脳腫瘍 手術実績

脳腫瘍 手術実績
Brain tumor

※ 画像をクリックすると拡大表示します。症例No.は平成29年から起算しています。青背景のタイトルをクリックすると詳細ページを表示します。

※ 表は横スクロールすることができます。

No.
タイトル
手術年月
年齢
病名
術式
断層撮影
手術前1
手術前2
術中写真
摘出 前
摘出 中
摘出 後
'15年8月
50代
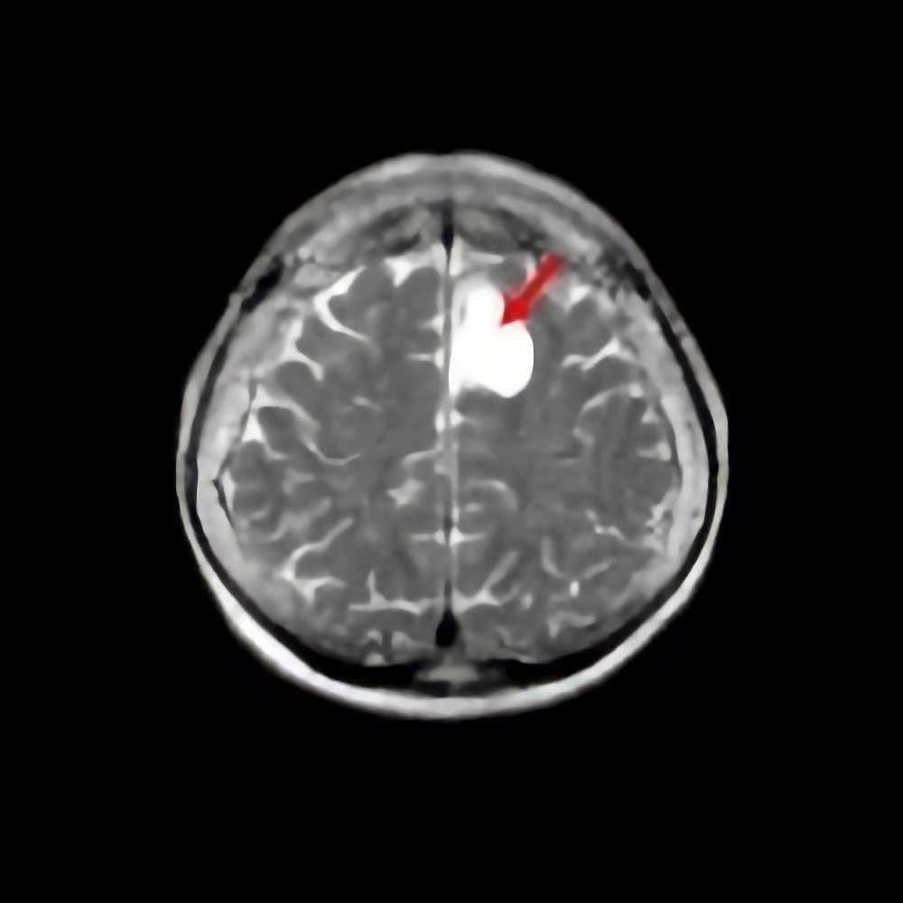
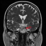
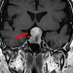
蝶形骨稜髄膜腫
No.’15_108 手術前1
No.’15_108 摘出 前
No.’15_108 摘出 後
'15年8月
60代
脳腫瘍
No.’15_107 手術前1
No.’15_107 摘出 前
No.’15_107 摘出 後
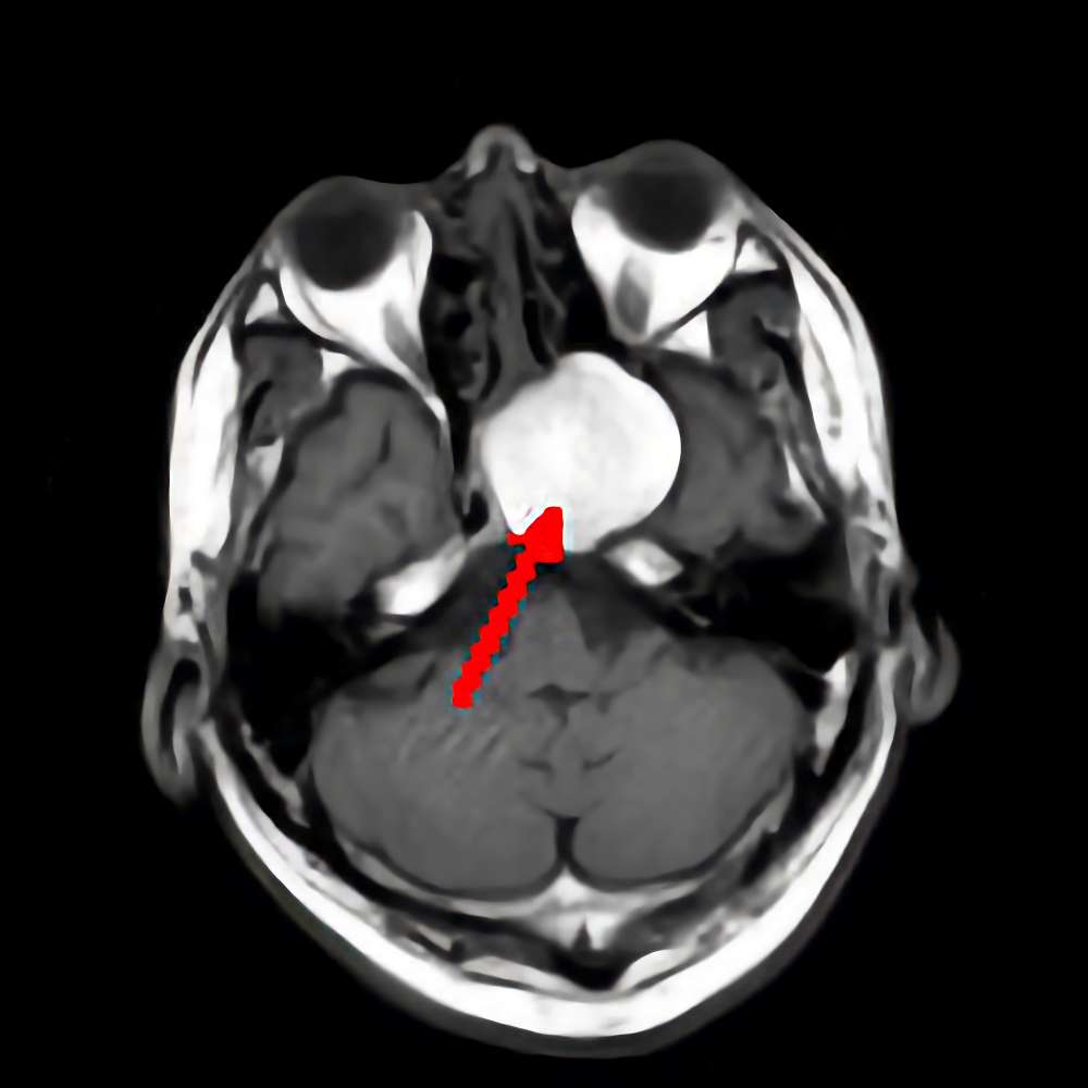
'15年8月
20代
下垂体腺腫
No.’15_106 手術前1
No.’15_106 摘出 前
No.’15_106 摘出 後
'15年8月
60代
髄膜腫
(円蓋部)
No.’15_105 手術前1
No.’15_105 摘出 前
No.’15_105 摘出 後
'15年8月
50代
下垂体腺腫
No.’15_104 手術前1
No.’15_104 摘出 前
No.’15_104 摘出 後
'15年7月
50代
脳腫瘍
No.’15_103 手術前1
No.’15_103 摘出 前
No.’15_103 摘出 後
'15年7月
10代
眼窩腫瘍
No.’15_102 手術前1
No.’15_102 摘出 前
No.’15_102 摘出 後
'15年7月
60代
脳腫瘍
No.’15_101 手術前1
No.’15_101 摘出 前
No.’15_101 摘出 後
'15年7月
50代
蝶形骨稜髄膜腫
No.’15_100 手術前1
No.’15_100 摘出 前
No.’15_100 摘出 後
'15年7月
40代
頭頂葉細胞腫
No.’15_99 手術前1
No.’15_99 摘出 前
No.’15_99 摘出 後
'15年7月
70代
髄膜腫
(円蓋部)
No.’15_98 手術前1
'15年7月
40代
下垂体腫瘍
No.’15_97 手術前1
No.’15_97 摘出 前
No.’15_97 摘出 後
'15年7月
30代
下垂体腺腫
No.’15_96 手術前1
No.’15_96 摘出 前
No.’15_96 摘出 後
'15年7月
50代
聴神経鞘腫
No.’15_95 手術前1
No.’15_95 摘出 前
No.’15_95 摘出 後
'15年7月
60代
頭蓋底腫瘍
No.’15_94 手術前1
No.’15_94 摘出 前
No.’15_94 摘出 後
'15年7月
40代
下垂体腺腫
No.’15_93 手術前1
