脳腫瘍 手術実績

脳腫瘍 手術実績
Brain tumor

※ 画像をクリックすると拡大表示します。症例No.は平成29年から起算しています。青背景のタイトルをクリックすると詳細ページを表示します。

※ 表は横スクロールすることができます。

No.
タイトル
手術年月
年齢
病名
術式
断層撮影
手術前1
手術前2
術中写真
摘出 前
摘出 中
摘出 後

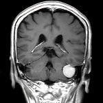
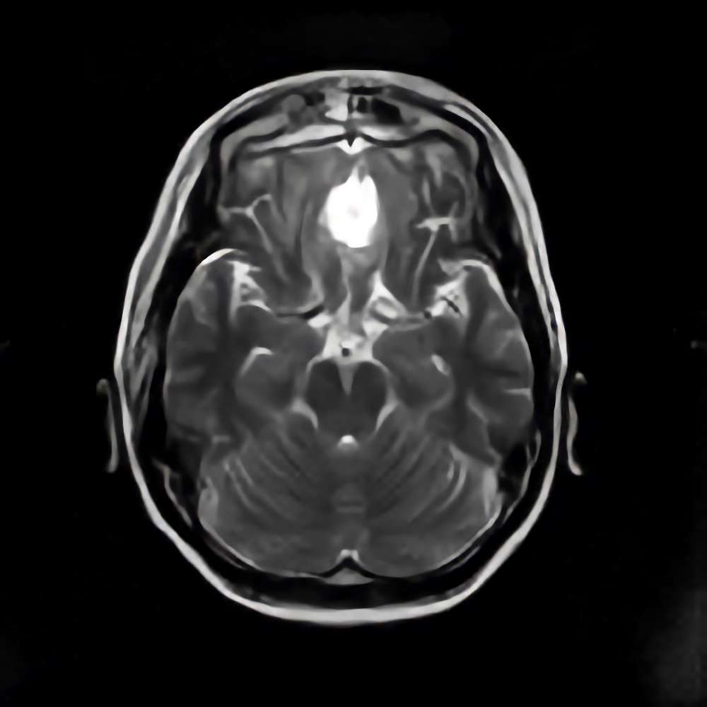
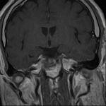
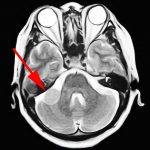
219

'21年9月
30代
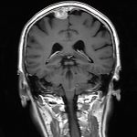
下垂体腺腫
頭蓋内腫瘍摘出術
No.’21_63 手術前1
No.’21_63 手術前2
No.’21_63 摘出 前
No.’21_63  摘出 中
No.’21_63 摘出 後

218

'21年9月
80代
左後頭頂葉腫瘤
頭蓋内腫瘍摘出術
No.’21_62 手術前1
No.’21_62 手術前2
No.’21_62 摘出 前
No.’21_62  摘出 中
No.’21_62 摘出 後

