血管内治療(カテーテルによる治療)手術実績
脳動脈瘤

血管内治療(カテーテルによる治療)手術実績
Surgical results of endovascular treatment

全データ一覧
脳動脈瘤
脳動静脈奇形(AVM)
脳腫瘍

脳動脈瘤(血管内治療)実績一覧 (合計 791 件)

※ 画像をクリックすると拡大表示します。症例No.をクリックすると詳細ページを表示します。

※ 表は横スクロールすることができます。

症例No.
手術年月
病名
年齢
紹介元
手術写真
治療
治療
治療
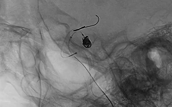
 '26年4月
左後下小脳動脈瘤
80代
大阪府の病院
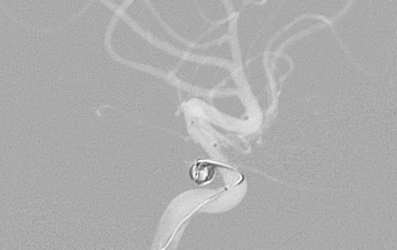
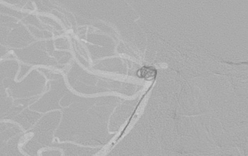
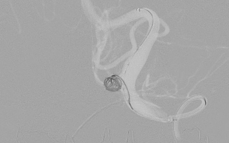
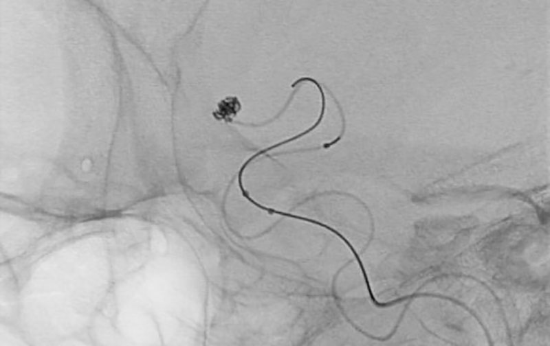
No.1631 手術前
No.1631 手術前
No.1631 手術中
No.1631 手術中
No.1631 手術後
No.1631 手術後
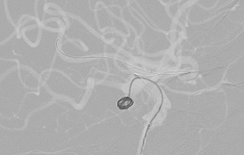
 '26年4月
左内頚動脈脳動脈瘤
70代
大阪府の病院
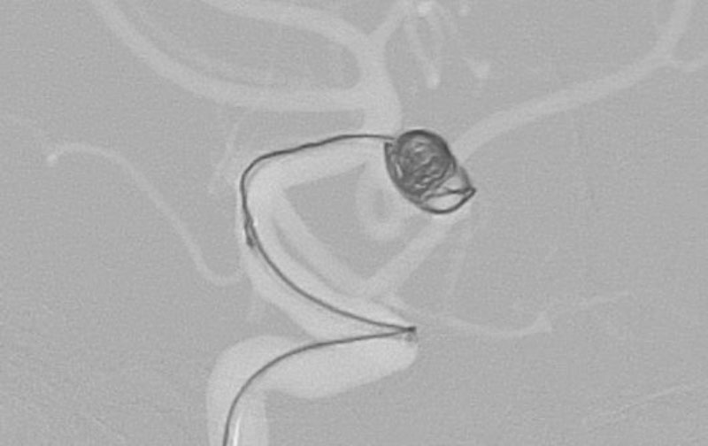
No.1630 手術前
No.1630 手術前
No.1630 手術中
No.1630 手術中
No.1630 手術後
No.1630 手術後
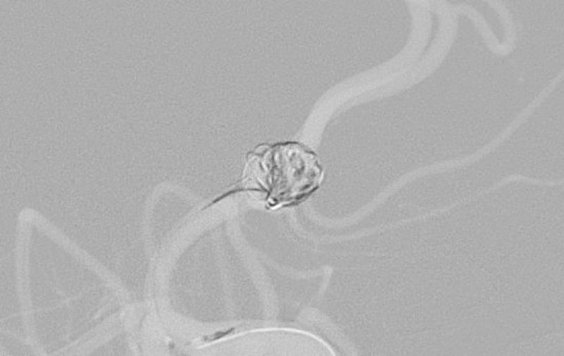
 '26年4月
左椎骨動脈後下小脳動脈分岐部動脈瘤
70代
院内外来
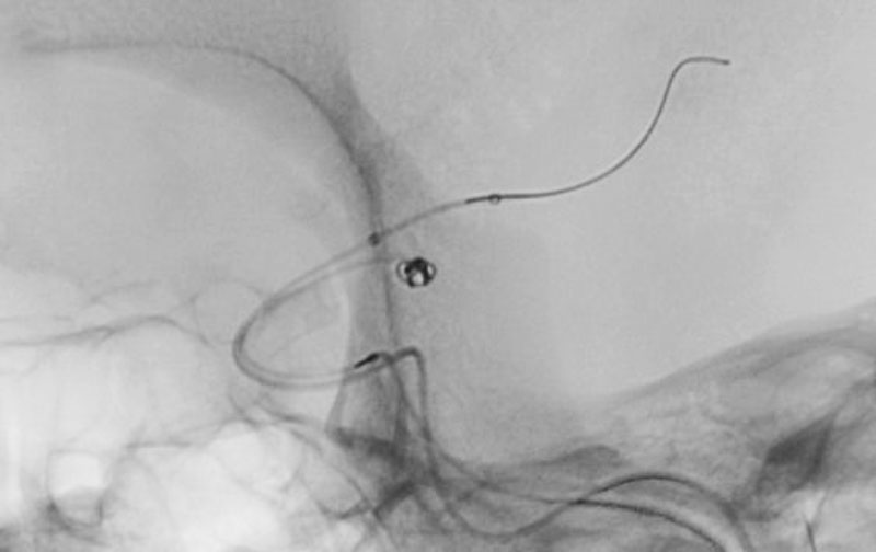
No.1628 手術前
No.1628 手術前
No.1628 手術中
No.1628 手術中
No.1628 手術後
No.1628 手術後
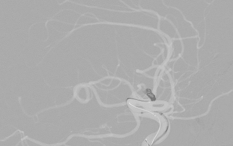
 '26年4月
前交通動脈瘤
50代
大阪府の病院
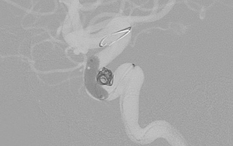
No.1627 手術前
No.1627 手術前
No.1627 手術中
No.1627 手術中
No.1627 手術後
No.1627 手術後
 '26年4月
くも膜下出血
右内頚動脈瘤破裂
30代
救急外来
No.1626 手術前
No.1626 手術前
No.1626 手術中
No.1626 手術中
No.1626 手術後
No.1626 手術後
 '26年4月
右内頚動脈脳動脈瘤
50代
院内外来
No.1625 手術前
No.1625 手術前
No.1625 手術中
No.1625 手術中
No.1625 手術後
No.1625 手術後
 '26年3月
右内頚動脈前脈絡叢動脈分岐部動脈瘤
30代
大阪府の病院
No.1624 手術前
No.1624 手術前
No.1624 手術中
No.1624 手術中
No.1624 手術後
No.1624 手術後
 '26年3月
くも膜下出血
内頚動脈後交通動脈分岐部動脈瘤破裂
50代
救急外来
No.1623 手術前
No.1623 手術前
No.1623 手術中
No.1623 手術中
No.1623 手術後
No.1623 手術後
 '26年3月
くも膜下出血
前交通動脈瘤破裂
80代
大阪府の病院
No.1622 手術前
No.1622 手術前
No.1622 手術中
No.1622 手術中
No.1622 手術後
No.1622 手術後
 '26年3月
左椎骨動脈瘤
60代
院内外来
No.1621 手術前
No.1621 手術前
No.1621 手術中
No.1621 手術中
No.1621 手術後
No.1621 手術後
 '26年3月
くも膜下出血
右内頚動脈後交通動脈分岐部動脈瘤破裂
70代
救急外来
No.1618 手術前
No.1618 手術前
No.1618 手術中
No.1618 手術中
No.1618 手術後
No.1618 手術後
 '26年3月
脳底動脈瘤
70代
大阪府の病院
No.1617 手術前
No.1617 手術前
No.1617 手術中
No.1617 手術中
No.1617 手術後
No.1617 手術後
 '26年2月
右内頚動脈脳動脈瘤
80代
大阪府の病院
No.1616 手術前
No.1616 手術前
No.1616 手術中
No.1616 手術中
No.1616 手術後
No.1616 手術後
 '26年2月
右内頚動脈脳動脈瘤
60代
大阪府の病院
No.1614 手術前
No.1614 手術前
No.1614 手術中
No.1614 手術中
No.1614 手術後
No.1614 手術後
 '26年2月
脳底動脈瘤
50代
当院外来
No.1613 手術前
No.1613 手術前
No.1613 手術中
No.1613 手術中
No.1613 手術後
No.1613 手術後
 '26年2月
くも膜下出血
右内頚動脈後交通動脈分岐部動脈瘤破裂
50代
救急外来
No.1612 手術前
No.1612 手術前
No.1612 手術中
No.1612 手術中
No.1612 手術後
No.1612 手術後
 '26年2月
右内頚動脈脳動脈瘤
50代
当院外来
No.1611 手術前
No.1611 手術前
No.1611 手術中
No.1611 手術中
No.1611 手術後
No.1611 手術後
 '26年1月
右内頚動脈脳動脈瘤
70代
大阪府の病院
No.1610 手術前
No.1610 手術前
No.1610 手術中
No.1610 手術中
No.1610 手術後
No.1610 手術後
 '26年1月
右内頚動脈後交通動脈
分岐部動脈瘤
50代
当院外来
No.1609 手術前
No.1609 手術前
No.1609 手術中
No.1609 手術中
No.1609 手術後
No.1609 手術後
 '26年1月
くも膜下出血
前交通動脈瘤破裂
50代
救急外来
No.1608 手術前
No.1608 手術前
No.1608 手術中
No.1608 手術中
No.1608 手術後
No.1608 手術後
 '26年1月
前交通動脈瘤
50代
大阪府の病院
No.1606 手術前
No.1606 手術前
No.1606 手術中
No.1606 手術中
No.1606 手術後
No.1606 手術後
 '25年12月
左内頚動脈脳動脈瘤
50代
院内外来
No.1604 手術前
No.1604 手術前
No.1604 手術中
No.1604 手術中
No.1604 手術後
No.1604 手術後
 '25年12月
くも膜下出血
右内頚動脈後交通動脈
分岐部動脈瘤破裂
40代
救急外来
No.1603 手術前
No.1603 手術前
No.1603 手術中
No.1603 手術中
No.1603 手術後
No.1603 手術後
 '25年12月
左中大脳動脈瘤
60代
大阪府の病院
No.1602 手術前
No.1602 手術前
No.1602 手術中
No.1602 手術中
No.1602 手術後
No.1602 手術後
 '25年12月
くも膜下出血
脳底動脈瘤破裂
40代
救急外来
No.1600 手術前
No.1600 手術前
No.1600 手術中
No.1600 手術中
No.1600 手術後
No.1600 手術後
 '25年11月
くも膜下出血
右内頚動脈後交通動脈
分岐部動脈瘤破裂
50代
大阪府の病院
No.1599 手術前
No.1599 手術前
No.1599 手術中
No.1599 手術中
No.1599 手術後
No.1599 手術後
 '25年11月
くも膜下出血
右中大脳動脈瘤破裂
50代
救急外来
No.1597 手術前
No.1597 手術前
No.1597 手術中
No.1597 手術中
No.1597 手術後
No.1597 手術後
 '25年11月
くも膜下出血
左中大脳動脈瘤破裂
40代
救急外来
No.1596 手術前
No.1596 手術前
No.1596 手術中
No.1596 手術中
No.1596 手術後
No.1596 手術後
 '25年11月
左内頚動脈脳動脈瘤
60代
大阪府の病院
No.1595 手術前
No.1595 手術前
No.1595 手術中
No.1595 手術中
No.1595 手術後
No.1595 手術後
 '25年11月
くも膜下出血
右内頚動脈後交通動脈
分岐部動脈瘤破裂
60代
救急外来
No.1593 手術前
No.1593 手術前
No.1593 手術中
No.1593 手術中
No.1593 手術後
No.1593 手術後
 '25年10月
くも膜下出血
右内頚動脈脳動脈瘤破裂
40代
救急外来
No.1592 手術前
No.1592 手術前
No.1592 手術中
No.1592 手術中
No.1592 手術後
No.1592 手術後
 '25年10月
くも膜下出血
前交通動脈瘤破裂
40代
大阪府の病院
No.1589 手術前
No.1589 手術前
No.1589 手術中
No.1589 手術中
No.1589 手術後
No.1589 手術後
 '25年10月
くも膜下出血
前交通動脈瘤破裂
60代
救急外来
No.1588 手術前
No.1588 手術前
No.1588 手術中
No.1588 手術中
No.1588 手術後
No.1588 手術後
 '25年10月
くも膜下出血
右前交通動脈瘤破裂
60代
救急外来
No.1587 手術前
No.1587 手術前
No.1587 手術中
No.1587 手術中
No.1587 手術後
No.1587 手術後
 '25年9月
右内頚動脈後交通動脈
分岐部動脈瘤
70代
院内外来
No.1582 手術前
No.1582 手術前
No.1582 手術中
No.1582 手術中
No.1582 手術後
No.1582 手術後
 '25年9月
くも膜下出血
前交通動脈瘤破裂
70代
救急外来
No.1580 手術前
No.1580 手術前
No.1580 手術中
No.1580 手術中
No.1580 手術後
No.1580 手術後
 '25年9月
くも膜下出血
内頚動脈後交通動脈
分岐部動脈瘤破裂
50代
救急外来
No.1579 手術前
No.1579 手術前
No.1579 手術中
No.1579 手術中
No.1579 手術後
No.1579 手術後
 '25年9月
左脳底動脈上小脳動脈
分岐部動脈瘤
60代
大阪府の病院
No.1575 手術前
No.1575 手術前
No.1575 手術中
No.1575 手術中
No.1575 手術後
No.1575 手術後
 '25年9月
くも膜下出血
左内頚動脈後交通動脈
分岐部動脈瘤破裂
50代
救急外来
No.1574 手術前
No.1574 手術前
No.1574 手術中
No.1574 手術中
No.1574 手術後
No.1574 手術後
 '25年8月
前交通動脈瘤
70代
大阪府の病院
No.1573 手術前
No.1573 手術前
No.1573 手術中
No.1573 手術中
No.1573 手術後
No.1573 手術後
 '25年8月
右内頚動脈脳動脈瘤
70代
院内外来
No.1569 手術前
No.1569 手術前
No.1569 手術中
No.1569 手術中
No.1569 手術後
No.1569 手術後
 '25年7月
くも膜下出血
前交通動脈瘤破裂
50代
救急外来
No.1567 手術前
No.1567 手術前
No.1567 手術中
No.1567 手術中
No.1567 手術後
No.1567 手術後
 '25年7月
右中大脳動脈瘤
50代
埼玉県の病院
No.1566 手術前
No.1566 手術前
No.1566 手術中
No.1566 手術中
No.1566 手術後
No.1566 手術後
 '25年7月
左前大脳動脈瘤
50代
埼玉県の病院
No.1565 手術前
No.1565 手術前
No.1565 手術中
No.1565 手術中
No.1565 手術後
No.1565 手術後
 '25年7月
左内頚動脈後交通動脈
分岐部動脈瘤
50代
大阪府の病院
No.1562 手術前
No.1562 手術前
No.1562 手術中
No.1562 手術中
No.1562 手術後
No.1562 手術後
 '25年7月
左内頚動脈脳動脈瘤
60代
大阪府の病院
No.1560 手術前
No.1560 手術前
No.1560 手術中
No.1560 手術中
No.1560 手術後
No.1560 手術後
 '25年6月
右内頚動脈脳動脈瘤
30代
大阪府の病院
No.1556 手術前
No.1556 手術前
No.1556 手術中
No.1556 手術中
No.1556 手術後
No.1556 手術後
 '25年6月
前交通動脈瘤
70代
院内外来
No.1554 手術前
No.1554 手術前
No.1554 手術中
No.1554 手術中
No.1554 手術後
No.1554 手術後
 '25年6月
左内頚動脈眼動脈
分岐部動脈瘤
30代
大阪府の病院
No.1553 手術前
No.1553 手術前
No.1553 手術中
No.1553 手術中
No.1553 手術後
No.1553 手術後
 '25年5月
右内頚動脈脳動脈瘤
40代
大阪府の病院
No.1551 手術前
No.1551 手術前
No.1551 手術中
No.1551 手術中
No.1551 手術後
No.1551 手術後
 '25年5月
前交通動脈瘤
80代
院内外来
No.1550 手術前
No.1550 手術前
No.1550 手術中
No.1550 手術中
No.1550 手術後
No.1550 手術後
 '25年5月
くも膜下出血
右内頚動脈後交通動脈
分岐部動脈瘤破裂
40代
救急外来
No.1547 手術前
No.1547 手術前
No.1547 手術中
No.1547 手術中
No.1547 手術後
No.1547 手術後
 '25年4月
左内頚動脈後交通動脈
分岐部動脈瘤
70代
大阪府の病院
No.1546 手術前
No.1546 手術前
No.1546 手術中
No.1546 手術中
No.1546 手術後
No.1546 手術後
 '25年3月
くも膜下出血
内頚動脈後交通動脈
分岐部動脈瘤破裂
30代
救急外来
No.1542 手術前
No.1542 手術前
No.1542 手術中
No.1542 手術中
No.1542 手術後
No.1542 手術後
 '25年3月
くも膜下出血
前交通動脈瘤破裂
50代
大阪府の病院
No.1541 手術前
No.1541 手術前
No.1541 手術中
No.1541 手術中
No.1541 手術後
No.1541 手術後
 '25年3月
前交通動脈瘤
50代
院内外来
No.1538 手術前
No.1538 手術前
No.1538 手術中
No.1538 手術中
No.1538 手術後
No.1538 手術後
 '25年2月
前交通動脈瘤
80代
大阪府の病院
No.1537 手術前
No.1537 手術前
No.1537 手術中
No.1537 手術中
No.1537 手術後
No.1537 手術後
 '25年2月
くも膜下出血
右内頚動脈脳動脈瘤破裂
40代
救急外来
No.1536 手術前
No.1536 手術前
No.1536 手術中
No.1536 手術中
No.1536 手術後
No.1536 手術後
 '25年2月
前交通動脈瘤
50代
大阪府の病院
No.1535 手術前
No.1535 手術前
No.1535 手術中
No.1535 手術中
No.1535 手術後
No.1535 手術後
 '25年2月
くも膜下出血
前交通動脈瘤破裂
50代
救急外来
No.1532 手術前
No.1532 手術前
No.1532 手術中
No.1532 手術中
No.1532 手術後
No.1532 手術後
 '25年1月
右内頚動脈脳動脈瘤
40代
大阪府の病院
No.1530 手術前
No.1530 手術前
No.1530 手術中
No.1530 手術中
No.1530 手術後
No.1530 手術後
 '25年1月
右内頚動脈後交通動脈
分岐部動脈瘤
50代
大阪府の病院
No.1528 手術前
No.1528 手術前
No.1528 手術中
No.1528 手術中
No.1528 手術後
No.1528 手術後
 '25年1月
くも膜下出血
前交通動脈瘤破裂
40代
大阪府の病院
No.1527 手術前
No.1527 手術前
No.1527 手術中
No.1527 手術中
No.1527 手術後
No.1527 手術後
 '24年12月
くも膜下出血
前交通動脈瘤破裂
50代
救急外来
No.1523 手術前
No.1523 手術前
No.1523 手術中
No.1523 手術中
No.1523 手術後
No.1523 手術後
 '24年12月
右解離性椎骨動脈瘤
50代
大阪府の病院
No.1520 手術前
No.1520 手術前
No.1520 手術中
No.1520 手術中
No.1520 手術後
No.1520 手術後
 '24年11月
右中大脳動脈瘤
70代
大阪府の病院
No.1518 手術前
No.1518 手術前
No.1518 手術中
No.1518 手術中
No.1518 手術後
No.1518 手術後
 '24年11月
右内頚動脈後交通動脈
分岐部動脈瘤
50代
院内外来
No.1516 手術前
No.1516 手術前
No.1516 手術中
No.1516 手術中
No.1516 手術後
No.1516 手術後
 '24年10月
右内頚動脈眼動脈
分岐部動脈瘤
50代
院内外来
No.1513 手術前
No.1513 手術前
No.1513 手術中
No.1513 手術中
No.1513 手術後
No.1513 手術後
 '24年10月
前交通動脈瘤
60代
大阪府の病院
No.1512 手術前
No.1512 手術前
No.1512 手術中
No.1512 手術中
No.1512 手術後
No.1512 手術後
 '24年10月
左中大脳動脈
50代
院内外来
No.1510 手術前
No.1510 手術前
No.1510 手術中
No.1510 手術中
No.1510 手術後
No.1510 手術後
 '24年10月
くも膜下出血
左内頚動脈後交通動脈
分岐部動脈瘤破裂
70代
救急外来
No.1509 手術前
No.1509 手術前
No.1509 手術中
No.1509 手術中
No.1509 手術後
No.1509 手術後
 '24年10月
左内頚動脈後交通動脈
分岐部動脈瘤
50代
大阪府の病院
No.1508 手術前
No.1508 手術前
No.1508 手術中
No.1508 手術中
No.1508 手術後
No.1508 手術後
 '24年10月
くも膜下出血
脳底動脈瘤破裂
70代
救急外来
No.1507 手術前
No.1507 手術前
No.1507 手術中
No.1507 手術中
No.1507 手術後
No.1507 手術後
 '24年9月
前交通動脈瘤
50代
大阪府の病院
No.1506 手術前
No.1506 手術前
No.1506 手術中
No.1506 手術中
No.1506 手術後
No.1506 手術後
 '24年9月
右椎骨動脈後下小脳動脈
分岐部動脈瘤
50代
大阪府の病院
No.1505 手術前
No.1505 手術前
No.1505 手術中
No.1505 手術中
No.1505 手術後
No.1505 手術後
 '24年9月
右内頚動脈前脈叢動脈
分岐部動脈瘤
40代
兵庫県の病院
No.1503 手術前
No.1503 手術前
No.1503 手術中
No.1503 手術中
No.1503 手術後
No.1503 手術後
 '24年9月
前交通動脈瘤
50代
大阪府の病院
No.1501 手術前
No.1501 手術前
No.1501 手術中
No.1501 手術中
No.1501 手術後
No.1501 手術後
 '24年9月
右内頚動脈脳動脈瘤
50代
大阪府の病院
No.1498 手術前
No.1498 手術前
No.1498 手術中
No.1498 手術中
No.1498 手術後
No.1498 手術後
 '24年9月
左中大脳動脈瘤
50代
院内外来
No.1497 手術前
No.1497 手術前
No.1497 手術中
No.1497 手術中
No.1497 手術後
No.1497 手術後
 '24年8月
左内頚動脈脳動脈瘤
60代
大阪府の病院
No.1496 手術前
No.1496 手術前
No.1496 手術中
No.1496 手術中
No.1496 手術後
No.1496 手術後
 '24年8月
前交通動脈瘤
70代
大阪府の病院
No.1492 手術前
No.1492 手術前
No.1492 手術中
No.1492 手術中
No.1492 手術後
No.1492 手術後
 '24年8月
右前大脳動脈瘤
60代
大阪府の病院
No.1491 手術前
No.1491 手術前
No.1491 手術中
No.1491 手術中
No.1491 手術後
No.1491 手術後
 '24年8月
くも膜下出血
右内頚動脈脳動脈瘤破裂
50代
大阪府の病院
No.1488 手術前
No.1488 手術前
No.1488 手術中
No.1488 手術中
No.1488 手術後
No.1488 手術後
 '24年7月
右前大脳動脈瘤
50代
院内外来
No.1485 手術前
No.1485 手術前
No.1485 手術中
No.1485 手術中
No.1485 手術後
No.1485 手術後
 '24年7月
前交通動脈瘤
50代
大阪府の病院
No.1484 手術前
No.1484 手術前
No.1484 手術中
No.1484 手術中
No.1484 手術後
No.1484 手術後
 '24年7月
左内頚動脈脳動脈瘤
50代
大阪府の病院
No.1483 手術前
No.1483 手術前
No.1483 手術中
No.1483 手術中
No.1483 手術後
No.1483 手術後
 '24年7月
