脳腫瘍 手術実績

脳腫瘍 手術実績
Brain tumor

※ 画像をクリックすると拡大表示します。症例No.は平成29年から起算しています。青背景のタイトルをクリックすると詳細ページを表示します。

※ 表は横スクロールすることができます。

No.
タイトル
手術年月
年齢
病名
術式
断層撮影
手術前1
手術前2
術中写真
摘出 前
摘出 中
摘出 後
'14年1月
50代
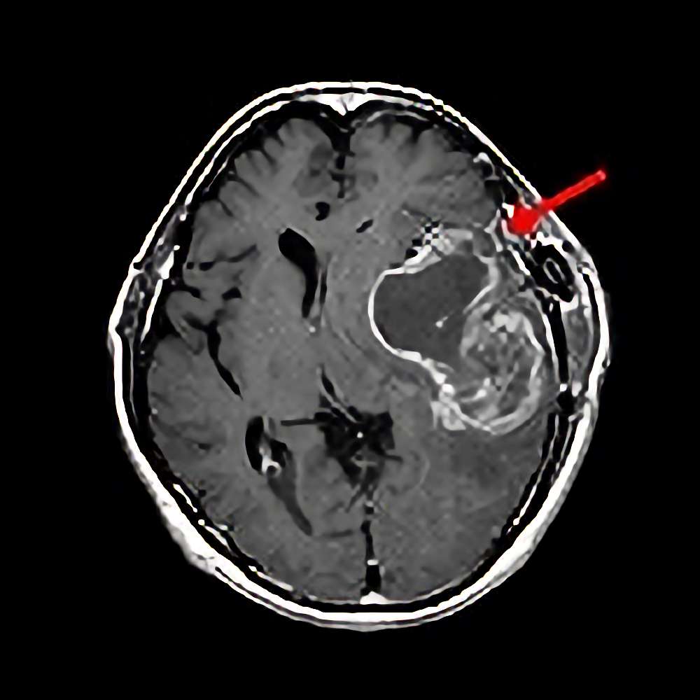
円蓋部髄膜腫
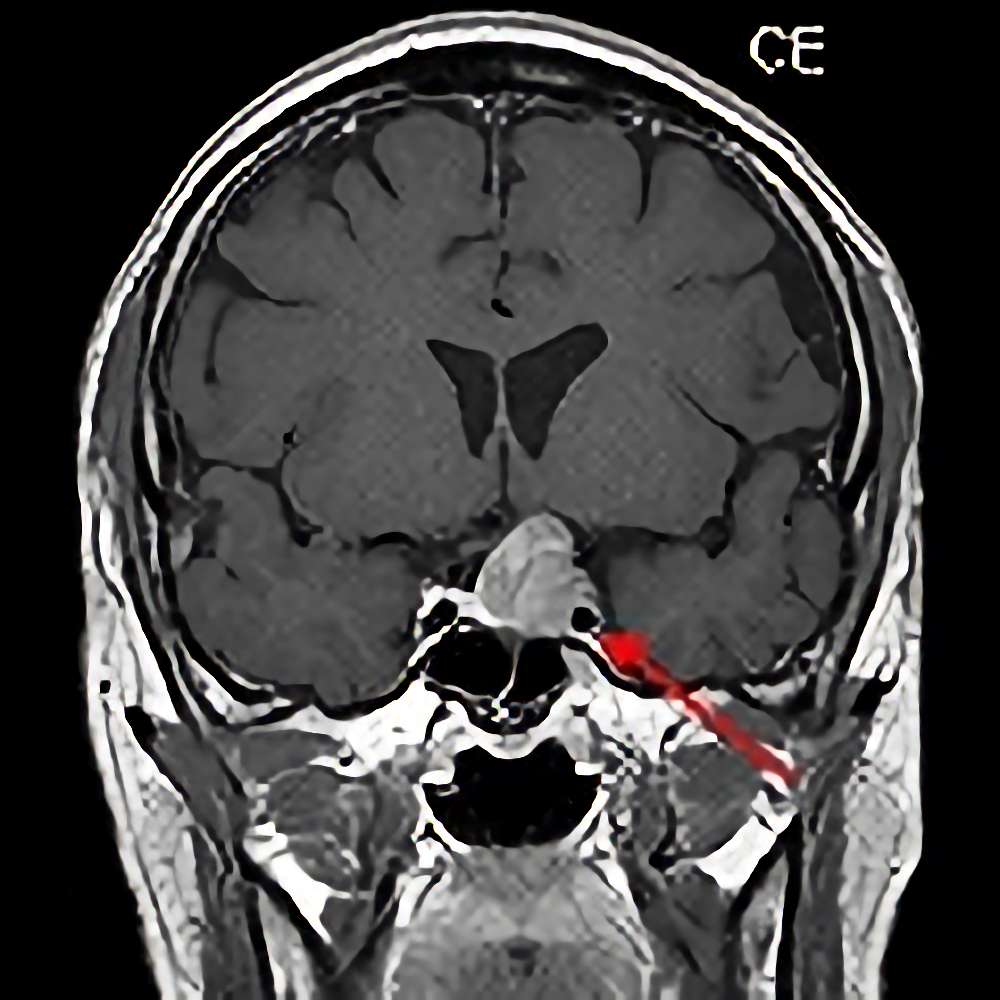
No.’14_3 手術前1
No.’14_3 摘出 前
No.’14_3 摘出 後
'14年1月
40代
脳腫瘍
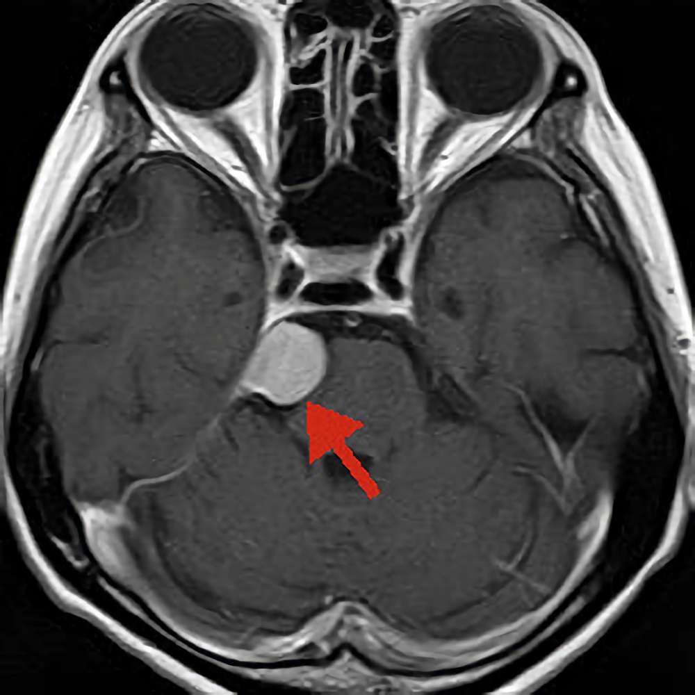
No.’14_2 手術前1
No.’14_2 摘出 前
No.’14_2 摘出 後
'14年1月
50代
聴神経鞘腫
No.’14_1 手術前1
No.’14_1 摘出 前
No.’14_1 摘出 後
'13年12月
50代
転移性脳腫瘍
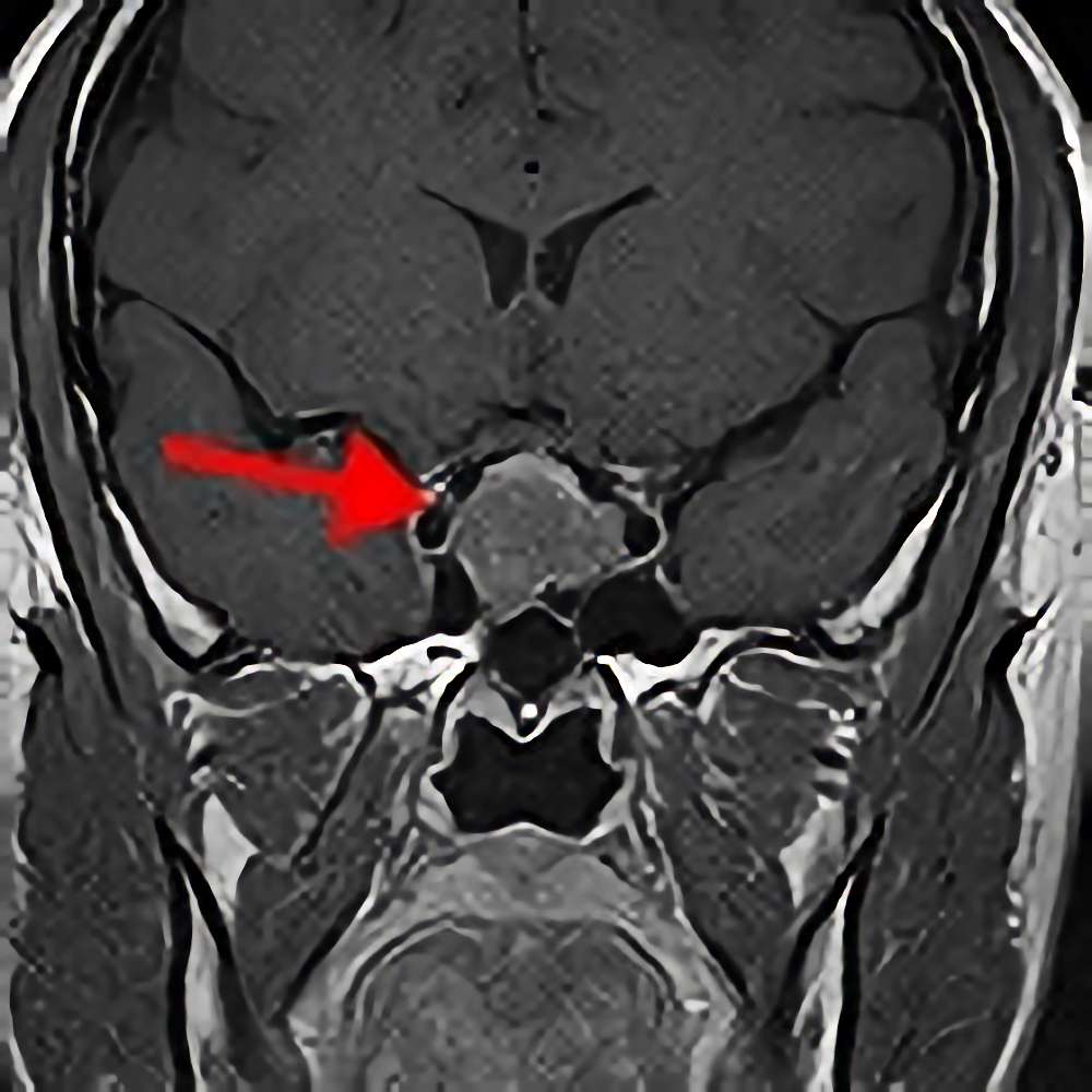
No.’13_191 手術前1
No.’13_191 摘出 前
No.’13_191 摘出 後
'13年12月
60代
下垂体腺腫
No.’13_190 手術前1
No.’13_190 摘出 前
No.’13_190 摘出 後
'13年12月
70代
脳腫瘍
No.’13_189 手術前1
No.’13_189 摘出 前
No.’13_189 摘出 後
'13年12月
40代
脳腫瘍
No.’13_188 手術前1
No.’13_188 摘出 前
No.’13_188 摘出 後
'13年12月
30代
髄膜腫
(蝶形骨稜)
No.’13_187 手術前1
No.’13_187 摘出 前
No.’13_187 摘出 後
'13年12月
40代
脳腫瘍
No.’13_186 手術前1
No.’13_186 摘出 前
No.’13_186 摘出 後
'13年12月
50代
下垂体腺腫
No.’13_185 手術前1
No.’13_185 摘出 前
No.’13_185 摘出 後
'13年12月
60代
聴神経腫瘍
No.’13_184 手術前1
No.’13_184 摘出 前
No.’13_184 摘出 後
'13年12月
50代
下垂体腫瘍
No.’13_183 手術前1
No.’13_183 摘出 前
No.’13_183 摘出 後
'13年12月
60代
下垂体腺腫
No.’13_182 手術前1
No.’13_182 摘出 前
No.’13_182 摘出 後
