脳腫瘍 手術実績

脳腫瘍 手術実績
Brain tumor

※ 画像をクリックすると拡大表示します。症例No.は平成29年から起算しています。青背景のタイトルをクリックすると詳細ページを表示します。

※ 表は横スクロールすることができます。

No.
タイトル
手術年月
年齢
病名
術式
断層撮影
手術前1
手術前2
術中写真
摘出 前
摘出 中
摘出 後

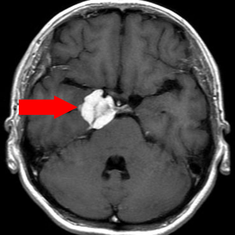
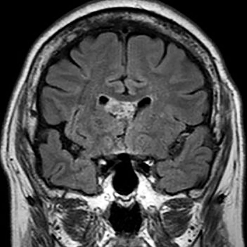
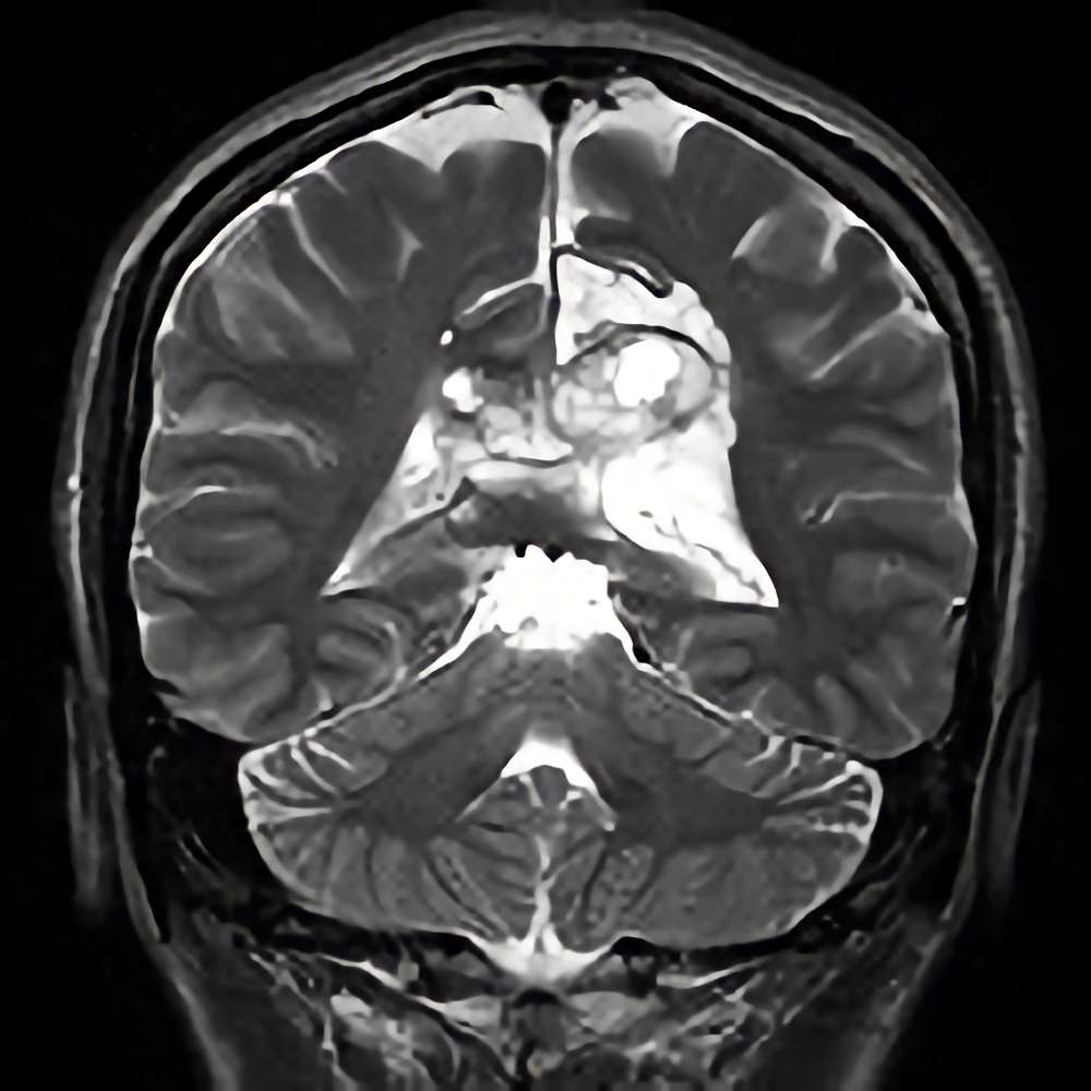
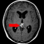
346

