脳腫瘍 手術実績

脳腫瘍 手術実績
Brain tumor

※ 画像をクリックすると拡大表示します。症例No.は平成29年から起算しています。青背景のタイトルをクリックすると詳細ページを表示します。

※ 表は横スクロールすることができます。

No.
タイトル
手術年月
年齢
病名
術式
断層撮影
手術前1
手術前2
術中写真
摘出 前
摘出 中
摘出 後
'16年3月
60代
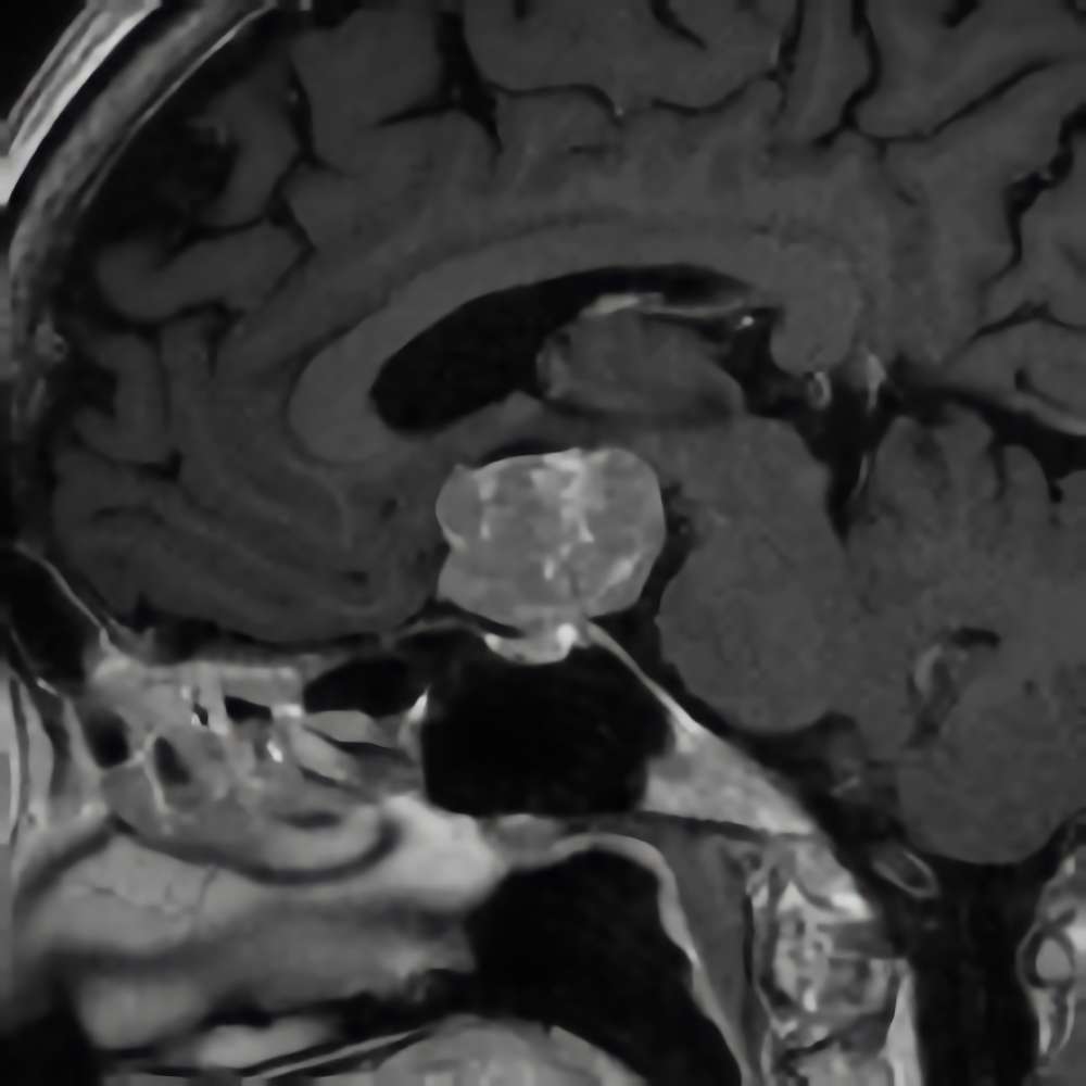
脳腫瘍
No.’16_40 手術前1
No.’16_40 摘出 前
No.’16_40 摘出 後
'16年3月
50代
脳腫瘍
No.’16_39 手術前1
No.’16_39 摘出 前
No.’16_39 摘出 後
'16年3月
40代
下垂体腺腫
No.’16_38 手術前1
No.’16_38 摘出 前
No.’16_38 摘出 後
'16年3月
20代
脳腫瘍
No.’16_37 手術前1
No.’16_37 摘出 前
No.’16_37 摘出 後
'16年3月
50代
後頭蓋窩腫瘍
No.’16_36 手術前1
No.’16_36 摘出 前
No.’16_36 摘出 後
'16年3月
60代
髄膜腫
(錐体斜台部))
No.’16_35 手術前1
No.’16_35 摘出 前
No.’16_35 摘出 後
'16年3月
70代
小脳膠芽腫
No.’16_34 手術前1
No.’16_34 摘出 前
No.’16_34 摘出 後
'16年3月
80代
鞍結節部髄膜腫
No.’16_33 手術前1
No.’16_33 摘出 前
No.’16_33 摘出 後
'16年3月
60代
鞍結節部髄膜腫
No.’16_32 手術前1
No.’16_32 摘出 前
No.’16_32 摘出 後
'16年3月
70代
脳腫瘍
No.’16_31 手術前1
No.’16_31 摘出 前
No.’16_31 摘出 後
'16年3月
50代
脳腫瘍
No.’16_30 手術前1
No.’16_30 摘出 前
No.’16_30 摘出 後
'16年3月
20代
脳腫瘍
(左前頭葉)
No.’16_29 手術前1
No.’16_29 摘出 前
No.’16_29 摘出 後
'16年3月
60代
脳腫瘍
No.’16_28 手術前1
No.’16_28 摘出 前
No.’16_28 摘出 後
'16年3月
60代
髄膜腫
(円蓋部)
No.’16_27 手術前1
No.’16_27 摘出 前
No.’16_27 摘出 後
'16年3月
70代
下垂体腫瘍
No.’16_26 手術前1
No.’16_26 摘出 前
No.’16_26 摘出 後
'16年3月
60代
聴神経鞘腫
No.’16_25 手術前1
No.’16_25 摘出 前
No.’16_25 摘出 後
'16年3月
80代
脳腫瘍
No.’16_24 手術前1
No.’16_24 摘出 前
No.’16_24 摘出 後
'16年2月
40代
脳腫瘍
No.’16_23 手術前1
No.’16_23 摘出 前
No.’16_23 摘出 後
'16年2月
30代
脳腫瘍
No.’16_22 手術前1
No.’16_22 摘出 前
No.’16_22 摘出 後
'16年2月
40代
下垂体腺腫
No.’16_21 手術前1
No.’16_21 摘出 前
No.’16_21 摘出 後
'16年2月
70代
脳腫瘍
No.’16_20 手術前1
No.’16_20 摘出 前
No.’16_20 摘出 後
'16年2月
20代
上衣腫
No.’16_19 手術前1
No.’16_19 摘出 前
No.’16_19 摘出 後
'16年2月
50代
下垂体腺腫
No.’16_18 手術前1
No.’16_18 摘出 前
No.’16_18 摘出 後
'16年2月
10代
海綿状血管腫
No.’16_17 手術前1