くも膜下出血
前交通動脈瘤破裂
40代
救急外来
No.1480 手術前
No.1480 手術前
No.1480 手術中
No.1480 手術中
No.1480 手術後
No.1480 手術後
 '24年7月
脳底動脈瘤
50代
大阪府の病院
No.1479 手術前
No.1479 手術前
No.1479 手術中
No.1479 手術中
No.1479 手術後
No.1479 手術後
 '24年6月
脳底動脈前下小脳動脈瘤
70代
大阪府の病院
No.1478 手術前
No.1478 手術前
No.1478 手術中
No.1478 手術中
No.1478 手術後
No.1478 手術後
 '24年6月
左頚部内頚動脈瘤
70代
院内外来
No.1475 手術前
No.1475 手術前
No.1475 手術中
No.1475 手術中
No.1475 手術後
No.1475 手術後
 '24年6月
左内頚動脈脳動脈瘤
50代
大阪府の病院
No.1474 手術前
No.1474 手術前
No.1474 手術中
No.1474 手術中
No.1474 手術後
No.1474 手術後
 '24年5月
くも膜下出血
右内頚動脈脳動脈瘤破裂
40代
救急外来
No.1473 手術前
No.1473 手術前
No.1473 手術中
No.1473 手術中
No.1473 手術後
No.1473 手術後
 '24年5月
くも膜下出血
解離性脳底動脈瘤破裂
50代
大阪府の病院
No.1470 手術前
No.1470 手術前
No.1470 手術中
No.1470 手術中
No.1470 手術後
No.1470 手術後
 '24年5月
右中大脳動脈瘤
70代
大阪府の病院
No.1468 手術前
No.1468 手術前
No.1468 手術中
No.1468 手術中
No.1468 手術後
No.1468 手術後
 '24年5月
左中大脳動脈瘤
70代
院内外来
No.1465 手術前
No.1465 手術前
No.1465 手術中
No.1465 手術中
No.1465 手術後
No.1465 手術後
 '24年4月
くも膜下出血
前交通動脈瘤破裂
80代
救急外来
No.1464 手術前
No.1464 手術前
No.1464 手術中
No.1464 手術中
No.1464 手術後
No.1464 手術後
 '24年4月
前交通動脈瘤
60代
院内外来
No.1462 手術前
No.1462 手術前
No.1462 手術中
No.1462 手術中
No.1462 手術後
No.1462 手術後
 '24年4月
くも膜下出血
前交通動脈瘤破裂
30代
救急外来
No.1460 手術前
No.1460 手術前
No.1460 手術中
No.1460 手術中
No.1460 手術後
No.1460 手術後
 '24年3月
右内頚動脈後交通動脈
分岐部動脈瘤
80代
大阪府の病院
No.1456 手術前
No.1456 手術前
No.1456 手術中
No.1456 手術中
No.1456 手術後
No.1456 手術後
 '24年3月
くも膜下出血
上小脳動脈瘤破裂
50代
救急外来
No.1455 手術前
No.1455 手術前
No.1455 手術中
No.1455 手術中
No.1455 手術後
No.1455 手術後
 '24年3月
右内頚動脈後交通動脈
分岐部動脈瘤
80代
院内外来
No.1451 手術前
No.1451 手術前
No.1451 手術中
No.1451 手術中
No.1451 手術後
No.1451 手術後
 '24年3月
くも膜下出血
前大脳動脈瘤破裂
80代
救急外来
No.1450 手術前
No.1450 手術前
No.1450 手術中
No.1450 手術中
No.1450 手術後
No.1450 手術後
 '24年3月
くも膜下出血
前交通動脈瘤破裂
10代
救急外来
No.1449 手術前
No.1449 手術前
No.1449 手術中
No.1449 手術中
No.1449 手術後
No.1449 手術後
 '24年3月
くも膜下出血
左内頚動脈後交通動脈
分岐部動脈瘤破裂
60代
救急外来
No.1447 手術前
No.1447 手術前
No.1447 手術中
No.1447 手術中
No.1447 手術後
No.1447 手術後
 '24年2月
中大脳動脈閉塞症
50代
救急外来
No.1446 手術前
No.1446 手術前
No.1446 手術中
No.1446 手術中
No.1446 手術後
No.1446 手術後
 '24年2月
左内頚動脈後交通動脈
分岐部動脈瘤
70代
大阪府の病院
No.1445 手術前
No.1445 手術前
No.1445 手術中
No.1445 手術中
No.1445 手術後
No.1445 手術後
 '24年2月
左前大脳動脈解離性脳動脈瘤
50代
院内外来
No.1444 手術前
No.1444 手術前
No.1444 手術中
No.1444 手術中
No.1444 手術後
No.1444 手術後
 '24年2月
くも膜下出血
右内頚動脈後交通動脈
分岐部動脈瘤破裂
50代
救急外来
No.1439 手術前
No.1439 手術前
No.1439 手術中
No.1439 手術中
No.1439 手術後
No.1439 手術後
 '24年1月
前交通動脈瘤
70代
大阪府の病院
No.1438 手術前
No.1438 手術前
No.1438 手術中
No.1438 手術中
No.1438 手術後
No.1438 手術後
 '24年1月
くも膜下出血
前交通動脈瘤破裂
50代
救急外来
No.1437 手術前
No.1437 手術前
No.1437 手術中
No.1437 手術中
No.1437 手術後
No.1437 手術後
 '23年12月
前交通動脈瘤
60代
三重県の病院
No.1433 手術前
No.1433 手術前
No.1433 手術中
No.1433 手術中
No.1433 手術後
No.1433 手術後
 '23年11月
右内頚動脈後交通動脈
分岐部動脈瘤
50代
大阪府の病院
No.1429 手術前
No.1429 手術前
No.1429 手術中
No.1429 手術中
No.1429 手術後
No.1429 手術後
 '23年11月
くも膜下出血
前交通動脈瘤破裂
60代
救急外来
No.1427 手術前
No.1427 手術前
No.1427 手術中
No.1427 手術中
No.1427 手術後
No.1427 手術後
 '23年10月
くも膜下出血
左中大脳動脈瘤破裂
20代
院内外来
No.1424 手術前
No.1424 手術前
No.1424 手術中
No.1424 手術中
No.1424 手術後
No.1424 手術後
 '23年10月
脳底動脈瘤
50代
北海道の病院
No.1423 手術前
No.1423 手術前
No.1423 手術中
No.1423 手術中
No.1423 手術後
No.1423 手術後
 '23年10月
前交通動脈瘤
70代
大阪府の病院
No.1422 手術前
No.1422 手術前
No.1422 手術中
No.1422 手術中
No.1422 手術後
No.1422 手術後
 '23年10月
くも膜下出血
左内頚動脈後交通動脈
分岐部動脈瘤破裂
50代
救急外来
No.1418 手術前
No.1418 手術前
No.1418 手術中
No.1418 手術中
No.1418 手術後
No.1418 手術後
 '23年9月
くも膜下出血
前交通動脈瘤破裂
60代
大阪府の病院
No.1416 手術前
No.1416 手術前
No.1416 手術中
No.1416 手術中
No.1416 手術後
No.1416 手術後
 '23年9月
右内頚動脈脳動脈瘤
60代
院内外来
No.1412 手術前
No.1412 手術前
No.1412 手術中
No.1412 手術中
No.1412 手術後
No.1412 手術後
 '23年9月
脳底動脈瘤
70代
大阪府の病院
No.1411 手術前
No.1411 手術前
No.1411 手術中
No.1411 手術中
No.1411 手術後
No.1411 手術後
 '23年9月
左内頚動脈脳動脈瘤
60代
大阪府の病院
No.1409 手術前
No.1409 手術前
No.1409 手術中
No.1409 手術中
No.1409 手術後
No.1409 手術後
 '23年8月
左内頚動脈後交通動脈
分岐部動脈瘤
70代
奈良県の病院
No.1405 手術前
No.1405 手術前
No.1405 手術中
No.1405 手術中
No.1405 手術後
No.1405 手術後
 '23年8月
左内頚動脈後交通動脈
分岐部動脈瘤
40代
院内外来
No.1403 手術前
No.1403 手術前
No.1403 手術中
No.1403 手術中
No.1403 手術後
No.1403 手術後
 '23年7月
くも膜下出血
前交通動脈瘤破裂
50代
院内外来
No.1397 手術前
No.1397 手術前
No.1397 手術中
No.1397 手術中
No.1397 手術後
No.1397 手術後
 '23年7月
くも膜下出血
右内頚動脈後交通動脈
分岐部動脈瘤破裂
50代
救急外来
No.1394 手術前
No.1394 手術前
No.1394 手術中
No.1394 手術中
No.1394 手術後
No.1394 手術後
 '23年5月
左内頚動脈脳動脈瘤
30代
兵庫県の病院
No.1384 手術前
No.1384 手術前
No.1384 手術中
No.1384 手術中
No.1384 手術後
No.1384 手術後
 '23年5月
くも膜下出血
右内頚動脈後交通動脈
分岐部動脈瘤破裂
40代
救急外来
No.1383 手術前
No.1383 手術前
No.1383 手術中
No.1383 手術中
No.1383 手術後
No.1383 手術後
 '23年5月
右内頚動脈脳動脈瘤
50代
東京都の病院
No.1382 手術前
No.1382 手術前
No.1382 手術中
No.1382 手術中
No.1382 手術後
No.1382 手術後
 '23年5月
脳底動脈瘤
50代
大阪府の病院
No.1380 手術前
No.1380 手術前
No.1380 手術中
No.1380 手術中
No.1380 手術後
No.1380 手術後
 '23年5月
前交通動脈瘤
60代
大阪府の病院
No.1378 手術前
No.1378 手術前
No.1378 手術中
No.1378 手術中
No.1378 手術後
No.1378 手術後
 '23年5月
前交通動脈瘤
60代
大阪府の病院
No.1376 手術前
No.1376 手術前
No.1376 手術中
No.1376 手術中
No.1376 手術後
No.1376 手術後
 '23年5月
左内頚動脈脳動脈瘤
70代
大阪府の病院
No.1375 手術前
No.1375 手術前
No.1375 手術中
No.1375 手術中
No.1375 手術後
No.1375 手術後
 '23年5月
左内頚動脈後交通動脈
分岐部動脈瘤
40代
和歌山県の病院
No.1374 手術前
No.1374 手術前
No.1374 手術中
No.1374 手術中
No.1374 手術後
No.1374 手術後
 '23年4月
左後大脳動脈瘤
40代
院内外来
No.1370 手術前
No.1370 手術前
No.1370 手術中
No.1370 手術中
No.1370 手術後
No.1370 手術後
 '23年4月
左中大脳動脈解離性脳動脈瘤
40代
院内外来
No.1368 手術前
No.1368 手術前
No.1368 手術中
No.1368 手術中
No.1368 手術後
No.1368 手術後
 '23年3月
左内頚動脈脳動脈瘤
40代
大阪府の病院
No.1366 手術前
No.1366 手術前
No.1366 手術中
No.1366 手術中
No.1366 手術後
No.1366 手術後
 '23年3月
くも膜下出血
右内頚動脈脳動脈瘤破裂
50代
救急外来
No.1365 手術前
No.1365 手術前
No.1365 手術中
No.1365 手術中
No.1365 手術後
No.1365 手術後
 '23年3月
脳底動脈瘤
70代
大阪府の病院
No.1360 手術前
No.1360 手術前
No.1360 手術中
No.1360 手術中
No.1360 手術後
No.1360 手術後
 '23年3月
右内頚動脈脳動脈瘤
60代
院内外来
No.1359 手術前
No.1359 手術前
No.1359 手術中
No.1359 手術中
No.1359 手術後
No.1359 手術後
 '23年3月
くも膜下出血
前交通動脈瘤破裂
40代
救急外来
No.1356 手術前
No.1356 手術前
No.1356 手術中
No.1356 手術中
No.1356 手術後
No.1356 手術後
 '23年3月
右内頚動脈後交通動脈
分岐部動脈瘤
60代
大阪府の病院
No.1355 手術前
No.1355 手術前
No.1355 手術中
No.1355 手術中
No.1355 手術後
No.1355 手術後
 '23年2月
左内頚動脈脳動脈瘤
40代
兵庫県の病院
No.1351 手術前
No.1351 手術前
No.1351 手術中
No.1351 手術中
No.1351 手術後
No.1351 手術後
 '23年2月
くも膜下出血
右内頚動脈後交通動脈
分岐部動脈瘤破裂
60代
救急外来
No.1349 手術前
No.1349 手術前
No.1349 手術中
No.1349 手術中
No.1349 手術後
No.1349 手術後
 '23年2月
右内頚動脈脳動脈瘤
50代
兵庫県の病院
No.1347 手術前
No.1347 手術前
No.1347 手術中
No.1347 手術中
No.1347 手術後
No.1347 手術後
 '23年2月
右内頚動脈脳動脈瘤
50代
大阪府の病院
No.1345 手術前
No.1345 手術前
No.1345 手術中
No.1345 手術中
No.1345 手術後
No.1345 手術後
 '23年2月
前大脳動脈解離性脳動脈瘤
40代
院内外来
No.1344 手術前
No.1344 手術前
No.1344 手術中
No.1344 手術中
No.1344 手術後
No.1344 手術後
 '23年2月
くも膜下出血
右内頚動脈後交通動脈
分岐部動脈瘤破裂
60代
救急外来
No.1343 手術前
No.1343 手術前
No.1343 手術中
No.1343 手術中
No.1343 手術後
No.1343 手術後
 '23年2月
くも膜下出血
右内頚動脈後交通動脈
分岐部動脈瘤破裂
40代
救急外来
No.1339 手術前
No.1339 手術前
No.1339 手術中
No.1339 手術中
No.1339 手術後
No.1339 手術後
 '23年2月
くも膜下出血
右前大脳動脈瘤破裂
60代
救急外来
No.1336 手術前
No.1336 手術前
No.1336 手術中
No.1336 手術中
No.1336 手術後
No.1336 手術後
 '23年1月
前交通動脈瘤
80代
院内外来
No.1334 手術前
No.1334 手術前
No.1334 手術中
No.1334 手術中
No.1334 手術後
No.1334 手術後
 '23年1月
くも膜下出血
前交通動脈瘤破裂
30代
救急外来
No.1332 手術前
No.1332 手術前
No.1332 手術中
No.1332 手術中
No.1332 手術後
No.1332 手術後
 '23年1月
くも膜下出血
脳底動脈瘤破裂
70代
救急外来
No.1330 手術前
No.1330 手術前
No.1330 手術中
No.1330 手術中
No.1330 手術後
No.1330 手術後
 '23年1月
前交通動脈瘤
60代
大阪府の病院
No.1329 手術前
No.1329 手術前
No.1329 手術中
No.1329 手術中
No.1329 手術後
No.1329 手術後
 '23年1月
左内頚動脈後交通動脈
分岐部動脈瘤
50代
大阪府の病院
No.1327 手術前
No.1327 手術前
No.1327 手術中
No.1327 手術中
No.1327 手術後
No.1327 手術後
 '23年1月
くも膜下出血
脳底動脈瘤破裂
50代
救急外来
No.1326 手術前
No.1326 手術前
No.1326 手術中
No.1326 手術中
No.1326 手術後
No.1326 手術後
 '23年1月
左内頚動脈脳動脈瘤
80代
大阪府の病院
No.1325 手術前
No.1325 手術前
No.1325 手術中
No.1325 手術中
No.1325 手術後
No.1325 手術後
 '22年12月
左内頚動脈後交通動脈
分岐部動脈瘤
80代
院内外来
No.1322 手術前
No.1322 手術前
No.1322 手術中
No.1322 手術中
No.1322 手術後
No.1322 手術後
 '22年11月
右内頚動脈脳動脈瘤
30代
大阪府の病院
No.1308 手術前
No.1308 手術前
No.1308 手術中
No.1308 手術中
No.1308 手術後
No.1308 手術後
 '22年11月
右内頚動脈脳動脈瘤
50代
大阪府の病院
No.1305 手術前
No.1305 手術前
No.1305 手術中
No.1305 手術中
No.1305 手術後
No.1305 手術後
 '22年10月
くも膜下出血
右内頚動脈後交通動脈
分岐部動脈瘤破裂
40代
大阪府の病院
No.1300 手術前
No.1300 手術前
No.1300 手術中
No.1300 手術中
No.1300 手術後
No.1300 手術後
 '70年1月
くも膜下出血
右内頚動脈後交通動脈
分岐部動脈瘤破裂
30代
救急外来
No.1299 手術前
No.1299 手術前
No.1299 手術中
No.1299 手術中
No.1299 手術後
No.1299 手術後
 '22年10月
右内頚動脈脳動脈瘤
70代
大阪府の病院
No.1298 手術前
No.1298 手術前
No.1298 手術中
No.1298 手術中
No.1298 手術後
No.1298 手術後
 '22年10月
前交通動脈瘤
70代
大阪府の病院
No.1295 手術前
No.1295 手術前
No.1295 手術中
No.1295 手術中
No.1295 手術後
No.1295 手術後
 '22年10月
脳底動脈瘤
70代
大阪府の病院
No.1291 手術前
No.1291 手術前
No.1291 手術中
No.1291 手術中
No.1291 手術後
No.1291 手術後
 '22年10月
くも膜下出血
左内頚動脈脳動脈瘤破裂
40代
救急外来
No.1290 手術前
No.1290 手術前
No.1290 手術中
No.1290 手術中
No.1290 手術後
No.1290 手術後
 '22年10月
前交通動脈瘤
70代
大阪府の病院
No.1285 手術前
No.1285 手術前
No.1285 手術中
No.1285 手術中
No.1285 手術後
No.1285 手術後
 '22年10月
左内頚動脈脳動脈瘤
30代
京都府の病院
No.1284 手術前
No.1284 手術前
No.1284 手術中
No.1284 手術中
No.1284 手術後
No.1284 手術後
 '22年9月
右脳底動脈瘤
60代
院内外来
No.1281 手術前
No.1281 手術前
No.1281 手術中
No.1281 手術中
No.1281 手術後
No.1281 手術後
 '22年9月
左椎骨動脈瘤脳底動脈瘤
10代
大阪府の病院
No.1279 手術前
No.1279 手術前
No.1279 手術中
No.1279 手術中
No.1279 手術後
No.1279 手術後
 '22年9月
くも膜下出血
左内頚動脈後交通動脈
分岐部動脈瘤破裂
70代
救急外来
No.1278 手術前
No.1278 手術前
No.1278 手術中
No.1278 手術中
No.1278 手術後
No.1278 手術後
 '22年9月
右内頚動脈脳動脈瘤
70代
院内外来
No.1274 手術前
No.1274 手術前
No.1274 手術中
No.1274 手術中
No.1274 手術後
No.1274 手術後
 '22年8月
左内頚動脈脳動脈瘤
60代
院内外来
No.1271 手術前
No.1271 手術前
No.1271 手術中
No.1271 手術中
No.1271 手術後
No.1271 手術後
 '22年8月
左内頚動脈脳動脈瘤
50代
大阪府の病院
No.1270 手術前
No.1270 手術前
No.1270 手術中
No.1270 手術中
No.1270 手術後
No.1270 手術後
 '22年8月
前交通動脈瘤
70代
院内外来
No.1269 手術前
No.1269 手術前
No.1269 手術中
No.1269 手術中
No.1269 手術後
No.1269 手術後
 '22年8月
左内頚動脈脳動脈瘤
40代
大阪府の病院
No.1268 手術前
No.1268 手術前
No.1268 手術中
No.1268 手術中
No.1268 手術後
No.1268 手術後
 '22年8月
左椎骨動脈瘤
50代
救急外来
No.1267 手術前
No.1267 手術前
No.1267 手術中
No.1267 手術中
No.1267 手術後
No.1267 手術後
 '22年8月
左内頚動脈眼動脈
分岐部動脈瘤
40代
大阪府の病院
No.1266 手術前
No.1266 手術前
No.1266 手術中
No.1266 手術中
No.1266 手術後
No.1266 手術後
 '22年8月
右内頚動脈脳動脈瘤
40代
奈良県の病院
No.1265 手術前
No.1265 手術前
No.1265 手術中
No.1265 手術中
No.1265 手術後
No.1265 手術後
 '22年8月
右内頚動脈脳動脈瘤
40代
鹿児島県の病院
No.1264 手術前
No.1264 手術前
No.1264 手術中
No.1264 手術中
No.1264 手術後
No.1264 手術後
 '22年7月
くも膜下出血
前交通動脈瘤破裂
30代
