
左顔面痙攣
微小血管減圧術
古部/矢田

ガンマナイフ症例

手術日
主病名
担当医
11月15日(水)
下垂体腺腫
北野

緊急手術【直近の過去1週間 2023年11月3日(金)~2023年11月9日(木)】

手術日
術式
主病名
術名
手術医
(助手)
11月3日(金)
開頭
左慢性硬膜下血腫
血腫穿孔洗浄術
古谷
11月5日(日)
開頭
左慢性硬膜下血腫
血腫穿孔洗浄術
古谷
11月6日(月)
血管内
くも膜下出血
(前交通動脈瘤破裂)
脳血管内手術
木本/長尾/殿元
11月7日(火)
血管内
脳梗塞
(中大脳動脈閉塞)
経皮的脳血栓回収術
木本/芝野/濵田

予定手術【2023年11月3日(金)~2023年11月9日(木)】

※ 画像をクリックすると拡大表示します。

※ 表は横スクロールすることができます。

開頭症例

手術日
主病名
術名
手術医
(助手)
画像
11月6日(月)
円蓋部髄膜腫
摘出術
南田/長尾/殿元
11月7日(火)
腰部脊柱管狭窄症
後方除圧
乾/矢田
水頭症
V-P Shunt
乾/濵田/矢田
三叉神経痛第3枝領域
微小血管減圧術
南田/向
11月8日(水)
左眼窩内腫瘍
摘出術
北野
頚椎神経鞘腫
摘出術
乾/野本
11月9日(木)
三叉神経痛
微小血管減圧術
北野/向
頚椎後縦靭帯骨化症
前方固定術
乾/矢田
脳動脈瘤(Rt.MC)
クリッピング術
芝野/古谷

脳血管内手術症例

手術日
主病名
術名
手術医
(助手)
画像
11月6日(月)
右内頚動脈狭窄症
経皮的頸動脈ステント留置術
古部/向/木本
左内頚動脈狭窄症
経皮的頸動脈ステント留置術
古部/向/木本
11月7日(火)
脳動脈瘤(Rt.IC-PC)
フローダイバーター留置術
松田/矢田/木本

ガンマナイフ症例

手術日
主病名
担当医
11月9日(木)
転移性脳腫瘍
北野

緊急手術【直近の過去1週間 2023年10月27日(金)~2023年11月2日(木)】

手術日
術式
主病名
術名
手術医
(助手)
11月2日(木)
開頭
VPシャント機能不全
髄液シャント抜去術
穿頭脳室ドレナージ
久貝/北島

予定手術【2023年10月27日(金)~2023年11月2日(木)】

※ 画像をクリックすると拡大表示します。

※ 表は横スクロールすることができます。

開頭症例

手術日
主病名
術名
手術医
(助手)
画像
10月27日(金)
脳腫瘍
摘出術
北野
10月31日(火)
頚椎症性脊髄症
拡大椎弓形成術
乾/濵田/矢田
頚部脊柱管狭窄症
拡大椎弓形成術
乾/矢田
顔面痙攣症
微小血管減圧術
南田/向
脳動脈瘤(Rt.MC)
クリッピング術
長尾/殿元
11月1日(水)
脳腫瘍
摘出術
北野
腰部脊柱管狭窄症
後方除圧
乾/矢田
腰部脊柱管狭窄症
後方除圧
乾/矢田
11月2日(木)
頚部脊柱管狭窄症
拡大椎弓形成術
乾/矢田
左内頚動脈狭窄症
内頚動脈内膜剥離術
久貝
脳動脈瘤(Lt.MC)
クリッピング術
芝野/古谷

ガンマナイフ症例

手術日
主病名
担当医
10月27日(金)
転移性脳腫瘍
山里
11月2日(木)
聴神経腫瘍
北野

緊急手術【直近の過去1週間 2023年10月20日(金)~2023年10月26日(木)】

手術日
術式
主病名
術名
手術医
(助手)
10月20日(金)
開頭
慢性硬膜下血腫
血腫穿孔洗浄術
殿元
開頭
右慢性硬膜下血腫
血腫穿孔洗浄術
10月22日(日)
血管内
くも膜下出血
(中大脳動脈瘤破裂)
脳血管内手術
須山/松田/殿元
10月25日(水)
開頭
右急性硬膜下血腫
血腫除去術
松田/矢田/古谷

予定手術【2023年10月20日(金)~2023年10月26日(木)】

※ 画像をクリックすると拡大表示します。

※ 表は横スクロールすることができます。

開頭症例

手術日
主病名
術名
手術医
(助手)
画像
10月20日(金)
水頭症
L-P Shunt
松田/矢田
水頭症
V-P Shunt
北島/古谷
10月23日(月)
左側頭葉膠芽腫
摘出術
南田/古部/向
頚椎症性脊髄症
拡大椎弓形成術
長尾/殿元
10月24日(火)
聴神経腫瘍
摘出術
南田/向
水頭症
V-P Shunt
長尾/殿元
10月25日(水)
髄膜腫
拡大ハーディ
北野

脳血管内手術症例

手術日
主病名
術名
手術医
(助手)
画像
10月20日(金)
脳動脈瘤(Rt.IC)
脳血管内手術
(フローダイバーター)
久貝
10月23日(月)
内頚動脈狭窄症
経皮的頸動脈ステント留置術
古部/向/木本
10月25日(水)
左内頚動脈狭窄症
経皮的頸動脈ステント留置術
松田/矢田

ガンマナイフ症例

手術日
主病名
担当医
10月23日(月)
右小脳円蓋部髄膜腫
岩井

緊急手術【直近の過去1週間 2023年10月13日(金)~2023年10月19日(木)】

手術日
術式
主病名
術名
手術医
(助手)
10月13日(金)
開頭
右被殻出血
減圧開頭術
古部/向

予定手術【2023年10月13日(金)~2023年10月19日(木)】

※ 画像をクリックすると拡大表示します。

※ 表は横スクロールすることができます。

開頭症例

手術日
主病名
術名
手術医
(助手)
画像
10月13日(金)
円蓋部髄膜腫
摘出術
北野
顔面痙攣
微小血管減圧術
岩井/古部
10月16日(月)
左前頭葉腫瘤
摘出術
北野
10月17日(火)
頚椎症性脊髄症
後方除圧
乾/矢田
脳動脈瘤(Rt.IC)
クリッピング術
南田/向
10月18日(水)
右前頭葉腫瘍
摘出術
古部/向
10月19日(木)
頚椎後縦靭帯骨化症
拡大椎弓形成術
乾/矢田
左前頭葉腫瘤
摘出術
長尾/濵田

脳血管内手術症例

手術日
主病名
術名
手術医
(助手)
画像
10月14日(土)
左頚部内頚動脈狭窄症
経皮的頸動脈ステント留置術
久貝
10月16日(月)
内頚動脈狭窄症
経皮的頸動脈ステント留置術
長尾/殿元/木本
脳動脈瘤(Acom)
脳血管内手術
向/古谷/木本
10月17日(火)
左頚部内頚動脈狭窄症
経皮的頸動脈ステント留置術
芝野/矢田/古谷/木本
10月18日(水)
脳動脈瘤(BA)
脳血管内手術
須山/松田/矢田

ガンマナイフ症例

手術日
主病名
担当医
10月16日(月)
髄膜腫
岩井
三叉神経痛
岩井
10月18日(水)
髄膜腫
北野

緊急手術【直近の過去1週間 2023年10月6日(金)~2023年10月12日(木)】

手術日
術式
主病名
術名
手術医
(助手)
10月6日(金)
血管内
くも膜下出血
(内頚動脈後交通動脈分岐部動脈瘤破裂)
脳血管内手術
須山/松田/濵田
開頭
慢性硬膜下血腫
血腫穿孔洗浄術
北島
10月7日(土)
血管内
心原性脳塞栓症
経皮的脳血栓回収術
芝野/北島/矢田
開頭
急性硬膜下血腫
血腫除去術
芝野/矢田
開頭
非交通性水頭症
穿頭脳室ドレナージ
10月9日(月)
開頭
脳腫瘍
減圧開頭術
乾/矢田
10月10日(火)
開頭
くも膜下出血
(内頚動脈前脈絡叢動脈分岐部脳動脈瘤破裂)
クリッピング術
久貝/古谷
開頭
慢性硬膜下血腫
血腫穿孔洗浄術
殿元
10月11日(水)
開頭
右被殻出血
血腫除去術

予定手術【2023年10月6日(金)~2023年10月12日(木)】

※ 画像をクリックすると拡大表示します。

※ 表は横スクロールすることができます。

開頭症例

手術日
主病名
術名
手術医
(助手)
画像
10月10日(火)
頚椎症性筋萎縮症
前方固定術
乾/矢田
10月11日(水)
左聴神経腫瘍
摘出術
北野
頚部脊柱管狭窄症
拡大椎弓形成術
乾/矢田
10月12日(木)
脳動脈瘤(Rt.MC)
クリッピング術
久貝/殿元
開頭術後骨欠損
頭蓋形成術
北島

脳血管内手術症例

手術日
主病名
術名
手術医
(助手)
画像
10月10日(火)
左頚部内頚動脈狭窄症
経皮的頸動脈ステント留置術
芝野/矢田/古谷/木本
10月11日(水)
脳動脈瘤(Rt.VA)
脳血管内手術
(フローダイバーター)
久貝

ガンマナイフ症例

手術日
主病名
担当医
10月7日(土)
左頭頂葉脳動静脈奇形
岩井
10月10日(火)
左円蓋部髄膜腫
岩井

緊急手術【直近の過去1週間 2023年9月27日(金)~2023年10月5日(木)】

手術日
術式
主病名
術名
手術医
(助手)
9月29日(金)
血管内
くも膜下出血
(前交通動脈瘤破裂)
脳血管内手術
久貝/濵田
10月1日(日)
開頭
左慢性硬膜下血腫
血腫穿孔洗浄術
松田
10月2日(月)
開頭
くも膜下出血
(破裂性椎骨動脈解離)
穿頭脳室ドレナージ
芝野/古谷
血管内
くも膜下出血
(破裂性椎骨動脈解離)
脳血管内手術
芝野/古谷/木本
10月5日(木)
開頭
両側慢性硬膜下血腫
血腫穿孔洗浄術
松田

予定手術【2023年9月29日(金)~2023年10月5日(木)】

※ 画像をクリックすると拡大表示します。

※ 表は横スクロールすることができます。

開頭症例

手術日
主病名
術名
手術医
(助手)
画像
9月29日(金)
脳動脈瘤(Acom・Lt.MC)
クリッピング術
富永/松田/野本
脳動脈瘤(Rt.IC-PC)
クリッピング術
芝野/殿元
9月30日(土)
水頭症
V-P Shunt
長尾/濵田
10月2日(月)
髄膜腫
摘出術
北野
頚椎症性脊髄症
拡大椎弓形成術
長尾/殿元
10月3日(火)
脳腫瘍
摘出術
乾/池間/矢田
10月4日(水)
腰部脊柱管狭窄症
後方除圧
乾/野本
10月5日(木)
未破裂脳動脈瘤(Lt.MC・Rt.MC・Rt.IC)
クリッピング術
久貝

脳血管内手術症例

手術日
主病名
術名
手術医
(助手)
画像
10月2日(月)
左頚部内頚動脈狭窄症
血行再建術
向/木本
10月4日(水)
脳動脈瘤(Rt.IC)
脳血管内手術
(フローダイバーター)
須山/久貝

ガンマナイフ症例

手術日
主病名
担当医
10月2日(月)
転移性脳腫瘍
岩井
転移性脳腫瘍
岩井
転移性脳腫瘍
岩井
10月3日(火)
転移性脳腫瘍
岩井
10月5日(木)
転移性脳腫瘍
北野

予定手術【2023年9月22日(金)~2023年9月28日(木)】

※ 画像をクリックすると拡大表示します。

※ 表は横スクロールすることができます。

開頭症例

手術日
主病名
術名
手術医
(助手)
画像
9月22日(金)
三叉神経痛
微小血管減圧術
岩井/古部/殿元
9月25日(月)
小脳橋角部髄膜腫
摘出術
南田/古部/殿元
9月26日(火)
腰椎骨性椎間孔狭窄症
後方除圧
乾/池間
脳動脈瘤(Rt.IC-PC)
クリッピング術
久貝
9月27日(水)
前頭葉膠芽腫
摘出術
岩井/古部/向
脳動脈瘤(Lt.IC)
クリッピング術
松田/濵田/北島
9月28日(木)
右三叉神経痛
微小血管減圧術
乾/野本
開頭術後骨欠損
頭蓋形成術
久貝/古谷
脳動脈瘤(Acom)
クリッピング術
長尾/古谷

脳血管内手術症例

手術日
主病名
術名
手術医
(助手)
画像
9月26日(火)
脳動静脈奇形
血管塞栓術
芝野/古谷/殿元/木本
9月27日(水)
脳動脈瘤(Rt.MC)
脳血管内手術
須山/久貝

ガンマナイフ症例

手術日
主病名
担当医
9月25日(月)
右中頭蓋窩髄膜腫
北野
三叉神経痛
岩井
脳動静脈奇形
岩井
9月26日(火)
右聴神経腫瘍
岩井
転移性脳腫瘍
岩井

予定手術【2023年9月15日(金)~2023年9月21日(木)】

※ 画像をクリックすると拡大表示します。

※ 表は横スクロールすることができます。

開頭症例

手術日
主病名
術名
手術医
(助手)
画像
9月15日(金)
鼻腔異物
修復術
北野
脳動脈瘤(Rt.MC)
クリッピング術
松田/北島
9月19日(火)
頚椎症性脊髄症
拡大椎弓形成術
乾/池間
脳動脈瘤(Rt.IC-PC)
クリッピング術
芝野
9月20日(水)
下垂体腺腫
摘出術
北野
右肘部管症候群
右肘部管開放術
乾/野本
9月21日(木)
脳動静脈奇形
摘出術
富永/久貝
頚髄腫瘍
摘出術
乾/野本
右内頚動脈狭窄症
内頚動脈内膜剥離術
長尾/北島/古谷

脳血管内手術症例

手術日
主病名
術名
手術医
(助手)
画像
9月19日(火)
脳動静脈奇形
血管塞栓術
須山/久貝
9月20日(水)
脳動脈瘤(Lt.IC・Rt.IC)
脳血管内手術
(フローダイバーター)
須山/久貝
右内頚動脈狭窄症
経皮的頸動脈ステント留置術
松田/野本

ガンマナイフ症例

手術日
主病名
担当医
9月19日(火)
右前頭葉脳動静脈奇形
岩井
転移性脳腫瘍
岩井

緊急手術【直近の過去1週間 2023年9月8日(金)~2023年9月14日(木)】

手術日
術式
主病名
術名
手術医
(助手)
9月8日(金)
開頭
慢性硬膜下血腫
血腫穿孔洗浄術
血腫除去術
濵田
9月9日(土)
開頭
右慢性硬膜下血腫
血腫穿孔洗浄術
古谷
開頭
両側慢性硬膜下血腫
血腫穿孔洗浄術
古谷

予定手術【2023年9月8日(金)~2023年9月14日(木)】

※ 画像をクリックすると拡大表示します。

※ 表は横スクロールすることができます。

開頭症例

手術日
主病名
術名
手術医
(助手)
画像
9月8日(金)
下垂体腺腫
摘出術
北野
術後創部感染
骨形成術
南田/濵田
9月11日(月)
左前頭葉腫瘍
摘出術
南田/古部/殿元
左前頭葉腫瘍
摘出術
久貝
9月12日(火)
脳動静脈奇形
摘出術
富永/南田/北島
腰部脊柱管狭窄症
後方除圧
乾/野本
脳動脈瘤(Rt.IC-PC)
クリッピング術
久貝
9月13日(水)
左前頭葉神経膠腫
摘出術
古部
9月14日(木)
開頭術後骨欠損
頭蓋形成術
久貝/古谷
脳動脈瘤(Rt.MC)
クリッピング術
芝野/殿元

脳血管内手術症例

手術日
主病名
術名
手術医
(助手)
画像
9月11日(月)
脳動脈瘤(Lt.IC)
脳血管内手術
芝野/古谷/殿元/木本
脳動静脈奇形
血管塞栓術
北島/木本
9月12日(火)
脳動脈瘤(BA)
脳血管内手術
向/古谷/木本
9月13日(水)
脳動脈瘤(Rt.IC)
脳血管内手術
須山/久貝

ガンマナイフ症例

手術日
主病名
担当医
9月8日(金)
転移性脳腫瘍
岩井
転移性脳腫瘍
岩井
9月11日(月)
右硬膜動静脈瘻
岩井
転移性脳腫瘍
岩井
9月12日(火)
転移性脳腫瘍
岩井
転移性脳腫瘍
岩井
転移性脳腫瘍
岩井

緊急手術【直近の過去1週間 2023年9月1日(金)~2023年9月7日(木)】

手術日
術式
主病名
術名
手術医
(助手)
9月5日(火)
開頭
被殻出血
血腫除去術
松田/野本
9月6日(水)
開頭
非交通性水頭症
水頭症手術(シャント手術)
乾/濵田/池間

予定手術【2023年9月1日(金)~2023年9月7日(木)】

※ 画像をクリックすると拡大表示します。

※ 表は横スクロールすることができます。

開頭症例

手術日
主病名
術名
手術医
(助手)
画像
9月1日(金)
脳動脈瘤(Lt.MC)
クリッピング術
富永/松田/野本
鞍上部くも膜のう胞
摘出術
北野
左外傷性慢性硬膜下血腫
穿頭洗浄術
北島
9月4日(月)
下垂体腫瘍
摘出術
北野
9月5日(火)
腰部脊柱管狭窄症
後方除圧
乾/野本
9月6日(水)
錐体斜台部髄膜腫
摘出術
北野/久貝
頚椎後縦靭帯骨化症
拡大椎弓形成術
乾/野本
髄膜腫
摘出術
松田/野本
9月7日(木)
頚部脊柱管狭窄症
拡大椎弓形成術
乾/野本

脳血管内手術症例

手術日
主病名
術名
手術医
(助手)
画像
9月1日(金)
脳動脈瘤(Rt.IC)
脳血管内手術
(フローダイバーター)
須山/久貝
9月2日(土)
右内頚動脈狭窄症
経皮的頸動脈ステント留置術
久貝
9月4日(月)
脳動脈瘤(Lt.IC-PC)
脳血管内手術
(フローダイバーター)
芝野/古谷/殿元/木本
9月5日(火)
錐体斜台部髄膜腫
血管塞栓術
須山/久貝
右前頭葉脳動静脈奇形
血管塞栓術
芝野/古谷/殿元/木本

ガンマナイフ症例

手術日
主病名
担当医
9月1日(金)
転移性脳腫瘍
岩井
転移性脳腫瘍
岩井
9月4日(月)
転移性脳腫瘍
岩井
転移性脳腫瘍
岩井
転移性脳腫瘍
岩井
9月5日(火)
脊索腫
岩井
9月6日(水)
転移性脳腫瘍
山里

緊急手術【直近の過去1週間 2023年8月25日(金)~2023年8月31日(木)】

手術日
術式
主病名
術名
手術医
(助手)
8月25日(金)
開頭
被殻出血
血腫除去術
古部/池間
8月27日(日)
血管内
塞栓性梗塞
経皮的脳血栓回収術
須山/古部
8月28日(月)
開頭
慢性硬膜下血腫
血腫穿孔洗浄術
北島
9月30日(土)
開頭
慢性硬膜下血腫
血腫穿孔洗浄術
殿元

予定手術【2023年8月25日(金)~2023年8月31日(木)】

※ 画像をクリックすると拡大表示します。

※ 表は横スクロールすることができます。

開頭症例

手術日
主病名
術名
手術医
(助手)
画像
8月25日(金)
脳動脈瘤(Rt.MC)
クリッピング術
富永/松田/野本
8月28日(月)
側頭葉膠芽腫
摘出術
南田/古部/殿元
8月29日(火)
頚椎症性脊髄症
拡大椎弓形成術
乾/野本
8月31日(木)
小脳橋角部髄膜腫
摘出術
乾/野本

脳血管内手術症例

手術日
主病名
術名
手術医
(助手)
画像
8月29日(火)
脳動静脈奇形
血管塞栓術
芝野/古谷/殿元/木本
脳動脈瘤(Lt.IC)
脳血管内手術
(フローダイバーター)
松田/野本/木本

ガンマナイフ症例

手術日
主病名
担当医
8月25日(金)
転移性脳腫瘍
北野
8月28日(月)
髄膜腫
岩井
髄膜腫
岩井
転移性脳腫瘍
岩井
8月29日(火)
聴神経腫瘍
岩井
転移性脳腫瘍
岩井
転移性脳腫瘍
岩井

緊急手術【直近の過去1週間 2023年8月18日(金)~2023年8月24日(木)】

手術日
術式
主病名
術名
手術医
(助手)
8月21日(月)
血管内
アテローム血栓性脳梗塞
経皮的脳血栓回収術
久貝/古部/古谷
8月24日(木)
開頭
下垂体腫瘍
髄液漏閉鎖術
北野/久貝/古谷

予定手術【2023年8月18日(金)~2023年8月24日(木)】

※ 画像をクリックすると拡大表示します。

※ 表は横スクロールすることができます。

開頭症例

手術日
主病名
術名
手術医
(助手)
画像
8月18日(金)
左顔面痙攣
微小血管減圧術
南田/古部/殿元
傍矢状洞髄膜腫
摘出術
久貝
脳動脈瘤(Lt.IC-PC)
クリッピング術
松田/野本
8月19日(土)
小脳出血
気管切開
北島/古谷
8月21日(月)
髄膜腫
摘出術
北野
8月22日(火)
腰部脊柱管狭窄症
後方除圧
乾/野本
8月23日(水)
眼窩腫瘍
摘出術
北野
水頭症
L-P Shunt
向/野本
8月24日(木)
頚椎症性脊髄症
拡大椎弓形成術
乾/野本

脳血管内手術症例

手術日
主病名
術名
手術医
(助手)
画像
8月21日(月)
脳動脈瘤(Lt.IC-PC)
脳血管内手術
芝野/古谷/殿元/木本
8月22日(火)
脳動静脈奇形
血管塞栓術
芝野/古谷/殿元/木本
右頚部内頚動脈狭窄症
経皮的頸動脈ステント留置術
長尾/古谷/木本

ガンマナイフ症例

手術日
主病名
担当医
8月18日(金)
転移性脳腫瘍
岩井
転移性脳腫瘍
山里

緊急手術【直近の過去1週間 2023年8月11日(金)~2023年8月17日(木)】

手術日
術式
主病名
術名
手術医
(助手)
8月13日(日)
開頭
くも膜下出血
(中大脳動脈瘤破裂)
クリッピング術
減圧開頭術
穿頭脳室ドレナージ
久貝/殿元
8月16日(水)
開頭
慢性硬膜下血腫
血腫穿孔洗浄術
濵田
8月17日(木)
開頭
くも膜下出血
(左中大脳動脈瘤破裂)
穿頭脳室ドレナージ
北島

予定手術【2023年8月11日(金)~2023年8月17日(木)】

※ 画像をクリックすると拡大表示します。

※ 表は横スクロールすることができます。

開頭症例

手術日
主病名
術名
手術医
(助手)
画像
8月14日(月)
左三叉神経痛
微小血管減圧術
岩井/古部/野本
8月15日(火)
頚椎症性脊髄症
拡大椎弓形成術
乾/野本
類皮腫
摘出術
南田/濵田/殿元
急性硬膜下血腫
頭蓋形成術
久貝
8月16日(水)
手根管症候群
左手根管開放術
乾/野本
腰部脊柱管狭窄症
後方除圧
乾/野本
腰部脊柱管狭窄症
後方除圧
松田/野本
8月17日(木)
下垂体腫瘍
摘出術
北野
腰部脊柱管狭窄症
後方除圧
乾/野本

脳血管内手術症例

手術日
主病名
術名
手術医
(助手)
画像
8月15日(火)
脳動脈瘤(Lt.IC-PC)
脳血管内手術
芝野/古谷/殿元/木本
8月16日(水)
左硬膜動静脈瘻
脳血管内手術
須山/久貝
右内頚動脈狭窄症
経皮的頸動脈ステント留置術
古部/向

ガンマナイフ症例

手術日
主病名
担当医
8月14日(月)
転移性脳腫瘍
岩井
8月15日(火)
転移性脳腫瘍
岩井
転移性脳腫瘍
岩井
転移性脳腫瘍
岩井
髄膜腫
岩井

緊急手術【直近の過去1週間 2023年8月4日(金)~2023年8月10日(木)】

手術日
術式
主病名
術名
手術医
(助手)
8月4日(金)
血管内
塞栓性脳梗塞・急性期
経皮的脳血栓回収術
久貝/古谷
8月6日(日)
開頭
慢性硬膜下血腫
血腫穿孔洗浄術
野本
8月7日(月)
開頭
塞栓性脳梗塞・急性期
減圧開頭術
久貝/古谷
8月8日(火)
血管内
アテローム血栓性脳梗塞・急性期
経皮的脳血栓回収術
芝野/向
開頭
小脳出血
血腫除去術
穿頭脳室ドレナージ
長尾/北島/古谷
8月9日(水)
開頭
くも膜下出血
(左中大脳動脈瘤破裂)
穿頭脳室ドレナージ
北島

予定手術【2023年8月4日(金)~2023年8月10日(木)】

※ 画像をクリックすると拡大表示します。

※ 表は横スクロールすることができます。

開頭症例

手術日
主病名
術名
手術医
(助手)
画像
8月4日(金)
左聴神経腫瘍
摘出術
岩井/古部/殿元
8月8日(火)
腰部脊柱管狭窄症
後方除圧
乾/野本
8月9日(水)
左顔面痙攣
微小血管減圧術
富永/松田/野本
右手根管症候群
右手根管開放術
乾/野本
腰部脊柱管狭窄症
後方除圧
乾/野本
8月10日(木)
右中頭蓋窩髄膜腫
摘出術
北野/久貝
左顔面痙攣
微小血管減圧術
岩井/向/殿元
脳動脈瘤(Lt.IC-PC)
クリッピング術
乾/野本

脳血管内手術症例

手術日
主病名
術名
手術医
(助手)
画像
8月7日(月)
脳動脈瘤(Lt.IC-PC)
脳血管内手術
(フローダイバーター)
芝野/古谷/殿元/木本
脳動静脈奇形
血管塞栓術
北島/木本
8月8日(火)
右頚部内頚動脈狭窄症
経皮的頸動脈ステント留置術
芝野/古谷/殿元/木本
8月9日(水)
脳動静脈奇形
血管塞栓術
須山/久貝

ガンマナイフ症例

手術日
主病名
担当医
8月7日(月)
転移性脳腫瘍
岩井
転移性脳腫瘍
岩井
転移性脳腫瘍
岩井
転移性脳腫瘍
岩井
8月8日(火)
転移性脳腫瘍
岩井
転移性脳腫瘍
岩井
転移性脳腫瘍
岩井
8月9日(水)
鞍結節部髄膜腫
北野
8月10日(木)
聴神経腫瘍
北野

緊急手術【直近の過去1週間 2023年7月28日(金)~2023年8月3日(木)】

手術日
術式
主病名
術名
手術医
(助手)
7月28日(金)
血管内
塞栓性小脳梗塞・急性期
経皮的脳血栓回収術
芝野/殿元
開頭
両側慢性硬膜下血腫
血腫穿孔洗浄術
7月29日(土)
開頭
小脳出血
血腫除去術
芝野/濵田
7月30日(日)
開頭
左慢性硬膜下血腫
血腫穿孔洗浄術
開頭
非交通性水頭症
穿頭脳室ドレナージ
濵田
開頭
くも膜下出血
(中大脳動脈瘤破裂)
クリッピング術
血腫除去術
減圧開頭術
久貝/北島
7月31日(月)
開頭
外傷性慢性硬膜下血腫
血腫穿孔洗浄術
殿元
8月1日(火)
開頭
急性硬膜下血腫
血腫除去術
減圧開頭術
久貝
開頭
小脳出血
血腫除去術
減圧開頭術
穿頭脳室ドレナージ
北島/古谷

予定手術【2023年7月28日(金)~2023年8月3日(木)】

※ 画像をクリックすると拡大表示します。

※ 表は横スクロールすることができます。

開頭症例

手術日
主病名
術名
手術医
(助手)
画像
7月28日(金)
聴神経腫瘍
摘出術
岩井/古部/濵田
7月31日(月)
三叉神経痛
微小血管減圧術
岩井/古部/殿元
脳動脈瘤(Acom)
クリッピング術
南田/古部/濵田
8月2日(水)
下垂体腫瘍
摘出術
北野
右顔面痙攣
微小血管減圧術
南田/古部/向
8月3日(木)
頚部脊柱管狭窄症
拡大椎弓形成術
乾/野本
脳動脈瘤(Lt.MC)
クリッピング術
久貝/向

脳血管内手術症例

手術日
主病名
術名
手術医
(助手)
画像
7月31日(月)
右頚部内頚動脈狭窄症
経皮的頸動脈ステント留置術
芝野/古谷/殿元/木本
脳動脈瘤(Lt.IC-PC)
脳血管内手術
長尾/古谷/木本
8月1日(火)
脳動脈瘤(Lt.IC)
脳血管内手術
(フローダイバーター)
芝野/古谷/殿元/木本
左頚部内頚動脈狭窄症
経皮的頸動脈ステント留置術
長尾/北島/木本
8月2日(水)
脳動静脈奇形
血管塞栓術
須山/久貝

ガンマナイフ症例

手術日
主病名
担当医
8月1日(火)
転移性脳腫瘍
岩井

緊急手術【直近の過去1週間 2023年7月21日(金)~2023年7月27日(木)】

手術日
術式
主病名
術名
手術医
(助手)
7月22日(土)
血管内
くも膜下出血
(前交通動脈瘤破裂)
脳血管内手術
須山/松田/殿元
7月25日(火)
開頭
慢性硬膜下血腫
血腫穿孔洗浄術
北島

予定手術【2023年7月21日(金)~2023年7月27日(木)】

※ 画像をクリックすると拡大表示します。

※ 表は横スクロールすることができます。

開頭症例

手術日
主病名
術名
手術医
(助手)
画像
7月21日(金)
脳腫瘍
摘出術
北野/古部
脳腫瘍
摘出術
岩井
脳動脈瘤(Lt.MC)
クリッピング術
松田/野本
7月25日(火)
両側腰椎骨性椎間孔狭窄症
後方除圧
乾/野本
腰部脊柱管狭窄症
後方除圧
乾/野本
7月26日(水)
左顔面痙攣
微小血管減圧術
南田/古部/向
7月27日(木)
左顔面痙攣
微小血管減圧術
乾/野本

脳血管内手術症例

手術日
主病名
術名
手術医
(助手)
画像
7月24日(月)
左総頚動脈狭窄症
経皮的頸動脈ステント留置術
池間/木本

ガンマナイフ症例

手術日
主病名
担当医
7月24日(月)
右円蓋部髄膜腫
岩井
髄膜腫
岩井
転移性脳腫瘍
岩井
転移性脳腫瘍
岩井
7月25日(火)
転移性脳腫瘍
岩井
転移性脳腫瘍
岩井
転移性脳腫瘍
岩井
7月27日(木)
下垂体腺腫
北野

緊急手術【直近の過去1週間 2023年7月14日(金)~2023年7月20日(木)】

手術日
術式
主病名
術名
手術医
(助手)
7月16日(日)
開頭
被殻出血
血腫除去術
久貝/殿元
7月18日(火)
開頭
慢性硬膜下血腫
血腫穿孔洗浄術
濵田
血管内
くも膜下出血
(内頚動脈後交通動脈分岐部動脈瘤破裂)
脳血管内手術
須山/松田/濵田
開頭
急性硬膜下血腫
血腫除去術
北島/殿元
7月19日(水)
開頭
くも膜下出血
(中大脳動脈瘤破裂)
クリッピング術
久貝/池間
7月20日(木)
開頭
両側慢性硬膜下血腫
血腫穿孔洗浄術
北島/野本
開頭
くも膜下出血
(中大脳動脈瘤破裂)
血腫除去術
久貝/池間/野本

予定手術【2023年7月14日(金)~2023年7月20日(木)】

※ 画像をクリックすると拡大表示します。

※ 表は横スクロールすることができます。

開頭症例

手術日
主病名
術名
手術医
(助手)
画像
7月14日(金)
脳動脈瘤(Lt.MC)
クリッピング術
富永/松田/野本
下垂体腫瘍
摘出術
北野
7月18日(火)
脊髄腫瘍
摘出術
乾/野本
7月19日(水)
眼窩腫瘍
摘出術
北野
腰椎骨性椎間孔狭窄症
後方除圧
乾/池間/野本
頚椎症性脊髄症
拡大椎弓形成術
乾/野本
左手根管症候群
左手根管開放術
乾/野本
硬膜動静脈瘻
流入血管遮断術
松田/北島
7月20日(木)
右顔面痙攣
微小血管減圧術
富永/向
腰椎椎間板ヘルニア
後方除圧
乾/野本
左急性硬膜下血腫
骨形成術
濵田

脳血管内手術症例

手術日
主病名
術名
手術医
(助手)
画像
7月19日(水)
左頚部内頚動脈狭窄症
経皮的頸動脈ステント留置術
松田/濵田

ガンマナイフ症例

手術日
主病名
担当医
7月18日(火)
右側聴神経腫瘍
岩井
三叉神経痛
岩井
7月19日(水)
下垂体腺腫
北野

緊急手術【直近の過去1週間 2023年7月7日(金)~2023年7月13日(木)】

手術日
術式
主病名
術名
手術医
(助手)
7月8日(土)
血管内
塞栓性脳梗塞
経皮的脳血栓回収術
芝野/北島/殿元
7月11日(火)
血管内
くも膜下出血
脳血管内手術
須山/久貝/濵田
開頭
被殻出血
血腫除去術
北島/野本/殿元

予定手術【2023年7月7日(金)~2023年7月13日(木)】

※ 画像をクリックすると拡大表示します。

※ 表は横スクロールすることができます。

開頭症例

手術日
主病名
術名
手術医
(助手)
画像
7月7日(金)
右側三叉神経痛
微小血管減圧術
岩井/古部/濵田
7月10日(月)
髄膜腫
摘出術
南田/古部/殿元
7月11日(火)
腰部脊柱管狭窄症
後方除圧
乾/池間/野本
閉鎖性硬膜外血腫
開頭血腫除去術
乾/野本
左急性硬膜下血腫
気管切開術
松田/濵田
7月12日(水)
頚椎後縦靭帯骨化症
前方固定術
乾/野本
腰部脊柱管狭窄症
後方除圧
乾/野本
7月13日(木)
腰部脊柱管狭窄症
後方除圧
乾/野本

脳血管内手術症例

手術日
主病名
術名
手術医
(助手)
画像
7月7日(金)
脳動静脈奇形
血管塞栓術
須山/久貝
7月10日(月)
内頚動脈狭窄症
経皮的頸動脈ステント留置術
久貝/池間
7月12日(水)
脳動静脈奇形
血管塞栓術
須山/久貝

ガンマナイフ症例

手術日
主病名
担当医
7月7日(金)
転移性脳腫瘍
北野
転移性脳腫瘍
北野
転移性脳腫瘍
北野
7月8日(土)
脳動静脈奇形
岩井
7月10日(月)
錐体斜台部髄膜腫
岩井
聴神経腫瘍
岩井
転移性脳腫瘍
岩井
三叉神経痛
岩井
転移性脳腫瘍
岩井
7月11日(火)
脳動静脈奇形
岩井
転移性脳腫瘍
岩井
髄膜腫
岩井
三叉神経痛
岩井
7月12日(水)
下垂体腺腫
北野

緊急手術【直近の過去1週間 2023年6月30日(金)~2023年7月6日(木)】

手術日
術式
主病名
術名
手術医
(助手)
7月1日(土)
開頭
急性硬膜下血腫
血腫除去術
減圧開頭術
濵田/山田
7月3日(月)
開頭
左急性硬膜下血腫
穿頭脳室ドレナージ
濵田
7月4日(火)
開頭
脳膿瘍
脳膿瘍排膿術
髄液漏閉鎖術
長尾/北島
開頭
両側慢性硬膜下血腫
血腫穿孔洗浄術
北島/殿元
7月5日(水)
開頭
慢性硬膜下血腫
血腫穿孔洗浄術
古部

予定手術【2023年6月30日(金)~2023年7月6日(木)】

※ 画像をクリックすると拡大表示します。

※ 表は横スクロールすることができます。

開頭症例

手術日
主病名
術名
手術医
(助手)
画像
6月30日(金)
下垂体腫瘍
修復術
北野
7月3日(月)
脳腫瘍
摘出術
北野
7月4日(火)
頚部脊柱管狭窄症
拡大椎弓形成術
乾/池間/野本
腰部脊柱管狭窄症
後方除圧
乾/池間/野本
髄膜腫
摘出術
南田/古部/濵田
7月5日(水)
頚部脊柱管狭窄症
拡大椎弓形成術
乾/池間/野本
腰部脊柱管狭窄症
後方除圧
乾/野本
7月6日(木)
右小脳腫瘍
摘出術
乾/野本

脳血管内手術症例

手術日
主病名
術名
手術医
(助手)
画像
7月3日(月)
髄膜腫
血管塞栓術
古部/古谷/木本
7月4日(火)
右前頭葉脳動静脈奇形
血管塞栓術
芝野/古谷/殿元/木本

ガンマナイフ症例

手術日
主病名
担当医
6月30日(金)
転移性脳腫瘍
岩井
7月1日(土)
左頭頂葉脳動静脈奇形
岩井
7月3日(月)
転移性脳腫瘍
岩井
7月4日(火)
三叉神経痛
岩井
転移性脳腫瘍
岩井
転移性脳腫瘍
岩井
右側聴神経腫瘍
岩井
7月5日(水)
下垂体腺腫
北野

緊急手術【直近の過去1週間 2023年6月23日(金)~2023年6月29日(木)】

手術日
術式
主病名
術名
手術医
(助手)
6月23日(金)
血管内
脳梗塞
経皮的脳血栓回収術
久貝/池間
開頭
外傷性慢性硬膜下血腫
血腫穿孔洗浄術
殿元
6月24日(土)
血管内
塞栓性脳梗塞
経皮的脳血栓回収術
松田/濵田/北島
6月27日(火)
開頭
小脳出血
穿頭脳室ドレナージ
減圧開頭術
南田/北島

予定手術【2023年6月23日(金)~2023年6月29日(木)】

※ 画像をクリックすると拡大表示します。

※ 表は横スクロールすることができます。

開頭症例

手術日
主病名
術名
手術医
(助手)
画像
6月23日(金)
脳動脈瘤(Rt.MC)
クリッピング術
久貝
6月26日(月)
開頭術後骨欠損
頭蓋形成術
北野
6月27日(火)
脳腫瘍
摘出術
南田/長尾
腰椎椎間板ヘルニア
後方除圧
乾/池間/野本
6月28日(水)
右三叉神経痛
微小血管減圧術
北野
頚部脊柱管狭窄症
拡大椎弓形成術
乾/池間/野本
腰部脊柱管狭窄症
後方除圧
乾/池間/野本
6月29日(木)
水頭症
第4脳室開放術
乾/野本