No.’15_93 摘出 前
No.’15_93 摘出 後
'15年7月
70代
下垂体腺腫
No.’15_92 手術前1
No.’15_92 摘出 前
No.’15_92 摘出 後
'15年7月
50代
脳腫瘍
No.’15_91 手術前1
No.’15_91 摘出 前
No.’15_91 摘出 後
'15年7月
60代
転移性脳腫瘍
No.’15_90 手術前1
'15年7月
40代
大脳鎌髄膜腫
No.’15_89 手術前1
No.’15_89 摘出 前
No.’15_89 摘出 後
'15年7月
40代
下垂体腺腫
No.’15_88 手術前1
No.’15_88 摘出 前
No.’15_88 摘出 後
'15年7月
80代
大脳鎌髄膜腫
No.’15_87 手術前1
No.’15_87 摘出 前
No.’15_87 摘出 後
'15年6月
50代
下垂体腫瘍
No.’15_86 手術前1
No.’15_86 摘出 前
No.’15_86 摘出 後
'15年6月
50代
聴神経鞘腫
No.’15_85 手術前1
No.’15_85 摘出 前
No.’15_85 摘出 後
'15年6月
50代
転移性脳腫瘍
No.’15_84 手術前1
No.’15_84 摘出 前
No.’15_84 摘出 後
'15年6月
60代
円蓋部髄膜腫
No.’15_83 手術前1
No.’15_83 摘出 前
No.’15_83 摘出 後
'15年6月
50代
頭蓋底腫瘍
No.’15_82 手術前1
No.’15_82 摘出 前
No.’15_82 摘出 後
'15年6月
40代
下垂体腺腫
No.’15_81 手術前1
No.’15_81 摘出 前
No.’15_81 摘出 後
'15年6月
40代
下垂体腫瘍
No.’15_80 手術前1
No.’15_80 摘出 前
No.’15_80 摘出 後
'15年6月
60代
椎体斜台部髄膜腫
No.’15_79 手術前1
No.’15_79 摘出 前
No.’15_79 摘出 後
'15年6月
40代
頭蓋底腫瘍
No.’15_78 手術前1
No.’15_78 摘出 前
No.’15_78 摘出 後
'15年6月
20代
下垂体腺腫
No.’15_77 手術前1
No.’15_77 摘出 前
No.’15_77 摘出 後
'15年6月
60代
後頭蓋窩髄膜腫
No.’15_76 手術前1
No.’15_76 摘出 前
No.’15_76 摘出 後
'15年6月
30代
下垂体腫瘍
No.’15_75 手術前1
No.’15_75 摘出 前
No.’15_75 摘出 後
'15年6月
50代
鞍上部腫瘍
No.’15_74 手術前1
No.’15_74 摘出 前
No.’15_74 摘出 後
'15年6月
60代
円蓋部髄膜腫
No.’15_73 手術前1
No.’15_73 摘出 前
No.’15_73 摘出 後
'15年6月
40代
下垂体腺腫
No.’15_72 手術前1
No.’15_72 摘出 前
No.’15_72 摘出 後
'15年6月
60代