'13年12月
60代
髄膜腫
(蝶形骨)
No.’13_181 手術前1
No.’13_181 摘出 前
No.’13_181 摘出 後
'13年12月
70代
髄膜腫
(円蓋部)
No.’13_180 手術前1
No.’13_180 摘出 前
No.’13_180 摘出 後
'13年12月
40代
髄膜腫
(鞍結節部)
No.’13_179 手術前1
No.’13_179 摘出 前
No.’13_179 摘出 後
'13年12月
70代
脳腫瘍
No.’13_178 手術前1
No.’13_178 摘出 前
No.’13_178 摘出 後
'13年12月
60代
転移性脳腫瘍
No.’13_177 手術前1
No.’13_177 摘出 前
No.’13_177 摘出 後
'13年12月
50代
下垂体腺腫
No.’13_176 手術前1
No.’13_176 摘出 前
No.’13_176 摘出 後
'13年12月
50代
転移性脳腫瘍
No.’13_175 手術前1
No.’13_175 摘出 前
No.’13_175 摘出 後
'13年12月
40代
脳腫瘍
No.’13_174 手術前1
No.’13_174 摘出 前
No.’13_174 摘出 後
'13年12月
60代
松果体腫瘍
No.’13_173 手術前1
No.’13_173 摘出 前
No.’13_173 摘出 後
'13年12月
40代
脳腫瘍
(側頭葉)
No.’13_172 手術前1
No.’13_172 摘出 前
No.’13_172 摘出 後
'13年11月
50代
円蓋部髄膜腫
No.’13_171 手術前1
No.’13_171 摘出 前
No.’13_171 摘出 後
'13年11月
70代
嗅溝部髄膜腫
No.’13_170 手術前1
No.’13_170 摘出 前
No.’13_170 摘出 後
'13年11月
40代
頭頂葉海綿状血管腫
No.’13_169 手術前1
No.’13_169 摘出 前
No.’13_169 摘出 後
'13年11月
30代
下垂体腺腫
No.’13_168 手術前1
No.’13_168 摘出 前
No.’13_168 摘出 後
'13年11月
70代
転移性脳腫瘍
No.’13_167 手術前1
No.’13_167 摘出 前
No.’13_167 摘出 後
'13年11月
60代
蝶形骨髄膜腫
No.’13_166 手術前1
No.’13_166 摘出 前
No.’13_166 摘出 後
'13年11月
50代
下垂体腺腫
No.’13_165 手術前1
No.’13_165 摘出 前
No.’13_165 摘出 後
'13年11月
20代
下垂体腺腫