ガンマナイフ症例

手術日
主病名
担当医
6月24日(土)
錐体斜台部髄膜腫
岩井
6月26日(月)
転移性脳腫瘍
岩井
6月27日(火)
聴神経腫瘍
岩井
三叉神経痛
岩井
転移性脳腫瘍
岩井
6月29日(木)
転移性脳腫瘍
北野
聴神経腫瘍
北野

緊急手術【直近の過去1週間 2023年6月16日(金)~2023年6月22日(木)】

手術日
術式
主病名
術名
手術医
(助手)
6月17日(土)
開頭
VPシャント感染症
脳膿瘍全摘術
向/野本

予定手術【2023年6月16日(金)~2023年6月22日(木)】

※ 画像をクリックすると拡大表示します。

※ 表は横スクロールすることができます。

開頭症例

手術日
主病名
術名
手術医
(助手)
画像
6月19日(月)
左側頭葉腫瘤
摘出術
富永/南田/長尾/古谷
下垂体腺腫
摘出術
北野
6月20日(火)
腰部脊柱管狭窄症
後方除圧
乾/池間/野本
6月21日(水)
下垂体腺腫
摘出術
北野
頚椎黄色靱帯骨化症
後方除圧
乾/池間/野本
6月22日(木)
腰部脊柱管狭窄症
後方除圧
乾/池間/野本
水頭症
L-P Shunt
向/野本

脳血管内手術症例

手術日
主病名
術名
手術医
(助手)
画像
6月20日(火)
脳動脈瘤(Rt.IC)
フローダイバーター留置術
松田/木本
硬膜動静脈瘻
血管塞栓術
池間/木本

ガンマナイフ症例

手術日
主病名
担当医
6月20日(火)
転移性脳腫瘍
岩井
蝶形骨平面髄膜腫
岩井
左側聴神経腫瘍
岩井
転移性脳腫瘍
岩井
脳動静脈奇形
岩井
6月22日(木)
大脳鎌髄膜腫
北野
下垂体腺腫
北野

緊急手術【直近の過去1週間 2023年6月9日(金)~2023年6月11日(木)】

手術日
術式
主病名
術名
手術医
(助手)
6月9日(金)
開頭
脳室内出血
穿頭脳室ドレナージ
野本
開頭
脳室内出血
穿頭脳室ドレナージ
野本
6月11日(日)
開頭
硬膜動静脈瘻
クリッピング術
血腫除去術
松田/北島

予定手術【2023年6月9日(金)~2023年6月15日(木)】

※ 画像をクリックすると拡大表示します。

※ 表は横スクロールすることができます。

開頭症例

手術日
主病名
術名
手術医
(助手)
画像
6月9日(金)
水頭症
V-P Shunt
久貝
脳腫瘍
摘出術
久貝
脳動脈瘤(Lt.MC)
クリッピング術
松田/野本
6月12日(月)
右側後頭葉腫瘍
摘出術
岩井/向/殿元
右傍矢状洞髄膜腫
摘出術
南田/野本
6月13日(火)
水頭症
L-P Shunt
松田/野本
6月14日(水)
鞍結節部髄膜腫増大
摘出術
北野
6月15日(木)
右前頭葉脳動静脈奇形
摘出術
富永/芝野/殿元

脳血管内手術症例

手術日
主病名
術名
手術医
(助手)
画像
6月12日(月)
左頚部内頚動脈狭窄症
経皮的頸動脈ステント留置術
古部/古谷/木本
6月13日(火)
右前頭葉脳動静脈奇形
血管塞栓術
芝野/古谷/殿元/木本

ガンマナイフ症例

手術日
主病名
担当医
6月10日(土)
右側後頭葉腫瘍
岩井
6月12日(月)
転移性脳腫瘍
岩井
転移性脳腫瘍
岩井
6月13日(火)
転移性脳腫瘍
岩井
右前頭葉脳動静脈奇形
岩井
転移性脳腫瘍
岩井
三叉神経痛
岩井
6月15日(木)
転移性脳腫瘍
北野

緊急手術【直近の過去1週間 2023年6月2日(金)~2023年6月8日(木)】

手術日
術式
主病名
術名
手術医
(助手)
6月3日(土)
開頭
被殻出血
血腫除去術
乾/殿元

予定手術【2023年6月2日(金)~2023年6月8日(木)】

※ 画像をクリックすると拡大表示します。

※ 表は横スクロールすることができます。

開頭症例

手術日
主病名
術名
手術医
(助手)
画像
6月2日(金)
右側頭葉脳動静脈奇形
摘出術
富永/松田/野本
下垂体腺腫
摘出術
北野
水頭症
L-P Shunt
芝野
6月5日(月)
テント上脳腫瘍
摘出術
北野
三叉神経痛
微小血管減圧術
古部/野本
6月6日(火)
胸椎後縦靭帯骨化症
後方除圧
乾/池間/野本
頚椎症性脊髄症
頚椎後方除圧固定術
乾/池間/野本
6月7日(水)
腰椎神経鞘腫
摘出術
乾/池間/野本
6月8日(木)
左側前頭葉腫瘍
摘出術
岩井/濵田
頚椎椎間板ヘルニア
拡大椎弓形成術
乾/池間/野本

脳血管内手術症例

手術日
主病名
術名
手術医
(助手)
画像
6月5日(月)
硬膜動静脈瘻
血管塞栓術
松田/古谷/木本
脳動脈瘤(Rt.IC-PC)
脳血管内手術
長尾/木本
6月6日(火)
脳動脈瘤(Rt.IC)
脳血管内手術
芝野/古谷/殿元/木本
脳動脈瘤(Rt.VA)
脳血管内手術
松田/野本/木本

ガンマナイフ症例

手術日
主病名
担当医
6月6日(火)
脳動静脈奇形
岩井
転移性脳腫瘍
岩井
髄膜腫
岩井
左前頭葉血管周皮腫
岩井
6月8日(木)
転移性脳腫瘍
北野

緊急手術【直近の過去1週間 2023年5月26日(金)~2023年6月1日(木)】

手術日
術式
主病名
術名
手術医
(助手)
5月26日(金)
血管内
くも膜下出血
(内頚動脈後交通動脈分岐部動脈瘤破裂)
脳血管内手術
須山/久貝/芝野/池間
5月31日(水)
開頭
右慢性硬膜下血腫
血腫穿孔洗浄術
開頭
慢性硬膜下血腫
血腫穿孔洗浄術
池間
開頭
慢性硬膜下血腫
血腫穿孔洗浄術
濱田

予定手術【2023年5月26日(金)~2023年6月1日(木)】

※ 画像をクリックすると拡大表示します。

※ 表は横スクロールすることができます。

開頭症例

手術日
主病名
術名
手術医
(助手)
画像
5月29日(月)
小脳橋角部髄膜腫
摘出術
岩井/古部/殿元
5月30日(火)
頚椎後弯
頚椎後方固定術
乾/池間/野本
類皮腫
摘出術
南田/古部/濵田/殿元
5月31日(水)
神経膠腫
摘出術
富永/南田/古部/濵田
6月1日(木)
右顔面痙攣
微小血管減圧術
乾/池間/野本

脳血管内手術症例

手術日
主病名
術名
手術医
(助手)
画像
5月29日(月)
脳動脈瘤(Lt.IC)
脳血管内手術
長尾/古谷/木本
5月30日(火)
右側頭葉脳動静脈奇形
血管塞栓術
松田/野本/木本
脳動脈瘤(Lt.IC)
フローダイバーター留置術
北島/古谷/木本

ガンマナイフ症例

手術日
主病名
担当医
5月29日(月)
三叉神経痛
岩井
転移性脳腫瘍
岩井
5月30日(火)
脳動静脈奇形
岩井
転移性脳腫瘍
岩井
転移性脳腫瘍
岩井
傍矢状洞悪性血管周皮腫
岩井
三叉神経痛
岩井
6月1日(木)
髄膜腫
北野

予定手術【2023年5月19日(金)~2023年5月25日(木)】

※ 画像をクリックすると拡大表示します。

※ 表は横スクロールすることができます。

開頭症例

手術日
主病名
術名
手術医
(助手)
画像
5月19日(金)
下垂体巨大腺腫
摘出術
北野
5月22日(月)
脳動脈瘤(Lt.MC)
クリッピング術
北野
左側三叉神経痛
微小血管減圧術
岩井/古部/殿元
左側頭葉腫瘍
生検
南田/殿元
5月23日(火)
腰部脊柱管狭窄症
後方除圧
乾/池間/野本
5月24日(水)
三叉神経痛
微小血管減圧術
富永/古部/殿元
下垂体腺腫
摘出術
北野
頚部脊柱管狭窄症
後方除圧
乾/池間/野本
5月25日(木)
腰部脊柱管狭窄症
後方除圧
乾/野本

脳血管内手術症例

手術日
主病名
術名
手術医
(助手)
画像
5月22日(月)
脳動脈瘤(BA)
脳血管内手術
芝野/古谷/殿元/木本
5月23日(火)
脳動脈瘤(Acom)
脳血管内手術
長尾/古谷/木本
5月24日(水)
脳動脈瘤(Rt.IC)
脳血管内手術
須山/久貝

ガンマナイフ症例

手術日
主病名
担当医
5月22日(月)
左聴神経腫瘍
岩井
5月23日(火)
転移性脳腫瘍
岩井
聴神経腫瘍
岩井
転移性脳腫瘍
岩井
髄膜腫
岩井
5月25日(木)
転移性脳腫瘍
北野

緊急手術【直近の過去1週間 2023年5月12日(金)~2023年5月18日(木)】

手術日
術式
主病名
術名
手術医
(助手)
5月12日(金)
開頭
髄膜腫
摘出術
北野/北島/古谷
5月14日(日)
開頭
左被殻出血
血腫除去術
古部/向
5月15日(月)
開頭
脳腫瘍
穿頭脳室ドレナージ
濵田
5月17日(水)
血管内
脳外主幹動脈血栓症脳梗塞
経皮的脳血栓回収術
松田/古谷/殿元

予定手術【2023年5月12日(金)~2023年5月18日(木)】

※ 画像をクリックすると拡大表示します。

※ 表は横スクロールすることができます。

開頭症例

手術日
主病名
術名
手術医
(助手)
画像
5月12日(金)
下垂体腺腫
摘出術
北野
小脳血管芽腫
摘出術
古部
5月15日(月)
脳腫瘍
摘出術
北野
脳腫瘍
摘出術
南田/長尾/濵田
5月17日(水)
硬膜動静脈瘻
流入血管遮断術
南田/古部/向

脳血管内手術症例

手術日
主病名
術名
手術医
(助手)
画像
5月16日(火)
右前頭葉脳動静脈奇形
血管塞栓術
芝野/古谷/殿元/木本
脳動脈瘤(Acom)
脳血管内手術
長尾/古谷/木本
5月17日(水)
右内頚動脈狭窄症
経皮的頸動脈ステント留置術
松田/濵田
脳動脈瘤(Acom)
脳血管内手術
松田/野本

ガンマナイフ症例

手術日
主病名
担当医
5月17日(水)
下垂体腺腫
北野
5月18日(木)
転移性脳腫瘍
北野
転移性脳腫瘍
北野

緊急手術【直近の過去1週間 2023年5月5日(金)~2023年5月11日(木)】

手術日
術式
主病名
術名
手術医
(助手)
5月6日(土)
開頭
慢性硬膜下血腫
血腫穿孔洗浄術
濵田
5月7日(日)
開頭
くも膜下出血
(左内頚動脈後交通動脈分岐部動脈瘤破裂)
クリッピング術
久貝/向
5月8日(月)
開頭
内頚動脈後交通動脈分岐部動脈瘤
クリッピング術
松田/北島
開頭
慢性硬膜下血腫
血腫穿孔洗浄術
池間
5月9日(火)
開頭
下垂体卒中
摘出術
北野/濵田
5月11日(木)
開頭
左慢性硬膜下血腫
血腫穿孔洗浄術

予定手術【2023年5月5日(金)~2023年5月11日(木)】

※ 画像をクリックすると拡大表示します。

※ 表は横スクロールすることができます。

開頭症例

手術日
主病名
術名
手術医
(助手)
画像
5月8日(月)
三叉神経鞘腫
摘出術
北野
血管芽細胞腫
摘出術
岩井/古部/野本
5月9日(火)
腰部脊柱管狭窄症
後方除圧
乾/池間/野本
大脳鎌髄膜腫
摘出術
久貝
脳動脈瘤(Rt.MC)
クリッピング術
長尾/古谷
5月10日(水)
髄膜腫
摘出術
北野
腰部脊柱管狭窄症
後方除圧
乾/池間/野本
5月11日(木)
頚椎後縦靭帯骨化症
人工椎体置換
乾/池間/野本

脳血管内手術症例

手術日
主病名
術名
手術医
(助手)
画像
5月9日(火)
脳動脈瘤(Lt.IC-PC)
脳血管内手術
芝野/古谷/殿元/木本
硬膜動静脈瘻
血管塞栓術
向/木本
5月10日(水)
脳動脈瘤(Lt.IC)
脳血管内手術
須山/久貝

ガンマナイフ症例

手術日
主病名
担当医
5月8日(月)
聴神経腫瘍
岩井
5月9日(火)
転移性脳腫瘍
岩井
転移性脳腫瘍
岩井
脳動静脈奇形
岩井
5月11日(木)
転移性脳腫瘍
北野

緊急手術【直近の過去1週間 2023年4月21日(金)~2023年4月27日(木)】

手術日
術式
主病名
術名
手術医
(助手)
4月28日(金)
開頭
慢性硬膜下血腫
血腫穿孔洗浄術
野本
5月2日(火)
開頭
くも膜下出血
(内頚動脈瘤破裂)
クリッピング術
芝野/北島
5月4日(木)
血管内
心原性脳塞栓症
経皮的脳血栓回収術
久貝/濵田

予定手術【2023年4月28日(金)~2023年5月4日(木)】

※ 画像をクリックすると拡大表示します。

※ 表は横スクロールすることができます。

開頭症例

手術日
主病名
術名
手術医
(助手)
画像
4月28日(金)
頭蓋咽頭腫
摘出術
北野
5月1日(月)
下垂体腫瘍
摘出術
北野
5月2日(火)
脳腫瘍
摘出術
南田/長尾/濵田
中頭蓋窩髄膜腫
摘出術
久貝

ガンマナイフ症例

手術日
主病名
担当医
4月28日(金)
転移性脳腫瘍
岩井
5月1日(月)
傍矢状洞悪性血管周皮腫
岩井
転移性脳腫瘍
岩井
転移性脳腫瘍
岩井

予定手術【2023年4月21日(金)~2023年4月27日(木)】

※ 画像をクリックすると拡大表示します。

※ 表は横スクロールすることができます。

開頭症例

手術日
主病名
術名
手術医
(助手)
画像
4月21日(金)
右頚部内頚動脈狭窄症
内頚動脈内膜剥離術
久貝
左顔面痙攣
微小血管減圧術
松田/野本
4月24日(月)
錐体斜台部髄膜腫
修復術
北野
顔面痙攣症
微小血管減圧術
南田/古部/殿元
4月25日(火)
腰部脊柱管狭窄症
後方除圧
乾/池間/野本
蝶形骨稜髄膜腫
摘出術
南田/濵田/殿元
左頚部内頚動脈狭窄症
内頚動脈内膜剥離術
松田/長尾/濵田
4月26日(水)
下垂体腺腫
摘出術
北野
下垂体腺腫
摘出術
北野
脊髄空洞症
大孔部減圧術
乾/池間/野本
脳動脈瘤(Acom)
クリッピング術
久貝/古部/向
4月27日(木)
頚椎椎間板ヘルニア
前方固定術
乾/池間/野本
脳動脈瘤(Lt.MC)
クリッピング術
久貝/向
三叉神経痛
微小血管減圧術
長尾

脳血管内手術症例

手術日
主病名
術名
手術医
(助手)
画像
4月24日(月)
脳動脈瘤(Lt.PC)
脳血管内手術
芝野/古谷/殿元/木本
4月25日(火)
両頚部内頚動脈狭窄症
経皮的頸動脈ステント留置術
長尾/古谷/木本
4月26日(水)
左内頚動脈狭窄症
経皮的頸動脈ステント留置術
松田/殿元

ガンマナイフ症例

手術日
主病名
担当医
4月21日(金)
転移性脳腫瘍
北野
転移性脳腫瘍
岩井
転移性脳腫瘍
岩井
4月24日(月)
テント上下髄膜腫
岩井
転移性脳腫瘍
岩井
転移性脳腫瘍
岩井
左錐体斜台部髄膜腫
岩井
神経鞘腫
岩井
転移性脳腫瘍
岩井
4月25日(火)
脳動静脈奇形
岩井
転移性脳腫瘍
岩井
転移性脳腫瘍
岩井
転移性脳腫瘍
岩井
4月27日(木)
下垂体腺腫
北野

緊急手術【直近の過去1週間 2023年4月14日(金)~2023年4月20日(木)】

手術日
術式
主病名
術名
手術医
(助手)
4月16日(日)
開頭
くも膜下出血
(内頚動脈後交通動脈分岐部動脈瘤破裂)
クリッピング術
久貝/池間
4月17日(月)
開頭
左頭頂葉脳皮質下出血
血腫除去術
乾/濵田
4月18日(火)
開頭
慢性硬膜下血腫
血腫穿孔洗浄術
池間
4月19日(水)
開頭
慢性硬膜下血腫
血腫穿孔洗浄術
殿元

予定手術【2023年4月14日(金)~2023年4月20日(木)】

※ 画像をクリックすると拡大表示します。

※ 表は横スクロールすることができます。

開頭症例

手術日
主病名
術名
手術医
(助手)
画像
4月14日(金)
脳腫瘍
摘出術
北野
4月17日(月)
右頭頂葉腫瘍
摘出術
長尾/濵田
4月18日(火)
腰部脊柱管狭窄症
後方除圧
乾/池間/野本
腰部脊柱管狭窄症
後方除圧
乾/殿元
水頭症
V-P Shunt
南田/古谷
水頭症
L-P Shunt
長尾/北島/古谷
4月19日(水)
脳動脈瘤(Lt.MC・Rt.MC)
クリッピング術
南田/古部/向
4月20日(木)
歯突起骨折
後方固定術
乾/濵田
左中大脳動脈閉塞症
血行再建術
久貝
水頭症
V-P Shunt
向/野本

脳血管内手術症例

手術日
主病名
術名
手術医
(助手)
画像
4月18日(火)
右前頭葉脳動静脈奇形
血管塞栓術
芝野/古谷/殿元/木本

ガンマナイフ症例

手術日
主病名
担当医
4月14日(金)
髄膜腫
岩井
4月15日(土)
転移性脳腫瘍
岩井
転移性脳腫瘍
山里
4月17日(月)
左聴神経鞘腫
岩井
聴神経腫瘍
岩井
転移性脳腫瘍
岩井
転移性脳腫瘍
岩井
4月18日(火)
三叉神経痛
岩井
聴神経腫瘍
岩井
テント上下髄膜腫
岩井

緊急手術【直近の過去1週間 2023年4月7日(金)~2023年4月13日(木)】

手術日
術式
主病名
術名
手術医
(助手)
4月7日(金)
開頭
慢性硬膜下血腫
血腫穿孔洗浄術
野本
4月10日(月)
開頭
左慢性硬膜下血腫
血腫穿孔洗浄術
殿元
開頭
外傷性慢性硬膜下血腫
血腫穿孔洗浄術
古部

予定手術【2023年4月7日(金)~2023年4月13日(木)】

※ 画像をクリックすると拡大表示します。

※ 表は横スクロールすることができます。

開頭症例

手術日
主病名
術名
手術医
(助手)
画像
4月7日(金)
下垂体腺腫
摘出術
北野
4月11日(火)
腰部脊柱管狭窄症
後方除圧
乾/池間/野本
頚椎症性神経根症
前方固定術
乾/殿元
前頭葉星細胞腫
摘出術
南田/向
右中大脳動脈狭窄症
血行再建術
久貝
4月12日(水)
下垂体腺腫
摘出術
北野
右手根管症候群
右手根管開放術
乾/殿元
脳動脈瘤(Acom)
クリッピング術
久貝/古部/向

脳血管内手術症例

手術日
主病名
術名
手術医
(助手)
画像
4月12日(水)
脳動静脈奇形
血管塞栓術
須山/久貝
脳動脈瘤(Lt.MC)
脳血管内手術
松田/野本
4月13日(木)
左内頚動脈狭窄症
経皮的頸動脈ステント留置術
長尾/北島

ガンマナイフ症例

手術日
主病名
担当医
4月7日(金)
転移性脳腫瘍
岩井
4月10日(月)
転移性脳腫瘍
岩井
転移性脳腫瘍
岩井
転移性脳腫瘍
岩井

緊急手術【直近の過去1週間 2023年3月31日(金)~2023年4月6日(木)】

手術日
術式
主病名
術名
手術医
(助手)
3月31日(金)
開頭
脳皮質下出血
血腫除去術
南田/濵田
4月1日(土)
開頭
非外傷性急性硬膜下血腫
血腫除去術
南田/北島
開頭
慢性硬膜下血腫
血腫穿孔洗浄術
野本
4月2日(日)
開頭
急性硬膜外血腫
血腫除去術
古部/向
開頭
慢性硬膜下血腫
血腫穿孔洗浄術
野本
4月4日(火)
開頭
被殻出血
血腫除去術
北島/殿元
4月6日(木)
血管内
左頚部内頚動脈狭窄症
経皮的頸動脈ステント留置術
経皮的脳血栓回収術
久貝/芝野/池間

予定手術【2023年3月31日(金)~2023年4月6日(木)】

※ 画像をクリックすると拡大表示します。

※ 表は横スクロールすることができます。

開頭症例

手術日
主病名
術名
手術医
(助手)
画像
3月31日(金)
鞍上部腫瘍
摘出術
北野
脳動脈瘤(Acom)
クリッピング術
松田/濵田/古谷
4月4日(火)
小脳円蓋部髄膜腫
摘出術
乾/殿元
脳腫瘍
生検
南田/長尾/濵田
もやもや病
血行再建術
久貝
4月5日(水)
下垂体腺腫
摘出術
北野
左顔面痙攣
微小血管減圧術
南田/古部/向
開頭術後骨欠損
開頭血腫除去術
久貝
水頭症
V-P Shunt
古部/向/野本
4月6日(木)
脳動脈瘤(Rt.MC)
クリッピング術
乾/殿元
左頚部内頚動脈狭窄症
内頚動脈内膜剥離術
久貝

脳血管内手術症例

手術日
主病名
術名
手術医
(助手)
画像
3月31日(金)
左内頚動脈狭窄症
経皮的頸動脈ステント留置術
須山/久貝/池間/野本
4月1日(土)
右内頚動脈狭窄症
経皮的頸動脈ステント留置術
須山/久貝/向/野本

ガンマナイフ症例

手術日
主病名
担当医
3月31日(金)
海綿状血管腫
岩井
4月3日(月)
転移性脳腫瘍
岩井
後頭蓋窩髄膜腫
岩井
転移性脳腫瘍
岩井
傍矢状洞髄膜腫
岩井
4月4日(火)
転移性脳腫瘍
岩井
4月5日(水)
頭蓋咽頭腫
北野
4月6日(木)
転移性脳腫瘍
北野
左蝶形骨稜髄膜腫
岩井

緊急手術【直近の過去1週間 2023年3月24日(金)~2023年3月30日(木)】

手術日
術式
主病名
術名
手術医
(助手)
3月24日(金)
開頭
脳皮質下出血
血腫除去術
乾/濵田/殿元
3月27日(月)
開頭
慢性硬膜下血腫
血腫穿孔洗浄術
濱田
3月28日(火)
開頭
非外傷性急性硬膜下血腫
血腫穿孔洗浄術
北島
開頭
くも膜下出血
クリッピング術
南田/野本
3月29日(水)
血管内
くも膜下出血
(内頚動脈瘤破裂)
脳血管内手術
須山/久貝/芝野/池間

予定手術【2023年3月24日(金)~2023年3月30日(木)】

※ 画像をクリックすると拡大表示します。

※ 表は横スクロールすることができます。

開頭症例

手術日
主病名
術名
手術医
(助手)
画像
3月24日(金)
脳動静脈奇形
摘出術
富永/久貝/殿元
ラトケのう胞
摘出術
北野
3月27日(月)
嗅窩髄膜腫
摘出術
北野
脳腫瘍
摘出術
南田/長尾/北島/矢田
3月28日(火)
腰部脊柱管狭窄症
後方除圧
乾/殿元
脳動脈瘤(Rt.AC)
クリッピング術
久貝/池間/野本
3月29日(水)
脳動静脈奇形
摘出術
富永/乾/野本
3月30日(木)
頚椎椎間板ヘルニア
人工椎間板置換術
乾/殿元
脳動脈瘤(Rt.MC)
クリッピング術
久貝/向/野本

脳血管内手術症例

手術日
主病名
術名
手術医
(助手)
画像
3月27日(月)
脳動脈瘤(Lt.IC)
フローダイバーター留置術
芝野/殿元/木本
脳動静脈奇形
血管塞栓術
野本/木本
3月28日(火)
右前頭葉脳動静脈奇形
血管塞栓術
芝野/矢田/古谷/木本
右内頚動脈狭窄症
経皮的頸動脈ステント留置術
向/野本/木本
3月29日(水)
脳動脈瘤(Lt.IC)
脳血管内手術
須山/久貝/池間/野本

ガンマナイフ症例

手術日
主病名
担当医
3月24日(金)
転移性脳腫瘍
岩井
右前頭葉退形成性星細胞腫
岩井
3月25日(土)
転移性脳腫瘍
山里
転移性脳腫瘍
山里
3月27日(月)
転移性脳腫瘍
岩井
3月28日(火)
神経鞘腫
岩井
転移性脳腫瘍
岩井

緊急手術【直近の過去1週間 2023年3月17日(金)~2023年3月23日(木)】

手術日
術式
主病名
術名
手術医
(助手)
3月19日(日)
開頭
右慢性硬膜下血腫
血腫穿孔洗浄術
古谷
3月20日(月)
開頭
被殻出血
血腫除去術
芝野/殿元
開頭
外傷性慢性硬膜下血腫
血腫穿孔洗浄術
北島

予定手術【2023年3月17日(金)~2023年3月23日(木)】

※ 画像をクリックすると拡大表示します。

※ 表は横スクロールすることができます。

開頭症例

手術日
主病名
術名
手術医
(助手)
画像
3月17日(金)
蝶形骨稜髄膜腫
摘出術
北野/久貝/池間/野本
3月20日(月)
右後頭葉神経膠腫
摘出術
北野/古部/野本
3月22日(水)
下垂体腺腫
摘出術
北野
腰部脊柱管狭窄症
後方除圧
乾/殿元
3月23日(木)
頚部脊柱管狭窄症
拡大椎弓形成術
乾/殿元

脳血管内手術症例

手術日
主病名
術名
手術医
(助手)
画像
3月20日(月)
左頚部内頚動脈狭窄症
経皮的頸動脈ステント留置術
木本/芝野/矢田/古谷
3月22日(水)
脳動静脈奇形
血管塞栓術
須山/久貝/殿元

ガンマナイフ症例

手術日
主病名
担当医
3月18日(土)
転移性脳腫瘍
山里
3月20日(月)
転移性脳腫瘍
岩井
傍矢状洞髄膜腫
岩井
転移性脳腫瘍
岩井
転移性脳腫瘍
岩井
3月23日(木)
右円蓋部悪性髄膜腫
北野

緊急手術【直近の過去1週間 2023年3月10日(金)~2023年3月16日(木)】

手術日
術式
主病名
術名
手術医
(助手)
3月10日(金)
開頭
被殻出血
血腫除去術
穿頭脳室ドレナージ
南田/濵田
開頭
急性硬膜下血腫
血腫除去術
古部/北島
3月11日(土)
開頭
左被殻出血
血腫除去術
芝野/古谷

予定手術【2023年3月10日(金)~2023年3月16日(木)】

※ 画像をクリックすると拡大表示します。

※ 表は横スクロールすることができます。

開頭症例

手術日
主病名
術名
手術医
(助手)
画像
3月10日(金)
下垂体腫瘍
摘出術
北野
水頭症
V-P Shunt
久貝/池間/野本
脳動脈瘤(Rt.MC)
頭蓋形成術
矢田
3月13日(月)
下垂体腺腫
摘出術
北野
右顔面痙攣
微小血管減圧術
南田/古部/矢田
3月14日(火)
腰椎骨性椎間孔狭窄症
後方除圧
乾/殿元
右前頭葉くも膜のう胞
V-P Shunt
南田/古谷
脳動脈瘤(Acom)
クリッピング術
久貝/池間/野本
3月15日(水)
下垂体腺腫
摘出術
北野
左三叉神経痛
微小血管減圧術
岩井/古部/向
右手根管症候群
右手根管開放術
乾/殿元
3月16日(木)
腰椎椎間板ヘルニア
Love法
乾/殿元
脳動脈瘤(Rt.IC-PC)
V-P Shunt
向/野本/矢田

脳血管内手術症例

手術日
主病名
術名
手術医
(助手)
画像
3月10日(金)
左頚部内頚動脈狭窄症
経皮的頸動脈ステント留置術
松田/濵田/古谷
3月13日(月)
脳動脈瘤(Rt.IC)
フローダイバーター留置術
木本/芝野/池間
左頚部内頚動脈狭窄症
脳血管内手術
木本/芝野/矢田/古谷
左海綿静脈洞部硬膜動静脈瘻
脳血管内手術
木本/向/野本
3月14日(火)
右前頭葉脳動静脈奇形
血管塞栓術
木本/芝野/矢田/古谷
脳動脈瘤(BA・Rt.MC・Rt.IC-PC)
脳血管内手術
木本/松田/濵田/古谷
未破裂脳動脈瘤(Rt.IC)
脳血管内手術
木本/松田/濵田/古谷
3月15日(水)
蝶形骨稜髄膜腫
脳血管内手術
須山/久貝/池間/野本

ガンマナイフ症例

手術日
主病名
担当医
3月11日(土)
転移性脳腫瘍
山里
3月13日(月)
悪性第4脳室脈絡叢乳頭腫
岩井
右前頭葉膠芽腫
岩井
髄膜腫
岩井
転移性脳腫瘍
岩井
3月14日(火)
転移性脳腫瘍
岩井
3月16日(木)
転移性脳腫瘍
北野

緊急手術【直近の過去1週間 2023年3月3日(金)~2023年3月9日(木)】

手術日
術式
主病名
術名
手術医
(助手)
3月3日(金)
開頭
くも膜下出血
(右内頚動脈後交通動脈分岐部動脈瘤破裂)
クリッピング術
血腫除去術
乾/古部/向
3月8日(水)
血管内
くも膜下出血
(前交通動脈瘤破裂)
脳血管内手術
須山/久貝/長尾/古谷

予定手術【2023年3月3日(金)~2023年3月9日(木)】

※ 画像をクリックすると拡大表示します。

※ 表は横スクロールすることができます。

開頭症例

手術日
主病名
術名
手術医
(助手)
画像
3月3日(金)
脳動脈瘤(Rt.MC)
クリッピング術
富永/松田/濵田/古谷
下垂体腺腫
摘出術
北野
三叉神経痛
微小血管減圧術
岩井/古部/矢田
3月6日(月)
下垂体腺腫
摘出術
北野
顔面痙攣
微小血管減圧術
南田/長尾
3月7日(火)
腰部脊柱管狭窄症
後方除圧
乾/殿元
3月8日(水)
下垂体腺腫
摘出術
北野
頚椎症性脊髄症
前方固定術
乾/殿元
左顔面痙攣
微小血管減圧術
久貝
3月9日(木)
脳動脈瘤(Acom)
クリッピング術
乾/北島
脳動脈瘤(Acom)
クリッピング術
久貝/池間/野本
脳動脈瘤(Lt.IC-PC・Rt.IC-PC)
クリッピング術
芝野/矢田

脳血管内手術症例

手術日
主病名
術名
手術医
(助手)
画像
3月6日(月)
右頚部内頚動脈狭窄症
経皮的頸動脈ステント留置術
木本/芝野/矢田/古谷
右側頭葉脳動静脈奇形
血管塞栓術
木本/古部
3月7日(火)
脳動脈瘤(Rt.IC-PC)
脳血管内手術
木本/松田/濵田/古谷
脳動脈瘤(Acom)
脳血管内手術
木本/長尾

ガンマナイフ症例

手術日
主病名
担当医
3月6日(月)
傍矢状洞髄膜腫
岩井
転移性脳腫瘍
岩井
3月7日(火)
転移性脳腫瘍
岩井
転移性脳腫瘍
岩井
3月9日(木)
聴神経腫瘍
北野

緊急手術【直近の過去1週間 2023年2月24日(金)~2023年3月2日(木)】

手術日
術式
主病名
術名
手術医
(助手)
2月26日(日)
血管内
くも膜下出血
(内頚動脈後交通動脈分岐部動脈瘤破裂)
脳血管内手術
須山/久貝/長尾/矢田
2月27日(月)
開頭
外傷性慢性硬膜下血腫
血腫穿孔洗浄術
矢田
3月2日(木)
開頭
右側頭葉腫瘍
血腫除去術
向/野本
血管内
左前頭葉脳動静脈奇形
脳血管内手術
須山/芝野

予定手術【2023年2月24日(金)~2023年3月2日(木)】

※ 画像をクリックすると拡大表示します。

※ 表は横スクロールすることができます。

開頭症例

手術日
主病名
術名
手術医
(助手)
画像
2月24日(金)
円蓋部髄膜腫
摘出術
松田/濵田/古谷
2月27日(月)
顔面痙攣
微小血管減圧術
南田/古谷
2月28日(火)
右手根管症候群
右手根管開放術
乾/殿元
左手根管症候群
左手根管開放術
乾/殿元
3月1日(水)
鞍結節部髄膜腫
拡大ハーディ
北野
3月2日(木)
腰部脊柱管狭窄症
椎弓切除
乾/殿元

脳血管内手術症例

手術日
主病名
術名
手術医
(助手)
画像
2月27日(月)
左前頭葉脳動静脈奇形
血管塞栓術
木本/芝野/矢田
2月28日(火)
脳動脈瘤(Lt.IC)
脳血管内手術
木本/松田/濵田/古谷
右内頚動脈狭窄症
経皮的頸動脈ステント留置術
木本/松田/古谷
右内頚動脈狭窄症
経皮的頸動脈ステント留置術
木本/向/野本

ガンマナイフ症例

手術日
主病名
担当医
2月24日(金)
転移性脳腫瘍
北野
左聴神経腫瘍
岩井
三叉神経痛
岩井
三叉神経痛
岩井
2月27日(月)
左眼窩内海綿状血管腫
岩井
円蓋部髄膜腫
岩井
2月28日(火)
転移性脳腫瘍
岩井
3月2日(木)
転移性脳腫瘍
北野
転移性脳腫瘍
北野
右小脳橋角部髄膜腫
北野
転移性脳腫瘍
北野
左小脳海綿状血管腫
北野

緊急手術【直近の過去1週間 2023年2月17日(金)~2023年2月23日(木)】

手術日
術式
主病名
術名
手術医
(助手)
2月18日(土)
開頭
慢性硬膜下血腫
血腫穿孔洗浄術
濵田
開頭
右外傷性慢性硬膜下血腫
血腫穿孔洗浄術
向/殿元
2月21日(火)
開頭
慢性硬膜下血腫
血腫穿孔洗浄術
濵田
2月22日(水)
開頭
慢性硬膜下血腫
血腫穿孔洗浄術
古部
開頭
慢性硬膜下血腫
血腫除去術
松田/濵田
開頭
慢性硬膜下血腫
血腫穿孔洗浄術
北島

予定手術【2023年2月17日(金)~2023年2月23日(木)】

※ 画像をクリックすると拡大表示します。

※ 表は横スクロールすることができます。

開頭症例

手術日
主病名
術名
手術医
(助手)
画像
2月17日(金)
脳動脈瘤(Rt.MC)
クリッピング術
富永/松田/濵田/古谷
2月20日(月)
三叉神経痛
微小血管減圧術
岩井/古部/野本
2月21日(火)
腰椎椎間板ヘルニア
前方固定術
乾/殿元
2月22日(水)
下垂体腺腫
摘出術
北野
頚椎症性脊髄症
拡大椎弓形成術
乾/殿元
脳動脈瘤(Rt.IC-PC)
クリッピング術
松田/向/矢田

脳血管内手術症例

手術日
主病名
術名
手術医
(助手)
画像
2月20日(月)
右内頚動脈狭窄症
経皮的頸動脈ステント留置術
木本/芝野/矢田/古谷
両内頚動脈狭窄症
経皮的頸動脈ステント留置術
木本/松田/古谷
2月21日(火)
硬膜動静脈瘻
血管塞栓術
木本/芝野/矢田/古谷
脳動脈瘤(Rt.IC)
脳血管内手術
木本/向/矢田

ガンマナイフ症例

手術日
主病名
担当医
2月17日(金)
転移性脳腫瘍
岩井
転移性脳腫瘍
岩井
転移性脳腫瘍
岩井
転移性脳腫瘍
岩井
膠芽腫
岩井
2月18日(土)
三叉神経痛
岩井
2月20日(月)
聴神経腫瘍
岩井
2月21日(火)
錐体斜台部髄膜腫
岩井
脳動静脈奇形
岩井

緊急手術【直近の過去1週間 2023年2月10日(金)~2023年2月16日(木)】

手術日
術式
主病名
術名
手術医
(助手)
2月10日(金)
血管内
くも膜下出血
血管塞栓術
須山/久貝/濵田
2月11日(土)
血管内
塞栓性脳梗塞・急性期
経皮的脳血栓回収術
久貝/松田/古谷
開頭
くも膜下出血
減圧開頭術
血腫除去術
久貝
2月13日(月)
開頭
被殻出血
血腫除去術
久貝/濵田
2月14日(火)
血管内
くも膜下出血
(右内頚動脈後交通動脈分岐部動脈瘤破裂)
脳血管内手術
須山/久貝/向
2月15日(水)
開頭
脳皮質下出血
脳動静脈奇形摘出術
穿頭脳室ドレナージ
血腫除去術
松田/長尾/殿元

予定手術【2023年2月10日(金)~2023年2月16日(木)】

※ 画像をクリックすると拡大表示します。

※ 表は横スクロールすることができます。

開頭症例

手術日
主病名
術名
手術医
(助手)
画像
2月10日(金)
左小脳海綿状血管腫
摘出術
富永/松田/濵田/古谷
2月13日(月)
下垂体腺腫
摘出術
北野
左側頭葉神経膠腫
摘出術
南田/古谷
2月15日(水)
脳腫瘍
摘出術
北野/野本
脳動脈瘤(Lt.MC)
クリッピング術
松田/濵田/古谷
2月16日(木)
腰部脊柱管狭窄症
後方除圧
乾/殿元