蝶形骨稜髄膜腫
No.’15_71 手術前1
No.’15_71 摘出 前
No.’15_71 摘出 後
'15年6月
80代
脳腫瘍
No.’15_70 手術前1
No.’15_70 摘出 前
No.’15_70 摘出 後
'15年6月
80代
脳腫瘍
No.’15_69 手術前1
No.’15_69 摘出 前
No.’15_69 摘出 後
'15年6月
50代
側頭葉膠芽腫
No.’15_68 手術前1
No.’15_68 摘出 前
No.’15_68 摘出 後
'15年6月
30代
下垂体腫瘍
No.’15_67 手術前1
No.’15_67 摘出 前
No.’15_67 摘出 後
'15年6月
50代
髄膜腫
No.’15_66 手術前1
'15年6月
70代
脳腫瘍
No.’15_65 手術前1
No.’15_65 摘出 前
No.’15_65 摘出 後
'15年5月
40代
下垂体腺腫
No.’15_64 手術前1
No.’15_64 摘出 前
No.’15_64 摘出 後
'15年5月
30代
下垂体腺腫
No.’15_63 手術前1
No.’15_63 摘出 前
No.’15_63 摘出 後
'15年5月
30代
転移性脳腫瘍
No.’15_62 手術前1
No.’15_62 摘出 前
No.’15_62 摘出 後
'15年5月
30代
下垂体腫瘍
No.’15_61 手術前1
No.’15_61 摘出 前
No.’15_61 摘出 後
'15年5月
80代
転移性脳腫瘍
No.’15_60 手術前1
No.’15_60 摘出 前
No.’15_60 摘出 後
'15年5月
80代
下垂体腺腫
No.’15_59 手術前1
No.’15_59 摘出 前
No.’15_59 摘出 後
'15年5月
40代
転移性脳腫瘍
No.’15_58 手術前1
No.’15_58 摘出 前
No.’15_58 摘出 後
'15年5月
60代
頭蓋底腫瘍
No.’15_57 手術前1
No.’15_57 摘出 前
No.’15_57 摘出 後
'15年5月
50代
下垂体腺腫
No.’15_56 手術前1
No.’15_56 摘出 前
No.’15_56 摘出 後
'15年5月
70代
脳腫瘍
No.’15_55 手術前1
No.’15_55 摘出 前
No.’15_55 摘出 後
'15年5月
40代
下垂体腫瘍
No.’15_54 手術前1
No.’15_54 摘出 前
No.’15_54 摘出 後
'15年5月
60代
聴神経鞘腫
No.’15_53 手術前1
No.’15_53 摘出 前
No.’15_53 摘出 後
'15年5月
60代
大孔髄膜腫
No.’15_52 手術前1
No.’15_52 摘出 前
No.’15_52 摘出 後
'15年5月
70代
脳腫瘍
No.’15_51 手術前1
No.’15_51 摘出 前
No.’15_51 摘出 後
'15年4月
70代
転移性脳腫瘍
No.’15_50 手術前1
No.’15_50 摘出 前
No.’15_50 摘出 後