院内外来
No.1261 手術前
No.1261 手術前
No.1261 手術中
No.1261 手術中
No.1261 手術後
No.1261 手術後
 '22年7月
左内頚動脈脳動脈瘤
40代
院内外来
No.1260 手術前
No.1260 手術前
No.1260 手術中
No.1260 手術中
No.1260 手術後
No.1260 手術後
 '22年7月
左内頚動脈後交通動脈
分岐部動脈瘤
70代
大阪府の病院
No.1259 手術前
No.1259 手術前
No.1259 手術中
No.1259 手術中
No.1259 手術後
No.1259 手術後
 '22年7月
右椎骨動脈後下小脳動脈
分岐部動脈瘤
80代
院内外来
No.1258 手術前
No.1258 手術前
No.1258 手術中
No.1258 手術中
No.1258 手術後
No.1258 手術後
 '22年7月
左内頚動脈脳動脈瘤
20代
兵庫県の病院
No.1257 手術前
No.1257 手術前
No.1257 手術中
No.1257 手術中
No.1257 手術後
No.1257 手術後
 '22年7月
右中大脳動脈瘤
70代
院内外来
No.1256 手術前
No.1256 手術前
No.1256 手術中
No.1256 手術中
No.1256 手術後
No.1256 手術後
 '22年7月
前交通動脈瘤
70代
院内外来
No.1255 手術前
No.1255 手術前
No.1255 手術中
No.1255 手術中
No.1255 手術後
No.1255 手術後
 '22年7月
左内頸動脈眼動脈
分岐部動脈瘤
70代
大阪府の病院
No.1253 手術前
No.1253 手術前
No.1253 手術中
No.1253 手術中
No.1253 手術後
No.1253 手術後
 '22年7月
前交通動脈瘤
60代
大阪府の病院
No.1251 手術前
No.1251 手術前
No.1251 手術中
No.1251 手術中
No.1251 手術後
No.1251 手術後
 '22年6月
右内頚動脈脳動脈瘤
70代
大阪府の病院
No.1247 手術前
No.1247 手術前
No.1247 手術中
No.1247 手術中
No.1247 手術後
No.1247 手術後
 '22年6月
左内頚動脈脳動脈瘤
50代
大阪府の病院
No.1245 手術前
No.1245 手術前
No.1245 手術中
No.1245 手術中
No.1245 手術後
No.1245 手術後
 '22年6月
右内頚動脈後交通動脈
分岐部動脈瘤
80代
大阪府の病院
No.1241 手術前
No.1241 手術前
No.1241 手術中
No.1241 手術中
No.1241 手術後
No.1241 手術後
 '22年6月
左内頚動脈後交通動脈
分岐部動脈瘤
30代
院内外来
No.1240 手術前
No.1240 手術前
No.1240 手術中
No.1240 手術中
No.1240 手術後
No.1240 手術後
 '22年6月
右後大脳動脈瘤
70代
院内外来
No.1238 手術前
No.1238 手術前
No.1238 手術中
No.1238 手術中
No.1238 手術後
No.1238 手術後
 '22年6月
右内頚動脈後交通動脈
分岐部動脈瘤
60代
院内外来
No.1237 手術前
No.1237 手術前
No.1237 手術中
No.1237 手術中
No.1237 手術後
No.1237 手術後
 '22年6月
左内頚動脈脳動脈瘤
30代
院内外来
No.1235 手術前
No.1235 手術前
No.1235 手術中
No.1235 手術中
No.1235 手術後
No.1235 手術後
 '22年6月
くも膜下出血
前交通動脈瘤破裂
60代
院内外来
No.1234 手術前
No.1234 手術前
No.1234 手術中
No.1234 手術中
No.1234 手術後
No.1234 手術後
 '22年6月
くも膜下出血
前交通動脈瘤破裂
60代
院内外来
No.1233 手術前
No.1233 手術前
No.1233 手術中
No.1233 手術中
No.1233 手術後
No.1233 手術後
 '22年5月
前交通動脈瘤
80代
院内外来
No.1229 手術前
No.1229 手術前
No.1229 手術中
No.1229 手術中
No.1229 手術後
No.1229 手術後
 '22年5月
左内頚動脈脳動脈瘤
40代
院内外来
No.1228 手術前
No.1228 手術前
No.1228 手術中
No.1228 手術中
No.1228 手術後
No.1228 手術後
 '22年5月
左内頚動脈後交通動脈
分岐部動脈瘤
50代
No.1226 手術前
No.1226 手術前
No.1226 手術中
No.1226 手術中
No.1226 手術後
No.1226 手術後
 '22年5月
くも膜下出血
脳底動脈瘤破裂
40代
救急外来
No.1224 手術前
No.1224 手術前
No.1224 手術中
No.1224 手術中
No.1224 手術後
No.1224 手術後
 '22年5月
右内頚動脈脳動脈瘤
80代
院内外来
No.1223 手術前
No.1223 手術前
No.1223 手術中
No.1223 手術中
No.1223 手術後
No.1223 手術後
 '22年4月
左中大脳動脈瘤
70代
院内外来
No.1220 手術前
No.1220 手術前
No.1220 手術中
No.1220 手術中
No.1220 手術後
No.1220 手術後
 '22年4月
右内頚動脈脳動脈瘤
70代
大阪府の病院
No.1219 手術前
No.1219 手術前
No.1219 手術中
No.1219 手術中
No.1219 手術後
No.1219 手術後
 '22年4月
右内頚動脈脳動脈瘤
40代
院内外来
No.1217 手術前
No.1217 手術前
No.1217 手術中
No.1217 手術中
No.1217 手術後
No.1217 手術後
 '22年4月
右内頚動脈脳動脈瘤
50代
院内外来
No.1216 手術前
No.1216 手術前
No.1216 手術中
No.1216 手術中
No.1216 手術後
No.1216 手術後
 '22年3月
右中大脳動脈瘤
70代
院内外来
No.1213 手術前
No.1213 手術前
No.1213 手術中
No.1213 手術中
No.1213 手術後
No.1213 手術後
 '22年3月
前交通動脈瘤
60代
院内外来
No.1200 手術前
No.1200 手術前
No.1200 手術中
No.1200 手術中
No.1200 手術後
No.1200 手術後
 '22年2月
前交通動脈瘤
60代
大阪府の病院
No.1197 手術前
No.1197 手術前
No.1197 手術中
No.1197 手術中
No.1197 手術後
No.1197 手術後
 '22年2月
前交通動脈瘤
50代
大阪府の病院
No.1195 手術前
No.1195 手術前
No.1195 手術中
No.1195 手術中
No.1195 手術後
No.1195 手術後
 '22年2月
前交通動脈瘤
60代
大阪府の病院
No.1189 手術前
No.1189 手術前
No.1189 手術中
No.1189 手術中
No.1189 手術後
No.1189 手術後
 '22年2月
左内頚動脈脳動脈瘤
60代
兵庫県の病院
No.1187 手術前
No.1187 手術前
No.1187 手術中
No.1187 手術中
No.1187 手術後
No.1187 手術後
 '22年2月
右内頚動脈後交通動脈
分岐部動脈瘤
70代
奈良県の病院
No.1185 手術前
No.1185 手術前
No.1185 手術中
No.1185 手術中
No.1185 手術後
No.1185 手術後
 '22年1月
くも膜下出血
(内頚動脈後交通動脈
分岐部動脈瘤破裂)
50代
救急外来
No.1183 手術前
No.1183 手術前
No.1183 手術中
No.1183 手術中
No.1183 手術後
No.1183 手術後
 '22年1月
右内頚動脈脳動脈瘤
50代
院内外来
No.1181 手術前
No.1181 手術前
No.1181 手術中
No.1181 手術中
No.1181 手術後
No.1181 手術後
 '22年1月
左内頚動脈後交通動脈
分岐部動脈瘤
40代
奈良県の病院
No.1178 手術前
No.1178 手術前
No.1178 手術中
No.1178 手術中
No.1178 手術後
No.1178 手術後
 '21年12月
左内頚動脈眼動脈分岐部動脈瘤
40代
院内外来
No.1170 手術前
No.1170 手術前
No.1170 手術中
No.1170 手術中
No.1170 手術後
No.1170 手術後
 '21年12月
右内頚動脈脳動脈瘤
50代
兵庫県の病院
No.1168 手術前
No.1168 手術前
No.1168 手術中
No.1168 手術中
No.1168 手術後
No.1168 手術後
 '21年12月
くも膜下出血
左内頚動脈脳動脈瘤破裂
50代
院内外来
No.1165 手術前
No.1165 手術前
No.1165 手術中
No.1165 手術中
No.1165 手術後
No.1165 手術後
 '21年12月
左内頚動脈脳動脈瘤
80代
大阪府の病院
No.1162 手術前
No.1162 手術前
No.1162 手術中
No.1162 手術中
No.1162 手術後
No.1162 手術後
 '21年12月
右内頚動脈脳動脈瘤
80代
大阪府の病院
No.1161 手術前
No.1161 手術前
No.1161 手術中
No.1161 手術中
No.1161 手術後
No.1161 手術後
 '21年12月
右内頚動脈脳動脈瘤
70代
奈良県の病院
No.1158 手術前
No.1158 手術前
No.1158 手術中
No.1158 手術中
No.1158 手術後
No.1158 手術後
 '21年12月
右内頚動脈脳動脈瘤
60代
大阪府の病院
No.1157 手術前
No.1157 手術前
No.1157 手術中
No.1157 手術中
No.1157 手術後
No.1157 手術後
 '21年12月
右内頚動脈脳動脈瘤
60代
奈良県の病院
No.1156 手術前
No.1156 手術前
No.1156 手術中
No.1156 手術中
No.1156 手術後
No.1156 手術後
 '21年11月
脳底動脈瘤
60代
院内外来
No.1152 手術前
No.1152 手術前
No.1152 手術中
No.1152 手術中
No.1152 手術後
No.1152 手術後
 '21年11月
右内頚動脈脳動脈瘤
50代
院内外来
No.1150 手術前
No.1150 手術前
No.1150 手術中
No.1150 手術中
No.1150 手術後
No.1150 手術後
 '21年11月
左内頚動脈後交通動脈
分岐部動脈瘤
70代
大阪府の病院
No.1146 手術前
No.1146 手術前
No.1146 手術中
No.1146 手術中
No.1146 手術後
No.1146 手術後
 '21年11月
右内頚動脈後交通動脈
分岐部動脈瘤
40代
大阪府の病院
No.1144 手術前
No.1144 手術前
No.1144 手術中
No.1144 手術中
No.1144 手術後
No.1144 手術後
 '21年10月
脳底動脈瘤
40代
鹿児島県の病院
No.1139 手術前
No.1139 手術前
No.1139 手術中
No.1139 手術中
No.1139 手術後
No.1139 手術後
 '21年10月
前交通動脈瘤
70代
大阪府の病院
No.1138 手術前
No.1138 手術前
No.1138 手術中
No.1138 手術中
No.1138 手術後
No.1138 手術後
 '21年10月
くも膜下出血
前交通動脈瘤破裂
60代
救急外来
No.1133 手術前
No.1133 手術前
No.1133 手術中
No.1133 手術中
No.1133 手術後
No.1133 手術後
 '21年10月
くも膜下出血
右内頚動脈脳動脈瘤破裂
40代
救急外来
No.1131 手術前
No.1131 手術前
No.1131 手術中
No.1131 手術中
No.1131 手術後
No.1131 手術後
 '21年10月
右脳底動脈瘤
70代
院内外来
No.1129 手術前
No.1129 手術前
No.1129 手術中
No.1129 手術中
No.1129 手術後
No.1129 手術後
 '21年10月
右内頚動脈後交通動脈
分岐部動脈瘤
70代
大阪府の病院
No.1128 手術前
No.1128 手術前
No.1128 手術中
No.1128 手術中
No.1128 手術後
No.1128 手術後
 '21年9月
左前交通動脈瘤
70代
京都府の病院
No.1120 手術前
No.1120 手術前
No.1120 手術中
No.1120 手術中
No.1120 手術後
No.1120 手術後
 '21年9月
右椎骨動脈瘤
50代
東京都の病院
No.1119 手術前
No.1119 手術前
No.1119 手術中
No.1119 手術中
No.1119 手術後
No.1119 手術後
 '21年9月
脳底動脈上小脳動脈瘤
50代
院内外来
No.1113 手術前
No.1113 手術前
No.1113 手術中
No.1113 手術中
No.1113 手術後
No.1113 手術後
 '21年9月
左内頚動脈脳動脈瘤
40代
大阪府の病院
No.1111 手術前
No.1111 手術前
No.1111 手術中
No.1111 手術中
No.1111 手術後
No.1111 手術後
 '21年9月
脳底動脈瘤
50代
大阪府の病院
No.1109 手術前
No.1109 手術前
No.1109 手術中
No.1109 手術中
No.1109 手術後
No.1109 手術後
 '21年9月
左内頚動脈脳動脈瘤
70代
院内外来
No.1108 手術前
No.1108 手術前
No.1108 手術中
No.1108 手術中
No.1108 手術後
No.1108 手術後
 '21年9月
左内頚動脈後交通動脈
分岐部動脈瘤
50代
院内外来
No.1104 手術前
No.1104 手術前
No.1104 手術中
No.1104 手術中
No.1104 手術後
No.1104 手術後
 '21年9月
椎骨動脈瘤
50代
救急外来
No.1102 手術前
No.1102 手術前
No.1102 手術中
No.1102 手術中
No.1102 手術後
No.1102 手術後
 '21年9月
前交通動脈瘤
70代
大阪府の病院
No.1101 手術前
No.1101 手術前
No.1101 手術中
No.1101 手術中
No.1101 手術後
No.1101 手術後
 '21年9月
左内頚動脈脳動脈瘤
50代
大阪府の病院
No.1100 手術前
No.1100 手術前
No.1100 手術中
No.1100 手術中
No.1100 手術後
No.1100 手術後
 '21年9月
右内頚動脈後交通動脈
分岐部動脈瘤
80代
兵庫県の病院
No.1107 手術前
No.1107 手術前
No.1107 手術中
No.1107 手術中
No.1107 手術後
No.1107 手術後
 '21年9月
左内頚動脈後交通動脈
分岐部動脈瘤
70代
大阪府の病院
No.1105 手術前
No.1105 手術前
No.1105 手術中
No.1105 手術中
No.1105 手術後
No.1105 手術後
 '21年9月
前交通動脈瘤
70代
大阪府の病院
No.1104 手術前
No.1104 手術前
No.1104 手術中
No.1104 手術中
No.1104 手術後
No.1104 手術後
 '21年9月
左内頚動脈脳動脈瘤
60代
大阪府の病院
No.1102 手術前
No.1102 手術前
No.1102 手術中
No.1102 手術中
No.1102 手術後
No.1102 手術後
 '21年8月
左解離性椎骨動脈瘤
50代
院内外来
No.1100 手術前
No.1100 手術前
No.1100 手術中
No.1100 手術中
No.1100 手術後
No.1100 手術後
 '21年8月
左解離性椎骨動脈瘤
50代
院内外来
No.1099 手術前
No.1099 手術前
No.1099 手術中
No.1099 手術中
No.1099 手術後
No.1099 手術後
 '21年8月
右内頚動脈後交通動脈
分岐部動脈瘤
70代
大阪府の病院
No.1097 手術前
No.1097 手術前
No.1097 手術中
No.1097 手術中
No.1097 手術後
No.1097 手術後
 '21年8月
左内頚動脈後交通動脈
分岐部動脈瘤
50代
院内外来
No.1095 手術前
No.1095 手術前
No.1095 手術中
No.1095 手術中
No.1095 手術後
No.1095 手術後
 '21年8月
右内頚動脈脳動脈瘤
40代
大阪府の病院
No.1093 手術前
No.1093 手術前
No.1093 手術中
No.1093 手術中
No.1093 手術後
No.1093 手術後
 '21年8月
前交通動脈瘤
40代
院内外来
No.1086 手術前
No.1086 手術前
No.1086 手術中
No.1086 手術中
No.1086 手術後
No.1086 手術後
 '21年8月
右内頚動脈脳動脈瘤
80代
大阪府の病院
No.1085 手術前
No.1085 手術前
No.1085 手術中
No.1085 手術中
No.1085 手術後
No.1085 手術後
 '21年7月
脳底動脈瘤
40代
院内外来
No.1084 手術前
No.1084 手術前
No.1084 手術中
No.1084 手術中
No.1084 手術後
No.1084 手術後
 '21年7月
右中大脳動脈瘤
80代
大阪府の病院
No.1079 手術前
No.1079 手術前
No.1079 手術中
No.1079 手術中
No.1079 手術後
No.1079 手術後
 '21年7月
左内頚動脈脳動脈瘤
60代
院内外来
No.1078 手術前
No.1078 手術前
No.1078 手術中
No.1078 手術中
No.1078 手術後
No.1078 手術後
 '21年7月
前交通動脈瘤
50代
大阪府の病院
No.1076 手術前
No.1076 手術前
No.1076 手術中
No.1076 手術中
No.1076 手術後
No.1076 手術後
 '21年7月
左内頚動脈後交通動脈
分岐部動脈瘤
70代
大阪府の病院
No.1075 手術前
No.1075 手術前
No.1075 手術中
No.1075 手術中
No.1075 手術後
No.1075 手術後
 '21年7月
脳底動脈瘤
40代
大阪府の病院
No.1073 手術前
No.1073 手術前
No.1073 手術中
No.1073 手術中
No.1073 手術後
No.1073 手術後
 '21年7月
前交通動脈瘤
40代
大阪府の病院
No.1071 手術前
No.1071 手術前
No.1071 手術中
No.1071 手術中
No.1071 手術後
No.1071 手術後
 '21年6月
前交通動脈瘤
80代
大阪府の病院
No.1069 手術前
No.1069 手術前
No.1069 手術中
No.1069 手術中
No.1069 手術後
No.1069 手術後
 '21年6月
右内頚動脈脳動脈瘤
50代
大阪府の病院
No.1068 手術前
No.1068 手術前
No.1068 手術中
No.1068 手術中
No.1068 手術後
No.1068 手術後
 '21年6月
前交通動脈瘤
60代
大阪府の病院
No.1067 手術前
No.1067 手術前
No.1067 手術中
No.1067 手術中
No.1067 手術後
No.1067 手術後
 '21年6月
右内頚動脈脳動脈瘤
60代
大阪府の病院
No.1065 手術前
No.1065 手術前
No.1065 手術中
No.1065 手術中
No.1065 手術後
No.1065 手術後
 '21年6月
脳底動脈瘤
30代
大阪府の病院
No.1063 手術前
No.1063 手術前
No.1063 手術中
No.1063 手術中
No.1063 手術後
No.1063 手術後
 '21年6月
右内頚動脈脳動脈瘤
20代
院内外来
No.1062 手術前
No.1062 手術前
No.1062 手術中
No.1062 手術中
No.1062 手術後
No.1062 手術後
 '21年6月
前交通動脈瘤
40代
院内外来
No.1058 手術前
No.1058 手術前
No.1058 手術中
No.1058 手術中
No.1058 手術後
No.1058 手術後
 '21年6月
前交通動脈瘤
70代
奈良県の病院
No.1056 手術前
No.1056 手術前
No.1056 手術中
No.1056 手術中
No.1056 手術後
No.1056 手術後
 '21年6月
左内頚動脈脳動脈瘤
30代
院内外来
No.1055 手術前
No.1055 手術前
No.1055 手術中
No.1055 手術中
No.1055 手術後
No.1055 手術後
 '21年6月
右椎骨動脈瘤
50代
大阪府の病院
No.1054 手術前
No.1054 手術前
No.1054 手術中
No.1054 手術中
No.1054 手術後
No.1054 手術後
 '21年5月
左解離性椎骨動脈瘤
50代
院内外来
No.1046 手術前
No.1046 手術前
No.1046 手術中
No.1046 手術中
No.1046 手術後
No.1046 手術後
 '21年5月
左内頚動脈脳動脈瘤
30代
院内外来
No.1044 手術前
No.1044 手術前
No.1044 手術中
No.1044 手術中
No.1044 手術後
No.1044 手術後
 '21年5月
左内頚動脈後交通動脈
分岐部動脈瘤
60代
奈良県の病院
No.1043 手術前
No.1043 手術前
No.1043 手術中
No.1043 手術中
