脳腫瘍 手術実績

脳腫瘍 手術実績
Brain tumor

※ 画像をクリックすると拡大表示します。症例No.は平成29年から起算しています。青背景のタイトルをクリックすると詳細ページを表示します。

※ 表は横スクロールすることができます。

No.
タイトル
手術年月
年齢
病名
術式
断層撮影
手術前1
手術前2
術中写真
摘出 前
摘出 中
摘出 後
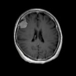
'16年10月
50代
脳腫瘍
(嗅窩部)
No.’16_140 手術前1
No.’16_140 摘出 前
No.’16_140 摘出 後
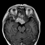
'16年10月
60代
類皮腫
No.’16_139 手術前1
No.’16_139 摘出 前
No.’16_139 摘出 後
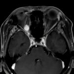
'16年9月
40代
聴神経腫瘍
No.’16_138 手術前1
No.’16_138 摘出 前
No.’16_138 摘出 後
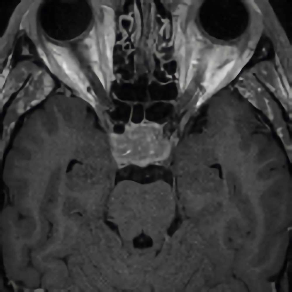
'16年9月
60代
下垂体腺腫
No.’16_137 手術前1
No.’16_137 摘出 前
No.’16_137 摘出 後
'16年9月
40代
脳腫瘍
(左小脳橋角)