'15年4月
30代
海綿状血管腫
No.’15_49 手術前1
No.’15_49 摘出 前
No.’15_49 摘出 後
'15年4月
60代
脳腫瘍
No.’15_48 手術前1
No.’15_48 摘出 前
No.’15_48 摘出 後
'15年4月
60代
錐体斜台部髄膜腫
No.’15_47 手術前1
No.’15_47 摘出 前
No.’15_47 摘出 後
'15年4月
40代
下垂体腫瘍
No.’15_46 手術前1
No.’15_46 摘出 前
No.’15_46 摘出 後
'15年4月
50代
前頭葉神経膠腫
No.’15_45 手術前1
No.’15_45 摘出 前
No.’15_45 摘出 後
'15年4月
50代
下垂体腺腫
No.’15_44 手術前1
No.’15_44 摘出 前
No.’15_44 摘出 後
'15年4月
70代
転移性脳腫瘍
No.’15_43 手術前1
No.’15_43 摘出 前
No.’15_43 摘出 後
'15年4月
60代
聴神経鞘腫
No.’15_42 手術前1
No.’15_42 摘出 前
No.’15_42 摘出 後
'15年3月
50代
下垂体腺腫
No.’15_41 手術前1
No.’15_41 摘出 前
No.’15_41 摘出 後
'15年3月
70代
神経膠腫
No.’15_40 手術前1
No.’15_40 摘出 前
No.’15_40 摘出 後
'15年3月
20代
下垂体腺腫
No.’15_39 手術前1
No.’15_39 摘出 前
No.’15_39 摘出 後
'15年3月
80代
脳腫瘍
No.’15_38 手術前1
No.’15_38 摘出 前
No.’15_38 摘出 後
'15年3月
60代
脳腫瘍
No.’15_37 手術前1
No.’15_37 摘出 前
No.’15_37 摘出 後
'15年3月
20代
下垂体腺腫
No.’15_36 手術前1
No.’15_36 摘出 前
No.’15_36 摘出 後
'15年3月
40代
小脳腫瘍
No.’15_35 手術前1
No.’15_35 摘出 前
No.’15_35 摘出 後
'15年3月
70代
脳腫瘍
No.’15_34 手術前1
No.’15_34 摘出 前
No.’15_34 摘出 後
'15年3月
70代
聴神経腫瘍
No.’15_33 手術前1
No.’15_33 摘出 前
No.’15_33 摘出 後
'15年3月
70代
大脳鎌髄膜腫
No.’15_32 手術前1
No.’15_32 摘出 前
No.’15_32 摘出 後
'15年3月
40代
下垂体腫瘍
No.’15_31 手術前1
No.’15_31 摘出 前
No.’15_31 摘出 後
'15年3月
80代
頭蓋咽頭腫
No.’15_30 手術前1
No.’15_30 摘出 前
No.’15_30 摘出 後
'15年3月
60代
転移性脳腫瘍
No.’15_29 手術前1
No.’15_29 摘出 前
No.’15_29 摘出 後
'15年3月
70代
