脳腫瘍 手術実績

脳腫瘍 手術実績
Brain tumor

※ 画像をクリックすると拡大表示します。症例No.は平成29年から起算しています。青背景のタイトルをクリックすると詳細ページを表示します。

※ 表は横スクロールすることができます。

No.
タイトル
手術年月
年齢
病名
術式
断層撮影
手術前1
手術前2
術中写真
摘出 前
摘出 中
摘出 後

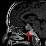
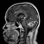
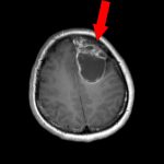
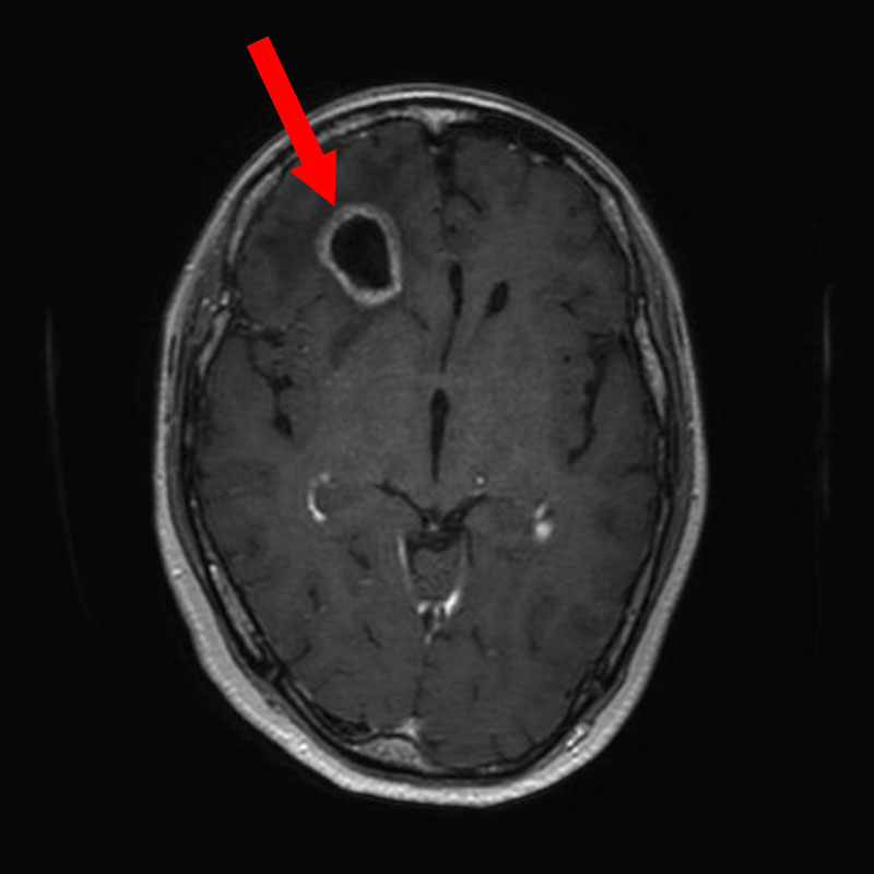
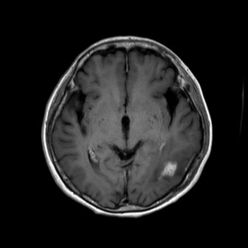
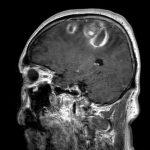
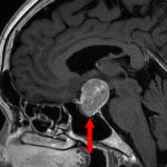
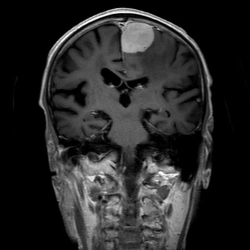
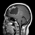
646

'25年6月
50代
脳腫瘍
頭蓋内腫瘍摘出術
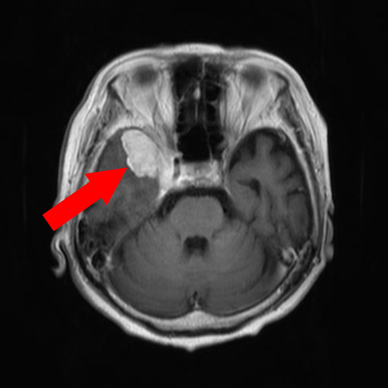
No.’25_48 手術前1
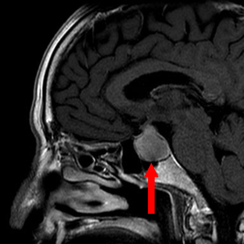
No.’25_48 手術前2
No.’25_48 摘出 前
No.’25_48  摘出 中
No.’25_48 摘出 後

