血管内治療(カテーテルによる治療)手術実績

血管内治療(カテーテルによる治療)手術実績
Surgical results of endovascular treatment

全データ一覧
脳動脈瘤
脳動静脈奇形(AVM)
脳腫瘍

血管内治療(カテーテルによる治療) 実績一覧(全データを10件ごとに一覧表示します。)

※ 画像をクリックすると拡大表示します。症例No.をクリックすると詳細ページを表示します。

※ 表は横スクロールすることができます。

症例No.
手術年月
病名
年齢
紹介元
手術写真
治療
治療
治療
 '21年12月
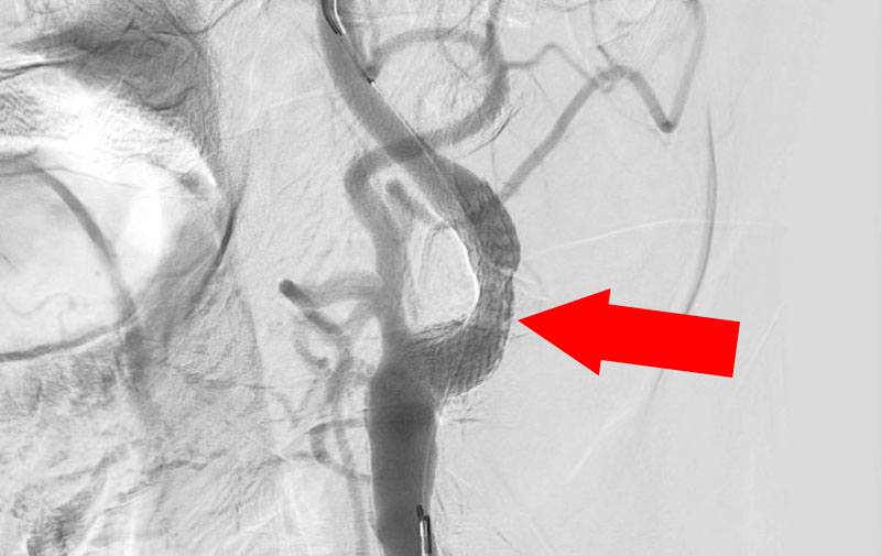
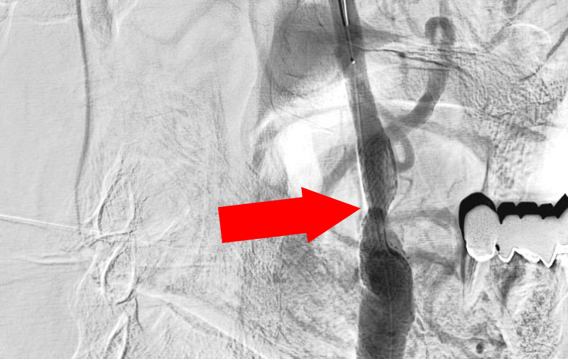
右頚部内頚動脈狭窄症
70代
大阪府の病院
No.1163 手術前
No.1163 手術前
No.1163 手術中
No.1163 手術中
No.1163 手術後
No.1163 手術後
 '21年12月
左内頚動脈脳動脈瘤
80代
大阪府の病院
No.1162 手術前
No.1162 手術前
No.1162 手術中
No.1162 手術中
No.1162 手術後
No.1162 手術後
 '21年12月
右内頚動脈脳動脈瘤
80代
大阪府の病院
No.1161 手術前
No.1161 手術前
No.1161 手術中
No.1161 手術中
No.1161 手術後
No.1161 手術後
 '21年12月
右頚部内頚動脈閉塞症
60代
院内外来
No.1160 手術前
No.1160 手術前
No.1160 手術中
No.1160 手術中
No.1160 手術後
No.1160 手術後
 '21年12月
脳動静脈奇形
70代
院内外来
No.1159 手術前
No.1159 手術前
No.1159 手術中
No.1159 手術中
No.1159 手術後
No.1159 手術後
 '21年12月
右内頚動脈脳動脈瘤
70代
奈良県の病院
No.1158 手術前
No.1158 手術前
No.1158 手術中
No.1158 手術中
No.1158 手術後
No.1158 手術後
 '21年12月
右内頚動脈脳動脈瘤
60代
大阪府の病院
No.1157 手術前
No.1157 手術前
No.1157 手術中
No.1157 手術中
No.1157 手術後
No.1157 手術後
 '21年12月
右内頚動脈脳動脈瘤
60代
奈良県の病院
No.1156 手術前
No.1156 手術前
No.1156 手術中
No.1156 手術中
No.1156 手術後
No.1156 手術後
 '21年11月
脳動静脈奇形
60代
院内外来
No.1155 手術前
No.1155 手術前
No.1155 手術中
No.1155 手術中
No.1155 手術後
No.1155 手術後
 '21年11月
脳動静脈奇形
70代
大阪府の病院
No.1154 手術前
No.1154 手術前
No.1154 手術中
No.1154 手術中
No.1154 手術後
No.1154 手術後

電話でのお問い合わせ

代表 06-6568-1601

専用フォームでのお問合せ

お問い合せ
矢印TOP