脳腫瘍 手術実績

脳腫瘍 手術実績
Brain tumor

※ 画像をクリックすると拡大表示します。症例No.は平成29年から起算しています。青背景のタイトルをクリックすると詳細ページを表示します。

※ 表は横スクロールすることができます。

No.
タイトル
手術年月
年齢
病名
術式
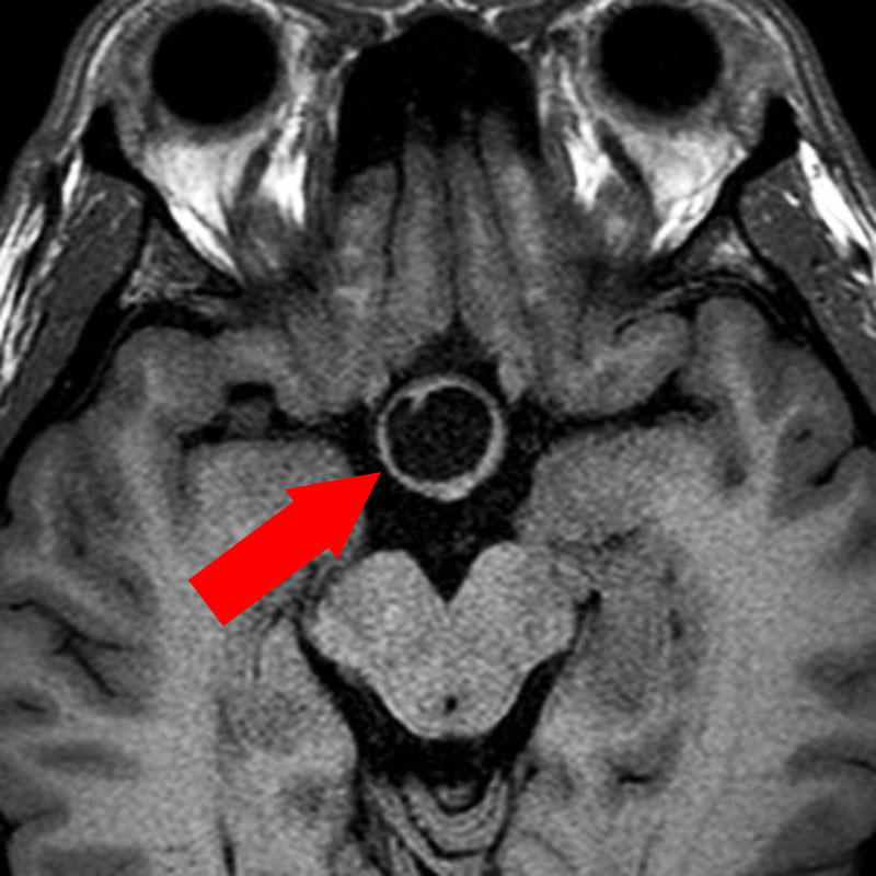
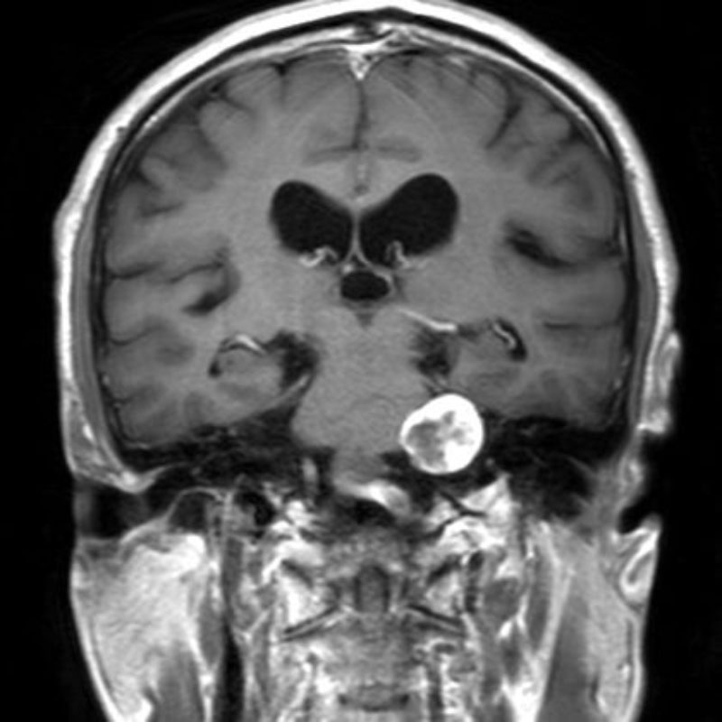
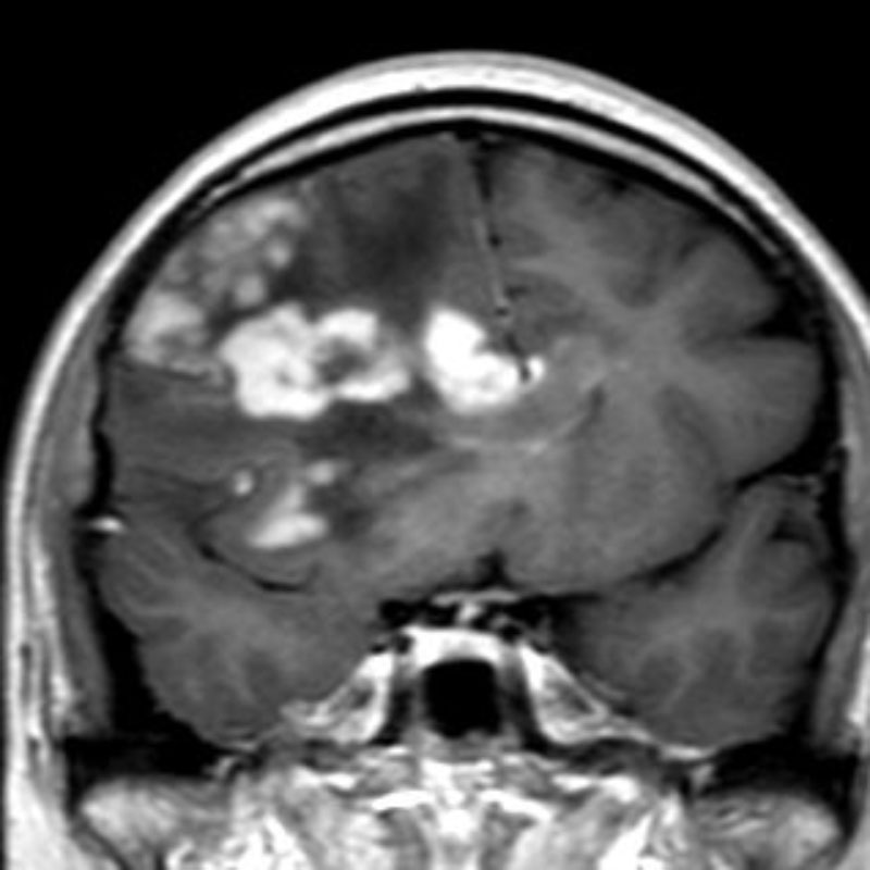
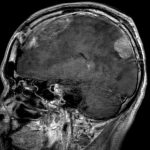
断層撮影
手術前1
手術前2
術中写真
摘出 前
摘出 中
摘出 後