645

'25年6月
50代
神経鞘腫
頭蓋内腫瘍摘出術
No.’25_47 手術前1
No.’25_47 手術前2
No.’25_47 摘出 前
No.’25_47  摘出 中
No.’25_47 摘出 後

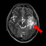
644

'25年6月
70代
髄膜腫
頭蓋内腫瘍摘出術
No.’25_46 手術前1
No.’25_46 手術前2
No.’25_46 摘出 前
No.’25_46  摘出 中
No.’25_46 摘出 後

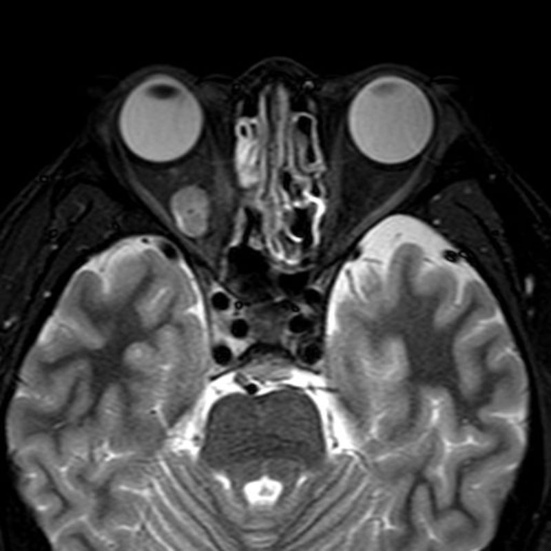
643

'25年6月
70代
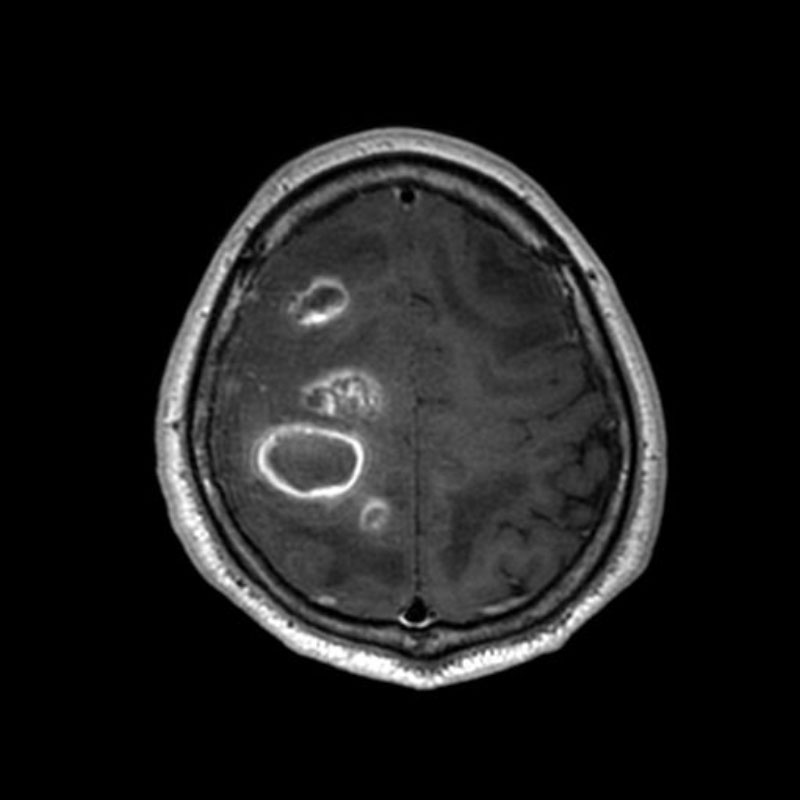
大脳悪性腫瘍
頭蓋内腫瘍摘出術
No.’25_45 手術前1
No.’25_45 手術前2
No.’25_45 摘出 前
No.’25_45  摘出 中
No.’25_45 摘出 後

