脳腫瘍 手術実績

脳腫瘍 手術実績
Brain tumor

※ 画像をクリックすると拡大表示します。症例No.は平成29年から起算しています。青背景のタイトルをクリックすると詳細ページを表示します。

※ 表は横スクロールすることができます。

No.
タイトル
手術年月
年齢
病名
術式
断層撮影
手術前1
手術前2
術中写真
摘出 前
摘出 中
摘出 後
'15年2月
70代
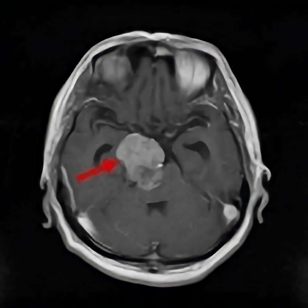
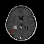
神経膠芽腫
No.’15_13 手術前1
No.’15_13 摘出 前
No.’15_13 摘出 後
'15年2月
60代
転移性脳腫瘍
No.’15_12 手術前1
No.’15_12 摘出 前
No.’15_12 摘出 後
'15年1月
40代
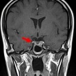
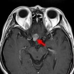
下垂体腺腫
No.’15_11 手術前1
No.’15_11 摘出 前
No.’15_11 摘出 後
'15年1月
40代
下垂体腺腫
No.’15_10 手術前1
No.’15_10 摘出 前
No.’15_10 摘出 後
'15年1月
50代
先端巨大症
No.’15_9 手術前1
No.’15_9 摘出 前
No.’15_9 摘出 後
'15年1月
60代
下垂体腫瘍
No.’15_8 手術前1
No.’15_8 摘出 前
No.’15_8 摘出 後
'15年1月
60代
蝶形骨稜髄膜腫
No.’15_7 手術前1
No.’15_7 摘出 前
No.’15_7 摘出 後
'15年1月
50代
円蓋部髄膜腫
No.’15_6 手術前1
No.’15_6 摘出 前
No.’15_6 摘出 後
'15年1月
70代
松果体腫瘍
No.’15_5 手術前1
No.’15_5 摘出 前
No.’15_5 摘出 後
'15年1月
60代
転移性脳腫瘍
No.’15_4 手術前1
No.’15_4 摘出 前
No.’15_4 摘出 後
'15年1月
30代
円蓋部髄膜腫
No.’15_3 手術前1
No.’15_3 摘出 前
No.’15_3 摘出 後
'15年1月
50代
下垂体腺腫
No.’15_2 手術前1
No.’15_2 摘出 前
No.’15_2 摘出 後
'15年1月
70代
脳腫瘍
No.’15_1 手術前1
No.’15_1 摘出 前
No.’15_1 摘出 後
'14年12月
40代
錐体斜台部髄膜腫
No.’14_190 手術前1
No.’14_190 摘出 前
No.’14_190 摘出 後
'14年12月
50代
聴神経腫瘍
No.’14_189 手術前1
No.’14_189 摘出 前
No.’14_189 摘出 後
'14年12月
20代
脳室内腫瘍
No.’14_188 手術前1
No.’14_188 摘出 前
No.’14_188 摘出 後
'14年12月
40代
下垂体腺腫
No.’14_187 手術前1
No.’14_187 摘出 前
No.’14_187 摘出 後
'14年12月
50代
頭頂葉腫瘍
No.’14_186 手術前1
No.’14_186 摘出 前
No.’14_186 摘出 後
'14年12月
30代
大脳鎌髄膜腫
No.’14_185 手術前1
No.’14_185 摘出 前
No.’14_185 摘出 後
'14年12月
50代
後頭蓋窩髄膜腫
No.’14_184 手術前1
No.’14_184 摘出 前
No.’14_184 摘出 後
'14年12月
60代
錐体斜台部髄膜腫
No.’14_183 手術前1
No.’14_183 摘出 前
No.’14_183 摘出 後
'14年12月
40代
下垂体腺腫
No.’14_182 手術前1
No.’14_182 摘出 前
No.’14_182 摘出 後
'14年12月
80代
円蓋部髄膜腫
No.’14_181 手術前1
No.’14_181 摘出 前
No.’14_181 摘出 後
'14年12月
20代
脳腫瘍
No.’14_180 手術前1
No.’14_180 摘出 前
No.’14_180 摘出 後
'14年11月
30代
前頭葉神経膠腫
No.’14_179 手術前1
No.’14_179 摘出 前
No.’14_179 摘出 後
'14年11月
60代
転移性脳腫瘍
No.’14_178 手術前1
No.’14_178 摘出 前
No.’14_178 摘出 後
'14年11月
50代
前頭葉腫瘍
No.’14_177 手術前1
No.’14_177 摘出 前
No.’14_177 摘出 後
'14年11月
40代
鞍結節部髄膜腫
No.’14_176 手術前1
No.’14_176 摘出 前
No.’14_176 摘出 後
'14年11月
70代
転移性脳腫瘍
No.’14_175 手術前1
No.’14_175 摘出 前
No.’14_175 摘出 後
'14年11月
40代
下垂体腫瘍
No.’14_174 手術前1
No.’14_174 摘出 前
No.’14_174 摘出 後
'14年11月
40代
鞍結節部髄膜腫
No.’14_173 手術前1