441

'23年7月
20代
聴神経腫瘍
頭蓋内腫瘍摘出術
No.’23_75 手術前1
No.’23_75 手術前2
No.’23_75 摘出 前
No.’23_75  摘出 中
No.’23_75 摘出 後

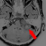
440

'23年7月
50代
髄膜腫
頭蓋内腫瘍摘出術
No.’23_74 手術前1
No.’23_74 手術前2
No.’23_74 摘出 前
No.’23_74  摘出 中
No.’23_74 摘出 後

439

'23年7月
60代
右小脳腫瘍
頭蓋内腫瘍摘出術
No.’23_73 手術前1
No.’23_73 手術前2
No.’23_73 摘出 前
No.’23_73  摘出 中
No.’23_73 摘出 後

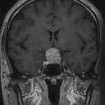
438

'23年7月
60代
髄膜腫
頭蓋内腫瘍摘出術
No.’23_72 手術前1
No.’23_72 手術前2
No.’23_72 摘出 前
No.’23_72  摘出 中
No.’23_72 摘出 後

437

'23年7月
70代
脳腫瘍
頭蓋内腫瘍摘出術
No.’23_71 手術前1
No.’23_71 手術前2
No.’23_71 摘出 前
No.’23_71 摘出 後

436

'23年6月
60代
下垂体腫瘍
頭蓋内腫瘍摘出術
No.’23_70 手術前1
No.’23_70 手術前2
No.’23_70 摘出 前
No.’23_70  摘出 中
No.’23_70 摘出 後

435

'23年6月
70代
脳腫瘍
頭蓋内腫瘍摘出術
No.’23_69 手術前1
No.’23_69 手術前2
No.’23_69 摘出 前
No.’23_69  摘出 中
No.’23_69 摘出 後

