脳腫瘍 手術実績

脳腫瘍 手術実績
Brain tumor

※ 画像をクリックすると拡大表示します。症例No.は平成29年から起算しています。青背景のタイトルをクリックすると詳細ページを表示します。

※ 表は横スクロールすることができます。

No.
タイトル
手術年月
年齢
病名
術式
断層撮影
手術前1
手術前2
術中写真
摘出 前
摘出 中
摘出 後

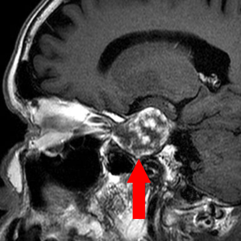
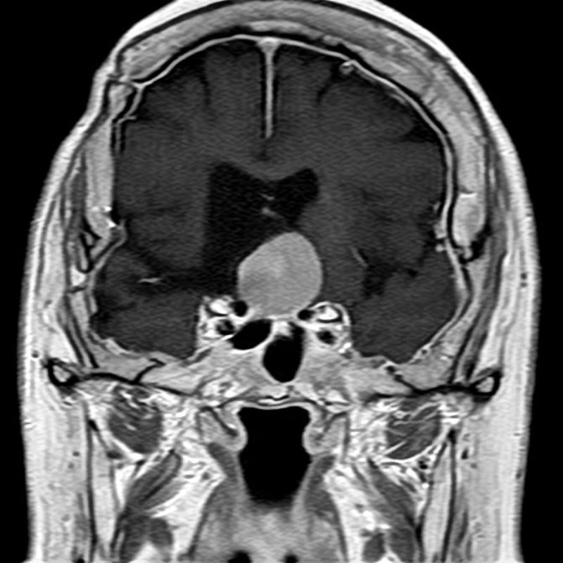
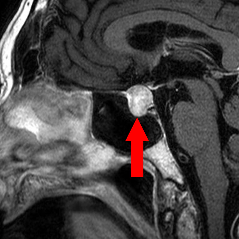
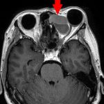
546

'24年7月
60代
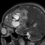
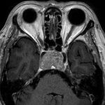
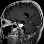
下垂体腺腫
頭蓋内腫瘍摘出術
No.’24_48 手術前1
No.’24_48 手術前2
No.’24_48 摘出 前
No.’24_48  摘出 中
No.’24_48 摘出 後

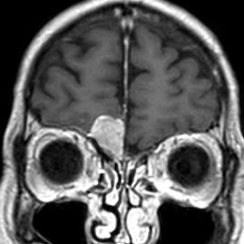
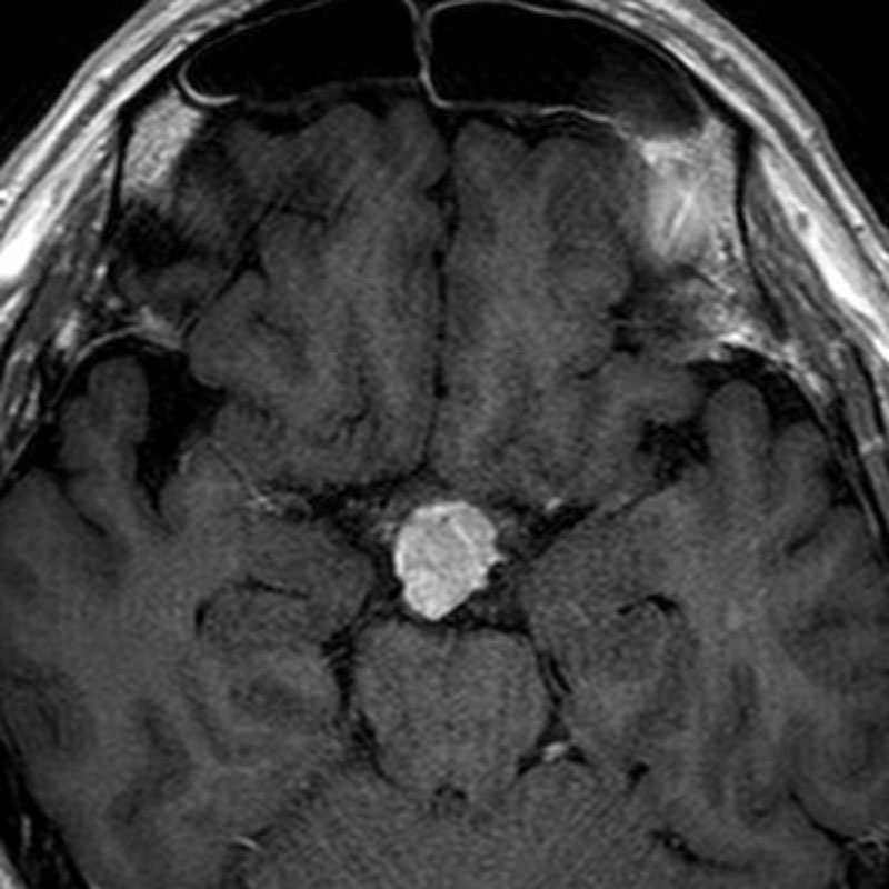
545