'22年11月
60代
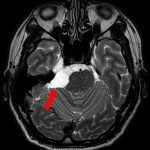
後頭蓋窩腫瘍
頭蓋内腫瘍摘出術
No.’22_103 手術前1
No.’22_103 手術前2
No.’22_103 摘出 前
No.’22_103  摘出 中
No.’22_103 摘出 後

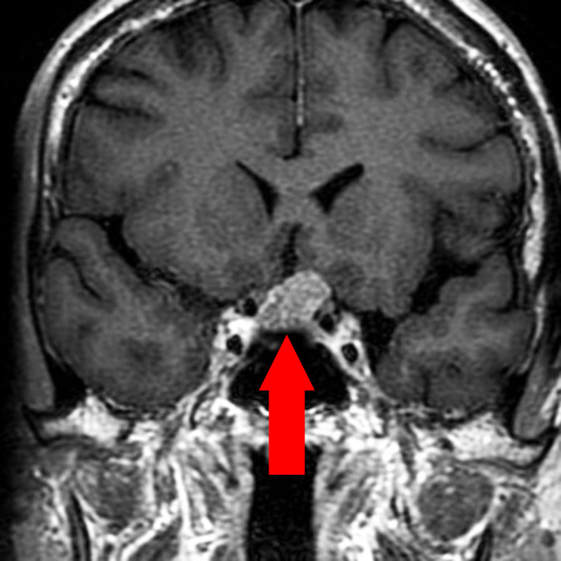
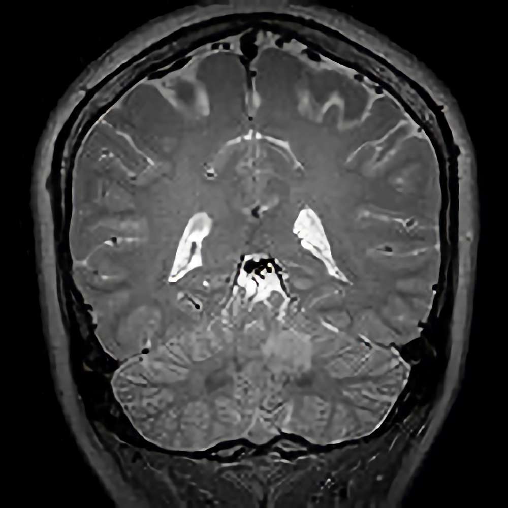
345

'22年11月
70代
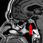
頭蓋底腫瘍
頭蓋内腫瘍摘出術
No.’22_102 手術前1
No.’22_102 手術前2
No.’22_102 摘出 前
No.’22_102  摘出 中
No.’22_102 摘出 後

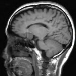
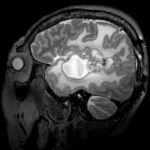
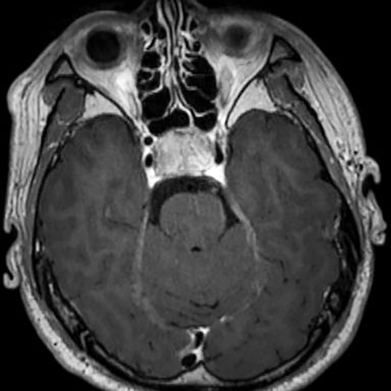
344

'22年11月
80代
蝶形骨稜髄膜腫
頭蓋内腫瘍摘出術
No.’22_101 手術前1
No.’22_101 手術前2
No.’22_101 摘出 前
No.’22_101  摘出 中
No.’22_101 摘出 後