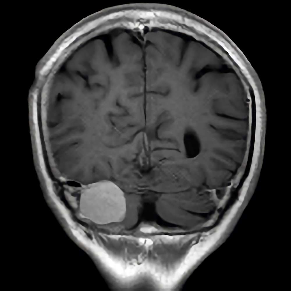
217

'21年9月
60代
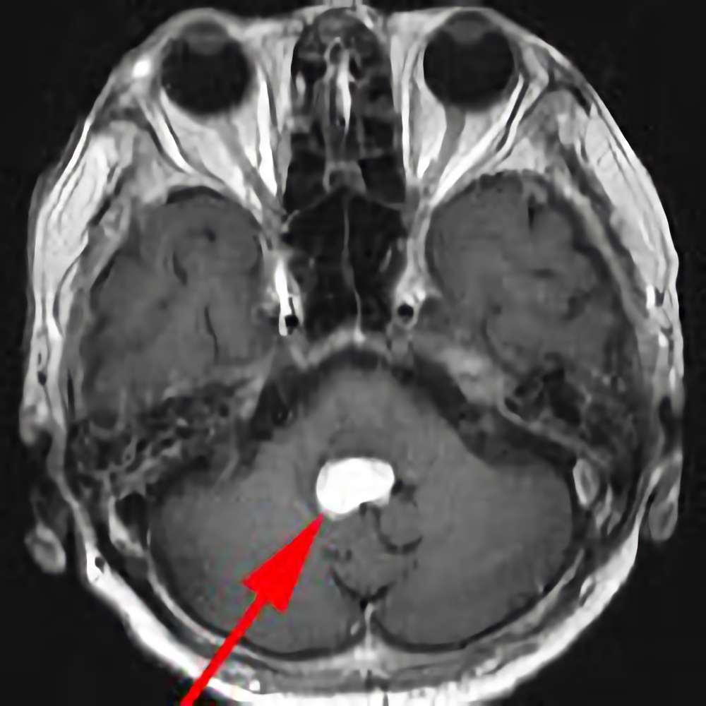
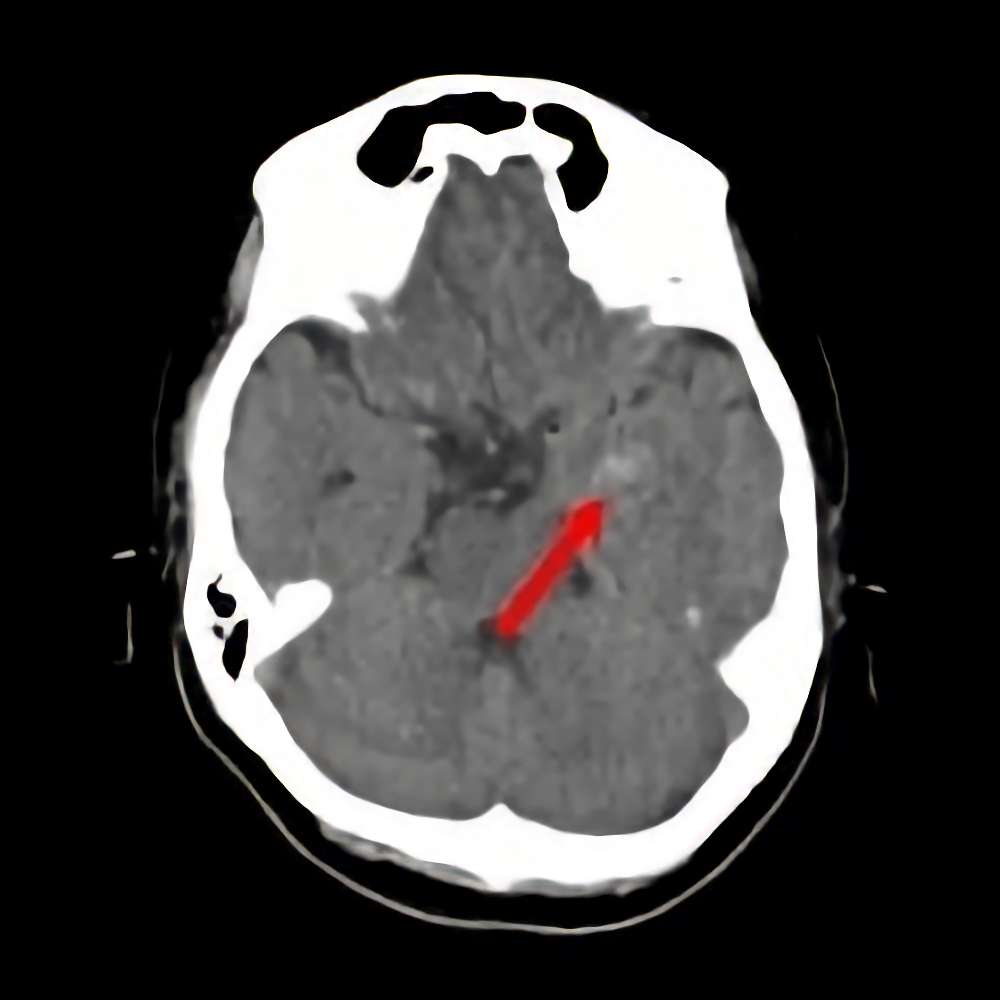
脳腫瘍
頭蓋内腫瘍摘出術
No.’21_61 手術前1
No.’21_61 手術前2
No.’21_61 摘出 前
No.’21_61  摘出 中
No.’21_61 摘出 後