脳血管内手術症例

手術日
主病名
術名
手術医
(助手)
画像
2月14日(火)
脳動脈瘤(Lt.IC)
脳血管内手術
木本/松田/濵田/古谷
脳動脈瘤(Lt.AC)
脳血管内手術
木本/向/矢田
2月15日(水)
脳動静脈奇形
血管塞栓術
須山/久貝/池間/野本

ガンマナイフ症例

手術日
主病名
担当医
2月15日(水)
転移性脳腫瘍
岩井
2月16日(木)
脳幹部海綿状血管腫
北野
聴神経腫瘍
北野

緊急手術【直近の過去1週間 2023年2月3日(金)~2023年2月9日(木)】

手術日
術式
主病名
術名
手術医
(助手)
2月5日(日)
血管内
くも膜下出血
(前大脳動脈瘤破裂)
脳血管内手術
須山/久貝/芝野/古谷
2月6日(月)
血管内
くも膜下出血
(内頚動脈後交通動脈分岐部動脈瘤破裂)
脳血管内手術
須山/久貝/矢田
開頭
視床出血
血腫除去術
芝野/古部/殿元
2月7日(火)
開頭
急性硬膜下血腫
血腫除去術
芝野/野本
開頭
左慢性硬膜下血腫
血腫穿孔洗浄術
北島/古谷
2月9日(木)
開頭
右慢性硬膜下血腫
血腫穿孔洗浄術
血管内
硬膜動静脈瘻
脳血管内手術
須山/久貝/芝野/殿元

予定手術【2023年2月3日(金)~2023年2月9日(木)】

※ 画像をクリックすると拡大表示します。

※ 表は横スクロールすることができます。

開頭症例

手術日
主病名
術名
手術医
(助手)
画像
2月3日(金)
左顔面痙攣
微小血管減圧術
松田/濵田/古谷
2月6日(月)
三叉神経痛
微小血管減圧術
南田/古谷
2月7日(火)
胸椎黄色靱帯骨化症
後方除圧
乾/殿元
脳動脈瘤(Rt.AC)
クリッピング術
南田/古部/矢田
2月8日(水)
鞍結節部髄膜腫
拡大ハーディ
北野
脳動脈瘤(Lt.MC)
クリッピング術
乾/濵田
2月9日(木)
左内頚動脈狭窄症
内頚動脈内膜剥離術
久貝/野本

脳血管内手術症例

手術日
主病名
術名
手術医
(助手)
画像
2月6日(月)
右頚部内頚動脈狭窄症
経皮的頸動脈ステント留置術
木本/芝野/矢田/古谷
脳動静脈奇形
血管塞栓術
木本/松田/北島
2月7日(火)
脳動脈瘤(Rt.IC)
脳血管内手術
木本/松田/濵田/古谷
右内頚動脈狭窄症
経皮的頸動脈ステント留置術
木本/向/野本
2月8日(水)
硬膜動静脈瘻
血管塞栓術
須山/久貝/池間/野本

ガンマナイフ症例

手術日
主病名
担当医
2月6日(月)
転移性脳腫瘍
岩井
脳動静脈奇形
岩井
転移性脳腫瘍
岩井
転移性脳腫瘍
岩井
2月7日(火)
転移性脳腫瘍
岩井
転移性脳腫瘍
岩井
転移性脳腫瘍
岩井
2月8日(水)
松果体腫瘍
北野
2月9日(木)
傍矢状洞髄膜腫
北野
転移性脳腫瘍
北野

緊急手術【直近の過去1週間 2023年1月27日(金)~2023年2月2日(木)】

手術日
術式
主病名
術名
手術医
(助手)
1月27日(金)
開頭
被殻出血
血腫除去術
南田/濵田
1月29日(日)
開頭
小脳出血
穿頭脳室ドレナージ
山田/濵田
1月30日(月)
開頭
脳室内出血
血腫除去術
久貝/古部

予定手術【2023年1月27日(金)~2023年2月2日(木)】

※ 画像をクリックすると拡大表示します。

※ 表は横スクロールすることができます。

開頭症例

手術日
主病名
術名
手術医
(助手)
画像
1月27日(金)
脳動脈瘤(Lt.IC-PC)
クリッピング術
芝野/矢田
脳動脈瘤(Rt.MC)
クリッピング術
松田/濵田/古谷
1月31日(火)
左脊髄神経鞘腫
摘出術
乾/殿元
右顔面痙攣
微小血管減圧術
松田/濵田/古谷
2月1日(水)
右小脳橋角部髄膜腫
摘出術
北野/久貝/池間/矢田
2月2日(木)
傍矢状洞髄膜腫
摘出術
久貝/池間/野本

脳血管内手術症例

手術日
主病名
術名
手術医
(助手)
画像
1月27日(金)
右錐体斜台部髄膜腫
脳血管内手術
木本/久貝/池間
1月30日(月)
右側頭葉脳動静脈奇形
血管塞栓術
木本/芝野/矢田/古谷

ガンマナイフ症例

手術日
主病名
担当医
1月30日(月)
転移性脳腫瘍
岩井
斜台髄膜腫
岩井
右小脳テント髄膜腫
岩井
2月1日(水)
下垂体腺腫
北野

緊急手術【直近の過去1週間 2023年1月20日(金)~2023年1月26日(木)】

手術日
術式
主病名
術名
手術医
(助手)
1月20日(金)
血管内
くも膜下出血
(脳底動脈瘤破裂)
脳血管内手術
須山/久貝/矢田
開頭
視床出血
穿頭脳室ドレナージ
池間
1月21日(土)
血管内
塞栓性脳梗塞・急性期
経皮的脳血栓回収術
経皮的脳血管形成術
須山/松田/古谷
1月22日(日)
開頭
くも膜下出血
(中大脳動脈瘤破裂)
クリッピング術
減圧開頭術
松田/矢田
1月25日(水)
開頭
右頚静脈孔神経鞘腫
穿頭脳室ドレナージ
向/野本

予定手術【2023年1月20日(金)~2023年1月26日(木)】

※ 画像をクリックすると拡大表示します。

※ 表は横スクロールすることができます。

開頭症例

手術日
主病名
術名
手術医
(助手)
画像
1月20日(金)
鞍結節部髄膜腫
拡大ハーディ
北野
三叉神経痛
微小血管減圧術
岩井/古部/矢田
脳動脈瘤(Lt.MC)
クリッピング術
松田/濵田/古谷
1月21日(土)
脳幹部出血
気管切開術
松田/濵田
1月23日(月)
脳動脈瘤(Rt.MC)
クリッピング術
南田/古谷
1月24日(火)
腰部脊柱管狭窄症
後方除圧
乾/殿元
1月25日(水)
腰部脊柱管狭窄症
後方除圧
乾/殿元
1月26日(木)
腰部脊柱管狭窄症
右椎間関節部分切除
乾/殿元

脳血管内手術症例

手術日
主病名
術名
手術医
(助手)
画像
1月23日(月)
右頚部内頚動脈狭窄症
経皮的頸動脈ステント留置術
木本/芝野/矢田
1月24日(火)
脳動脈瘤(Rt.IC)
脳血管内手術
(フローダイバーター)
木本/松田/濵田
右内頚動脈狭窄症
経皮的頸動脈ステント留置術
木本/向/野本
脳動脈瘤(Acom)
脳血管内手術
木本/向/矢田
1月25日(水)
脳動静脈奇形
血管塞栓術
須山/久貝/池間/野本

ガンマナイフ症例

手術日
主病名
担当医
1月23日(月)
三叉神経痛
岩井
三叉神経痛
岩井
後頭蓋窩髄膜腫
岩井
転移性脳腫瘍
岩井
1月24日(火)
脳動静脈奇形
岩井
左聴神経腫瘍
岩井
三叉神経鞘腫
岩井
転移性脳腫瘍
岩井
1月25日(水)
下垂体腺腫
北野
1月26日(木)
転移性脳腫瘍
北野

緊急手術【直近の過去1週間 2023年1月13日(金)~2023年1月19日(木)】

手術日
術式
主病名
術名
手術医
(助手)
1月15日(日)
開頭
左慢性硬膜下血腫
血腫穿孔洗浄術
古谷
1月16日(月)
開頭
慢性硬膜下血腫
血腫穿孔洗浄術
野本
1月19日(木)
開頭
右被殻出血
血腫除去術
久貝/野本

予定手術【2023年1月13日(金)~2023年1月19日(木)】

※ 画像をクリックすると拡大表示します。

※ 表は横スクロールすることができます。

開頭症例

手術日
主病名
術名
手術医
(助手)
画像
1月13日(金)
脳動脈瘤(Rt.MC)
クリッピング術
富永/松田/濵田/古谷
脳腫瘍
摘出術
北野
三叉神経痛
微小血管減圧術
岩井/古部/野本
1月16日(月)
右傍矢状洞髄膜腫
摘出術
北野
1月17日(火)
頚椎症性脊髄症
前方固定術
乾/殿元
右顔面痙攣
微小血管減圧術
南田/古部/矢田
1月18日(水)
小脳血管芽腫
摘出術
乾/殿元
1月19日(木)
左手根管症候群
左手根管開放術
乾/殿元
右手根管症候群
右手根管開放術
乾/殿元
右被殻出血
骨形成
久貝/野本

脳血管内手術症例

手術日
主病名
術名
手術医
(助手)
画像
1月13日(金)
右内頚動脈狭窄症
経皮的頸動脈ステント留置術
須山/久貝/殿元
1月16日(月)
左総頚動脈狭窄症
経皮的頸動脈ステント留置術
木本/池間
1月17日(火)
脳動脈瘤(Acom)
脳血管内手術
木本/芝野/矢田
右頚部内頚動脈狭窄症
経皮的頸動脈ステント留置術
木本/芝野/矢田
1月18日(水)
脳動静脈奇形
血管塞栓術
須山/久貝/池間/野本

ガンマナイフ症例

手術日
主病名
担当医
1月16日(月)
左錐体斜台部髄膜腫
岩井
鞍結節部髄膜腫
岩井
左錐体斜台部髄膜腫
岩井
転移性脳腫瘍
岩井
転移性脳腫瘍
岩井
1月17日(火)
転移性脳腫瘍
岩井
転移性脳腫瘍
岩井
転移性脳腫瘍
岩井
1月18日(水)
右蝶形骨稜髄膜腫
北野

緊急手術【直近の過去1週間 2023年1月6日(金)~2023年1月12日(木)】

手術日
術式
主病名
術名
手術医
(助手)
1月6日(金)
血管内
くも膜下出血
(脳底動脈瘤破裂)
脳血管内手術
須山/芝野/濵田
開頭
慢性硬膜下血腫
血腫穿孔洗浄術
野本
開頭
急性硬膜下血腫
血腫除去術
北島
1月12日(木)
開頭
小脳出血
穿頭脳室ドレナージ
北島

予定手術【2023年1月6日(金)~2023年1月12日(木)】

※ 画像をクリックすると拡大表示します。

※ 表は横スクロールすることができます。

開頭症例

手術日
主病名
術名
手術医
(助手)
画像
1月10日(火)
頚椎後縦靭帯骨化症
拡大椎弓形成術
乾/殿元
右小脳橋角部腫瘍
摘出術
南田/長尾/北島/矢田
1月11日(水)
頭蓋咽頭腫
摘出術
北野
脳動脈瘤(Lt.IC-PC)
クリッピング術
乾/殿元
1月12日(木)
左後頭葉膿疱性脳腫瘍
摘出術
乾/殿元

脳血管内手術症例

手術日
主病名
術名
手術医
(助手)
画像
1月10日(火)
左前頭葉脳動静脈奇形
血管塞栓術
木本/芝野/矢田
脳動脈瘤(Lt.IC-PC)
脳血管内手術
木本/芝野/矢田

ガンマナイフ症例

手術日
主病名
担当医
1月6日(金)
転移性脳腫瘍
岩井
転移性脳腫瘍
岩井
1月10日(火)
転移性脳腫瘍
岩井
転移性脳腫瘍
岩井
1月12日(木)
右海綿静脈洞部海綿状血管腫
北野
傍矢状洞髄膜腫
北野
転移性脳腫瘍
北野

緊急手術【直近の過去1週間 2022年12月30日(金)~2023年1月5日(木)】

手術日
術式
主病名
術名
手術医
(助手)
12月30日(金)
開頭
慢性硬膜下血腫
血腫穿孔洗浄術
野本
開頭
慢性硬膜下血腫
血腫穿孔洗浄術
野本
血管内
心原性脳塞栓症
経皮的脳血栓回収術
須山/久貝/松田/濵田
1月1日(日)
開頭
慢性硬膜下血腫
血腫穿孔洗浄術
古部

予定手術【2022年12月30日(金)~2023年1月5日(木)】

※ 画像をクリックすると拡大表示します。

※ 表は横スクロールすることができます。

開頭症例

手術日
主病名
術名
手術医
(助手)
画像
1月4日(水)
眼窩腫瘍
摘出術
北野
1月5日(木)
腰部脊柱管狭窄症
後方除圧
乾/殿元
水頭症
L-P Shunt
長尾/北島/矢田

脳血管内手術症例

手術日
主病名
術名
手術医
(助手)
画像
1月4日(水)
脳動脈瘤(Lt.IC-PC)
脳血管内手術
須山/久貝/池間/野本

ガンマナイフ症例

手術日
主病名
担当医
1月5日(木)
転移性脳腫瘍
北野
転移性脳腫瘍
北野

緊急手術【直近の過去1週間 2022年12月23日(金)~2022年12月29日(木)】

手術日
術式
主病名
術名
手術医
(助手)
12月23日(金)
開頭
慢性硬膜下血腫
血腫穿孔洗浄術
池間
開頭
両側慢性硬膜下血腫
血腫穿孔洗浄術
古谷
12月24日(土)
開頭
右急性硬膜下血腫
血腫除去術
芝野/古谷
12月25日(日)
開頭
右側頭葉腫瘍
血腫除去術
岩井/古部/矢田
12月26日(月)
開頭
慢性硬膜下血腫
血腫穿孔洗浄術
北島

予定手術【2022年12月23日(金)~2022年12月29日(木)】

※ 画像をクリックすると拡大表示します。

※ 表は横スクロールすることができます。

開頭症例

手術日
主病名
術名
手術医
(助手)
画像
12月23日(金)
下垂体腺腫
摘出術
北野
側頭葉神経膠腫
摘出術
岩井/古部/矢田
12月24日(土)
頭蓋咽頭腫
摘出術
北野
12月26日(月)
顔面痙攣
微小血管減圧術
北野
前頭葉神経膠腫
摘出術
南田/古谷
12月27日(火)
脊髄空洞症
大孔部減圧術
乾/殿元

脳血管内手術症例

手術日
主病名
術名
手術医
(助手)
画像
12月23日(金)
脳動静脈奇形
血管塞栓術
須山/久貝/池間/野本
12月27日(火)
硬膜動静脈瘻
血管塞栓術
木本/芝野/古部/矢田

ガンマナイフ症例

手術日
主病名
担当医
12月26日(月)
転移性脳腫瘍
岩井
転移性脳腫瘍
岩井
脳動静脈奇形
岩井
転移性脳腫瘍
岩井
12月29日(木)
転移性脳腫瘍
北野

緊急手術【直近の過去1週間 2022年12月16日(金)~2022年12月22日(木)】

手術日
術式
主病名
術名
手術医
(助手)
12月17日(土)
開頭
被殻出血
血腫除去術
長尾/矢田
12月19日(月)
開頭
被殻出血
血腫除去術
古部
12月22日(木)
開頭
左慢性硬膜下血腫
血腫穿孔洗浄術
古谷

予定手術【2022年12月16日(金)~2022年12月22日(木)】

※ 画像をクリックすると拡大表示します。

※ 表は横スクロールすることができます。

開頭症例

手術日
主病名
術名
手術医
(助手)
画像
12月20日(火)
脳動脈瘤(Rt.IC-PC)
クリッピング術
富永/長尾/北島/矢田
腰部脊柱管狭窄症
後方除圧
乾/殿元
腰椎椎間板ヘルニア
後方除圧
乾/殿元
12月21日(水)
悪性後頭蓋窩髄膜腫
摘出術
乾/殿元
12月22日(木)
三叉神経痛
微小血管減圧術
岩井/古部/野本
脊髄腫瘍
摘出術
乾/殿元

脳血管内手術症例

手術日
主病名
術名
手術医
(助手)
画像
12月19日(月)
脳動静脈奇形
血管塞栓術
木本/乾/野本
左頚部内頚動脈狭窄症
経皮的頸動脈ステント留置術
木本/芝野/矢田
12月20日(火)
右頚部内頚動脈狭窄症
経皮的頸動脈ステント留置術
木本/向
12月21日(水)
脳動脈瘤(Lt.IC-PC)
脳血管内手術
須山/久貝/池間/野本

ガンマナイフ症例

手術日
主病名
担当医
12月19日(月)
聴神経腫瘍
岩井
転移性脳腫瘍
岩井
転移性脳腫瘍
岩井
12月21日(水)
下垂体腫瘍
北野
12月22日(木)
転移性脳腫瘍
北野

緊急手術【直近の過去1週間 2022年12月9日(金)~2022年12月15日(木)】

手術日
術式
主病名
術名
手術医
(助手)
12月9日(金)
開頭
非交通性水頭症
穿頭脳室ドレナージ
池間
12月12日(月)
開頭
慢性硬膜下血腫
血腫穿孔洗浄術
池間
12月13日(火)
開頭
両側慢性硬膜下血腫
血腫穿孔洗浄術
古谷
12月14日(水)
開頭
慢性硬膜下血腫
血腫穿孔洗浄術
野本
開頭
被殻出血
血腫除去術
古部/野本

予定手術【2022年12月9日(金)~2022年12月16日(木)】

※ 画像をクリックすると拡大表示します。

※ 表は横スクロールすることができます。

開頭症例

手術日
主病名
術名
手術医
(助手)
画像
12月12日(月)
下垂体腺腫
摘出術
北野
円蓋部髄膜腫
摘出術
南田/古部/矢田
12月13日(火)
腰椎結合組織性椎間孔狭窄症
後方除圧
乾/殿元
12月14日(水)
左後頭葉膿疱性脳腫瘍
摘出術
乾/殿元
12月15日(木)
腰部脊柱管狭窄症
後方除圧
乾/殿元
右被殻出血
頭蓋形成術
久貝/野本

脳血管内手術症例

手術日
主病名
術名
手術医
(助手)
画像
12月13日(火)
脳動脈瘤(Lt.IC・Rt.IC)
脳血管内手術
(フローダイバーター)
木本/長尾

ガンマナイフ症例

手術日
主病名
担当医
12月9日(金)
転移性脳腫瘍
岩井
12月12日(月)
転移性脳腫瘍
岩井
転移性脳腫瘍
岩井
転移性脳腫瘍
岩井
12月13日(火)
小脳テント髄膜腫
岩井
聴神経腫瘍
岩井
12月15日(木)
下垂体腺腫
北野
転移性脳腫瘍
北野
転移性脳腫瘍
北野

緊急手術【直近の過去1週間 2022年12月2日(金)~2022年12月8日(木)】

手術日
術式
主病名
術名
手術医
(助手)
12月3日(土)
開頭
右小脳腫瘍
穿頭脳室ドレナージ
乾/濵田
12月4日(日)
開頭
急性硬膜下血腫
血腫除去術
野本
開頭
急性非交通性水頭症
小脳膿疱
減圧開頭術
乾/北島
開頭
非交通性水頭症
穿頭脳室ドレナージ
松田
12月5日(月)
開頭
慢性硬膜下血腫
血腫穿孔洗浄術
池間
開頭
VPシャント感染症
穿頭脳室ドレナージ
濵田
12月7日(水)
開頭
化膿性脳髄膜炎
VAシャント感染症
デブリードマン
脳膿瘍全摘術
松田/濵田

予定手術【2022年12月2日(金)~2022年12月8日(木)】

※ 画像をクリックすると拡大表示します。

※ 表は横スクロールすることができます。

開頭症例

手術日
主病名
術名
手術医
(助手)
画像
12月2日(金)
下垂体腺腫
摘出術
北野
嗅溝部髄膜腫
摘出術
南田/古谷
脳動脈瘤(Lt.MC)
クリッピング術
松田/濵田/古谷
12月5日(月)
下垂体腺腫
摘出術
北野
12月6日(火)
右前頭葉膠芽腫
摘出術
富永/南田/古部/矢田
腰部脊柱管狭窄症
後方除圧
乾/殿元
12月8日(木)
環軸関節亜脱臼
後方固定術
乾/古谷
脳動脈瘤(Acom)
クリッピング術
久貝/池間/野本

脳血管内手術症例

手術日
主病名
術名
手術医
(助手)
画像
12月5日(月)
脳動静脈奇形
流入血管遮断術
木本/松田/北島
12月7日(水)
脳動静脈奇形
血管塞栓術
須山/久貝/池間/野本

ガンマナイフ症例

手術日
主病名
担当医
12月2日(金)
転移性脳腫瘍
岩井
転移性脳腫瘍
山里
12月5日(月)
右蝶形骨稜髄膜腫
岩井
転移性脳腫瘍
岩井
転移性脳腫瘍
岩井
転移性脳腫瘍
岩井
12月6日(火)
転移性脳腫瘍
岩井
12月8日(木)
髄膜腫
北野

緊急手術【直近の過去1週間 2022年11月25日(金)~2022年12月1日(木)】

手術日
術式
主病名
術名
手術医
(助手)
11月26日(土)
開頭
右外傷性慢性硬膜下血腫
血腫穿孔洗浄術
開頭
慢性硬膜下血腫
血腫穿孔洗浄術
濵田
11月28日(月)
開頭
髄膜炎
VAシャント感染症
穿頭脳室ドレナージ
松田/濵田
血管内
心原性脳塞栓症
経皮的脳血栓回収術
芝野/久貝/殿元
11月30日(水)
血管内
心原性脳塞栓症
経皮的脳血栓回収術
久貝/古部/矢田

予定手術【2022年11月25日(金)~2022年12月1日(木)】

※ 画像をクリックすると拡大表示します。

※ 表は横スクロールすることができます。

開頭症例

手術日
主病名
術名
手術医
(助手)
画像
11月25日(金)
下垂体腫瘍
摘出術
北野
脳動脈瘤(Rt.MC)
クリッピング術
松田/濵田/古谷
脳動脈瘤(Rt.MC)
クリッピング術
松田/濵田/古谷
11月28日(月)
脳髄膜腫瘍
摘出術
富永/南田/北島/矢田
円蓋部髄膜腫
摘出術
北野/古部/野本
11月29日(火)
腰椎結合組織性椎間孔狭窄症
後方除圧
乾/殿元
水頭症
L-P Shunt
松田/濵田/古谷
11月30日(水)
右顔面痙攣
微小血管減圧術
北野/古部/向
胸椎椎間板ヘルニア
後方除圧
乾/殿元
12月1日(木)
右外傷性くも膜下出血
L-P Shunt
長尾

脳血管内手術症例

手術日
主病名
術名
手術医
(助手)
画像
11月25日(金)
左内頚動脈狭窄症
経皮的頸動脈ステント留置術
木本/矢田
11月29日(火)
硬膜動静脈瘻
血管塞栓術
木本/芝野/古部/矢田
右頚部内頚動脈狭窄症
経皮的頸動脈ステント留置術
木本/芝野/矢田

ガンマナイフ症例

手術日
主病名
担当医
11月25日(金)
転移性脳腫瘍
北野
転移性脳腫瘍
北野
転移性脳腫瘍
岩井
11月26日(土)
転移性脳腫瘍
岩井
11月28日(月)
転移性脳腫瘍
岩井
蝶形骨髄膜腫
岩井
転移性脳腫瘍
岩井
11月29日(火)
転移性脳腫瘍
岩井
12月1日(木)
転移性脳腫瘍
北野
転移性脳腫瘍
北野

緊急手術【直近の過去1週間 2022年11月18日(金)~2022年11月24日(木)】

手術日
術式
主病名
術名
手術医
(助手)
11月21日(月)
開頭
下垂体卒中
摘出術
北野/池間/野本
11月24日(木)
開頭
右慢性硬膜下血腫
血腫穿孔洗浄術
古谷

予定手術【2022年11月18日(金)~2022年11月24日(木)】

※ 画像をクリックすると拡大表示します。

※ 表は横スクロールすることができます。

開頭症例

手術日
主病名
術名
手術医
(助手)
画像
11月18日(金)
下垂体腺腫
摘出術
北野
下垂体卒中
摘出術
北野
もやもや病
血行再建術
松田/矢田/殿元
11月21日(月)
髄膜腫
摘出術
北野/濵田
三叉神経痛
微小血管減圧術
岩井/古部/矢田
11月22日(火)
円蓋部髄膜腫
摘出術
岩井/向
脳動脈瘤(Lt.AC)
クリッピング術
乾/殿元
11月24日(木)
蝶形骨髄膜腫
摘出術
岩井/長尾/北島
頚部脊柱管狭窄症
拡大椎弓形成術
乾/殿元

脳血管内手術症例

手術日
主病名
術名
手術医
(助手)
画像
11月21日(月)
右内頚動脈狭窄症
経皮的頸動脈ステント留置術
木本/松田/濵田/古谷
脳動静脈奇形
血管塞栓術
木本/野本
11月22日(火)
左前頭葉脳動静脈奇形
血管塞栓術
木本/芝野/矢田
右頚部内頚動脈狭窄症
経皮的頸動脈ステント留置術
木本/芝野/矢田

ガンマナイフ症例

手術日
主病名
担当医
11月18日(金)
転移性脳腫瘍
山里
11月21日(月)
右聴神経腫瘍
岩井
11月24日(木)
転移性脳腫瘍
北野
傍矢状洞髄膜腫
北野

緊急手術【直近の過去1週間 2022年11月11日(金)~2022年11月17日(木)】

手術日
術式
主病名
術名
手術医
(助手)
11月14日(月)
開頭
被殻出血
血腫除去術
長尾/矢田

予定手術【2022年11月11日(金)~2022年11月17日(木)】

※ 画像をクリックすると拡大表示します。

※ 表は横スクロールすることができます。

開頭症例

手術日
主病名
術名
手術医
(助手)
画像
11月11日(金)
頭蓋底腫瘍
摘出術
北野
11月14日(月)
頭蓋底腫瘍
摘出術
北野
11月15日(火)
腰椎骨性椎間孔狭窄症
腰椎椎間孔除圧
乾/殿元
腰部脊柱管狭窄症
後方除圧
乾/殿元
顔面痙攣
微小血管減圧術
南田/古部/野本
11月16日(水)
下垂体腺腫
摘出術
北野

脳血管内手術症例

手術日
主病名
術名
手術医
(助手)
画像
11月15日(火)
脳動静脈奇形
血管塞栓術
須山/久貝/殿元
脳動静脈奇形
血管塞栓術
木本/松田/濵田/古谷
11月16日(水)
脳動脈瘤(Rt.IC)
脳血管内手術
須山/松田/濵田/古谷
11月17日(木)
右頚部内頚動脈狭窄症
経皮的頸動脈ステント留置術
久貝/向/野本

ガンマナイフ症例

手術日
主病名
担当医
11月11日(金)
転移性脳腫瘍
岩井
転移性脳腫瘍
岩井
三叉神経痛
岩井
11月14日(月)
脳動静脈奇形
岩井
11月15日(火)
転移性脳腫瘍
岩井
11月16日(水)
神経線維腫症2型
山里
円蓋部髄膜腫
山里
11月17日(木)
右錐体斜台部髄膜腫
北野
円蓋部髄膜腫
北野
髄膜腫
北野

緊急手術【直近の過去1週間 2022年11月4日(金)~2022年11月10日(木)】

手術日
術式
主病名
術名
手術医
(助手)
11月4日(金)
開頭
被殻出血
血腫除去術
久貝/野本
開頭
外傷性慢性硬膜下血腫
血腫穿孔洗浄術
殿元
11月7日(月)
開頭
外傷性慢性硬膜下血腫
血腫穿孔洗浄術
殿元
11月8日(火)
開頭
外傷性慢性硬膜下血腫
血腫穿孔洗浄術
矢田
11月9日(水)
開頭
左被殻出血
血腫除去術
11月10日(木)
開頭
急性硬膜下血腫
血腫除去術
芝野/野本

予定手術【2022年11月4日(金)~2022年11月10日(木)】

※ 画像をクリックすると拡大表示します。

※ 表は横スクロールすることができます。

開頭症例

手術日
主病名
術名
手術医
(助手)
画像
11月4日(金)
右脳幹部海綿状血管腫
摘出術
富永/松田/濵田/古谷
頭蓋底腫瘍
摘出術
北野
11月7日(月)
後頭蓋窩腫瘍
摘出術
富永/南田/古谷
蝶形骨稜髄膜腫
摘出術
北野
11月8日(火)
左三叉神経痛
微小血管減圧術
岩井/向
腰部脊柱管狭窄症
後方除圧
乾/殿元
11月9日(水)
左錐体斜台部髄膜腫
摘出術
北野
右手根管症候群
右手根管開放術
乾/殿元
11月10日(木)
脳動脈瘤(Rt.MC)
クリッピング術
長尾/北島/矢田

脳血管内手術症例

手術日
主病名
術名
手術医
(助手)
画像
11月7日(月)
右頚部内頚動脈狭窄症
経皮的頸動脈ステント留置術
木本/長尾/北島/矢田
右側頭葉脳動静脈奇形
血管塞栓術
木本/古部/矢田
右頚部内頚動脈狭窄症
経皮的頸動脈ステント留置術
木本/芝野/矢田
11月8日(火)
左錐体斜台部髄膜腫
血管塞栓術
木本/北島/野本
11月9日(水)
脳動脈瘤(Rt.IC)
脳血管内手術
須山/松田/濵田/古谷

ガンマナイフ症例

手術日
主病名
担当医
11月4日(金)
三叉神経痛
岩井
11月7日(月)
左聴神経腫瘍
岩井
11月9日(水)
転移性脳腫瘍
山里
転移性脳腫瘍
山里
11月10日(木)
転移性脳腫瘍
北野
左頭頂葉星細胞腫
北野
転移性脳腫瘍
北野

緊急手術【直近の過去1週間 2022年10月28日(金)~2022年11月3日(木)】

手術日
術式
主病名
術名
手術医
(助手)
10月28日(金)
血管内
くも膜下出血
(内頚動脈後交通動脈分岐部動脈瘤破裂)
脳血管内手術
須山/久貝/古部/矢田
10月29日(土)
開頭
左外傷性慢性硬膜下血腫
血腫穿孔洗浄術
北島

予定手術【2022年10月28日(金)~2022年11月3日(木)】

※ 画像をクリックすると拡大表示します。

※ 表は横スクロールすることができます。

開頭症例

手術日
主病名
術名
手術医
(助手)
画像
10月28日(金)
脳腫瘍
摘出術
北野
10月31日(月)
傍矢状洞髄膜腫
摘出術
北野
左脳腫瘍
摘出術
南田/長尾/北島/矢田
11月1日(火)
蝶形骨稜髄膜腫
摘出術
岩井/古部/野本
腰部脊柱管狭窄症
後方除圧
乾/殿元
11月2日(水)
内頚動脈狭窄症
内頚動脈内膜剥離術
久貝/池間
脳動脈瘤(Rt.MC)
クリッピング術
松田/濵田/古谷

脳血管内手術症例

手術日
主病名
術名
手術医
(助手)
画像
10月31日(月)
右頚部内頚動脈狭窄症
経皮的頸動脈ステント留置術
木本/北島
11月1日(火)
右硬膜動静脈瘻
血管塞栓術
木本/芝野
右側頭葉脳動静脈奇形
血管塞栓術
木本/松田/濵田/古谷

ガンマナイフ症例

手術日
主病名
担当医
10月31日(月)
下垂体腫瘍
岩井
転移性脳腫瘍
岩井

緊急手術【直近の過去1週間 2022年10月21日(金)~2022年10月27日(木)】

手術日
術式
主病名
術名
手術医
(助手)
10月21日(金)
血管内
塞栓性脳梗塞・急性期
経皮的脳血栓回収術
須山/久貝/古部/古谷
10月22日(土)
血管内
心原性脳塞栓症
経皮的脳血栓回収術
芝野/矢田/古谷
10月25日(火)
開頭
右外傷性慢性硬膜下血腫
血腫穿孔洗浄術
10月26日(水)
開頭
慢性硬膜下血腫
血腫穿孔洗浄術
北島
10月27日(木)
開頭
脳出血
血腫除去術
穿頭脳室ドレナージ
古部/向/矢田
開頭
左被殻出血
血腫除去術
芝野/古谷
血管内
くも膜下出血
(内頚動脈後交通動脈分岐部動脈瘤破裂)
脳血管内手術
須山/芝野/野本

予定手術【2022年10月21日(金)~2022年10月27日(木)】

※ 画像をクリックすると拡大表示します。

※ 表は横スクロールすることができます。

開頭症例

手術日
主病名
術名
手術医
(助手)
画像
10月21日(金)
脳動静脈奇形
摘出術
富永/松田/殿元
10月24日(月)
三叉神経痛第3枝領域
微小血管減圧術
南田/古谷
10月25日(火)
腰部脊柱管狭窄症
後方除圧
乾/池間/殿元
脳動脈瘤(Rt.AC)
クリッピング術
長尾/北島/矢田
10月26日(水)
頚椎後縦靭帯骨化症
拡大椎弓形成術
乾/池間/殿元
腰部脊柱管狭窄症
後方除圧
乾/古谷
もやもや病
血行再建術
松田/矢田/殿元
10月27日(木)
左頚部腫瘍
摘出術
乾/殿元
脳動脈瘤(Rt.MC)
クリッピング術
久貝/池間/野本

脳血管内手術症例

手術日
主病名
術名
手術医
(助手)
画像
10月24日(月)
脳動脈瘤(Acom)
脳血管内手術
木本/芝野/矢田
脳動静脈奇形
血管塞栓術
木本/野本
10月25日(火)
脳動静脈奇形
血管塞栓術
木本/松田/濵田/古谷
両側急性期アテローム血栓性脳梗塞
経皮的頸動脈ステント留置術
木本/古部/濵田/北島
10月26日(水)
脳動脈瘤(Rt.IC)
脳血管内手術
須山/久貝/池間/野本

ガンマナイフ症例

手術日
主病名
担当医
10月21日(金)
転移性脳腫瘍
岩井
転移性脳腫瘍
岩井
10月22日(土)
左三叉神経痛
岩井
10月24日(月)
聴神経腫瘍
岩井
三叉神経痛
岩井
転移性脳腫瘍
岩井
転移性脳腫瘍
岩井
10月25日(火)
右聴神経鞘腫
岩井
聴神経腫瘍
岩井
10月26日(水)
蝶形骨髄膜腫
北野
10月27日(木)
蝶形骨髄膜腫
北野

緊急手術【直近の過去1週間 2022年10月14日(金)~2022年10月20日(木)】

手術日
術式
主病名
術名
手術医
(助手)
10月15日(土)
血管内
塞栓性脳梗塞・急性期
経皮的脳血栓回収術
須山/芝野/北島/古谷
10月16日(日)
開頭
くも膜下出血
(内頚動脈後交通動脈分岐部動脈瘤破裂)
クリッピング術
松田/古谷
10月18日(火)
血管内
くも膜下出血
(内頚動脈瘤破裂)
脳血管内手術
須山/久貝/殿元
血管内
心原性脳塞栓症
経皮的脳血栓回収術
須山/久貝/池間
10月19日(水)
血管内
心原性脳塞栓症
経皮的脳血栓回収術
久貝/向/野本

予定手術【2022年10月14日(金)~2022年10月20日(木)】

※ 画像をクリックすると拡大表示します。

※ 表は横スクロールすることができます。

開頭症例

手術日
主病名
術名
手術医
(助手)
画像
10月14日(金)
左前頭葉腫瘍
摘出術
富永/古部
急性硬膜下血腫
気管切開
池間
10月17日(月)
下垂体腫瘍
摘出術
北野
脳動脈瘤(Rt.MC)
クリッピング術
南田/殿元
10月18日(火)
三叉神経痛
微小血管減圧術
岩井/古部/野本
10月19日(水)
腰部脊柱管狭窄症
後方除圧
乾/池間/殿元

脳血管内手術症例

手術日
主病名
術名
手術医
(助手)
画像
10月17日(月)
脳動脈瘤(Lt.IC)
脳血管内手術
(フローダイバーター)
木本/長尾/北島/矢田
右総頚動脈狭窄症
経皮的頸動脈ステント留置術
木本/濵田
脳動静脈奇形
流入血管遮断術
木本/北島
10月18日(火)
脳動静脈奇形
血管塞栓術
木本/芝野/矢田
脳動脈瘤(BA)
脳血管内手術
(パルスライダー)
木本/芝野/矢田

ガンマナイフ症例

手術日
主病名
担当医
10月14日(金)
転移性脳腫瘍
山里
転移性脳腫瘍
山里
10月17日(月)
転移性脳腫瘍
岩井
小脳テント血管周皮腫
岩井
転移性脳腫瘍
岩井
10月20日(木)
転移性脳腫瘍
北野

緊急手術【直近の過去1週間 2022年10月7日(金)~2022年10月13日(木)】

手術日
術式
主病名
術名
手術医
(助手)
10月9日(日)
開頭
創傷感染症
硬膜外膿瘍摘出術
乾/殿元
10月10日(月)
血管内
心原性脳塞栓症
経皮的脳血栓回収術
須山/久貝/矢田

予定手術【2022年10月7日(金)~2022年10月13日(木)】

※ 画像をクリックすると拡大表示します。

※ 表は横スクロールすることができます。

開頭症例

手術日
主病名
術名
手術医
(助手)
画像
10月7日(金)
右聴神経腫瘍
摘出術
岩井/古部/矢田
脳動脈瘤(Lt.MC)
クリッピング術
久貝
10月11日(火)
頚椎症性脊髄症
前方固定術
乾/池間/殿元
傍矢状洞髄膜腫
摘出術
南田/長尾/野本
10月12日(水)
右小脳橋角部髄膜腫
摘出術
北野
腰部脊柱管狭窄症
後方除圧
乾/池間/殿元
10月13日(木)
脳動脈瘤(Lt.IC-PC)
クリッピング術
芝野
右急性硬膜下血腫
頭蓋形成術
北島

脳血管内手術症例

手術日
主病名
術名
手術医
(助手)
画像
10月11日(火)
左内頚動脈狭窄症
経皮的頸動脈ステント留置術
須山/久貝/池間
10月12日(水)
脳動静脈奇形
血管塞栓術
須山/久貝/殿元

ガンマナイフ症例

手術日
主病名
担当医
10月8日(土)
脳動静脈奇形
岩井
10月11日(火)
聴神経腫瘍
岩井
10月13日(木)
三叉神経痛
北野
転移性脳腫瘍
北野
転移性脳腫瘍
北野
転移性脳腫瘍
北野
右傍矢状洞悪性髄膜腫
北野