343

'22年10月
60代
左脳腫瘍
頭蓋内腫瘍摘出術
No.’22_100 手術前1
No.’22_100 手術前2
No.’22_100 摘出 前
No.’22_100  摘出 中
No.’22_100 摘出 後

342

'22年10月
20代
傍矢状洞髄膜腫
頭蓋内腫瘍摘出術
No.’22_99 手術前1
No.’22_99 手術前2
No.’22_99 摘出 前
No.’22_99  摘出 中
No.’22_99 摘出 後

341

'22年10月
60代
下垂体腫瘍
頭蓋内腫瘍摘出術
No.’22_98 手術前1
No.’22_98 手術前2
No.’22_98 摘出 前
No.’22_98  摘出 中
No.’22_98 摘出 後

340

'22年10月
60代
左前頭葉腫瘍
頭蓋内腫瘍摘出術
No.’22_97 手術前1
No.’22_97 手術前2
No.’22_97 摘出 前
No.’22_97  摘出 中
No.’22_97 摘出 後

339

'22年10月
50代
右小脳橋角部髄膜腫
頭蓋内腫瘍摘出術
No.’22_96 手術前1
No.’22_96 手術前2
No.’22_96 摘出 前
No.’22_96 摘出 後

338

'22年10月
80代
傍矢状洞髄膜腫
頭蓋内腫瘍摘出術
No.’22_95 手術前1
No.’22_95 手術前2
No.’22_95 摘出 前
No.’22_95  摘出 中
No.’22_95 摘出 後

337

'22年10月
60代
右聴神経腫瘍
頭蓋内腫瘍摘出術
No.’22_94 手術前1
No.’22_94 手術前2
No.’22_94 摘出 前
No.’22_94  摘出 中
No.’22_94 摘出 後

336

'22年10月
80代
右小脳腫瘍
頭蓋内腫瘍摘出術
No.’22_93 手術前1
No.’22_93 手術前2
No.’22_93 摘出 前
No.’22_93  摘出 中
No.’22_93 摘出 後

335

'22年9月
70代
下垂体腺腫
頭蓋内腫瘍摘出術
No.’22_92 手術前1
No.’22_92 手術前2
No.’22_92 摘出 前
No.’22_92  摘出 中
No.’22_92 摘出 後

334

'22年9月
50代
頭蓋咽頭腫
頭蓋内腫瘍摘出術
No.’22_91 手術前1
No.’22_91 手術前2
No.’22_91 摘出 前
No.’22_91  摘出 中
No.’22_91 摘出 後

333

'22年9月
70代
下垂体腺腫
頭蓋内腫瘍摘出術
No.’22_90 手術前1
No.’22_90 手術前2
No.’22_90 摘出 前
No.’22_90  摘出 中
No.’22_90 摘出 後

332

'22年9月
70代
円蓋部髄膜腫
頭蓋内腫瘍摘出術
No.’22_89 手術前1
No.’22_89 手術前2
No.’22_89 摘出 前
No.’22_89  摘出 中
No.’22_89 摘出 後

331

'22年9月
40代
錐体斜台部髄膜腫
頭蓋内腫瘍摘出術
No.’22_88 手術前1
No.’22_88 手術前2
No.’22_88 摘出 前
No.’22_88  摘出 中
No.’22_88 摘出 後

330

'22年9月
60代
大脳鎌髄膜腫
頭蓋内腫瘍摘出術
No.’22_87 手術前1
No.’22_87 手術前2
No.’22_87 摘出 前
No.’22_87  摘出 中
No.’22_87 摘出 後

329

'22年9月
それ以外
頭蓋咽頭腫
頭蓋内腫瘍摘出術
No.’22_86 手術前1
No.’22_86 手術前2
No.’22_86 摘出 前
No.’22_86  摘出 中
No.’22_86 摘出 後

328

'22年8月
50代
左中頭蓋窩髄膜腫
頭蓋内腫瘍摘出術
No.’22_85 手術前1
No.’22_85 手術前2
No.’22_85 摘出 前
No.’22_85  摘出 中
No.’22_85 摘出 後