No.1043 手術後
No.1043 手術後
 '21年5月
前交通動脈瘤
60代
院内外来
No.1039 手術前
No.1039 手術前
No.1039 手術中
No.1039 手術中
No.1039 手術後
No.1039 手術後
 '21年4月
左中大脳動脈瘤
60代
大阪府の病院
No.1037 手術前
No.1037 手術前
No.1037 手術中
No.1037 手術中
No.1037 手術後
No.1037 手術後
 '21年4月
右解離性脳動脈瘤
70代
院内外来
No.1036 手術前
No.1036 手術前
No.1036 手術中
No.1036 手術中
No.1036 手術後
No.1036 手術後
 '21年4月
左内頚動脈前脈絡叢動脈分岐部動脈瘤
50代
大阪府の病院
No.1035 手術前
No.1035 手術前
No.1035 手術中
No.1035 手術中
No.1035 手術後
No.1035 手術後
 '21年4月
左解離性椎骨動脈瘤
50代
大阪府の病院
No.1034 手術前
No.1034 手術前
No.1034 手術中
No.1034 手術中
No.1034 手術後
No.1034 手術後
 '21年4月
右内頚動脈脳動脈瘤
60代
大阪府の病院
No.1032 手術前
No.1032 手術前
No.1032 手術中
No.1032 手術中
No.1032 手術後
No.1032 手術後
 '21年4月
左内頚動脈脳動脈瘤
50代
院内外来
No.1031 手術前
No.1031 手術前
No.1031 手術中
No.1031 手術中
No.1031 手術後
No.1031 手術後
 '21年4月
右内頚動脈脳動脈瘤
70代
大阪府の病院
No.1027 手術前
No.1027 手術前
No.1027 手術中
No.1027 手術中
No.1027 手術後
No.1027 手術後
 '21年4月
右内頚動脈脳動脈瘤
50代
院内外来
No.1026 手術前
No.1026 手術前
No.1026 手術中
No.1026 手術中
No.1026 手術後
No.1026 手術後
 '21年4月
前交通動脈瘤
60代
院内外来
No.1025 手術前
No.1025 手術前
No.1025 手術中
No.1025 手術中
No.1025 手術後
No.1025 手術後
 '21年4月
脳底動脈瘤
50代
沖縄県の病院
No.1024 手術前
No.1024 手術前
No.1024 手術中
No.1024 手術中
No.1024 手術後
No.1024 手術後
 '21年3月
右後大脳動脈瘤
40代
大阪府の病院
No.1021 手術前
No.1021 手術前
No.1021 手術中
No.1021 手術中
No.1021 手術後
No.1021 手術後
 '21年3月
左内頚動脈脳動脈瘤
40代
大阪府の病院
No.1020 手術前
No.1020 手術前
No.1020 手術中
No.1020 手術中
No.1020 手術後
No.1020 手術後
 '21年3月
右内頚動脈脳動脈瘤
40代
大阪府の病院
No.1019 手術前
No.1019 手術前
No.1019 手術中
No.1019 手術中
No.1019 手術後
No.1019 手術後
 '21年3月
前交通動脈瘤
50代
大阪府の病院
No.1017 手術前
No.1017 手術前
No.1017 手術中
No.1017 手術中
No.1017 手術後
No.1017 手術後
 '21年3月
右内頚動脈脳動脈瘤
40代
大阪府の病院
No.1016 手術前
No.1016 手術前
No.1016 手術中
No.1016 手術中
No.1016 手術後
No.1016 手術後
 '21年3月
脳底動脈瘤
40代
大阪府の病院
No.1015 手術前
No.1015 手術前
No.1015 手術中
No.1015 手術中
No.1015 手術後
No.1015 手術後
 '21年3月
左内頚動脈眼動脈分岐部動脈瘤
30代
大阪府の病院
No.1013 手術前
No.1013 手術前
No.1013 手術中
No.1013 手術中
No.1013 手術後
No.1013 手術後
 '21年3月
右内頚動脈脳動脈瘤
60代
大阪府の病院
No.1012 手術前
No.1012 手術前
No.1012 手術中
No.1012 手術中
No.1012 手術後
No.1012 手術後
 '21年3月
左中大脳動脈瘤
60代
院内外来
No.1011 手術前
No.1011 手術前
No.1011 手術中
No.1011 手術中
No.1011 手術後
No.1011 手術後
 '21年3月
脳底動脈瘤
70代
院内外来
No.1010 手術前
No.1010 手術前
No.1010 手術中
No.1010 手術中
No.1010 手術後
No.1010 手術後
 '21年3月
左内頚動脈脳動脈瘤
50代
兵庫県の病院
No.1006 手術前
No.1006 手術前
No.1006 手術中
No.1006 手術中
No.1006 手術後
No.1006 手術後
 '21年3月
右内頚動脈脳動脈瘤
50代
京都府の病院
No.1004 手術前
No.1004 手術前
No.1004 手術中
No.1004 手術中
No.1004 手術後
No.1004 手術後
 '21年3月
脳底動脈瘤
70代
大阪府の病院
No.1003 手術前
No.1003 手術前
No.1003 手術中
No.1003 手術中
No.1003 手術後
No.1003 手術後
 '21年2月
右内頚動脈脳動脈瘤
70代
大阪府の病院
No.1002 手術前
No.1002 手術前
No.1002 手術中
No.1002 手術中
No.1002 手術後
No.1002 手術後
 '21年2月
左内頚動脈脳動脈瘤
70代
院内外来
No.1001 手術前
No.1001 手術前
No.1001 手術中
No.1001 手術中
No.1001 手術後
No.1001 手術後
 '21年2月
右内頚動脈脳動脈瘤
70代
大阪府の病院
No.999 手術前
No.999 手術前
No.999 手術中
No.999 手術中
No.999 手術後
No.999 手術後
 '21年2月
前交通動脈瘤
60代
大阪府の病院
No.997 手術前
No.997 手術前
No.997 手術中
No.997 手術中
No.997 手術後
No.997 手術後
 '21年2月
左内頚動脈脳動脈瘤
40代
大阪府の病院
No.995 手術前
No.995 手術前
No.995 手術中
No.995 手術中
No.995 手術後
No.995 手術後
 '21年2月
脳底動脈瘤
40代
院内外来
No.992 手術前
No.992 手術前
No.992 手術中
No.992 手術中
No.992 手術後
No.992 手術後
 '21年2月
前交通動脈瘤
40代
大阪府の病院
No.991 手術前
No.991 手術前
No.991 手術中
No.991 手術中
No.991 手術後
No.991 手術後
 '21年2月
前交通動脈瘤
70代
大阪府の病院
No.990 手術前
No.990 手術前
No.990 手術中
No.990 手術中
No.990 手術後
No.990 手術後
 '21年1月
左内頚動脈 脳動脈瘤
40代
院内外来
No.988 手術前
No.988 手術前
No.988 手術中
No.988 手術中
No.988 手術後
No.988 手術後
 '21年1月
前交通動脈瘤
50代
大阪府の病院
No.985 手術前
No.985 手術前
No.985 手術中
No.985 手術中
No.985 手術後
No.985 手術後
 '21年1月
左内頚動脈 脳動脈瘤
40代
奈良県の病院
No.981 手術前
No.981 手術前
No.981 手術中
No.981 手術中
No.981 手術後
No.981 手術後
 '21年1月
前交通動脈瘤
50代
院内外来
No.980 手術前
No.980 手術前
No.980 手術中
No.980 手術中
No.980 手術後
No.980 手術後
 '20年12月
右内頚動脈 脳動脈瘤
50代
兵庫県の病院
No.973 手術前
No.973 手術前
No.973 手術中
No.973 手術中
No.973 手術後
No.973 手術後
 '20年12月
脳動静脈瘻
80代
大阪府の病院
No.969 手術前
No.969 手術前
No.969 手術中
No.969 手術中
No.969 手術後
No.969 手術後
 '20年12月
左内頚動脈 脳動脈瘤
60代
大阪府の病院
No.968 手術前
No.968 手術前
No.968 手術中
No.968 手術中
No.968 手術後
No.968 手術後
 '20年12月
左内頚動脈 脳動脈瘤
60代
大阪府の病院
No.964 手術前
No.964 手術前
No.964 手術中
No.964 手術中
No.964 手術後
No.964 手術後
 '20年12月
脳底動脈瘤 (パルスライダー)
60代
院内外来
No.963 手術前
No.963 手術前
No.963 手術中
No.963 手術中
No.963 手術後
No.963 手術後
 '20年12月
左内頚動脈 脳動脈瘤
50代
院内外来
No.960 手術前
No.960 手術前
No.960 手術中
No.960 手術中
No.960 手術後
No.960 手術後
 '20年12月
右内頚動脈 後交通動脈 分岐部動脈瘤
70代
大阪府の病院
No.959 手術前
No.959 手術前
No.959 手術中
No.959 手術中
No.959 手術後
No.959 手術後
 '20年12月
左内頚動脈 後交通動脈 分岐部動脈瘤
70代
大阪府の病院
No.958 手術前
No.958 手術前
No.958 手術中
No.958 手術中
No.958 手術後
No.958 手術後
 '20年12月
左内頚動脈 後交通動脈 分岐部動脈瘤
60代
院内外来
No.957 手術前
No.957 手術前
No.957 手術中
No.957 手術中
No.957 手術後
No.957 手術後
 '20年12月
右内頚動脈 脳動脈瘤
70代
大阪府の病院
No.954 手術前
No.954 手術前
No.954 手術中
No.954 手術中
No.954 手術後
No.954 手術後
 '20年12月
右内頚動脈 後交通動脈 分岐部動脈瘤
70代
大阪府の病院
No.953 手術前
No.953 手術前
No.953 手術中
No.953 手術中
No.953 手術後
No.953 手術後
 '20年12月
右内頚動脈 脳動脈瘤
70代
奈良県の病院
No.951 手術前
No.951 手術前
No.951 手術中
No.951 手術中
No.951 手術後
No.951 手術後
 '20年11月
左内頚動脈 脳動脈瘤
70代
大阪府の病院
No.949 手術前
No.949 手術前
No.949 手術中
No.949 手術中
No.949 手術後
No.949 手術後
 '20年11月
脳底動脈瘤
60代
大阪府の病院
No.946 手術前
No.946 手術前
No.946 手術中
No.946 手術中
No.946 手術後
No.946 手術後
 '20年11月
右内頚動脈 脳動脈瘤
40代
大阪府の病院
No.940 手術前
No.940 手術前
No.940 手術中
No.940 手術中
No.940 手術後
No.940 手術後
 '20年11月
左椎骨動脈瘤
30代
院内外来
No.939 手術前
No.939 手術前
No.939 手術中
No.939 手術中
No.939 手術後
No.939 手術後
 '20年11月
左椎骨動脈瘤
30代
院内外来
No.933 手術前
No.933 手術前
No.933 手術中
No.933 手術中
No.933 手術後
No.933 手術後
 '20年10月
右内頚動脈 脳動脈瘤
40代
院内外来
No.931 手術前
No.931 手術前
No.931 手術中
No.931 手術中
No.931 手術後
No.931 手術後
 '20年10月
左内頚動脈 脳動脈瘤
60代
大阪府の病院
No.929 手術前
No.929 手術前
No.929 手術中
No.929 手術中
No.929 手術後
No.929 手術後
 '20年10月
左内頚動脈 脳動脈瘤
50代
大阪府の病院
No.928 手術前
No.928 手術前
No.928 手術中
No.928 手術中
No.928 手術後
No.928 手術後
 '20年10月
左内頚動脈 脳動脈瘤
60代
大阪府の病院
No.927 手術前
No.927 手術前
No.927 手術中
No.927 手術中
No.927 手術後
No.927 手術後
 '20年10月
左内頚動脈 後交通動脈 分岐部動脈瘤
70代
院内外来
No.926 手術前
No.926 手術前
No.926 手術中
No.926 手術中
No.926 手術後
No.926 手術後
 '20年10月
前交通動脈瘤
40代
三重県の病院
No.924 手術前
No.924 手術前
No.924 手術中
No.924 手術中
No.924 手術後
No.924 手術後
 '20年10月
右内頚動脈 後交通動脈 分岐部動脈瘤
60代
奈良県の病院
No.919 手術前
No.919 手術前
No.919 手術中
No.919 手術中
No.919 手術後
No.919 手術後
 '20年10月
右内頚動脈 脳動脈瘤
20代
院内外来
No.918 手術前
No.918 手術前
No.918 手術中
No.918 手術中
No.918 手術後
No.918 手術後
 '20年10月
左内頚動脈 脳動脈瘤
60代
院内外来
No.917 手術前
No.917 手術前
No.917 手術中
No.917 手術中
No.917 手術後
No.917 手術後
 '20年10月
左内頚動脈 脳動脈瘤
40代
院内外来
No.916 手術前
No.916 手術前
No.916 手術中
No.916 手術中
No.916 手術後
No.916 手術後
 '20年10月
右脳底動脈瘤
40代
大阪府の病院
No.913 手術前
No.913 手術前
No.913 手術中
No.913 手術中
No.913 手術後
No.913 手術後
 '20年10月
内頚動脈 後交通動脈 分岐部動脈瘤
80代
院内外来
No.911 手術前
No.911 手術前
No.911 手術中
No.911 手術中
No.911 手術後
No.911 手術後
 '20年9月
前交通動脈瘤
70代
院内外来
No.910 手術前
No.910 手術前
No.910 手術中
No.910 手術中
No.910 手術後
No.910 手術後
 '20年9月
右内頚動脈 脳動脈瘤
60代
奈良県の病院
No.907 手術前
No.907 手術前
No.907 手術中
No.907 手術中
No.907 手術後
No.907 手術後
 '20年9月
左内頚動脈 後交通動脈 分岐部動脈瘤
70代
大阪府の病院
No.904 手術前
No.904 手術前
No.904 手術中
No.904 手術中
No.904 手術後
No.904 手術後
 '20年9月
前交通動脈瘤
50代
大阪府の病院
No.898 手術前
No.898 手術前
No.898 手術中
No.898 手術中
No.898 手術後
No.898 手術後
 '20年8月
左内頚動脈 後交通動脈 分岐部動脈瘤
70代
大阪府の病院
No.889 手術前
No.889 手術前
No.889 手術中
No.889 手術中
No.889 手術後
No.889 手術後
 '20年8月
右内頚動脈 脳動脈瘤
70代
大阪府の病院
No.887 手術前
No.887 手術前
No.887 手術中
No.887 手術中
No.887 手術後
No.887 手術後
 '20年8月
左中大脳動脈瘤
60代
大阪府の病院
No.885 手術前
No.885 手術前
No.885 手術中
No.885 手術中
No.885 手術後
No.885 手術後
 '20年8月
脳底動脈瘤
70代
奈良県の病院
No.883 手術前
No.883 手術前
No.883 手術中
No.883 手術中
No.883 手術後
No.883 手術後
 '20年8月
左椎骨動脈瘤
50代
院内外来
No.882 手術前
No.882 手術前
No.882 手術中
No.882 手術中
No.882 手術後
No.882 手術後
 '20年8月
左解離性内頚 動脈脳動脈瘤
60代
大阪府の病院
No.879 手術前
No.879 手術前
No.879 手術中
No.879 手術中
No.879 手術後
No.879 手術後
 '20年8月
右中大脳動脈瘤
70代
大阪府の病院
No.878 手術前
No.878 手術前
No.878 手術中
No.878 手術中
No.878 手術後
No.878 手術後
 '20年8月
左内頚動脈 脳動脈瘤
60代
院内外来
No.874 手術前
No.874 手術前
No.874 手術中
No.874 手術中
No.874 手術後
No.874 手術後
 '20年8月
左内頚動脈 脳動脈瘤
60代
大阪府の病院
No.870 手術前
No.870 手術前
No.870 手術中
No.870 手術中
No.870 手術後
No.870 手術後
 '20年8月
左内頚動脈 後交通動脈 分岐部動脈瘤
60代
院内外来
No.868 手術前
No.868 手術前
No.868 手術中
No.868 手術中
No.868 手術後
No.868 手術後
 '20年7月
左内頚動脈 脳動脈瘤
60代
大阪府の病院
No.866 手術前
No.866 手術前
No.866 手術中
No.866 手術中
No.866 手術後
No.866 手術後
 '20年7月
脳底動脈瘤
70代
院内外来
No.864 手術前
No.864 手術前
No.864 手術中
No.864 手術中
No.864 手術後
No.864 手術後
 '20年7月
前交通動脈瘤
70代
院内外来
No.863 手術前
No.863 手術前
No.863 手術中
No.863 手術中
No.863 手術後
No.863 手術後
 '20年7月
右中大脳動脈瘤
80代
大阪府の病院
No.861 手術前
No.861 手術前
No.861 手術中
No.861 手術中
No.861 手術後
No.861 手術後
 '20年7月
右内頚動脈 後交通動脈 分岐部動脈瘤
40代
院内外来
No.853 手術前
No.853 手術前
No.853 手術中
No.853 手術中
No.853 手術後
No.853 手術後
 '20年7月
前交通動脈 脳動脈瘤
30代
院内外来
No.851 手術前
No.851 手術前
No.851 手術中
No.851 手術中
No.851 手術後
No.851 手術後
 '20年7月
前交通動脈 脳動脈瘤
30代
院内外来
No.849 手術前
No.849 手術前
No.849 手術中
No.849 手術中
No.849 手術後
No.849 手術後
 '20年7月
前交通動脈 脳動脈瘤
40代
院内外来
No.848 手術前
No.848 手術前
No.848 手術中
No.848 手術中
No.848 手術後
No.848 手術後
 '20年7月
脳底動脈瘤
80代
院内外来
No.846 手術前
No.846 手術前
No.846 手術中
No.846 手術中
No.846 手術後
No.846 手術後
 '20年7月
左内頚動脈 後交通動脈 分岐部動脈瘤
50代
大阪府の病院
No.845 手術前
No.845 手術前
No.845 手術中
No.845 手術中
No.845 手術後
No.845 手術後
 '20年7月
脳底動脈瘤
60代
大阪府の病院
No.843 手術前
No.843 手術前
No.843 手術中
No.843 手術中
No.843 手術後
No.843 手術後
 '20年7月
右椎骨動脈瘤
70代
院内外来
No.841 手術前
No.841 手術前
No.841 手術中
No.841 手術中
No.841 手術後
No.841 手術後
 '20年7月
右内頚動脈 後交通動脈 分岐部動脈瘤
50代
院内外来
No.840 手術前
No.840 手術前
No.840 手術中
No.840 手術中
No.840 手術後
No.840 手術後
 '20年7月
右椎骨動脈瘤
70代
院内外来
No.838 手術前
No.838 手術前
No.838 手術中
No.838 手術中
No.838 手術後
No.838 手術後
 '20年6月
左内頚動脈 脳動脈瘤
70代
院内外来
No.837 手術前
No.837 手術前
No.837 手術中
No.837 手術中
No.837 手術後
No.837 手術後
 '20年6月
前交通動脈 脳動脈瘤
70代
大阪府の病院
No.834 手術前
No.834 手術前
No.834 手術中
No.834 手術中
No.834 手術後
No.834 手術後
 '20年6月
左内頚動脈 脳動脈瘤
50代
和歌山県の病院
No.832 手術前
No.832 手術前
No.832 手術中
No.832 手術中
No.832 手術後
No.832 手術後
 '20年6月
前交通動脈 脳動脈瘤
70代
大阪府の病院
No.831 手術前
No.831 手術前
No.831 手術中
No.831 手術中
No.831 手術後
No.831 手術後
 '20年6月
右内頚動脈 脳動脈瘤
80代
院内外来
No.830 手術前
No.830 手術前
No.830 手術中
No.830 手術中
No.830 手術後
No.830 手術後
 '20年6月
左内頚動脈 脳動脈瘤
30代
院内外来
No.828 手術前
No.828 手術前
No.828 手術中
No.828 手術中
No.828 手術後
No.828 手術後
 '20年6月
右内頚動脈 脳動脈瘤
60代
大阪府の病院
No.825 手術前
No.825 手術前
No.825 手術中
No.825 手術中
No.825 手術後