216

'21年9月
50代
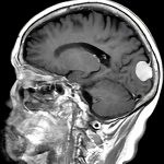
右前頭葉
傍矢状洞悪性髄膜腫
頭蓋内腫瘍摘出術
No.’21_60 手術前1
No.’21_60 手術前2
No.’21_60 摘出 前
No.’21_60  摘出 中
No.’21_60 摘出 後

215

'21年9月
50代
下垂体腫瘍
頭蓋内腫瘍摘出術
No.’21_59 手術前1
No.’21_59 手術前2
No.’21_59 摘出 前
No.’21_59  摘出 中
No.’21_59 摘出 後

214

'21年9月
40代
錐体斜台部髄膜腫
頭蓋内腫瘍摘出術
No.’21_58 手術前1
No.’21_58 手術前2
No.’21_58 摘出 前
No.’21_58  摘出 中
No.’21_58 摘出 後

213

'21年9月
50代
蝶形骨稜髄膜腫
頭蓋内腫瘍摘出術
No.’21_57 手術前1
No.’21_57 手術前2
No.’21_57 摘出 前
No.’21_57  摘出 中
No.’21_57 摘出 後

212

'21年9月
10代
下垂体腫瘍
頭蓋内腫瘍摘出術
No.’21_56 手術前1
No.’21_56 手術前2
No.’21_56 摘出 前
No.’21_56  摘出 中
No.’21_56 摘出 後

211

'21年9月
20代
脳腫瘍
頭蓋内腫瘍摘出術
No.’21_55 手術前1
No.’21_55 手術前2
No.’21_55 摘出 前
No.’21_55  摘出 中
No.’21_55 摘出 後

210

'21年9月
50代
脳腫瘍
頭蓋内腫瘍摘出術
No.’21_54 手術前1
No.’21_54 手術前2
No.’21_54 摘出 前
No.’21_54  摘出 中
No.’21_54 摘出 後

209

'21年9月
70代
下垂体腺腫
頭蓋内腫瘍摘出術
No.’21_53 手術前1
No.’21_53 手術前2
No.’21_53 摘出 前
No.’21_53  摘出 中
No.’21_53 摘出 後

208

'21年9月
50代
脳腫瘍
頭蓋内腫瘍摘出術
No.’21_52 手術前1
No.’21_52 手術前2
No.’21_52 摘出 前
No.’21_52  摘出 中
No.’21_52 摘出 後

207

'21年9月
70代
鞍結節部髄膜腫
頭蓋内腫瘍摘出術
No.’21_51 手術前1
No.’21_51 手術前2
No.’21_51 摘出 前
No.’21_51  摘出 中
No.’21_51 摘出 後

206

'21年8月
70代
下垂体腺腫
頭蓋内腫瘍摘出術
No.’21_50 手術前1
No.’21_50 手術前2
No.’21_50 摘出 前
No.’21_50  摘出 中

205

'21年8月
60代
悪性斜台髄膜腫
頭蓋内腫瘍摘出術
No.’21_49 手術前1
No.’21_49 手術前2
No.’21_49 摘出 前
No.’21_49  摘出 中
No.’21_49 摘出 後

204

'21年8月
50代
前頭髄膜腫
頭蓋内腫瘍摘出術
No.’21_48 手術前1
No.’21_48 手術前2
No.’21_48 摘出 前
No.’21_48  摘出 中
No.’21_48 摘出 後

203

'21年8月
60代
右傍矢状洞髄膜腫
頭蓋内腫瘍摘出術
No.’21_47 手術前1
No.’21_47 手術前2
No.’21_47 摘出 前
No.’21_47  摘出 中
No.’21_47 摘出 後

202

'21年8月
40代
トルコ鞍部腫瘍
頭蓋内腫瘍摘出術
No.’21_46 手術前1
No.’21_46 手術前2
No.’21_46 摘出 前
No.’21_46  摘出 中
No.’21_46 摘出 後

201

'21年8月
70代
脳腫瘍
頭蓋内腫瘍摘出術
No.’21_45 手術前1
No.’21_45 手術前2
No.’21_45 摘出 前
No.’21_45  摘出 中
No.’21_45 摘出 後