327

'22年8月
70代
小脳腫瘍
頭蓋内腫瘍摘出術
No.’22_84 手術前1
No.’22_84 手術前2
No.’22_84 摘出 前
No.’22_84  摘出 中
No.’22_84 摘出 後

326

'22年8月
40代
下垂体腺腫
頭蓋内腫瘍摘出術
No.’22_83 手術前1
No.’22_83 手術前2
No.’22_83 摘出 前
No.’22_83  摘出 中
No.’22_83 摘出 後

325

'22年8月
60代
左後頭蓋窩髄膜腫
頭蓋内腫瘍摘出術
No.’22_82 手術前1
No.’22_82 手術前2
No.’22_82 摘出 前

324

'22年8月
80代
髄膜腫
頭蓋内腫瘍摘出術
No.’22_81 手術前1
No.’22_81 手術前2
No.’22_81 摘出 前
No.’22_81  摘出 中
No.’22_81 摘出 後

323

'22年8月
60代
右側頭頭頂葉腫瘤
頭蓋内腫瘍摘出術
No.’22_80 手術前1
No.’22_80 手術前2
No.’22_80 摘出 前
No.’22_80  摘出 中
No.’22_80 摘出 後

322

'22年8月
60代
三叉神経鞘腫
頭蓋内腫瘍摘出術
No.’22_79 手術前1
No.’22_79 手術前2
No.’22_79 摘出 前
No.’22_79  摘出 中
No.’22_79 摘出 後

321

'22年8月
60代
左側頭葉腫瘍
頭蓋内腫瘍摘出術
No.’22_78 手術前1
No.’22_78 手術前2
No.’22_78 摘出 前
No.’22_78  摘出 中
No.’22_78 摘出 後

320

'22年8月
10代
下垂体腺腫
頭蓋内腫瘍摘出術
No.’22_77 手術前1
No.’22_77 手術前2
No.’22_77 摘出 前
No.’22_77  摘出 中
No.’22_77 摘出 後

319

'22年8月
20代
下垂体腺腫
頭蓋内腫瘍摘出術
No.’22_76 手術前1
No.’22_76 手術前2
No.’22_76 摘出 前
No.’22_76  摘出 中
No.’22_76 摘出 後

318

'22年8月
50代
下垂体腺腫
頭蓋内腫瘍摘出術
No.’22_75 手術前1
No.’22_75 手術前2
No.’22_75 摘出 前
No.’22_75  摘出 中
No.’22_75 摘出 後

317

'22年8月
30代
下垂体腫瘍
頭蓋内腫瘍摘出術
No.’22_74 手術前1
No.’22_74 手術前2
No.’22_74 摘出 前
No.’22_74  摘出 中

316

'22年8月
40代
鞍結節部髄膜腫
頭蓋内腫瘍摘出術
No.’22_73 手術前1
No.’22_73 手術前2
No.’22_73 摘出 前
No.’22_73  摘出 中
No.’22_73 摘出 後

315

'22年8月
50代
傍矢状洞髄膜腫
頭蓋内腫瘍摘出術
No.’22_72 手術前1
No.’22_72 手術前2
No.’22_72 摘出 前
No.’22_72  摘出 中
No.’22_72 摘出 後

314

'22年7月
20代
脳腫瘍
頭蓋内腫瘍摘出術
No.’22_71 手術前1
No.’22_71 手術前2
No.’22_71 摘出 前
No.’22_71  摘出 中
No.’22_71 摘出 後

313

'22年7月
50代
先端巨大症
頭蓋内腫瘍摘出術
No.’22_70 手術前1
No.’22_70 手術前2
No.’22_70 摘出 前
No.’22_70  摘出 中
No.’22_70 摘出 後

312

'22年7月
60代
下垂体腺腫
頭蓋内腫瘍摘出術
No.’22_69 手術前1
No.’22_69 手術前2
No.’22_69 摘出 前
No.’22_69  摘出 中
No.’22_69 摘出 後

311

'22年7月
30代
脳腫瘍
頭蓋内腫瘍摘出術
No.’22_68 手術前1
No.’22_68 手術前2
No.’22_68 摘出 前
No.’22_68 摘出 後