434

'23年6月
10代
下垂体腺腫
頭蓋内腫瘍摘出術
No.’23_68 手術前1
No.’23_68 手術前2
No.’23_68 摘出 前
No.’23_68  摘出 中
No.’23_68 摘出 後

433

'23年6月
70代
左側頭葉腫瘤
頭蓋内腫瘍摘出術
No.’23_67 手術前1
No.’23_67 手術前2
No.’23_67 摘出 前
No.’23_67  摘出 中
No.’23_67 摘出 後

432

'23年6月
70代
下垂体腺腫
頭蓋内腫瘍摘出術
No.’23_66 手術前1
No.’23_66 手術前2
No.’23_66 摘出 前
No.’23_66  摘出 中
No.’23_66 摘出 後

431

'23年6月
80代
鞍結節部髄膜腫
頭蓋内腫瘍摘出術
No.’23_65 手術前1
No.’23_65 手術前2
No.’23_65 摘出 前
No.’23_65  摘出 中
No.’23_65 摘出 後

430

'23年6月
50代
脳腫瘍
頭蓋内腫瘍摘出術
No.’23_64 手術前1
No.’23_64 手術前2
No.’23_64 摘出 前
No.’23_64 摘出 後

429

'23年6月
80代
右傍矢状洞髄膜腫
頭蓋内腫瘍摘出術
No.’23_63 手術前1
No.’23_63 手術前2
No.’23_63 摘出 前
No.’23_63  摘出 中
No.’23_63 摘出 後

428

'23年6月
10代
脳腫瘍
頭蓋内腫瘍摘出術
No.’23_62 手術前1
No.’23_62 手術前2
No.’23_62 摘出 前
No.’23_62  摘出 中
No.’23_62 摘出 後

427

'23年6月
60代
脳腫瘍
頭蓋内腫瘍摘出術
No.’23_61 手術前1
No.’23_61 手術前2
No.’23_61 摘出 前
No.’23_61  摘出 中
No.’23_61 摘出 後

426

'23年6月
70代
脳腫瘍
頭蓋内腫瘍摘出術
No.’23_60 手術前1
No.’23_60 手術前2
No.’23_60 摘出 前
No.’23_60  摘出 中
No.’23_60 摘出 後

425

'23年6月
60代
下垂体腺腫
頭蓋内腫瘍摘出術
No.’23_59 手術前1
No.’23_59 手術前2
No.’23_59 摘出 前
No.’23_59  摘出 中
No.’23_59 摘出 後

424

'23年6月
60代
脳腫瘍
頭蓋内腫瘍摘出術
No.’23_58 手術前1
No.’23_58 手術前2
No.’23_58 摘出 前
No.’23_58 摘出 後

423

'23年5月
40代
神経膠腫
頭蓋内腫瘍摘出術
No.’23_57 手術前1
No.’23_57 手術前2
No.’23_57 摘出 前
No.’23_57  摘出 中

422

'23年5月
30代
類皮腫
頭蓋内腫瘍摘出術
No.’23_56 手術前1
No.’23_56 手術前2
No.’23_56 摘出 前
No.’23_56  摘出 中
No.’23_56 摘出 後

421

'23年5月
70代
小脳橋角部髄膜腫
頭蓋内腫瘍摘出術
No.’23_55 手術前1
No.’23_55 手術前2
No.’23_55 摘出 前
No.’23_55  摘出 中
No.’23_55 摘出 後

420

'23年5月
50代
左中頭蓋窩髄膜腫
頭蓋内腫瘍摘出術
No.’23_54 手術前1
No.’23_54 手術前2
No.’23_54 摘出 前
No.’23_54  摘出 中
No.’23_54 摘出 後

419

'23年5月
40代
下垂体腺腫
頭蓋内腫瘍摘出術
No.’23_53 手術前1
No.’23_53 手術前2
No.’23_53 摘出 前
No.’23_53  摘出 中
No.’23_53 摘出 後

418

'23年5月
70代
下垂体巨大腺腫
頭蓋内腫瘍摘出術
No.’23_52 手術前1
No.’23_52 手術前2
No.’23_52 摘出 前
No.’23_52  摘出 中
No.’23_52 摘出 後

417

'23年5月
50代
髄膜腫
頭蓋内腫瘍摘出術
No.’23_51 手術前1
No.’23_51 手術前2
No.’23_51 摘出 前
No.’23_51  摘出 中
No.’23_51 摘出 後