円蓋部髄膜腫
No.’15_28 手術前1
No.’15_28 摘出 前
No.’15_28 摘出 後
'15年3月
60代
下垂体腺腫
No.’15_27 手術前1
No.’15_27 摘出 前
No.’15_27 摘出 後
'15年3月
50代
下垂体腺腫
No.’15_26 手術前1
No.’15_26 摘出 前
No.’15_26 摘出 後
'15年3月
50代
脳腫瘍
No.’15_25 手術前1
No.’15_25 摘出 前
No.’15_25 摘出 後
'15年3月
50代
海綿状血管腫
No.’15_24 手術前1
No.’15_24 摘出 前
No.’15_24 摘出 後
'15年3月
70代
転移性脳腫瘍
No.’15_23 手術前1
No.’15_23 摘出 前
No.’15_23 摘出 後
'15年2月
50代
下垂体腫瘍
No.’15_22 手術前1
No.’15_22 摘出 前
No.’15_22 摘出 後
'15年2月
20代
神経鞘腫
No.’15_21 手術前1
No.’15_21 摘出 前
No.’15_21 摘出 後
'15年2月
30代
傍矢状洞髄膜腫
No.’15_20 手術前1
No.’15_20 摘出 前
No.’15_20 摘出 後
'15年2月
70代
脳腫瘍
No.’15_19 手術前1
No.’15_19 摘出 前
No.’15_19 摘出 後
'15年2月
30代
下垂体腺腫
No.’15_18 手術前1
No.’15_18 摘出 前
No.’15_18 摘出 後
'15年2月
70代
円蓋部髄膜腫
No.’15_17 手術前1
No.’15_17 摘出 前
No.’15_17 摘出 後
'15年2月
20代
頭蓋咽頭腫
No.’15_16 手術前1
No.’15_16 摘出 前
No.’15_16 摘出 後
'15年2月
30代
下垂体腺腫
No.’15_15 手術前1
No.’15_15 摘出 前
No.’15_15 摘出 後
'15年2月
20代
下垂体腺腫
No.’15_14 手術前1
No.’15_14 摘出 前
No.’15_14 摘出 後
'15年2月
70代
神経膠芽腫
No.’15_13 手術前1
No.’15_13 摘出 前
No.’15_13 摘出 後
'15年2月
60代
転移性脳腫瘍
No.’15_12 手術前1
No.’15_12 摘出 前
No.’15_12 摘出 後
'15年1月
40代
下垂体腺腫
No.’15_11 手術前1
No.’15_11 摘出 前
No.’15_11 摘出 後
'15年1月
40代
下垂体腺腫
No.’15_10 手術前1
No.’15_10 摘出 前
No.’15_10 摘出 後
'15年1月
50代
先端巨大症
No.’15_9 手術前1
No.’15_9 摘出 前
No.’15_9 摘出 後
1 6 7 8 9 10 11 12 13 14 15 16 18

電話でのお問い合わせ

代表 06-6568-1601

専用フォームでのお問合せ

お問い合せ
矢印TOP