No.’14_173 摘出 前
No.’14_173 摘出 後
'14年11月
60代
転移性脳腫瘍
No.’14_172 手術前1
No.’14_172 摘出 前
No.’14_172 摘出 後
'14年11月
60代
下垂体腫瘍
No.’14_171 手術前1
No.’14_171 摘出 前
No.’14_171 摘出 後
'14年11月
40代
脳腫瘍
No.’14_170 手術前1
No.’14_170 摘出 前
No.’14_170 摘出 後
'14年11月
60代
傍矢状洞髄膜腫
No.’14_169 手術前1
No.’14_169 摘出 前
No.’14_169 摘出 後
'14年11月
50代
松果体腫瘍
No.’14_168 手術前1
No.’14_168 摘出 前
No.’14_168 摘出 後
'14年11月
60代
側頭葉膠芽腫
No.’14_167 手術前1
No.’14_167 摘出 前
No.’14_167 摘出 後
'14年11月
60代
傍矢状洞髄膜腫
No.’14_166 手術前1
No.’14_166 摘出 前
No.’14_166 摘出 後
'14年11月
20代
頭蓋底腫瘍
No.’14_165 手術前1
No.’14_165 摘出 前
No.’14_165 摘出 後
'14年10月
60代
下垂体腫瘍
No.’14_164 手術前1
No.’14_164 摘出 前
No.’14_164 摘出 後
'14年10月
40代
転移性脳腫瘍
No.’14_163 手術前1
No.’14_163 摘出 前
No.’14_163 摘出 後
'14年10月
30代
脳腫瘍
No.’14_162 手術前1
No.’14_162 摘出 前
No.’14_162 摘出 後
'14年10月
20代
下垂体腺腫
No.’14_161 手術前1
No.’14_161 摘出 前
No.’14_161 摘出 後
'14年10月
40代
海綿状血管腫
No.’14_160 手術前1
No.’14_160 摘出 前
No.’14_160 摘出 後
'14年10月
30代
下垂体腺腫
No.’14_159 手術前1
No.’14_159 摘出 前
No.’14_159 摘出 後
'14年10月
30代
後頭蓋窩髄膜腫
No.’14_158 手術前1
No.’14_158 摘出 前
No.’14_158 摘出 後
'14年10月
50代
脳腫瘍
No.’14_157 手術前1
No.’14_157 摘出 前
No.’14_157 摘出 後
'14年10月
50代
下垂体腺腫
No.’14_156 手術前1
No.’14_156 摘出 前
No.’14_156 摘出 後
'14年10月
30代
脊索腫
No.’14_155 手術前1
No.’14_155 摘出 前
No.’14_155 摘出 後
'14年10月
50代
松果体腫瘍
No.’14_154 手術前1
No.’14_154 摘出 前
No.’14_154 摘出 後
'14年10月
50代
頭蓋底腫瘍
No.’14_153 手術前1
No.’14_153 摘出 前
No.’14_153 摘出 後
'14年10月
60代
転移性脳腫瘍
No.’14_152 手術前1
No.’14_152 摘出 前
No.’14_152 摘出 後
'14年10月
60代
聴神経腫瘍
No.’14_151 手術前1
No.’14_151 摘出 前
No.’14_151 摘出 後
'14年10月
50代
円蓋部髄膜腫
No.’14_150 手術前1
No.’14_150 摘出 前
No.’14_150 摘出 後
'14年10月
20代
脳腫瘍
No.’14_149 手術前1
No.’14_149 摘出 前
No.’14_149 摘出 後
'14年10月
70代
円蓋部髄膜腫
No.’14_148 手術前1
No.’14_148 摘出 前
No.’14_148 摘出 後
'14年9月
60代
頭頂葉腫瘍
No.’14_147 手術前1
No.’14_147 摘出 前
No.’14_147 摘出 後
'14年9月
60代
トルコ鞍部腫瘍
No.’14_146 手術前1
No.’14_146 摘出 前
No.’14_146 摘出 後
'14年9月
40代
転移性脳腫瘍
No.’14_145 手術前1
No.’14_145 摘出 前
No.’14_145 摘出 後
'14年9月
60代
聴神経腫瘍
No.’14_144 手術前1
No.’14_144 摘出 前
No.’14_144 摘出 後
'14年9月
50代
脳腫瘍
No.’14_143 手術前1
No.’14_143 摘出 前
No.’14_143 摘出 後
'14年9月
70代
蝶形骨稜髄膜腫
No.’14_142 手術前1
No.’14_142 摘出 前
No.’14_142 摘出 後
'14年9月
30代
下垂体腺腫
No.’14_141 手術前1
No.’14_141 摘出 前
No.’14_141 摘出 後
'14年9月
50代
転移性脳腫瘍
No.’14_140 手術前1
No.’14_140 摘出 前
No.’14_140 摘出 後
'14年9月
40代
円蓋部髄膜腫
No.’14_139 手術前1
No.’14_139 摘出 前
No.’14_139 摘出 後
'14年9月
40代
下垂体腺腫
No.’14_138 手術前1