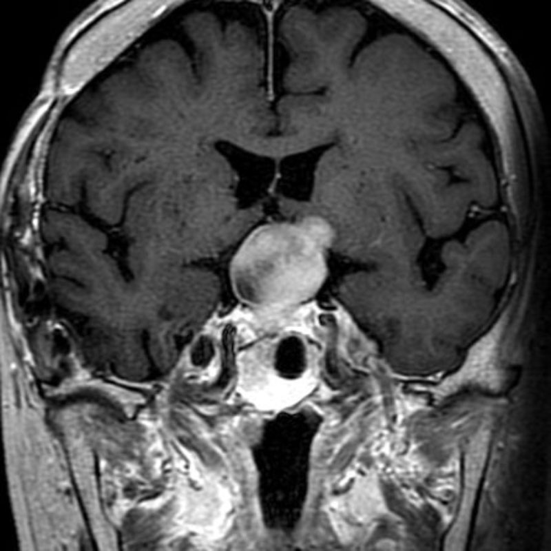
642

'25年6月
50代
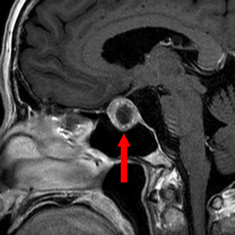
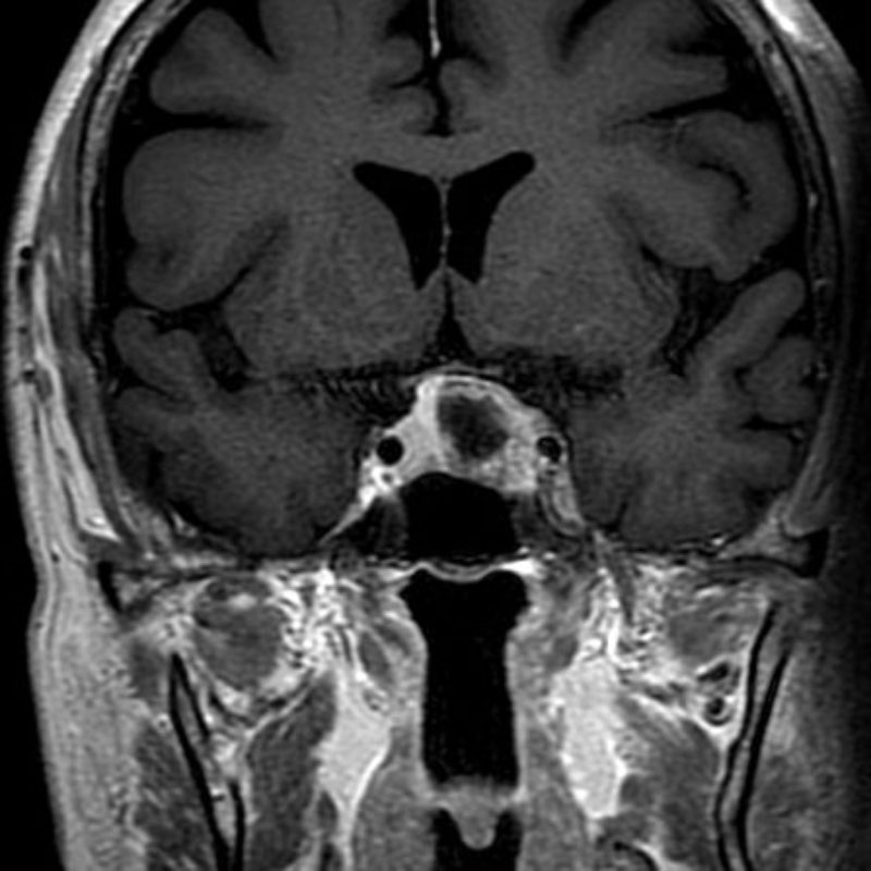
下垂体腫瘍
頭蓋内腫瘍摘出術
No.’25_44 手術前1
No.’25_44 手術前2
No.’25_44 摘出 前
No.’25_44  摘出 中
No.’25_44 摘出 後

641

'25年6月
40代
髄膜腫
頭蓋内腫瘍摘出術
No.’25_43 手術前1
No.’25_43 手術前2
No.’25_43 摘出 前
No.’25_43  摘出 中
No.’25_43 摘出 後

640

'25年6月
80代
傍矢状洞髄膜腫
頭蓋内腫瘍摘出術
No.’25_42 手術前1
No.’25_42 手術前2
No.’25_42 摘出 前
No.’25_42  摘出 中
No.’25_42 摘出 後

639

'25年6月
50代
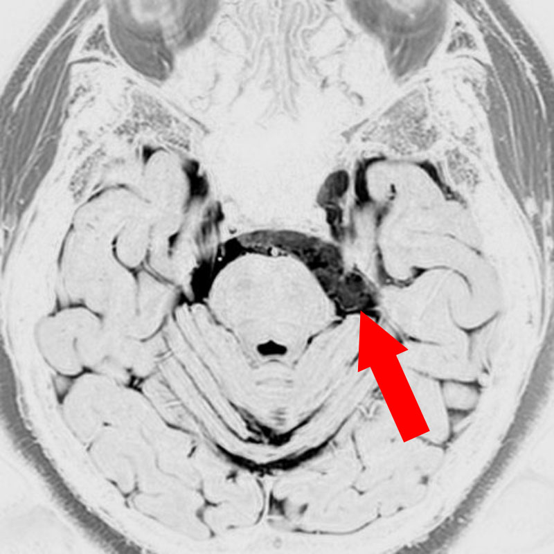
聴神経腫瘍
頭蓋内腫瘍摘出術
No.’25_41 手術前1
No.’25_41 手術前2
No.’25_41 摘出 前
No.’25_41  摘出 中
No.’25_41 摘出 後