緊急手術【直近の過去1週間 2022年9月30日(金)~2022年10月6日(木)】

手術日
術式
主病名
術名
手術医
(助手)
9月30日(金)
開頭
外傷性慢性硬膜下血腫
血腫穿孔洗浄術
古部
10月1日(土)
開頭
慢性硬膜下血腫
血腫穿孔洗浄術
濱田
10月3日(月)
開頭
急性硬膜下血腫
血腫除去術
池間/矢田
10月4日(火)
血管内
前交通動脈瘤
脳血管内手術
木本/芝野/矢田
開頭
慢性硬膜下血腫
血腫穿孔洗浄術
濱田
10月5日(水)
開頭
急性硬膜外血腫
血腫除去術
松田/濵田
10月6日(木)
開頭
慢性硬膜下血腫
血腫穿孔洗浄術
野本

予定手術【2022年9月30日(金)~2022年10月6日(木)】

※ 画像をクリックすると拡大表示します。

※ 表は横スクロールすることができます。

開頭症例

手術日
主病名
術名
手術医
(助手)
画像
9月30日(金)
脳動脈瘤(Rt.IC)
クリッピング術
富永/久貝/北島/矢田
下垂体腺腫
摘出術
北野
慢性閉塞性肺疾患
気管切開
松田/古谷
10月3日(月)
右小脳腫瘍
摘出術
北野/古部/向/野本
左顔面痙攣
微小血管減圧術
南田/殿元
10月4日(火)
脳動脈瘤(Lt.MC)
クリッピング術
富永/松田/池間/殿元
腰部脊柱管狭窄症
後方除圧
乾/古谷
10月5日(水)
腰部脊柱管狭窄症
後方除圧
乾/古谷/殿元
10月6日(木)
頚椎後縦靭帯骨化症
拡大椎弓形成術
乾/古谷

脳血管内手術症例

手術日
主病名
術名
手術医
(助手)
画像
10月3日(月)
脳動脈瘤(Lt.IC)
脳血管内手術
木本/芝野/北島
右内頚動脈狭窄症
経皮的頸動脈ステント留置術
木本/松田/濵田/古谷
右小脳腫瘍
血管塞栓術
木本/古部/向/野本
10月4日(火)
脳動静脈奇形
血管塞栓術
木本/長尾
脳動静脈奇形
血管塞栓術
木本/野本

ガンマナイフ症例

手術日
主病名
担当医
10月3日(月)
聴神経腫瘍
岩井
10月4日(火)
左三叉神経鞘腫
岩井
脳動静脈奇形
岩井
10月6日(木)
下垂体腺腫
北野
転移性脳腫瘍
北野
脳幹部血管芽腫
北野

緊急手術【直近の過去1週間 2022年9月23日(金)~2022年9月29日(木)】

手術日
術式
主病名
術名
手術医
(助手)
9月27日(火)
開頭
外傷性慢性硬膜下血腫
血腫穿孔洗浄術
殿元
血管内
心原性脳塞栓症
経皮的脳血栓回収術
久貝/松田/北島
9月29日(木)
開頭
外傷性慢性硬膜下血腫
血腫穿孔洗浄術
殿元

予定手術【2022年9月23日(金)~2022年9月29日(木)】

※ 画像をクリックすると拡大表示します。

※ 表は横スクロールすることができます。

開頭症例

手術日
主病名
術名
手術医
(助手)
画像
9月26日(月)
脳動脈瘤(Lt.IC-PC)
クリッピング術
南田/殿元
右外傷性脳内血腫
頭蓋形成術
長尾/野本
9月28日(水)
頭蓋咽頭腫
摘出術
北野
9月29日(木)
腰椎椎間板ヘルニア
後方除圧
乾/古谷
脳動脈瘤(Rt.MC)
クリッピング術
久貝/矢田

脳血管内手術症例

手術日
主病名
術名
手術医
(助手)
画像
9月26日(月)
脳動脈瘤(Acom)
脳血管内手術
木本/芝野
脳動脈瘤(Rt.VA-BA)
脳血管内手術
木本/古部
9月27日(火)
右側頭葉脳動静脈奇形
血管塞栓術
木本/松田/池間/殿元
脳動脈瘤(Acom)
脳血管内手術
木本/長尾/野本
9月28日(水)
脳動脈瘤(BA)
脳血管内手術
須山/久貝/北島/矢田

ガンマナイフ症例

手術日
主病名
担当医
9月26日(月)
聴神経腫瘍
岩井
三叉神経痛
岩井
転移性脳腫瘍
岩井
9月27日(火)
左前頭葉脳動静脈奇形
岩井
9月28日(水)
下垂体腺腫
北野
9月29日(木)
転移性脳腫瘍
北野

緊急手術【直近の過去1週間 2022年9月16日(金)~2022年9月22日(木)】

手術日
術式
主病名
術名
手術医
(助手)
9月16日(金)
血管内
くも膜下出血
(内頚動脈後交通動脈分岐部動脈瘤破裂)
脳血管内手術
須山/久貝/古谷
9月17日(土)
開頭
くも膜下出血
(右中大脳動脈瘤破裂)
クリッピング術
乾/向
9月19日(月)
血管内
脳梗塞
脳血管内手術
芝野/野本
9月20日(火)
開頭
外傷性慢性硬膜下血腫
血腫穿孔洗浄術
古部

予定手術【2022年9月16日(金)~2022年9月22日(木)】

※ 画像をクリックすると拡大表示します。

※ 表は横スクロールすることができます。

開頭症例

手術日
主病名
術名
手術医
(助手)
画像
9月16日(金)
脳動脈瘤(Rt.MC)
クリッピング術
久貝/北島/矢田
視床出血
気管切開術
芝野/濵田
9月20日(火)
腰椎結合組織性椎間孔狭窄症
右椎間孔除圧術
乾/古谷
脳動脈瘤(Rt.MC)
クリッピング術
久貝/北島/矢田
9月21日(水)
下垂体腺腫
摘出術
北野
右肘部管症候群
右肘部管開放術
乾/古谷
9月22日(木)
腰部脊柱管狭窄症
後方除圧
乾/古谷

緊急手術【直近の過去1週間 2022年9月9日(金)~2022年9月15日(木)】

手術日
術式
主病名
術名
手術医
(助手)
9月10日(土)
開頭
非交通性水頭症
視床出血
血腫除去術
穿頭脳室ドレナージ
芝野/濵田
9月12日(月)
開頭
左外傷性慢性硬膜下血腫
血腫穿孔洗浄術
古部/殿元
9月13日(火)
開頭
創傷感染症
血腫除去術
久貝/北島/矢田
9月14日(水)
開頭
両側外傷性慢性硬膜下血腫
血腫穿孔洗浄術
濱田

予定手術【2022年9月9日(金)~2022年9月15日(木)】

※ 画像をクリックすると拡大表示します。

※ 表は横スクロールすることができます。

開頭症例

手術日
主病名
術名
手術医
(助手)
画像
9月9日(金)
開頭術後骨欠損
頭蓋形成術
久貝/古谷
9月13日(火)
頚椎椎間板ヘルニア
前方固定術
乾/古谷
右内頚動脈狭窄症
内頚動脈内膜剥離術
久貝/北島/矢田
9月14日(水)
腰部脊柱管狭窄症
後方除圧
乾/古谷
脳動脈瘤(Lt.SC)
血行再建術
久貝/野本
9月15日(木)
腰部脊柱管狭窄症
後方除圧
乾/古谷

脳血管内手術症例

手術日
主病名
術名
手術医
(助手)
画像
9月12日(月)
脳動脈瘤(Rt.IC)
脳血管内手術
(フローダイバーター)
木本/芝野/矢田
脳動脈瘤(Lt.IC)
脳血管内手術
木本/松田/池間/殿元
9月13日(火)
脳動脈瘤(Lt.IC)
脳血管内手術
(フローダイバーター)
木本/松田/池間/殿元
右内頚動脈狭窄症
経皮的頸動脈ステント留置術
木本/向/野本

ガンマナイフ症例

手術日
主病名
担当医
9月9日(金)
右聴神経腫瘍
岩井
転移性脳腫瘍
岩井
転移性脳腫瘍
山里
9月12日(月)
蝶形骨髄膜腫
岩井
小脳橋角部髄膜腫
岩井
9月13日(火)
脳動静脈奇形
岩井
9月14日(水)
転移性脳腫瘍
山里
転移性脳腫瘍
山里
9月15日(木)
転移性脳腫瘍
北野

緊急手術【直近の過去1週間 2022年9月2日(金)~2022年9月8日(木)】

手術日
術式
主病名
術名
手術医
(助手)
9月6日(火)
開頭
急性硬膜下血腫
血腫除去術
久貝/北島
9月7日(水)
開頭
外傷性慢性硬膜下血腫
血腫穿孔洗浄術
矢田

予定手術【2022年9月2日(金)~2022年9月8日(木)】

※ 画像をクリックすると拡大表示します。

※ 表は横スクロールすることができます。

開頭症例

手術日
主病名
術名
手術医
(助手)
画像
9月2日(金)
脳動静脈奇形
摘出術
富永/久貝/北島/矢田
頭蓋咽頭腫
摘出術
北野
三叉神経痛
微小血管減圧術
岩井/古部/野本
9月5日(月)
大脳鎌髄膜腫
摘出術
南田/殿元
9月6日(火)
脳動脈瘤(Acom)
クリッピング術
松田/池間/殿元
9月7日(水)
錐体斜台部髄膜腫
摘出術
北野
左手根管症候群
左手根管開放術
乾/古谷
9月8日(木)
頚椎後縦靭帯骨化症
拡大椎弓形成術
乾/古谷

脳血管内手術症例

手術日
主病名
術名
手術医
(助手)
画像
9月5日(月)
脳動脈瘤(Lt.IC・Rt.IC)
脳血管内手術
木本/芝野/矢田/殿元
左内頚動脈狭窄症
経皮的頸動脈ステント留置術
木本/向/矢田
9月6日(火)
脳動静脈奇形
血管塞栓術
木本/岩井/芝野/矢田
9月7日(水)
脳動静脈奇形
血管塞栓術
須山/久貝/殿元

ガンマナイフ症例

手術日
主病名
担当医
9月2日(金)
転移性脳腫瘍
山里
転移性脳腫瘍
山里
9月5日(月)
三叉神経痛
岩井
蝶形骨髄膜腫
岩井
転移性脳腫瘍
岩井
転移性脳腫瘍
岩井
9月6日(火)
三叉神経痛
岩井
9月7日(水)
下垂体腺腫
北野
下垂体腺腫
北野
転移性脳腫瘍
山里
9月8日(木)
転移性脳腫瘍
北野

緊急手術【直近の過去1週間 2022年8月26日(金)~2022年9月1日(木)】

手術日
術式
主病名
術名
手術医
(助手)
8月29日(月)
血管内
塞栓性脳梗塞・急性期
経皮的脳血栓回収術
久貝/芝野/古谷
血管内
くも膜下出血
(右椎骨動脈瘤破裂)
脳血管内手術
須山/久貝/古谷

予定手術【2022年8月26日(金)~2022年9月1日(木)】

※ 画像をクリックすると拡大表示します。

※ 表は横スクロールすることができます。

開頭症例

手術日
主病名
術名
手術医
(助手)
画像
8月26日(金)
脳幹部海綿状血管腫
摘出術
富永/松田/矢田/殿元
脳動脈瘤(Lt.PICA)
クリッピング術
北野
8月29日(月)
小脳腫瘍
摘出術
北野
術後膿瘍
デブレードマン
松田/池間/殿元
8月30日(火)
髄膜癌腫症
V-P Shunt
乾/古谷
左中頭蓋窩髄膜腫
摘出術
南田/長尾/野本
9月1日(木)
脳動脈瘤(Rt.MC)
クリッピング術
富永/芝野/矢田/古谷

脳血管内手術症例

手術日
主病名
術名
手術医
(助手)
画像
8月29日(月)
硬膜動静脈瘻
血管塞栓術
木本/古部/野本

ガンマナイフ症例

手術日
主病名
担当医
8月26日(金)
大孔髄膜腫
岩井
8月29日(月)
左円蓋部髄膜腫
岩井
血管周皮腫
岩井
8月30日(火)
聴神経腫瘍
岩井
転移性脳腫瘍
岩井
8月31日(水)
蝶形骨稜髄膜腫
山里
転移性脳腫瘍
山里
9月1日(木)
転移性脳腫瘍
北野
転移性脳腫瘍
北野

緊急手術【直近の過去1週間 2022年8月19日(金)~2022年8月25日(木)】

手術日
術式
主病名
術名
手術医
(助手)
8月19日(金)
血管内
心原性脳塞栓症
経皮的脳血栓回収術
須山/久貝/向
8月20日(土)
血管内
アテローム血栓性脳梗塞・急性期
経皮的脳血栓回収術
久貝/向
開頭
左外傷性慢性硬膜下血腫
血腫穿孔洗浄術
久貝/古谷
8月24日(水)
開頭
小脳出血
血腫除去術
穿頭脳室ドレナージ
古部/向/殿元
8月25日(木)
開頭
下垂体腺腫
摘出術
北野/濵田
開頭
慢性硬膜下血腫
血腫穿孔洗浄術
北島

予定手術【2022年8月19日(金)~2022年8月25日(木)】

※ 画像をクリックすると拡大表示します。

※ 表は横スクロールすることができます。

開頭症例

手術日
主病名
術名
手術医
(助手)
画像
8月19日(金)
下垂体腺腫
摘出術
北野
左側頭葉腫瘍
摘出術
久貝/古谷
8月20日(土)
左顔面痙攣
微小血管減圧術
富永/松田/矢田/殿元
8月22日(月)
三叉神経鞘腫
摘出術
岩井/古部/矢田
脳動脈瘤(Lt.IC)
クリッピング術
南田/殿元
右側頭頭頂葉腫瘤
摘出術
久貝/北島/矢田
8月23日(火)
髄膜腫
摘出術
富永/南田/殿元
腰部脊柱管狭窄症
後方除圧
乾/古谷
脳動脈瘤(Lt.MC)
クリッピング術
久貝/北島/矢田
8月24日(水)
松果体腫瘍
摘出術
北野/久貝/矢田
VPシャント機能不全
V-Aシャント術
松田/濵田
8月25日(木)
脳動脈瘤(Lt.MC)
クリッピング術
久貝/向/矢田

脳血管内手術症例

手術日
主病名
術名
手術医
(助手)
画像
8月22日(月)
脳動脈瘤(Lt.IC)
脳血管内手術
木本/芝野
8月23日(火)
右側頭部硬膜動静脈瘻
血管塞栓術
木本/芝野
右急性期アテローム血栓性脳梗塞
経皮的脳血管形成術
木本/濵田

ガンマナイフ症例

手術日
主病名
担当医
8月19日(金)
小脳類皮腫
岩井
転移性脳腫瘍
岩井
転移性脳腫瘍
山里
8月25日(木)
転移性脳腫瘍
北野
転移性脳腫瘍
北野
海綿状血管腫
北野
転移性脳腫瘍
北野
転移性脳腫瘍
北野

緊急手術【直近の過去1週間 2022年8月12日(金)~2022年8月18日(木)】

手術日
術式
主病名
術名
手術医
(助手)
8月13日(土)
血管内
くも膜下出血
脳血管内手術
須山/久貝/向
8月15日(月)
開頭
視床出血
穿頭脳室ドレナージ
殿元
8月17日(水)
開頭
脳動静脈奇形破裂
血腫除去術
乾/野本
8月18日(木)
開頭
硬膜外膿瘍
デブレードマン
乾/矢田
開頭
被殻出血
血腫除去術
古部/向/野本

予定手術【2022年8月12日(金)~2022年8月18日(木)】

※ 画像をクリックすると拡大表示します。

※ 表は横スクロールすることができます。

開頭症例

手術日
主病名
術名
手術医
(助手)
画像
8月15日(月)
下垂体腺腫
摘出術
北野
8月16日(火)
腰部脊柱管狭窄症
後方除圧
乾/古谷
腰椎椎間板ヘルニア
後方除圧
乾/古谷
8月17日(水)
左顔面痙攣
微小血管減圧術
富永/南田/長尾/野本
下垂体腺腫
摘出術
北野
脳腫瘍
生検
古部/向
8月18日(木)
頚部脊柱管狭窄症
前方固定術
乾/古谷
脳動脈瘤(Rt.MC)
クリッピング術
久貝/向/矢田

脳血管内手術症例

手術日
主病名
術名
手術医
(助手)
画像
8月15日(月)
脳動脈瘤(Lt.IC)
脳血管内手術
木本/古部/野本/古谷
8月16日(火)
脳動脈瘤(Acom)
脳血管内手術
木本/北島/矢田
8月17日(水)
脳動脈瘤(Lt.IC)
脳血管内手術
須山/久貝/北島/矢田

ガンマナイフ症例

手術日
主病名
担当医
8月12日(金)
右肺尖部腫瘤
北野
8月15日(月)
鞍結節部髄膜腫
北野
8月16日(火)
左側脳室内腫瘍
岩井
8月17日(水)
転移性脳腫瘍
山里
三叉神経痛
山里
8月18日(木)
聴神経鞘腫
北野
転移性脳腫瘍
北野

緊急手術【直近の過去1週間 2022年8月5日(金)~2022年8月11日(木)】

手術日
術式
主病名
術名
手術医
(助手)
8月5日(金)
開頭
慢性硬膜下血腫
血腫穿孔洗浄術
野本
8月6日(土)
開頭
外傷性慢性硬膜下血腫
血腫穿孔洗浄術
長尾/古谷
8月7日(日)
開頭
脳出血
(脳動静脈奇形)
脳動静脈奇形摘出術
乾/野本
8月10日(水)
開頭
小脳出血
穿頭脳室ドレナージ
芝野/矢田

予定手術【2022年8月5日(金)~2022年8月11日(木)】

※ 画像をクリックすると拡大表示します。

※ 表は横スクロールすることができます。

開頭症例

手術日
主病名
術名
手術医
(助手)
画像
8月5日(金)
下垂体腫瘍
摘出術
北野
術後疼痛
修復術
南田/殿元
8月8日(月)
左顔面痙攣
微小血管減圧術
南田/長尾/野本
8月9日(火)
腰部脊柱管狭窄症
後方除圧
乾/古谷
脳動脈瘤(Acom)
クリッピング術
松田/池間
8月10日(水)
下垂体腺腫
摘出術
北野

脳血管内手術症例

手術日
主病名
術名
手術医
(助手)
画像
8月8日(月)
脳動脈瘤(Rt.IC)
脳血管内手術
木本/古部/矢田
8月9日(火)
脳動脈瘤(Lt.IC)
脳血管内手術
(フローダイバーター)
木本/北島/矢田
脳動脈瘤(Lt.IC-OP)
脳血管内手術
木本/北島

ガンマナイフ症例

手術日
主病名
担当医
8月5日(金)
左聴神経腫瘍
岩井
8月10日(水)
転移性脳腫瘍
山里

予定手術【2022年7月29日(金)~2022年8月4日(木)】

※ 画像をクリックすると拡大表示します。

※ 表は横スクロールすることができます。

開頭症例

手術日
主病名
術名
手術医
(助手)
画像
8月2日(火)
傍矢状洞髄膜腫
摘出術
岩井/古部/野本
脳動脈瘤(Lt.IC-PC)
クリッピング術
久貝/北島/矢田
8月3日(水)
脳動脈瘤(Lt.IC)
クリッピング術
富永/乾/野本/古谷
鞍結節部髄膜腫
拡大ハーディ
北野
8月4日(木)
右顔面痙攣
微小血管減圧術
岩井/向
腰椎椎間板ヘルニア
Love法
乾/古谷

脳血管内手術症例

手術日
主病名
術名
手術医
(助手)
画像
8月1日(月)
傍矢状洞髄膜腫
血管塞栓術
木本/芝野/野本
8月2日(火)
脳動脈瘤(Rt.IC)
脳血管内手術
(フローダイバーター)
木本/松田/矢田/殿元
8月4日(木)
脳動脈瘤(Rt.IC)
脳血管内手術
須山/久貝/矢田/殿元

ガンマナイフ症例

手術日
主病名
担当医
8月1日(月)
三叉神経痛
岩井
転移性脳腫瘍
岩井
転移性脳腫瘍
岩井
8月4日(木)
右前頭髄膜腫
北野
転移性脳腫瘍
北野

緊急手術【直近の過去1週間 2022年7月22日(金)~2022年7月28日(木)】

手術日
術式
主病名
術名
手術医
(助手)
7月27日(水)
開頭
左慢性硬膜下血腫
血腫穿孔洗浄術
古部/殿元

予定手術【2022年7月22日(金)~2022年7月28日(木)】

※ 画像をクリックすると拡大表示します。

※ 表は横スクロールすることができます。

開頭症例

手術日
主病名
術名
手術医
(助手)
画像
7月22日(金)
海綿状血管腫
摘出術
富永/久貝/北島/矢田
脳動脈瘤(Lt.MC)
クリッピング術
松田/池間/殿元
7月26日(火)
三叉神経痛
微小血管減圧術
岩井/古部/野本
7月28日(木)
脳動脈瘤(Acom)
クリッピング術
久貝/北島/矢田

脳血管内手術症例

手術日
主病名
術名
手術医
(助手)
画像
7月27日(水)
脳動静脈奇形
血管塞栓術
須山/久貝/北島/矢田

ガンマナイフ症例

手術日
主病名
担当医
7月25日(月)
斜台髄膜腫
岩井
転移性脳腫瘍
岩井
転移性脳腫瘍
岩井
転移性脳腫瘍
岩井
7月28日(木)
退形成性上衣腫
北野
三叉神経痛
岩井

緊急手術【直近の過去1週間 2022年7月15日(金)~2022年7月21日(木)】

手術日
術式
主病名
術名
手術医
(助手)
7月17日(日)
開頭
外傷性慢性硬膜下血腫
血腫穿孔洗浄術
久貝/殿元
開頭
右被殻出血
頭蓋内血腫除去術
久貝/古谷
7月19日(火)
血管内
塞栓性脳梗塞・急性期
経皮的脳血栓回収術
木本/芝野/濵田/矢田
7月20日(水)
開頭
くも膜下出血
(内頚動脈後交通動脈分岐部動脈瘤破裂)
クリッピング術
長尾/向
開頭
硬膜外血腫
頭蓋内血腫除去術
古部/殿元
血管内
くも膜下出血
(前交通動脈瘤破裂)
脳血管内手術
松田/池間
7月21日(木)
血管内
中大脳動脈狭窄症
経皮的脳血栓回収術
木本/向/矢田

予定手術【2022年7月15日(金)~2022年7月21日(木)】

※ 画像をクリックすると拡大表示します。

※ 表は横スクロールすることができます。

開頭症例

手術日
主病名
術名
手術医
(助手)
画像
7月15日(金)
下垂体腺腫
摘出術
北野
VPシャント機能不全
V-P Shunt
松田/濵田
7月19日(火)
腰部脊柱管狭窄症
後方除圧
乾/古谷
7月20日(水)
先端巨大症
摘出術
北野
脳腫瘍
摘出術
南田/殿元
頚部脊柱管狭窄症
拡大椎弓形成術
乾/古谷
7月21日(木)
脳腫瘍
摘出術
富永/長尾/野本

脳血管内手術症例

手術日
主病名
術名
手術医
(助手)
画像
7月15日(金)
脳動脈瘤(Lt.IC)
脳血管内手術
須山/芝野/池間/野本
7月16日(土)
脳動脈瘤(Rt.VA)
脳血管内手術
須山/久貝/芝野/北島/矢田
7月19日(火)
脳動脈瘤(Lt.IC)
脳血管内手術
木本/芝野/矢田
脳動脈瘤(Lt.IC-PC)
脳血管内手術
須山/向/濵田

ガンマナイフ症例

手術日
主病名
担当医
7月15日(金)
転移性脳腫瘍
山里
転移性脳腫瘍
山里
7月19日(火)
小脳テント血管周皮腫
岩井
7月20日(水)
転移性脳腫瘍
岩井

緊急手術【直近の過去1週間 2022年7月8日(金)~2022年7月14日(木)】

手術日
術式
主病名
術名
手術医
(助手)
7月8日(金)
開頭
外傷性慢性硬膜下血腫
血腫穿孔洗浄術
古部/野本
7月10日(日)
開頭
慢性硬膜下血腫
血腫穿孔洗浄術
野本
7月11日(月)
開頭
慢性硬膜下血腫
血腫穿孔洗浄術
池間
7月14日(木)
開頭
慢性硬膜下血腫
血腫穿孔洗浄術
池間
開頭
慢性硬膜下血腫
血腫穿孔洗浄術
池間

予定手術【2022年7月8日(金)~2022年7月14日(木)】

※ 画像をクリックすると拡大表示します。

※ 表は横スクロールすることができます。

開頭症例

手術日
主病名
術名
手術医
(助手)
画像
7月8日(金)
脳腫瘍
摘出術
富永/南田/殿元
脳動脈瘤(Acom)
クリッピング術
久貝/北島/矢田
7月11日(月)
右聴神経鞘腫
摘出術
南田/長尾/野本
7月12日(火)
小脳腫瘍
摘出術
富永/南田/長尾/野本/古谷
頚椎症性脊髄症
拡大椎弓形成術
乾/古谷
円蓋部髄膜腫
摘出術
久貝/北島/矢田
7月13日(水)
小脳類皮腫
摘出術
北野/久貝/北島/矢田
手根管症候群
右手根管開放術
乾/古谷
左肘部管症候群
左肘部管開放術
乾/古谷
7月14日(木)
脳動脈瘤(Acom)
クリッピング術
富永/長尾
腰椎結合組織性椎間孔狭窄症
後方除圧
乾/古谷

脳血管内手術症例

手術日
主病名
術名
手術医
(助手)
画像
7月12日(火)
脳動脈瘤(Lt.IC-PC)
脳血管内手術
木本/芝野/矢田
右側頭葉脳動静脈奇形
血管塞栓術
木本/古部
7月13日(水)
左硬膜動静脈瘻
血管塞栓術
須山/久貝/矢田/殿元
脳動脈瘤(Acom・Rt.MC・Rt.IC)
脳血管内手術
木本/松田/池間/矢田

ガンマナイフ症例

手術日
主病名
担当医
7月8日(金)
聴神経鞘腫
山里
転移性脳腫瘍
山里
7月11日(月)
転移性脳腫瘍
岩井
7月12日(火)
聴神経腫瘍
岩井
右聴神経腫瘍
岩井
転移性脳腫瘍
山里
7月13日(水)
転移性脳腫瘍
山里
7月14日(木)
転移性脳腫瘍
北野

緊急手術【直近の過去1週間 2022年7月1日(金)~2022年7月7日(木)】

手術日
術式
主病名
術名
手術医
(助手)
7月2日(土)
血管内
くも膜下出血
(前交通動脈瘤破裂)
脳血管内手術
木本/野本/矢田
開頭
くも膜下出血
(前交通動脈瘤破裂)
頭蓋内血腫除去術
長尾/野本
7月4日(月)
開頭
外傷性慢性硬膜下血腫
血腫穿孔洗浄術
古部
7月5日(火)
開頭
急性硬膜外血腫
頭蓋内血腫除去術
古部/矢田
開頭
右内頚動脈脳動脈瘤
頭蓋内血腫除去術
久貝/北島/矢田
7月7日(木)
血管内
脳梗塞
経皮的脳血栓回収術
木本/濵田
開頭
急性硬膜下血腫
頭蓋内血腫除去術
松田/濵田

予定手術【2022年7月1日(金)~2022年7月7日(木)】

※ 画像をクリックすると拡大表示します。

※ 表は横スクロールすることができます。

開頭症例

手術日
主病名
術名
手術医
(助手)
画像
7月1日(金)
顔面痙攣
微小血管減圧術
南田/古部/野本
脳動脈瘤(Lt.MC)
クリッピング術
松田/池間
7月5日(火)
左顔面痙攣
微小血管減圧術
岩井/古部/向
頚椎症性脊髄症
前方固定術
乾/古谷
脳動脈瘤(Rt.IC)
クリッピング術
久貝/北島/矢田
7月6日(水)
右顔面痙攣
微小血管減圧術
乾/古谷
7月7日(木)
脳動静脈奇形
摘出術
富永/長尾/北島/矢田
腰部脊柱管狭窄症
後方除圧
乾/古谷
もやもや病
血行再建術
久貝/北島/矢田

脳血管内手術症例

手術日
主病名
術名
手術医
(助手)
画像
7月2日(土)
左頚部内頚動脈狭窄症
経皮的頸動脈ステント留置術
木本/芝野/古谷
7月5日(火)
脳動静脈奇形
血管塞栓術
木本/長尾/北島/矢田
脳動脈瘤(Acom)
脳血管内手術
木本/長尾/野本
7月6日(水)
左海綿静脈洞部硬膜動静脈瘻
脳血管内手術
木本/向/矢田

ガンマナイフ症例

手術日
主病名
担当医
7月4日(月)
眼窩内髄膜腫
岩井
7月6日(水)
下垂体腺腫
北野
転移性脳腫瘍
北野
転移性脳腫瘍
山里
7月7日(木)
転移性脳腫瘍
北野

緊急手術【直近の過去1週間 2022年6月24日(金)~2022年6月30日(木)】

手術日
術式
主病名
術名
手術医
(助手)
6月24日(金)
血管内
心原性脳塞栓症
経皮的脳血栓回収術
芝野/矢田/古谷
6月30日(木)
開頭
硬膜外血腫
頭蓋内血腫除去術
古部/池間
開頭
くも膜下出血
(前交通動脈瘤破裂)
クリッピング術
松田/殿元

予定手術【2022年6月24日(金)~2022年6月30日(木)】

※ 画像をクリックすると拡大表示します。

※ 表は横スクロールすることができます。

開頭症例

手術日
主病名
術名
手術医
(助手)
画像
6月24日(金)
髄膜腫
摘出術
北野
脳動脈瘤(Acom)
クリッピング術
南田/殿元
6月25日(土)
右脳室内出血
気管切開
松田/池間/殿元
6月27日(月)
顔面痙攣症
微小血管減圧術
南田/長尾/野本
水頭症
V-P Shunt
松田/池間
6月28日(火)
三叉神経痛
微小血管減圧術
岩井/古部
6月30日(木)
脳動脈瘤(Rt.VA)
クリッピング術
乾/濵田
右内頚動脈狭窄症
血行再建術
野本

脳血管内手術症例

手術日
主病名
術名
手術医
(助手)
画像
6月24日(金)
左内頚動脈狭窄症
経皮的頸動脈ステント留置術
須山/久貝/北島/矢田
6月25日(土)
脳動脈瘤(Lt.IC)
脳血管内手術
須山./芝野/北島/矢田
6月28日(火)
脳動脈瘤(Rt.IC)
脳血管内手術
木本/芝野/矢田
左頚部内頚動脈狭窄症
経皮的頸動脈ステント留置術
木本/芝野/矢田
6月29日(水)
左内頚動脈狭窄症
経皮的頸動脈ステント留置術
須山/久貝/北島/矢田
脳動脈瘤(Rt.IC)
フローダイバーター留置術
木本/松田/池間/殿元
脳動脈瘤(Acom)
脳血管内手術
木本/松田/池間/殿元

ガンマナイフ症例

手術日
主病名
担当医
6月24日(金)
左円蓋部髄膜腫
岩井
転移性脳腫瘍
山里
6月27日(月)
内頚動脈海綿静脈洞瘻
岩井
6月29日(水)
下垂体腺腫
北野
転移性脳腫瘍
山里

緊急手術【直近の過去1週間 2022年6月17日(金)~2022年6月23日(木)】

手術日
術式
主病名
術名
手術医
(助手)
6月20日(月)
開頭
外傷性慢性硬膜下血腫
血腫穿孔洗浄術
殿元

予定手術【2022年6月17日(金)~2022年6月23日(木)】

※ 画像をクリックすると拡大表示します。

※ 表は横スクロールすることができます。

開頭症例

手術日
主病名
術名
手術医
(助手)
画像
6月17日(金)
脳動脈瘤(Rt.MC)
クリッピング術
南田/殿元
6月18日(土)
水頭症
脳室ドレナージ
松田/殿元
6月20日(月)
嗅溝部髄膜腫
摘出術
南田/長尾/野本
6月21日(火)
腰部脊柱管狭窄症
後方除圧
乾/古谷
顔面痙攣
微小血管減圧術
南田/古部/野本
6月22日(水)
腰椎椎間板性椎間孔狭窄症
後方固定術
乾/古谷
6月23日(木)
手根管症候群
右手根管開放術
乾/古谷
右中大脳動脈狭窄症
血行再建術
久貝/北島/矢田

脳血管内手術症例

手術日
主病名
術名
手術医
(助手)
画像
6月17日(金)
髄膜腫
血管塞栓術
北野/木本/野本
6月18日(土)
右頚部内頚動脈狭窄症
経皮的頸動脈ステント留置術
木本/向/矢田
6月20日(月)
脳動脈瘤(Lt.IC-PC)
脳血管内手術
木本/芝野
脳動脈瘤(Rt.IC-PC)
脳血管内手術
木本/松田/池間/殿元
6月21日(火)
脳動静脈奇形
血管塞栓術
木本/矢田
6月22日(水)
脳動脈瘤(Rt.IC)
フローダイバーター留置術
木本/松田/池間/殿元
右側頭葉脳動静脈奇形
血管塞栓術
木本/松田/池間/殿元

ガンマナイフ症例

手術日
主病名
担当医
6月17日(金)
脳幹部脳動静脈奇形
岩井
転移性脳腫瘍
岩井
6月20日(月)
左三叉神経痛
岩井
6月21日(火)
左前頭葉脳動静脈奇形
岩井
前頭葉膠芽腫
岩井
左頭頂葉星細胞腫
北野
転移性脳腫瘍
北野
6月23日(木)
転移性脳腫瘍
北野
転移性脳腫瘍
北野

緊急手術【直近の過去1週間 2022年6月10日(金)~2022年6月16日(木)】

手術日
術式
主病名
術名
手術医
(助手)
6月15日(水)
開頭
くも膜下出血
(右内頚動脈後交通動脈分岐部動脈瘤破裂)
クリッピング術
松田/池間/古谷
6月16日(木)
開頭
被殻出血
頭蓋内血腫除去術
池間/矢田

予定手術【2022年6月10日(金)~2022年6月16日(木)】

※ 画像をクリックすると拡大表示します。

※ 表は横スクロールすることができます。

開頭症例

手術日
主病名
術名
手術医
(助手)
画像
6月10日(金)
脳腫瘍
摘出術
北野
6月13日(月)
大脳鎌髄膜腫
摘出術
富永/南田/長尾/野本
前頭葉神経膠腫
摘出術
北野
6月14日(火)
右顔面痙攣
微小血管減圧術
岩井/向
もやもや病
血行再建術
久貝/北島/矢田/古谷
6月15日(水)
良性頭蓋咽頭腫
摘出術
北野
6月16日(木)
円蓋部髄膜腫
摘出術
久貝/北島/矢田

脳血管内手術症例

手術日
主病名
術名
手術医
(助手)
画像
6月14日(火)
脳動脈瘤(Rt.IC-PC)
脳血管内手術
木本/芝野/矢田
右側海綿静脈洞部硬膜動静脈瘻
血管塞栓術
木本/芝野/矢田
6月15日(水)
脳動脈瘤(Rt.PC)
脳血管内手術
木本/矢田
脳動脈瘤(Rt.IC)
フローダイバーター留置術
木本/松田/池間

ガンマナイフ症例

手術日
主病名
担当医
6月10日(金)
転移性脳腫瘍
北野
転移性脳腫瘍
北野
三叉神経痛
岩井
6月13日(月)
三叉神経痛
岩井
嗅溝部髄膜腫
岩井
転移性脳腫瘍
岩井
転移性脳腫瘍
岩井
側頭葉膠芽腫
岩井
6月15日(水)
下垂体腺腫
北野
6月19日(日)
転移性脳腫瘍
北野
転移性脳腫瘍
北野

緊急手術【直近の過去1週間 2022年6月3日(金)~2022年6月9日(木)】

手術日
術式
主病名
術名
手術医
(助手)
6月3日(金)
血管内
くも膜下出血
(前交通動脈瘤破裂)
脳血管内手術
(脳血管内ステント)
木本/向/矢田
6月5日(日)
開頭
被殻出血
頭蓋内血腫除去術
久貝/池間
開頭
外傷性慢性硬膜下血腫
血腫穿孔洗浄術
矢田
6月6日(月)
血管内
くも膜下出血
(前交通動脈瘤破裂)
脳血管内手術
木本/芝野/野本
6月8日(水)
開頭
出血性脳動静脈奇形
穿頭脳室ドレナージ
松田/殿元
開頭
脳室内出血
脳内血腫除去術
松田/殿元
6月9日(木)
開頭
脳室内出血
穿頭脳室ドレナージ
松田/殿元
開頭
非交通性水頭症
穿頭脳室ドレナージ
池間

予定手術【2022年6月3日(金)~2022年6月9日(木)】

※ 画像をクリックすると拡大表示します。

※ 表は横スクロールすることができます。

開頭症例

手術日
主病名
術名
手術医
(助手)
画像
6月6日(月)
下垂体腫瘍
摘出術
北野
三叉神経痛
微小血管減圧術
岩井/古部/矢田
6月7日(火)
傍矢状洞髄膜腫
摘出術
富永/南田/長尾/野本
胸椎黄色靱帯骨化症
後方除圧
乾/古谷
6月8日(水)
下垂体腺腫
摘出術
北野
6月9日(木)
腰部脊柱管狭窄症
後方除圧
乾/古谷
脳動脈瘤(Rt.MC)
クリッピング術
久貝/北島/矢田

脳血管内手術症例

手術日
主病名
術名
手術医
(助手)
画像
6月8日(水)
脳動脈瘤(Lt.IC)
脳血管内手術
木本/松田/池間/殿元
脳動静脈奇形
血管塞栓術
木本/松田/池間/殿元

ガンマナイフ症例

手術日
主病名
担当医
6月7日(火)
転移性脳腫瘍
岩井

緊急手術【直近の過去1週間 2022年5月27日(金)~2022年6月2日(木)】

手術日
術式
主病名
術名
手術医
(助手)
6月1日(水)
血管内
塞栓性脳梗塞
経皮的脳血栓回収術
松田

予定手術【2022年5月27日(金)~2022年6月2日(木)】

※ 画像をクリックすると拡大表示します。

※ 表は横スクロールすることができます。

開頭症例

手術日
主病名
術名
手術医
(助手)
画像
5月30日(月)
傍矢状洞髄膜腫
摘出術
長尾/野本
5月31日(火)
腰椎椎間板ヘルニア
Love法
乾/古谷
6月1日(水)
頚部脊柱管狭窄症
前方固定術
乾/古谷
6月2日(木)
脳動静脈奇形
摘出術
富永/向/池間/矢田
脳動脈瘤(Lt.IC)
クリッピング術
久貝/北島/矢田