No.’14_138 摘出 前
No.’14_138 摘出 後
'14年9月
50代
髄膜腫
No.’14_137 手術前1
No.’14_137 摘出 前
No.’14_137 摘出 後
'14年9月
30代
脳室髄膜腫
No.’14_136 手術前1
No.’14_136 摘出 前
No.’14_136 摘出 後
'14年8月
70代
転移性脳腫瘍
No.’14_135 手術前1
No.’14_135 摘出 前
No.’14_135 摘出 後
'14年8月
50代
脳腫瘍
No.’14_134 手術前1
No.’14_134 摘出 前
No.’14_134 摘出 後
'14年8月
20代
下垂体腫瘍
No.’14_133 手術前1
No.’14_133 摘出 前
No.’14_133 摘出 後
'14年8月
40代
円蓋部髄膜腫
No.’14_132 手術前1
No.’14_132 摘出 前
No.’14_132 摘出 後
'14年8月
10代
頭蓋底腫瘍
No.’14_131 手術前1
No.’14_131 摘出 前
No.’14_131 摘出 後
'14年8月
30代
下垂体腺腫
No.’14_130 手術前1
No.’14_130 摘出 前
No.’14_130 摘出 後
'14年8月
60代
転移性脳腫瘍
No.’14_129 手術前1
No.’14_129 摘出 前
No.’14_129 摘出 後
'14年8月
60代
脳腫瘍
No.’14_128 手術前1
No.’14_128 摘出 前
No.’14_128 摘出 後
'14年8月
40代
小脳橋角部髄膜腫
No.’14_127 手術前1
No.’14_127 摘出 前
No.’14_127 摘出 後
'14年8月
10代
下垂体腫瘍
No.’14_126 手術前1
No.’14_126 摘出 前
No.’14_126 摘出 後
'14年8月
50代
円蓋部髄膜腫
No.’14_125 手術前1
No.’14_125 摘出 前
No.’14_125 摘出 後
'14年8月
50代
傍矢状洞髄膜腫
No.’14_124 手術前1
No.’14_124 摘出 前
No.’14_124 摘出 後
'14年8月
50代
頭蓋底腫瘍
No.’14_123 手術前1
No.’14_123 摘出 前
No.’14_123 摘出 後
'14年8月
30代
脳室内腫瘍
No.’14_122 手術前1
No.’14_122 摘出 前
No.’14_122 摘出 後
'14年8月
30代
下垂体腫瘍
No.’14_121 手術前1
No.’14_121 摘出 前
No.’14_121 摘出 後
'14年8月
70代
脳腫瘍
No.’14_120 手術前1
No.’14_120 摘出 前
No.’14_120 摘出 後
'14年8月
20代
蝶形骨稜髄膜腫
No.’14_119 手術前1
No.’14_119 摘出 前
No.’14_119 摘出 後
'14年7月
50代
下垂体腺腫
No.’14_118 手術前1
No.’14_118 摘出 前
No.’14_118 摘出 後
'14年7月
50代
下垂体腺腫
No.’14_117 手術前1
No.’14_117 摘出 前
No.’14_117 摘出 後
'14年7月
20代
下垂体腫瘍
No.’14_116 手術前1
No.’14_116 摘出 前
No.’14_116 摘出 後
'14年7月
70代
円蓋部髄膜腫
No.’14_115 手術前1
No.’14_115 摘出 前
No.’14_115 摘出 後
'14年7月
40代
下垂体腫瘍
No.’14_114 手術前1
No.’14_114 摘出 前
No.’14_114 摘出 後
'14年7月
60代
脳腫瘍
No.’14_113 手術前1
No.’14_113 摘出 前
No.’14_113 摘出 後
'14年7月
60代
下垂体腫瘍
No.’14_112 手術前1
No.’14_112 摘出 前
No.’14_112 摘出 後
'14年7月
60代
脳腫瘍
No.’14_111 手術前1
No.’14_111 摘出 前
No.’14_111 摘出 後
'14年7月
60代
傍矢状洞髄膜腫
No.’14_110 手術前1
No.’14_110 摘出 前
No.’14_110 摘出 後
'14年7月
60代
聴神経腫瘍
No.’14_109 手術前1
No.’14_109 摘出 前
No.’14_109 摘出 後
'14年7月
30代
トルコ鞍部腫瘍
No.’14_108 手術前1
No.’14_108 摘出 前
No.’14_108 摘出 後
'14年7月
60代
脳腫瘍
No.’14_107 手術前1
No.’14_107 摘出 前
No.’14_107 摘出 後
'14年7月
20代
下垂体腺腫
No.’14_106 手術前1
No.’14_106 摘出 前
No.’14_106 摘出 後
'14年7月
60代
聴神経腫瘍
No.’14_105 手術前1
No.’14_105 摘出 前
No.’14_105 摘出 後
'14年6月
40代
海綿状血管腫
No.’14_104 手術前1
No.’14_104 摘出 前
No.’14_104 摘出 後

電話でのお問い合わせ

代表 06-6568-1601

専用フォームでのお問合せ

お問い合せ
矢印TOP