200

'21年8月
70代
大脳鎌髄膜腫
頭蓋内腫瘍摘出術
No.’21_44 手術前1
No.’21_44 手術前2
No.’21_44 摘出 前
No.’21_44  摘出 中
No.’21_44 摘出 後

199

'21年8月
70代
脳腫瘍
頭蓋内腫瘍摘出術
No.’21_43 手術前1
No.’21_43 手術前2
No.’21_43 摘出 後

198

'21年8月
40代
右眼窩腫瘍
頭蓋内腫瘍摘出術
No.’21_42 手術前1
No.’21_42 手術前2
No.’21_42 摘出 前
No.’21_42  摘出 中
No.’21_42 摘出 後

197

'21年8月
60代
脳腫瘍
頭蓋内腫瘍摘出術
No.’21_41 手術前1
No.’21_41 手術前2
No.’21_41 摘出 前
No.’21_41  摘出 中
No.’21_41 摘出 後

196

'21年8月
50代
左前頭葉円蓋部髄膜腫
頭蓋内腫瘍摘出術
No.’21_40 手術前1
No.’21_40 手術前2
No.’21_40 摘出 前
No.’21_40  摘出 中
No.’21_40 摘出 後

195

'21年8月
70代
下垂体腺腫
頭蓋内腫瘍摘出術
No.’21_39 手術前1
No.’21_39 手術前2
No.’21_39 摘出 前
No.’21_39  摘出 中

194

'21年8月
70代
傍矢状洞髄膜腫
頭蓋内腫瘍摘出術
No.’21_38 手術前1
No.’21_38 手術前2
No.’21_38 摘出 前
No.’21_38  摘出 中
No.’21_38 摘出 後

193

'21年7月
60代
円蓋部髄膜腫
頭蓋内腫瘍摘出術
No.’21_37 手術前1
No.’21_37 手術前2
No.’21_37 摘出 前
No.’21_37  摘出 中
No.’21_37 摘出 後

192

'21年7月
80代
髄膜腫
頭蓋内腫瘍摘出術
No.’21_36 手術前1
No.’21_36 手術前2
No.’21_36 摘出 前
No.’21_36  摘出 中
No.’21_36 摘出 後

191

'21年7月
20代
左前頭葉腫瘍
頭蓋内腫瘍摘出術
No.’21_35 手術前1
No.’21_35 手術前2
No.’21_35 摘出 前
No.’21_35  摘出 中
No.’21_35 摘出 後

190

'21年7月
50代
右前頭葉腫瘍
頭蓋内腫瘍摘出術
No.’21_34 手術前1
No.’21_34 手術前2
No.’21_34 摘出 前
No.’21_34  摘出 中
No.’21_34 摘出 後

189

'21年7月
30代
脳腫瘍
頭蓋内腫瘍摘出術
No.’21_33 手術前1
No.’21_33 手術前2
No.’21_33 摘出 前
No.’21_33  摘出 中
No.’21_33 摘出 後

188

'21年7月
70代
傍矢状洞髄膜腫
頭蓋内腫瘍摘出術
No.’21_32 手術前1
No.’21_32 手術前2
No.’21_32 摘出 前
No.’21_32  摘出 中
No.’21_32 摘出 後

187

'21年7月
60代
脳腫瘍
頭蓋内腫瘍摘出術
No.’21_31 手術前1
No.’21_31 手術前2
No.’21_31 摘出 前
No.’21_31  摘出 中
No.’21_31 摘出 後

186

'21年7月
30代
左頭蓋窩腫瘍
頭蓋内腫瘍摘出術
No.’21_30 手術前1
No.’21_30 手術前2
No.’21_30 摘出 前
No.’21_30  摘出 中
No.’21_30 摘出 後

185

'21年7月
80代
円蓋部髄膜腫
頭蓋内腫瘍摘出術
No.’21_29 手術前1
No.’21_29 手術前2
No.’21_29 摘出 前
No.’21_29  摘出 中
No.’21_29 摘出 後