638

'25年5月
60代
左前頭葉髄膜腫
頭蓋内腫瘍摘出術
No.’25_40 手術前1
No.’25_40 手術前2
No.’25_40 摘出 前
No.’25_40  摘出 中
No.’25_40 摘出 後

637

'25年5月
10代
錐体斜台部髄膜腫
頭蓋内腫瘍摘出術
No.’25_39 手術前1
No.’25_39 手術前2
No.’25_39 摘出 前
No.’25_39  摘出 中
No.’25_39 摘出 後

636

'25年5月
50代
下垂体腺腫
頭蓋内腫瘍摘出術
No.’25_38 手術前1
No.’25_38 手術前2
No.’25_38 摘出 前
No.’25_38  摘出 中
No.’25_38 摘出 後

635

'25年5月
50代
円蓋部髄膜腫
頭蓋内腫瘍摘出術
No.’25_37 手術前1
No.’25_37 手術前2
No.’25_37 摘出 前
No.’25_37  摘出 中
No.’25_37 摘出 後

634

'25年5月
50代
大脳鎌髄膜腫
頭蓋内腫瘍摘出術
No.’25_36 手術前1
No.’25_36 手術前2
No.’25_36 摘出 前
No.’25_36  摘出 中
No.’25_36 摘出 後

633

'25年5月
30代
左聴神経鞘腫
頭蓋内腫瘍摘出術
No.’25_35 手術前1
No.’25_35 手術前2
No.’25_35 摘出 前
No.’25_35  摘出 中
No.’25_35 摘出 後

632

'25年5月
70代
下垂体腺腫
頭蓋内腫瘍摘出術
No.’25_34 手術前1
No.’25_34 手術前2
No.’25_34 摘出 前
No.’25_34  摘出 中
No.’25_34 摘出 後

631

'25年5月
60代
下垂体腺腫
頭蓋内腫瘍摘出術
No.’25_33 手術前1
No.’25_33 手術前2
No.’25_33 摘出 前
No.’25_33  摘出 中
No.’25_33 摘出 後

630

'25年5月
40代
下垂体腺腫
頭蓋内腫瘍摘出術
No.’25_32 手術前1
No.’25_32 手術前2
No.’25_32 摘出 前
No.’25_32  摘出 中
No.’25_32 摘出 後

629

'25年5月
50代
円蓋部髄膜腫
頭蓋内腫瘍摘出術
No.’25_31 手術前1
No.’25_31 手術前2
No.’25_31 摘出 前
No.’25_31  摘出 中
No.’25_31 摘出 後

628

'25年5月
70代
脳腫瘍
頭蓋内腫瘍摘出術
No.’25_30 手術前1
No.’25_30 手術前2
No.’25_30 摘出 前
No.’25_30  摘出 中
No.’25_30 摘出 後

627

'25年4月
20代
視床腫瘍
頭蓋内腫瘍摘出術
No.’25_29 手術前1
No.’25_29 手術前2
No.’25_29 摘出 前
No.’25_29  摘出 中
No.’25_29 摘出 後

626

'25年4月
50代
右聴神経腫瘍
頭蓋内腫瘍摘出術
No.’25_28 手術前1
No.’25_28 手術前2
No.’25_28 摘出 前
No.’25_28  摘出 中
No.’25_28 摘出 後

625

'25年4月
60代
円蓋部髄膜腫
頭蓋内腫瘍摘出術
No.’25_27 手術前1
No.’25_27 手術前2
No.’25_27 摘出 前
No.’25_27  摘出 中
No.’25_27 摘出 後

624

'25年4月
70代
後頭葉膠芽腫
頭蓋内腫瘍摘出術
No.’25_26 手術前1
No.’25_26 手術前2
No.’25_26 摘出 前
No.’25_26  摘出 中
No.’25_26 摘出 後

623

'25年4月
70代
聴神経腫瘍
頭蓋内腫瘍摘出術
No.’25_25 手術前1
No.’25_25 手術前2
No.’25_25 摘出 前
No.’25_25  摘出 中
No.’25_25 摘出 後

622

'25年4月
30代
下垂体腺腫
頭蓋内腫瘍摘出術
No.’25_24 手術前1
No.’25_24 手術前2
No.’25_24 摘出 前
No.’25_24  摘出 中
No.’25_24 摘出 後

621

'25年4月
20代
神経膠腫
頭蓋内腫瘍摘出術
No.’25_23 手術前1
No.’25_23 手術前2
No.’25_23 摘出 前
No.’25_23  摘出 中
No.’25_23 摘出 後