416

'23年5月
70代
脳腫瘍
頭蓋内腫瘍摘出術
No.’23_50 手術前1
No.’23_50 手術前2
No.’23_50 摘出 前
No.’23_50  摘出 中
No.’23_50 摘出 後

415

'23年5月
70代
脳腫瘍
頭蓋内腫瘍摘出術
No.’23_49 手術前1
No.’23_49 手術前2
No.’23_49 摘出 前
No.’23_49  摘出 中

414

'23年5月
50代
髄膜腫
頭蓋内腫瘍摘出術
No.’23_48 手術前1
No.’23_48 手術前2
No.’23_48 摘出 前
No.’23_48  摘出 中
No.’23_48 摘出 後

413

'23年5月
60代
下垂体腺腫
頭蓋内腫瘍摘出術
No.’23_47 手術前1
No.’23_47 手術前2
No.’23_47 摘出 前
No.’23_47  摘出 中
No.’23_47 摘出 後

412

'23年5月
20代
小脳血管芽腫
頭蓋内腫瘍摘出術
No.’23_46 手術前1
No.’23_46 手術前2
No.’23_46 摘出 前
No.’23_46  摘出 中
No.’23_46 摘出 後

411

'23年5月
70代
髄膜腫
頭蓋内腫瘍摘出術
No.’23_45 手術前1
No.’23_45 手術前2
No.’23_45 摘出 前
No.’23_45  摘出 中
No.’23_45 摘出 後

410

'23年5月
80代
下垂体卒中
頭蓋内腫瘍摘出術
No.’23_44 手術前1
No.’23_44 手術前2
No.’23_44 摘出 前
No.’23_44  摘出 中
No.’23_44 摘出 後

409

'23年5月
50代
三叉神経鞘腫
頭蓋内腫瘍摘出術
No.’23_43 手術前1
No.’23_43 手術前2
No.’23_43 摘出 前
No.’23_43  摘出 中
No.’23_43 摘出 後

408

'23年5月
50代
血管芽細胞腫
頭蓋内腫瘍摘出術
No.’23_42 手術前1
No.’23_42 手術前2
No.’23_42 摘出 前
No.’23_42  摘出 中
No.’23_42 摘出 後

407

'23年5月
60代
聴神経腫瘍
頭蓋内腫瘍摘出術
No.’23_41 手術前1
No.’23_41 手術前2
No.’23_41 摘出 前
No.’23_41  摘出 中
No.’23_41 摘出 後

406

'23年5月
70代
脳腫瘍
頭蓋内腫瘍摘出術
No.’23_40 手術前1
No.’23_40 手術前2
No.’23_40 摘出 前
No.’23_40  摘出 中
No.’23_40 摘出 後

405

'23年5月
80代
中頭蓋窩髄膜腫
頭蓋内腫瘍摘出術
No.’23_39 手術前1
No.’23_39 手術前2
No.’23_39 摘出 前
No.’23_39  摘出 中
No.’23_39 摘出 後

404

'23年4月
70代
脳腫瘍
頭蓋内腫瘍摘出術
No.’23_38 手術前1
No.’23_38 手術前2
No.’23_38 摘出 前
No.’23_38  摘出 中
No.’23_38 摘出 後

403

'23年4月
80代
右頭頂葉腫瘍
頭蓋内腫瘍摘出術
No.’23_37 手術前1
No.’23_37 手術前2
No.’23_37 摘出 前
No.’23_37  摘出 中
No.’23_37 摘出 後

402

'23年4月
60代
脳腫瘍
頭蓋内腫瘍摘出術
No.’23_36 手術前1
No.’23_36 手術前2
No.’23_36 摘出 前
No.’23_36  摘出 中
No.’23_36 摘出 後

401

'23年4月
20代
松果体腫瘍
頭蓋内腫瘍摘出術
No.’23_35 手術前1
No.’23_35 手術前2
No.’23_35 摘出 前
No.’23_35  摘出 中
No.’23_35 摘出 後

400

'23年4月
60代
下垂体腺腫
頭蓋内腫瘍摘出術
No.’23_34 手術前1
No.’23_34 手術前2
No.’23_34 摘出 前
No.’23_34  摘出 中
No.’23_34 摘出 後

399

'23年4月
20代
前頭葉星細胞腫
頭蓋内腫瘍摘出術
No.’23_33 手術前1
No.’23_33 手術前2
No.’23_33 摘出 前
No.’23_33  摘出 中
No.’23_33 摘出 後

398

'23年4月
70代
下垂体腺腫
頭蓋内腫瘍摘出術
No.’23_32 手術前1
No.’23_32 手術前2
No.’23_32 摘出 前
No.’23_32  摘出 中
No.’23_32 摘出 後