'24年7月
40代
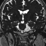
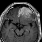
傍矢状洞髄膜腫
頭蓋内腫瘍摘出術
No.’24_47 手術前1
No.’24_47 手術前2
No.’24_47 摘出 前
No.’24_47  摘出 中
No.’24_47 摘出 後

544

'24年7月
80代
下垂体腺腫
頭蓋内腫瘍摘出術
No.’24_46 手術前1
No.’24_46 手術前2
No.’24_46 摘出 前
No.’24_46  摘出 中
No.’24_46 摘出 後

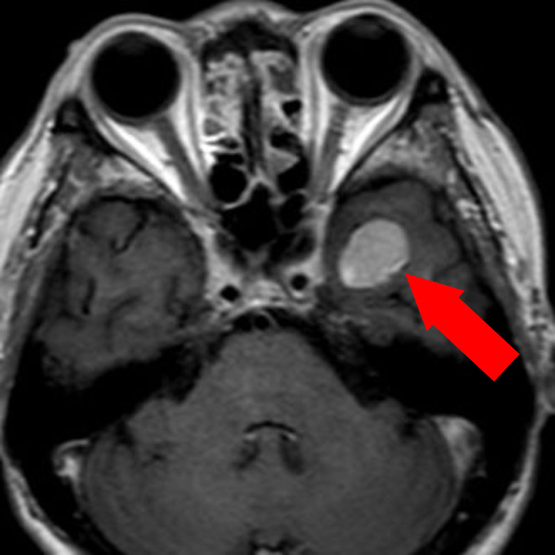
543

'24年7月
30代
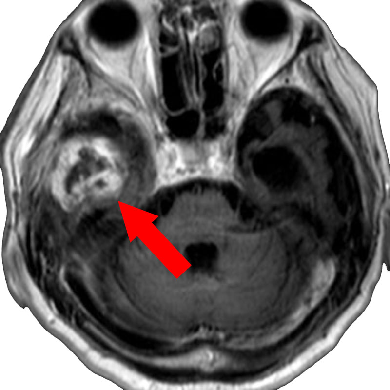
左聴神経腫瘍
頭蓋内腫瘍摘出術
No.’24_45 手術前1
No.’24_45 手術前2
No.’24_45 摘出 前
No.’24_45  摘出 中
No.’24_45 摘出 後