No.’13_164 手術前1
No.’13_164 摘出 前
No.’13_164 摘出 後
'13年11月
60代
松果体腫瘍
No.’13_163 手術前1
No.’13_163 摘出 前
No.’13_163 摘出 後
'13年11月
30代
下垂体腺腫
No.’13_162 手術前1
No.’13_162 摘出 前
No.’13_162 摘出 後
'13年11月
60代
転移性脳腫瘍
No.’13_161 手術前1
No.’13_161 摘出 前
No.’13_161 摘出 後
'13年11月
60代
中頭蓋窩髄膜腫
No.’13_160 手術前1
No.’13_160 摘出 前
No.’13_160 摘出 後
'13年11月
60代
転移性脳腫瘍
No.’13_159 手術前1
No.’13_159 摘出 前
No.’13_159 摘出 後
'13年10月
50代
後頭蓋窩髄膜腫
No.’13_158 手術前1
No.’13_158 摘出 前
No.’13_158 摘出 後
'13年10月
40代
下垂体腫瘍
No.’13_157 手術前1
No.’13_157 摘出 前
No.’13_157 摘出 後
'13年10月
70代
頭蓋骨腫瘍
No.’13_156 手術前1
No.’13_156 摘出 前
No.’13_156 摘出 後
'13年10月
70代
蝶形骨稜髄膜腫
No.’13_155 手術前1
No.’13_155 摘出 前
No.’13_155 摘出 後
'13年10月
70代
転移性脳腫瘍
No.’13_154 手術前1
No.’13_154 摘出 前
No.’13_154 摘出 後
'13年10月
50代
前頭葉神経膠腫
No.’13_153 手術前1
No.’13_153 摘出 前
No.’13_153 摘出 後
'13年10月
30代
前頭葉神経膠腫
No.’13_152 手術前1
No.’13_152 摘出 前
No.’13_152 摘出 後
'13年10月
50代
脳腫瘍
(大後頭孔部)
No.’13_151 手術前1
No.’13_151 摘出 前
No.’13_151 摘出 後
'13年10月
50代
小脳テント髄膜腫
聴神経腫瘍
No.’13_150 手術前1
No.’13_150 摘出 前
No.’13_150 摘出 後
'13年10月
20代
下垂体腺腫
No.’13_149 手術前1
No.’13_149 摘出 前
No.’13_149 摘出 後
'13年10月
50代
蝶形骨稜髄膜腫
No.’13_148 手術前1
No.’13_148 摘出 前
No.’13_148 摘出 後
'13年10月
40代
頭蓋咽頭腫
No.’13_147 手術前1
No.’13_147 摘出 前