310

'22年7月
60代
小脳類皮腫
頭蓋内腫瘍摘出術
No.’22_67 手術前1
No.’22_67 手術前2
No.’22_67 摘出 前
No.’22_67  摘出 中
No.’22_67 摘出 後

309

'22年7月
60代
小脳腫瘍
頭蓋内腫瘍摘出術
No.’22_66 手術前1
No.’22_66 手術前2
No.’22_66 摘出 前
No.’22_66  摘出 中
No.’22_66 摘出 後

308

'22年7月
80代
円蓋部髄膜腫
頭蓋内腫瘍摘出術
No.’22_65 手術前1
No.’22_65 手術前2
No.’22_65 摘出 前
No.’22_65 摘出 後

307

'22年7月
60代
右聴神経鞘腫
頭蓋内腫瘍摘出術
No.’22_64 手術前1
No.’22_64 手術前2
No.’22_64 摘出 前
No.’22_64  摘出 中
No.’22_64 摘出 後

306

'22年7月
50代
脳腫瘍
頭蓋内腫瘍摘出術
No.’22_63 手術前1
No.’22_63 手術前2
No.’22_63 摘出 前
No.’22_63  摘出 中
No.’22_63 摘出 後

305

'22年6月
50代
髄膜腫
頭蓋内腫瘍摘出術
No.’22_62 手術前1
No.’22_62 手術前2
No.’22_62 摘出 前
No.’22_62 摘出 後

304

'22年6月
70代
嗅溝部髄膜腫
頭蓋内腫瘍摘出術
No.’22_61 手術前1
No.’22_61 手術前2
No.’22_61 摘出 前
No.’22_61  摘出 中
No.’22_61 摘出 後

303

'22年6月
60代
良性頭蓋咽頭腫
頭蓋内腫瘍摘出術
No.’22_60 手術前1
No.’22_60 手術前2
No.’22_60 摘出 前
No.’22_60  摘出 中
No.’22_60 摘出 後

302

'22年6月
50代
前頭葉神経膠腫
頭蓋内腫瘍摘出術
No.’22_59 手術前1
No.’22_59 手術前2
No.’22_59 摘出 前
No.’22_59  摘出 中
No.’22_59 摘出 後

301

'22年6月
70代
大脳鎌髄膜腫
頭蓋内腫瘍摘出術
No.’22_58 手術前1
No.’22_58 手術前2
No.’22_58 摘出 前
No.’22_58  摘出 中
No.’22_58 摘出 後

300

'22年6月
70代
脳腫瘍
頭蓋内腫瘍摘出術
No.’22_57 手術前1
No.’22_57 手術前2
No.’22_57 摘出 前
No.’22_57 摘出 後

299

'22年6月
40代
下垂体腺腫
頭蓋内腫瘍摘出術
No.’22_56 手術前1
No.’22_56 手術前2
No.’22_56 摘出 前
No.’22_56  摘出 中
No.’22_56 摘出 後

298

'22年6月
80代
左前額部傍矢状洞髄膜腫
頭蓋内腫瘍摘出術
No.’22_55 手術前1
No.’22_55 手術前2
No.’22_55 摘出 前
No.’22_55  摘出 中
No.’22_55 摘出 後

297

'22年6月
70代
傍矢状洞髄膜腫
頭蓋内腫瘍摘出術
No.’22_54 手術前1
No.’22_54 手術前2
No.’22_54 摘出 前
No.’22_54  摘出 中
No.’22_54 摘出 後

296

'22年6月
50代
下垂体腫瘍
頭蓋内腫瘍摘出術
No.’22_53 手術前1
No.’22_53 手術前2
No.’22_53 摘出 前
No.’22_53  摘出 中
No.’22_53 摘出 後

295

'22年5月
50代
傍矢状洞髄膜腫
頭蓋内腫瘍摘出術
No.’22_52 手術前1
No.’22_52 手術前2
No.’22_52 摘出 前
No.’22_52  摘出 中
No.’22_52 摘出 後

