血管内治療(カテーテルによる治療)手術実績

血管内治療(カテーテルによる治療)手術実績
Surgical results of endovascular treatment

全データ一覧
脳動脈瘤
脳動静脈奇形(AVM)
脳腫瘍

血管内治療(カテーテルによる治療) 実績一覧(全データを10件ごとに一覧表示します。)

※ 画像をクリックすると拡大表示します。症例No.をクリックすると詳細ページを表示します。

※ 表は横スクロールすることができます。

症例No.
手術年月
病名
年齢
紹介元
手術写真
治療
治療
治療
 '25年12月
くも膜下出血
右内頚動脈後交通動脈
分岐部動脈瘤破裂
40代
救急外来
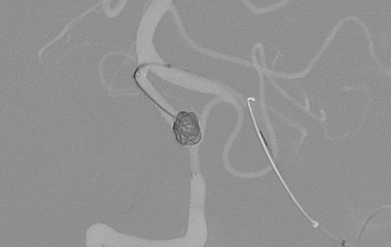
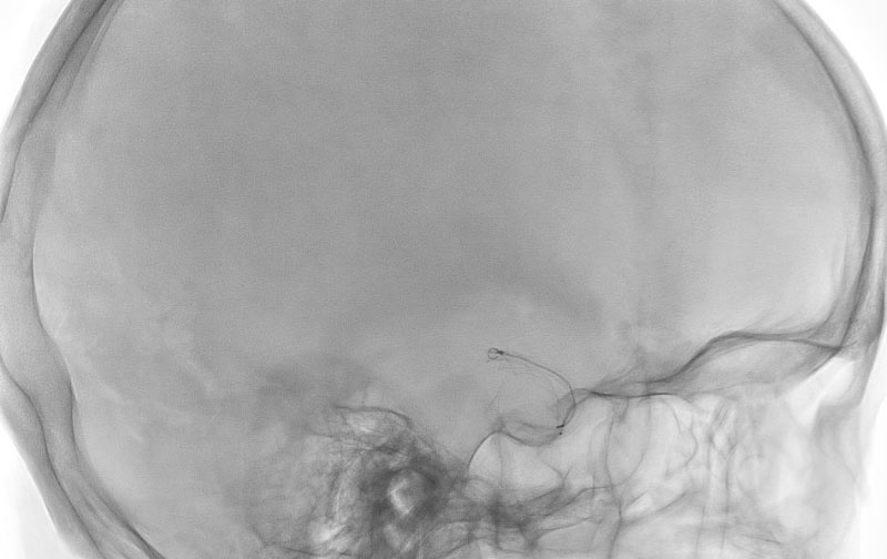
No.1603 手術前
No.1603 手術前
No.1603 手術中
No.1603 手術中
No.1603 手術後
No.1603 手術後
 '25年12月
左中大脳動脈瘤
60代
大阪府の病院
No.1602 手術前
No.1602 手術前
No.1602 手術中
No.1602 手術中
No.1602 手術後
No.1602 手術後
 '25年12月
心原性脳塞栓症
80代
救急外来
No.1601 手術前
No.1601 手術前
No.1601 手術中
No.1601 手術中
No.1601 手術後
No.1601 手術後
 '25年12月
くも膜下出血
脳底動脈瘤破裂
40代
救急外来
No.1600 手術前
No.1600 手術前
No.1600 手術中
No.1600 手術中
No.1600 手術後
No.1600 手術後
 '25年11月
くも膜下出血
右内頚動脈後交通動脈
分岐部動脈瘤破裂
50代
大阪府の病院
No.1599 手術前
No.1599 手術前
No.1599 手術中
No.1599 手術中
No.1599 手術後
No.1599 手術後
 '25年11月
右円蓋部髄膜腫
40代
大阪府の病院
No.1598 手術前
No.1598 手術前
No.1598 手術中
No.1598 手術中
No.1598 手術後
No.1598 手術後
 '25年11月
くも膜下出血
右中大脳動脈瘤破裂
50代
救急外来
No.1597 手術前
No.1597 手術前
No.1597 手術中
No.1597 手術中
No.1597 手術後
No.1597 手術後
 '25年11月
くも膜下出血
左中大脳動脈瘤破裂
40代
救急外来
No.1596 手術前
No.1596 手術前
No.1596 手術中
No.1596 手術中
No.1596 手術後
No.1596 手術後
 '25年11月
左内頚動脈脳動脈瘤
60代
大阪府の病院
No.1595 手術前
No.1595 手術前
No.1595 手術中
No.1595 手術中
No.1595 手術後
No.1595 手術後
 '25年11月
くも膜下出血
破裂性内頚動脈解離
40代
救急外来
No.1594 手術前
No.1594 手術前
No.1594 手術中
No.1594 手術中
No.1594 手術後
No.1594 手術後

電話でのお問い合わせ

代表 06-6568-1601

専用フォームでのお問合せ

お問い合せ
矢印TOP