184

'21年7月
20代
下垂体腫瘍
頭蓋内腫瘍摘出術
No.’21_28 手術前1
No.’21_28 手術前2
No.’21_28 摘出 前
No.’21_28  摘出 中
No.’21_28 摘出 後

183

'21年6月
50代
小脳血管芽腫
頭蓋内腫瘍摘出術
No.’21_27 手術前1
No.’21_27 手術前2
No.’21_27 摘出 前
No.’21_27  摘出 中
No.’21_27 摘出 後

182

'21年6月
30代
下垂体腫瘍
頭蓋内腫瘍摘出術
No.’21_26 手術前1
No.’21_26 手術前2
No.’21_26 摘出 前
No.’21_26  摘出 中
No.’21_26 摘出 後

181

'21年6月
40代
脳腫瘍
頭蓋内腫瘍摘出術
No.’21_25 手術前1
No.’21_25 手術前2
No.’21_25 摘出 前
No.’21_25  摘出 中
No.’21_25 摘出 後

180

'21年6月
60代
大脳鎌髄膜腫
頭蓋内腫瘍摘出術
No.’21_24 手術前1
No.’21_24 手術前2
No.’21_24 摘出 前
No.’21_24  摘出 中
No.’21_24 摘出 後

179

'21年6月
70代
脳室内腫瘍
頭蓋内腫瘍摘出術
No.’21_23 手術前1
No.’21_23 手術前2
No.’21_23 摘出 前
No.’21_23  摘出 中
No.’21_23 摘出 後

178

'21年6月
30代
下垂体腺腫
頭蓋内腫瘍摘出術
No.’21_22 手術前1
No.’21_22 手術前2
No.’21_22 摘出 前
No.’21_22  摘出 中
No.’21_22 摘出 後

177

'21年6月
30代
頭蓋咽頭腫
頭蓋内腫瘍摘出術
No.’21_21 手術前1
No.’21_21 手術前2
No.’21_21 摘出 前
No.’21_21  摘出 中
No.’21_21 摘出 後

176

'21年6月
80代
脳腫瘍
頭蓋内腫瘍摘出術
No.’21_20 手術前1
No.’21_20 手術前2
No.’21_20 摘出 前
No.’21_20  摘出 中
No.’21_20 摘出 後

175

'21年6月
50代
聴神経腫瘍
頭蓋内腫瘍摘出術
No.’21_19 手術前1
No.’21_19 手術前2
No.’21_19 摘出 前
No.’21_19  摘出 中
No.’21_19 摘出 後

174

'21年6月
80代
左頭頂葉腫瘤
頭蓋内腫瘍摘出術
No.’21_18 手術前1
No.’21_18 手術前2
No.’21_18 摘出 前
No.’21_18 摘出 後

173

'21年5月
40代
傍矢状洞髄膜腫
頭蓋内腫瘍摘出術
No.’21_17 手術前1
No.’21_17 手術前2
No.’21_17 摘出 前
No.’21_17  摘出 中
No.’21_17 摘出 後

172

'21年5月
40代
右小脳橋角部腫瘍
頭蓋内腫瘍摘出術
No.’21_16 手術前1
No.’21_16 手術前2
No.’21_16 摘出 前
No.’21_16  摘出 中
No.’21_16 摘出 後

171

'21年5月
20代
下垂体腫瘍
頭蓋内腫瘍摘出術
No.’21_15 手術前1
No.’21_15 手術前2
No.’21_15 摘出 前
No.’21_15  摘出 中
No.’21_15 摘出 後

170

'21年4月
70代
前頭髄膜腫
頭蓋内腫瘍摘出術
No.’21_14 手術前1
No.’21_14 手術前2
No.’21_14 摘出 前
No.’21_14  摘出 中
No.’21_14 摘出 後

169

'21年4月
30代
聴神経腫瘍
頭蓋内腫瘍摘出術
No.’21_13 手術前1
No.’21_13 手術前2
No.’21_13 摘出 前
No.’21_13  摘出 中
No.’21_13 摘出 後

168

'21年4月
60代
脳腫瘍
頭蓋内腫瘍摘出術
No.’21_12 手術前1
No.’21_12 手術前2
No.’21_12 摘出 前
No.’21_12  摘出 中
No.’21_12 摘出 後