294

'22年5月
40代
下垂体腺腫
頭蓋内腫瘍摘出術
No.’22_51 手術前1
No.’22_51 手術前2
No.’22_51 摘出 前
No.’22_51  摘出 中
No.’22_51 摘出 後

293

'22年5月
40代
小脳橋角部髄膜腫
頭蓋内腫瘍摘出術
No.’22_50 手術前1
No.’22_50 手術前2
No.’22_50 摘出 前
No.’22_50  摘出 中
No.’22_50 摘出 後

292

'22年5月
10代
下垂体腺腫
頭蓋内腫瘍摘出術
No.’22_49 手術前1
No.’22_49 手術前2
No.’22_49 摘出 前
No.’22_49  摘出 中
No.’22_49 摘出 後

291

'22年5月
60代
下垂体腫瘍
頭蓋内腫瘍摘出術
No.’22_48 手術前1
No.’22_48 手術前2
No.’22_48 摘出 前
No.’22_48  摘出 中
No.’22_48 摘出 後

290

'22年5月
50代
右前頭葉腫瘍
頭蓋内腫瘍摘出術
No.’22_47 手術前1
No.’22_47 手術前2
No.’22_47 摘出 前
No.’22_47  摘出 中
No.’22_47 摘出 後

289

'22年5月
70代
脳腫瘍
頭蓋内腫瘍摘出術
No.’22_46 手術前1
No.’22_46 手術前2
No.’22_46 摘出 前
No.’22_46  摘出 中
No.’22_46 摘出 後

288

'22年5月
30代
蝶形骨髄膜腫
頭蓋内腫瘍摘出術
No.’22_45 手術前1
No.’22_45 手術前2
No.’22_45 摘出 前
No.’22_45  摘出 中
No.’22_45 摘出 後

287

'22年4月
60代
転移性脳腫瘍
頭蓋内腫瘍摘出術
No.’22_44 手術前1
No.’22_44 手術前2
No.’22_44 摘出 前
No.’22_44  摘出 中
No.’22_44 摘出 後

286

'22年4月
70代
下垂体腺腫
頭蓋内腫瘍摘出術
No.’22_43 手術前1
No.’22_43 手術前2
No.’22_43 摘出 前
No.’22_43  摘出 中
No.’22_43 摘出 後

285

'22年4月
70代
膠芽腫
頭蓋内腫瘍摘出術
No.’22_42 手術前1
No.’22_42 手術前2
No.’22_42 摘出 前
No.’22_42  摘出 中
No.’22_42 摘出 後

284

'22年4月
40代
円蓋部髄膜腫
頭蓋内腫瘍摘出術
No.’22_41 手術前1
No.’22_41 手術前2
No.’22_41 摘出 前
No.’22_41  摘出 中
No.’22_41 摘出 後

283

'22年4月
40代
下垂体腺腫
頭蓋内腫瘍摘出術
No.’22_40 手術前1
No.’22_40 手術前2
No.’22_40 摘出 前
No.’22_40  摘出 中
No.’22_40 摘出 後

282

'22年4月
30代
頭蓋内のう胞
頭蓋内腫瘍摘出術
No.’22_39 手術前1
No.’22_39 手術前2
No.’22_39 摘出 前
No.’22_39  摘出 中
No.’22_39 摘出 後

281

'22年4月
70代
左小脳橋角部髄膜腫
頭蓋内腫瘍摘出術
No.’22_38 手術前1
No.’22_38 手術前2
No.’22_38 摘出 前
No.’22_38  摘出 中
No.’22_38 摘出 後

280

'22年4月
40代
錐体斜台部髄膜腫
頭蓋内腫瘍摘出術
No.’22_37 手術前1
No.’22_37 手術前2
No.’22_37 摘出 前
No.’22_37  摘出 中
No.’22_37 摘出 後

279

'22年4月
40代
下垂体腺腫
頭蓋内腫瘍摘出術
No.’22_36 手術前1
No.’22_36 手術前2
No.’22_36 摘出 前
No.’22_36  摘出 中
No.’22_36 摘出 後