No.825 手術後
 '20年6月
右内頚動脈 脳動脈瘤
70代
院内外来
No.822 手術前
No.822 手術前
No.822 手術中
No.822 手術中
No.822 手術後
No.822 手術後
 '20年4月
左内頚動脈 脳動脈瘤
70代
大阪府の病院
No.808 手術前
No.808 手術前
No.808 手術中
No.808 手術中
No.808 手術後
No.808 手術後
 '20年4月
右内頚動脈 後交通動脈 分岐部動脈瘤
70代
大阪府の病院
No.807 手術前
No.807 手術前
No.807 手術中
No.807 手術中
No.807 手術後
No.807 手術後
 '20年4月
左内頚動脈 脳動脈瘤
50代
大阪府の病院
No.806 手術前
No.806 手術前
No.806 手術中
No.806 手術中
No.806 手術後
No.806 手術後
 '20年4月
左内頚動脈 後交通動脈 分岐部動脈瘤
50代
大阪府の病院
No.804 手術前
No.804 手術前
No.804 手術中
No.804 手術中
No.804 手術後
No.804 手術後
 '20年4月
左椎骨動脈瘤
70代
院内外来
No.797 手術前
No.797 手術前
No.797 手術中
No.797 手術中
No.797 手術後
No.797 手術後
 '20年4月
右内頚動脈 後交通動脈 分岐部動脈瘤
80代
大阪府の病院
No.795 手術前
No.795 手術前
No.795 手術中
No.795 手術中
No.795 手術後
No.795 手術後
 '20年4月
左内頚動脈 脳動脈瘤
50代
大阪府の病院
No.794 手術前
No.794 手術前
No.794 手術中
No.794 手術中
No.794 手術後
No.794 手術後
 '20年3月
前交通動脈 脳動脈瘤
60代
大阪府の病院
No.791 手術前
No.791 手術前
No.791 手術中
No.791 手術中
No.791 手術後
No.791 手術後
 '20年3月
左内頚動脈 後交通動脈 分岐部動脈瘤
50代
大阪府の病院
No.790 手術前
No.790 手術前
No.790 手術中
No.790 手術中
No.790 手術後
No.790 手術後
 '20年3月
左前大脳動脈 脳動脈瘤
50代
大阪府の病院
No.789 手術前
No.789 手術前
No.789 手術中
No.789 手術中
No.789 手術後
No.789 手術後
 '20年3月
左内頚動脈 脳動脈瘤
40代
大阪府の病院
No.788 手術前
No.788 手術前
No.788 手術中
No.788 手術中
No.788 手術後
No.788 手術後
 '20年3月
右内頚動脈 脳動脈瘤
50代
大阪府の病院
No.785 手術前
No.785 手術前
No.785 手術中
No.785 手術中
No.785 手術後
No.785 手術後
 '20年3月
前交通動脈 脳動脈瘤
80代
大阪府の病院
No.784 手術前
No.784 手術前
No.784 手術中
No.784 手術中
No.784 手術後
No.784 手術後
 '20年3月
右内頚動脈 脳動脈瘤
70代
院内外来
No.782 手術前
No.782 手術前
No.782 手術中
No.782 手術中
No.782 手術後
No.782 手術後
 '20年3月
左内頚動脈 後交通動脈 分岐部動脈瘤
80代
院内外来
No.780 手術前
No.780 手術前
No.780 手術中
No.780 手術中
No.780 手術後
No.780 手術後
 '20年3月
左内頚動脈 後交通動脈 分岐部動脈瘤
70代
大阪府の病院
No.774 手術前
No.774 手術前
No.774 手術中
No.774 手術中
No.774 手術後
No.774 手術後
 '20年2月
左内頚動脈 脳動脈瘤
50代
院内外来
No.770 手術前
No.770 手術前
No.770 手術中
No.770 手術中
No.770 手術後
No.770 手術後
 '20年2月
右中大脳動脈 脳動脈瘤
70代
三重県の病院
No.767 手術前
No.767 手術前
No.767 手術中
No.767 手術中
No.767 手術後
No.767 手術後
 '20年2月
右前大脳動脈 脳動脈瘤
70代
大阪府の病院
No.765 手術前
No.765 手術前
No.765 手術中
No.765 手術中
No.765 手術後
No.765 手術後
 '20年2月
左内頚動脈 脳動脈瘤
40代
大阪府の病院
No.756 手術前
No.756 手術前
No.756 手術中
No.756 手術中
No.756 手術後
No.756 手術後
 '20年2月
右内頚動脈 後交通動脈 分岐部動脈瘤
70代
大阪府の病院
No.755 手術前
No.755 手術前
No.755 手術中
No.755 手術中
No.755 手術後
No.755 手術後
 '20年2月
右内頚動脈 脳動脈瘤
70代
院内外来
No.750 手術前
No.750 手術前
No.750 手術中
No.750 手術中
No.750 手術後
No.750 手術後
 '20年1月
椎骨動脈瘤
40代
大阪府の病院
No.749 手術前
No.749 手術前
No.749 手術中
No.749 手術中
No.749 手術後
No.749 手術後
 '20年1月
右内頚動脈 脳動脈瘤
60代
大阪府の病院
No.746 手術前
No.746 手術前
No.746 手術中
No.746 手術中
No.746 手術後
No.746 手術後
 '20年1月
右内頚動脈 脳動脈瘤
40代
院内外来
No.745 手術前
No.745 手術前
No.745 手術中
No.745 手術中
No.745 手術後
No.745 手術後
 '20年1月
前交通動脈 脳動脈瘤
80代
愛媛県
No.741 手術前
No.741 手術前
No.741 手術中
No.741 手術中
No.741 手術後
No.741 手術後
 '20年1月
右内頚動脈 脳動脈瘤
40代
長野県の病院
No.740 手術前
No.740 手術前
No.740 手術中
No.740 手術中
No.740 手術後
No.740 手術後
 '20年1月
左内頚動脈脳動脈瘤
70代
大阪府の病院
No.739 手術前
No.739 手術前
No.739 手術中
No.739 手術中
No.739 手術後
No.739 手術後
 '20年1月
左内頚動脈 脳動脈瘤
50代
院内外来
No.738 手術前
No.738 手術前
No.738 手術中
No.738 手術中
No.738 手術後
No.738 手術後
 '20年1月
右内頚動脈脳動脈瘤
60代
和歌山県の病院
No.737 手術前
No.737 手術前
No.737 手術中
No.737 手術中
No.737 手術後
No.737 手術後
 '20年1月
前交通動脈 脳動脈瘤
30代
院内外来
No.735 手術前
No.735 手術前
No.735 手術中
No.735 手術中
No.735 手術後
No.735 手術後
 '20年1月
右内頚動脈 脳動脈瘤
40代
院内外来
No.733 手術前
No.733 手術前
No.733 手術中
No.733 手術中
No.733 手術後
No.733 手術後
 '20年1月
左内頚動脈 脳動脈瘤
50代
大阪府の病院
No.732 手術前
No.732 手術前
No.732 手術中
No.732 手術中
No.732 手術後
No.732 手術後
 '19年12月
前交通動脈 脳動脈瘤
40代
院内外来
No.727 手術前
No.727 手術前
No.727 手術中
No.727 手術中
No.727 手術後
No.727 手術後
 '19年12月
左内頚動脈 脳動脈瘤
40代
大阪府の病院
No.726 手術前
No.726 手術前
No.726 手術中
No.726 手術中
No.726 手術後
No.726 手術後
 '19年12月
左内頚動脈 脳動脈瘤
60代
大阪府の病院
No.725 手術前
No.725 手術前
No.725 手術中
No.725 手術中
No.725 手術後
No.725 手術後
 '19年12月
左内頚動脈 脳動脈瘤
40代
京都府の病院
No.724 手術前
No.724 手術前
No.724 手術中
No.724 手術中
No.724 手術後
No.724 手術後
 '19年12月
右内頚動脈 脳動脈瘤
60代
院内外来
No.723 手術前
No.723 手術前
No.723 手術中
No.723 手術中
No.723 手術後
No.723 手術後
 '19年12月
脳底動脈瘤
70代
大阪府の病院
No.722 手術前
No.722 手術前
No.722 手術中
No.722 手術中
No.722 手術後
No.722 手術後
 '19年12月
左内頚動脈 脳動脈瘤
50代
大阪府の病院
No.719 手術前
No.719 手術前
No.719 手術中
No.719 手術中
No.719 手術後
No.719 手術後
 '19年12月
前交通動脈 脳動脈瘤
70代
院内外来
No.716 手術前
No.716 手術前
No.716 手術中
No.716 手術中
No.716 手術後
No.716 手術後
 '19年12月
左内頚動脈 後交通動脈 分岐部動脈瘤
70代
大阪府の病院
No.714 手術前
No.714 手術前
No.714 手術中
No.714 手術中
No.714 手術後
No.714 手術後
 '19年12月
右前大脳動脈瘤
40代
院内外来
No.712 手術前
No.712 手術前
No.712 手術中
No.712 手術中
No.712 手術後
No.712 手術後
 '19年12月
左内頚動脈 脳動脈瘤
50代
院内外来
No.711 手術前
No.711 手術前
No.711 手術中
No.711 手術中
No.711 手術後
No.711 手術後
 '19年12月
左内頚動脈 脳動脈瘤
40代
大阪府の病院
No.709 手術前
No.709 手術前
No.709 手術中
No.709 手術中
No.709 手術後
No.709 手術後
 '19年12月
左内頚動脈 後交通動脈 分岐部動脈瘤
70代
院内外来
No.708 手術前
No.708 手術前
No.708 手術中
No.708 手術中
No.708 手術後
No.708 手術後
 '19年12月
右内頚動脈脳動脈瘤
50代
院内外来
No.707 手術前
No.707 手術前
No.707 手術中
No.707 手術中
No.707 手術後
No.707 手術後
 '19年12月
右内頚動脈 後交通動脈 分岐部動脈瘤
40代
大阪府の病院
No.706 手術前
No.706 手術前
No.706 手術中
No.706 手術中
No.706 手術後
No.706 手術後
 '19年12月
右内頚動脈脳動脈瘤
40代
大阪府の病院
No.705 手術前
No.705 手術前
No.705 手術中
No.705 手術中
No.705 手術後
No.705 手術後
 '19年12月
左内頚動脈脳動脈瘤
60代
院内外来
No.703 手術前
No.703 手術前
No.703 手術中
No.703 手術中
No.703 手術後
No.703 手術後
 '19年12月
左前大脳動脈瘤
60代
院内外来
No.702 手術前
No.702 手術前
No.702 手術中
No.702 手術中
No.702 手術後
No.702 手術後
 '19年11月
左内頚動脈脳動脈瘤
70代
大阪府の病院
No.699 手術前
No.699 手術前
No.699 手術中
No.699 手術中
No.699 手術後
No.699 手術後
 '19年11月
右内頚動脈脳動脈瘤
50代
岐阜県の病院
No.698 手術前
No.698 手術前
No.698 手術中
No.698 手術中
No.698 手術後
No.698 手術後
 '19年11月
左内頚動脈脳動脈瘤
40代
大阪府の病院
No.697 手術前
No.697 手術前
No.697 手術中
No.697 手術中
No.697 手術後
No.697 手術後
 '19年11月
右脳底動脈瘤
70代
大阪府の病院
No.696 手術前
No.696 手術前
No.696 手術中
No.696 手術中
No.696 手術後
No.696 手術後
 '19年11月
前交通動脈 脳動脈瘤
50代
院内外来
No.695 手術前
No.695 手術前
No.695 手術中
No.695 手術中
No.695 手術後
No.695 手術後
 '19年11月
右内頚動脈脳動脈瘤
60代
院内外来
No.694 手術前
No.694 手術前
No.694 手術中
No.694 手術中
No.694 手術後
No.694 手術後
 '19年11月
脳底動脈瘤
70代
大阪府の病院
No.693 手術前
No.693 手術前
No.693 手術中
No.693 手術中
No.693 手術後
No.693 手術後
 '19年11月
右内頚動脈 後交通動脈 分岐部動脈瘤
80代
大阪府の病院
No.692 手術前
No.692 手術前
No.692 手術中
No.692 手術中
No.692 手術後
No.692 手術後
 '19年11月
椎骨動脈 解離性動脈瘤
40代
院内外来
No.687 手術前
No.687 手術前
No.687 手術中
No.687 手術中
No.687 手術後
No.687 手術後
 '19年11月
右内頚動脈脳動脈瘤
50代
大阪府の病院
No.686 手術前
No.686 手術前
No.686 手術中
No.686 手術中
No.686 手術後
No.686 手術後
 '19年11月
左内頚動脈脳動脈瘤
40代
大阪府の病院
No.685 手術前
No.685 手術前
No.685 手術中
No.685 手術中
No.685 手術後
No.685 手術後
 '19年11月
左内頚動脈脳動脈瘤
60代
院内外来
No.684 手術前
No.684 手術前
No.684 手術中
No.684 手術中
No.684 手術後
No.684 手術後
 '19年11月
左内頚動脈 後交通動脈 分岐部動脈瘤
80代
院内外来
No.682 手術前
No.682 手術前
No.682 手術中
No.682 手術中
No.682 手術後
No.682 手術後
 '19年11月
脳底動脈瘤
70代
大阪府の病院
No.681 手術前
No.681 手術前
No.681 手術中
No.681 手術中
No.681 手術後
No.681 手術後
 '19年11月
右内頚動脈脳動脈瘤
50代
大阪府の病院
No.680 手術前
No.680 手術前
No.680 手術中
No.680 手術中
No.680 手術後
No.680 手術後
 '19年11月
前交通動脈 脳動脈瘤
60代
大阪府の病院
No.677 手術前
No.677 手術前
No.677 手術中
No.677 手術中
No.677 手術後
No.677 手術後
 '19年11月
右内頚動脈脳動脈瘤
60代
奈良県の病院
No.674 手術前
No.674 手術前
No.674 手術中
No.674 手術中
No.674 手術後
No.674 手術後
 '19年10月
脳底動脈瘤
70代
院内外来
No.670 手術前
No.670 手術前
No.670 手術中
No.670 手術中
No.670 手術後
No.670 手術後
 '19年10月
左内頚動脈脳動脈瘤
40代
大阪府の病院
No.669 手術前
No.669 手術前
No.669 手術中
No.669 手術中
No.669 手術後
No.669 手術後
 '19年10月
右内頚動脈脳動脈瘤
40代
兵庫県の病院
No.666 手術前
No.666 手術前
No.666 手術中
No.666 手術中
No.666 手術後
No.666 手術後
 '19年10月
前交通動脈 脳動脈瘤
60代
大阪府の病院
No.661 手術前
No.661 手術前
No.661 手術中
No.661 手術中
No.661 手術後
No.661 手術後
 '19年10月
左内頚動脈 後交通動脈 分岐部動脈瘤
70代
大阪府の病院
No.659 手術前
No.659 手術前
No.659 手術中
No.659 手術中
No.659 手術後
No.659 手術後
 '19年10月
左内頚動脈 後交通動脈 分岐部動脈瘤
60代
奈良県の病院
No.658 手術前
No.658 手術前
No.658 手術中
No.658 手術中
No.658 手術後
No.658 手術後
 '19年10月
左内頚動脈脳動脈瘤
70代
神奈川県の病院
No.655 手術前
No.655 手術前
No.655 手術中
No.655 手術中
No.655 手術後
No.655 手術後
 '19年9月
前交通脳動脈瘤 右内頚動脈脳動脈瘤
50代
院内外来
No.651 手術前
No.651 手術前
No.651 手術中
No.651 手術中
No.651 手術後
No.651 手術後
 '19年9月
右椎骨動脈瘤
50代
院内外来
No.650 手術前
No.650 手術前
No.650 手術中
No.650 手術中
No.650 手術後
No.650 手術後
 '19年9月
中大脳動脈瘤
60代
大阪府の病院
No.649 手術前
No.649 手術前
No.649 手術中
No.649 手術中
No.649 手術後
No.649 手術後
 '19年9月
前交通脳動脈瘤
50代
院内外来
No.648 手術前
No.648 手術前
No.648 手術中
No.648 手術中
No.648 手術後
No.648 手術後
 '19年9月
前交通脳動脈瘤
60代
大阪府の病院
No.646 手術前
No.646 手術前
No.646 手術中
No.646 手術中
No.646 手術後
No.646 手術後
 '19年9月
前交通脳動脈瘤
60代
院内外来
No.644 手術前
No.644 手術前
No.644 手術中
No.644 手術中
No.644 手術後
No.644 手術後
 '19年9月
右内頚動脈 後交通動脈 分岐部動脈瘤
70代
院内外来
No.643 手術前
No.643 手術前
No.643 手術中
No.643 手術中
No.643 手術後
No.643 手術後
 '19年9月
前交通脳動脈瘤
40代
院内外来
No.641 手術前
No.641 手術前
No.641 手術中
No.641 手術中
No.641 手術後
No.641 手術後
 '19年9月
左内頚動脈脳動脈瘤
40代
大阪府の病院
No.640 手術前
No.640 手術前
No.640 手術中
No.640 手術中
No.640 手術後
No.640 手術後
 '19年9月
左内頚動脈脳動脈瘤
70代
院内外来
No.639 手術前
No.639 手術前
No.639 手術中
No.639 手術中
No.639 手術後
No.639 手術後
 '19年9月
左内頚動脈脳動脈瘤
50代
大阪府の病院
No.636 手術前
No.636 手術前
No.636 手術中
No.636 手術中
No.636 手術後
No.636 手術後
 '19年9月
左内頚動脈脳動脈瘤
70代
院内外来
No.632 手術前
No.632 手術前
No.632 手術中
No.632 手術中
No.632 手術後
No.632 手術後
 '19年9月
前交通脳動脈瘤
70代
院内外来
No.631 手術前
No.631 手術前
No.631 手術中
No.631 手術中
No.631 手術後
No.631 手術後
 '19年9月
前交通脳動脈瘤
60代
院内外来
No.630 手術前
No.630 手術前
No.630 手術中
No.630 手術中
No.630 手術後
No.630 手術後
 '19年9月
左内頚動脈脳動脈瘤
40代
大阪府の病院
No.629 手術前
No.629 手術前
No.629 手術中
No.629 手術中
No.629 手術後
No.629 手術後
 '19年9月
右内頚動脈脳動脈瘤
50代
院内外来
No.628 手術前
No.628 手術前
No.628 手術中
No.628 手術中
No.628 手術後
No.628 手術後
 '19年9月
右内頚動脈脳動脈瘤
60代
院内外来
No.625 手術前
No.625 手術前
No.625 手術中
No.625 手術中
No.625 手術後
No.625 手術後
 '19年9月
右内頚動脈脳動脈瘤
40代
大阪府の病院
No.624 手術前
No.624 手術前
No.624 手術中
No.624 手術中
No.624 手術後
No.624 手術後
 '19年9月
右内頚動脈脳動脈瘤 (フローダイバーター)
40代
大阪府の病院
No.620 手術前
No.620 手術前
No.620 手術中
No.620 手術中
No.620 手術後
No.620 手術後
 '19年9月
左内頚動脈脳動脈瘤
60代
大阪府の病院
No.618 手術前
No.618 手術前
No.618 手術中
No.618 手術中
No.618 手術後
No.618 手術後
 '19年9月
左内頚動脈脳動脈瘤
40代
大阪府の病院
No.617 手術前
No.617 手術前
No.617 手術中
No.617 手術中
No.617 手術後
No.617 手術後
 '19年9月
前交通動脈瘤
50代
院内外来
No.614 手術前
No.614 手術前
No.614 手術中
No.614 手術中
No.614 手術後
No.614 手術後
 '19年8月
左椎骨動脈瘤
60代
兵庫県の病院
No.610 手術前
No.610 手術前
No.610 手術中
No.610 手術中
No.610 手術後
No.610 手術後
 '19年8月
左内頚動脈脳動脈瘤
70代
院内外来
No.609 手術前
No.609 手術前
No.609 手術中
No.609 手術中
No.609 手術後
No.609 手術後
 '19年8月
前交通動脈瘤
30代
院内外来
No.608 手術前
No.608 手術前
No.608 手術中
No.608 手術中
No.608 手術後