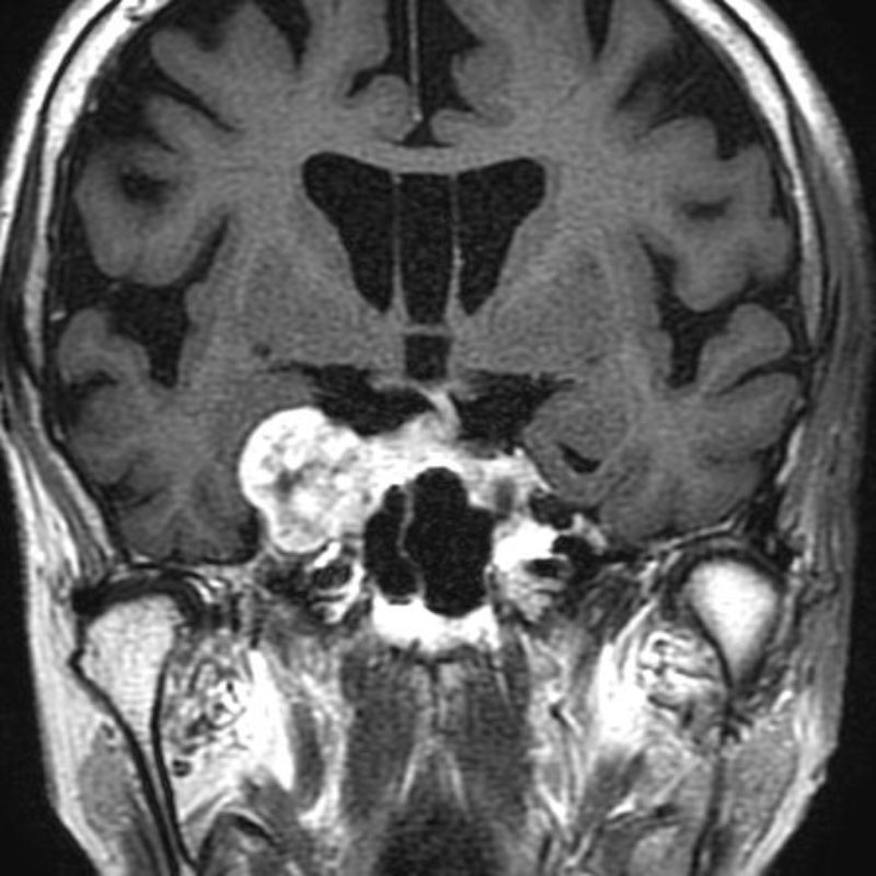
542

'24年7月
80代
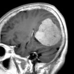
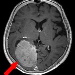
前頭葉神経膠腫瘍
頭蓋内腫瘍摘出術
No.’24_44 手術前1
No.’24_44 手術前2
No.’24_44 摘出 前
No.’24_44  摘出 中
No.’24_44 摘出 後

541

'24年7月
30代
右後頭蓋窩髄膜腫
頭蓋内腫瘍摘出術
No.’24_43 手術前1
No.’24_43 手術前2
No.’24_43 摘出 前
No.’24_43  摘出 中
No.’24_43 摘出 後

540

'24年6月
50代
左前頭葉腫瘍
頭蓋内腫瘍摘出術
No.’24_42 手術前1
No.’24_42 手術前2
No.’24_42 摘出 前
No.’24_42  摘出 中
No.’24_42 摘出 後

539

'24年6月
50代
左前頭葉腫瘍
頭蓋内腫瘍摘出術
No.’24_41 手術前1
No.’24_41 手術前2
No.’24_41 摘出 前
No.’24_41  摘出 中
No.’24_41 摘出 後

538

'24年6月
40代
前頭葉星細胞腫
頭蓋内腫瘍摘出術
No.’24_40 手術前1
No.’24_40 手術前2
No.’24_40 摘出 前
No.’24_40  摘出 中
No.’24_40 摘出 後

537

'24年6月
50代
下垂体腺腫
頭蓋内腫瘍摘出術
No.’24_39 手術前1
No.’24_39 手術前2
No.’24_39 摘出 前
No.’24_39  摘出 中
No.’24_39 摘出 後

536

'24年6月
80代
脳腫瘍
頭蓋内腫瘍摘出術
No.’24_38 手術前1
No.’24_38 手術前2
No.’24_38 摘出 前
No.’24_38  摘出 中
No.’24_38 摘出 後

535

'24年6月
60代
下垂体腫瘍
頭蓋内腫瘍摘出術
No.’24_37 手術前1
No.’24_37 手術前2
No.’24_37 摘出 前
No.’24_37  摘出 中
No.’24_37 摘出 後

534

'24年6月
40代
右側頭葉腫瘍
頭蓋内腫瘍摘出術
No.’24_36 手術前1
No.’24_36 手術前2
No.’24_36 摘出 前
No.’24_36  摘出 中
No.’24_36 摘出 後

533

'24年6月
60代
下垂体腺腫
頭蓋内腫瘍摘出術
No.’24_35 手術前1
No.’24_35 手術前2
No.’24_35 摘出 前
No.’24_35  摘出 中
No.’24_35 摘出 後

532

'24年6月
70代
髄膜腫
頭蓋内腫瘍摘出術
No.’24_34 手術前1
No.’24_34 手術前2
No.’24_34 摘出 前
No.’24_34  摘出 中
No.’24_34 摘出 後