278

'22年4月
60代
蝶形骨稜髄膜腫
頭蓋内腫瘍摘出術
No.’22_35 手術前1
No.’22_35 手術前2
No.’22_35 摘出 前
No.’22_35  摘出 中
No.’22_35 摘出 後

277

'22年4月
80代
円蓋部髄膜腫
頭蓋内腫瘍摘出術
No.’22_34 手術前1
No.’22_34 手術前2
No.’22_34 摘出 前
No.’22_34  摘出 中
No.’22_34 摘出 後

276

'22年4月
30代
聴神経腫瘍
頭蓋内腫瘍摘出術
No.’22_33 手術前1
No.’22_33 手術前2
No.’22_33 摘出 前
No.’22_33  摘出 中
No.’22_33 摘出 後

275

'22年4月
60代
右大脳鎌髄膜腫
頭蓋内腫瘍摘出術
No.’22_32 手術前1
No.’22_32 手術前2
No.’22_32 摘出 前
No.’22_32  摘出 中
No.’22_32 摘出 後

274

'22年4月
40代
下垂体腫瘍
頭蓋内腫瘍摘出術
No.’22_31 手術前1
No.’22_31 手術前2
No.’22_31 摘出 前
No.’22_31  摘出 中
No.’22_31 摘出 後

273

'22年4月
80代
右傍矢状洞髄膜腫
頭蓋内腫瘍摘出術
No.’22_30 手術前1
No.’22_30 手術前2
No.’22_30 摘出 前
No.’22_30  摘出 中
No.’22_30 摘出 後

272

'22年4月
40代
小脳血管芽腫
頭蓋内腫瘍摘出術
No.’22_29 手術前1
No.’22_29 手術前2
No.’22_29 摘出 前
No.’22_29  摘出 中
No.’22_29 摘出 後

271

'22年4月
80代
下垂体腺腫
頭蓋内腫瘍摘出術
No.’22_28 手術前1
No.’22_28 手術前2
No.’22_28 摘出 前
No.’22_28  摘出 中
No.’22_28 摘出 後

270

'22年3月
70代
蝶形骨稜髄膜腫
頭蓋内腫瘍摘出術
No.’22_27 手術前1
No.’22_27 手術前2
No.’22_27 摘出 前
No.’22_27  摘出 中
No.’22_27 摘出 後

269

'22年3月
50代
左円蓋部髄膜腫
頭蓋内腫瘍摘出術
No.’22_26 手術前1
No.’22_26 手術前2
No.’22_26 摘出 前
No.’22_26  摘出 中
No.’22_26 摘出 後

268

'22年3月
30代
第4脳室内腫瘍
頭蓋内腫瘍摘出術
No.’22_25 手術前1
No.’22_25 手術前2
No.’22_25 摘出 前
No.’22_25  摘出 中
No.’22_25 摘出 後

267

'22年3月
60代
脳腫瘍
頭蓋内腫瘍摘出術
No.’22_24 手術前1
No.’22_24 手術前2
No.’22_24 摘出 前
No.’22_24 摘出 後

266

'22年3月
50代
蝶形骨稜髄膜腫
頭蓋内腫瘍摘出術
No.’22_23 手術前1
No.’22_23 手術前2
No.’22_23 摘出 前
No.’22_23  摘出 中
No.’22_23 摘出 後

265

'22年3月
60代
左前頭葉腫瘍
頭蓋内腫瘍摘出術
No.’22_22 手術前1
No.’22_22 手術前2
No.’22_22 摘出 前
No.’22_22 摘出 後

264

'22年3月
50代
蝶形骨稜髄膜腫
頭蓋内腫瘍摘出術
No.’22_21 手術前1
No.’22_21 手術前2
No.’22_21 摘出 前
No.’22_21  摘出 中
No.’22_21 摘出 後

263

'22年3月
70代
下垂体腺腫
頭蓋内腫瘍摘出術
No.’22_20 手術前1
No.’22_20 手術前2
No.’22_20 摘出 前
No.’22_20  摘出 中
No.’22_20 摘出 後