No.608 手術後
 '19年8月
右内頚動脈 後交通動脈 分岐部動脈瘤
50代
院内外来
No.607 手術前
No.607 手術前
No.607 手術中
No.607 手術中
No.607 手術後
No.607 手術後
 '19年8月
左内頚動脈脳動脈瘤
60代
院内外来
No.606 手術前
No.606 手術前
No.606 手術中
No.606 手術中
No.606 手術後
No.606 手術後
 '19年8月
右内頚動脈脳動脈瘤
40代
院内外来
No.604 手術前
No.604 手術前
No.604 手術中
No.604 手術中
No.604 手術後
No.604 手術後
 '19年8月
左内頚動脈脳動脈瘤
40代
院内外来
No.602 手術前
No.602 手術前
No.602 手術中
No.602 手術中
No.602 手術後
No.602 手術後
 '19年8月
左中大脳動脈瘤
60代
院内外来
No.598 手術前
No.598 手術前
No.598 手術中
No.598 手術中
No.598 手術後
No.598 手術後
 '19年8月
前交通動脈瘤
60代
大阪府の病院
No.594 手術前
No.594 手術前
No.594 手術中
No.594 手術中
No.594 手術後
No.594 手術後
 '19年8月
右内頚動脈瘤
40代
大阪府の病院
No.593 手術前
No.593 手術前
No.593 手術中
No.593 手術中
No.593 手術後
No.593 手術後
 '19年8月
右内頚動脈瘤
40代
大阪府の病院
No.592 手術前
No.592 手術前
No.592 手術中
No.592 手術中
No.592 手術後
No.592 手術後
 '19年8月
右内頚動脈 後交通動脈 分岐部動脈瘤
80代
大阪府の病院
No.591 手術前
No.591 手術前
No.591 手術中
No.591 手術中
No.591 手術後
No.591 手術後
 '19年7月
左内頚動脈瘤
70代
奈良県の病院
No.588 手術前
No.588 手術前
No.588 手術中
No.588 手術中
No.588 手術後
No.588 手術後
 '19年7月
左内頚動脈瘤
60代
院内外来
No.584 手術前
No.584 手術前
No.584 手術中
No.584 手術中
No.584 手術後
No.584 手術後
 '19年7月
前交通動脈瘤
70代
大阪府の病院
No.583 手術前
No.583 手術前
No.583 手術中
No.583 手術中
No.583 手術後
No.583 手術後
 '19年7月
前交通動脈瘤
70代
和歌山県の病院
No.580 手術前
No.580 手術前
No.580 手術中
No.580 手術中
No.580 手術後
No.580 手術後
 '19年7月
左椎骨動脈瘤
80代
大阪府の病院
No.579 手術前
No.579 手術前
No.579 手術中
No.579 手術中
No.579 手術後
No.579 手術後
 '19年7月
右内頚動脈瘤
50代
大阪府の病院
No.578 手術前
No.578 手術前
No.578 手術中
No.578 手術中
No.578 手術後
No.578 手術後
 '19年7月
右内頚動脈 後交通動脈 分岐部動脈瘤
60代
院内外来
No.577 手術前
No.577 手術前
No.577 手術中
No.577 手術中
No.577 手術後
No.577 手術後
 '19年7月
右内頚動脈瘤
30代
大阪府の病院
No.576 手術前
No.576 手術前
No.576 手術中
No.576 手術中
No.576 手術後
No.576 手術後
 '19年7月
硬膜動静脈瘻
40代
中国在住
No.574 手術前
No.574 手術前
No.574 手術中
No.574 手術中
No.574 手術後
No.574 手術後
 '19年7月
左内頚動脈瘤
40代
島根県の病院
No.572 手術前
No.572 手術前
No.572 手術中
No.572 手術中
No.572 手術後
No.572 手術後
 '19年7月
右内頚動脈瘤
30代
院内外来
No.570 手術前
No.570 手術前
No.570 手術中
No.570 手術中
No.570 手術後
No.570 手術後
 '19年7月
右内頚動脈瘤
40代
院内外来
No.567 手術前
No.567 手術前
No.567 手術中
No.567 手術中
No.567 手術後
No.567 手術後
 '19年7月
右内頚動脈瘤
40代
大阪府の病院
No.566 手術前
No.566 手術前
No.566 手術中
No.566 手術中
No.566 手術後
No.566 手術後
 '19年7月
前交通動脈瘤
60代
大阪府の病院
No.561 手術前
No.561 手術前
No.561 手術中
No.561 手術中
No.561 手術後
No.561 手術後
 '19年7月
左中大脳動脈瘤
70代
三重県の病院
No.560 手術前
No.560 手術前
No.560 手術中
No.560 手術中
No.560 手術後
No.560 手術後
 '19年7月
左内頚動脈 後交通動脈 分岐部動脈瘤
50代
院内外来
No.559 手術前
No.559 手術前
No.559 手術中
No.559 手術中
No.559 手術後
No.559 手術後
 '19年7月
左内頚動脈瘤
40代
大阪府の病院
No.558 手術前
No.558 手術前
No.558 手術中
No.558 手術中
No.558 手術後
No.558 手術後
 '19年7月
脳動静脈奇形
40代
大阪府の病院
No.556 手術前
No.556 手術前
No.556 手術中
No.556 手術中
No.556 手術後
No.556 手術後
 '19年7月
前交通動脈瘤
40代
大阪府の病院
No.555 手術前
No.555 手術前
No.555 手術中
No.555 手術中
No.555 手術後
No.555 手術後
 '19年7月
左内頚動脈瘤
50代
大分県の病院
No.549 手術前
No.549 手術前
No.549 手術中
No.549 手術中
No.549 手術後
No.549 手術後
 '19年6月
左内頚動脈 後交通動脈 分岐部動脈瘤
60代
院内外来
No.548 手術前
No.548 手術前
No.548 手術中
No.548 手術中
No.548 手術後
No.548 手術後
 '19年6月
右内頚動脈瘤
50代
院内外来
No.543 手術前
No.543 手術前
No.543 手術中
No.543 手術中
No.543 手術後
No.543 手術後
 '19年6月
前交通動脈瘤
50代
院内外来
No.541 手術前
No.541 手術前
No.541 手術中
No.541 手術中
No.541 手術後
No.541 手術後
 '19年6月
左内頚動脈瘤
50代
院内外来
No.540 手術前
No.540 手術前
No.540 手術中
No.540 手術中
No.540 手術後
No.540 手術後
 '19年6月
前交通動脈瘤
60代
院内外来
No.537 手術前
No.537 手術前
No.537 手術中
No.537 手術中
No.537 手術後
No.537 手術後
 '19年6月
左内頚動脈瘤
20代
大阪府の病院
No.536 手術前
No.536 手術前
No.536 手術中
No.536 手術中
No.536 手術後
No.536 手術後
 '19年6月
左内頚動脈瘤
40代
院内外来
No.535 手術前
No.535 手術前
No.535 手術中
No.535 手術中
No.535 手術後
No.535 手術後
 '19年6月
右内頚動脈 後交通動脈 分岐部動脈瘤
80代
兵庫県の病院
No.531 手術前
No.531 手術前
No.531 手術中
No.531 手術中
No.531 手術後
No.531 手術後
 '19年6月
左内頚動脈瘤
70代
奈良県の病院
No.528 手術前
No.528 手術前
No.528 手術中
No.528 手術中
No.528 手術後
No.528 手術後
 '19年6月
左内頚動脈瘤
70代
院内外来
No.527 手術前
No.527 手術前
No.527 手術中
No.527 手術中
No.527 手術後
No.527 手術後
 '19年6月
脳底動脈瘤
40代
大阪府の病院
No.523 手術前
No.523 手術前
No.523 手術中
No.523 手術中
No.523 手術後
No.523 手術後
 '19年6月
左内頚動脈瘤
20代
大阪府の病院
No.522 手術前
No.522 手術前
No.522 手術中
No.522 手術中
No.522 手術後
No.522 手術後
 '19年6月
右内頚動脈 後交通動脈 分岐部動脈瘤
60代
院内外来
No.520 手術前
No.520 手術前
No.520 手術中
No.520 手術中
No.520 手術後
No.520 手術後
 '19年6月
前交通動脈瘤
70代
院内外来
No.519 手術前
No.519 手術前
No.519 手術中
No.519 手術中
No.519 手術後
No.519 手術後
 '19年6月
右内頚動脈瘤
70代
大阪府の病院
No.518 手術前
No.518 手術前
No.518 手術中
No.518 手術中
No.518 手術後
No.518 手術後
 '19年5月
右内頚動脈 後交通動脈 分岐部動脈瘤
60代
大阪府の病院
No.517 手術前
No.517 手術前
No.517 手術中
No.517 手術中
No.517 手術後
No.517 手術後
 '19年5月
右内頚動脈瘤
50代
大阪府の病院
No.516 手術前
No.516 手術前
No.516 手術中
No.516 手術中
No.516 手術後
No.516 手術後
 '19年5月
右内頚動脈瘤
60代
奈良県の病院
No.514 手術前
No.514 手術前
No.514 手術中
No.514 手術中
No.514 手術後
No.514 手術後
 '19年5月
前大脳動脈瘤
60代
院内外来
No.512 手術前
No.512 手術前
No.512 手術中
No.512 手術中
No.512 手術後
No.512 手術後
 '19年5月
右内頚動脈瘤
40代
院内外来
No.511 手術前
No.511 手術前
No.511 手術中
No.511 手術中
No.511 手術後
No.511 手術後
 '19年5月
左内頚動脈瘤
40代
奈良県の病院
No.510 手術前
No.510 手術前
No.510 手術中
No.510 手術中
No.510 手術後
No.510 手術後
 '19年5月
右内頚動脈 後交通動脈 分岐部動脈瘤
40代
院内外来
No.509 手術前
No.509 手術前
No.509 手術中
No.509 手術中
No.509 手術後
No.509 手術後
 '19年5月
前交通動脈瘤
70代
兵庫県の病院
No.508 手術前
No.508 手術前
No.508 手術中
No.508 手術中
No.508 手術後
No.508 手術後
 '19年5月
右内頚動脈 後交通動脈 分岐部動脈瘤
60代
院内外来
No.507 手術前
No.507 手術前
No.507 手術中
No.507 手術中
No.507 手術後
No.507 手術後
 '19年5月
左内頚動脈 後交通動脈 分岐部動脈瘤
50代
大阪府の病院
No.506 手術前
No.506 手術前
No.506 手術中
No.506 手術中
No.506 手術後
No.506 手術後
 '19年5月
左内頚動脈瘤
60代
院内外来
No.504 手術前
No.504 手術前
No.504 手術中
No.504 手術中
No.504 手術後
No.504 手術後
 '19年5月
右椎骨動脈瘤
50代
院内外来
No.502 手術前
No.502 手術前
No.502 手術中
No.502 手術中
No.502 手術後
No.502 手術後
 '19年5月
右内頚動脈瘤
70代
院内外来
No.501 手術前
No.501 手術前
No.501 手術中
No.501 手術中
No.501 手術後
No.501 手術後
 '19年5月
右椎骨動脈瘤
50代
大阪府の病院
No.500 手術前
No.500 手術前
No.500 手術中
No.500 手術中
No.500 手術後
No.500 手術後
 '19年5月
左椎骨動脈瘤
60代
奈良県の病院
No.497 手術前
No.497 手術前
No.497 手術中
No.497 手術中
No.497 手術後
No.497 手術後
 '19年5月
左内頚動脈瘤
60代
院内外来
No.492 手術前
No.492 手術前
No.492 手術中
No.492 手術中
No.492 手術後
No.492 手術後
 '19年5月
右内頚動脈 後交通動脈 分岐部動脈瘤
80代
大阪府の病院
No.491 手術前
No.491 手術前
No.491 手術中
No.491 手術中
No.491 手術後
No.491 手術後
 '19年5月
左内頚動脈 後交通動脈 分岐部動脈瘤
70代
院内外来
No.484 手術前
No.484 手術前
No.484 手術中
No.484 手術中
No.484 手術後
No.484 手術後
 '19年5月
前交通動脈瘤
60代
院内外来
No.483 手術前
No.483 手術前
No.483 手術中
No.483 手術中
No.483 手術後
No.483 手術後
 '19年5月
脳底動脈瘤
50代
大阪府の病院
No.477 手術前
No.477 手術前
No.477 手術中
No.477 手術中
No.477 手術後
No.477 手術後
 '19年4月
右内頚動脈瘤
40代
院内外来
No.474 手術前
No.474 手術前
No.474 手術中
No.474 手術中
No.474 手術後
No.474 手術後
 '19年4月
左内頚動脈瘤
70代
院内外来
No.472 手術前
No.472 手術前
No.472 手術中
No.472 手術中
No.472 手術後
No.472 手術後
 '19年4月
右内頚動脈瘤
40代
院内外来
No.471 手術前
No.471 手術前
No.471 手術中
No.471 手術中
No.471 手術後
No.471 手術後
 '19年4月
左内頚動脈瘤
40代
京都府の病院
No.469 手術前
No.469 手術前
No.469 手術中
No.469 手術中
No.469 手術後
No.469 手術後
 '19年4月
脳底動脈瘤
70代
大阪府の病院
No.468 手術前
No.468 手術前
No.468 手術中
No.468 手術中
No.468 手術後
No.468 手術後
 '19年4月
左中大脳動脈瘤
50代
大阪府の病院
No.465 手術前
No.465 手術前
No.465 手術中
No.465 手術中
No.465 手術後
No.465 手術後
 '19年4月
前交通動脈瘤
80代
大阪府の病院
No.463 手術前
No.463 手術前
No.463 手術中
No.463 手術中
No.463 手術後
No.463 手術後
 '19年4月
前交通動脈瘤
70代
奈良県の病院
No.462 手術前
No.462 手術前
No.462 手術中
No.462 手術中
No.462 手術後
No.462 手術後
 '19年4月
前交通動脈瘤
50代
大阪府の病院
No.461 手術前
No.461 手術前
No.461 手術中
No.461 手術中
No.461 手術後
No.461 手術後
 '19年4月
左中大脳動脈瘤
50代
大阪府の病院
No.460 手術前
No.460 手術前
No.460 手術中
No.460 手術中
No.460 手術後
No.460 手術後
 '19年4月
左内頚動脈瘤
70代
大阪府の病院
No.458 手術前
No.458 手術前
No.458 手術中
No.458 手術中
No.458 手術後
No.458 手術後
 '19年4月
右内頚動脈瘤
70代
大阪府の病院
No.457 手術前
No.457 手術前
No.457 手術中
No.457 手術中
No.457 手術後
No.457 手術後
 '19年4月
左内頚動脈瘤
40代
大阪府の病院
No.456 手術前
No.456 手術前
No.456 手術中
No.456 手術中
No.456 手術後
No.456 手術後
 '19年4月
左内頚動脈瘤
30代
院内外来
No.451 手術前
No.451 手術前
No.451 手術中
No.451 手術中
No.451 手術後
No.451 手術後
 '19年4月
左内頚動脈瘤
30代
奈良県の病院
No.446 手術前
No.446 手術前
No.446 手術中
No.446 手術中
No.446 手術後
No.446 手術後
 '19年4月
左内頚動脈瘤
40代
大阪府の病院
No.445 手術前
No.445 手術前
No.445 手術中
No.445 手術中
No.445 手術後
No.445 手術後
 '19年4月
前交通動脈瘤
60代
大阪府の病院
No.443 手術前
No.443 手術前
No.443 手術中
No.443 手術中
No.443 手術後
No.443 手術後
 '19年3月
右内頚動脈瘤
40代
院内外来
No.439 手術前
No.439 手術前
No.439 手術中
No.439 手術中
No.439 手術後
No.439 手術後
 '19年3月
右内頚動脈 後交通動脈 分岐部動脈瘤
70代
奈良県の病院
No.436 手術前
No.436 手術前
No.436 手術中
No.436 手術中
No.436 手術後
No.436 手術後
 '19年3月
前交通動脈瘤
70代
大阪府の病院
No.435 手術前
No.435 手術前
No.435 手術中
No.435 手術中
No.435 手術後
No.435 手術後
 '19年3月
左内頚動脈瘤
40代
院内外来
No.431 手術前
No.431 手術前
No.431 手術中
No.431 手術中
No.431 手術後
No.431 手術後
 '19年3月
前交通動脈瘤
50代
院内外来
No.430 手術前
No.430 手術前
No.430 手術中
No.430 手術中
No.430 手術後
No.430 手術後
 '19年3月
前交通動脈瘤
60代
大阪府の病院
No.428 手術前
No.428 手術前
No.428 手術中
No.428 手術中
No.428 手術後
No.428 手術後
 '19年3月
左硬膜動静脈瘻
70代
奈良県の病院
No.426 手術前
No.426 手術前
No.426 手術中
No.426 手術中
No.426 手術後
No.426 手術後
 '19年3月
左内頚動脈 後交通動脈 分岐部動脈瘤
50代
大阪府の病院
No.425 手術前
No.425 手術前
No.425 手術中
No.425 手術中
No.425 手術後
No.425 手術後
 '19年3月
右内頚動脈瘤
70代
大阪府の病院
No.424 手術前
No.424 手術前
No.424 手術中
No.424 手術中
No.424 手術後
No.424 手術後
 '19年3月
右内頚動脈瘤
70代
香川県の病院
No.423 手術前
No.423 手術前
No.423 手術中
No.423 手術中
No.423 手術後
No.423 手術後
 '19年3月
右椎骨動脈瘤
40代
大阪府の病院
No.421 手術前
No.421 手術前
No.421 手術中
No.421 手術中
No.421 手術後
No.421 手術後
 '19年3月
左内頚動脈 後交通動脈 分岐部動脈瘤
80代
鳥取県の病院
No.419 手術前
No.419 手術前
No.419 手術中
No.419 手術中
No.419 手術後
No.419 手術後
 '19年3月
右内頚動脈瘤
60代
和歌山県の病院
No.417 手術前
No.417 手術前
No.417 手術中
No.417 手術中
No.417 手術後
No.417 手術後
 '19年3月
脳底動脈瘤
70代
京都府の病院
No.415 手術前
No.415 手術前
No.415 手術中
No.415 手術中
No.415 手術後
No.415 手術後
 '19年3月
左中大脳動脈瘤
70代
大阪府の病院
No.414 手術前
No.414 手術前
No.414 手術中
No.414 手術中
No.414 手術後
No.414 手術後
 '19年3月
右内頚動脈 眼動脈瘤
50代
大阪府の病院
No.413 手術前
No.413 手術前
No.413 手術中
No.413 手術中
No.413 手術後
No.413 手術後
 '19年3月
前交通動脈瘤
40代
院内外来
No.412 手術前
No.412 手術前
No.412 手術中
No.412 手術中
No.412 手術後
No.412 手術後
 '19年2月
右内頚動脈 後交通動脈 分岐部動脈瘤
70代
大阪府の病院
No.411 手術前
No.411 手術前
No.411 手術中
No.411 手術中
No.411 手術後
No.411 手術後
 '19年2月
左内頚動脈瘤
70代
大阪府の病院
No.406 手術前
No.406 手術前
No.406 手術中
No.406 手術中
No.406 手術後
No.406 手術後
 '19年2月
脳底動脈瘤
70代
大阪府の病院
No.405 手術前
No.405 手術前
No.405 手術中
No.405 手術中
No.405 手術後
No.405 手術後
 '19年2月
左前大脳動脈瘤
70代
大阪府の病院
No.404 手術前
No.404 手術前
No.404 手術中
No.404 手術中
No.404 手術後
No.404 手術後
 '19年2月
右内頚動脈瘤
40代
院内外来
No.403 手術前
No.403 手術前
No.403 手術中
No.403 手術中
No.403 手術後
No.403 手術後
 '19年2月
前交通動脈瘤
50代
沖縄県の病院
No.398 手術前
No.398 手術前
No.398 手術中