No.’16_136 手術前1
No.’16_136 摘出 前
No.’16_136 摘出 後
'16年9月
40代
髄膜腫
(右蝶形骨)
No.’16_135 手術前1
No.’16_135 摘出 前
No.’16_135 摘出 後
'16年9月
50代
髄膜腫
(大脳鎌)
No.’16_134 手術前1
No.’16_134 摘出 前
No.’16_134 摘出 後
'16年9月
60代
聴神経鞘腫
No.’16_133 手術前1
No.’16_133 摘出 前
No.’16_133 摘出 後
'16年9月
70代
脳腫瘍
(左小脳橋角)
No.’16_132 手術前1
No.’16_132 摘出 前
No.’16_132 摘出 後
'16年9月
50代
下垂体腺腫
No.’16_131 手術前1
No.’16_131 摘出 前
No.’16_131 摘出 後
'16年9月
30代
聴神経腫瘍
No.’16_130 手術前1
No.’16_130 摘出 前
No.’16_130 摘出 後
'16年9月
70代
側頭葉膠芽腫
No.’16_129 手術前1
No.’16_129 摘出 前
No.’16_129 摘出 後
'16年9月
40代
髄膜腫
(嗅窩部)
No.’16_128 手術前1
No.’16_128 摘出 前
No.’16_128 摘出 後
'16年8月
20代
下垂体腫瘍
No.’16_127 手術前1
No.’16_127 摘出 前
No.’16_127 摘出 後
'16年8月
60代
髄膜腫
(傍矢状洞)
No.’16_126 手術前1
No.’16_126 摘出 前
No.’16_126 摘出 後
'16年8月
40代
下垂体腺腫
No.’16_125 手術前1
No.’16_125 摘出 前
No.’16_125 摘出 後
'16年8月
70代
髄膜腫
No.’16_124 手術前1
No.’16_124 摘出 前
No.’16_124 摘出 後
'16年8月
70代
髄膜腫
No.’16_123 手術前1
No.’16_123 摘出 前
No.’16_123 摘出 後
'16年8月
30代
下垂体腫瘍
No.’16_122 手術前1
No.’16_122 摘出 前
No.’16_122 摘出 後
'16年8月
30代
髄膜腫
No.’16_121 手術前1
No.’16_121 摘出 前
No.’16_121 摘出 後
'16年8月
40代
髄膜腫
(鞍結節部)
No.’16_120 手術前1
No.’16_120 摘出 前
No.’16_120 摘出 後
'16年8月
40代
脳腫瘍
(脳室内)
No.’16_119 手術前1
No.’16_119 摘出 前
No.’16_119 摘出 後
'16年8月
60代
下垂体腫瘍
No.’16_118 手術前1
No.’16_118 摘出 前
No.’16_118 摘出 後
'16年8月
70代
下垂体腺腫
(円蓋部)
No.’16_117 手術前1
No.’16_117 摘出 前
No.’16_117 摘出 後
'16年8月
60代
聴神経腫瘍
No.’16_116 手術前1
No.’16_116 摘出 前
No.’16_116 摘出 後
'16年8月
40代
脳腫瘍
No.’16_115 手術前1
No.’16_115 摘出 前
No.’16_115 摘出 後
'16年8月
30代
髄膜腫
No.’16_114 手術前1
No.’16_114 摘出 前
No.’16_114 摘出 後
'16年8月
70代
脳腫瘍
(トルコ鞍部)
No.’16_113 手術前1
No.’16_113 摘出 前
No.’16_113 摘出 後
'16年7月
40代
下垂体腫瘍
No.’16_112 手術前1
No.’16_112 摘出 前
No.’16_112 摘出 後
'16年7月
70代
下垂体腫瘍
No.’16_111 手術前1
No.’16_111 摘出 前
No.’16_111 摘出 後
'16年7月
20代
脳腫瘍
(左前頭葉)
No.’16_110 手術前1
No.’16_110 摘出 前
No.’16_110 摘出 後
'16年7月
40代
下垂体腫瘍
No.’16_109 手術前1
No.’16_109 摘出 前
No.’16_109 摘出 後
'16年7月
70代
髄膜腫
(大脳鎌)
No.’16_108 手術前1
No.’16_108 摘出 前
No.’16_108 摘出 後
'16年7月
40代
下垂体腫瘍
No.’16_107 手術前1
No.’16_107 摘出 前
No.’16_107 摘出 後
'16年7月
70代
下垂体腫瘍
No.’16_106 手術前1
No.’16_106 摘出 前
No.’16_106 摘出 後
'16年7月
70代
髄膜腫
No.’16_105 手術前1
No.’16_105 摘出 前