397

'23年4月
60代
下垂体腺腫
頭蓋内腫瘍摘出術
No.’23_31 手術前1
No.’23_31 手術前2
No.’23_31 摘出 前
No.’23_31  摘出 中
No.’23_31 摘出 後

396

'23年3月
80代
鞍上部腫瘍
頭蓋内腫瘍摘出術
No.’23_30 手術前1
No.’23_30 手術前2
No.’23_30 摘出 前
No.’23_30  摘出 中
No.’23_30 摘出 後

395

'23年3月
70代
脳腫瘍
頭蓋内腫瘍摘出術
No.’23_29 手術前1
No.’23_29 手術前2
No.’23_29 摘出 前
No.’23_29  摘出 中
No.’23_29 摘出 後

394

'23年3月
70代
嗅窩髄膜腫
頭蓋内腫瘍摘出術
No.’23_28 手術前1
No.’23_28 手術前2
No.’23_28 摘出 前
No.’23_28  摘出 中
No.’23_28 摘出 後

393

'23年3月
40代
ラトケのう胞
頭蓋内腫瘍摘出術
No.’23_27 手術前1
No.’23_27 手術前2
No.’23_27 摘出 前
No.’23_27  摘出 中
No.’23_27 摘出 後

392

'23年3月
30代
右後頭葉神経膠腫
頭蓋内腫瘍摘出術
No.’23_26 手術前1
No.’23_26 手術前2
No.’23_26 摘出 前
No.’23_26  摘出 中
No.’23_26 摘出 後

391

'23年3月
30代
蝶形骨稜髄膜腫
頭蓋内腫瘍摘出術
No.’23_25 手術前1
No.’23_25 手術前2
No.’23_25 摘出 前
No.’23_25  摘出 中
No.’23_25 摘出 後

390

'23年3月
80代
下垂体腺腫
頭蓋内腫瘍摘出術
No.’23_24 手術前1
No.’23_24 手術前2
No.’23_24 摘出 前
No.’23_24  摘出 中
No.’23_24 摘出 後

389

'23年3月
70代
円蓋部Malg髄膜腫
頭蓋内腫瘍摘出術
No.’23_23 手術前1
No.’23_23 手術前2
No.’23_23 摘出 前
No.’23_23  摘出 中
No.’23_23 摘出 後

388

'23年3月
60代
下垂体腺腫
頭蓋内腫瘍摘出術
No.’23_22 手術前1
No.’23_22 手術前2
No.’23_22 摘出 前
No.’23_22  摘出 中
No.’23_22 摘出 後

387

'23年3月
50代
下垂体腺腫
頭蓋内腫瘍摘出術
No.’23_21 手術前1
No.’23_21 手術前2
No.’23_21 摘出 前
No.’23_21  摘出 中
No.’23_21 摘出 後

386

'23年3月
70代
下垂体腺腫
頭蓋内腫瘍摘出術
No.’23_20 手術前1
No.’23_20 手術前2
No.’23_20 摘出 前
No.’23_20  摘出 中
No.’23_20 摘出 後

385

'23年3月
70代
下垂体腺腫
頭蓋内腫瘍摘出術
No.’23_19 手術前1
No.’23_19 手術前2
No.’23_19 摘出 前
No.’23_19  摘出 中
No.’23_19 摘出 後

384

'23年3月
70代
下垂体腺腫
頭蓋内腫瘍摘出術
No.’23_18 手術前1
No.’23_18 手術前2
No.’23_18 摘出 前
No.’23_18  摘出 中
No.’23_18 摘出 後

383

'23年3月
60代
鞍結節部髄膜腫
頭蓋内腫瘍摘出術
No.’23_17 手術前1
No.’23_17 手術前2
No.’23_17 摘出 前
No.’23_17  摘出 中
No.’23_17 摘出 後

382

'23年2月
60代
右側頭葉脳腫瘍
頭蓋内腫瘍摘出術
No.’23_16 手術前1
No.’23_16 手術前2
No.’23_16 摘出 前
No.’23_16  摘出 中
No.’23_16 摘出 後

381

'23年2月
40代
円蓋部髄膜腫
頭蓋内腫瘍摘出術
No.’23_15 手術前1
No.’23_15 手術前2
No.’23_15 摘出 前
No.’23_15  摘出 中
No.’23_15 摘出 後