脳血管内手術症例

手術日
主病名
術名
手術医
(助手)
画像
5月31日(火)
右側頭葉脳動静脈奇形
血管塞栓術
木本/古部
6月1日(水)
左内頚動脈狭窄症
経皮的頸動脈ステント留置術
木本/向/濵田/殿元
脳動静脈奇形
血管塞栓術
木本/向/池間/矢田

ガンマナイフ症例

手術日
主病名
担当医
5月30日(月)
転移性脳腫瘍
岩井
転移性脳腫瘍
岩井
5月31日(火)
三叉神経痛
岩井
6月2日(木)
転移性脳腫瘍
北野

緊急手術【直近の過去1週間 2022年5月20日(金)~2022年5月26日(木)】

手術日
術式
主病名
術名
手術医
(助手)
5月24日(火)
開頭
慢性硬膜下血腫
血腫穿孔洗浄術
池間
開頭
慢性硬膜下血腫
血腫穿孔洗浄術
濵田
5月25日(水)
開頭
慢性硬膜下血腫
血腫穿孔洗浄術
野本
開頭
左視床出血
穿頭脳室ドレナージ
脳内血腫除去術
松田/池間/古谷

予定手術【2022年5月20日(金)~2022年5月26日(木)】

※ 画像をクリックすると拡大表示します。

※ 表は横スクロールすることができます。

開頭症例

手術日
主病名
術名
手術医
(助手)
画像
5月20日(金)
下垂体腺腫
摘出術
北野
5月21日(土)
脳動脈瘤(Rt.MC)
クリッピング術
松田/池間/殿元
水頭症
L-P Shunt
向/殿元
5月23日(月)
三叉神経痛
微小血管減圧術
北野
5月24日(火)
左三叉神経痛
微小血管減圧術
岩井/古部/向
左頚椎椎間板性椎間孔狭窄症
後方椎間孔除圧術
乾/古谷
5月25日(水)
左傍矢状洞髄膜腫
摘出術
北野
5月26日(木)
脳動静脈奇形
摘出術
富永/長尾
硬膜動静脈瘻
流入血管遮断術
北野/久貝/北島/矢田
頚椎症性脊髄症
後方除圧
乾/古谷

脳血管内手術症例

手術日
主病名
術名
手術医
(助手)
画像
5月23日(月)
脳動脈瘤(Lt.IC)
フローダイバーター留置術
木本/芝野
脳動静脈奇形
血管塞栓術
木本/長尾/野本
5月25日(水)
左頚動脈ステント狭窄
経皮的頸動脈ステント留置術
木本/矢田

ガンマナイフ症例

手術日
主病名
担当医
5月20日(金)
右三叉神経痛
岩井
5月23日(月)
左聴神経腫瘍
岩井
転移性脳腫瘍
岩井
三叉神経痛
岩井
5月25日(水)
転移性脳腫瘍
山里
転移性脳腫瘍
山里
5月26日(木)
転移性脳腫瘍
北野

緊急手術【直近の過去1週間 2022年5月13日(金)~2022年5月19日(木)】

手術日
術式
主病名
術名
手術医
(助手)
5月18日(水)
血管内
前交通動脈瘤
脳血管内手術
木本/矢田

予定手術【2022年5月13日(金)~2022年5月19日(木)】

※ 画像をクリックすると拡大表示します。

※ 表は横スクロールすることができます。

開頭症例

手術日
主病名
術名
手術医
(助手)
画像
5月13日(金)
下垂体腺腫
摘出術
北野
左三叉神経痛
微小血管減圧術
北野/久貝/芝野
5月14日(土)
水頭症
V-P Shunt
芝野/矢田
5月16日(月)
下垂体腺腫
摘出術
北野
小脳橋角部髄膜腫
摘出術
南田/池間
5月18日(水)
腰部脊柱管狭窄症
後方除圧
乾/古谷
5月19日(木)
仙骨腫瘍
部分切除
乾/古谷

脳血管内手術症例

手術日
主病名
術名
手術医
(助手)
画像
5月17日(火)
脳動脈瘤(Lt.IC-PC)
脳血管内手術
木本/向/矢田/殿元
5月18日(水)
脳動脈瘤(Acom)
脳血管内手術
木本
脳動脈瘤(Lt.IC)
脳血管内手術
木本/松田/池間/殿元
右頚部内頚動脈狭窄症
経皮的頸動脈ステント留置術
木本/松田/池間/殿元

ガンマナイフ症例

手術日
主病名
担当医
5月17日(火)
脳動静脈奇形
岩井
5月18日(水)
右円蓋部髄膜腫
北野
転移性脳腫瘍
山里
5月19日(木)
転移性脳腫瘍
北野

緊急手術【直近の過去1週間 2022年5月6日(金)~2022年5月12日(木)】

手術日
術式
主病名
術名
手術医
(助手)
5月7日(土)
開頭
外傷性慢性硬膜下血腫
血腫穿孔洗浄術
矢田
5月10日(火)
血管内
くも膜下出血
(脳底動脈瘤破裂)
脳血管内手術
木本/向/池間/矢田
5月11日(水)
開頭
小脳出血
血腫除去術
松田/北島

予定手術【2022年5月6日(金)~2022年5月12日(木)】

※ 画像をクリックすると拡大表示します。

※ 表は横スクロールすることができます。

開頭症例

手術日
主病名
術名
手術医
(助手)
画像
5月6日(金)
脳動脈瘤(Acom)
クリッピング術
富永/芝野/北島/野本
汎副鼻腔炎
摘出術
北野
脳腫瘍
摘出術
南田/北島
脳動脈瘤(Rt.IC-Ach)
クリッピング術
久貝/北島/矢田
5月7日(土)
右前頭葉腫瘍
摘出術
富永/松田/殿元
外傷性慢性硬膜下血腫
穿頭洗浄術
矢田
5月8日(日)
急性硬膜下血腫
開頭血腫除去術
北島
5月9日(月)
下垂体腫瘍
摘出術
北野
左急性硬膜下血腫
気管チューブ交換
野本
5月10日(火)
腰椎椎間板ヘルニア
後方除圧
乾/古谷
脳動脈瘤(Acom)
クリッピング術
久貝/北島/矢田
5月11日(水)
頚部脊柱管狭窄症
後方固定術
乾/古谷
大脳鎌髄膜腫
頭蓋形成術
5月12日(木)
頚椎症性脊髄症
拡大椎弓形成術
乾/古谷
脳動脈瘤(Lt.MC)
クリッピング術
長尾/野本
VPシャント機能不全
L-P Shunt
池間/矢田

脳血管内手術症例

手術日
主病名
術名
手術医
(助手)
画像
5月9日(月)
脳動脈瘤(Rt.IC)
脳血管内手術
木本/長尾/野本
5月10日(火)
脳動脈瘤(Lt.IC)
脳血管内手術
木本/北島/矢田
5月11日(水)
脳動脈瘤(Rt.IC)
脳血管内手術
木本/松田/池間
脳動静脈奇形
脳血管内手術
木本/松田/池間/殿元

ガンマナイフ症例

手術日
主病名
担当医
5月6日(金)
小脳上衣腫
岩井
転移性脳腫瘍
山里
5月10日(火)
転移性脳腫瘍
岩井
5月11日(水)
転移性脳腫瘍
山里
転移性脳腫瘍
山里
5月12日(木)
転移性脳腫瘍
北野
転移性脳腫瘍
北野
転移性脳腫瘍
北野

予定手術【2022年4月29日(金)~2022年5月5日(木)】

※ 画像をクリックすると拡大表示します。

※ 表は横スクロールすることができます。

開頭症例

手術日
主病名
術名
手術医
(助手)
画像
5月2日(月)
蝶形骨髄膜腫
摘出術
北野
5月6日(金)
脳動脈瘤(Acom)
クリッピング術
富永/芝野/北島/野本
脳動脈瘤(Rt.IC-Ach)
クリッピング術
久貝/北島/矢田

ガンマナイフ症例

手術日
主病名
担当医
4月30日(土)
転移性脳腫瘍
岩井
転移性脳腫瘍
岩井
5月6日(金)
小脳上衣腫
岩井
転移性脳腫瘍
山里

緊急手術【直近の過去1週間 2022年4月22日(金)~2022年4月28日(木)】

手術日
術式
主病名
術名
手術医
(助手)
4月25日(月)
開頭
慢性硬膜下血腫
血腫穿孔洗浄術
野本

予定手術【2022年4月22日(金)~2022年4月28日(木)】

※ 画像をクリックすると拡大表示します。

※ 表は横スクロールすることができます。

開頭症例

手術日
主病名
術名
手術医
(助手)
画像
4月22日(金)
頭蓋内のう胞
のう疱開窓術
富永/松田/池間
水頭症
V-P Shunt
北野
開頭術後骨欠損
頭蓋形成術
久貝/古谷
4月25日(月)
円蓋部髄膜腫
摘出術
富永/南田/長尾/野本
下垂体腺腫
摘出術
北野
4月26日(火)
膠芽腫
摘出術
富永/南田/古部/矢田
腰部脊柱管狭窄症
後方除圧
乾/矢田/古谷
4月27日(水)
脊髄空洞症
空洞-腹腔シャント術
乾/濵田/矢田
4月28日(木)
頚部脊柱管狭窄症
拡大椎弓形成術
乾/矢田/古谷
右内頚動脈閉塞症
血行再建術
芝野/殿元

脳血管内手術症例

手術日
主病名
術名
手術医
(助手)
画像
4月22日(金)
脳動脈瘤(Acom)
脳血管内手術
須山/芝野/濵田
4月26日(火)
脳動静脈奇形
血管塞栓術
木本/長尾
左内頚動脈狭窄症
経皮的頸動脈ステント留置術
木本/向/矢田
4月27日(水)
脳動脈瘤(Lt.IC)
フローダイバーター留置術
須山/久貝/矢田

ガンマナイフ症例

手術日
主病名
担当医
4月22日(金)
転移性脳腫瘍
山里
転移性脳腫瘍
山里
4月25日(月)
転移性脳腫瘍
岩井
転移性脳腫瘍
岩井
4月26日(火)
転移性脳腫瘍
岩井
悪性傍矢状洞髄膜腫
岩井
4月28日(木)
転移性脳腫瘍
北野

緊急手術【直近の過去1週間 2022年4月15日(金)~2022年4月21日(木)】

手術日
術式
主病名
術名
手術医
(助手)
4月15日(金)
開頭
脳皮質下出血
血腫除去術
芝野/矢田
4月17日(日)
開頭
くも膜下出血
(中大脳動脈瘤破裂)
クリッピング術
松田/池間
4月21日(木)
開頭
脳皮質下出血
(脳動静脈奇形)
脳動静脈奇形摘出術
久貝/古谷

予定手術【2022年4月15日(金)~2022年4月21日(木)】

※ 画像をクリックすると拡大表示します。

※ 表は横スクロールすることができます。

開頭症例

手術日
主病名
術名
手術医
(助手)
画像
4月15日(金)
海綿状血管腫
摘出術
富永/松田/池間/殿元
下垂体腺腫
摘出術
北野
脳動脈瘤(Lt.MC)
クリッピング術
久貝/古谷
4月18日(月)
顔面痙攣
微小血管減圧術
北野
脳動脈瘤(Rt.IC-PC)
クリッピング術
松田/池間
4月19日(火)
錐体斜台部髄膜腫
摘出術
富永/南田/芝野/向
腰部脊柱管狭窄症
後方除圧
乾/矢田/古谷
4月20日(水)
右頚部内頚動脈閉塞症
血行再建術
富永/久貝/古部/池間
左小脳橋角部髄膜腫
摘出術
北野/向
腰部脊柱管狭窄症
後方除圧
乾/矢田/古谷

脳血管内手術症例

手術日
主病名
術名
手術医
(助手)
画像
4月18日(月)
脳動静脈奇形
血管塞栓術
木本/長尾/北島/矢田
脳動脈瘤(Lt.MC)
脳血管内手術
木本/古部/野本
4月19日(火)
左小脳橋角部髄膜腫
血管塞栓術
木本/向
左内頚動脈狭窄症
経皮的頸動脈ステント留置術
木本/向

ガンマナイフ症例

手術日
主病名
担当医
4月16日(土)
転移性脳腫瘍
岩井
4月18日(月)
転移性脳腫瘍
岩井

緊急手術【直近の過去1週間 2022年4月8日(金)~2022年4月14日(木)】

手術日
術式
主病名
術名
手術医
(助手)
4月8日(金)
開頭
被殻出血
血腫除去術
乾/池間
4月13日(水)
開頭
右円蓋部髄膜腫
血腫除去術
向/野本

予定手術【2022年4月8日(金)~2022年4月14日(木)】

※ 画像をクリックすると拡大表示します。

※ 表は横スクロールすることができます。

開頭症例

手術日
主病名
術名
手術医
(助手)
画像
4月8日(金)
右大脳鎌髄膜腫
摘出術
富永/松田/池間/古谷/殿元
4月11日(月)
円蓋部髄膜腫
摘出術
北野/向
聴神経腫瘍
摘出術
南田/池間
4月12日(火)
右脳腫瘍
摘出術
富永/南田/長尾/濵田/殿元
胸椎椎間板ヘルニア
後方除圧
乾/野本
4月13日(水)
蝶形骨稜髄膜腫
摘出術
北野/向
頚椎症性神経根症
後方除圧
乾/長尾/古谷
左手根管症候群
左手根管開放術
乾/古谷
腰部脊柱管狭窄症
後方除圧
乾/古谷
4月14日(木)
脳動脈瘤(Lt.IC-Ach)
クリッピング術
久貝/北島/古谷

脳血管内手術症例

手術日
主病名
術名
手術医
(助手)
画像
4月8日(金)
脳動脈瘤(Lt.IC)
脳血管内手術
須山/久貝/矢田
4月12日(火)
脳動脈瘤(Rt.IC)
脳血管内手術
木本/向
4月13日(水)
脳動脈瘤(Rt.IC)
脳血管内手術
木本/北島/矢田
脳動脈瘤(Rt.IC)
脳血管内手術
木本/芝野
右内頚動脈狭窄症
経皮的頸動脈ステント留置術
木本/北島/矢田

ガンマナイフ症例

手術日
主病名
担当医
4月12日(火)
血管周皮腫
岩井
4月14日(木)
傍矢状洞髄膜腫
北野
左穹隆部髄膜腫
北野

緊急手術【直近の過去1週間 2022年4月1日(金)~2022年4月7日(木)】

手術日
術式
主病名
術名
手術医
(助手)
4月1日(金)
血管内
アテローム血栓性脳梗塞
経皮的脳血栓回収術
芝野/殿元

予定手術【2022年4月1日(金)~2022年4月7日(木)】

※ 画像をクリックすると拡大表示します。

※ 表は横スクロールすることができます。

開頭症例

手術日
主病名
術名
手術医
(助手)
画像
4月1日(金)
脳動脈瘤(Acom)
クリッピング術
富永/久貝/北島/矢田/古谷
脳脊髄液漏
修復術
北野
4月4日(月)
下垂体腺腫
摘出術
北野
小脳血管芽腫
摘出術
南田/古部/野本
開頭術後骨欠損
頭蓋形成術
松田
4月5日(火)
右傍矢状洞髄膜腫
摘出術
富永/長尾
胸腰椎黄色靱帯骨化症
後方除圧
乾/野本
腰部脊柱管狭窄症
後方除圧
乾/野本
4月6日(水)
下垂体腫瘍
摘出術
北野
4月7日(木)
脳動静脈奇形
第三脳室開窓術
北野/久貝/古谷
頚椎椎間板ヘルニア
前方固定術
乾/野本

脳血管内手術症例

手術日
主病名
術名
手術医
(助手)
画像
4月6日(水)
脳動静脈奇形
血管塞栓術
木本/松田/殿元

ガンマナイフ症例

手術日
主病名
担当医
4月1日(金)
右聴神経腫瘍
山里
4月5日(火)
非機能性下垂体腺腫
岩井
4月7日(木)
転移性脳腫瘍
北野

緊急手術【直近の過去1週間 2022年3月25日(金)~2021年3月31日(木)】

手術日
術式
主病名
術名
手術医
(助手)
3月25日(金)
開頭
慢性硬膜下血腫
血腫穿孔洗浄術
松田/殿元
3月26日(土)
開頭
外傷性慢性硬膜下血腫
血腫穿孔洗浄術
矢田
3月27日(日)
開頭
外傷性慢性硬膜下血腫
血腫穿孔洗浄術
矢田
3月30日(水)
血管内
塞栓性脳梗塞・急性期
経皮的脳血栓回収術
久貝/古谷

予定手術【2022年3月25日(金)~2022年3月31日(木)】

※ 画像をクリックすると拡大表示します。

※ 表は横スクロールすることができます。

開頭症例

手術日
主病名
術名
手術医
(助手)
画像
3月25日(金)
脳腫瘍
摘出術
北野
3月29日(火)
三叉神経痛
微小血管減圧術
岩井/古部/野本
頚椎症性脊髄症
拡大椎弓形成術
乾/野本

脳血管内手術症例

手術日
主病名
術名
手術医
(助手)
画像
3月26日(土)
硬膜動静脈瘻
血管塞栓術
木本
3月28日(月)
左内頚動脈閉塞症
脳血管内手術
木本/芝野/野本
3月29日(火)
脳動脈瘤(Rt.IC)
フローダイバーター留置術
木本/芝野
3月30日(水)
脳動脈瘤(Rt.MC)
脳血管内手術
木本/松田/殿元

ガンマナイフ症例

手術日
主病名
担当医
3月25日(金)
転移性脳腫瘍
山里
3月28日(月)
脳動静脈奇形
岩井
転移性脳腫瘍
岩井
転移性脳腫瘍
岩井
3月29日(火)
三叉神経痛
岩井
3月31日(木)
転移性脳腫瘍
北野
転移性脳腫瘍
北野

緊急手術【直近の過去1週間 2022年3月18日(金)~2022年3月24日(木)】

手術日
術式
主病名
術名
手術医
(助手)
3月20日(日)
開頭
急性硬膜下血腫
血腫除去術
長尾/野本
3月21日(月)
開頭
外傷性くも膜下出血
血腫除去術
久貝/古谷

予定手術【2022年3月18日(金)~2022年3月24日(木)】

※ 画像をクリックすると拡大表示します。

※ 表は横スクロールすることができます。

開頭症例

手術日
主病名
術名
手術医
(助手)
画像
3月18日(金)
蝶形骨稜髄膜腫
摘出術
富永/北野/芝野/池間
三叉神経痛
微小血管減圧術
富永/古部/矢田
3月19日(土)
左顔面痙攣
微小血管減圧術
南田/松田/殿元
3月22日(火)
脳腫瘍
摘出術
富永/南田/長尾/北島
頚椎症性脊髄症
頚椎後方除圧固定
乾/野本

ガンマナイフ症例

手術日
主病名
担当医
3月22日(火)
転移性脳腫瘍
岩井
転移性脳腫瘍
岩井
左前頭葉脳動静脈奇形
岩井
3月23日(水)
大脳鎌悪性髄膜腫
北野
転移性脳腫瘍
山里
3月24日(木)
転移性脳腫瘍
北野

緊急手術【直近の過去1週間 2022年3月11日(金)~2022年3月17日(木)】

手術日
術式
主病名
術名
手術医
(助手)
3月12日(土)
開頭
右外傷性慢性硬膜下血腫
血腫穿孔洗浄術
野本
血管内
心原性脳塞栓症
経皮的脳血栓回収術
芝野/古谷
3月14日(月)
開頭
慢性硬膜下血腫
血腫穿孔洗浄術
野本
開頭
慢性硬膜下血腫
血腫穿孔洗浄術
殿元
3月16日(水)
開頭
脳皮質下出血
血腫除去術
南田/池間

予定手術【2022年3月11日(金)~2022年3月17日(木)】

※ 画像をクリックすると拡大表示します。

※ 表は横スクロールすることができます。

開頭症例

手術日
主病名
術名
手術医
(助手)
画像
3月11日(金)
右側頭葉脳動静脈奇形
摘出術
富永/芝野/古谷
脳動脈瘤(Lt.MC)
クリッピング術
久貝/古谷
3月14日(月)
水頭症
V-P Shunt
北野
3月16日(水)
左円蓋部髄膜腫
摘出術
乾/野本
3月17日(木)
開頭術後骨欠損
頭蓋形成術
殿元

脳血管内手術症例

手術日
主病名
術名
手術医
(助手)
画像
3月14日(月)
脳動静脈奇形
血管塞栓術
須山/久貝/古谷
3月15日(火)
脳動静脈奇形
血管塞栓術
木本/長尾/北島
3月16日(水)
左頚部内頚動脈狭窄症
経皮的頸動脈ステント留置術
木本/芝野/北島
右頚部内頚動脈狭窄症
経皮的頸動脈ステント留置術
木本/松田/殿元

ガンマナイフ症例

手術日
主病名
担当医
3月14日(月)
転移性脳腫瘍
岩井
転移性脳腫瘍
岩井
3月15日(火)
小脳橋角部髄膜腫
岩井
3月16日(水)
転移性脳腫瘍増大
北野
円蓋部髄膜腫
山里
3月17日(木)
転移性脳腫瘍
北野

緊急手術【直近の過去1週間 2022年3月4日(金)~2022年3月10日(木)】

手術日
術式
主病名
術名
手術医
(助手)
3月5日(土)
血管内
心原性脳塞栓症
経皮的脳血栓回収術
木本/向
3月6日(日)
開頭
左被殻出血
血腫除去術
松田/殿元
3月8日(火)
開頭
小脳梗塞
穿頭脳室ドレナージ
松田/古谷
開頭
大脳鎌髄膜腫
デブリードマン
開頭
被殻出血
血腫除去術
北島/殿元
3月10日(木)
開頭
急性硬膜外血腫
血腫除去術
芝野/矢田
開頭
急性硬膜下血腫
血腫除去術
血管内
心原性脳塞栓症
経皮的脳血栓回収術
木本/北島/殿元

予定手術【2022年3月4日(金)~2022年3月10日(木)】

※ 画像をクリックすると拡大表示します。

※ 表は横スクロールすることができます。

開頭症例

手術日
主病名
術名
手術医
(助手)
画像
3月4日(金)
蝶形骨稜髄膜腫
摘出術
富永/南田/古部/殿元
脳腫瘍
摘出術
北野/向/野本
脳動脈瘤(Lt.IC-PC)
クリッピング術
松田/北島/殿元
3月5日(土)
蝶形骨稜髄膜腫
摘出術
富永/松田/池間
3月7日(月)
第4脳室内腫瘍
摘出術
富永/南田/長尾/北島/野本
脳腫瘍
摘出術
北野
3月8日(火)
左側頭葉びまん性星細胞腫
摘出術
富永/古部/向
圧迫骨折術後障害
ロッド、スクリューの入れ換え術
乾/野本
3月9日(水)
腰部脊柱管狭窄症
後方除圧
乾/野本
3月10日(木)
脳動脈瘤(Lt.IC-PC)
クリッピング術
富永/松田/殿元
頚椎椎間板ヘルニア
後方除圧
乾/野本
水頭症
L-P Shunt

脳血管内手術症例

手術日
主病名
術名
手術医
(助手)
画像
3月4日(金)
左内頚動脈狭窄症
経皮的頸動脈ステント留置術
須山/久貝/古谷
3月8日(火)
脳動静脈奇形
血管塞栓術
木本/芝野/古谷
3月9日(水)
右頚部内頚動脈狭窄症
経皮的頸動脈ステント留置術
木本/松田/殿元
右頚部内頚動脈狭窄症
経皮的頸動脈ステント留置術
木本/長尾/北島
左内頚動脈狭窄症
経皮的頸動脈ステント留置術
木本/古部/向

ガンマナイフ症例

手術日
主病名
担当医
3月4日(金)
転移性脳腫瘍
山里
転移性脳腫瘍
山里
3月7日(月)
三叉神経痛
岩井
脳幹部海綿状血管腫
岩井
転移性脳腫瘍
岩井
3月9日(水)
転移性脳腫瘍
山里

緊急手術【直近の過去1週間 2022年2月25日(金)~2022年3月3日(木)】

手術日
術式
主病名
術名
手術医
(助手)
2月25日(金)
開頭
小脳出血
血腫除去術
向/谷/矢田
開頭
後出血
血腫除去術
古部/殿元

予定手術【2022年2月25日(金)~2022年3月3日(木)】

※ 画像をクリックすると拡大表示します。

※ 表は横スクロールすることができます。

開頭症例

手術日
主病名
術名
手術医
(助手)
画像
2月25日(金)
円蓋部髄膜腫
摘出術
富永/南田/古部/野本
脳腫瘍
摘出術
北野
脳動脈瘤(Rt.MC)
クリッピング術
久貝/野本
2月28日(月)
脳腫瘍
摘出術
北野
左小脳橋角部髄膜腫
摘出術
南田/池間
3月1日(火)
VPシャント機能不全
シャント入れ替え
乾/池間/野本
左側頭葉腫瘤
摘出術
南田/古部/野本
3月2日(水)
下垂体腺腫
摘出術
北野
腰部脊柱管狭窄症
後方除圧
乾/野本
3月3日(木)
脳動静脈奇形
摘出術
富永/芝野/矢田
頚椎後縦靭帯骨化症
前方固定術
乾/野本
脳動脈瘤(Rt.AC)
クリッピング術
長尾/北島

脳血管内手術症例

手術日
主病名
術名
手術医
(助手)
画像
2月25日(金)
脳動脈瘤(Acom)
脳血管内手術
須山/芝野
2月28日(月)
小脳脳動静脈奇形
血管塞栓術
須山/久貝/古谷
3月1日(火)
脳動静脈奇形
血管塞栓術
木本/芝野/矢田
脳動静脈奇形
血管塞栓術
木本/長尾/北島
3月2日(水)
脳動脈瘤(Acom)
脳血管内手術
木本/北島/殿元
脳動脈瘤(Lt.VA)
フローダイバーター留置術
木本/谷

ガンマナイフ症例

手術日
主病名
担当医
2月25日(金)
転移性脳腫瘍
岩井
転移性脳腫瘍
山里
3月2日(水)
転移性脳腫瘍
北野
2月3日(木)
転移性脳腫瘍
北野

緊急手術【直近の過去1週間 2022年2月18日(金)~2022年2月24日(木)】

手術日
術式
主病名
術名
手術医
(助手)
2月19日(土)
血管内
心原性脳塞栓症
経皮的脳血栓回収術
芝野/殿元
2月20日(日)
血管内
心原性脳塞栓症
経皮的脳血栓回収術
須山/古部/古谷
2月21日(月)
血管内
心原性脳塞栓症
経皮的脳血栓回収術
松田/北島/野本
2月22日(火)
開頭
外傷性慢性硬膜下血腫
血腫穿孔洗浄術
矢田

予定手術【2022年2月18日(金)~2022年2月24日(木)】

※ 画像をクリックすると拡大表示します。

※ 表は横スクロールすることができます。

開頭症例

手術日
主病名
術名
手術医
(助手)
画像
2月18日(金)
右脳室髄膜腫
摘出術
北野
2月19日(土)
大脳鎌髄膜腫
摘出術
北野/向
2月21日(月)
脳腫瘍
摘出術
北野
脳動脈瘤(Lt.MC)
クリッピング術
久貝/古谷
2月22日(火)
頚椎症性脊髄症
頚椎後方除圧固定
乾/野本
水頭症
V-P Shunt
向/野本
2月24日(木)
右小脳腫瘍
摘出術
北野
脳動脈瘤(Rt.MC)
クリッピング術
久貝/谷

脳血管内手術症例

手術日
主病名
術名
手術医
(助手)
画像
2月18日(金)
右内頚動脈狭窄症
経皮的頸動脈ステント留置術
木本/芝野
大脳鎌髄膜腫
血管塞栓術
木本/向
2月22日(火)
脳動脈瘤(Acom)
脳血管内手術
木本/長尾/北島/野本

ガンマナイフ症例

手術日
主病名
担当医
2月19日(土)
転移性脳腫瘍
岩井
2月21日(月)
転移性脳腫瘍
岩井
転移性脳腫瘍
岩井
2月24日(木)
鞍結節部髄膜腫
北野

緊急手術【直近の過去1週間 2022年2月11日(金)~2022年2月17日(木)】

手術日
術式
主病名
術名
手術医
(助手)
2月13日(日)
血管内
くも膜下出血
(左内頚動脈瘤破裂)
脳血管内手術
須山/久貝/殿元
開頭
非交通性水頭症
穿頭脳室ドレナージ
久貝/殿元
2月16日(水)
開頭
慢性硬膜下血腫
血腫穿孔洗浄術
北島
2月17日(木)
開頭
慢性硬膜下血腫
血腫穿孔洗浄術
古谷

予定手術【2022年2月11日(金)~2022年2月17日(木)】

※ 画像をクリックすると拡大表示します。

※ 表は横スクロールすることができます。

開頭症例

手術日
主病名
術名
手術医
(助手)
画像
2月14日(月)
下垂体腺腫
摘出術
北野
2月15日(火)
頚椎症性脊髄症
拡大椎弓形成術
乾/野本
脳動脈瘤(Lt.MC)
クリッピング術
長尾/北島
2月16日(水)
脳腫瘍
摘出術
北野
腰部脊柱管狭窄症
後方除圧
乾/野本
2月17日(木)
海綿状血管腫
摘出術
富永/南田/松田/池間
頚椎症性脊髄症
頚椎後方除圧固定
乾/野本
右内頚動脈狭窄症
内頚動脈内膜剥離術
長尾/北島

脳血管内手術症例

手術日
主病名
術名
手術医
(助手)
画像
2月12日(土)
内頚動脈狭窄症
経皮的頸動脈ステント留置術
須山/久貝/古谷
2月14日(月)
右頚部内頚動脈狭窄症
経皮的頸動脈ステント留置術
木本/芝野/谷
2月15日(火)
脳動静脈奇形
血管塞栓術
木本/芝野/古谷
2月16日(水)
脳動脈瘤(Acom)
脳血管内手術
木本/北島/殿元

ガンマナイフ症例

手術日
主病名
担当医
2月14日(月)
傍矢状洞髄膜腫
岩井
下垂体腺腫
岩井
転移性脳腫瘍
岩井
右聴神経腫瘍
岩井
転移性脳腫瘍
岩井
2月15日(火)
錐体斜台部髄膜腫
岩井
蝶形骨髄膜腫
岩井
2月16日(水)
転移性脳腫瘍
北野

緊急手術【直近の過去1週間 2022年2月4日(金)~2021年2月10日(木)】

手術日
術式
主病名
術名
手術医
(助手)
2月4日(金)
開頭
脳皮質下出血
血腫除去術
古部/野本
2月5日(土)
血管内
脳外主幹動脈血栓症脳梗塞
経皮的脳血栓回収術
久貝/野本
2月6日(日)
開頭
慢性硬膜下血腫
血腫穿孔洗浄術
野本
2月8日(火)
開頭
慢性硬膜下血腫
血腫穿孔洗浄術
殿元/池間
2月9日(水)
開頭
右慢性硬膜下血腫
血腫穿孔洗浄術

予定手術【2022年2月4日(金)~2022年2月10日(木)】

※ 画像をクリックすると拡大表示します。

※ 表は横スクロールすることができます。

開頭症例

手術日
主病名
術名
手術医
(助手)
画像
2月4日(金)
下垂体腺腫
摘出術
北野
2月5日(土)
くも膜下出血
脳室ドレナージ
2月7日(月)
下垂体腺腫
摘出術
北野
三叉神経痛
微小血管減圧術
長尾
2月8日(火)
頚部脊髄髄内腫瘍
摘出術
乾/野本
頚椎椎間板ヘルニア
前方固定術
乾/野本
2月9日(水)
右小脳橋角部腫瘍
摘出術
富永/北野/古部/古谷
左円蓋部髄膜腫
摘出術
久貝/古谷
2月10日(木)
脳動脈瘤(Lt.MC・Lt.IC-PC)
クリッピング術
富永/長尾/北島
腰部脊柱管狭窄症
後方除圧
乾/野本

脳血管内手術症例

手術日
主病名
術名
手術医
(助手)
画像
2月7日(月)
脳動脈瘤(Lt.IC)
脳血管内手術
須山/久貝/古谷
2月8日(火)
左頚部内頚動脈狭窄症
経皮的頸動脈ステント留置術

ガンマナイフ症例

手術日
主病名
担当医
2月4日(金)
転移性脳腫瘍
岩井

緊急手術【直近の過去1週間 2022年1月28日(金)~2022年2月3日(木)】

手術日
術式
主病名
術名
手術医
(助手)
1月30日(日)
血管内
心原性脳塞栓症
経皮的脳血栓回収術
須山/久貝/殿元
血管内
くも膜下出血
(内頚動脈後交通動脈分岐部動脈瘤破裂)
脳血管内手術
木本/古部
2月2日(水)
血管内
心原性脳塞栓症
経皮的脳血栓回収術
芝野/谷/古谷
開頭
被殻出血
血腫除去術
谷/池間

予定手術【2022年1月28日(金)~2022年2月3日(木)】

※ 画像をクリックすると拡大表示します。

※ 表は横スクロールすることができます。

開頭症例

手術日
主病名
術名
手術医
(助手)
画像
1月29日(土)
内頚動脈狭窄症
内頚動脈内膜剥離術
長尾/北島
1月31日(月)
水頭症
V-P Shunt
松田/池間
2月1日(火)
脳動脈瘤(Rt.MC)
クリッピング術
富永/長尾
頚部脊柱管狭窄症
拡大椎弓形成術
乾/池間/野本
2月2日(水)
左手根管症候群
左手根管開放術
乾/野本
2月3日(木)
腰椎骨性椎間孔狭窄症
後方除圧
乾/池間/野本
脳動脈瘤(Lt.MC)
クリッピング術
長尾

脳血管内手術症例

手術日
主病名
術名
手術医
(助手)
画像
1月31日(月)
脳動静脈奇形
血管塞栓術
木本/長尾
2月1日(火)
脳動脈瘤(Rt.IC)
フローダイバーター留置術
木本/北島/殿元
脳動脈瘤(Rt.IC-PC)
脳血管内手術
木本/芝野/池間

ガンマナイフ症例

手術日
主病名
担当医
1月31日(月)
右聴神経腫瘍
岩井
聴神経腫瘍
岩井
転移性脳腫瘍
岩井
2月1日(火)
脳動静脈奇形
岩井
2月2日(水)
転移性脳腫瘍
北野
2月3日(木)
左聴神経腫瘍
北野

緊急手術【直近の過去1週間 2022年1月21日(金)~2022年1月27日(木)】

手術日
術式
主病名
術名
手術医
(助手)
1月23日(日)
開頭
慢性硬膜下血腫
血腫穿孔洗浄術
1月25日(火)
開頭
慢性硬膜下血腫
血腫穿孔洗浄術
北島/古谷
1月26日(水)
開頭
右慢性硬膜下血腫
血腫穿孔洗浄術
古谷
1月27日(木)
開頭
くも膜下出血
穿頭脳室ドレナージ

予定手術【2022年1月21日(金)~2022年1月27日(木)】

※ 画像をクリックすると拡大表示します。

※ 表は横スクロールすることができます。

開頭症例

手術日
主病名
術名
手術医
(助手)
画像
1月21日(金)
脳幹部海綿状血管腫
摘出術
富永/松田/北島/殿元
右内頚動脈閉塞症
血行再建術
久貝/古谷
1月24日(月)
嗅溝部髄膜腫
摘出術
北野/向
もやもや病
血行再建術
松田/矢田
水頭症
V-P Shunt
長尾/北島
1月25日(火)
脳動脈瘤(Rt.IC-PC)
クリッピング術
富永/久貝/古谷
腰部脊柱管狭窄症
後方除圧
乾/池間/野本
1月26日(水)
頚椎症性脊髄症
頚椎後方除圧固定術
乾/池間/野本
1月27日(木)
脳動静脈奇形
摘出術
富永/松田/殿元
脳動脈瘤(Rt.IC)
クリッピング術
富永/長尾/北島
頚椎黄色靱帯骨化症
拡大椎弓形成術
乾/池間/野本

脳血管内手術症例

手術日
主病名
術名
手術医
(助手)
画像
1月24日(月)
小脳脳動静脈奇形
血管塞栓術
須山/久貝/池間/古谷

ガンマナイフ症例

手術日
主病名
担当医
1月24日(月)
転移性脳腫瘍
岩井
転移性脳腫瘍
岩井
1月26日(水)
悪性下垂体腫瘍
北野

緊急手術【直近の過去1週間 2022年1月14日(金)~2022年1月20日(木)】

手術日
術式
主病名
術名
手術医
(助手)
1月14日(金)
開頭
左脳皮質下出血
穿頭脳室ドレナージ
古部/北島/古谷
1月18日(火)
開頭
右慢性硬膜下血腫
血腫穿孔洗浄術
開頭
外傷性慢性硬膜下血腫
血腫穿孔洗浄術
矢田
1月19日(水)
血管内
心原性脳塞栓症
経皮的脳血栓回収術
久貝/向

予定手術【2022年1月14日(金)~2022年1月20日(木)】

※ 画像をクリックすると拡大表示します。

※ 表は横スクロールすることができます。

開頭症例

手術日
主病名
術名
手術医
(助手)
画像
1月14日(金)
類皮腫
摘出術
北野
1月15日(土)
脳動脈瘤(Rt.IC)
クリッピング術
富永/長尾/北島
1月17日(月)
大脳鎌髄膜腫
摘出術
北野
水頭症
V-P Shunt
南田/池間
1月18日(火)
頚椎症性脊髄症
後方固定術
乾/池間/野本
1月19日(水)
脊髄神経鞘腫
摘出術
1月20日(木)
腰部脊柱管狭窄症
後方除圧
乾/池間/野本

脳血管内手術症例

手術日
主病名
術名
手術医
(助手)
画像
1月18日(火)
嗅溝部髄膜腫
血管塞栓術
木本/向
1月19日(水)
脳動脈瘤(Rt.IC)
脳血管内手術
須山/久貝/古谷

ガンマナイフ症例

手術日
主病名
担当医
1月17日(月)
錐体斜台部髄膜腫
岩井
右前頭葉脳動静脈奇形
岩井
転移性脳腫瘍
岩井
転移性脳腫瘍
岩井
1月18日(火)
転移性脳腫瘍
岩井
1月19日(水)
転移性脳腫瘍
山里
1月20日(木)
後頭蓋窩髄膜腫
北野

緊急手術【直近の過去1週間 2022年1月7日(金)~2022年1月13日(木)】

手術日
術式
主病名
術名
手術医
(助手)
1月7日(金)
血管内
右急性期アテローム血栓性脳梗塞
経皮的脳血栓回収術
久貝/古谷
血管内
心原性脳塞栓症
経皮的脳血栓回収術
久貝/古谷
血管内
急性期アテローム血栓性脳梗塞
経皮的脳血栓回収術
須山/古部
1月10日(月)
開頭
くも膜下出血
(中大脳動脈瘤破裂)
クリッピング術
久貝/野本
血管内
急性期アテローム血栓性脳梗塞
経皮的頸動脈ステント留置術
木本/谷/北島
1月12日(水)
開頭
くも膜下出血
(中大脳動脈瘤破裂)
穿頭脳室ドレナージ
久貝/殿元
1月13日(木)
開頭
慢性硬膜下血腫
血腫穿孔洗浄術
池間
血管内
急性期塞栓性脳梗塞
経皮的脳血栓回収術
芝野/谷