531

'24年5月
70代
左後頭蓋窩腫瘍
頭蓋内腫瘍摘出術
No.’24_33 手術前1
No.’24_33 手術前2
No.’24_33 摘出 前
No.’24_33  摘出 中
No.’24_33 摘出 後

530

'24年5月
50代
小脳血管芽腫
頭蓋内腫瘍摘出術
No.’24_32 手術前1
No.’24_32 手術前2
No.’24_32 摘出 前
No.’24_32  摘出 中
No.’24_32 摘出 後

529

'24年5月
80代
右傍矢状洞髄膜腫
頭蓋内腫瘍摘出術
No.’24_31 手術前1
No.’24_31 手術前2
No.’24_31 摘出 前
No.’24_31  摘出 中
No.’24_31 摘出 後

528

'24年5月
40代
脳室内腫瘍
頭蓋内腫瘍摘出術
No.’24_30 手術前1
No.’24_30 手術前2
No.’24_30 摘出 前
No.’24_30  摘出 中
No.’24_30 摘出 後

527

'24年5月
70代
下垂体腺腫
頭蓋内腫瘍摘出術
No.’24_29 手術前1
No.’24_29 手術前2
No.’24_29 摘出 前
No.’24_29  摘出 中
No.’24_29 摘出 後

526

'24年5月
70代
下垂体腺腫
頭蓋内腫瘍摘出術
No.’24_28 手術前1
No.’24_28 手術前2
No.’24_28 摘出 前
No.’24_28  摘出 中
No.’24_28 摘出 後

525

'24年4月
50代
下垂体腺腫
頭蓋内腫瘍摘出術
No.’24_27 手術前1
No.’24_27 手術前2
No.’24_27 摘出 前
No.’24_27  摘出 中
No.’24_27 摘出 後

524

'24年4月
60代
下垂体腫瘍
頭蓋内腫瘍摘出術
No.’24_26 手術前1
No.’24_26 手術前2
No.’24_26 摘出 前
No.’24_26  摘出 中
No.’24_26 摘出 後

523

'24年4月
50代
右前頭葉腫瘍
頭蓋内腫瘍摘出術
No.’24_25 手術前1
No.’24_25 手術前2
No.’24_25 摘出 前
No.’24_25  摘出 中
No.’24_25 摘出 後

522

'24年4月
20代
下垂体腺腫
頭蓋内腫瘍摘出術
No.’24_24 手術前1
No.’24_24 手術前2
No.’24_24 摘出 前
No.’24_24  摘出 中
No.’24_24 摘出 後

521

'24年4月
70代
神経膠腫
頭蓋内腫瘍摘出術
No.’24_23 手術前1
No.’24_23 手術前2
No.’24_23 摘出 前
No.’24_23  摘出 中
No.’24_23 摘出 後

520

'24年3月
40代
小脳上衣腫
頭蓋内腫瘍摘出術
No.’24_22 手術前1
No.’24_22 手術前2
No.’24_22 摘出 前
No.’24_22  摘出 中
No.’24_22 摘出 後

519

'24年3月
40代
左中頭蓋窩髄膜腫
頭蓋内腫瘍摘出術
No.’24_21 手術前1
No.’24_21 手術前2
No.’24_21 摘出 前
No.’24_21  摘出 中
No.’24_21 摘出 後

518

'24年3月
20代
眼窩腫瘍
頭蓋内腫瘍摘出術
No.’24_20 手術前1
No.’24_20 手術前2
No.’24_20 摘出 前
No.’24_20  摘出 中
No.’24_20 摘出 後

517

'24年3月
10代
小脳血管芽腫
頭蓋内腫瘍摘出術
No.’24_19 手術前1
No.’24_19 手術前2
No.’24_19 摘出 前
No.’24_19  摘出 中
No.’24_19 摘出 後

516

'24年3月
60代
下垂体腫瘍
頭蓋内腫瘍摘出術
No.’24_18 手術前1
No.’24_18 手術前2
No.’24_18 摘出 前
No.’24_18  摘出 中
No.’24_18 摘出 後

515

'24年3月
40代
下垂体腫瘍
頭蓋内腫瘍摘出術
No.’24_17 手術前1
No.’24_17 手術前2
No.’24_17 摘出 前
No.’24_17  摘出 中
No.’24_17 摘出 後