No.’16_17 摘出 前
No.’16_17 摘出 後
'16年2月
70代
脳腫瘍
No.’16_16 手術前1
No.’16_16 摘出 前
No.’16_16 摘出 後
'16年2月
40代
下垂体腺腫
No.’16_15 手術前1
No.’16_15 摘出 前
No.’16_15 摘出 後
'16年2月
80代
脳腫瘍
No.’16_14 手術前1
No.’16_14 摘出 前
No.’16_14 摘出 後
'16年2月
30代
下垂体腫瘍
No.’16_13 手術前1
No.’16_13 摘出 前
No.’16_13 摘出 後
'16年2月
50代
髄膜腫
(小脳橋角部)
No.’16_12 手術前1
No.’16_12 摘出 前
No.’16_12 摘出 後
'16年2月
10代
脳腫瘍
No.’16_11 手術前1
No.’16_11 摘出 前
No.’16_11 摘出 後
'16年2月
40代
髄膜腫
(円蓋部)
No.’16_10 手術前1
No.’16_10 摘出 前
No.’16_10 摘出 後
'16年2月
60代
脳腫瘍
No.’16_9 手術前1
No.’16_9 摘出 前
No.’16_9 摘出 後
'16年2月
50代
下垂体腫瘍
No.’16_8 手術前1
No.’16_8 摘出 前
No.’16_8 摘出 後
'16年1月
60代
髄膜腫
(傍矢状洞)
No.’16_7 手術前1
No.’16_7 摘出 前
No.’16_7 摘出 後
'16年1月
40代
髄膜腫
(錐体斜台部)
No.’16_6 手術前1
No.’16_6 摘出 前
No.’16_6 摘出 後
'16年1月
60代
脳腫瘍
No.’16_5 手術前1
No.’16_5 摘出 前
No.’16_5 摘出 後
'16年1月
60代
脳腫瘍
No.’16_4 手術前1
No.’16_4 摘出 前
No.’16_4 摘出 後
'16年1月
50代
下垂体腺腫
No.’16_3 手術前1
No.’16_3 摘出 前
No.’16_3 摘出 後
'16年1月
60代
下垂体腺腫
No.’16_2 手術前1
No.’16_2 摘出 前
No.’16_2 摘出 後
'16年1月
60代
聴神経鞘腫
No.’16_1 手術前1
No.’16_1 摘出 前
No.’16_1 摘出 後
'15年12月
70代
脳腫瘍
No.’15_182 手術前1
No.’15_182 摘出 前
No.’15_182 摘出 後
'15年12月
20代
下垂体腺腫
No.’15_181 手術前1
No.’15_181 摘出 前
No.’15_181 摘出 後
'15年12月
20代
細胞腫
(前頭葉星)
No.’15_180 手術前1
No.’15_180 摘出 前
No.’15_180 摘出 後
'15年12月
60代
脳腫瘍
No.’15_179 手術前1
No.’15_179 摘出 前
No.’15_179 摘出 後
'15年12月
50代
聴神経腫瘍
No.’15_178 手術前1
No.’15_178 摘出 前
No.’15_178 摘出 後
'15年12月
40代
髄膜腫
(鞍結節部)
No.’15_177 手術前1
No.’15_177 摘出 前
No.’15_177 摘出 後
'15年12月
30代
脳腫瘍
No.’15_176 手術前1
No.’15_176 摘出 前
No.’15_176 摘出 後
'15年12月
40代
髄膜腫
(鞍結節部)
No.’15_175 手術前1
No.’15_175 摘出 前
No.’15_175 摘出 後
'15年12月
20代
脳腫瘍
No.’15_174 手術前1
No.’15_174 摘出 前
No.’15_174 摘出 後
'15年12月
20代
下垂体腺腫
No.’15_173 手術前1
No.’15_173 摘出 前
No.’15_173 摘出 後
'15年12月