予定手術【2022年1月7日(金)~2022年1月13日(木)】

※ 画像をクリックすると拡大表示します。

※ 表は横スクロールすることができます。

開頭症例

手術日
主病名
術名
手術医
(助手)
画像
1月7日(金)
蝶形骨稜髄膜腫
摘出術
南田/古部
脳動脈瘤(Rt.MC)
クリッピング術
松田/殿元
1月11日(火)
腰部脊柱管狭窄症
後方除圧
乾/池間/野本
水頭症
L-P Shunt
長尾/池間
1月12日(水)
脊髄神経鞘腫
摘出術
乾/池間/野本
脳動脈瘤(Rt.AC)
クリッピング術
久貝/古部/向
1月13日(木)
脳動脈瘤(Rt.IC-PC)
クリッピング術
乾/池間/野本

脳血管内手術症例

手術日
主病名
術名
手術医
(助手)
画像
1月11日(火)
脳動脈瘤(Lt.IC-PC)
脳血管内手術
木本/長尾
右内頚動脈狭窄症
経皮的頸動脈ステント留置術
木本/古部/向
1月12日(水)
左硬膜動静脈瘻
血管塞栓術
木本/松田/殿元

ガンマナイフ症例

手術日
主病名
担当医
1月11日(火)
転移性脳腫瘍
岩井

緊急手術【直近の過去1週間 2021年12月31日(金)~2022年1月6日(木)】

手術日
術式
主病名
術名
手術医
(助手)
1月5日(水)
開頭
くも膜下出血
(左中大脳動脈瘤破裂)
クリッピング術
芝野/矢田
1月6日(木)
開頭
急性硬膜下血腫
血腫除去術
谷/殿元

予定手術【2021年12月24日(金)~2021年12月30日(木)】

※ 画像をクリックすると拡大表示します。

※ 表は横スクロールすることができます。

開頭症例

手術日
主病名
術名
手術医
(助手)
画像
12月24日(金)
脳動脈瘤(Acom)
クリッピング術
富永/久貝/古谷
12月27日(月)
右聴神経腫瘍
摘出術
北野

ガンマナイフ症例

手術日
主病名
担当医
12月27日(月)
転移性脳腫瘍
岩井
転移性脳腫瘍
岩井

緊急手術【直近の過去1週間 2021年12月17日(金)~2021年12月23日(木)】

手術日
術式
主病名
術名
手術医
(助手)
12月18日(土)
血管内
心原性脳塞栓症
経皮的脳血栓回収術
芝野/北島/矢田
12月22日(水)
開頭
被殻出血
血腫除去術
古部/野本
12月23日(木)
開頭
被殻出血
血腫除去術
古部/向/殿元

予定手術【2021年12月17日(金)~2021年12月23日(木)】

※ 画像をクリックすると拡大表示します。

※ 表は横スクロールすることができます。

開頭症例

手術日
主病名
術名
手術医
(助手)
画像
12月17日(金)
脳動静脈奇形
摘出術
富永/古部
下垂体腺腫
摘出術
北野
12月20日(月)
脳腫瘍
摘出術
北野
脳動脈瘤(Rt.IC-PC)
頭蓋形成術
南田/池間
脳動脈瘤(Rt.MC)
クリッピング術
松田/殿元
12月21日(火)
水頭症
V-P Shunt
向/野本
12月22日(水)
腰部脊柱管狭窄症
後方除圧
乾/池間/野本
12月23日(木)
片側顔面痙攣
微小血管減圧術
岩井/向/池間

脳血管内手術症例

手術日
主病名
術名
手術医
(助手)
画像
12月20日(月)
左頚部内頚動脈狭窄症
経皮的頸動脈ステント留置術
木本/芝野/谷
12月21日(火)
脳動脈瘤(Lt.IC)
脳血管内手術
須山/久貝/古谷
硬膜動静脈瘻
血管塞栓術
木本/芝野/谷
12月22日(水)
小脳脳動静脈奇形
血管塞栓術
須山/久貝/池間/古谷
脳動脈瘤(Lt.IC-OP)
脳血管内手術
(フローダイバーター)
木本/北島/殿元

ガンマナイフ症例

手術日
主病名
担当医
12月17日(金)
転移性脳腫瘍
山里
12月20日(月)
聴神経腫瘍
岩井
転移性脳腫瘍
岩井
左頭頂葉膠芽腫
岩井
三叉神経痛
岩井
転移性脳腫瘍
岩井
12月21日(火)
右聴神経鞘腫
岩井
聴神経腫瘍
岩井
三叉神経痛第1枝領域
岩井
転移性脳腫瘍
岩井
12月22日(水)
鞍結節部髄膜腫
北野

緊急手術【直近の過去1週間 2021年12月10日(金)~2021年12月16日(木)】

手術日
術式
主病名
術名
手術医
(助手)
12月11日(土)
血管内
外傷性椎骨動脈瘤
脳血管内手術
須山/芝野/野本
12月14日(火)
開頭
くも膜下出血
(中大脳動脈瘤破裂)
クリッピング術
松田/矢田
12月15日(水)
開頭
急性硬膜外血腫
血腫除去術
山田
開頭
急性硬膜下血腫
血腫除去術
山田
12月16日(木)
開頭
くも膜下出血
(内頚動脈瘤破裂)
穿頭脳室ドレナージ
松田/池間
血管内
くも膜下出血
(内頚動脈瘤破裂)
脳血管内手術
木本/松田/池間

予定手術【2021年12月10日(金)~2021年12月16日(木)】

※ 画像をクリックすると拡大表示します。

※ 表は横スクロールすることができます。

開頭症例

手術日
主病名
術名
手術医
(助手)
画像
12月10日(金)
下垂体腫瘍
摘出術
北野
脳腫瘍
摘出術
久貝
脳動脈瘤(Acom)
クリッピング術
松田/殿元
12月11日(土)
脳動脈瘤(Lt.IC-PC)
クリッピング術
富永/松田/古谷
12月13日(月)
下垂体腺腫
摘出術
北野
脳動脈瘤(Lt.VA)
気管切開術
北島/殿元
12月14日(火)
頚部脊柱管狭窄症
拡大椎弓形成術
乾/池間/野本
脳動脈瘤(Acom)
クリッピング術
芝野/古部
水頭症
V-P Shunt
山田/矢田
12月15日(水)
頚部脊柱管狭窄症
拡大椎弓形成術
乾/池間/野本
右顔面痙攣
微小血管減圧術
南田/池間
12月16日(木)
左内頚動脈狭窄症
内頚動脈内膜剥離術
芝野/谷
脳動脈瘤(Lt.AC)
クリッピング術
長尾/北島

脳血管内手術症例

手術日
主病名
術名
手術医
(助手)
画像
12月13日(月)
右頚部内頚動脈閉塞症
経皮的頸動脈ステント留置術
木本/長尾/北島
12月14日(火)
脳動脈瘤(Lt.IC-PC)
脳血管内手術
木本/北島/殿元
右頚部内頚動脈狭窄症
経皮的頸動脈ステント留置術
木本/谷
12月16日(木)
脳動静脈奇形
血管塞栓術
木本/古部/向/野本

ガンマナイフ症例

手術日
主病名
担当医
12月10日(金)
転移性脳腫瘍
岩井
12月13日(月)
右聴神経鞘腫
岩井
神経線維腫症2型
岩井
小脳橋角部髄膜腫
岩井
12月14日(火)
転移性脳腫瘍
岩井
12月16日(木)
転移性脳腫瘍
北野
転移性脳腫瘍
北野

緊急手術【直近の過去1週間 2021年12月3日(金)~2021年12月9日(木)】

手術日
術式
主病名
術名
手術医
(助手)
12月3日(金)
開頭
被殻出血
血腫除去術
久貝/谷
12月4日(土)
開頭
被殻出血
血腫除去術
北島
12月6日(月)
開頭
脳腫瘍
腫瘍摘出術
北野/古部/古谷
12月7日(火)
開頭
左内頚動脈後交通動脈分岐部動脈瘤
クリッピング術
松田/殿元
12月8日(水)
開頭
脳動静脈奇形
血腫除去術
減圧開頭術
富永/松田
12月9日(木)
開頭
アテローム血栓性脳梗塞
減圧開頭術
松田/殿元

予定手術【2021年12月3日(金)~2021年12月9日(木)】

※ 画像をクリックすると拡大表示します。

※ 表は横スクロールすることができます。

開頭症例

手術日
主病名
術名
手術医
(助手)
画像
12月3日(金)
脳動脈瘤(Lt.VA)
クリッピング術
富永/松田/殿元
短時間持続性
片側神経痛様頭痛発作
微小血管減圧術
岩井/古部
脳動脈瘤(Lt.MC)
クリッピング術
久貝/古谷
12月7日(火)
頚椎症性神経根症
前方固定術
乾/池間/野本
環軸関節亜脱臼
後方除圧固定
乾/池間/野本
右アテローム血栓性脳梗塞
血行再建術
芝野/古部
12月8日(水)
腰椎椎間板性椎間孔狭窄症
左椎間孔部除圧
乾/池間/野本
腰部脊柱管狭窄症
後方除圧
乾/池間/野本
12月9日(木)
脳動静脈奇形
摘出術
富永/松田/谷/殿元
頚椎症性神経根症
前方固定術
乾/池間/野本
VPシャント機能不全
L-P Shunt
長尾/北島
水頭症
V-P Shunt
山田/矢田

脳血管内手術症例

手術日
主病名
術名
手術医
(助手)
画像
12月7日(火)
脳動脈瘤(Rt.IC)
脳血管内手術
木本/北島/殿元
脳動脈瘤(Rt.IC)
脳血管内手術
木本/長尾/谷/北島
12月8日(水)
脳動静脈奇形
血管塞栓術
木本/松田/谷/殿元

ガンマナイフ症例

手術日
主病名
担当医
12月6日(月)
脳動静脈奇形
岩井
三叉神経痛
岩井
転移性脳腫瘍
岩井
12月7日(火)
三叉神経痛
岩井
転移性脳腫瘍
岩井
12月8日(水)
右小脳テント髄膜腫
山里

緊急手術【直近の過去1週間 2021年11月26日(金)~2021年12月2日(木)】

手術日
術式
主病名
術名
手術医
(助手)
11月28日(日)
開頭
急性硬膜外血腫
血腫除去術
12月2日(木)
開頭
被殻出血
血腫除去術
古部/山田/池間/矢田
血管内
くも膜下出血
脳血管内手術
木本/松田/北島/殿元
開頭
くも膜下出血
穿頭脳室ドレナージ
北島/矢田/殿元

予定手術【2021年11月26日(金)~2021年12月2日(木)】

※ 画像をクリックすると拡大表示します。

※ 表は横スクロールすることができます。

開頭症例

手術日
主病名
術名
手術医
(助手)
画像
11月26日(金)
脳動静脈奇形
摘出術
富永/古部/谷
鞍上部腫瘍
拡大ハーディ
北野
11月29日(月)
左聴神経腫瘍
摘出術
富永/南田/松田/殿元
11月30日(火)
第1腰椎圧迫骨折
人工椎体置換+後方固定術
乾/池間/野本
12月1日(水)
胸椎後縦靭帯骨化症
後方除圧
乾/池間/野本
12月2日(木)
左後頭葉脳動静脈奇形
摘出術
富永/芝野
腰部脊柱管狭窄症
後方除圧
乾/池間/野本
頚椎骨折
後方固定術
乾/池間/野本

脳血管内手術症例

手術日
主病名
術名
手術医
(助手)
画像
11月29日(月)
小脳脳動静脈奇形
血管塞栓術
須山/久貝
11月30日(火)
脳動脈瘤(Rt.IC)
脳血管内手術
(フローダイバーター)
木本/北島/殿元
左後頭葉脳動静脈奇形
血管塞栓術
木本/芝野/谷
12月1日(水)
脳動脈瘤(Lt.IC)
脳血管内手術
木本/松田/谷/殿元
脳動脈瘤(Rt.IC)
脳血管内手術
(フローダイバーター)
木本/松田/殿元

ガンマナイフ症例

手術日
主病名
担当医
11月26日(金)
転移性脳腫瘍
山里
11月29日(月)
転移性脳腫瘍
岩井
転移性脳腫瘍
岩井
11月30日(火)
円蓋部髄膜腫
岩井
12月2日(木)
下垂体腺腫
北野
三叉神経鞘腫
北野
髄膜腫
北野

緊急手術【直近の過去1週間 2021年11月19日(金)~2021年11月25日(木)】

手術日
術式
主病名
術名
手術医
(助手)
11月19日(金)
開頭
くも膜下出血
穿頭脳室ドレナージ
久貝/野本
血管内
くも膜下出血
脳血管内手術
須山/久貝/野本
11月22日(月)
血管内
くも膜下出血
(脳底動脈瘤破裂)
脳血管内手術
須山/古部
開頭
右急性硬膜外血腫
血腫除去術
南田/古谷

予定手術【2021年11月19日(金)~2021年11月25日(木)】

※ 画像をクリックすると拡大表示します。

※ 表は横スクロールすることができます。

開頭症例

手術日
主病名
術名
手術医
(助手)
画像
11月19日(金)
脳動静脈奇形
摘出術
富永/松田/向/池間
クッシング病
摘出術
北野
11月20日(土)
脳動脈瘤(Lt.MC)
クリッピング術
松田/殿元
11月22日(月)
右聴神経腫瘍
摘出術
北野
11月24日(水)
腰部脊柱管狭窄症
後方除圧
乾/池間/野本
頚椎症性脊髄症
前方固定術
乾/池間/野本
11月25日(木)
左聴神経鞘腫
摘出術
富永/松田/殿元
腰部脊柱管狭窄症
後方除圧
乾/池間/野本

ガンマナイフ症例

手術日
主病名
担当医
11月19日(金)
転移性脳腫瘍
山里
11月24日(水)
中頭蓋窩髄膜腫
北野
良性頭蓋咽頭腫
北野
左蝶形骨稜髄膜腫
山里
11月25日(木)
転移性脳腫瘍
北野
左蝶形骨髄膜腫
北野

緊急手術【直近の過去1週間 2021年11月12日(金)~2021年11月18日(木)】

手術日
術式
主病名
術名
手術医
(助手)
11月13日(土)
開頭
慢性硬膜下血腫
血腫穿孔洗浄術
野本
開頭
右視床出血
穿頭脳室ドレナージ
久貝/矢田
11月16日(火)
開頭
くも膜下出血
(内頚動脈瘤破裂)
クリッピング術
南田/池間/矢田
開頭
くも膜下出血
(前交通動脈瘤破裂)
クリッピング術
芝野/古部
11月17日(水)
血管内
心原性脳塞栓症
経皮的頸動脈ステント留置術
経皮的脳血栓回収術
木本/北島/殿元
開頭
くも膜下出血
(内頚動脈瘤破裂)
クリッピング術
減圧開頭術
南田/池間

予定手術【2021年11月12日(金)~2021年11月18日(木)】

※ 画像をクリックすると拡大表示します。

※ 表は横スクロールすることができます。

開頭症例

手術日
主病名
術名
手術医
(助手)
画像
11月12日(金)
脳動静脈奇形
摘出術
富永/古部/池間/古谷
下垂体腺腫
摘出術
北野
11月13日(土)
右頭頂葉腫瘍
摘出術
北野
11月15日(月)
斜台部脊索腫
拡大ハーディ
北野
脳動脈瘤(Acom)
クリッピング術
久貝/向/殿元
11月16日(火)
頚椎症性脊髄症
拡大椎弓形成術
乾/池間/野本
頚椎椎間板ヘルニア
前方固定術
乾/池間/野本
脳動脈瘤(Rt.MC)
クリッピング術
久貝/古谷
脳動脈瘤(Rt.AC)
クリッピング術
長尾/北島
11月17日(水)
頭蓋咽頭腫
摘出術
北野
脳動脈瘤(Rt.IC-PC)
クリッピング術
南田/池間
頚椎症性脊髄症
拡大椎弓形成術
乾/池間/野本
頚椎椎間板ヘルニア
前方固定術
乾/池間/野本
11月18日(木)
脳動脈瘤(Rt.IC-PC)
クリッピング術
富永/芝野/北島
脳動脈瘤(Rt.MC)
クリッピング術
富永/久貝/古谷
腰部脊柱管狭窄症
後方除圧
乾/池間/野本

脳血管内手術症例

手術日
主病名
術名
手術医
(助手)
画像
11月15日(月)
脳動脈瘤(Rt.IC)
脳血管内手術
須山/久貝/古谷
左内頚動脈狭窄症
経皮的頸動脈ステント留置術
木本/芝野/古部
11月17日(水)
脳動脈瘤(BA)
脳血管内手術
(パイプライン)
木本/北島/殿元
右頚動脈ステント植え込み状態
経皮的頸動脈ステント留置術
木本/松田/古谷

ガンマナイフ症例

手術日
主病名
担当医
11月15日(月)
転移性脳腫瘍
岩井
転移性脳腫瘍
岩井
転移性脳腫瘍
岩井
転移性脳腫瘍
岩井
転移性脳腫瘍
岩井
11月16日(火)
左錐体斜台部髄膜腫
岩井
転移性脳腫瘍
岩井
11月17日(水)
下垂体腺腫
岩井
11月18日(木)
転移性脳腫瘍
北野
CD20陽性B細胞性非ホジキンリンパ腫
北野
転移性脳腫瘍
北野
下垂体腺腫
北野
転移性脳腫瘍
北野

緊急手術【直近の過去1週間 2021年11月5日(金)~2021年11月11日(木)】

手術日
術式
主病名
術名
手術医
(助手)
11月5日(金)
開頭
小脳出血
穿頭脳室ドレナージ
血腫除去術
古部/池間
11月6日(土)
開頭
非交通性水頭症
穿頭脳室ドレナージ
池間
11月10日(水)
開頭
くも膜下出血
(前交通動脈瘤破裂)
クリッピング術
南田/古部/谷
開頭
慢性硬膜下血腫
血腫穿孔洗浄術
山田

予定手術【2021年11月5日(金)~2021年11月11日(木)】

※ 画像をクリックすると拡大表示します。

※ 表は横スクロールすることができます。

開頭症例

手術日
主病名
術名
手術医
(助手)
画像
11月5日(金)
大脳鎌髄膜腫
摘出術
北野
脳動脈瘤(Lt.MC)
クリッピング術
久貝/古谷
11月8日(月)
脳腫瘍
摘出術
北野
脳動脈瘤(Lt.AC・Rt.AC)
クリッピング術
長尾/北島
11月9日(火)
脳室内腫瘍
摘出術
乾/池間/野本
脳動脈瘤(Lt.AC)
クリッピング術
芝野/古部
11月10日(水)
腰部脊柱管狭窄症
後方除圧
乾/池間/野本
腰椎椎間板ヘルニア
Love法
乾/池間/野本
もやもや病
血行再建術
松田/北島
11月11日(木)
脳動脈瘤(Lt.AC)
クリッピング術
富永/長尾/北島
腰椎椎間板ヘルニア
Love法
乾/池間/野本
頚部脊柱管狭窄症
拡大椎弓形成術
乾/矢田

脳血管内手術症例

手術日
主病名
術名
手術医
(助手)
画像
11月8日(月)
脳動脈瘤(Lt.IC-PC)
脳血管内手術
須山/久貝/古谷
脳動脈瘤(Rt.IC)
脳血管内手術
木本/北島/殿元
11月9日(火)
左頚部内頚動脈狭窄症
経皮的頸動脈ステント留置術
木本/北島/殿元
左内頚動脈狭窄症
経皮的頸動脈ステント留置術
木本/谷

ガンマナイフ症例

手術日
主病名
担当医
11月5日(金)
傍矢状洞髄膜腫
山里
右海綿静脈洞部髄膜腫
山里
転移性脳腫瘍
山里
転移性脳腫瘍
山里
11月8日(月)
眼窩内髄膜腫
岩井
左海綿静脈洞部髄膜腫
岩井
蝶形骨稜髄膜腫
岩井
11月10日(水)
良性頭蓋咽頭腫
北野
転移性脳腫瘍
北野
円蓋部悪性髄膜腫
山里
転移性脳腫瘍
山里
11月11日(木)
髄膜腫
北野
聴神経腫瘍
北野

緊急手術【直近の過去1週間 2021年10月29日(金)~2021年11月4日(木)】

手術日
術式
主病名
術名
手術医
(助手)
11月2日(火)
開頭
脳皮質下出血
血腫除去術
芝野/殿元
11月4日(木)
血管内
心原性脳塞栓症
経皮的脳血栓回収術
木本/北島/古谷

予定手術【2021年10月29日(金)~2021年11月4日(木)】

※ 画像をクリックすると拡大表示します。

※ 表は横スクロールすることができます。

開頭症例

手術日
主病名
術名
手術医
(助手)
画像
10月29日(金)
左慢性硬膜下血腫
穿頭洗浄術
10月30日(土)
テント上下髄膜腫
摘出術
北野
11月1日(月)
下垂体腫瘍
摘出術
北野
11月2日(火)
右頚部内頚動脈狭窄症
内頚動脈内膜剥離術
富永/芝野
右聴神経鞘腫
摘出術
岩井/古部/池間
円蓋部髄膜腫
摘出術
野本
11月4日(木)
脳動静脈奇形
摘出術
富永/長尾/北島
頚部脊柱管狭窄症
拡大椎弓形成術
乾/池間/野本
腰部脊柱管狭窄症
後方除圧
乾/池間/野本

脳血管内手術症例

手術日
主病名
術名
手術医
(助手)
画像
11月1日(月)
内頚動脈狭窄症
経皮的頸動脈ステント留置術
須山/久貝/北島/古谷
11月2日(火)
脳動静脈奇形
血管塞栓術
木本/長尾/北島
脳動脈瘤(Lt.IC)
脳血管内手術
(フローダイバーター)
木本/北島/殿元
11月4日(木)
脳動脈瘤(Rt.IC-PC)
脳血管内手術
木本/松田/野本/殿元

ガンマナイフ症例

手術日
主病名
担当医
11月1日(月)
転移性脳腫瘍
岩井
転移性脳腫瘍
岩井
転移性脳腫瘍
岩井
11月4日(木)
小脳テント髄膜腫
北野
右聴神経鞘腫
北野
小脳橋角部髄膜腫
北野
転移性脳腫瘍
北野

緊急手術【直近の過去1週間 2021年10月22日(金)~2021年10月14日(木)】

手術日
術式
主病名
術名
手術医
(助手)
10月22日(金)
開頭
左急性硬膜外血腫
血腫除去術
松田/古谷
10月23日(土)
血管内
心原性脳塞栓症
経皮的脳血栓回収術
芝野/野本
10月27日(水)
開頭
くも膜下出血
(前交通動脈瘤破裂)
クリッピング術
久貝/谷/古谷
開頭
被殻出血
血腫除去術
北島/殿元

予定手術【2021年10月22日(金)~2021年10月29日(木)】

※ 画像をクリックすると拡大表示します。

※ 表は横スクロールすることができます。

開頭症例

手術日
主病名
術名
手術医
(助手)
画像
10月22日(金)
脳動脈瘤(Acom)
クリッピング術
富永/久貝/池間/殿元
左聴神経鞘腫
修復術
北野
10月27日(水)
脳動脈瘤(Rt.MC)
クリッピング術
久貝/向
10月28日(木)
脳動脈瘤(Rt.IC-PC)
クリッピング術
富永/芝野/北島

脳血管内手術症例

手術日
主病名
術名
手術医
(助手)
画像
10月27日(水)
脳動脈瘤(Lt.IC)
脳血管内手術
(フローダイバーター)
木本/北島/殿元

ガンマナイフ症例

手術日
主病名
担当医
10月22日(金)
転移性脳腫瘍
北野
10月23日(土)
転移性脳腫瘍
山里
10月25日(月)
脳動静脈奇形
岩井
聴神経腫瘍
岩井
10月26日(火)
左大脳鎌髄膜腫
岩井

緊急手術【直近の過去1週間 2021年10月15日(金)~2021年10月21日(木)】

手術日
術式
主病名
術名
手術医
(助手)
10月21日(木)
開頭
左慢性硬膜下血腫
血腫穿孔洗浄術
向/殿元

予定手術【2021年10月15日(金)~2021年10月21日(木)】

※ 画像をクリックすると拡大表示します。

※ 表は横スクロールすることができます。

開頭症例

手術日
主病名
術名
手術医
(助手)
画像
10月15日(金)
下垂体腺腫
摘出術
北野
水頭症
シャント入れ替え
松田/野本
10月16日(土)
視神経膠腫
摘出術
南田/池間
10月18日(月)
右前頭葉脳腫瘍
摘出術
北野
後頭蓋窩髄膜腫
摘出術
南田/長尾/北島
10月19日(火)
左側三叉神経痛
微小血管減圧術
岩井/池間
頚椎椎間板ヘルニア
前方固定術
乾/池間/野本
10月20日(水)
腰部脊柱管狭窄症
後方除圧
乾/池間/野本
腰部脊柱管狭窄症
後方除圧
乾/池間/野本
10月21日(木)
脳動静脈奇形
摘出術
富永/長尾/古谷
水頭症
V-P Shunt
岩井/池間
頚椎症性脊髄症
前方固定術
乾/池間/野本

脳血管内手術症例

手術日
主病名
術名
手術医
(助手)
画像
10月18日(月)
小脳脳動静脈奇形
血管塞栓術
須山/久貝/古谷
脳動静脈奇形
血管塞栓術
木本/松田/向/池間
左内頚動脈狭窄症
経皮的頸動脈ステント留置術
木本/松田/殿元/古谷
10月19日(火)
後頭葉脳動静脈奇形
血管塞栓術
木本/芝野
脳動静脈奇形
血管塞栓術
木本/長尾/殿元
10月20日(水)
脳動脈瘤(BA)
脳血管内手術
木本/北島/殿元
脳動脈瘤(Acom)
脳血管内手術
木本/北島/殿元

ガンマナイフ症例

手術日
主病名
担当医
10月20日(水)
下垂体腺腫
北野
傍矢状洞髄膜腫
山里
脳多発性髄膜腫
山里
10月21日(木)
転移性脳腫瘍
北野
髄膜腫
北野
転移性脳腫瘍
北野

緊急手術【直近の過去1週間 2021年10月9日(金)~2021年10月14日(木)】

手術日
術式
主病名
術名
手術医
(助手)
10月14日(木)
血管内
くも膜下出血
(前交通動脈瘤破裂)
脳血管内手術
木本/長尾/池間
血管内
くも膜下出血
(内頚動脈瘤破裂)
脳血管内手術
木本/谷

予定手術【2021年10月9日(金)~2021年10月14日(木)】

※ 画像をクリックすると拡大表示します。

※ 表は横スクロールすることができます。

開頭症例

手術日
主病名
術名
手術医
(助手)
画像
10月8日(金)
左頭頂葉脳動静脈奇形
摘出術
富永/久貝/古谷
右頭頂部傍矢状洞髄膜腫
摘出術
北野
右顔面痙攣
微小血管減圧術
岩井/古部/谷
10月11日(月)
下垂体腺腫
摘出術
北野
10月12日(火)
頚部脊柱管狭窄症
拡大椎弓形成術
乾/矢田
脳動脈瘤(Lt.MC)
クリッピング術
芝野/谷
10月13日(水)
腰部脊柱管狭窄症
後方除圧
乾/池間/野本
水頭症
V-P Shunt
山田/殿元
10月14日(木)
中頭蓋窩髄膜腫
摘出術
北野/久貝/古谷

脳血管内手術症例

手術日
主病名
術名
手術医
(助手)
画像
10月11日(月)
中頭蓋窩髄膜腫
血管塞栓術
須山/久貝/古谷
脳動脈瘤(Rt.IC-PC)
脳血管内手術
木本/芝野/古部
10月12日(火)
脳動脈瘤(Rt.BA)
脳血管内手術
木本/北島/殿元
10月13日(水)
左頚動脈ステント狭窄
経皮的頸動脈ステント留置術
木本/北島/殿元
脳動静脈奇形
血管塞栓術
木本/古部/向

ガンマナイフ症例

手術日
主病名
担当医
10月8日(金)
転移性脳腫瘍
山里
10月14日(木)
大脳鎌髄膜腫
北野
転移性脳腫瘍
北野

緊急手術【直近の過去1週間 2021年10月1日(金)~2021年10月7日(木)】

手術日
術式
主病名
術名
手術医
(助手)
10月1日(金)
開頭
被殻出血
血腫除去術
谷/殿元
10月2日(土)
開頭
被殻出血
血腫除去術
芝野/北島
10月4日(月)
開頭
くも膜下出血
(中大脳動脈瘤破裂)
クリッピング術
久貝/北島
10月5日(火)
開頭
慢性硬膜下血腫
血腫穿孔洗浄術
芝野/古部
血管内
心原性脳塞栓症
経皮的脳血栓回収術
長尾/北島/古谷
10月7日(木)
血管内
硬膜動静脈瘻
血管塞栓術
木本/北島/殿元

予定手術【2021年10月1日(金)~2021年10月7日(木)】

※ 画像をクリックすると拡大表示します。

※ 表は横スクロールすることができます。

開頭症例

手術日
主病名
術名
手術医
(助手)
画像
10月1日(金)
脳腫瘍
摘出術
北野
10月2日(土)
脳動脈瘤(Rt.MC)
クリッピング術
富永/芝野/谷
10月4日(月)
下垂体腺腫
摘出術
北野
脳動脈瘤(Rt.MC)
クリッピング術
松田/古谷
10月5日(火)
右小脳橋角部腫瘍
摘出術
富永/南田/古部/山田/野本
頚椎症性脊髄症
拡大椎弓形成術
乾/矢田
10月6日(水)
腰部脊柱管狭窄症
前方固定術
乾/池間/野本
水頭症
V-P Shunt
山田/殿元
10月7日(木)
腰部脊柱管狭窄症
後方除圧
乾/池間/野本
右頚部内頚動脈狭窄症
内頚動脈内膜剥離術
久貝/谷/矢田

脳血管内手術症例

手術日
主病名
術名
手術医
(助手)
画像
10月4日(月)
左内頚動脈狭窄症
経皮的頸動脈ステント留置術
木本/芝野/向/野本

ガンマナイフ症例

手術日
主病名
担当医
10月1日(金)
三叉神経痛
岩井
10月4日(月)
蝶形骨髄膜腫
岩井
10月5日(火)
脳動静脈奇形
岩井
10月6日(水)
転移性脳腫瘍
北野
10月7日(木)
後頭蓋窩髄膜腫
北野
転移性脳腫瘍
北野
右聴神経腫瘍
北野
転移性脳腫瘍
北野

緊急手術【直近の過去1週間 2021年9月24日(金)~2021年9月30日(木)】

手術日
術式
主病名
術名
手術医
(助手)
9月25日(土)
開頭
交通性水頭症
穿頭脳室ドレナージ
古部/池間/殿元
9月26日(日)
血管内
心原性脳塞栓症
経皮的脳血栓回収術
須山/久貝/殿元
9月29日(水)
開頭
慢性硬膜下血腫
血腫穿孔洗浄術
池間
開頭
急性硬膜下血腫
血腫除去術
松田/矢田

予定手術【2021年9月24日(金)~2021年9月30日(木)】

※ 画像をクリックすると拡大表示します。

※ 表は横スクロールすることができます。

開頭症例

手術日
主病名
術名
手術医
(助手)
画像
9月24日(金)
下垂体腺腫
摘出術
北野
9月28日(火)
左肘部管症候群
左肘部管開放術
乾/濵田/矢田

脳血管内手術症例

手術日
主病名
術名
手術医
(助手)
画像
9月24日(金)
内頚動脈海綿静脈洞瘻
血管塞栓術
須山/久貝/池間/殿元
9月28日(火)
脳動脈瘤(Rt.VA)
脳血管内手術
木本/芝野/谷
脳動脈瘤(Acom)
脳血管内手術
木本/長尾
9月29日(水)
左頭頂葉脳動静脈奇形
血管塞栓術
須山/久貝/古谷
左硬膜動静脈瘻
血管塞栓術
木本/松田/古谷

ガンマナイフ症例

手術日
主病名
担当医
9月24日(金)
転移性脳腫瘍
北野
9月25日(土)
転移性脳腫瘍
岩井
9月27日(月)
転移性脳腫瘍
岩井
側頭葉神経膠腫
山田
9月29日(水)
転移性脳腫瘍
北野
悪性後頭蓋窩髄膜腫
山里
9月30日(木)
転移性脳腫瘍
北野
聴神経腫瘍
北野
転移性脳腫瘍
北野

緊急手術【直近の過去1週間 2021年9月17日(金)~2021年9月23日(木)】

手術日
術式
主病名
術名
手術医
(助手)
9月19日(日)
血管内
くも膜下出血
(内頚動脈後交通動脈分岐部動脈瘤破裂)
血管内手術
須山/山田
9月22日(水)
開頭
脳皮質下出血
血腫除去術
芝野/池間
9月23日(木)
開頭
慢性硬膜下血腫
血腫穿孔洗浄術

予定手術【2021年9月17日(金)~2021年9月23日(木)】

※ 画像をクリックすると拡大表示します。

※ 表は横スクロールすることができます。

開頭症例

手術日
主病名
術名
手術医
(助手)
画像
9月17日(金)
右三叉神経痛
微小血管減圧術
富永/岩井/谷
脳腫瘍
摘出術
北野
9月21日(火)
腰部脊柱管狭窄症
後方除圧
乾/濵田/矢田
9月22日(水)
腰部脊柱管狭窄症
後方除圧
乾/濵田/矢田
左側頭葉膠芽腫
摘出術
久貝/濵田

脳血管内手術症例

手術日
主病名
術名
手術医
(助手)
画像
9月21日(火)
脳動脈瘤(Lt.BA)
脳血管内手術
木本
脳動脈瘤(Rt.IC-PC)
脳血管内手術
木本/野本/古谷
9月22日(水)
脳動静脈奇形
血管塞栓術
木本/松田/古谷
左内頚動脈狭窄症
脳血管内手術
木本/向/山田

ガンマナイフ症例

手術日
主病名
担当医
9月17日(金)
三叉神経痛
山里
9月21日(火)
左聴神経鞘腫
岩井
転移性脳腫瘍
岩井
円蓋部髄膜腫
岩井
9月22日(水)
転移性脳腫瘍
山里

緊急手術【直近の過去1週間 2021年9月10日(金)~2021年9月16日(木)】

手術日
術式
主病名
術名
手術医
(助手)
9月10日(金)
血管内
くも膜下出血
(破裂性椎骨動脈解離)
脳血管内手術
木本/古部
9月14日(火)
開頭
くも膜下出血
(中大脳動脈瘤破裂)
クリッピング術
久貝/殿元
9月15日(水)
開頭
右被殻出血
血腫除去術
松田/古谷
血管内
くも膜下出血
(内頚動脈後交通動脈分岐部動脈瘤破裂)
脳血管内手術
木本/谷/野本
血管内
塞栓性脳梗塞
経皮的脳血栓回収術
木本/長尾/谷

予定手術【2021年9月10日(金)~2021年9月16日(木)】

※ 画像をクリックすると拡大表示します。

※ 表は横スクロールすることができます。

開頭症例

手術日
主病名
術名
手術医
(助手)
画像
9月10日(金)
脳動脈瘤(Acom)
クリッピング術
富永/久貝/古谷
脳動脈瘤(Lt.MC)
クリッピング術
芝野/谷
9月11日(土)
もやもや病
血行再建術
松田/矢田
9月13日(月)
下垂体腫瘍
摘出術
北野
錐体斜台部髄膜腫
摘出術
南田/矢田
9月14日(火)
三叉神経痛
微小血管減圧術
岩井/古部/池間
腰部脊柱管狭窄症
後方除圧
乾/濵田/矢田
9月15日(水)
右側頭葉脳動静脈奇形
摘出術
富永/長尾/池間/矢田
脳動脈瘤(Rt.IC-PC)
気管切開閉鎖術
山田
9月16日(木)
右前頭葉傍矢状洞悪性髄膜腫
摘出術
北野/久貝/殿元
脊髄空洞症
空洞-腹腔シャント術
乾/濵田/矢田

脳血管内手術症例

手術日
主病名
術名
手術医
(助手)
画像
9月13日(月)
右側頭葉脳動静脈奇形
血管塞栓術
木本/長尾/池間/矢田
9月14日(火)
両側内頚動脈狭窄症
経皮的頸動脈ステント留置術
木本/野本/古谷
脳動脈瘤(Lt.IC-PC)
脳血管内手術
木本/芝野/古部
9月15日(水)
脳動脈瘤(Lt.IC)
脳血管内手術
木本/芝野/谷

ガンマナイフ症例

手術日
主病名
担当医
9月10日(金)
左三叉神経痛
山里
9月13日(月)
転移性脳腫瘍
岩井
転移性脳腫瘍
岩井
9月15日(水)
頭蓋咽頭腫
北野
転移性脳腫瘍
山里
転移性脳腫瘍
山里
9月16日(木)
転移性脳腫瘍
北野

緊急手術【直近の過去1週間 2021年9月3日(金)~2021年9月9日(木)】

手術日
術式
主病名
術名
手術医
(助手)
9月3日(金)
血管内
脳梗塞
経皮的脳血栓回収術
経皮的脳血管形成術
芝野/向
9月6日(月)
血管内
脳梗塞
経皮的脳血栓回収術
松田/谷/古谷
9月8日(水)
開頭
慢性硬膜下血腫
血腫穿孔洗浄術
濵田

予定手術【2021年9月3日(金)~2021年9月9日(木)】

※ 画像をクリックすると拡大表示します。

※ 表は横スクロールすることができます。

開頭症例

手術日
主病名
術名
手術医
(助手)
画像
9月3日(金)
下垂体腺腫
摘出術
北野
脳腫瘍
摘出術
南田/松田/古谷
脳腫瘍
摘出術
北野
9月6日(月)
下垂体腫瘍
摘出術
北野
蝶形骨稜髄膜腫
摘出術
南田/長尾
9月7日(火)
右肘部管症候群
右肘部管開放術
乾/濵田/矢田
右手根管症候群
右手根管開放術
乾/濵田/矢田
9月8日(水)
脳動脈瘤(Acom)
クリッピング術
長尾/野本
9月9日(木)
頚部脊柱管狭窄症
拡大椎弓形成術
乾/濵田/矢田

脳血管内手術症例

手術日
主病名
術名
手術医
(助手)
画像
9月6日(月)
脳動脈瘤(Rt.IP-PC)
脳血管内手術
須山/久貝
9月7日(火)
硬膜動静脈瘻
血管塞栓術
木本/野本/古谷
脳動脈瘤(Lt.IC)
脳血管内手術
木本/芝野
9月8日(水)
脳動脈瘤(Acom)
脳血管内手術
木本/野本/古谷