No.398 手術中
No.398 手術後
No.398 手術後
 '19年2月
前交通動脈瘤
50代
院内外来
No.395 手術前
No.395 手術前
No.395 手術中
No.395 手術中
No.395 手術後
No.395 手術後
 '19年2月
左内頚動脈瘤
50代
和歌山県の病院
No.393 手術前
No.393 手術前
No.393 手術中
No.393 手術中
No.393 手術後
No.393 手術後
 '19年2月
脳底動脈瘤
80代
院内外来
No.392 手術前
No.392 手術前
No.392 手術中
No.392 手術中
No.392 手術後
No.392 手術後
 '19年2月
左内頚動脈瘤
40代
院内外来
No.389 手術前
No.389 手術前
No.389 手術中
No.389 手術中
No.389 手術後
No.389 手術後
 '19年2月
前交通動脈瘤
60代
大阪府の病院
No.388 手術前
No.388 手術前
No.388 手術中
No.388 手術中
No.388 手術後
No.388 手術後
 '19年2月
左内頚動脈後 交通動脈 分岐部動脈瘤
80代
大阪府の病院
No.386 手術前
No.386 手術前
No.386 手術中
No.386 手術中
No.386 手術後
No.386 手術後
 '19年2月
左内頚動脈瘤
60代
院内外来
No.385 手術前
No.385 手術前
No.385 手術中
No.385 手術中
No.385 手術後
No.385 手術後
 '19年2月
前交通動脈瘤
70代
大阪府の病院
No.384 手術前
No.384 手術前
No.384 手術中
No.384 手術中
No.384 手術後
No.384 手術後
 '19年2月
左内頚動脈瘤
60代
奈良県の病院
No.383 手術前
No.383 手術前
No.383 手術中
No.383 手術中
No.383 手術後
No.383 手術後
 '19年2月
左内頚動脈 後交通動脈 分岐部動脈瘤
50代
大阪府の病院
No.382 手術前
No.382 手術前
No.382 手術中
No.382 手術中
No.382 手術後
No.382 手術後
 '19年2月
左内頚動脈 後交通動脈 分岐部動脈瘤
50代
大阪府の病院
No.381 手術前
No.381 手術前
No.381 手術中
No.381 手術中
No.381 手術後
No.381 手術後
 '19年2月
右内頚動脈 後交通動脈 分岐部動脈瘤
30代
大阪府の病院
No.380 手術前
No.380 手術前
No.380 手術中
No.380 手術中
No.380 手術後
No.380 手術後
 '19年1月
右内頚動脈瘤
40代
院内外来
No.371 手術前
No.371 手術前
No.371 手術中
No.371 手術中
No.371 手術後
No.371 手術後
 '19年1月
脳底動脈瘤
70代
院内外来
No.370 手術前
No.370 手術前
No.370 手術中
No.370 手術中
No.370 手術後
No.370 手術後
 '19年1月
右内頚動脈瘤
80代
院内外来
No.369 手術前
No.369 手術前
No.369 手術中
No.369 手術中
No.369 手術後
No.369 手術後
 '19年1月
右中大脳動脈瘤
60代
愛媛県の病院
No.365 手術前
No.365 手術前
No.365 手術中
No.365 手術中
No.365 手術後
No.365 手術後
 '19年1月
前交通動脈瘤
70代
院内外来
No.362 手術前
No.362 手術前
No.362 手術中
No.362 手術中
No.362 手術後
No.362 手術後
 '19年1月
右椎骨動脈瘤
40代
和歌山県の病院
No.358 手術前
No.358 手術前
No.358 手術中
No.358 手術中
No.358 手術後
No.358 手術後
 '19年1月
脳底動脈瘤
50代
院内外来
No.357 手術前
No.357 手術前
No.357 手術中
No.357 手術中
No.357 手術後
No.357 手術後
 '19年1月
脳底動脈瘤
50代
院内外来
No.356 手術前
No.356 手術前
No.356 手術中
No.356 手術中
No.356 手術後
No.356 手術後
 '19年1月
右内頚動脈瘤
60代
大阪府の病院
No.354 手術前
No.354 手術前
No.354 手術中
No.354 手術中
No.354 手術後
No.354 手術後
 '19年1月
右中大脳動脈瘤
70代
院内外来
No.353 手術前
No.353 手術前
No.353 手術中
No.353 手術中
No.353 手術後
No.353 手術後
 '19年1月
脳底動脈瘤
70代
奈良県の病院
No.352 手術前
No.352 手術前
No.352 手術中
No.352 手術中
No.352 手術後
No.352 手術後
 '19年1月
右内頚動脈瘤
60代
滋賀県の病院
No.351 手術前
No.351 手術前
No.351 手術中
No.351 手術中
No.351 手術後
No.351 手術後
 '18年12月
左内頚動脈瘤
60代
院内外来
No.347 手術前
No.347 手術前
No.347 手術中
No.347 手術中
No.347 手術後
No.347 手術後
 '18年12月
右内頚動脈瘤
70代
千葉県の病院
No.346 手術前
No.346 手術前
No.346 手術中
No.346 手術中
No.346 手術後
No.346 手術後
 '18年12月
右内頚動脈 後交通動脈 分岐部動脈瘤
70代
大阪府の病院
No.345 手術前
No.345 手術前
No.345 手術中
No.345 手術中
No.345 手術後
No.345 手術後
 '18年12月
右内頚動脈 後交通動脈 分岐部動脈瘤
70代
大阪府の病院
No.344 手術前
No.344 手術前
No.344 手術中
No.344 手術中
No.344 手術後
No.344 手術後
 '18年12月
前交通動脈瘤
50代
大阪府の病院
No.340 手術前
No.340 手術前
No.340 手術中
No.340 手術中
No.340 手術後
No.340 手術後
 '18年12月
内頚動脈 後交通動脈瘤
50代
京都府の病院
No.339 手術前
No.339 手術前
No.339 手術中
No.339 手術中
No.339 手術後
No.339 手術後
 '18年12月
右内頚動脈瘤
60代
院内外来
No.338 手術前
No.338 手術前
No.338 手術中
No.338 手術中
No.338 手術後
No.338 手術後
 '18年12月
右内頚動脈瘤
50代
大阪府の病院
No.333 手術前
No.333 手術前
No.333 手術中
No.333 手術中
No.333 手術後
No.333 手術後
 '18年12月
左前大脳動脈瘤
70代
大阪府の病院
No.332 手術前
No.332 手術前
No.332 手術中
No.332 手術中
No.332 手術後
No.332 手術後
 '18年12月
左内頚動脈瘤
70代
院内外来
No.327 手術前
No.327 手術前
No.327 手術中
No.327 手術中
No.327 手術後
No.327 手術後
 '18年12月
椎骨動脈瘤
70代
院内外来
No.326 手術前
No.326 手術前
No.326 手術中
No.326 手術中
No.326 手術後
No.326 手術後
 '18年12月
左内頚動脈 後交通動脈 分岐部動脈瘤
50代
大阪府の病院
No.324 手術前
No.324 手術前
No.324 手術中
No.324 手術中
No.324 手術後
No.324 手術後
 '18年12月
左内頚動脈 後交通動脈 分岐部動脈瘤
60代
院内外来
No.323 手術前
No.323 手術前
No.323 手術中
No.323 手術中
No.323 手術後
No.323 手術後
 '18年12月
左内頚動脈 後交通動脈 分岐部動脈瘤
60代
院内外来
No.322 手術前
No.322 手術前
No.322 手術中
No.322 手術中
No.322 手術後
No.322 手術後
 '18年12月
脳底動脈瘤
70代
院内外来
No.320 手術前
No.320 手術前
No.320 手術中
No.320 手術中
No.320 手術後
No.320 手術後
 '18年12月
左内頚動脈 後交通動脈 分岐部動脈瘤
40代
大阪府の病院
No.319 手術前
No.319 手術前
No.319 手術中
No.319 手術中
No.319 手術後
No.319 手術後
 '18年11月
左内頚動脈瘤
60代
兵庫県の病院
No.317 手術前
No.317 手術前
No.317 手術中
No.317 手術中
No.317 手術後
No.317 手術後
 '18年11月
右内頚動脈 後交通動脈 分岐部動脈瘤
70代
院内外来
No.314 手術前
No.314 手術前
No.314 手術中
No.314 手術中
No.314 手術後
No.314 手術後
 '18年11月
右内頚動脈 後交通動脈 分岐部動脈瘤
70代
院内外来
No.312 手術前
No.312 手術前
No.312 手術中
No.312 手術中
No.312 手術後
No.312 手術後
 '18年11月
左内頚動脈瘤
70代
大阪府の病院
No.311 手術前
No.311 手術前
No.311 手術中
No.311 手術中
No.311 手術後
No.311 手術後
 '18年11月
左椎骨動脈瘤
80代
院内外来
No.307 手術前
No.307 手術前
No.307 手術中
No.307 手術中
No.307 手術後
No.307 手術後
 '18年11月
脳底動脈瘤
60代
大阪府の病院
No.305 手術前
No.305 手術前
No.305 手術中
No.305 手術中
No.305 手術後
No.305 手術後
 '18年11月
左内頚動脈瘤
50代
院内外来
No.302 手術前
No.302 手術前
No.302 手術中
No.302 手術中
No.302 手術後
No.302 手術後
 '18年11月
左内頚動脈瘤
60代
大阪府の病院
No.297 手術前
No.297 手術前
No.297 手術中
No.297 手術中
No.297 手術後
No.297 手術後
 '18年11月
左内頚動脈瘤
60代
院内外来
No.294 手術前
No.294 手術前
No.294 手術中
No.294 手術中
No.294 手術後
No.294 手術後
 '18年11月
左内頚動脈 後交通動脈 分岐部動脈瘤
70代
院内外来
No.292 手術前
No.292 手術前
No.292 手術中
No.292 手術中
No.292 手術後
No.292 手術後
 '18年11月
前交通動脈瘤
60代
兵庫県の病院
No.291 手術前
No.291 手術前
No.291 手術中
No.291 手術中
No.291 手術後
No.291 手術後
 '18年11月
左内頚動脈瘤
70代
大阪府の病院
No.290 手術前
No.290 手術前
No.290 手術中
No.290 手術中
No.290 手術後
No.290 手術後
 '18年10月
左内頚動脈瘤
70代
大阪府の病院
No.289 手術前
No.289 手術前
No.289 手術中
No.289 手術中
No.289 手術後
No.289 手術後
 '18年10月
左内頚動脈瘤
50代
兵庫県の病院
No.286 手術前
No.286 手術前
No.286 手術中
No.286 手術中
No.286 手術後
No.286 手術後
 '18年10月
右椎骨動脈瘤
60代
大阪府の病院
No.283 手術前
No.283 手術前
No.283 手術中
No.283 手術中
No.283 手術後
No.283 手術後
 '18年10月
右椎骨動脈瘤
70代
大阪府の病院
No.279 手術前
No.279 手術前
No.279 手術中
No.279 手術中
No.279 手術後
No.279 手術後
 '18年10月
前交通動脈瘤
70代
大阪府の病院
No.278 手術前
No.278 手術前
No.278 手術中
No.278 手術中
No.278 手術後
No.278 手術後
 '18年10月
左内径動脈瘤
70代
大阪府の病院
No.277 手術前
No.277 手術前
No.277 手術中
No.277 手術中
No.277 手術後
No.277 手術後
 '18年10月
右内頚動脈瘤
30代
大阪府の病院
No.275 手術前
No.275 手術前
No.275 手術中
No.275 手術中
No.275 手術後
No.275 手術後
 '18年10月
左脳底動脈瘤
50代
大阪府の病院
No.274 手術前
No.274 手術前
No.274 手術中
No.274 手術中
No.274 手術後
No.274 手術後
 '18年10月
右椎骨動脈瘤
70代
院内外来
No.273 手術前
No.273 手術前
No.273 手術中
No.273 手術中
No.273 手術後
No.273 手術後
 '18年10月
左内頚動脈瘤
70代
大阪府の病院
No.272 手術前
No.272 手術前
No.272 手術中
No.272 手術中
No.272 手術後
No.272 手術後
 '18年10月
左中大脳動脈瘤
40代
愛知県の病院
No.270 手術前
No.270 手術前
No.270 手術中
No.270 手術中
No.270 手術後
No.270 手術後
 '18年9月
左内頚動脈瘤
70代
院内外来
No.266 手術前
No.266 手術前
No.266 手術中
No.266 手術中
No.266 手術後
No.266 手術後
 '18年9月
右脳底動脈瘤
70代
院内外来
No.265 手術前
No.265 手術前
No.265 手術中
No.265 手術中
No.265 手術後
No.265 手術後
 '18年9月
左内頚動脈 後交通動脈 分岐部動脈瘤
50代
院内外来
No.264 手術前
No.264 手術前
No.264 手術中
No.264 手術中
No.264 手術後
No.264 手術後
 '18年9月
左内頚動脈瘤
50代
院内外来
No.263 手術前
No.263 手術前
No.263 手術中
No.263 手術中
No.263 手術後
No.263 手術後
 '18年9月
右内頚動脈 後交通動脈 分岐部動脈瘤
70代
院内外来
No.262 手術前
No.262 手術前
No.262 手術中
No.262 手術中
No.262 手術後
No.262 手術後
 '18年9月
右内頚動脈瘤
50代
院内外来
No.259 手術前
No.259 手術前
No.259 手術中
No.259 手術中
No.259 手術後
No.259 手術後
 '18年9月
椎骨動脈瘤
40代
院内外来
No.257 手術前
No.257 手術前
No.257 手術中
No.257 手術中
No.257 手術後
No.257 手術後
 '18年9月
左内頚動脈 後交通動脈 分岐部動脈瘤
80代
院内外来
No.256 手術前
No.256 手術前
No.256 手術中
No.256 手術中
No.256 手術後
No.256 手術後
 '18年9月
左内頚動脈瘤
40代
院内外来
No.255 手術前
No.255 手術前
No.255 手術中
No.255 手術中
No.255 手術後
No.255 手術後
 '18年9月
前交通動脈瘤
40代
院内外来
No.252 手術前
No.252 手術前
No.252 手術中
No.252 手術中
No.252 手術後
No.252 手術後
 '18年9月
左前大脳動脈瘤
40代
大阪府の病院
No.251 手術前
No.251 手術前
No.251 手術中
No.251 手術中
No.251 手術後
No.251 手術後
 '18年9月
左内頚動脈瘤
50代
大阪府の病院
No.248 手術前
No.248 手術前
No.248 手術中
No.248 手術中
No.248 手術後
No.248 手術後
 '18年9月
左内頚動脈 後交通動脈 分岐部動脈瘤
70代
大阪府の病院
No.244 手術前
No.244 手術前
No.244 手術中
No.244 手術中
No.244 手術後
No.244 手術後
 '18年8月
右内頚動脈 後交通動脈 分岐部動脈瘤
60代
院内外来
No.240 手術前
No.240 手術前
No.240 手術中
No.240 手術中
No.240 手術後
No.240 手術後
 '18年8月
右内頚動脈 後交通動脈 分岐部動脈瘤
70代
院内外来
No.239 手術前
No.239 手術前
No.239 手術中
No.239 手術中
No.239 手術後
No.239 手術後
 '18年8月
内頚動脈 後交通動脈 分岐部動脈瘤
70代
院内外来
No.238 手術前
No.238 手術前
No.238 手術中
No.238 手術中
No.238 手術後
No.238 手術後
 '18年8月
左中大脳動脈瘤
60代
大阪府の病院
No.236 手術前
No.236 手術前
No.236 手術中
No.236 手術中
No.236 手術後
No.236 手術後
 '18年8月
左内頚動脈 後交通動脈 分岐部動脈瘤
80代
大阪府の病院
No.235 手術前
No.235 手術前
No.235 手術中
No.235 手術中
No.235 手術後
No.235 手術後
 '18年8月
左内頚動脈瘤
60代
院内外来
No.234 手術前
No.234 手術前
No.234 手術中
No.234 手術中
No.234 手術後
No.234 手術後
 '18年8月
右内頚動脈瘤
50代
院内外来
No.233 手術前
No.233 手術前
No.233 手術中
No.233 手術中
No.233 手術後
No.233 手術後
 '18年8月
左内頚動脈瘤
30代
院内外来
No.232 手術前
No.232 手術前
No.232 手術中
No.232 手術中
No.232 手術後
No.232 手術後
 '18年8月
前交通動脈瘤
70代
院内外来
No.230 手術前
No.230 手術前
No.230 手術中
No.230 手術中
No.230 手術後
No.230 手術後
 '18年8月
右内頚動脈瘤
40代
大阪府の病院
No.229 手術前
No.229 手術前
No.229 手術中
No.229 手術中
No.229 手術後
No.229 手術後
 '18年8月
右内頚動脈瘤
60代
大阪府の病院
No.228 手術前
No.228 手術前
No.228 手術中
No.228 手術中
No.228 手術後
No.228 手術後
 '18年8月
前交通動脈瘤
70代
院内外来
No.226 手術前
No.226 手術前
No.226 手術中
No.226 手術中
No.226 手術後
No.226 手術後
 '18年8月
脳底動脈瘤
80代
院内外来
No.225 手術前
No.225 手術前
No.225 手術中
No.225 手術中
No.225 手術後
No.225 手術後
 '18年8月
前交通動脈瘤
60代
院内外来
No.221 手術前
No.221 手術前
No.221 手術中
No.221 手術中
No.221 手術後
No.221 手術後
 '18年8月
前交通動脈瘤
50代
大阪府の病院
No.220 手術前
No.220 手術前
No.220 手術中
No.220 手術中
No.220 手術後
No.220 手術後
 '18年8月
右内頚動脈瘤
50代
院内外来
No.218 手術前
No.218 手術前
No.218 手術中
No.218 手術中
No.218 手術後
No.218 手術後
 '18年8月
右内頚動脈瘤
40代
院内外来
No.214 手術前
No.214 手術前
No.214 手術中
No.214 手術中
No.214 手術後
No.214 手術後
 '18年8月
右内頚動脈瘤
80代
院内外来
No.213 手術前
No.213 手術前
No.213 手術中
No.213 手術中
No.213 手術後
No.213 手術後
 '18年8月
右椎骨動脈瘤
60代
院内外来
No.211 手術前
No.211 手術前
No.211 手術中
No.211 手術中
No.211 手術後
No.211 手術後
 '18年8月
左内頚動脈瘤
40代
大阪府の病院
No.210 手術前
No.210 手術前
No.210 手術中
No.210 手術中
No.210 手術後
No.210 手術後
 '18年8月
左内頚動脈瘤
50代
院内外来
No.207 手術前
No.207 手術前
No.207 手術中
No.207 手術中
No.207 手術後
No.207 手術後
 '18年8月
右椎骨動脈瘤
50代
院内外来
No.205 手術前
No.205 手術前
No.205 手術中
No.205 手術中
No.205 手術後
No.205 手術後
 '18年8月
右中大脳動脈瘤
40代
東京の病院
No.204 手術前
No.204 手術前
No.204 手術中
No.204 手術中
No.204 手術後
No.204 手術後
 '18年8月
左内頚動脈瘤
70代
大阪府の病院
No.203 手術前
No.203 手術前
No.203 手術中
No.203 手術中
No.203 手術後
No.203 手術後
 '18年7月
右椎骨動脈瘤
50代
院内外来
No.201 手術前
No.201 手術前
No.201 手術中
No.201 手術中
No.201 手術後
No.201 手術後
 '18年7月
左内頚動脈瘤
40代
院内外来
No.197 手術前
No.197 手術前
No.197 手術中
No.197 手術中
No.197 手術後
No.197 手術後
 '18年7月
左脳底動脈瘤
40代
大阪府の病院
No.196 手術前
No.196 手術前
No.196 手術中
No.196 手術中
No.196 手術後