60代
髄膜腫
(円蓋部)
No.’15_172 手術前1
No.’15_172 摘出 前
No.’15_172 摘出 後
'15年11月
60代
脳腫瘍
No.’15_171 手術前1
No.’15_171 摘出 前
No.’15_171 摘出 後
'15年11月
80代
聴神経鞘腫
No.’15_170 手術前1
No.’15_170 摘出 前
No.’15_170 摘出 後
'15年11月
70代
髄膜腫
(右円蓋部)
No.’15_169 手術前1
No.’15_169 摘出 前
No.’15_169 摘出 後
'15年11月
70代
頭蓋内腫瘍
No.’15_168 手術前1
No.’15_168 摘出 前
No.’15_168 摘出 後
'15年11月
50代
下垂体腺腫
No.’15_167 手術前1
No.’15_167 摘出 前
No.’15_167 摘出 後
'15年11月
60代
脳腫瘍
No.’15_166 手術前1
No.’15_166 摘出 前
No.’15_166 摘出 後
'15年11月
80代
脳腫瘍
No.’15_165 手術前1
No.’15_165 摘出 前
No.’15_165 摘出 後
'15年11月
60代
髄膜腫
(蝶形骨稜)
No.’15_164 手術前1
No.’15_164 摘出 前
No.’15_164 摘出 後
'15年11月
30代
左海綿状血管腫
No.’15_163 手術前1
No.’15_163 摘出 前
No.’15_163 摘出 後
'15年11月
60代
下垂体腫瘍
No.’15_162 手術前1
No.’15_162 摘出 前
No.’15_162 摘出 後
'15年11月
60代
髄膜腫
(円蓋部)
No.’15_161 手術前1
No.’15_161 摘出 前
No.’15_161 摘出 後
'15年11月
50代
下垂体腺腫
No.’15_160 手術前1
No.’15_160 摘出 前
No.’15_160 摘出 後
'15年11月
40代
髄膜腫
(前頭蓋底)
No.’15_159 手術前1
No.’15_159 摘出 前
No.’15_159 摘出 後
'15年11月
50代
髄膜腫
(椎体斜台部)
No.’15_158 手術前1
No.’15_158 摘出 前
No.’15_158 摘出 後
'15年11月
70代
髄膜腫
(蝶形骨稜)
No.’15_157 手術前1
No.’15_157 摘出 前
No.’15_157 摘出 後
'15年11月
20代
下垂体腺腫
No.’15_156 手術前1
No.’15_156 摘出 前
No.’15_156 摘出 後
'15年11月
40代
脳腫瘍
No.’15_155 手術前1
No.’15_155 摘出 前
No.’15_155 摘出 後
'15年11月
70代
髄膜腫
(傍矢状洞)
No.’15_154 手術前1
No.’15_154 摘出 前
No.’15_154 摘出 後
'15年11月
40代
髄膜腫
(左後頭蓋窩)
No.’15_153 手術前1
No.’15_153 摘出 前
No.’15_153 摘出 後
'15年11月
70代
右側頭葉腫瘍
No.’15_152 手術前1
No.’15_152 摘出 前
No.’15_152 摘出 後
'15年11月
50代
髄膜腫
(鞍結節部)
No.’15_151 手術前1
No.’15_151 摘出 前
No.’15_151 摘出 後
'15年11月
60代
脳腫瘍
No.’15_150 手術前1
No.’15_150 摘出 前
No.’15_150 摘出 後
'15年11月
20代
脳幹部腫瘍
No.’15_149 手術前1
No.’15_149 摘出 前
No.’15_149 摘出 後
'15年11月
30代
髄膜腫
(椎体斜台部)
No.’15_148 手術前1
No.’15_148 摘出 前