ガンマナイフ症例

手術日
主病名
担当医
9月3日(金)
聴神経鞘腫
山里
9月4日(土)
転移性脳腫瘍
山里
9月6日(月)
転移性脳腫瘍
岩井
右前頭葉円蓋部髄膜腫
岩井
転移性脳腫瘍
岩井
前頭髄膜腫
岩井
9月7日(火)
大脳鎌髄膜腫
岩井
9月8日(水)
転移性脳腫瘍
北野
後頭蓋窩髄膜腫
山里
転移性脳腫瘍
山里

緊急手術【直近の過去1週間 2021年8月27日(金)~2021年9月2日(木)】

手術日
術式
主病名
術名
手術医
(助手)
8月30日(月)
開頭
被殻出血
血腫除去術
古部/向/谷/野本/殿元
8月31日(火)
開頭
非交通性水頭症
小脳出血
穿頭脳室ドレナージ
池間
9月1日(水)
開頭
非交通性水頭症
穿頭脳室ドレナージ
松田/古谷
9月2日(木)
開頭
左急性硬膜下血腫
血腫除去術
芝野/殿元

予定手術【2021年8月27日(金)~2021年9月2日(木)】

※ 画像をクリックすると拡大表示します。

※ 表は横スクロールすることができます。

開頭症例

手術日
主病名
術名
手術医
(助手)
画像
8月27日(金)
脳動静脈奇形
摘出術
富永/松田/古谷
悪性斜台髄膜腫
摘出術
南田/久貝/殿元
8月30日(月)
下垂体腺腫
摘出術
北野
8月31日(火)
頚部脊柱管狭窄症
拡大椎弓形成術
乾/濵田/矢田
腰部脊柱管狭窄症
後方除圧
乾/濵田/矢田
脳動脈瘤(Lt.MC)
クリッピング術
芝野/谷
9月1日(水)
鞍結節部髄膜腫
拡大ハーディ
北野
9月2日(木)
脳腫瘍
摘出術
北野
腰椎椎間板ヘルニア
Love法
乾/濵田/矢田
水頭症
V-P Shunt
谷/野本

脳血管内手術症例

手術日
主病名
術名
手術医
(助手)
画像
8月30日(月)
左頭頂葉脳動静脈奇形
血管塞栓術
須山/久貝/山田/古谷
8月31日(火)
脳動脈瘤(Lt.VA)
脳血管内手術
木本/長尾/山田
9月1日(水)
脳動脈瘤(Lt.IC-PC)
脳血管内手術
木本/野本/古谷
右内頚動脈狭窄症
経皮的脳血管形成術
木本/芝野
硬膜動静脈瘻
血管塞栓術
木本/山田

ガンマナイフ症例

手術日
主病名
担当医
8月30日(月)
テント上下髄膜腫
岩井
転移性脳腫瘍
岩井
8月31日(火)
転移性脳腫瘍
岩井
9月1日(水)
転移性脳腫瘍
山里
9月2日(木)
転移性脳腫瘍
北野
転移性脳腫瘍
北野

緊急手術【直近の過去1週間 2021年8月20日(金)~2021年8月26日(木)】

手術日
術式
主病名
術名
手術医
(助手)
8月23日(月)
血管内
くも膜下出血
(内頚動脈後交通動脈分岐部動脈瘤破裂)
脳血管内手術
木本/山田

予定手術【2021年8月20日(金)~2021年8月26日(木)】

※ 画像をクリックすると拡大表示します。

※ 表は横スクロールすることができます。

開頭症例

手術日
主病名
術名
手術医
(助手)
画像
8月20日(金)
脳動静脈奇形
摘出術
富永/松田/山田
8月23日(月)
トルコ鞍部腫瘍
摘出術
北野
8月24日(火)
右傍矢状洞髄膜腫
摘出術
富永/南田
腰部脊柱管狭窄症
後方除圧
乾/濵田/矢田
頚椎症性脊髄症
拡大椎弓形成術
乾/濵田/矢田
8月26日(木)
前頭髄膜腫
摘出術
富永/松田/矢田/古谷
頚椎症性脊髄症
拡大椎弓形成術
乾/濵田/矢田
脳動脈瘤(Rt.MC)
クリッピング術
長尾/濵田

脳血管内手術症例

手術日
主病名
術名
手術医
(助手)
画像
8月23日(月)
脳動静脈奇形
血管塞栓術
木本/松田/向/池間
右傍矢状洞髄膜腫
血管塞栓術
木本/古部
8月24日(火)
脳動脈瘤(Rt.IC-PC)
脳血管内手術
木本/野本/古谷
脳動脈瘤(Acom)
脳血管内手術
木本/長尾/矢田
8月25日(水)
脳動脈瘤(Lt.VA)
脳血管内手術
木本/向

ガンマナイフ症例

手術日
主病名
担当医
8月20日(金)
三叉神経痛
岩井
8月26日(木)
転移性脳腫瘍
北野

緊急手術【直近の過去1週間 2021年8月13日(金)~2021年8月19日(木)】

手術日
術式
主病名
術名
手術医
(助手)
8月13日(金)
開頭
右慢性硬膜下血腫
血腫穿孔洗浄術
向/殿元
8月16日(月)
血管内
心原性脳塞栓症
経皮的脳血栓回収術
久貝/池間
開頭
くも膜下出血
穿頭脳室ドレナージ
久貝/池間
8月17日(火)
開頭
右視床出血
穿頭脳室ドレナージ
8月18日(水)
血管内
心原性脳塞栓症
経皮的脳血栓回収術
松田/古谷

予定手術【2021年8月13日(金)~2021年8月19日(木)】

※ 画像をクリックすると拡大表示します。

※ 表は横スクロールすることができます。

開頭症例

手術日
主病名
術名
手術医
(助手)
画像
8月13日(金)
大脳鎌髄膜腫
摘出術
富永/芝野/矢田
8月16日(月)
脳動脈瘤(Rt.IC-PC)
クリッピング術
南田/矢田
脳腫瘍
摘出術
北野
8月17日(火)
脳腫瘍
摘出術
岩井
頚椎後縦靭帯骨化症
拡大椎弓形成術
乾/濵田/矢田
8月18日(水)
頚椎椎体骨折
前方固定術
乾/濵田/矢田
8月19日(木)
頚椎後縦靭帯骨化症
拡大椎弓形成術
乾/濵田/矢田

脳血管内手術症例

手術日
主病名
術名
手術医
(助手)
画像
8月14日(土)
右頭頂葉脳動静脈奇形
血管塞栓術
木本/長尾/池間
8月16日(月)
左頚部内頚動脈狭窄症
経皮的頸動脈ステント留置術
木本/長尾
8月17日(火)
硬膜動静脈瘻
血管塞栓術
木本/芝野/矢田
脳動静脈奇形
血管塞栓術
木本/古部
8月18日(水)
脳動脈瘤(Rt.IC)
脳血管内手術
木本/野本/古谷
脳動静脈奇形
血管塞栓術
木本/松田/山田

ガンマナイフ症例

手術日
主病名
担当医
8月13日(金)
転移性脳腫瘍
北野
8月16日(月)
右三叉神経痛
岩井
転移性脳腫瘍
岩井
転移性脳腫瘍
岩井
8月18日(水)
転移性脳腫瘍
山里
8月19日(木)
転移性脳腫瘍
岩井
転移性脳腫瘍
岩井

緊急手術【直近の過去1週間 2021年8月6日(金)~2021年8月12日(木)】

手術日
術式
主病名
術名
手術医
(助手)
8月9日(月)
開頭
くも膜下出血
クリッピング術
脊髄ドレナージ
久貝/山田
8月10日(火)
開頭
慢性硬膜下血腫
血腫穿孔洗浄術
谷/殿元

予定手術【2021年8月6日(金)~2021年8月12日(木)】

※ 画像をクリックすると拡大表示します。

※ 表は横スクロールすることができます。

開頭症例

手術日
主病名
術名
手術医
(助手)
画像
8月6日(金)
脳腫瘍
摘出術
北野
右側顔面痙攣
微小血管減圧術
南田/古部/谷
8月7日(土)
脳動脈瘤(Rt.MC)
血行再建術
南田/松田/古谷
8月10日(火)
右海綿状血管腫
摘出術
富永/長尾/古谷
腰部脊柱管狭窄症
後方除圧
乾/濵田/矢田
右眼窩腫瘍
摘出術
南田/矢田
8月11日(水)
頚部脊柱管狭窄症
後方除圧
乾/濵田/矢田
8月12日(木)
脳腫瘍
摘出術
北野
腰部脊柱管狭窄症
後方除圧
乾/濵田/矢田

ガンマナイフ症例

手術日
主病名
担当医
8月10日(火)
転移性脳腫瘍
岩井
転移性脳腫瘍
岩井
8月11日(水)
悪性脳髄膜腫
山里

緊急手術【直近の過去1週間 2021年7月30日(金)~2021年8月5日(木)】

手術日
術式
主病名
術名
手術医
(助手)
7月30日(金)
血管内
陳旧性脳梗塞
経皮的脳血栓回収術
古部/山田
8月3日(火)
血管内
くも膜下出血
(前交通動脈瘤破裂)
脳血管内手術
木本/長尾/矢田
開頭
くも膜下出血
(脳底動脈瘤破裂)
穿頭脳室ドレナージ
山田
8月4日(水)
開頭
慢性硬膜下血腫
血腫穿孔洗浄術

予定手術【2021年7月30日(金)~2021年8月5日(木)】

※ 画像をクリックすると拡大表示します。

※ 表は横スクロールすることができます。

開頭症例

手術日
主病名
術名
手術医
(助手)
画像
7月30日(金)
円蓋部髄膜腫
摘出術
北野/向
右顔面痙攣
微小血管減圧術
南田/古部/谷
8月2日(月)
傍矢状洞髄膜腫
摘出術
長尾/濵田
8月4日(水)
脳動脈瘤(Rt.IC-PC)
クリッピング術
富永/芝野/野本/殿元
下垂体腺腫
摘出術
北野
脳動脈瘤(Lt.MC)
クリッピング術
乾/濵田/矢田
8月5日(木)
三叉神経痛
微小血管減圧術
岩井/池間
左前頭葉円蓋部髄膜腫
摘出術
乾/濵田/矢田

脳血管内手術症例

手術日
主病名
術名
手術医
(助手)
画像
8月3日(火)
脳動脈瘤(Rt.IC)
脳血管内手術
木本/古部/矢田
8月4日(水)
右内頚動脈狭窄症
経皮的頸動脈ステント留置術
木本/松田/古谷

ガンマナイフ症例

手術日
主病名
担当医
8月2日(月)
転移性脳腫瘍
岩井
転移性脳腫瘍
岩井
8月4日(水)
転移性脳腫瘍
岩井

緊急手術【直近の過去1週間 2021年7月23日(金)~2021年7月29日(木)】

手術日
術式
主病名
術名
手術医
(助手)
7月29日(木)
開頭
被殻出血
血腫除去術
古部/濵田/殿元

予定手術【2021年7月23日(金)~2021年7月29日(木)】

※ 画像をクリックすると拡大表示します。

※ 表は横スクロールすることができます。

開頭症例

手術日
主病名
術名
手術医
(助手)
画像
7月26日(月)
右前頭葉腫瘍
摘出術
南田/山田
7月27日(火)
頚椎症性脊髄症
拡大椎弓形成術
乾/濵田/矢田
7月28日(水)
左前頭葉腫瘍
摘出術
富永/南田/松田/古谷
腰部脊柱管狭窄症
後方除圧
乾/濵田/矢田
7月29日(木)
髄膜腫
摘出術
北野/山田

脳血管内手術症例

手術日
主病名
術名
手術医
(助手)
画像
7月27日(火)
脳動静脈奇形
血管塞栓術
須山/久貝/山田/古谷
脳動脈瘤(Rt.IC)
脳血管内手術
(パイプライン)
木本/長尾/野本
7月28日(水)
脳動脈瘤(BA)
脳血管内手術
木本
左頚部内頚動脈狭窄症
経皮的頸動脈ステント留置術
木本
右内頚動脈狭窄症
経皮的頸動脈ステント留置術
木本/松田/古谷

ガンマナイフ症例

手術日
主病名
担当医
7月27日(火)
転移性脳腫瘍
岩井
7月29日(木)
転移性脳腫瘍
北野
聴神経腫瘍
北野

緊急手術【直近の過去1週間 2021年7月16日(金)~2021年7月22日(木)】

手術日
術式
主病名
術名
手術医
(助手)
7月18日(日)
血管内
脳外主幹動脈血栓症脳梗塞
経皮的脳血栓回収術
経皮的脳血管形成術
須山/池間
7月21日(水)
開頭
下垂体卒中
摘出術
北野/池間/古谷
開頭
くも膜下出血
(内頚動脈後交通動脈分岐部動脈瘤破裂)
クリッピング術
富永/久貝/殿元

予定手術【2021年7月16日(金)~2021年7月22日(木)】

※ 画像をクリックすると拡大表示します。

※ 表は横スクロールすることができます。

開頭症例

手術日
主病名
術名
手術医
(助手)
画像
7月16日(金)
傍矢状洞髄膜腫
摘出術
南田/矢田
7月19日(月)
脳腫瘍
摘出術
北野/古部

ガンマナイフ症例

手術日
主病名
担当医
7月16日(金)
左前頭葉大脳鎌髄膜腫
山里
転移性脳腫瘍
山里
7月19日(月)
転移性脳腫瘍
岩井
転移性脳腫瘍
岩井
転移性脳腫瘍
岩井
7月20日(火)
転移性脳腫瘍
岩井
転移性脳腫瘍
岩井
転移性脳腫瘍
岩井
7月21日(水)
転移性脳腫瘍
北野

緊急手術【直近の過去1週間 2021年7月9日(金)~2021年7月15日(木)】

手術日
術式
主病名
術名
手術医
(助手)
7月9日(金)
開頭
視床出血
穿頭脳室ドレナージ
7月13日(火)
血管内
心原性脳塞栓症
経皮的脳血栓回収術
木本/長尾/池間/古谷
開頭
外傷性慢性硬膜下血腫
血腫穿孔洗浄術
谷/矢田

予定手術【2021年7月9日(金)~2021年7月15日(木)】

※ 画像をクリックすると拡大表示します。

※ 表は横スクロールすることができます。

開頭症例

手術日
主病名
術名
手術医
(助手)
画像
7月9日(金)
円蓋部髄膜腫
摘出術
松田/殿元
左頭蓋窩腫瘍
摘出術
古部
7月10日(土)
三叉神経痛
微小血管減圧術
富永/南田/松田/濵田
7月13日(火)
脳動脈瘤(AC)
クリッピング術
久貝/殿元
7月14日(水)
三叉神経痛第1・2枝領域
微小血管減圧術
富永/南田/長尾/谷
7月15日(木)
脳腫瘍
摘出術
岩井/古部/野本

脳血管内手術症例

手術日
主病名
術名
手術医
(助手)
画像
7月12日(月)
左海綿静脈洞部硬膜動静脈瘻
脳血管内手術
木本/松田/古谷
7月13日(火)
脳動脈瘤(Lt.IC-PC)
脳血管内手術
須山/久貝/殿元
脳動脈瘤(Acom)
脳血管内手術
木本
脳動脈瘤(Rt.IC)
脳血管内手術
木本/古部/矢田
7月14日(水)
脳動脈瘤(Lt.IC)
脳血管内手術
木本
脳動脈瘤(Rt.MC)
脳血管内手術
木本

ガンマナイフ症例

手術日
主病名
担当医
7月9日(金)
海綿状血管腫
山里
7月12日(月)
三叉神経痛
岩井
転移性脳腫瘍
岩井
三叉神経痛
岩井
7月13日(火)
転移性脳腫瘍
岩井
転移性脳腫瘍
岩井
7月15日(木)
転移性脳腫瘍
北野
転移性脳腫瘍
北野

緊急手術【直近の過去1週間 2021年7月2日(金)~2021年7月8日(木)】

手術日
術式
主病名
術名
手術医
(助手)
7月2日(金)
開頭
小脳出血
穿頭脳室ドレナージ
谷/矢田
7月3日(土)
開頭
慢性硬膜下血腫
血腫穿孔洗浄術
谷/殿元

予定手術【2021年7月2日(金)~2021年7月8日(木)】

※ 画像をクリックすると拡大表示します。

※ 表は横スクロールすることができます。

開頭症例

手術日
主病名
術名
手術医
(助手)
画像
7月5日(月)
左急性硬膜下血腫
頭蓋形成術
谷/野本
7月6日(火)
腰部脊柱管狭窄症
後方除圧
乾/濵田/矢田
7月7日(水)
下垂体腫瘍
摘出術
北野
腰部脊柱管狭窄症
後方除圧
乾/濵田/矢田
7月8日(木)
脳動静脈奇形
摘出術
富永/長尾/山田

脳血管内手術症例

手術日
主病名
術名
手術医
(助手)
画像
7月2日(金)
脳動脈瘤(Acom)
脳血管内手術
須山/芝野/殿元
7月6日(火)
脳動脈瘤(Rt.VA)
脳血管内手術
(フローダイバーター)
木本/芝野
脳動静脈奇形
血管塞栓術
木本/長尾/山田
7月7日(水)
脳動脈瘤(BA)
脳血管内手術
木本/芝野/山田

ガンマナイフ症例

手術日
主病名
担当医
7月6日(火)
転移性脳腫瘍
岩井
転移性脳腫瘍
岩井
7月8日(木)
転移性脳腫瘍
北野

緊急手術【直近の過去1週間 2021年6月25日(金)~2021年7月1日(木)】

手術日
術式
主病名
術名
手術医
(助手)
6月25日(金)
開頭
小脳出血
血腫除去術
穿頭脳室ドレナージ
古部/池間/野本/殿元
6月27日(日)
血管内
くも膜下出血
(前交通動脈瘤破裂)
脳血管内手術
久貝/池間
6月29日(火)
開頭
くも膜下出血
(内頚動脈瘤破裂)
クリッピング術
乾/池間
開頭
被殻出血
血腫除去術
長尾/野本

予定手術【2021年6月25日(金)~2021年7月1日(木)】

※ 画像をクリックすると拡大表示します。

※ 表は横スクロールすることができます。

開頭症例

手術日
主病名
術名
手術医
(助手)
画像
6月25日(金)
下垂体腫瘍
摘出術
北野
脳動脈瘤(Lt.IC)
血行再建術
芝野/古部/谷
6月29日(火)
腰部脊柱管狭窄症
後方除圧
乾/濵田/矢田
6月30日(水)
小脳血管芽腫
摘出術
北野
7月1日(木)
脳動脈瘤(Lt.MC)
クリッピング術
久貝/殿元

脳血管内手術症例

手術日
主病名
術名
手術医
(助手)
画像
6月30日(水)
脳動脈瘤(Acom)
脳血管内手術
木本/野本/古谷
脳動脈瘤(Rt.IC)
脳血管内手術
木本/野本
右内頚動脈狭窄症
経皮的頸動脈ステント留置術
木本/松田/古谷

ガンマナイフ症例

手術日
主病名
担当医
6月26日(土)
転移性脳腫瘍
岩井
6月30日(水)
転移性脳腫瘍
山里

緊急手術【直近の過去1週間 2021年6月18日(金)~2021年6月24日(木)】

手術日
術式
主病名
術名
手術医
(助手)
6月20日(日)
血管内
アテローム血栓性脳梗塞
経皮的血栓回収術
芝野/古部/山田
6月21日(月)
開頭
くも膜下出血
(前大脳動脈瘤破裂)
クリッピング術
南田/谷/野本
開頭
急性硬膜外血腫
血腫除去術
松田/池間
6月23日(水)
血管内
脳梗塞
経皮的脳血栓回収術
久貝/古部

予定手術【2021年6月18日(金)~2021年6月24日(木)】

※ 画像をクリックすると拡大表示します。

※ 表は横スクロールすることができます。

開頭症例

手術日
主病名
術名
手術医
(助手)
画像
6月18日(金)
大脳鎌髄膜腫
摘出術
岩井/古部/野本
6月22日(火)
腰椎化膿性脊椎炎
デブリードマン
乾/濵田/矢田
6月23日(水)
脳腫瘍
摘出術
北野/古部/野本

ガンマナイフ症例

手術日
主病名
担当医
6月21日(月)
聴神経腫瘍
岩井
6月22日(火)
転移性脳腫瘍
岩井
転移性脳腫瘍
岩井
6月24日(木)
転移性脳腫瘍
北野

緊急手術【直近の過去1週間 2021年6月11日(金)~2021年6月17日(木)】

手術日
術式
主病名
術名
手術医
(助手)
6月11日(金)
血管内
心原性脳塞栓症
経皮的脳血栓回収術
芝野/向/矢田
6月12日(土)
血管内
心原性脳塞栓症
経皮的脳血栓回収術
芝野/山田
6月13日(日)
血管内
脳梗塞
経皮的脳血栓回収術
木本/長尾/矢田
6月15日(火)
開頭
外傷性慢性硬膜下血腫
血腫穿孔洗浄術
矢田
6月17日(木)
開頭
左慢性硬膜下血腫
血腫穿孔洗浄術

予定手術【2021年6月11日(金)~2021年6月17日(木)】

※ 画像をクリックすると拡大表示します。

※ 表は横スクロールすることができます。

開頭症例

手術日
主病名
術名
手術医
(助手)
画像
6月11日(金)
脳動脈瘤(Rt.IC)
クリッピング術
富永/久貝/濵田/殿元
顔面痙攣
微小血管減圧術
北野/古部/谷
6月14日(月)
脳室内腫瘍
摘出術
南田/古部
6月16日(水)
右手根管症候群
右手根管開放術
乾/濵田/矢田
6月17日(木)
腰椎椎間板ヘルニア
Love法
乾/濵田/矢田

脳血管内手術症例

手術日
主病名
術名
手術医
(助手)
画像
6月16日(水)
脳動脈瘤(BA)
脳血管内手術
木本/野本
脳動脈瘤(Lt.IC)
脳血管内手術
木本/長尾

ガンマナイフ症例

手術日
主病名
担当医
6月14日(月)
小脳テント髄膜腫
岩井
6月15日(火)
転移性脳腫瘍
岩井
転移性脳腫瘍
岩井
三叉神経痛
岩井
6月16日(水)
聴神経鞘腫
山里
右円蓋部髄膜腫
山里
6月17日(木)
頭部悪性抹消神経鞘腫
北野

緊急手術【直近の過去1週間 2021年6月4日(金)~2021年6月10日(木)】

手術日
術式
主病名
術名
手術医
(助手)
6月4日(金)
開頭
非交通性水頭症
穿頭脳室ドレナージ
古部/池間
6月5日(土)
血管内
くも膜下出血
(内頚動脈瘤破裂)
脳血管内手術
木本/松田/野本
血管内
心原性脳塞栓症
経皮的脳血栓回収術
木本/松田/野本
開頭
左聴神経腫瘍
減圧開頭術
岩井/古部/池間

予定手術【2021年6月4日(金)~2021年6月10日(木)】

※ 画像をクリックすると拡大表示します。

※ 表は横スクロールすることができます。

開頭症例

手術日
主病名
術名
手術医
(助手)
画像
6月4日(金)
脳腫瘍
摘出術
久貝/池間
6月7日(月)
頭蓋咽頭腫
摘出術
北野
6月8日(火)
腰部脊柱管狭窄症
後方固定術
乾/濵田/矢田
左頚部内頚動脈狭窄症
内頚動脈内膜剝離術
久貝/池間
6月9日(水)
下垂体腺腫
摘出術
北野
頚椎骨性椎間孔狭窄症
前方固定術
乾/濵田/矢田
6月10日(木)
腰部脊柱管狭窄症
後方除圧
乾/濵田/矢田
右頚部内頚動脈狭窄症
内頚動脈内膜剝離術
久貝/谷
小脳テント髄膜腫
V-P Shunt
長尾

脳血管内手術症例

手術日
主病名
術名
手術医
(助手)
画像
6月7日(月)
脳動脈瘤(Rt.VA)
脳血管内手術
木本/松田/古谷
6月9日(水)
右内頚動脈狭窄症
経皮的頸動脈ステント留置術
木本
6月10日(木)
脳動脈瘤(Acom)
脳血管内手術
木本/芝野/山田

ガンマナイフ症例

手術日
主病名
担当医
6月4日(金)
転移性脳腫瘍
北野
6月7日(月)
頭蓋咽頭腫
岩井
6月8日(火)
転移性脳腫瘍
岩井
転移性脳腫瘍
岩井
6月10日(木)
Malgリンパ腫
北野

緊急手術【直近の過去1週間 2021年5月28日(金)~2021年6月3日(木)】

手術日
術式
主病名
術名
手術医
(助手)
5月28日(金)
開頭
脳室炎
穿頭脳室ドレナージ
松田/濵田
5月29日(土)
開頭
慢性硬膜下血腫
血腫穿孔洗浄術
野本
6月1日(火)
血管内
心原性脳塞栓症
経皮的脳血栓回収術
木本/濵田
6月3日(木)
開頭
くも膜下出血
(前大脳動脈瘤破裂)
クリッピング術
久貝/野本

予定手術【2021年5月28日(金)~2021年6月3日(木)】

※ 画像をクリックすると拡大表示します。

※ 表は横スクロールすることができます。

開頭症例

手術日
主病名
術名
手術医
(助手)
画像
5月29日(土)
傍矢状洞髄膜腫
摘出術
南田/矢田
6月2日(水)
左頭頂葉腫瘤
摘出術
富永/久貝/池間/殿元
6月3日(木)
聴神経腫瘍
摘出術
岩井/古部

脳血管内手術症例

手術日
主病名
術名
手術医
(助手)
画像
6月1日(火)
左内頚動脈狭窄症
血行再建術
木本/向/野本
6月2日(水)
右頚部内頚動脈狭窄症
経皮的頸動脈ステント留置術
木本/濵田

ガンマナイフ症例

手術日
主病名
担当医
5月28日(金)
転移性脳腫瘍
岩井
左三叉神経痛
岩井
脳動静脈奇形
山里
6月1日(火)
三叉神経痛
岩井
転移性脳腫瘍
岩井
転移性脳腫瘍
岩井
6月2日(水)
左前頭葉腫瘤
山里
6月3日(木)
髄膜腫
北野
転移性脳腫瘍
北野

緊急手術【直近の過去1週間 2021年5月21日(金)~2021年5月27日(木)】

手術日
術式
主病名
術名
手術医
(助手)
5月23日(日)
血管内
心原性脳塞栓症
経皮的脳血栓回収術
久貝/矢田
5月26日(水)
開頭
慢性硬膜下血腫
血腫穿孔洗浄術
濱田

予定手術【2021年5月21日(金)~2021年5月27日(木)】

※ 画像をクリックすると拡大表示します。

※ 表は横スクロールすることができます。

開頭症例

手術日
主病名
術名
手術医
(助手)
画像
5月21日(金)
右顔面痙攣症
微小血管減圧術
北野/古部/向
嚥下障害
気管切開
久貝
5月24日(月)
脳動脈瘤(Rt.MC)
クリッピング術
長尾/濵田
5月25日(火)
頚部脊柱管狭窄症
拡大椎弓形成術
乾/濵田
5月26日(水)
右小脳橋角部腫瘍
摘出術
南田/松田/矢田

脳血管内手術症例

手術日
主病名
術名
手術医
(助手)
画像
5月25日(火)
脳動脈瘤(Rt.IC)
脳血管内手術
(フローダイバーター)
木本/野本/古谷
5月27日(木)
脳動脈瘤(Lt.IC)
脳血管内手術
(フローダイバーター)
木本/松田/古谷

ガンマナイフ症例

手術日
主病名
担当医
5月21日(金)
転移性脳腫瘍
山里
転移性脳腫瘍
山里
5月24日(月)
大脳鎌髄膜腫
岩井
5月25日(火)
転移性脳腫瘍
岩井
5月26日(水)
三叉神経鞘腫
山里
転移性脳腫瘍
山里
5月27日(木)
右内頚動脈脳動脈瘤
北野

緊急手術【直近の過去1週間 2021年5月14日(金)~2021年5月20日(木)】

手術日
術式
主病名
術名
手術医
(助手)
5月17日(月)
血管内
くも膜下出血
(内頚動脈後交通動脈分岐部動脈瘤破裂)
クリッピング術
南田/池間

予定手術【2021年5月14日(金)~2021年5月20日(木)】

※ 画像をクリックすると拡大表示します。

※ 表は横スクロールすることができます。

開頭症例

手術日
主病名
術名
手術医
(助手)
画像
5月14日(金)
水頭症
V-P Shunt
5月18日(火)
胸椎椎間板ヘルニア
後方除圧
乾/濵田/矢田
水頭症
V-P Shunt
久貝/池間
5月19日(水)
顔面痙攣症
微小血管減圧術
富永/久貝/池間
右手根管症候群
右手根管開放術
乾/濵田/矢田
5月20日(木)
右海綿状血管腫
摘出術
富永/松田/矢田/古谷
環軸関節亜脱臼
後方除圧
乾/濵田/矢田

脳血管内手術症例

手術日
主病名
術名
手術医
(助手)
画像
5月17日(月)
脳動脈瘤(Lt.IC)
脳血管内手術
木本/松田/濵田
5月18日(火)
右内頚動脈狭窄症
経皮的頸動脈ステント留置術
木本/芝野/古部
脳動脈瘤(LtVA)
脳血管内手術
木本/長尾/山田
5月19日(水)
脳動静脈奇形
血管塞栓術
木本/松田/野本
脳動静脈奇形
血管塞栓術
木本/長尾

ガンマナイフ症例

手術日
主病名
担当医
5月14日(金)
転移性脳腫瘍
北野
5月17日(月)
転移性脳腫瘍
岩井
5月18日(火)
脳室内腫瘍
岩井
転移性脳腫瘍
岩井
小脳橋角部髄膜腫
岩井
5月19日(水)
大脳鎌髄膜腫
岩井

緊急手術【直近の過去1週間 2021年5月7日(金)~2021年5月13日(木)】

手術日
術式
主病名
術名
手術医
(助手)
5月10日(月)
開頭
外傷性慢性硬膜下血腫
血腫穿孔洗浄術
久貝/矢田

予定手術【2021年5月7日(金)~2021年5月13日(木)】

※ 画像をクリックすると拡大表示します。

※ 表は横スクロールすることができます。

開頭症例

手術日
主病名
術名
手術医
(助手)
画像
5月7日(金)
下垂体腫瘍
摘出術
北野
脳動脈瘤(Rt.MC)
クリッピング術
久貝/向
5月11日(火)
腰椎椎間板ヘルニア
Love法
乾/濵田/矢田
頚部脊柱管狭窄症
拡大椎弓形成術
乾/濵田/矢田
5月13日(木)
頚椎症性脊髄症
拡大椎弓形成術
乾/濵田/矢田

脳血管内手術症例

手術日
主病名
術名
手術医
(助手)
画像
5月7日(金)
脳動脈瘤(Acom)
脳血管内手術
須山/久貝/殿元
5月10日(月)
右頚部内頚動脈狭窄症
経皮的頸動脈ステント留置術
木本/長尾
右頚部内頚動脈狭窄症
経皮的頸動脈ステント留置術
木本/濵田
5月11日(火)
右頚部内頚動脈狭窄症
経皮的頸動脈ステント留置術
木本/芝野/古部
5月12日(水)
脳動脈瘤(Lt.IC-PC)
脳血管内手術
木本/松田/古谷

ガンマナイフ症例

手術日
主病名
担当医
5月12日(水)
脳室髄膜腫
山里
5月13日(木)
転移性脳腫瘍
北野

緊急手術【直近の過去1週間 2021年4月30日(金)~2021年5月6日(木)】

手術日
術式
主病名
術名
手術医
(助手)
5月1日(土)
開頭
慢性硬膜下血腫
血腫穿孔洗浄術
濵田
5月3日(月)
血管内
塞栓性脳梗塞
経皮的脳血栓回収術
芝野/野本
5月5日(水)
血管内
くも膜下出血
(椎骨動脈瘤破裂)
脳血管内手術
須山/長尾/山田

予定手術【2021年4月30日(金)~2021年5月6日(木)】

※ 画像をクリックすると拡大表示します。

※ 表は横スクロールすることができます。

開頭症例

手術日
主病名
術名
手術医
(助手)
画像
4月30日(金)
前頭髄膜腫
摘出術
北野/山田
5月6日(木)
腰部脊柱管狭窄症
後方除圧
乾/濵田/矢田

ガンマナイフ症例

手術日
主病名
担当医
4月30日(金)
転移性脳腫瘍
北野
5月1日(土)
三叉神経痛
岩井
5月6日(木)
転移性脳腫瘍
北野
転移性脳腫瘍
北野
転移性脳腫瘍
北野

緊急手術【直近の過去1週間 2021年4月23日(金)~2021年4月29日(木)】

手術日
術式
主病名
術名
手術医
(助手)
4月26日(月)
開頭
被殻出血
血腫除去術
古部/池間/殿元
4月27日(火)
開頭
両側外傷性慢性硬膜下血腫
血腫穿孔洗浄術
松田/古谷
開頭
左慢性硬膜下血腫
血腫穿孔洗浄術
4月28日(水)
開頭
慢性硬膜下血腫
血腫穿孔洗浄術
山田

予定手術【2021年4月23日(金)~2021年4月29日(木)】

※ 画像をクリックすると拡大表示します。

※ 表は横スクロールすることができます。

開頭症例

手術日
主病名
術名
手術医
(助手)
画像
4月23日(金)
水頭症
シャント入れ替え
4月26日(月)
脳腫瘍
摘出術
北野
聴神経腫瘍
摘出術
南田/長尾/濵田
4月27日(火)
左三叉神経痛
微小血管減圧術
乾/長尾/濵田

脳血管内手術症例

手術日
主病名
術名
手術医
(助手)
画像
4月27日(火)
脳動脈瘤(Lt.IC)
脳血管内手術
木本/野本/古谷
脳動脈瘤(Rt.VA)
脳血管内手術
木本/野本/古谷
4月28日(水)
脳動脈瘤(Lt.MC)
脳血管内手術
須山/久貝/殿元

ガンマナイフ症例

手術日
主病名
担当医
4月23日(金)
小脳橋角部髄膜腫
岩井
4月26日(月)
転移性脳腫瘍
岩井
転移性脳腫瘍
岩井
4月27日(火)
転移性脳腫瘍
岩井
転移性脳腫瘍
岩井
転移性脳腫瘍
岩井
4月28日(水)
転移性脳腫瘍
岩井

緊急手術【直近の過去1週間 2021年4月16日(金)~2021年4月22日(木)】

手術日
術式
主病名
術名
手術医
(助手)
4月18日(日)
血管内
脳梗塞
経皮的脳血栓回収術
久貝/山田
4月22日(木)
血管内
脳外主幹動脈血栓脳梗塞
経皮的脳血栓回収術
木本/濵田
開頭
慢性硬膜下血腫
血腫穿孔洗浄術
野本/殿元

予定手術【2021年4月16日(金)~2021年4月22日(木)】

※ 画像をクリックすると拡大表示します。

※ 表は横スクロールすることができます。

開頭症例

手術日
主病名
術名
手術医
(助手)
画像
4月16日(金)
水頭症
シャント入れ替え
古部/向
4月17日(土)
海綿状血管腫
摘出術
富永/長尾/濵田/野本
4月19日(月)
脳室中枢性悪性神経細胞腫
摘出術
北野
4月20日(火)
胸椎椎間板ヘルニア
後方除圧
乾/濵田/矢田
4月21日(水)
左前頭葉腫瘍
摘出術
富永/松田/古部/古谷
内頚動脈狭窄症
内頚動脈内膜剥離術
久貝/谷/殿元

脳血管内手術症例

手術日
主病名
術名
手術医
(助手)
画像
4月20日(火)
脳動脈瘤(Lt.IC)
脳血管内手術
木本/野本
脳動静脈奇形
血管塞栓術
木本/長尾/濵田
4月21日(水)
脳動脈瘤(Lt.IC)
脳血管内手術
木本/野本
脳動脈瘤(Rt.IC)
脳血管内手術
木本/野本

ガンマナイフ症例

手術日
主病名
担当医
4月16日(金)
転移性脳腫瘍
山里
4月20日(火)
小脳橋角部髄膜腫
岩井
右側頭葉腫瘍
岩井
4月22日(木)
転移性脳腫瘍
北野

緊急手術【直近の過去1週間 2021年4月9日(金)~2021年4月15日(木)】

手術日
術式
主病名
術名
手術医
(助手)
4月10日(土)
開頭
左外傷性慢性硬膜下血腫
血腫穿孔洗浄術
開頭
視床出血
穿頭脳室ドレナージ
野本
4月11日(日)
血管内
くも膜下出血
(前交通動脈瘤破裂)
脳血管内手術
須山/久貝
4月12日(月)
開頭
外傷性慢性硬膜下血腫
血腫穿孔洗浄術
古部
4月13日(火)
開頭
急性硬膜下血腫
血腫除去術
松田/矢田
4月14日(水)
開頭
慢性硬膜下血腫
血腫穿孔洗浄術
山田
4月15日(木)
開頭
外傷性慢性硬膜下血腫
血腫穿孔洗浄術
古部

予定手術【2021年4月9日(金)~2021年4月15日(木)】

※ 画像をクリックすると拡大表示します。

※ 表は横スクロールすることができます。

開頭症例

手術日
主病名
術名
手術医
(助手)
画像
4月9日(金)
右円蓋部髄膜腫
摘出術
北野/向/矢田
脳動脈瘤(Rt.MC)
クリッピング術
松田
脳室炎
デブリートマン
松田/濵田
4月10日(土)
傍矢状洞髄膜腫
摘出術
富永/南田/長尾/池間
4月12日(月)
右顔面痙攣
微小血管減圧術
北野/古部/池間
4月13日(火)
左蝶形骨稜髄膜腫
摘出術
乾/濵田/矢田
脳動脈瘤(Lt.IC)
クリッピング術
久貝
水頭症
V-P Shunt
矢田
4月14日(水)
水頭症
V-P Shunt
南田/矢田
4月15日(木)
脳動脈瘤(Rt.IC)
クリッピング術
富永/久貝/向
頚部脊柱管狭窄症
拡大椎弓形成術
乾/濵田/矢田

脳血管内手術症例

手術日
主病名
術名
手術医
(助手)
画像
4月13日(火)
脳動脈瘤(Lt.IC-PC)
脳血管内手術
須山/久貝/殿元
4月14日(水)
脳動静脈奇形
脳血管内手術
木本/長尾
脳動脈瘤(Lt.IC)
脳血管内手術
(フローダイバーター)
木本/野本