514

'24年3月
40代
右中頭蓋窩髄膜腫
頭蓋内腫瘍摘出術
No.’24_16 手術前1
No.’24_16 手術前2
No.’24_16 摘出 前
No.’24_16  摘出 中
No.’24_16 摘出 後

513

'24年3月
10代
ラトケのう胞
頭蓋内腫瘍摘出術
No.’24_15 手術前1
No.’24_15 手術前2
No.’24_15 摘出 前
No.’24_15  摘出 中
No.’24_15 摘出 後

512

'24年3月
40代
左前頭葉腫瘍
頭蓋内腫瘍摘出術
No.’24_14 手術前1
No.’24_14 手術前2
No.’24_14 摘出 前
No.’24_14  摘出 中
No.’24_14 摘出 後

511

'24年2月
70代
傍矢状洞髄膜腫
頭蓋内腫瘍摘出術
No.’24_13 手術前1
No.’24_13 手術前2
No.’24_13 摘出 前
No.’24_13  摘出 中
No.’24_13 摘出 後

510

'24年2月
30代
右蝶形骨縁髄膜腫
頭蓋内腫瘍摘出術
No.’24_12 手術前1
No.’24_12 手術前2
No.’24_12 摘出 前
No.’24_12  摘出 中
No.’24_12 摘出 後

509

'24年2月
80代
トルコ鞍部腫瘍
頭蓋内腫瘍摘出術
No.’24_11 手術前1
No.’24_11 手術前2
No.’24_11 摘出 前
No.’24_11  摘出 中
No.’24_11 摘出 後

508

'24年2月
30代
下垂体腫瘍
頭蓋内腫瘍摘出術
No.’24_10 手術前1
No.’24_10 手術前2
No.’24_10 摘出 前
No.’24_10  摘出 中
No.’24_10 摘出 後

507

'24年2月
60代
脳腫瘍
頭蓋内腫瘍摘出術
No.’24_9 手術前1
No.’24_9 手術前2
No.’24_9 摘出 前
No.’24_9  摘出 中
No.’24_9 摘出 後

506

'24年1月
60代
髄膜腫
頭蓋内腫瘍摘出術
No.’24_8 手術前1
No.’24_8 手術前2
No.’24_8 摘出 前
No.’24_8  摘出 中
No.’24_8 摘出 後

505

'24年1月
80代
左前頭部腫瘤
頭蓋内腫瘍摘出術
No.’24_7 手術前1
No.’24_7 手術前2
No.’24_7 摘出 前
No.’24_7  摘出 中
No.’24_7 摘出 後

504

'24年1月
60代
下垂体腺腫
頭蓋内腫瘍摘出術
No.’24_6 手術前1
No.’24_6 手術前2
No.’24_6 摘出 前
No.’24_6  摘出 中
No.’24_6 摘出 後

503

'24年1月
30代
大脳鎌右側髄膜腫
頭蓋内腫瘍摘出術
No.’24_5 手術前1
No.’24_5 手術前2
No.’24_5 摘出 前
No.’24_5  摘出 中
No.’24_5 摘出 後

502

'24年1月
50代
下垂体腺腫
頭蓋内腫瘍摘出術
No.’24_4 手術前1
No.’24_4 手術前2
No.’24_4 摘出 前
No.’24_4  摘出 中
No.’24_4 摘出 後

501

'24年1月
70代
髄膜腫
頭蓋内腫瘍摘出術
No.’24_3 手術前1
No.’24_3 手術前2
No.’24_3 摘出 前
No.’24_3  摘出 中
No.’24_3 摘出 後

500

'24年1月
10代
右小脳橋角部腫瘍
頭蓋内腫瘍摘出術
No.’24_2 手術前1
No.’24_2 手術前2
No.’24_2 摘出 前
No.’24_2  摘出 中
No.’24_2 摘出 後

499

'24年1月
10代
左蝶形骨髄膜腫
頭蓋内腫瘍摘出術
No.’24_1 手術前1
No.’24_1 手術前2
No.’24_1 摘出 前
No.’24_1  摘出 中
No.’24_1 摘出 後

498

'23年12月
20代
下垂体卒中
頭蓋内腫瘍摘出術
No.’23_132 手術前1
No.’23_132 手術前2
No.’23_132 摘出 前
No.’23_132  摘出 中
No.’23_132 摘出 後