620

'25年4月
60代
円蓋部髄膜腫
頭蓋内腫瘍摘出術
No.’25_22 手術前1
No.’25_22 手術前2
No.’25_22 摘出 前
No.’25_22  摘出 中
No.’25_22 摘出 後

619

'25年4月
60代
脳腫瘍
頭蓋内腫瘍摘出術
No.’25_21 手術前1
No.’25_21 手術前2
No.’25_21 摘出 前
No.’25_21  摘出 中
No.’25_21 摘出 後

618

'25年4月
40代
小脳血管芽腫
頭蓋内腫瘍摘出術
No.’25_20 手術前1
No.’25_20 手術前2
No.’25_20 摘出 前
No.’25_20  摘出 中
No.’25_20 摘出 後

617

'25年3月
80代
大脳悪性腫瘍
頭蓋内腫瘍摘出術
No.’25_19 手術前1
No.’25_19 手術前2
No.’25_19 摘出 前
No.’25_19  摘出 中
No.’25_19 摘出 後

616

'25年3月
50代
下垂体腫瘍
頭蓋内腫瘍摘出術
No.’25_18 手術前1
No.’25_18 手術前2
No.’25_18 摘出 前
No.’25_18  摘出 中
No.’25_18 摘出 後

615

'25年3月
60代
髄膜腫
頭蓋内腫瘍摘出術
No.’25_17 手術前1
No.’25_17 手術前2
No.’25_17 摘出 前
No.’25_17  摘出 中
No.’25_17 摘出 後

614

'25年3月
80代
脳腫瘍
頭蓋内腫瘍摘出術
No.’25_16 手術前1
No.’25_16 手術前2
No.’25_16 摘出 前
No.’25_16  摘出 中
No.’25_16 摘出 後

613

'25年3月
50代
左頭頂葉腫瘍
頭蓋内腫瘍摘出術
No.’25_15 手術前1
No.’25_15 手術前2
No.’25_15 摘出 前
No.’25_15  摘出 中
No.’25_15 摘出 後

612

'25年3月
80代
トルコ鞍部腫瘍
頭蓋内腫瘍摘出術
No.’25_14 手術前1
No.’25_14 手術前2
No.’25_14 摘出 前
No.’25_14  摘出 中
No.’25_14 摘出 後

611

'25年3月
40代
髄膜腫
頭蓋内腫瘍摘出術
No.’25_13 手術前1
No.’25_13 手術前2
No.’25_13 摘出 前
No.’25_13  摘出 中
No.’25_13 摘出 後

610

'25年3月
50代
下垂体腺腫
北野
No.’25_12 手術前1
No.’25_12 手術前2
No.’25_12 摘出 前
No.’25_12  摘出 中
No.’25_12 摘出 後

609

'25年3月
70代
脳腫瘍
頭蓋内腫瘍摘出術
No.’25_11 手術前1
No.’25_11 手術前2
No.’25_11 摘出 前
No.’25_11  摘出 中
No.’25_11 摘出 後

608

'25年2月
60代
右側頭葉腫瘤
頭蓋内腫瘍摘出術
No.’25_10 手術前1
No.’25_10 手術前2
No.’25_10 摘出 前
No.’25_10  摘出 中
No.’25_10 摘出 後

607

'25年2月
70代
左前頭葉腫瘍
頭蓋内腫瘍摘出術
No.’25_9 手術前1
No.’25_9 手術前2
No.’25_9 摘出 前
No.’25_9  摘出 中
No.’25_9 摘出 後

606

'25年2月
20代
右前頭葉腫瘍
頭蓋内腫瘍摘出術
No.’25_8 手術前1
No.’25_8 手術前2
No.’25_8 摘出 前
No.’25_8  摘出 中
No.’25_8 摘出 後

605

'25年2月
60代
嗅窩髄膜腫
頭蓋内腫瘍摘出術
No.’25_7 手術前1
No.’25_7 手術前2
No.’25_7 摘出 前
No.’25_7  摘出 中
No.’25_7 摘出 後

604

'25年2月
40代
右前床突起髄膜腫
頭蓋内腫瘍摘出術
No.’25_6 手術前1
No.’25_6 手術前2
No.’25_6 摘出 前
No.’25_6  摘出 中
No.’25_6 摘出 後

603

'25年2月
70代
傍矢状洞悪性髄膜腫
頭蓋内腫瘍摘出術
No.’25_5 手術前1
No.’25_5 手術前2
No.’25_5 摘出 前
No.’25_5  摘出 中
No.’25_5 摘出 後

602

'25年1月
80代
髄膜腫
頭蓋内腫瘍摘出術
No.’25_4 手術前1
No.’25_4 手術前2
No.’25_4 摘出 前
No.’25_4  摘出 中
No.’25_4 摘出 後