No.196 手術後
 '18年7月
左内頚動脈 後交通動脈 分岐部動脈瘤
50代
院内外来
No.195 手術前
No.195 手術前
No.195 手術中
No.195 手術中
No.195 手術後
No.195 手術後
 '18年7月
左椎骨動脈瘤
60代
大阪府の病院
No.194 手術前
No.194 手術前
No.194 手術中
No.194 手術中
No.194 手術後
No.194 手術後
 '18年7月
前交通動脈瘤
60代
院内外来
No.193 手術前
No.193 手術前
No.193 手術中
No.193 手術中
No.193 手術後
No.193 手術後
 '18年7月
左内頚動脈 後交通動脈 分岐部動脈瘤
70代
大阪府の病院
No.192 手術前
No.192 手術前
No.192 手術中
No.192 手術中
No.192 手術後
No.192 手術後
 '18年7月
前大脳動脈瘤
50代
院内外来
No.190 手術前
No.190 手術前
No.190 手術中
No.190 手術中
No.190 手術後
No.190 手術後
 '18年7月
内頚動脈動脈瘤
60代
院内外来
No.189 手術前
No.189 手術前
No.189 手術中
No.189 手術中
No.189 手術後
No.189 手術後
 '18年7月
左前大脳動脈瘤
50代
大阪府の病院
No.187 手術前
No.187 手術前
No.187 手術中
No.187 手術中
No.187 手術後
No.187 手術後
 '18年7月
右内頚動脈瘤
80代
大阪府の病院
No.186 手術前
No.186 手術前
No.186 手術中
No.186 手術中
No.186 手術後
No.186 手術後
 '18年7月
左内頚動脈瘤
80代
大阪府の病院
No.185 手術前
No.185 手術前
No.185 手術中
No.185 手術中
No.185 手術後
No.185 手術後
 '18年7月
前交通動脈瘤
40代
院内外来
No.182 手術前
No.182 手術前
No.182 手術中
No.182 手術中
No.182 手術後
No.182 手術後
 '18年7月
右内頚動脈 後交通動脈 分岐部動脈瘤
10代
大阪府の病院
No.181 手術前
No.181 手術前
No.181 手術中
No.181 手術中
No.181 手術後
No.181 手術後
 '18年7月
右内頚動脈 後交通動脈 分岐部動脈瘤
60代
大阪府の病院
No.178 手術前
No.178 手術前
No.178 手術中
No.178 手術中
No.178 手術後
No.178 手術後
 '18年7月
左内頚動脈瘤
40代
大阪府の病院
No.174 手術前
No.174 手術前
No.174 手術中
No.174 手術中
No.174 手術後
No.174 手術後
 '18年7月
左内頚動脈 後交通動脈 分岐部動脈瘤
70代
大阪府の病院
No.173 手術前
No.173 手術前
No.173 手術中
No.173 手術中
No.173 手術後
No.173 手術後
 '18年7月
左中大脳動脈瘤
70代
大阪府の病院
No.172 手術前
No.172 手術前
No.172 手術中
No.172 手術中
No.172 手術後
No.172 手術後
 '18年7月
左内頚動脈瘤
70代
院内外来
No.170 手術前
No.170 手術前
No.170 手術中
No.170 手術中
No.170 手術後
No.170 手術後
 '18年6月
前交通動脈瘤
60代
院内外来
No.166 手術前
No.166 手術前
No.166 手術中
No.166 手術中
No.166 手術後
No.166 手術後
 '18年6月
左椎骨動脈瘤
80代
大阪府の病院
No.163 手術前
No.163 手術前
No.163 手術中
No.163 手術中
No.163 手術後
No.163 手術後
 '18年6月
右中大脳動脈瘤
70代
大阪府の病院
No.161 手術前
No.161 手術前
No.161 手術中
No.161 手術中
No.161 手術後
No.161 手術後
 '18年6月
左内頚動脈瘤
50代
大阪府の病院
No.160 手術前
No.160 手術前
No.160 手術中
No.160 手術中
No.160 手術後
No.160 手術後
 '18年6月
前交通動脈瘤
30代
神奈川県の病院
No.159 手術前
No.159 手術前
No.159 手術中
No.159 手術中
No.159 手術後
No.159 手術後
 '18年6月
前交通動脈瘤
60代
院内外来
No.158 手術前
No.158 手術前
No.158 手術中
No.158 手術中
No.158 手術後
No.158 手術後
 '18年6月
右内頚動脈瘤
50代
院内外来
No.154 手術前
No.154 手術前
No.154 手術中
No.154 手術中
No.154 手術後
No.154 手術後
 '18年6月
左中大脳動脈瘤
60代
奈良県の病院
No.153 手術前
No.153 手術前
No.153 手術中
No.153 手術中
No.153 手術後
No.153 手術後
 '18年6月
脳底動脈瘤
70代
大阪府の病院
No.152 手術前
No.152 手術前
No.152 手術中
No.152 手術中
No.152 手術後
No.152 手術後
 '18年6月
右内頚動脈 後交通動脈 分岐部動脈瘤
80代
院内外来
No.151 手術前
No.151 手術前
No.151 手術中
No.151 手術中
No.151 手術後
No.151 手術後
 '18年6月
内頚動脈 後交通動脈 分岐部動脈瘤
40代
院内外来
No.149 手術前
No.149 手術前
No.149 手術中
No.149 手術中
No.149 手術後
No.149 手術後
 '18年6月
脳動静脈奇形
10代
愛媛県の病院
No.147 手術前
No.147 手術前
No.147 手術中
No.147 手術中
No.147 手術後
No.147 手術後
 '18年6月
右内頚動脈瘤
40代
院内外来
No.146 手術前
No.146 手術前
No.146 手術中
No.146 手術中
No.146 手術後
No.146 手術後
 '18年6月
左内頚動脈瘤
40代
大阪府の病院
No.145 手術前
No.145 手術前
No.145 手術中
No.145 手術中
No.145 手術後
No.145 手術後
 '18年6月
左脳底動脈瘤
60代
大阪府の病院
No.144 手術前
No.144 手術前
No.144 手術中
No.144 手術中
No.144 手術後
No.144 手術後
 '18年6月
左中大脳動脈瘤
40代
大阪府の病院
No.143 手術前
No.143 手術前
No.143 手術中
No.143 手術中
No.143 手術後
No.143 手術後
 '18年6月
右内頚動脈瘤
40代
院内外来
No.142 手術前
No.142 手術前
No.142 手術中
No.142 手術中
No.142 手術後
No.142 手術後
 '18年5月
左内頚動脈瘤
60代
山梨県の病院
No.141 手術前
No.141 手術前
No.141 手術中
No.141 手術中
No.141 手術後
No.141 手術後
 '18年5月
右中大脳動脈瘤
50代
大阪府の病院
No.140 手術前
No.140 手術前
No.140 手術中
No.140 手術中
No.140 手術後
No.140 手術後
 '70年1月
前交通動脈瘤
70代
大阪府の病院
No.138 手術前
No.138 手術前
No.138 手術中
No.138 手術中
No.138 手術後
No.138 手術後
 '18年5月
左内頚動脈瘤
90代
大阪府の病院
No.137 手術前
No.137 手術前
No.137 手術中
No.137 手術中
No.137 手術後
No.137 手術後
 '18年5月
左中大脳動脈瘤
40代
大阪府の病院
No.136 手術前
No.136 手術前
No.136 手術中
No.136 手術中
No.136 手術後
No.136 手術後
 '70年1月
左内頚動脈瘤
80代
奈良県の病院
No.135 手術前
No.135 手術前
No.135 手術中
No.135 手術中
No.135 手術後
No.135 手術後
 '18年5月
右脳底動脈瘤
50代
大阪府の病院
No.134 手術前
No.134 手術前
No.134 手術中
No.134 手術中
No.134 手術後
No.134 手術後
 '18年5月
内頚動脈動脈瘤
80代
院内外来
No.132 手術前
No.132 手術前
No.132 手術中
No.132 手術中
No.132 手術後
No.132 手術後
 '18年5月
前交通動脈瘤
40代
院内外来
No.130 手術前
No.130 手術前
No.130 手術中
No.130 手術中
No.130 手術後
No.130 手術後
 '18年5月
左中大脳動脈瘤
60代
院内外来
No.129 手術前
No.129 手術前
No.129 手術中
No.129 手術中
No.129 手術後
No.129 手術後
 '18年5月
前交通動脈瘤
50代
院内外来
No.127 手術前
No.127 手術前
No.127 手術中
No.127 手術中
No.127 手術後
No.127 手術後
 '18年5月
左前大脳動脈瘤
80代
院内外来
No.126 手術前
No.126 手術前
No.126 手術中
No.126 手術中
No.126 手術後
No.126 手術後
 '18年5月
左内頚動脈瘤
50代
院内外来
No.125 手術前
No.125 手術前
No.125 手術中
No.125 手術中
No.125 手術後
No.125 手術後
 '18年5月
右内頚動脈 後交通動脈 分岐部動脈瘤
60代
院内外来
No.124 手術前
No.124 手術前
No.124 手術中
No.124 手術中
No.124 手術後
No.124 手術後
 '18年5月
脳底動脈瘤
60代
院内外来
No.123 手術前
No.123 手術前
No.123 手術中
No.123 手術中
No.123 手術後
No.123 手術後
 '18年5月
硬膜動静脈瘻
70代
院内外来
No.122 手術前
No.122 手術前
No.122 手術中
No.122 手術中
No.122 手術後
No.122 手術後
 '18年5月
左内頚動脈瘤
60代
院内外来
No.120 手術前
No.120 手術前
No.120 手術中
No.120 手術中
No.120 手術後
No.120 手術後
 '18年5月
椎骨動脈瘤
50代
院内外来
No.117 手術前
No.117 手術前
No.117 手術中
No.117 手術中
No.117 手術後
No.117 手術後
 '18年4月
右内頚動脈 後交通動脈 分岐部動脈瘤
60代
大阪府の病院
No.111 手術前
No.111 手術前
No.111 手術中
No.111 手術中
No.111 手術後
No.111 手術後
 '18年4月
左内頚動脈瘤
40代
院内外来
No.110 手術前
No.110 手術前
No.110 手術中
No.110 手術中
No.110 手術後
No.110 手術後
 '18年4月
内径動脈瘤
40代
院内外来
No.109 手術前
No.109 手術前
No.109 手術中
No.109 手術中
No.109 手術後
No.109 手術後
 '18年4月
内頚動脈 後交通動脈 分岐部動脈瘤
40代
院内外来
No.108 手術前
No.108 手術前
No.108 手術中
No.108 手術中
No.108 手術後
No.108 手術後
 '18年4月
前交通動脈瘤
70代
院内外来
No.107 手術前
No.107 手術前
No.107 手術中
No.107 手術中
No.107 手術後
No.107 手術後
 '18年4月
内頚動脈動脈瘤
70代
院内外来
No.106 手術前
No.106 手術前
No.106 手術中
No.106 手術中
No.106 手術後
No.106 手術後
 '18年4月
右内頚動脈瘤
60代
院内外来
No.105 手術前
No.105 手術前
No.105 手術中
No.105 手術中
No.105 手術後
No.105 手術後
 '18年4月
左内頚動脈瘤
70代
院内外来
No.101 手術前
No.101 手術前
No.101 手術中
No.101 手術中
No.101 手術後
No.101 手術後
 '18年4月
脳底動脈瘤
70代
院内外来
No.97 手術前
No.97 手術前
No.97 手術中
No.97 手術中
No.97 手術後
No.97 手術後
 '18年4月
右内頚動脈瘤
30代
院内外来
No.96 手術前
No.96 手術前
No.96 手術中
No.96 手術中
No.96 手術後
No.96 手術後
 '18年4月
脳底動脈瘤
60代
院内外来
No.95 手術前
No.95 手術前
No.95 手術中
No.95 手術中
No.95 手術後
No.95 手術後
 '18年4月
前交通動脈瘤
60代
院内外来
No.93 手術前
No.93 手術前
No.93 手術中
No.93 手術中
No.93 手術後
No.93 手術後
 '18年3月
脳底動脈瘤
70代
院内外来
No.89 手術前
No.89 手術前
No.89 手術中
No.89 手術中
No.89 手術後
No.89 手術後
 '18年3月
右前大脳動脈瘤
50代
院内外来
No.86 手術前
No.86 手術前
No.86 手術中
No.86 手術中
No.86 手術後
No.86 手術後
 '18年3月
脳底動脈瘤
50代
院内外来
No.83 手術前
No.83 手術前
No.83 手術中
No.83 手術中
No.83 手術後
No.83 手術後
 '18年3月
内頚動脈瘤
30代
大阪府の病院
No.78 手術前
No.78 手術前
No.78 手術中
No.78 手術中
No.78 手術後
No.78 手術後
 '18年3月
左内頚動脈瘤
40代
院内外来
No.76 手術前
No.76 手術前
No.76 手術中
No.76 手術中
No.76 手術後
No.76 手術後
 '18年3月
右中大脳動脈瘤
60代
院内外来
No.74 手術前
No.74 手術前
No.74 手術中
No.74 手術中
No.74 手術後
No.74 手術後
 '18年3月
右前下小脳動脈瘤
70代
院内外来
No.71 手術前
No.71 手術前
No.71 手術中
No.71 手術中
No.71 手術後
No.71 手術後
 '18年3月
左内頚動脈瘤
50代
院内外来
No.69 手術前
No.69 手術前
No.69 手術中
No.69 手術中
No.69 手術後
No.69 手術後
 '18年3月
前交通動脈瘤
40代
院内外来
No.67 手術前
No.67 手術前
No.67 手術中
No.67 手術中
No.67 手術後
No.67 手術後
 '18年3月
左椎骨動脈瘤
20代
院内外来
No.66 手術前
No.66 手術前
No.66 手術中
No.66 手術中
No.66 手術後
No.66 手術後
 '18年3月
内頚動脈瘤
50代
院内外来
No.65 手術前
No.65 手術前
No.65 手術中
No.65 手術中
No.65 手術後
No.65 手術後
 '18年3月
脳底動脈瘤
60代
院内外来
No.63 手術前
No.63 手術前
No.63 手術中
No.63 手術中
No.63 手術後
No.63 手術後
 '18年2月
左中大脳動脈瘤
60代
院内外来
No.60 手術前
No.60 手術前
No.60 手術中
No.60 手術中
No.60 手術後
No.60 手術後
 '18年2月
左内頚動脈瘤
60代
大阪府の病院
No.59 手術前
No.59 手術前
No.59 手術中
No.59 手術中
No.59 手術後
No.59 手術後
 '18年2月
右椎骨動脈後下 小脳動脈脳動脈瘤
30代
院内外来
No.58 手術前
No.58 手術前
No.58 手術中
No.58 手術中
No.58 手術後
No.58 手術後
 '18年2月
前交通動脈瘤
50代
院内外来
No.56 手術前
No.56 手術前
No.56 手術中
No.56 手術中
No.56 手術後
No.56 手術後
 '18年2月
前交通動脈瘤
60代
院内外来
No.55 手術前
No.55 手術前
No.55 手術中
No.55 手術中
No.55 手術後
No.55 手術後
 '18年2月
右内頚動脈瘤
60代
院内外来
No.52 手術前
No.52 手術前
No.52 手術中
No.52 手術中
No.52 手術後
No.52 手術後
 '18年2月
脳底動脈瘤
40代
院内外来
No.51 手術前
No.51 手術前
No.51 手術中
No.51 手術中
No.51 手術後
No.51 手術後
 '18年2月
左内頚動脈瘤
80代
院内外来
No.50 手術前
No.50 手術前
No.50 手術中
No.50 手術中
No.50 手術後
No.50 手術後
 '18年2月
右内頚動脈瘤
60代
大阪府の病院
No.49 手術前
No.49 手術前
No.49 手術中
No.49 手術中
No.49 手術後
No.49 手術後
 '18年2月
前交通動脈瘤
60代
院内外来
No.48 手術前
No.48 手術前
No.48 手術中
No.48 手術中
No.48 手術後
No.48 手術後
 '18年2月
脳底動脈瘤
30代
大阪府の病院
No.44 手術前
No.44 手術前
No.44 手術中
No.44 手術中
No.44 手術後
No.44 手術後
 '18年2月
左中大脳動脈瘤
60代
大阪府の病院
No.43 手術前
No.43 手術前
No.43 手術中
No.43 手術中
No.43 手術後
No.43 手術後
 '18年2月
左中大脳動脈瘤
60代
大阪府の病院
No.42 手術前
No.42 手術前
No.42 手術中
No.42 手術中
No.42 手術後
No.42 手術後
 '18年2月
前交通動脈瘤
70代
大阪府の病院
No.39 手術前
No.39 手術前
No.39 手術中
No.39 手術中
No.39 手術後
No.39 手術後
 '18年2月
脳動脈瘤
80代
大阪府の病院
No.38 手術前
No.38 手術前
No.38 手術中
No.38 手術中
No.38 手術後
No.38 手術後
 '18年2月
右内頚動脈瘤
40代
大阪府の病院
No.36 手術前
No.36 手術前
No.36 手術中
No.36 手術中
No.36 手術後
No.36 手術後
 '18年2月
右内頚動脈瘤
60代
院内外来
No.32 手術前
No.32 手術前
No.32 手術中
No.32 手術中
No.32 手術後
No.32 手術後
 '18年1月
右椎骨動脈瘤
40代
大阪府の病院
No.27 手術前
No.27 手術前
No.27 手術中
No.27 手術中
No.27 手術後
No.27 手術後
 '18年1月
内頚動脈瘤
50代
奈良県の病院
No.26 手術前
No.26 手術前
No.26 手術中
No.26 手術中
No.26 手術後
No.26 手術後
 '18年1月
左中大脳動脈瘤
60代
院内外来
No.25 手術前
No.25 手術前
No.25 手術中
No.25 手術中
No.25 手術後
No.25 手術後
 '18年1月
前交通動脈瘤
60代
大阪府の病院
No.22 手術前
No.22 手術前
No.22 手術中
No.22 手術中
No.22 手術後
No.22 手術後
 '18年1月
左椎骨動脈瘤
50代
滋賀県の病院
No.20 手術前
No.20 手術前
No.20 手術中
No.20 手術中
No.20 手術後
No.20 手術後
 '18年1月
左内頚動脈瘤
50代
大阪府の病院
No.19 手術前
No.19 手術前
No.19 手術中
No.19 手術中
No.19 手術後
No.19 手術後
 '18年1月
右中大脳動脈瘤
40代
院内外来
No.18 手術前
No.18 手術前
No.18 手術中
No.18 手術中
No.18 手術後
No.18 手術後
 '18年1月
左内頚動脈瘤
30代
大阪府の病院
No.16 手術前
No.16 手術前
No.16 手術中
No.16 手術中
No.16 手術後
No.16 手術後
 '18年1月
右内頚動脈瘤
60代
院内外来
No.15 手術前
No.15 手術前
No.15 手術中
No.15 手術中
No.15 手術後
No.15 手術後
 '18年1月
右内頚動脈瘤
60代
院内外来
No.14 手術前
No.14 手術前
No.14 手術中
No.14 手術中
No.14 手術後
No.14 手術後
 '18年1月
左中大脳動脈瘤
50代
院内外来
No.13 手術前
No.13 手術前
No.13 手術中
No.13 手術中
No.13 手術後
No.13 手術後
 '18年1月
左中大脳動脈瘤
70代
院内外来
No.8 手術前
No.8 手術前
No.8 手術中
No.8 手術中
No.8 手術後
No.8 手術後
 '18年1月
左脳底動脈瘤
60代
院内外来
No.5 手術前
No.5 手術前
No.5 手術中
No.5 手術中
No.5 手術後
No.5 手術後
 '18年1月
脳底動脈瘤
40代
院内外来
No.4 手術前
No.4 手術前
No.4 手術中
No.4 手術中
No.4 手術後
No.4 手術後
 '18年1月
右内頚動脈瘤
70代
院内外来
No.3 手術前
No.3 手術前
No.3 手術中
No.3 手術中
No.3 手術後
No.3 手術後
 '18年1月
右中大脳動脈瘤
70代
院内外来
No.2 手術前
No.2 手術前
No.2 手術中
No.2 手術中
No.2 手術後
No.2 手術後

電話でのお問い合わせ

代表 06-6568-1601

専用フォームでのお問合せ

お問い合せ
矢印TOP