167

'21年4月
40代
左前頭葉腫瘍
頭蓋内腫瘍摘出術
No.’21_11 手術前1
No.’21_11 手術前2
No.’21_11 摘出 前
No.’21_11  摘出 中
No.’21_11 摘出 後

166

'21年4月
30代
脳室中枢性
悪性神経細胞腫
頭蓋内腫瘍摘出術
No.’21_10 手術前1
No.’21_10 手術前2
No.’21_10 摘出 前
No.’21_10  摘出 中
No.’21_10 摘出 後

165

'21年4月
70代
左蝶形骨稜髄膜腫
頭蓋内腫瘍摘出術
No.’21_9 手術前1
No.’21_9 手術前2
No.’21_9 摘出 前
No.’21_9  摘出 中
No.’21_9 摘出 後

164

'21年4月
70代
傍矢状洞髄膜腫
頭蓋内腫瘍摘出術
No.’21_8 手術前1
No.’21_8 手術前2
No.’21_8 摘出 前
No.’21_8  摘出 中
No.’21_8 摘出 後

163

'21年4月
70代
右円蓋部髄膜腫
頭蓋内腫瘍摘出術
No.’21_7 手術前1
No.’21_7 手術前2
No.’21_7 摘出 前
No.’21_7  摘出 中
No.’21_7 摘出 後

162

'21年4月
50代
右前頭葉神経膠腫
頭蓋内腫瘍摘出術
No.’21_6 手術前1
No.’21_6 手術前2
No.’21_6 摘出 前
No.’21_6  摘出 中
No.’21_6 摘出 後

161

'21年4月
40代
下垂体腺腫
頭蓋内腫瘍摘出術
No.’21_5 手術前1
No.’21_5 手術前2
No.’21_5 摘出 前
No.’21_5  摘出 中
No.’21_5 摘出 後

160

'21年4月
40代
円蓋部髄膜腫
頭蓋内腫瘍摘出術
No.’21_4 手術前1
No.’21_4 手術前2
No.’21_4 摘出 前
No.’21_4  摘出 中
No.’21_4 摘出 後

159

'21年2月
40代
右聴神経鞘腫
頭蓋内腫瘍摘出術
No.’21_3 手術前1
No.’21_3 手術前2
No.’21_3 摘出 前
No.’21_3  摘出 中
No.’21_3 摘出 後

158

'21年1月
50代
聴神経腫瘍
頭蓋内腫瘍摘出術
No.’21_2 手術前1
No.’21_2 手術前2
No.’21_2 摘出 前
No.’21_2  摘出 中
No.’21_2 摘出 後

157

'21年1月
30代
小脳テント髄膜腫
頭蓋内腫瘍摘出術
No.’21_1 手術前1
No.’21_1 手術前2
No.’21_1 摘出 前
No.’21_1  摘出 中
No.’21_1 摘出 後

156

'20年11月
40代
小脳腫瘍
頭蓋内腫瘍摘出術
No.’20_14 手術前1
No.’20_14 手術前2
No.’20_14 摘出 前
No.’20_14  摘出 中
No.’20_14 摘出 後

155

'20年11月
30代
円蓋部髄膜腫
頭蓋内腫瘍摘出術
No.’20_13 手術前1
No.’20_13 手術前2
No.’20_13 摘出 前
No.’20_13  摘出 中
No.’20_13 摘出 後

154

'20年9月
50代
円蓋部髄膜腫
頭蓋内腫瘍摘出術
No.’20_12 手術前1
No.’20_12 手術前2
No.’20_12 摘出 前
No.’20_12  摘出 中
No.’20_12 摘出 後

153

'20年7月
50代
左傍矢状洞髄膜腫
頭蓋内腫瘍摘出術
No.’20_11 手術前1
No.’20_11 手術前2
No.’20_11 摘出 前
No.’20_11  摘出 中
No.’20_11 摘出 後

152

'20年7月
50代
左聴神経腫瘍
頭蓋内腫瘍摘出術
No.’20_10 手術前1
No.’20_10 手術前2
No.’20_10 摘出 前
No.’20_10  摘出 中
No.’20_10 摘出 後