601

'25年1月
70代
大脳鎌髄膜腫
頭蓋内腫瘍摘出術
No.’25_3 手術前1
No.’25_3 手術前2
No.’25_3 摘出 前
No.’25_3  摘出 中
No.’25_3 摘出 後

600

'25年1月
40代
左側頭葉膠芽腫
頭蓋内腫瘍摘出術
No.’25_2 手術前1
No.’25_2 手術前2
No.’25_2 摘出 前
No.’25_2  摘出 中
No.’25_2 摘出 後

599

'25年1月
10代
右後頭頭頂葉脳腫瘍
頭蓋内腫瘍摘出術
No.’25_1 手術前1
No.’25_1 手術前2
No.’25_1 摘出 前
No.’25_1  摘出 中
No.’25_1 摘出 後

598

'24年12月
10代
頭蓋骨腫瘍
頭蓋内腫瘍摘出術
No.’24_100 手術前1
No.’24_100 手術前2
No.’24_100 摘出 前
No.’24_100  摘出 中
No.’24_100 摘出 後

597

'24年12月
60代
左前頭葉
悪性血管周皮腫
頭蓋内腫瘍摘出術
No.’24_99 手術前1
No.’24_99 手術前2
No.’24_99 摘出 前
No.’24_99  摘出 中
No.’24_99 摘出 後

596

'24年12月
80代
右前頭葉腫瘍
頭蓋内腫瘍摘出術
No.’24_98 手術前1
No.’24_98 手術前2
No.’24_98 摘出 前
No.’24_98  摘出 中
No.’24_98 摘出 後

595

'24年12月
30代
嗅溝部髄膜腫
頭蓋内腫瘍摘出術
No.’24_97 手術前1
No.’24_97 手術前2
No.’24_97 摘出 前
No.’24_97  摘出 中
No.’24_97 摘出 後

594

'24年12月
50代
右前頭葉傍矢状洞
悪性髄膜腫
頭蓋内腫瘍摘出術
No.’24_96 手術前1
No.’24_96 手術前2
No.’24_96 摘出 前
No.’24_96  摘出 中
No.’24_96 摘出 後

593

'24年11月
30代
右聴神経腫瘍
頭蓋内腫瘍摘出術
No.’24_95 手術前1
No.’24_95 手術前2
No.’24_95 摘出 前
No.’24_95  摘出 中
No.’24_95 摘出 後

592

'24年11月
50代
左聴神経腫瘍
頭蓋内腫瘍摘出術
No.’24_94 手術前1
No.’24_94 手術前2
No.’24_94 摘出 前
No.’24_94  摘出 中
No.’24_94 摘出 後

591

'24年11月
70代
下垂体腫瘍
頭蓋内腫瘍摘出術
No.’24_93 手術前1
No.’24_93 手術前2
No.’24_93 摘出 前
No.’24_93  摘出 中
No.’24_93 摘出 後

590

'24年11月
50代
左前頭葉腫瘍
頭蓋内腫瘍摘出術
No.’24_92 手術前1
No.’24_92 手術前2
No.’24_92 摘出 前
No.’24_92  摘出 中
No.’24_92 摘出 後

589

'24年11月
70代
第三脳室髄膜腫
頭蓋内腫瘍摘出術
No.’24_91 手術前1
No.’24_91 手術前2
No.’24_91 摘出 前
No.’24_91  摘出 中
No.’24_91 摘出 後

588

'24年11月
50代
後頭蓋窩腫瘍
頭蓋内腫瘍摘出術
No.’24_90 手術前1
No.’24_90 手術前2
No.’24_90 摘出 前
No.’24_90  摘出 中
No.’24_90 摘出 後

587

'24年10月
30代
脳腫瘍
頭蓋内腫瘍摘出術
No.’24_89 手術前1
No.’24_89 手術前2
No.’24_89 摘出 前
No.’24_89  摘出 中
No.’24_89 摘出 後

586

'24年10月
50代
下垂体腫瘍
頭蓋内腫瘍摘出術
No.’24_88 手術前1
No.’24_88 手術前2
No.’24_88 摘出 前
No.’24_88  摘出 中
No.’24_88 摘出 後

585

'24年10月
80代
脳腫瘍
頭蓋内腫瘍摘出術
No.’24_87 手術前1
No.’24_87 手術前2
No.’24_87 摘出 前
No.’24_87  摘出 中
No.’24_87 摘出 後

584

'24年10月
70代
下垂体腺腫
頭蓋内腫瘍摘出術
No.’24_86 手術前1
No.’24_86 手術前2
No.’24_86 摘出 前
No.’24_86  摘出 中
No.’24_86 摘出 後