262

'22年3月
20代
左側頭葉腫瘤
頭蓋内腫瘍摘出術
No.’22_19 手術前1
No.’22_19 手術前2
No.’22_19 摘出 前
No.’22_19  摘出 中
No.’22_19 摘出 後

261

'22年2月
70代
左小脳橋角部髄膜腫
頭蓋内腫瘍摘出術
No.’22_18 手術前1
No.’22_18 手術前2
No.’22_18 摘出 前
No.’22_18  摘出 中
No.’22_18 摘出 後

260

'22年2月
60代
円蓋部髄膜腫
頭蓋内腫瘍摘出術
No.’22_17 手術前1
No.’22_17 手術前2
No.’22_17 摘出 前
No.’22_17  摘出 中
No.’22_17 摘出 後

259

'22年2月
50代
脳腫瘍
頭蓋内腫瘍摘出術
No.’22_16 手術前1
No.’22_16 手術前2
No.’22_16 摘出 前
No.’22_16  摘出 中
No.’22_16 摘出 後

258

'22年2月
70代
右小脳腫瘍
頭蓋内腫瘍摘出術
No.’22_15 手術前1
No.’22_15 手術前2
No.’22_15 摘出 前
No.’22_15  摘出 中

257

'22年2月
80代
脳腫瘍
頭蓋内腫瘍摘出術
No.’22_14 手術前1
No.’22_14 手術前2
No.’22_14 摘出 前
No.’22_14  摘出 中
No.’22_14 摘出 後

256

'22年2月
40代
大脳鎌髄膜腫
頭蓋内腫瘍摘出術
No.’22_13 手術前1
No.’22_13 手術前2
No.’22_13 摘出 前
No.’22_13  摘出 中
No.’22_13 摘出 後

255

'22年2月
70代
右脳室髄膜腫
頭蓋内腫瘍摘出術
No.’22_12 手術前1
No.’22_12 手術前2
No.’22_12 摘出 前
No.’22_12  摘出 中
No.’22_12 摘出 後

254

'22年2月
60代
脳腫瘍
頭蓋内腫瘍摘出術
No.’22_11 手術前1
No.’22_11 手術前2
No.’22_11 摘出 前
No.’22_11  摘出 中
No.’22_11 摘出 後

253

'22年2月
20代
下垂体腺腫
頭蓋内腫瘍摘出術
No.’22_10 手術前1
No.’22_10 手術前2
No.’22_10 摘出 前
No.’22_10  摘出 中
No.’22_10 摘出 後

252

'22年2月
30代
右小脳橋角部腫瘍
頭蓋内腫瘍摘出術
No.’22_9 手術前1
No.’22_9 手術前2
No.’22_9 摘出 前
No.’22_9  摘出 中
No.’22_9 摘出 後

251

'22年2月
70代
左円蓋部髄膜腫
頭蓋内腫瘍摘出術
No.’22_8 手術前1
No.’22_8 手術前2
No.’22_8 摘出 前
No.’22_8  摘出 中
No.’22_8 摘出 後

250

'22年2月
80代
下垂体腺腫
頭蓋内腫瘍摘出術
No.’22_7 手術前1
No.’22_7 手術前2
No.’22_7 摘出 前
No.’22_7  摘出 中
No.’22_7 摘出 後

249

'22年2月
10代
下垂体腺腫
頭蓋内腫瘍摘出術
No.’22_6 手術前1
No.’22_6 手術前2
No.’22_6 摘出 前
No.’22_6  摘出 中
No.’22_6 摘出 後

248

'22年1月
70代
嗅溝部髄膜腫
頭蓋内腫瘍摘出術
No.’22_5 手術前1
No.’22_5 手術前2
No.’22_5 摘出 前
No.’22_5  摘出 中
No.’22_5 摘出 後

247

'22年1月
70代
大脳鎌髄膜腫
頭蓋内腫瘍摘出術
No.’22_4 手術前1
No.’22_4 手術前2
No.’22_4 摘出 前
No.’22_4  摘出 中
No.’22_4 摘出 後
1 2 3 4 5 6 7 8 9 10 18

電話でのお問い合わせ

代表 06-6568-1601

専用フォームでのお問合せ

お問い合せ
矢印TOP