497

'23年12月
50代
下垂体腫瘍
頭蓋内腫瘍摘出術
No.’23_131 手術前1
No.’23_131 手術前2
No.’23_131  摘出 中
No.’23_131 摘出 後

496

'23年12月
60代
右後頭頭頂葉脳腫瘍
頭蓋内腫瘍摘出術
No.’23_130 手術前1
No.’23_130 手術前2
No.’23_130 摘出 前
No.’23_130  摘出 中
No.’23_130 摘出 後

495

'23年12月
20代
脳腫瘍
頭蓋内腫瘍摘出術
No.’23_129 手術前1
No.’23_129 手術前2
No.’23_129 摘出 前
No.’23_129  摘出 中
No.’23_129 摘出 後

494

'23年12月
50代
脳腫瘍
頭蓋内腫瘍摘出術
No.’23_128 手術前1
No.’23_128 手術前2
No.’23_128 摘出 前
No.’23_128  摘出 中
No.’23_128 摘出 後

493

'23年12月
40代
頭蓋咽頭腫
頭蓋内腫瘍摘出術
No.’23_127 手術前1
No.’23_127 手術前2
No.’23_127 摘出 前
No.’23_127  摘出 中
No.’23_127 摘出 後

492

'23年12月
50代
下垂体腺腫
頭蓋内腫瘍摘出術
No.’23_126 手術前1
No.’23_126 手術前2
No.’23_126 摘出 前
No.’23_126  摘出 中
No.’23_126 摘出 後

491

'23年12月
50代
頭蓋咽頭腫
頭蓋内腫瘍摘出術
No.’23_125 手術前1
No.’23_125 手術前2
No.’23_125 摘出 前
No.’23_125  摘出 中
No.’23_125 摘出 後

490

'23年12月
70代
大脳鎌髄膜腫
頭蓋内腫瘍摘出術
No.’23_124 手術前1
No.’23_124 手術前2
No.’23_124 摘出 前
No.’23_124  摘出 中
No.’23_124 摘出 後

489

'23年12月
50代
脳腫瘍
頭蓋内腫瘍摘出術
No.’23_123 手術前1
No.’23_123 手術前2
No.’23_123 摘出 前
No.’23_123  摘出 中
No.’23_123 摘出 後

488

'23年12月
30代
下垂体腺腫
頭蓋内腫瘍摘出術
No.’23_122 手術前1
No.’23_122 手術前2
No.’23_122 摘出 前
No.’23_122  摘出 中
No.’23_122 摘出 後

487

'23年11月
50代
脳腫瘍
頭蓋内腫瘍摘出術
No.’23_121 手術前1
No.’23_121 手術前2
No.’23_121 摘出 前
No.’23_121  摘出 中
No.’23_121 摘出 後

486

'23年11月
60代
下垂体腺腫
頭蓋内腫瘍摘出術
No.’23_120 手術前1
No.’23_120 手術前2
No.’23_120 摘出 前
No.’23_120  摘出 中
No.’23_120 摘出 後

485

'23年11月
50代
左錐体斜台部髄膜腫
頭蓋内腫瘍摘出術
No.’23_119 手術前1
No.’23_119 手術前2
No.’23_119 摘出 前
No.’23_119  摘出 中
No.’23_119 摘出 後

484

'23年11月
60代
下垂体腺腫
頭蓋内腫瘍摘出術
No.’23_118 手術前1
No.’23_118 手術前2
No.’23_118 摘出 前
No.’23_118  摘出 中
No.’23_118 摘出 後

483

'23年11月
70代
髄膜腫
頭蓋内腫瘍摘出術
No.’23_117 手術前1
No.’23_117 手術前2
No.’23_117 摘出 前
No.’23_117  摘出 中
No.’23_117 摘出 後

482

'23年11月
40代
大脳鎌髄膜腫
頭蓋内腫瘍摘出術
No.’23_116 手術前1
No.’23_116 手術前2
No.’23_116 摘出 前
No.’23_116  摘出 中
No.’23_116 摘出 後

481

'23年11月
40代
左眼窩内腫瘍
頭蓋内腫瘍摘出術
No.’23_115 手術前1
No.’23_115 手術前2
No.’23_115 摘出 前
No.’23_115  摘出 中
No.’23_115 摘出 後