No.’13_147 摘出 後
'13年10月
60代
前頭葉神経膠腫
No.’13_146 手術前1
No.’13_146 摘出 前
No.’13_146 摘出 後
'13年10月
80代
転移性脳腫瘍
No.’13_145 手術前1
No.’13_145 摘出 前
No.’13_145 摘出 後
'13年10月
20代
トルコ鞍部腫瘍
No.’13_144 手術前1
No.’13_144 摘出 前
No.’13_144 摘出 後
'13年9月
50代
下垂体腫瘍
No.’13_143 手術前1
No.’13_143 摘出 前
No.’13_143 摘出 後
'13年9月
50代
髄膜腫
(大脳鎌)
No.’13_142 手術前1
No.’13_142 摘出 前
No.’13_142 摘出 後
'13年9月
80代
脳腫瘍
(悪性
前頭葉)
No.’13_141 手術前1
No.’13_141 摘出 前
No.’13_141 摘出 後
'13年9月
30代
星細胞腫
(前頭葉)
No.’13_140 手術前1
No.’13_140 摘出 前
No.’13_140 摘出 後
'13年9月
50代
髄膜腫
No.’13_139 手術前1
No.’13_139 摘出 前
No.’13_139 摘出 後
'13年9月
50代
脊索腫
No.’13_138 手術前1
No.’13_138 摘出 前
No.’13_138 摘出 後
'13年9月
50代
下垂体腫瘍
No.’13_137 手術前1
No.’13_137 摘出 前
No.’13_137 摘出 後
'13年9月
50代
髄膜腫
(大脳鎌)
No.’13_136 手術前1
No.’13_136 摘出 前
No.’13_136 摘出 後
'13年9月
60代
転移性脳腫瘍
No.’13_135 手術前1
No.’13_135 摘出 前
No.’13_135 摘出 後
'13年9月
50代
乏突起神経膠腫
No.’13_134 手術前1
No.’13_134 摘出 前
No.’13_134 摘出 後
'13年9月
60代
膠芽腫
(側頭葉)
No.’13_133 手術前1
No.’13_133 摘出 前
No.’13_133 摘出 後
'13年9月
50代
髄膜腫
(鞍結節部)
No.’13_132 手術前1
No.’13_132 摘出 前
No.’13_132 摘出 後
'13年9月
60代
頭蓋底腫瘍
No.’13_131 手術前1
No.’13_131 摘出 前
No.’13_131 摘出 後
'13年9月
70代
頭蓋咽頭腫
No.’13_130 手術前1
No.’13_130 摘出 前
No.’13_130 摘出 後
'13年9月
20代
髄膜腫
(円蓋部)