380

'23年2月
60代
下垂体腺腫
頭蓋内腫瘍摘出術
No.’23_14 手術前1
No.’23_14 手術前2
No.’23_14 摘出 前
No.’23_14  摘出 中
No.’23_14 摘出 後

379

'23年2月
30代
脳腫瘍
頭蓋内腫瘍摘出術
No.’23_13 手術前1
No.’23_13 手術前2
No.’23_13 摘出 前
No.’23_13  摘出 中
No.’23_13 摘出 後

378

'23年2月
10代
左側頭葉神経膠腫
頭蓋内腫瘍摘出術
No.’23_12 手術前1
No.’23_12 手術前2
No.’23_12 摘出 前
No.’23_12  摘出 中
No.’23_12 摘出 後

377

'23年2月
70代
鞍結節部髄膜腫
頭蓋内腫瘍摘出術
No.’23_11 手術前1
No.’23_11 手術前2
No.’23_11 摘出 前
No.’23_11  摘出 中
No.’23_11 摘出 後

376

'23年2月
80代
傍矢状洞髄膜腫
頭蓋内腫瘍摘出術
No.’23_10 手術前1
No.’23_10 手術前2
No.’23_10 摘出 後

375

'23年2月
70代
右小脳橋角部髄膜腫
頭蓋内腫瘍摘出術
No.’23_9 手術前1
No.’23_9 手術前2
No.’23_9 摘出 前
No.’23_9  摘出 中
No.’23_9 摘出 後

374

'23年1月
60代
鞍結節部髄膜腫
頭蓋内腫瘍摘出術
No.’23_8 手術前1
No.’23_8 手術前2
No.’23_8 摘出 前
No.’23_8  摘出 中
No.’23_8 摘出 後

373

'23年1月
70代
小脳血管芽腫
頭蓋内腫瘍摘出術
No.’23_7 手術前1
No.’23_7 手術前2
No.’23_7 摘出 前
No.’23_7  摘出 中
No.’23_7 摘出 後

372

'23年1月
60代
右傍矢状洞髄膜腫
頭蓋内腫瘍摘出術
No.’23_6 手術前1
No.’23_6 手術前2
No.’23_6 摘出 前
No.’23_6 摘出 後

371

'23年1月
80代
脳腫瘍
頭蓋内腫瘍摘出術
No.’23_5 手術前1
No.’23_5 手術前2
No.’23_5 摘出 前
No.’23_5  摘出 中
No.’23_5 摘出 後

370

'23年1月
70代
左後頭葉膿疱性脳腫瘍
頭蓋内腫瘍摘出術
No.’23_4 手術前1
No.’23_4 手術前2
No.’23_4 摘出 前
No.’23_4  摘出 中
No.’23_4 摘出 後

369

'23年1月
30代
頭蓋咽頭腫
頭蓋内腫瘍摘出術
No.’23_3 手術前1
No.’23_3 手術前2
No.’23_3 摘出 前
No.’23_3  摘出 中
No.’23_3 摘出 後

368

'23年1月
60代
右小脳橋角部腫瘍
頭蓋内腫瘍摘出術
No.’23_2 手術前1
No.’23_2 手術前2
No.’23_2 摘出 前
No.’23_2  摘出 中
No.’23_2 摘出 後