151

'20年6月
60代
脳室髄膜腫
頭蓋内腫瘍摘出術
No.’20_9 手術前1
No.’20_9 手術前2
No.’20_9 摘出 前
No.’20_9  摘出 中
No.’20_9 摘出 後

150

'20年5月
60代
円蓋部髄膜腫
頭蓋内腫瘍摘出術
No.’20_8 手術前1
No.’20_8 手術前2
No.’20_8 摘出 前
No.’20_8  摘出 中
No.’20_8 摘出 後

149

'20年4月
80代
右後頭葉嚢胞性腫瘤
頭蓋内腫瘍摘出術
No.’20_7 手術前1
No.’20_7 手術前2
No.’20_7 摘出 前
No.’20_7  摘出 中
No.’20_7 摘出 後

148

'20年3月
70代
前頭葉髄膜腫
頭蓋内腫瘍摘出術
No.’20_6 手術前1
No.’20_6 手術前2
No.’20_6 摘出 後

147

'20年3月
60代
聴神経腫瘍
頭蓋内腫瘍摘出術
No.’20_5 手術前1
No.’20_5 手術前2
No.’20_5 摘出 前
No.’20_5  摘出 中
No.’20_5 摘出 後

146

'20年3月
70代
傍矢状洞髄膜腫
頭蓋内腫瘍摘出術
No.’20_4 手術前1
No.’20_4 手術前2
No.’20_4 摘出 前
No.’20_4  摘出 中
No.’20_4 摘出 後

145

'20年2月
50代
髄膜腫
頭蓋内腫瘍摘出術
No.’20_3 手術前1
No.’20_3 手術前2
No.’20_3 摘出 前
No.’20_3  摘出 中
No.’20_3 摘出 後

144

'20年2月
50代
右聴神経鞘腫
頭蓋内腫瘍摘出術
No.’20_2 手術前1
No.’20_2 手術前2
No.’20_2 摘出 前
No.’20_2  摘出 中
No.’20_2 摘出 後

143

'20年1月
60代
左小脳橋角部腫瘍
頭蓋内腫瘍摘出術
No.’20_1 手術前1
No.’20_1 手術前2
No.’20_1 摘出 前
No.’20_1  摘出 中
No.’20_1 摘出 後

142

'19年12月
40代
右聴神経腫瘍
頭蓋内腫瘍摘出術
No.’19_43 手術前1
No.’19_43 手術前2
No.’19_43 摘出 前
No.’19_43  摘出 中
No.’19_43 摘出 後

141

'19年12月
70代
鞍結節部髄膜腫
頭蓋内腫瘍摘出術
No.’19_42 手術前1
No.’19_42 手術前2
No.’19_42 摘出 前
No.’19_42  摘出 中
No.’19_42 摘出 後

140

'19年12月
60代
円蓋部髄膜腫
頭蓋内腫瘍摘出術
No.’19_41 手術前1
No.’19_41 手術前2
No.’19_41 摘出 前
No.’19_41  摘出 中
No.’19_41 摘出 後

139

'19年12月
30代
原発性脳腫瘍
頭蓋内腫瘍摘出術
No.’19_40 手術前1
No.’19_40 手術前2
No.’19_40 摘出 前
No.’19_40  摘出 中
No.’19_40 摘出 後

138

'19年11月
50代
三叉神経鞘腫
頭蓋内腫瘍摘出術
No.’19_39 手術前1
No.’19_39 手術前2
No.’19_39 摘出 前
No.’19_39  摘出 中
No.’19_39 摘出 後

137

'19年11月
70代
髄膜腫
頭蓋内腫瘍摘出術
No.’19_38 手術前1
No.’19_38 手術前2
No.’19_38 摘出 前
No.’19_38  摘出 中
No.’19_38 摘出 後

136

'19年10月
60代
聴神経鞘腫
頭蓋内腫瘍摘出術
No.’19_37 手術前1
No.’19_37 手術前2
No.’19_37 摘出 前
No.’19_37  摘出 中
No.’19_37 摘出 後

135

'19年10月
50代
円蓋部髄膜腫
頭蓋内腫瘍摘出術
No.’19_36 手術前1
No.’19_36 手術前2
No.’19_36 摘出 前
No.’19_36  摘出 中
No.’19_36 摘出 後