583

'24年10月
60代
右側頭葉神経膠腫
頭蓋内腫瘍摘出術
No.’24_85 手術前1
No.’24_85 手術前2
No.’24_85 摘出 前
No.’24_85  摘出 中
No.’24_85 摘出 後

582

'24年10月
50代
頭蓋咽頭腫
頭蓋内腫瘍摘出術
No.’24_84 手術前1
No.’24_84 手術前2
No.’24_84 摘出 前
No.’24_84  摘出 中
No.’24_84 摘出 後

581

'24年10月
70代
脳腫瘍
頭蓋内腫瘍摘出術
No.’24_83 手術前1
No.’24_83 手術前2
No.’24_83 摘出 前
No.’24_83  摘出 中
No.’24_83 摘出 後

580

'24年10月
50代
下垂体腺腫
頭蓋内腫瘍摘出術
No.’24_82 手術前1
No.’24_82 手術前2
No.’24_82 摘出 前
No.’24_82  摘出 中
No.’24_82 摘出 後

579

'24年10月
60代
左聴神経鞘腫
頭蓋内腫瘍摘出術
No.’24_81 手術前1
No.’24_81 手術前2
No.’24_81 摘出 前
No.’24_81  摘出 中
No.’24_81 摘出 後

578

'24年10月
50代
左聴神経鞘腫
頭蓋内腫瘍摘出術
No.’24_80 手術前1
No.’24_80 手術前2
No.’24_80 摘出 前
No.’24_80  摘出 中
No.’24_80 摘出 後

577

'24年10月
50代
右聴神経腫瘍
頭蓋内腫瘍摘出術
No.’24_79 手術前1
No.’24_79 手術前2
No.’24_79 摘出 前
No.’24_79  摘出 中
No.’24_79 摘出 後

576

'24年9月
80代
蝶形骨髄膜腫
頭蓋内腫瘍摘出術
No.’24_78 手術前1
No.’24_78 手術前2
No.’24_78 摘出 前
No.’24_78  摘出 中
No.’24_78 摘出 後

575

'24年9月
40代
聴神経腫瘍
頭蓋内腫瘍摘出術
No.’24_77 手術前1
No.’24_77 手術前2
No.’24_77 摘出 前
No.’24_77  摘出 中
No.’24_77 摘出 後

574

'24年9月
40代
小脳橋角部髄膜腫
頭蓋内腫瘍摘出術
No.’24_76 手術前1
No.’24_76 手術前2
No.’24_76 摘出 前
No.’24_76  摘出 中
No.’24_76 摘出 後

573

'24年9月
70代
脳腫瘍
頭蓋内腫瘍摘出術
No.’24_75 手術前1
No.’24_75 手術前2
No.’24_75 摘出 前
No.’24_75  摘出 中
No.’24_75 摘出 後

572

'24年9月
80代
左蝶形骨稜髄膜腫
頭蓋内腫瘍摘出術
No.’24_74 手術前1
No.’24_74 手術前2
No.’24_74 摘出 前
No.’24_74  摘出 中
No.’24_74 摘出 後

571

'24年9月
70代
左前頭葉膠芽腫
頭蓋内腫瘍摘出術
No.’24_73 手術前1
No.’24_73 手術前2
No.’24_73 摘出 前
No.’24_73  摘出 中
No.’24_73 摘出 後

570

'24年9月
30代
脳腫瘍
頭蓋内腫瘍摘出術
No.’24_72 手術前1
No.’24_72 手術前2
No.’24_72 摘出 前
No.’24_72  摘出 中
No.’24_72 摘出 後

569

'24年9月
30代
左脳腫瘍
頭蓋内腫瘍摘出術
No.’24_71 手術前1
No.’24_71 手術前2
No.’24_71 摘出 前
No.’24_71  摘出 中
No.’24_71 摘出 後

568

'24年9月
70代
下垂体腺腫
頭蓋内腫瘍摘出術
No.’24_70 手術前1
No.’24_70 手術前2
No.’24_70 摘出 前
No.’24_70  摘出 中
No.’24_70 摘出 後

567

'24年9月
40代
小脳血管芽腫
頭蓋内腫瘍摘出術
No.’24_69 手術前1
No.’24_69 摘出 前
No.’24_69  摘出 中
No.’24_69 摘出 後

566

'24年9月
50代
脳腫瘍
頭蓋内腫瘍摘出術
No.’24_68 手術前1
No.’24_68 手術前2
No.’24_68 摘出 前
No.’24_68  摘出 中
No.’24_68 摘出 後

565

'24年8月
50代
脳腫瘍
頭蓋内腫瘍摘出術
No.’24_67 手術前1
No.’24_67 手術前2
No.’24_67 摘出 前
No.’24_67  摘出 中
No.’24_67 摘出 後