No.’13_129 手術前1
No.’13_129 摘出 前
No.’13_129 摘出 後
'13年9月
50代
小脳血管芽腫
No.’13_128 手術前1
No.’13_128 摘出 前
No.’13_128 摘出 後
'13年9月
60代
下垂体腫瘍
No.’13_127 手術前1
No.’13_127 摘出 前
No.’13_127 摘出 後
'13年9月
50代
転移性脳腫瘍
No.’13_126 手術前1
No.’13_126 摘出 前
No.’13_126 摘出 後
'13年9月
30代
脳室内腫瘍
No.’13_125 手術前1
No.’13_125 摘出 前
No.’13_125 摘出 後
'13年9月
70代
髄膜腫
(錐体斜台部)
No.’13_124 手術前1
No.’13_124 摘出 前
No.’13_124 摘出 後
'13年8月
40代
髄膜腫
(鞍結節部)
No.’13_123 手術前1
No.’13_123 摘出 前
No.’13_123 摘出 後
'13年8月
40代
脳腫瘍
(小脳橋角部)
No.’13_122 手術前1
No.’13_122 摘出 前
No.’13_122 摘出 後
'13年8月
60代
髄膜腫
(円蓋部)
No.’13_121 手術前1
No.’13_121 摘出 前
No.’13_121 摘出 後
'13年8月
40代
先端巨大症
No.’13_120 手術前1
No.’13_120 摘出 前
No.’13_120 摘出 後
'13年8月
60代
下垂体腺腫
No.’13_119 手術前1
No.’13_119 摘出 前
No.’13_119 摘出 後
'13年8月
30代
下垂体腺腫
No.’13_118 手術前1
No.’13_118 摘出 前
No.’13_118 摘出 後
'13年8月
70代
脳腫瘍
(前頭葉)
No.’13_117 手術前1
No.’13_117 摘出 前
No.’13_117 摘出 後
'13年8月
70代
髄膜腫
(鞍結節部)
No.’13_116 手術前1
No.’13_116 摘出 前
No.’13_116 摘出 後
'13年8月
60代
神経膠腫
(前頭葉)
No.’13_115 手術前1
No.’13_115 摘出 前
No.’13_115 摘出 後
'13年8月
60代
髄膜腫
(傍矢状洞)
No.’13_114 手術前1
No.’13_114 摘出 前
No.’13_114 摘出 後
'13年7月
50代
小脳橋角部腫瘍
No.’13_113 手術前1
No.’13_113 摘出 前
No.’13_113 摘出 後
'13年7月
40代
脳腫瘍
No.’13_112 手術前1
No.’13_112 摘出 前