No.’15_148 摘出 後
'15年10月
50代
海綿状血管腫
No.’15_147 手術前1
No.’15_147 摘出 前
No.’15_147 摘出 後
'15年10月
70代
髄膜腫
No.’15_146 手術前1
No.’15_146 摘出 前
No.’15_146 摘出 後
'15年10月
60代
髄膜腫
(円蓋部)
No.’15_145 手術前1
No.’15_145 摘出 前
No.’15_145 摘出 後
'15年10月
60代
髄膜腫
(右穹隆部)
No.’15_144 手術前1
No.’15_144 摘出 前
No.’15_144 摘出 後
'15年10月
80代
脳腫瘍
No.’15_143 手術前1
No.’15_143 摘出 前
No.’15_143 摘出 後
'15年10月
40代
下垂体腺腫
No.’15_142 手術前1
No.’15_142 摘出 前
No.’15_142 摘出 後
'15年10月
40代
脳腫瘍
No.’15_141 手術前1
No.’15_141 摘出 前
No.’15_141 摘出 後
'15年10月
60代
髄膜腫
(後頭蓋窩)
No.’15_140 手術前1
No.’15_140 摘出 前
No.’15_140 摘出 後
'15年10月
50代
トルコ鞍部腫瘍
No.’15_139 手術前1
No.’15_139 摘出 前
No.’15_139 摘出 後
'15年10月
40代
下垂体腺腫
No.’15_138 手術前1
No.’15_138 摘出 前
No.’15_138 摘出 後
'15年10月
50代
下垂体腺腫
No.’15_137 手術前1
No.’15_137 摘出 前
No.’15_137 摘出 後
'15年10月
60代
小脳血管芽腫
No.’15_136 手術前1
No.’15_136 摘出 前
No.’15_136 摘出 後
'15年10月
40代
脳腫瘍
No.’15_135 手術前1
No.’15_135 摘出 前
No.’15_135 摘出 後
'15年10月
60代
髄膜腫
(後頭蓋窩)
No.’15_134 手術前1
No.’15_134 摘出 前
No.’15_134 摘出 後
'15年10月
30代
下垂体腺腫
No.’15_133 手術前1
No.’15_133 摘出 前
No.’15_133 摘出 後
'15年10月
50代
三叉神経鞘腫
No.’15_132 手術前1
No.’15_132 摘出 前
No.’15_132 摘出 後
'15年9月
40代
髄膜腫
(小脳橋角部)
No.’15_131 手術前1
No.’15_131 摘出 前
No.’15_131 摘出 後
'15年9月
70代
左海綿静脈洞部腫瘍
No.’15_130 手術前1
No.’15_130 摘出 前
No.’15_130 摘出 後
'15年9月
30代
びまん性星細胞腫
No.’15_129 手術前1
No.’15_129 摘出 前
No.’15_129 摘出 後
'15年9月
70代
下垂体腫瘍
No.’15_128 手術前1
No.’15_128 摘出 前
No.’15_128 摘出 後
'15年9月
40代
髄膜腫
(椎体斜台部)
No.’15_127 手術前1
No.’15_127 摘出 前
No.’15_127 摘出 後
'15年9月
70代
転移性脳腫瘍
No.’15_126 手術前1
No.’15_126 摘出 前
No.’15_126 摘出 後
'15年9月
50代
髄膜腫
No.’15_125 手術前1
No.’15_125 摘出 前
No.’15_125 摘出 後
'15年9月
50代
下垂体腺腫
'15年9月
70代
下垂体腺腫
1 5 6 7 8 9 10 11 12 13 14 15 18

電話でのお問い合わせ

代表 06-6568-1601

専用フォームでのお問合せ

お問い合せ
矢印TOP