ガンマナイフ症例

手術日
主病名
担当医
4月14日(水)
錐体斜台部髄膜腫
山里
左中頭蓋窩髄膜腫
山里
4月15日(木)
左前頭葉腫瘍
北野
左側頭葉脳表腫瘍
北野

緊急手術【直近の過去1週間 2021年4月2日(金)~2021年4月8日(木)】

手術日
術式
主病名
術名
手術医
(助手)
4月2日(金)
開頭
左被殻出血
血腫除去術
開頭
急性硬膜下血腫
血腫除去術
谷/野本
4月5日(月)
開頭
右前頭葉脳皮質下出血
血腫除去術
古部/谷/矢田
開頭
非交通性水頭症
穿頭脳室ドレナージ
松田/濵田/古谷
4月7日(水)
開頭
慢性硬膜下血腫
血腫穿孔洗浄術
野本
4月8日(木)
開頭
脳室中枢性悪性神経細胞腫
穿頭脳室ドレナージ
山田/池間

予定手術【2021年4月2日(金)~2021年4月8日(木)】

※ 画像をクリックすると拡大表示します。

※ 表は横スクロールすることができます。

開頭症例

手術日
主病名
術名
手術医
(助手)
画像
4月2日(金)
円蓋部髄膜腫
摘出術
富永/松田/濵田
4月5日(月)
下垂体腺腫
摘出術
北野
4月6日(火)
頚部脊柱管狭窄症
拡大椎弓形成術
乾/濵田/矢田
4月7日(水)
脳幹部海綿状血管腫
摘出術
富永/久貝/野本
頚椎椎間板性椎間孔狭窄症
前方固定術
乾/濵田/矢田
左肘部管症候群
左肘管開放術
乾/濵田/矢田
4月8日(木)
右前頭葉神経膠腫
摘出術
乾/濵田/矢田

脳血管内手術症例

手術日
主病名
術名
手術医
(助手)
画像
4月6日(火)
左頚部内頚動脈狭窄症
経皮的頸動脈ステント留置術
木本/長尾/濵田/野本
4月7日(水)
右側内頚動脈狭窄症
経皮的頸動脈ステント留置術
木本
脳動脈瘤(BA)
脳血管内手術
木本/長尾/濵田

ガンマナイフ症例

手術日
主病名
担当医
4月2日(金)
左右下腺癌
山里
4月7日(水)
後頭蓋窩髄膜腫
山里
4月8日(木)
転移性脳腫瘍
北野
脳動静脈奇形
北野
転移性脳腫瘍
北野

緊急手術【直近の過去1週間 2021年3月26日(金)~2021年4月1日(木)】

手術日
術式
主病名
術名
手術医
(助手)
3月27日(土)
開頭
慢性硬膜下血腫
血腫穿孔洗浄術
野本
3月28日(日)
開頭
外傷性慢性硬膜下血腫
血腫穿孔洗浄術
矢田
血管内
心原性脳塞栓症
経皮的脳血栓回収術
久貝/矢田
3月30日(火)
開頭
右慢性硬膜下血腫
血腫穿孔洗浄術
開頭
慢性硬膜下血腫
血腫穿孔洗浄術

予定手術【2021年3月26日(金)~2021年4月1日(木)】

※ 画像をクリックすると拡大表示します。

※ 表は横スクロールすることができます。

開頭症例

手術日
主病名
術名
手術医
(助手)
画像
3月30日(火)
腰椎圧迫骨折
椎体形成術
乾/濵田
脳動脈瘤(Rt.MC)
クリッピング術
芝野/谷
3月31日(水)
脳幹部腫瘍
摘出術
富永/松田/濵田
4月1日(木)
腰部脊柱管狭窄症
後方除圧
乾/濵田/矢田
内頚動脈狭窄症
内頚動脈内膜剥離術
久貝/谷

脳血管内手術症例

手術日
主病名
術名
手術医
(助手)
画像
3月30日(火)
脳動脈瘤(Lt.IC・Rt.IC)
脳血管内手術
木本/松田/谷
3月31日(水)
脳動脈瘤(Rt.PC)
脳血管内手術
須山/久貝/野本

ガンマナイフ症例

手術日
主病名
担当医
3月26日(金)
右海綿静脈洞部髄膜腫
山里
3月31日(水)
転移性脳腫瘍
山里
脳動静脈奇形
北野
4月1日(木)
転移性脳腫瘍
北野
転移性脳腫瘍
北野
転移性脳腫瘍
北野
転移性脳腫瘍
北野

緊急手術【直近の過去1週間 2021年3月19日(金)~2021年3月25日(木)】

手術日
術式
主病名
術名
手術医
(助手)
3月23日(火)
開頭
くも膜下出血
クリッピング術
松田/山田
3月25日(木)
血管内
くも膜下出血
(前交通動脈瘤破裂)
脳血管内手術
木本/古部/谷

予定手術【2021年3月19日(金)~2021年3月25日(木)】

※ 画像をクリックすると拡大表示します。

※ 表は横スクロールすることができます。

開頭症例

手術日
主病名
術名
手術医
(助手)
画像
3月22日(月)
下垂体腺腫
摘出術
北野
三叉神経痛第2枝領域
微小血管減圧術
南田/北島
3月23日(火)
腰部脊柱管狭窄症
後方除圧
乾/濵田/矢田
開頭術後骨欠損
頭蓋形成術
山田
3月24日(水)
胸椎後縦靱帯骨化症
後方固定術
乾/濵田/矢田
右小脳橋角部髄膜腫
摘出術
南田/北島
3月25日(木)
海綿状血管腫
摘出術
富永/向/野本
右蝶形骨稜髄膜腫
摘出術
北野/久貝/芝野
腰部脊柱管狭窄症
後方除圧
乾/濵田/矢田
3月26日(金)
脳幹部海綿状血管腫
摘出術
南田/久貝/野本

脳血管内手術症例

手術日
主病名
術名
手術医
(助手)
画像
3月23日(火)
脳動脈瘤(Rt.IC)
脳血管内手術
木本/松田/野本
3月24日(水)
右蝶形骨稜髄膜腫
血管塞栓術
木本/芝野
右内頚動脈狭窄症
経皮的頸動脈ステント留置術
木本

ガンマナイフ症例

手術日
主病名
担当医
3月24日(水)
右中頭蓋窩髄膜腫
北野
嗅溝部髄膜腫
山里
3月25日(木)
大脳鎌髄膜腫
北野
転移性脳腫瘍
北野
転移性脳腫瘍
北野
転移性脳腫瘍
北野
転移性脳腫瘍
北野

緊急手術【直近の過去1週間 2021年3月12日(金)~2021年3月18日(木)】

手術日
術式
主病名
術名
手術医
(助手)
3月12日(金)
開頭
慢性硬膜下血腫
血腫穿孔洗浄術
開頭
慢性硬膜下血腫
血腫穿孔洗浄術
野本
3月13日(土)
開頭
被殻出血
視床出血
穿頭脳室ドレナージ
野本
3月15日(月)
血管内
心原性脳塞栓症
経皮的脳血栓回収術
木本/松田/北島/野本
3月17日(水)
開頭
被殻出血
血腫除去術
古部
3月18日(木)
血管内
内頚動脈閉塞症
経皮的脳血栓回収術
木本/長尾

予定手術【2021年3月12日(金)~2021年3月18日(木)】

※ 画像をクリックすると拡大表示します。

※ 表は横スクロールすることができます。

開頭症例

手術日
主病名
術名
手術医
(助手)
画像
3月12日(金)
下垂体腫瘍
摘出術
北野
左前頭葉脳腫瘍
摘出術
南田/松田/北島
3月15日(月)
ラトケのう胞
摘出術
北野
脳動脈瘤(Rt.MC)
クリッピング術
長尾/古部/谷
3月17日(水)
腰部脊柱管狭窄症
後方除圧
乾/濵田/矢田
3月18日(木)
眼瞼痙攣
微小血管減圧術
北野/久貝/野本
腰部脊柱管狭窄症
後方除圧
乾/濵田/矢田
水頭症
二次性水頭症
松田/濵田

脳血管内手術症例

手術日
主病名
術名
手術医
(助手)
画像
3月15日(月)
脳動脈瘤(Lt.MC)
脳血管内手術
木本/向
3月16日(火)
脳動脈瘤(Rt.IC)
脳血管内手術
木本/濵田
脳動脈瘤(Lt.IC)
脳血管内手術
木本/長尾/濵田

ガンマナイフ症例

手術日
主病名
担当医
3月12日(金)
転移性脳腫瘍
山里
転移性脳腫瘍
山里
転移性脳腫瘍
山里
3月17日(水)
転移性脳腫瘍
山里
左三叉神経痛
山里
3月18日(木)
聴神経腫瘍
北野
右三叉神経痛
北野
脳動静脈奇形
北野
転移性脳腫瘍
北野

緊急手術【直近の過去1週間 2021年3月5日(金)~2021年3月11日(木)】

手術日
術式
主病名
術名
手術医
(助手)
3月5日(金)
開頭
慢性硬膜下血腫
血腫穿孔洗浄術
山田
開頭
慢性硬膜下血腫
血腫穿孔洗浄術
山田
3月7日(日)
開頭
急性硬膜下血腫
血腫除去術
古部
3月9日(火)
開頭
慢性硬膜下血腫
血腫穿孔洗浄術
山田
3月10日(水)
血管内
心原性脳塞栓症
経皮的脳血栓回収術
木本/北島/濵田
開頭
急性非交通性水頭症
穿頭脳室ドレナージ
北島/野本
血管内
心原性脳塞栓症
経皮的血栓回収術
木本/北島/濵田/矢田
3月11日(木)
血管内
くも膜下出血
(脳底動脈瘤破裂)
脳血管内手術
木本/松田/谷

予定手術【2021年3月5日(金)~2021年3月11日(木)】

※ 画像をクリックすると拡大表示します。

※ 表は横スクロールすることができます。

開頭症例

手術日
主病名
術名
手術医
(助手)
画像
3月5日(金)
三叉神経痛第1・2枝領域
微小血管減圧術
富永/古部/矢田
円蓋部髄膜腫
摘出術
北野
3月6日(土)
脳動脈瘤(Rt.IC)
クリッピング術
富永/長尾/山田
3月8日(月)
髄膜腫
摘出術
北野/古部/野本
開頭術後骨欠損
頭蓋形成術
松田/北島/濵田
3月9日(火)
腰部脊柱管狭窄症
後方除圧
乾/濵田/矢田
3月10日(水)
左三叉神経痛
微小血管減圧術
北野/古部/向
3月11日(木)
右顔面痙攣
微小血管減圧術
富永/長尾/濵田

脳血管内手術症例

手術日
主病名
術名
手術医
(助手)
画像
3月9日(火)
脳動静脈奇形
脳血管塞栓術
木本/長尾
脳動脈瘤(Lt.IC)
脳血管内手術
木本/芝野/矢田
3月10日(水)
脳動静脈奇形
脳血管塞栓術
木本/長尾/山田

ガンマナイフ症例

手術日
主病名
担当医
3月5日(金)
蝶形骨稜髄膜腫
山里
転移性脳腫瘍
山里
転移性脳腫瘍
山里
3月10日(水)
下垂体腺腫
北野
聴神経脳腫瘍
山里
錐体斜台部髄膜腫
山里
転移性脳腫瘍
山里
3月11日(木)
転移性脳腫瘍
北野
髄膜腫
北野
転移性脳腫瘍
北野
左側頭葉脳腫瘍
北野
転移性脳腫瘍
北野

緊急手術【直近の過去1週間 2021年2月26日(金)~2021年3月4日(木)】

手術日
術式
主病名
術名
手術医
(助手)
2月26日(金)
開頭
外傷性慢性硬膜下血腫
血腫穿孔洗浄術
矢田
3月2日(火)
開頭
急性硬膜下血腫
血腫除去術
濵田/矢田
開頭
V-Pシャント機能不全
腹腔側チューブ入替術
乾/濵田/矢田

予定手術【2021年2月26日(金)~2021年3月4日(木)】

※ 画像をクリックすると拡大表示します。

※ 表は横スクロールすることができます。

開頭症例

手術日
主病名
術名
手術医
(助手)
画像
3月1日(月)
側頭葉膠芽腫
摘出術
南田/長尾
3月2日(火)
腰部脊柱管狭窄症
後方除圧
乾/濵田/矢田
3月3日(水)
腰部脊柱管狭窄症
後方除圧
乾/矢田
脳腫瘍
摘出術
南田/北島
3月4日(木)
頚部脊柱管狭窄症
拡大椎弓形成術
乾/濵田/矢田
内頚動脈狭窄症
内頚動脈内膜剥離術
久貝/谷

脳血管内手術症例

手術日
主病名
術名
手術医
(助手)
画像
3月2日(火)
脳動脈瘤(BA)
脳血管内手術
木本/芝野
3月3日(水)
脳動脈瘤(Rt.IC)
脳血管内手術
須山/久貝/野本

ガンマナイフ症例

手術日
主病名
担当医
2月26日(金)
脳動静脈奇形
山里
左三叉神経痛
山里
転移性脳腫瘍
山里
転移性脳腫瘍
山里
3月3日(水)
転移性脳腫瘍
山里
転移性脳腫瘍
山里
3月4日(木)
聴神経腫瘍
北野
右錐体斜台部髄膜腫
北野
転移性脳腫瘍
北野

緊急手術【直近の過去1週間 2021年2月19日(金)~2021年2月25日(木)】

手術日
術式
主病名
術名
手術医
(助手)
2月19日(金)
開頭術
慢性硬膜下血腫
血腫穿孔洗浄術
矢田
開頭術
下垂体腺腫
摘出術
北野/野本
2月21日(日)
開頭術
くも膜下出血
(中大脳動脈瘤破裂)
クリッピング術
久貝/野本
2月22日(月)
開頭術
左外傷性慢性硬膜下血腫
血腫穿孔洗浄術
2月24日(水)
開頭術
慢性硬膜下血腫
血腫穿孔洗浄術
野本

予定手術【2021年2月19日(金)~2021年2月25日(木)】

※ 画像をクリックすると拡大表示します。

※ 表は横スクロールすることができます。

開頭症例

手術日
主病名
術名
手術医
(助手)
画像
2月19日(金)
脳動脈瘤(Rt.MC)
クリッピング術
富永/松田/山田
下垂体腺腫
摘出術
北野
2月20日(土)
右聴神経鞘腫
摘出術
富永/南田/野本
下垂体卒中
摘出術
北野
2月22日(月)
後頭蓋窩髄膜腫
摘出術
南田/長尾/北島
2月24日(水)
三叉神経痛
微小血管減圧術
南田/北島
2月25日(木)
脳動脈瘤(Rt.MC)
クリッピング術
久貝/野本

脳血管内手術症例

手術日
主病名
術名
手術医
(助手)
画像
2月22日(月)
脳動脈瘤(Lt.IC)
脳血管内手術
(フローダイバーター)
木本/芝野/北島
2月24日(水)
脳動脈瘤(Lt.IC)
脳血管内手術
木本/松田/谷
2月25日(木)
脳動脈瘤(Rt.IC)
脳血管内手術
須山/久貝/向

ガンマナイフ症例

手術日
主病名
担当医
2月22日(月)
転移性脳腫瘍
北野
脳幹神経膠腫
北野
2月24日(水)
転移性脳腫瘍
山里
左前頭葉腫瘍
山里
円蓋部髄膜腫
山里
2月25日(木)
傍矢状洞髄膜腫
北野
小脳テント髄膜腫
北野
左前頭葉腫瘍
北野
転移性脳腫瘍
北野
三叉神経痛第1・2枝領域
北野

緊急手術【直近の過去1週間 2021年2月12日(金)~2021年2月18日(木)】

手術日
術式
主病名
術名
手術医
(助手)
2月13日(土)
血管内
脳梗塞
経皮的創血栓回収術
芝野/谷/矢田
2月16日(火)
開頭術
急性硬膜下血腫
血腫除去術 減圧開頭術
山田/矢田

予定手術【2021年2月12日(金)~2021年2月18日(木)】

※ 画像をクリックすると拡大表示します。

※ 表は横スクロールすることができます。

開頭症例

手術日
主病名
術名
手術医
(助手)
画像
2月18日(木)
脳動静脈奇形
摘出術
富永/芝野
内頚動脈狭窄症
内頚動脈内膜剥離術
久貝/谷
2月17日(水)
右前頭葉脳腫瘍
摘出術
乾/濵田/矢田
三叉神経痛
微小血管減圧術
南田/長尾
2月16日(火)
腰部脊柱管狭窄症
後方除圧
乾/濵田/矢田
腰部脊柱管狭窄症
後方除圧
乾/濵田/矢田
2月15日(月)
海綿状血管腫
摘出術
南田/濵田
2月12日(金)
左頚部内頚動脈狭窄症
内頚動脈内膜剥離術
久貝/谷

脳血管内手術症例

手術日
主病名
術名
手術医
(助手)
画像
2月17日(水)
脳動脈瘤(Rt.IC)
脳血管内手術
木本/濵田/矢田
右内頚動脈狭窄症
経皮的頸動脈ステント留置術
木本
2月16日(火)
脳動脈瘤(Acom)
脳血管内手術
木本/濵田/矢田
脳動静脈奇形
脳血管塞栓術
木本/芝野

緊急手術【直近の過去1週間 2021年2月5日(金)~2021年2月11日(木)】

手術日
術式
主病名
術名
手術医
(助手)
2月9日(火)
開頭
右視床出血
穿頭脳室ドレナージ
2月8日(月)
開頭
くも膜下出血
(後下小脳動脈瘤破裂)
V-P Shunt
古部/向
2月6日(土)
開頭
脳梗塞
減圧開頭術
松田/北島/濵田
開頭
内頚動脈海綿静脈洞瘻
血腫除去術
減圧開頭術
脳切除術
松田/北島/濵田
2月5日(金)
開頭
小脳出血
穿頭脳室ドレナージ
松田/北島
開頭
小脳出血
血腫除去術
松田/北島

予定手術【2021年2月5日(金)~2021年2月11日(木)】

※ 画像をクリックすると拡大表示します。

※ 表は横スクロールすることができます。

開頭症例

手術日
主病名
術名
手術医
(助手)
画像
2月10日(水)
左小脳海綿状血管腫
摘出術
富永/松田
脳動脈瘤(Lt.PICA)
V-P Shunt
古部/向
2月8日(月)
下垂体腺腫
摘出術
北野
脳動脈瘤(Acom)
クリッピング術
南田/北島
脳動脈瘤(Lt.MC)
クリッピング術
松田/山田
2月5日(金)
下垂体腺腫
摘出術
北野

脳血管内手術症例

手術日
主病名
術名
手術医
(助手)
画像
2月10日(水)
脳動脈瘤(Lt.IC)
脳血管内手術
須山/久貝/野本
2月9日(火)
脳動静脈奇形
脳血管塞栓術
木本/長尾/濵田

緊急手術【直近の過去1週間 2021年1月29日(金)~2021年2月4日(木)】

手術日
術式
主病名
術名
手術医
(助手)
2月4日(木)
開頭
左被殻出血
血腫除去術
古部/向
2月2日(火)
開頭
くも膜下出血
(左後下小脳動脈瘤破裂)
穿頭脳室ドレナージ
1月30日(土)
開頭
慢性硬膜下血腫
血腫穿孔洗浄術
1月29日(金)
開頭
慢性硬膜下血腫
血腫穿孔洗浄術
古部

予定手術【2021年1月29日(金)~2021年2月4日(木)】

※ 画像をクリックすると拡大表示します。

※ 表は横スクロールすることができます。

開頭症例

手術日
主病名
術名
手術医
(助手)
画像
2月4日(木)
脳動静脈奇形
摘出術
富永/長尾/濵田
腰部脊柱管狭窄症
後方除圧
乾/濵田/矢田
2月3日(水)
右肘部管症候群
右肘部管開放術
乾/濵田/矢田
右手根管症候群
手根管開放術
乾/濵田/矢田
2月2日(火)
頚椎骨性椎間孔狭窄症
前方固定術
乾/濵田/矢田
2月1日(月)
蝶形骨稜髄膜腫
摘出術
北野/久貝/野本
1月31日(日)
後頭蓋窩髄膜腫
摘出術
富永/南田/長尾/北島
1月29日(金)
右被殻出血
頭蓋形成術
芝野/野本

脳血管内手術症例

手術日
主病名
術名
手術医
(助手)
画像
2月3日(水)
脳動脈瘤(BA)
脳血管内手術
木本/濵田/矢田
左頚部内頚動脈狭窄症
経皮的脳血管形成術
木本/濵田/矢田
2月2日(火)
脳動脈瘤(Acom)
脳血管内手術
木本/濵田/矢田
脳動脈瘤(Acom)
脳血管内手術
木本/長尾
脳動静脈奇形
脳血管塞栓術
木本/長尾/濵田

緊急手術【直近の過去1週間 2021年1月22日(金)~2021年1月28日(木)】

手術日
術式
主病名
術名
手術医
(助手)
1月28日(木)
血管内
意識障害
経皮的脳血栓回収術
木本/谷/濵田
1月27日(水)
開頭
慢性硬膜下血腫
血腫穿孔洗浄術
野本
開頭
小脳出血
血腫除去術
穿頭脳室ドレナージ
1月25日(月)
開頭
被殻出血
血腫除去術
山田

予定手術【2021年1月22日(金)~2021年1月28日(木)】

※ 画像をクリックすると拡大表示します。

※ 表は横スクロールすることができます。

開頭症例

手術日
主病名
術名
手術医
(助手)
画像
1月28日(木)
顔面痙攣
微小血管減圧術
北野/久貝/野本
腰部脊柱管狭窄症
後方除圧
乾/濵田/矢田
1月27日(水)
腰椎椎間板ヘルニア
前方固定術
乾/濵田/矢田
1月26日(火)
腰部脊柱管狭窄症
後方除圧
乾/濵田/矢田
頚椎症性脊髄症
前方固定術
乾/濵田/矢田
開頭術後骨欠損
頭蓋形成術
古部/谷
1月25日(月)
左基底核部海綿状血管腫
摘出術
南田/松田/北島
1月23日(土)
後頭蓋窩髄膜腫
摘出術
北野
1月22日(金)
脳動静脈奇形
摘出術
富永/久貝/芝野
小脳橋角部髄膜腫
摘出術
北野/古部

脳血管内手術症例

手術日
主病名
術名
手術医
(助手)
画像
1月27日(水)
脳動脈瘤(Rt.IC)
脳血管内手術
(フローダイバーター)
木本/濵田/矢田
1月26日(火)
脳動脈瘤(Lt.IC)
脳血管内手術
木本/濵田/矢田
右頚部内頚動脈狭窄症
経皮的頸動脈ステント留置術
木本/濵田/矢田
1月25日(月)
脳動脈瘤(BA)
脳血管内手術
木本/芝野

緊急手術【直近の過去1週間 2021年1月15日(金)~2021年1月21日(木)】

手術日
術式
主病名
術名
手術医
(助手)
1月20日(水)
血管内
くも膜下出血
脳血管内手術
久貝/芝野/向
開頭
くも膜下出血
穿頭脳室ドレナージ
1月19日(火)
開頭
左被殻出血
血腫除去術
谷/野本
1月18日(月)
開頭
脳室内出血
クリッピング術
松田/谷
1月17日(日)
開頭
脳皮質下出血
血腫除去術
開頭
脳室内出血
穿頭脳室ドレナージ
開頭
左外傷性慢性硬膜下血腫
血腫穿孔洗浄術
矢田

予定手術【2021年1月15日(金)~2021年1月21日(木)】

※ 画像をクリックすると拡大表示します。

※ 表は横スクロールすることができます。

開頭症例

手術日
主病名
術名
手術医
(助手)
画像
1月21日(木)
脳動脈瘤(Rt.MC)
クリッピング術
富永/久貝/山田
頭蓋頚椎移行部動静脈瘻
流入血管遮断術
乾/長尾/北島
1月20日(水)
右手根管症候群
右手根管開放術
乾/濵田/矢田
第3腰椎圧迫骨折
腰椎椎体形成術
乾/濵田/矢田
1月19日(火)
頚部脊柱管狭窄症
拡大椎弓形成術
乾/濵田/矢田
脳動脈瘤(Acom)
クリッピング術
松田/北島
右脳皮質下出血
気管切開
山田
1月18日(月)
左前頭葉腫瘤
摘出術
北野/古部/谷
開頭術後骨欠損
頭蓋形成術
松田/北島
1月15日(金)
聴神経鞘腫
摘出術
富永/南田/北島
下垂体腺腫
摘出術
北野

脳血管内手術症例

手術日
主病名
術名
手術医
(助手)
画像
1月20日(月)
脳動静脈奇形
脳血管塞栓術
須山/久貝/芝野
脳動脈瘤(Acom)
脳血管内手術
木本
脳動静脈奇形
脳血管塞栓術
木本/長尾
1月19日(日)
頭蓋頚椎移行部動静脈瘻
脳血管塞栓術
木本/長尾

緊急手術【直近の過去1週間 2021年1月8日(金)~2021年1月14日(木)】

手術日
術式
主病名
術名
手術医
(助手)
1月14日(木)
血管内
視床出血
穿頭脳室ドレナージ
北島/濵田
1月13日(水)
開頭
慢性硬膜下血腫
血腫穿孔洗浄術
山田
1月10日(日)
血管内
心原性脳塞栓症
経皮的脳血栓回収術
久貝/矢田
1月9日(土)
開頭
脳膿瘍
脳膿瘍全摘術
長尾/濵田

予定手術【2021年1月8日(金)~2021年1月14日(木)】

※ 画像をクリックすると拡大表示します。

※ 表は横スクロールすることができます。

開頭症例

手術日
主病名
術名
手術医
(助手)
画像
1月14日(木)
右小脳腫瘍
摘出術
北野/久貝/野本
頚椎椎間板ヘルニア
前方固定術
乾/濵田/矢田
1月13日(水)
脳動脈瘤(Acom)
クリッピング術
乾/濵田/矢田
1月12日(火)
脳動脈瘤(Rt.IC-PC)
クリッピング術
富永/松田/濵田
頚椎椎間板ヘルニア
前方固定術
乾/濵田/矢田
腰部脊柱管狭窄症
後方除圧
乾/濵田/矢田
1月8日(金)
前頭葉神経膠腫
摘出術
北野/古部/谷
斜台髄膜腫
摘出術
南田/久貝

脳血管内手術症例

手術日
主病名
術名
手術医
(助手)
画像
1月13日(水)
脳動脈瘤(Lt.IC)
脳血管内手術
木本
脳動静脈奇形
脳血管内手術
木本/長尾
1月12日(火)
内頚動脈海綿静脈洞瘻
脳血管塞栓術
木本/芝野/古部
右内頚動脈狭窄症
経皮的頸動脈ステント留置術
木本/濵田

ガンマナイフ症例

手術日
主病名
担当医
1月14日(木)
転移性脳腫瘍
北野
転移性脳腫瘍
北野
1月13日(水)
右後頭葉腫瘍
山里
転移性脳腫瘍
山里
転移性脳腫瘍
山里
1月8日(金)
転移性脳腫瘍
山里
小脳腫瘍
山里

緊急手術【直近の過去1週間 2021年1月1日(金)~2021年1月7日(木)】

手術日
術式
主病名
術名
手術医
(助手)
1月7日(木)
血管内
中大脳動脈閉栓症
経皮的脳血栓回収術
木本/濵田
1月4日(月)
開頭
外傷性慢性硬膜下血腫
血腫穿孔洗浄術
矢田
開頭
小脳梗塞
穿頭脳室ドレナージ
松田/谷/野本
1月3日(日)
血管内
くも膜下出血
(破裂性椎骨動脈解離)
脳血管内手術
須山/長尾/山田
1月1日(金)
開頭
くも膜下出血
(脳動静脈奇形破裂)
穿頭脳室ドレナージ
野本

予定手術【2020年12月25日(金)~2020年12月31日(木)】

※ 画像をクリックすると拡大表示します。

※ 表は横スクロールすることができます。

開頭症例

手術日
主病名
術名
手術医
(助手)
画像
12月25日(金)
脳腫瘍
摘出術
北野
髄膜腫
摘出術
南田/松田/北島

脳血管内手術症例

手術日
主病名
術名
手術医
(助手)
画像
12月26日(土)
硬膜動静脈瘻
脳血管塞栓術
須山/久貝

ガンマナイフ症例

手術日
主病名
担当医
12月28日(月)
右前頭葉脳腫瘍
北野
転移性脳腫瘍
北野
右後頭葉脳腫瘍
北野
転移性脳腫瘍
北野
12月25日(金)
神経鞘腫
山里
右三叉神経痛
山里

緊急手術【直近の過去1週間 2020年12月18日(金)~2020年12月24日(木)】

手術日
術式
主病名
術名
手術医
(助手)
12月23日(水)
開頭
心原性脳塞栓症
穿頭脳室ドレナージ
長尾/古部/野本
12月22日(火)
開頭
心原性脳塞栓症
穿頭脳室ドレナージ
長尾/古部/野本
開頭
左外傷性慢性硬膜下血腫
血腫穿孔洗浄術
野本
12月20日(日)
開頭
くも膜下出血
(内頚動脈後交通動脈分岐部動脈瘤破裂)
動中法
芝野/古部/矢田
12月19日(土)
血管内
くも膜下出血
(内頚動脈後交通動脈分岐部動脈瘤破裂)
クリッピング術
芝野/矢田
開頭
くも膜下出血
(内頚動脈後交通動脈分岐部動脈瘤破裂)
脊髄ドレナージ
芝野/矢田
12月18日(金)
開頭
外傷性脳内血腫
血腫除去術
古部/矢田
開頭
くも膜下出血
(中大脳動脈瘤破裂)
脳動脈瘤被包術
乾/向

予定手術【2020年12月18日(金)~2020年12月24日(木)】

※ 画像をクリックすると拡大表示します。

※ 表は横スクロールすることができます。

開頭症例

手術日
主病名
術名
手術医
(助手)
画像
12月24日(木)
脊髄内腫瘍
摘出術
乾/濵田/矢田
開頭術後骨欠損
頭蓋形成術
久貝
12月22日(火)
円蓋部髄膜腫
摘出術
松田/北島
12月21日(月)
テント上下髄膜腫
摘出術
北野
12月18日(金)
脳動脈瘤(Lt.MC)
クリッピング術
富永/松田/古部/矢田
下垂体腺腫
摘出術
北野

脳血管内手術症例

手術日
主病名
術名
手術医
(助手)
画像
12月23日(水)
脳動脈瘤(Rt.IC)
脳血管内手術
(フローダイバーター)
木本
右内頚動脈狭窄症
経皮的頸動脈ステント留置術
木本/古部/向
12月22日(火)
脳動静脈奇形
脳血管塞栓術
木本/長尾/濵田

ガンマナイフ症例

手術日
主病名
担当医
12月24日(木)
右前頭葉腫瘍
北野
転移性脳腫瘍
北野
転移性脳腫瘍
北野
転移性脳腫瘍
北野
12月23日(水)
転移性脳腫瘍
北野
右小脳腫瘍
山里
転移性脳腫瘍
山里
12月18日(金)
右前頭葉傍矢状洞髄膜腫
山里
転移性脳腫瘍
山里

緊急手術【直近の過去1週間 2020年12月11日(金)~2020年12月17日(木)】

手術日
術式
主病名
術名
手術医
(助手)
12月14日(月)
開頭
被殻出血
血腫除去術
長尾/北島
12月13日(日)
血管内
心原性脳塞栓症
経皮的脳血栓回収術
久貝/向

予定手術【2020年12月11日(金)~2020年12月17日(木)】

※ 画像をクリックすると拡大表示します。

※ 表は横スクロールすることができます。

開頭症例

手術日
主病名
術名
手術医
(助手)
画像
12月17日(木)
脂肪腫
摘出術
北野/向
椎骨動脈解離
気管切開術
濵田/北島
12月16日(水)
小脳腫瘍
V-P Shunt
北野/向/北島/濵田
右後頭葉海綿状血管腫
摘出術
乾/濵田/矢田
脳腫瘍
摘出術
南田/濵田
12月15日(火)
末梢神経腫瘍
生検術
乾/濵田
12月14日(月)
下垂体腺腫
摘出術
北野
左後頭蓋窩髄膜腫
摘出術
南田/芝野
12月12日(土)
脳動脈瘤(Rt.MC)
クリッピング術
久貝/野本
12月11日(金)
脳動脈瘤(Rt.AC)
クリッピング術
久貝/野本

脳血管内手術症例

手術日
主病名
術名
手術医
(助手)
画像
12月16日(水)
脳動静脈瘻
脳血管塞栓術
木本
12月15日(火)
脳動脈瘤(Rt.IC)
脳血管内手術
(フローダイバーター)
木本
脳動脈瘤(Lt.IC)
脳血管内手術
木本/芝野
12月12日(土)
硬膜動静脈瘻
脳血管塞栓術
木本

ガンマナイフ症例

手術日
主病名
担当医
12月17日(木)
転移性脳腫瘍
北野
右側頭葉脳腫瘍
北野
転移性脳腫瘍
北野
左三叉神経痛
北野
転移性脳腫瘍
北野
12月16日(水)
左聴神経鞘腫
山里
転移性脳腫瘍
山里
12月11日(金)
左大脳鎌脳腫瘍
山里
左前頭葉脳腫瘍
山里

緊急手術【直近の過去1週間 2020年12月4日(金)~2020年12月10日(木)】

手術日
術式
主病名
術名
手術医
(助手)
12月7日(月)
開頭
くも膜下出血
(内頚動脈後交通動脈分岐部動脈瘤破裂)
クリッピング術
南田/濵田
開頭
被殻出血
血腫除去術
古部/矢田
12月6日(日)
開頭
脳動静脈奇形破裂
血腫除去術
長尾/北島
12月4日(金)
開頭
硬膜外血腫
血腫除去術
乾/矢田

予定手術【2020年12月4日(金)~2020年12月10日(木)】

※ 画像をクリックすると拡大表示します。

※ 表は横スクロールすることができます。

開頭症例

手術日
主病名
術名
手術医
(助手)
画像
12月4日(金)
斜体斜台部髄膜腫
摘出術
富永/南田/久貝
脳動脈瘤(Acom)
クリッピング術
富永/松田/矢田
12月7日(月)
脳動脈瘤(Acom)
二次性水頭症
松田/北島
12月8日(火)
三叉神経痛
微小血管減圧術
富永/長尾/矢田
頚椎症性神経根症
前方固定術
乾/濵田/矢田
左内頚動脈狭窄症
内頚動脈内膜剥離術
松田/北島
12月9日(水)
脳動脈瘤(Acom)
クリッピング術
北野/古部/向
腰部脊柱管狭窄症
後方除圧
乾/濵田/矢田
12月10日(木)
腰部脊柱管狭窄症
後方除圧
乾/濵田/矢田
脳動脈瘤(Acom)
クリッピング術
久貝/野本

脳血管内手術症例

手術日
主病名
術名
手術医
(助手)
画像
12月4日(金)
右内頚動脈狭窄症
経皮的頸動脈ステント留置術
木本/芝野/古部
12月7日(月)
脳動脈瘤(Lt.IC)
脳血管内手術
木本
脳動脈瘤(Lt.IC-PC)
脳血管内手術
木本/芝野/山田
脳動脈瘤(Lt.IC-PC・Rt.IC-PC)
脳血管内手術
木本/松田/矢田
12月8日(火)
脳動静脈奇形
脳血管塞栓術
木本/芝野
脳動脈瘤(Lt.IC)
脳血管内手術
木本/松田/北島
左内頚動脈狭窄症
経皮的頸動脈ステント留置術
木本/濵田
12月9日(水)
脳動脈瘤(Lt.IC)
脳血管内手術
木本
脳動脈瘤(BA)
脳血管内手術
木本

ガンマナイフ症例

手術日
主病名
担当医
12月10日(木)
髄膜腫
北野
右後頭葉神経膠腫
北野
海綿状血管腫
北野
転移性脳腫瘍
北野

緊急手術【直近の過去1週間 2020年11月27日(金)~2020年12月3日】

手術日
術式
主病名
術名
手術医
(助手)
11月27日(金)
開頭
慢性硬膜下血腫
血腫穿孔洗浄術
矢田
12月2日(水)
開頭
慢性硬膜下血腫
血腫穿孔洗浄術
北島/矢田

予定手術【2020年11月27日(金)~2020年12月3日(木)】

※ 画像をクリックすると拡大表示します。

※ 表は横スクロールすることができます。

開頭症例

手術日
主病名
術名
手術医
(助手)
画像
12月3日(木)
脳動静脈奇形
摘出術
富永/長尾
顔面痙攣
微小血管減圧術
北野/久貝/野本
頚椎後縦靱帯骨化症
前方固定術
乾/濵田/矢田
12月2日(水)
左海面静脈洞部髄膜腫
摘出術
北野
右手根管症候群
右手根管開放術
乾/濵田/矢田
右手根管症候群
右手根管開放術
乾/矢田
12月1日(火)
海綿状血管腫
摘出術
富永/南田/古部/矢田
11月30日(月)
聴神経腫瘍
摘出術
南田/長尾/北島
両側内頚動脈狭窄症
内頚動脈内膜剥離術
古部/向
11月28日(土)
脳動脈瘤(Acom)
L-P Shunt
芝野/野本
11月27日(金)
水頭症
V-P Shunt
芝野/古部
右外傷性慢性硬膜下血腫
内視鏡下血腫除去術
松田/野本
脳動脈瘤(Acom)
クリッピング術
松田/矢田
脳動脈瘤(Rt.MC)
クリッピング術
古部

脳血管内手術症例

手術日
主病名
術名
手術医
(助手)
画像
12月2日(水)
脳動脈瘤(Rt.IC)
脳血管内手術
須山/久貝/野本
脳動脈瘤(Rt.IC)
脳血管内手術
木本/濵田/矢田
12月1日(火)
脳動脈瘤(Lt.IC-PC)
脳血管内手術
木本/芝野/山田
脳動脈瘤(Rt.IC)
脳血管内手術
木本/松田/向
脳動脈瘤(Rt.IC-PC)
脳血管内手術
木本/松田/北島
脳動静脈奇形
脳血管内手術
木本/長尾

ガンマナイフ症例

手術日
主病名
担当医
12月3日(木)
転移性脳腫瘍
北野
転移性脳腫瘍
北野
右前頭葉嚢胞性腫瘍
北野
上咽頭腫瘍
北野
12月2日(水)
右小脳半球脳腫瘍
北野
11月27日(金)
小脳橋角部髄膜腫
北野

緊急手術【直近の過去1週間 2020年11月20日(金)~2020年11月26日(木)】

手術日
術式
主病名
術名
手術医
(助手)
11月25日(水)
血管内
右内頚動脈脳動脈瘤
経皮的脳血栓回収術
木本/古部/濵田
開頭
外傷性脳出血
血腫除去術
山田
11月24日(火)
開頭
慢性硬膜下血腫
血腫穿孔洗浄術
北島
11月21日(土)
開頭
慢性硬膜下血腫
血腫穿孔洗浄術

電話でのお問い合わせ

代表 06-6568-1601

専用フォームでのお問合せ

お問い合せ
矢印TOP