No.’16_105 摘出 後
'16年7月
60代
脳腫瘍
No.’16_104 手術前1
No.’16_104 摘出 前
No.’16_104 摘出 後
'16年7月
50代
下垂体腫瘍
No.’16_103 手術前1
No.’16_103 摘出 前
No.’16_103 摘出 後
'16年7月
70代
髄膜腫
(円蓋部)
No.’16_102 手術前1
No.’16_102 摘出 前
No.’16_102 摘出 後
'16年7月
40代
髄膜腫
(前頭葉)
No.’16_101 手術前1
No.’16_101 摘出 前
No.’16_101 摘出 後
'16年7月
60代
聴神経腫瘍
No.’16_100 手術前1
No.’16_100 摘出 前
No.’16_100 摘出 後
'16年7月
60代
脳腫瘍
No.’16_99 手術前1
No.’16_99 摘出 前
No.’16_99 摘出 後
'16年6月
20代
脳腫瘍
No.’16_98 手術前1
No.’16_98 摘出 前
No.’16_98 摘出 後
'16年6月
70代
脳腫瘍
(多発性)
No.’16_97 手術前1
No.’16_97 摘出 前
No.’16_97 摘出 後
'16年6月
40代
髄膜腫
No.’16_96 手術前1
No.’16_96 摘出 前
No.’16_96 摘出 後
'16年6月
70代
下垂体腫瘍
No.’16_95 手術前1
No.’16_95 摘出 前
No.’16_95 摘出 後
'16年6月
50代
髄膜腫
(後頭蓋窩)
No.’16_94 手術前1
No.’16_94 摘出 前
No.’16_94 摘出 後
'16年6月
70代
下垂体腺腫
No.’16_93 手術前1
No.’16_93 摘出 前
No.’16_93 摘出 後
'16年6月
50代
脳腫瘍
No.’16_92 手術前1
No.’16_92 摘出 前
No.’16_92 摘出 後
'16年6月
60代
髄膜腫
(大脳鎌)
No.’16_91 手術前1
No.’16_91 摘出 前
No.’16_91 摘出 後
'16年6月
30代
海綿状血管腫
No.’16_90 手術前1
No.’16_90 摘出 前
No.’16_90 摘出 後
'16年6月
70代
髄膜腫
No.’16_89 手術前1
No.’16_89 摘出 前
No.’16_89 摘出 後
'16年6月
30代
下垂体腺腫
No.’16_88 手術前1
No.’16_88 摘出 前
No.’16_88 摘出 後
'16年6月
70代
髄膜腫
(右蝶形骨)
No.’16_87 手術前1
No.’16_87 摘出 前
No.’16_87 摘出 後
'16年6月
50代
下垂体腫瘍
No.’16_86 手術前1
No.’16_86 摘出 前
No.’16_86 摘出 後
'16年6月
20代
脳腫瘍
(左小脳橋角)
No.’16_85 手術前1
No.’16_85 摘出 前
No.’16_85 摘出 後
'16年6月
60代
髄膜腫
(後頭蓋窩)
No.’16_84 手術前1
No.’16_84 摘出 前
No.’16_84 摘出 後
'16年6月
40代
脳腫瘍
No.’16_83 手術前1
No.’16_83 摘出 前
No.’16_83 摘出 後
'16年6月
40代
脳腫瘍
No.’16_82 手術前1
No.’16_82 摘出 前
No.’16_82 摘出 後
'16年6月
10代
小脳腫瘍
No.’16_81 手術前1
No.’16_81 摘出 前
No.’16_81 摘出 後
'16年6月
70代
髄膜腫
(大脳鎌)
No.’16_80 手術前1
No.’16_80 摘出 前
No.’16_80 摘出 後
'16年5月
20代
脳腫瘍
No.’16_79 手術前1
No.’16_79 摘出 前
No.’16_79 摘出 後
'16年5月
60代
髄膜腫
(右後頭葉)
No.’16_78 手術前1
No.’16_78 摘出 前
No.’16_78 摘出 後
'16年5月
70代
髄膜腫
No.’16_77 手術前1
No.’16_77 摘出 前
No.’16_77 摘出 後
'16年5月
70代
脳腫瘍
No.’16_76 手術前1
No.’16_76 摘出 前
No.’16_76 摘出 後
'16年5月
50代
髄膜腫
No.’16_75 手術前1
No.’16_75 摘出 前
No.’16_75 摘出 後
'16年5月
50代
下垂体腺腫
No.’16_74 手術前1
No.’16_74 摘出 前
No.’16_74 摘出 後
'16年5月
20代
髄膜腫
(傍矢状洞)
No.’16_73 手術前1
No.’16_73 摘出 前
No.’16_73 摘出 後
'16年5月
50代
髄膜腫
(大脳鎌)
No.’16_72 手術前1