564

'24年8月
40代
大脳鎌髄膜腫
頭蓋内腫瘍摘出術
No.’24_66 手術前1
No.’24_66 手術前2
No.’24_66 摘出 前
No.’24_66  摘出 中
No.’24_66 摘出 後

563

'24年8月
80代
右円蓋部髄膜腫
頭蓋内腫瘍摘出術
No.’24_65 手術前1
No.’24_65 手術前2
No.’24_65 摘出 前
No.’24_65  摘出 中
No.’24_65 摘出 後

562

'24年8月
30代
先端巨大症
頭蓋内腫瘍摘出術
No.’24_64 手術前1
No.’24_64 手術前2
No.’24_64 摘出 前
No.’24_64  摘出 中
No.’24_64 摘出 後

561

'24年8月
70代
左蝶形骨髄膜腫
摘出術
No.’24_63 手術前1
No.’24_63 手術前2
No.’24_63 摘出 前
No.’24_63  摘出 中
No.’24_63 摘出 後

560

'24年8月
60代
左前頭葉悪性血管周皮腫
頭蓋内腫瘍摘出術
No.’24_62 手術前1
No.’24_62 手術前2
No.’24_62 摘出 前
No.’24_62  摘出 中
No.’24_62 摘出 後

559

'24年8月
80代
大脳鎌髄膜腫
頭蓋内腫瘍摘出術
No.’24_61 手術前1
No.’24_61 手術前2
No.’24_61 摘出 前
No.’24_61  摘出 中
No.’24_61 摘出 後

558

'24年8月
50代
下垂体腺腫
頭蓋内腫瘍摘出術
No.’24_60 手術前1
No.’24_60 手術前2
No.’24_60 摘出 前
No.’24_60  摘出 中
No.’24_60 摘出 後

557

'24年8月
80代
髄膜腫
頭蓋内腫瘍摘出術
No.’24_59 手術前1
No.’24_59 手術前2
No.’24_59 摘出 前
No.’24_59  摘出 中
No.’24_59 摘出 後

556

'24年8月
10代
頭蓋咽頭腫
頭蓋内腫瘍摘出術
No.’24_58 手術前1
No.’24_58 手術前2
No.’24_58 摘出 前
No.’24_58  摘出 中
No.’24_58 摘出 後

555

'24年8月
60代
右頭頂葉髄膜腫
頭蓋内腫瘍摘出術
No.’24_57 手術前1
No.’24_57 手術前2
No.’24_57 摘出 前
No.’24_57  摘出 中
No.’24_57 摘出 後

554

'24年7月
40代
左聴神経腫瘍
頭蓋内腫瘍摘出術
No.’24_56 手術前1
No.’24_56 手術前2
No.’24_56 摘出 前
No.’24_56  摘出 中
No.’24_56 摘出 後

553

'24年7月
50代
大脳鎌髄膜腫
頭蓋内腫瘍摘出術
No.’24_55 手術前1
No.’24_55 手術前2
No.’24_55 摘出 前
No.’24_55  摘出 中
No.’24_55 摘出 後

552

'24年7月
70代
左蝶形骨縁悪性髄膜腫
頭蓋内腫瘍摘出術
No.’24_54 手術前1
No.’24_54 手術前2
No.’24_54 摘出 前
No.’24_54  摘出 中
No.’24_54 摘出 後

551

'24年7月
50代
脳腫瘍
頭蓋内腫瘍摘出術
No.’24_53 手術前1
No.’24_53 手術前2
No.’24_53 摘出 前
No.’24_53  摘出 中
No.’24_53 摘出 後

550

'24年7月
30代
海綿静脈洞部腫瘍
頭蓋内腫瘍摘出術
No.’24_52 手術前1
No.’24_52 手術前2
No.’24_52 摘出 前
No.’24_52  摘出 中
No.’24_52 摘出 後

549

'24年7月
60代
髄膜腫
頭蓋内腫瘍摘出術
No.’24_51 手術前1
No.’24_51 手術前2
No.’24_51 摘出 前
No.’24_51  摘出 中
No.’24_51 摘出 後

548

'24年7月
40代
頭蓋骨Malg腫瘍
頭蓋内腫瘍摘出術
No.’24_50 手術前1
No.’24_50 手術前2
No.’24_50 摘出 前
No.’24_50  摘出 中
No.’24_50 摘出 後

547

'24年7月
50代
脳腫瘍
頭蓋内腫瘍摘出術
No.’24_49 手術前1
No.’24_49 手術前2
No.’24_49 摘出 前
No.’24_49  摘出 中
No.’24_49 摘出 後
1 2 3 4 5 6 7 18

電話でのお問い合わせ

代表 06-6568-1601

専用フォームでのお問合せ

お問い合せ
矢印TOP