367

'23年1月
40代
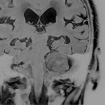
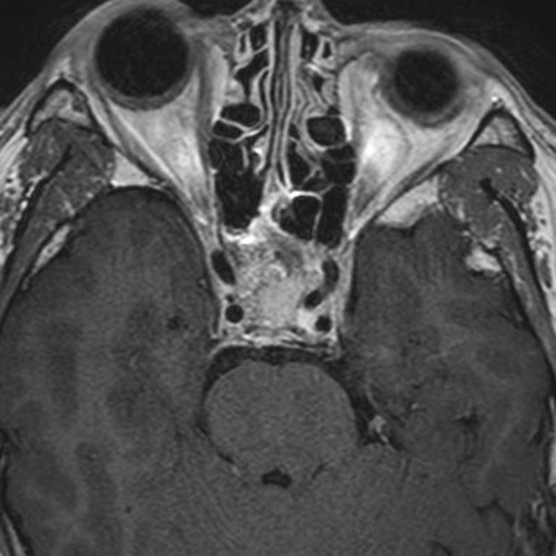
眼窩腫瘍
頭蓋内腫瘍摘出術
No.’23_1 手術前1
No.’23_1 手術前2
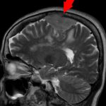
No.’23_1 摘出 前
No.’23_1  摘出 中
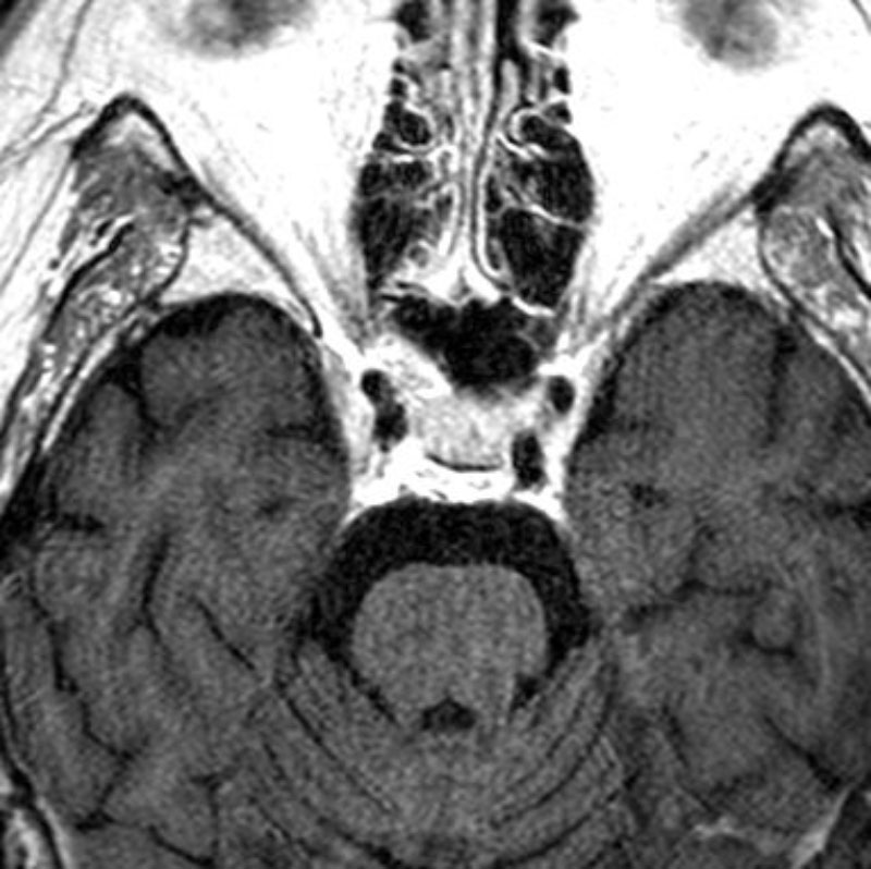
No.’23_1 摘出 後

366

'22年12月
40代
右前頭葉退形成星細胞腫
頭蓋内腫瘍摘出術
No.’22_123 手術前1
No.’22_123 手術前2
No.’22_123 摘出 前
No.’22_123  摘出 中
No.’22_123 摘出 後

365

'22年12月
60代
側頭葉神経膠腫
頭蓋内腫瘍摘出術
No.’22_122 手術前1
No.’22_122 手術前2
No.’22_122 摘出 前
No.’22_122  摘出 中
No.’22_122 摘出 後

364

'22年12月
60代
下垂体腺腫
頭蓋内腫瘍摘出術
No.’22_121 手術前1
No.’22_121 手術前2
No.’22_121 摘出 前
No.’22_121  摘出 中
No.’22_121 摘出 後

363

'22年12月
60代
悪性後頭蓋窩髄膜腫
頭蓋内腫瘍摘出術
No.’22_120 手術前1
No.’22_120 手術前2
No.’22_120 摘出 前
No.’22_120  摘出 中
No.’22_120 摘出 後

362

'22年12月
70代
円蓋部髄膜腫
頭蓋内腫瘍摘出術
No.’22_119 手術前1
No.’22_119 手術前2
No.’22_119 摘出 前
No.’22_119  摘出 中
No.’22_119 摘出 後

361

'22年12月
50代
下垂体腺腫
頭蓋内腫瘍摘出術
No.’22_118 手術前1
No.’22_118 手術前2
No.’22_118 摘出 前
No.’22_118  摘出 中
No.’22_118 摘出 後

360

'22年12月
70代
右前頭葉膠芽腫
頭蓋内腫瘍摘出術
No.’22_117 手術前1
No.’22_117 手術前2
No.’22_117 摘出 前
No.’22_117  摘出 中
No.’22_117 摘出 後

359

'22年12月
50代
下垂体腺腫
頭蓋内腫瘍摘出術
No.’22_116 手術前1
No.’22_116 手術前2
No.’22_116 摘出 前
No.’22_116  摘出 中
No.’22_116 摘出 後