134

'19年10月
70代
左側頭葉膠芽腫
頭蓋内腫瘍摘出術
No.’19_35 手術前1
No.’19_35 手術前2
No.’19_35 摘出 前
No.’19_35  摘出 中
No.’19_35 摘出 後

133

'19年9月
60代
後頭蓋窩髄膜腫
頭蓋内腫瘍摘出術
No.’19_34 手術前1
No.’19_34 手術前2
No.’19_34 摘出 前
No.’19_34  摘出 中
No.’19_34 摘出 後

132

'19年9月
50代
蝶形骨稜髄膜腫
頭蓋内腫瘍摘出術
No.’19_33 手術前1
No.’19_33 手術前2
No.’19_33 摘出 前
No.’19_33  摘出 中
No.’19_33 摘出 後

131

'19年9月
60代
右小脳橋角部髄膜腫
頭蓋内腫瘍摘出術
No.’19_32 手術前1
No.’19_32 手術前2
No.’19_32 摘出 前
No.’19_32  摘出 中
No.’19_32 摘出 後

130

'19年9月
50代
右聴神経腫瘍
頭蓋内腫瘍摘出術
No.’19_31 手術前1
No.’19_31 手術前2
No.’19_31 摘出 前
No.’19_31  摘出 中
No.’19_31 摘出 後

129

'19年9月
30代
右小脳橋角部髄膜腫
頭蓋内腫瘍摘出術
No.’19_30 手術前1
No.’19_30 手術前2
No.’19_30 摘出 前
No.’19_30  摘出 中
No.’19_30 摘出 後

128

'19年8月
70代
左聴神経腫瘍
頭蓋内腫瘍摘出術
No.’19_29 手術前1
No.’19_29 手術前2
No.’19_29 摘出 前
No.’19_29  摘出 中
No.’19_29 摘出 後

127

'19年8月
50代
左上後頭蓋窩髄膜腫
頭蓋内腫瘍摘出術
No.’19_28 手術前1
No.’19_28 手術前2
No.’19_28 摘出 前
No.’19_28  摘出 中
No.’19_28 摘出 後

126

'19年8月
50代
脳腫瘍
頭蓋内腫瘍摘出術
No.’19_27 手術前1
No.’19_27 手術前2
No.’19_27 摘出 前
No.’19_27  摘出 中
No.’19_27 摘出 後

125

'19年8月
60代
小脳橋角部髄膜腫
頭蓋内腫瘍摘出術
No.’19_26 手術前1
No.’19_26 手術前2
No.’19_26 摘出 前
No.’19_26  摘出 中
No.’19_26 摘出 後

124

'19年8月
60代
小脳腫瘍
頭蓋内腫瘍摘出術
No.’19_25 手術前1
No.’19_25 手術前2
No.’19_25 摘出 前
No.’19_25  摘出 中
No.’19_25 摘出 後

123

'19年7月
60代
傍矢状洞髄膜腫
頭蓋内腫瘍摘出術
No.’19_24 手術前1
No.’19_24 手術前2
No.’19_24 摘出 前
No.’19_24  摘出 中
No.’19_24 摘出 後

122

'19年7月
60代
右小脳橋角部髄膜腫
頭蓋内腫瘍摘出術
No.’19_23 手術前1
No.’19_23 手術前2
No.’19_23 摘出 前
No.’19_23  摘出 中
No.’19_23 摘出 後

121

'19年7月
80代
左蝶形骨髄膜腫
頭蓋内腫瘍摘出術
No.’19_22 手術前1
No.’19_22 手術前2
No.’19_22 摘出 前
No.’19_22  摘出 中
No.’19_22 摘出 後

120

'19年7月
10代
大脳鎌髄膜腫
頭蓋内腫瘍摘出術
No.’19_21 手術前1
No.’19_21 手術前2
No.’19_21 摘出 前
No.’19_21  摘出 中
No.’19_21 摘出 後
1 2 3 4 5 6 7 8 9 10 11 17

電話でのお問い合わせ

代表 06-6568-1601

専用フォームでのお問合せ

お問い合せ
矢印TOP