No.’16_72 摘出 前
No.’16_72 摘出 後
'16年5月
70代
髄膜腫
(傍矢状洞)
No.’16_71 手術前1
No.’16_71 摘出 前
No.’16_71 摘出 後
'16年5月
30代
脳腫瘍
No.’16_70 手術前1
No.’16_70 摘出 前
No.’16_70 摘出 後
'16年5月
70代
左聴神経腫瘍
No.’16_69 手術前1
No.’16_69 摘出 前
No.’16_69 摘出 後
'16年5月
40代
髄膜腫
No.’16_68 手術前1
No.’16_68 摘出 前
No.’16_68 摘出 後
'16年5月
20代
下垂体腫瘍
No.’16_67 手術前1
No.’16_67 摘出 前
No.’16_67 摘出 後
'16年5月
70代
髄膜腫
(後頭蓋窩)
No.’16_66 手術前1
No.’16_66 摘出 前
No.’16_66 摘出 後
'16年5月
40代
下垂体腺腫
No.’16_65 手術前1
No.’16_65 摘出 前
No.’16_65 摘出 後
'16年5月
60代
髄膜腫
(傍矢状洞)
No.’16_64 手術前1
No.’16_64 摘出 前
No.’16_64 摘出 後
'16年4月
50代
下垂体腺腫
No.’16_63 手術前1
No.’16_63 摘出 前
No.’16_63 摘出 後
'16年4月
80代
脳腫瘍
No.’16_62 手術前1
No.’16_62 摘出 前
No.’16_62 摘出 後
'16年4月
60代
脳腫瘍
(多発性)
No.’16_61 手術前1
No.’16_61 摘出 前
No.’16_61 摘出 後
'16年4月
40代
静脈性血管腫
No.’16_60 手術前1
No.’16_60 摘出 前
No.’16_60 摘出 後
'16年4月
10代
頭蓋咽頭腫
No.’16_59 手術前1
No.’16_59 摘出 前
No.’16_59 摘出 後
'16年4月
50代
髄膜腫
(右前頭葉円蓋部)
No.’16_58 手術前1
No.’16_58 摘出 前
No.’16_58 摘出 後
'16年4月
60代
脳腫瘍
(左前頭葉)
No.’16_57 手術前1
No.’16_57 摘出 前
No.’16_57 摘出 後
'16年4月
50代
脳腫瘍
No.’16_56 手術前1
No.’16_56 摘出 前
No.’16_56 摘出 後
'16年4月
50代
髄膜腫
(円蓋部)
No.’16_55 手術前1
No.’16_55 摘出 前
No.’16_55 摘出 後
'16年4月
70代
髄膜腫
(右錐体斜台部)
No.’16_54 手術前1
No.’16_54 摘出 前
No.’16_54 摘出 後
'16年4月
70代
髄膜腫
(傍矢状洞)
No.’16_53 手術前1
No.’16_53 摘出 前
No.’16_53 摘出 後
'16年4月
70代
左三叉神経鞘腫
No.’16_52 手術前1
No.’16_52 摘出 前
No.’16_52 摘出 後
'16年4月
60代
細胞腫
(左前頭葉)
No.’16_51 手術前1
No.’16_51 摘出 前
No.’16_51 摘出 後
'16年4月
60代
聴神経腫瘍
No.’16_50 手術前1
No.’16_50 摘出 前
No.’16_50 摘出 後
'16年4月
60代
脳腫瘍
No.’16_49 手術前1
No.’16_49 摘出 前
No.’16_49 摘出 後
'16年4月
80代
脳腫瘍
No.’16_48 手術前1
No.’16_48 摘出 前
No.’16_48 摘出 後
'16年4月
40代
髄膜腫
No.’16_47 手術前1
No.’16_47 摘出 前
No.’16_47 摘出 後
'16年4月
40代
鞍上部腫瘍
No.’16_46 手術前1
No.’16_46 摘出 前
No.’16_46 摘出 後
'16年4月
40代
脳腫瘍
(多発性)
No.’16_45 手術前1
No.’16_45 摘出 前
No.’16_45 摘出 後
'16年4月
80代
脳腫瘍
No.’16_44 手術前1
No.’16_44 摘出 前
No.’16_44 摘出 後
'16年4月
50代
髄膜腫
(蝶形骨)
No.’16_43 手術前1
No.’16_43 摘出 前
No.’16_43 摘出 後
'16年4月
40代
髄膜腫
(円蓋部)
No.’16_42 手術前1
No.’16_42 摘出 前
No.’16_42 摘出 後
'16年4月
20代
聴神経腫瘍
No.’16_41 手術前1
No.’16_41 摘出 前
No.’16_41 摘出 後
1 4 5 6 7 8 9 10 11 12 13 14 18

電話でのお問い合わせ

代表 06-6568-1601

専用フォームでのお問合せ

お問い合せ
矢印TOP