358

'22年12月
40代
下垂体腺腫
頭蓋内腫瘍摘出術
No.’22_115 手術前1
No.’22_115 手術前2
No.’22_115 摘出 前
No.’22_115  摘出 中
No.’22_115 摘出 後

357

'22年12月
30代
嗅溝部髄膜腫
頭蓋内腫瘍摘出術
No.’22_114 手術前1
No.’22_114 手術前2
No.’22_114 摘出 前
No.’22_114  摘出 中
No.’22_114 摘出 後

356

'22年11月
50代
脳腫瘍
頭蓋内腫瘍摘出術
No.’22_113 手術前1
No.’22_113 手術前2
No.’22_113 摘出 前
No.’22_113  摘出 中
No.’22_113 摘出 後

355

'22年11月
80代
脳髄膜腫瘍
頭蓋内腫瘍摘出術
No.’22_112 手術前1
No.’22_112 手術前2
No.’22_112 摘出 前
No.’22_112  摘出 中
No.’22_112 摘出 後

354

'22年11月
70代
円蓋部髄膜腫
頭蓋内腫瘍摘出術
No.’22_111 手術前1
No.’22_111 手術前2
No.’22_111 摘出 前
No.’22_111  摘出 中
No.’22_111 摘出 後

353

'22年11月
70代
下垂体腫瘍
頭蓋内腫瘍摘出術
No.’22_110 手術前1
No.’22_110 手術前2
No.’22_110 摘出 前
No.’22_110  摘出 中
No.’22_110 摘出 後

352

'22年11月
70代
蝶形骨髄膜腫
頭蓋内腫瘍摘出術
No.’22_109 手術前1
No.’22_109 手術前2
No.’22_109 摘出 前
No.’22_109  摘出 中
No.’22_109 摘出 後

351

'22年11月
50代
円蓋部髄膜腫
頭蓋内腫瘍摘出術
No.’22_108 手術前1
No.’22_108 手術前2
No.’22_108 摘出 前
No.’22_108  摘出 中
No.’22_108 摘出 後

350

'22年11月
30代
下垂体卒中
頭蓋内腫瘍摘出術
No.’22_107 手術前1
No.’22_107 手術前2
No.’22_107 摘出 前
No.’22_107  摘出 中
No.’22_107 摘出 後

349

'22年11月
60代
髄膜腫
頭蓋内腫瘍摘出術
No.’22_106 手術前1
No.’22_106 手術前2
No.’22_106 摘出 前
No.’22_106  摘出 中
No.’22_106 摘出 後

348

'22年11月
40代
左錐体斜台部髄膜腫
頭蓋内腫瘍摘出術
No.’22_105 手術前1
No.’22_105 手術前2
No.’22_105 摘出 前
No.’22_105  摘出 中
No.’22_105 摘出 後

347

'22年11月
60代
蝶形骨稜髄膜腫
頭蓋内腫瘍摘出術
No.’22_104 手術前1
No.’22_104 手術前2
No.’22_104 摘出 前
No.’22_104  摘出 中
No.’22_104 摘出 後

346

'22年11月
60代
後頭蓋窩腫瘍
頭蓋内腫瘍摘出術
No.’22_103 手術前1
No.’22_103 手術前2
No.’22_103 摘出 前
No.’22_103  摘出 中
No.’22_103 摘出 後

345

'22年11月
70代
頭蓋底腫瘍
頭蓋内腫瘍摘出術
No.’22_102 手術前1
No.’22_102 手術前2
No.’22_102 摘出 前
No.’22_102  摘出 中
No.’22_102 摘出 後

344

'22年11月
80代
蝶形骨稜髄膜腫
頭蓋内腫瘍摘出術
No.’22_101 手術前1
No.’22_101 手術前2
No.’22_101 摘出 前
No.’22_101  摘出 中
No.’22_101 摘出 後

343

'22年10月
60代
左脳腫瘍
頭蓋内腫瘍摘出術
No.’22_100 手術前1
No.’22_100 手術前2
No.’22_100 摘出 前
No.’22_100  摘出 中
No.’22_100 摘出 後

342

'22年10月
20代
傍矢状洞髄膜腫
頭蓋内腫瘍摘出術
No.’22_99 手術前1
No.’22_99 手術前2
No.’22_99 摘出 前
No.’22_99  摘出 中
No.’22_99 摘出 後
1 2 3 4 5 6 7 8 9 18

電話でのお問い合わせ

代表 06-6568-1601

専用フォームでのお問合せ

お問い合せ
矢印TOP