480

'23年11月
40代
円蓋部髄膜腫
頭蓋内腫瘍摘出術
No.’23_114 手術前1
No.’23_114 手術前2
No.’23_114 摘出 前
No.’23_114  摘出 中
No.’23_114 摘出 後

479

'23年11月
80代
脳腫瘍
頭蓋内腫瘍摘出術
No.’23_113 手術前1
No.’23_113 手術前2
No.’23_113 摘出 前
No.’23_113  摘出 中

478

'23年10月
80代
脳腫瘍
頭蓋内腫瘍摘出術
No.’23_112 手術前1
No.’23_112 手術前2
No.’23_112 摘出 前
No.’23_112  摘出 中
No.’23_112 摘出 後

477

'23年10月
70代
髄膜腫
頭蓋内腫瘍摘出術
No.’23_111 手術前1
No.’23_111 手術前2
No.’23_111 摘出 前
No.’23_111  摘出 中
No.’23_111 摘出 後

476

'23年10月
60代
聴神経腫瘍
頭蓋内腫瘍摘出術
No.’23_110 手術前1
No.’23_110 手術前2
No.’23_110 摘出 前
No.’23_110  摘出 中
No.’23_110 摘出 後

475

'23年10月
70代
脳腫瘍
頭蓋内腫瘍摘出術
No.’23_109 手術前1
No.’23_109 手術前2
No.’23_109 摘出 前
No.’23_109  摘出 中
No.’23_109 摘出 後

474

'23年10月
30代
右前頭葉腫瘍
頭蓋内腫瘍摘出術
No.’23_108 手術前1
No.’23_108 手術前2
No.’23_108 摘出 前
No.’23_108  摘出 中
No.’23_108 摘出 後

473

'23年10月
60代
脳腫瘍
頭蓋内腫瘍摘出術
No.’23_107 手術前1
No.’23_107 手術前2
No.’23_107 摘出 前
No.’23_107  摘出 中
No.’23_107 摘出 後

472

'23年10月
80代
円蓋部髄膜腫
頭蓋内腫瘍摘出術
No.’23_106 手術前1
No.’23_106 手術前2
No.’23_106 摘出 前
No.’23_106  摘出 中
No.’23_106 摘出 後

471

'23年10月
50代
脳腫瘍
頭蓋内腫瘍摘出術
No.’23_105 手術前1
No.’23_105 手術前2
No.’23_105 摘出 前
No.’23_105  摘出 中
No.’23_105 摘出 後

470

'23年10月
70代
左聴神経腫瘍
頭蓋内腫瘍摘出術
No.’23_104 手術前1
No.’23_104 手術前2
No.’23_104 摘出 前
No.’23_104  摘出 中
No.’23_104 摘出 後

469

'23年10月
70代
髄膜腫
頭蓋内腫瘍摘出術
No.’23_103 手術前1
No.’23_103 手術前2
No.’23_103 摘出 前
No.’23_103  摘出 中
No.’23_103 摘出 後

468

'23年9月
70代
前頭葉膠芽腫
頭蓋内腫瘍摘出術
No.’23_102 手術前1
No.’23_102 手術前2
No.’23_102 摘出 前
No.’23_102  摘出 中
No.’23_102 摘出 後

467

'23年9月
60代
小脳橋角部腫瘍
頭蓋内腫瘍摘出術
No.’23_101 手術前1
No.’23_101 手術前2
No.’23_101 摘出 前
No.’23_101  摘出 中
No.’23_101 摘出 後

466

'23年9月
50代
下垂体腺腫
頭蓋内腫瘍摘出術
No.’23_100 手術前1
No.’23_100 手術前2
No.’23_100 摘出 前
No.’23_100  摘出 中
No.’23_100 摘出 後

465

'23年9月
40代
左前頭葉神経膠腫
頭蓋内腫瘍摘出術
No.’23_99 手術前1
No.’23_99 手術前2
No.’23_99 摘出 前
No.’23_99  摘出 中
No.’23_99 摘出 後

464

'23年9月
20代
左前頭葉腫瘍
頭蓋内腫瘍摘出術
No.’23_98 手術前1
No.’23_98 手術前2
No.’23_98 摘出 前
No.’23_98  摘出 中
No.’23_98 摘出 後

463

'23年9月
60代
下垂体腺腫
頭蓋内腫瘍摘出術
No.’23_97 手術前1
No.’23_97 手術前2
No.’23_97 摘出 前
No.’23_97  摘出 中
No.’23_97 摘出 後

