血管内治療(カテーテルによる治療)手術実績

血管内治療(カテーテルによる治療)手術実績
Surgical results of endovascular treatment

全データ一覧
脳動脈瘤
脳動静脈奇形(AVM)
脳腫瘍

血管内治療(カテーテルによる治療) 実績一覧(全データを10件ごとに一覧表示します。)

※ 画像をクリックすると拡大表示します。症例No.をクリックすると詳細ページを表示します。

※ 表は横スクロールすることができます。

症例No.
手術年月
病名
年齢
紹介元
手術写真
治療
治療
治療
 '25年11月
くも膜下出血
左中大脳動脈瘤破裂
40代
救急外来
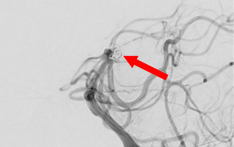
No.1596 手術前
No.1596 手術前
No.1596 手術中
No.1596 手術中
No.1596 手術後
No.1596 手術後
 '25年11月
左内頚動脈脳動脈瘤
60代
大阪府の病院
No.1595 手術前
No.1595 手術前
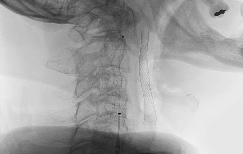
No.1595 手術中
No.1595 手術中
No.1595 手術後
No.1595 手術後
 '25年11月
くも膜下出血
破裂性内頚動脈解離
40代
救急外来
No.1594 手術前
No.1594 手術前
No.1594 手術中
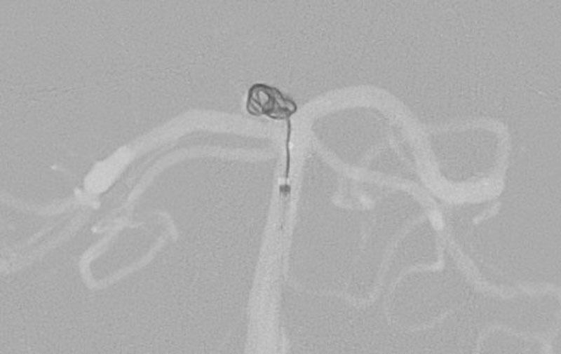
No.1594 手術中
No.1594 手術後
No.1594 手術後
 '25年11月
くも膜下出血
右内頚動脈後交通動脈
分岐部動脈瘤破裂
60代
救急外来
No.1593 手術前
No.1593 手術前
No.1593 手術中
No.1593 手術中
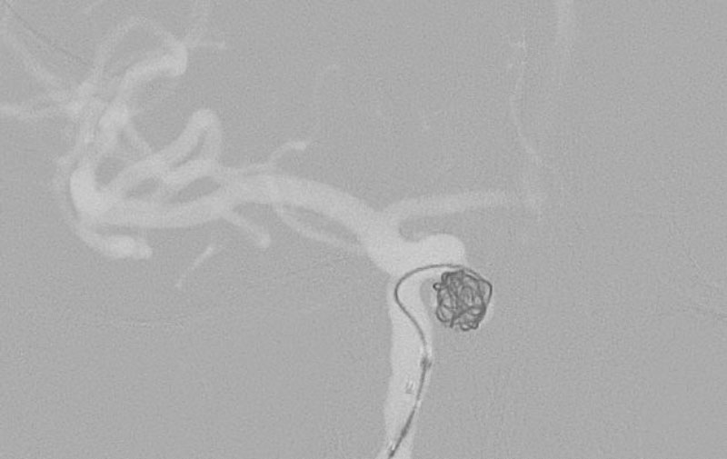
No.1593 手術後
No.1593 手術後
 '25年10月
くも膜下出血
右内頚動脈脳動脈瘤破裂
40代
救急外来
No.1592 手術前
No.1592 手術前
No.1592 手術中
No.1592 手術中
No.1592 手術後
No.1592 手術後
 '25年10月
硬膜動静脈瘻
50代
救急外来
No.1591 手術前
No.1591 手術前
No.1591 手術中
No.1591 手術中
No.1591 手術後
No.1591 手術後
 '25年10月
左総頚動脈狭窄症
30代
院内外来
No.1590 手術前
No.1590 手術前
No.1590 手術中
No.1590 手術中
No.1590 手術後
No.1590 手術後
 '25年10月
くも膜下出血
前交通動脈瘤破裂
40代
大阪府の病院
No.1589 手術前
No.1589 手術前
No.1589 手術中
No.1589 手術中
No.1589 手術後
No.1589 手術後
 '25年10月
くも膜下出血
前交通動脈瘤破裂
60代
救急外来
No.1588 手術前
No.1588 手術前
No.1588 手術中
No.1588 手術中
No.1588 手術後
No.1588 手術後
 '25年10月
くも膜下出血
右前交通動脈瘤破裂
60代
救急外来
No.1587 手術前
No.1587 手術前
No.1587 手術中
No.1587 手術中
No.1587 手術後
No.1587 手術後
1 2 3 4 5 6 161

電話でのお問い合わせ

代表 06-6568-1601

専用フォームでのお問合せ

お問い合せ
矢印TOP