No.’13_112 摘出 後
'13年7月
40代
円蓋部髄膜腫
No.’13_111 手術前1
No.’13_111 摘出 前
No.’13_111 摘出 後
'13年7月
40代
下垂体腺腫
No.’13_110 手術前1
No.’13_110 摘出 前
No.’13_110 摘出 後
'13年7月
60代
転移性脳腫瘍
No.’13_109 手術前1
No.’13_109 摘出 前
No.’13_109 摘出 後
'13年7月
70代
下垂体腫瘍
No.’13_108 手術前1
No.’13_108 摘出 前
No.’13_108 摘出 後
'13年7月
20代
大脳深部神経膠腫
No.’13_107 手術前1
No.’13_107 摘出 前
No.’13_107 摘出 後
'13年7月
60代
下垂体腺腫
No.’13_106 手術前1
No.’13_106 摘出 前
No.’13_106 摘出 後
'13年7月
50代
海綿状血管腫
No.’13_105 手術前1
No.’13_105 摘出 前
No.’13_105 摘出 後
'13年7月
40代
頭蓋底腫瘍
No.’13_104 手術前1
No.’13_104 摘出 前
No.’13_104 摘出 後
'13年7月
70代
小脳橋角部髄膜腫
No.’13_103 手術前1
No.’13_103 摘出 前
No.’13_103 摘出 後
'13年7月
30代
前頭葉膠芽腫
No.’13_102 手術前1
No.’13_102 摘出 前
No.’13_102 摘出 後
'13年7月
20代
脳幹部良性上皮腫
No.’13_101 手術前1
No.’13_101 摘出 前
No.’13_101 摘出 後
'13年7月
60代
後頭蓋窩髄膜腫
No.’13_100 手術前1
No.’13_100 摘出 前
No.’13_100 摘出 後
'13年7月
70代
下垂体腺腫
No.’13_99 手術前1
No.’13_99 摘出 前
No.’13_99 摘出 後
'13年7月
50代
転移性脳腫瘍
No.’13_98 手術前1
No.’13_98 摘出 前
No.’13_98 摘出 後
'13年7月
70代
小脳腫瘍
No.’13_97 手術前1
No.’13_97 摘出 前
No.’13_97 摘出 後
'13年6月
30代
下垂体腺腫
No.’13_96 手術前1
No.’13_96 摘出 前
No.’13_96 摘出 後
'13年6月
50代
脳腫瘍
No.’13_95 手術前1
No.’13_95 摘出 前
No.’13_95 摘出 後

電話でのお問い合わせ

代表 06-6568-1601

専用フォームでのお問合せ

お問い合せ
矢印TOP