462

'23年9月
40代
脳腫瘍
頭蓋内腫瘍摘出術
No.’23_96 手術前1
No.’23_96 手術前2
No.’23_96 摘出 前
No.’23_96  摘出 中
No.’23_96 摘出 後

461

'23年9月
60代
錐体斜台部髄膜腫
頭蓋内腫瘍摘出術
No.’23_95 手術前1
No.’23_95 手術前2
No.’23_95 摘出 前
No.’23_95  摘出 中
No.’23_95 摘出 後

460

'23年9月
60代
髄膜腫
頭蓋内腫瘍摘出術
No.’23_94 手術前1
No.’23_94 手術前2
No.’23_94 摘出 前
No.’23_94  摘出 中
No.’23_94 摘出 後

459

'23年9月
50代
下垂体腫瘍
頭蓋内腫瘍摘出術
No.’23_93 手術前1
No.’23_93 手術前2
No.’23_93 摘出 前
No.’23_93  摘出 中
No.’23_93 摘出 後

458

'23年9月
70代
鞍上部くも膜のう胞
頭蓋内腫瘍摘出術
No.’23_92 手術前1
No.’23_92 手術前2
No.’23_92 摘出 前
No.’23_92  摘出 中
No.’23_92 摘出 後

457

'23年8月
60代
小脳橋角部髄膜腫
頭蓋内腫瘍摘出術
No.’23_91 手術前1
No.’23_91 手術前2
No.’23_91 摘出 前
No.’23_91  摘出 中
No.’23_91 摘出 後

456

'23年8月
30代
側頭葉膠芽腫
頭蓋内腫瘍摘出術
No.’23_90 手術前1
No.’23_90 手術前2
No.’23_90 摘出 前
No.’23_90  摘出 中
No.’23_90 摘出 後

455

'23年8月
60代
眼窩腫瘍
頭蓋内腫瘍摘出術
No.’23_89 手術前1
No.’23_89 手術前2
No.’23_89 摘出 前
No.’23_89  摘出 中
No.’23_89 摘出 後

454

'23年8月
60代
髄膜腫
頭蓋内腫瘍摘出術
No.’23_88 手術前1
No.’23_88 手術前2
No.’23_88 摘出 前
No.’23_88  摘出 中
No.’23_88 摘出 後

453

'23年8月
70代
傍矢状洞髄膜腫
頭蓋内腫瘍摘出術
No.’23_87 手術前1
No.’23_87 手術前2
No.’23_87 摘出 前
No.’23_87  摘出 中
No.’23_87 摘出 後

452

'23年8月
80代
下垂体腫瘍
頭蓋内腫瘍摘出術
No.’23_86 手術前1
No.’23_86 手術前2
No.’23_86 摘出 前
No.’23_86  摘出 中
No.’23_86 摘出 後

451

'23年8月
50代
類皮腫
頭蓋内腫瘍摘出術
No.’23_85 手術前1
No.’23_85 手術前2
No.’23_85 摘出 前
No.’23_85  摘出 中
No.’23_85 摘出 後

450

'23年8月
70代
右中頭蓋窩髄膜腫
頭蓋内腫瘍摘出術
No.’23_84 手術前1
No.’23_84 手術前2
No.’23_84 摘出 前
No.’23_84  摘出 中
No.’23_84 摘出 後

449

'23年8月
40代
左聴神経腫瘍
頭蓋内腫瘍摘出術
No.’23_83 手術前1
No.’23_83 手術前2
No.’23_83 摘出 前
No.’23_83  摘出 中
No.’23_83 摘出 後

448

'23年8月
80代
下垂体腫瘍
頭蓋内腫瘍摘出術
No.’23_82 手術前1
No.’23_82 手術前2
No.’23_82 摘出 前
No.’23_82  摘出 中
No.’23_82 摘出 後

447

'23年7月
70代
脳腫瘍
頭蓋内腫瘍摘出術
No.’23_81 手術前1
No.’23_81 手術前2
No.’23_81 摘出 前
No.’23_81  摘出 中
No.’23_81 摘出 後
1 2 3 4 5 6 7 8 18

電話でのお問い合わせ

代表 06-6568-1601

専用フォームでのお問合せ

お問い合せ
矢印TOP