HOME
診療科治療センター
脳神経外科
整形外科
神経形成外科
脳神経内科
循環器内科
内科
麻酔科
放射線科
リハビリテーション
科
脳動脈瘤治療センター
脳動静脈奇形(AVM)治療センター
三叉神経痛・顔面痙攣センター
ガンマナイフセンター
脳卒中センター
脊椎・脊髄治療センター
内視鏡センター
脳血管内治療センター
心臓病センター
当院について
外来のご案内
当院について
外来のご案内
外来受診のご案内
外来担当医表
休診・代診案内
かかりつけ医からのご紹介
救急受診のご案内
各種証明書
セカンドオピニオン
専門外来
脳動静脈奇形(AVM)専門外来
頭痛専門外来
顔面神経麻痺専門外来
脳動静脈奇形(AVM)専門外来
脳血管内治療専門外来
パーキンソン
病専門外来
もの忘れ専門外来
ペースメーカー
専門外来
入院・面会のご案内
入院・面会のご案内
入院のご案内
入院中の生活
面会について
病室のご案内
入院費のお支払いについて
各種証明書
医師
脳神経外科
整形外科
神経形成外科
脳神経内科
循環器内科
内科
麻酔科
放射線科
リハビリテーション科
麻酔科
放射線科
リハビリテーション
科
脳動脈瘤治療センター
脳動静脈奇形(AVM)治療センター
ガンマナイフセンター
脳卒中センター
脊椎・脊髄治療センター
内視鏡センター
血管内治療センター
心臓病センター
採用情報
地域医療連携室
お問い合わせ
お電話
診療科
治療センター
脳神経外科
整形外科
神経形成外科
脳神経内科
循環器内科
内科
麻酔科
放射線科
リハビリテーション
科
脳動脈瘤治療センター
脳動静脈奇形(AVM)治療センター
三叉神経痛・顔面痙攣センター
ガンマナイフセンター
脳卒中センター
脊椎・脊髄治療センター
内視鏡センター
血管内治療センター
心臓病センター
頭痛センター
パーキンソン
病治療センター
人工関節センター
膝・肩・股関節再生医療センター
当院について
外来のご案内
当院について
外来受診のご案内
外来担当医表
休診・代診案内
かかりつけ医からのご紹介
救急受診のご案内
各種証明書
セカンドオピニオン
専門外来
脳動静脈奇形(AVM)専門外来
頭痛専門外来
顔面神経麻痺専門外来
▲
脳動静脈奇形(AVM)専門外来
▲
三叉神経痛・顔面痙攣センター
▲
脳血管内治療専門外来
▲
パーキンソン
病専門外来
▲
もの忘れ専門外来
▲
ペースメーカー
専門外来
入院・面会
のご案内
入院のご案内
入院中の生活
面会について
病室のご案内
入院費のお支払いについて
各種証明書
医師
脳神経外科
整形外科
神経形成外科
脳神経内科
循環器内科
内科
麻酔科
放射線科
リハビリテーション科
採用情報
地域医療連携室
お問い合わせ
顔面けいれん・三叉神経痛 手術実績
症例 '26年4月
No.
588
トップ
>
顔面けいれん・三叉神経痛 手術実績
>
症例 '26年4月
No.
588
症例 '26年4月
No.
588
No.
手術医師
手術年月
年齢
病名
術式
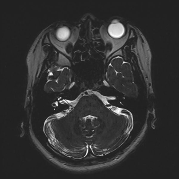
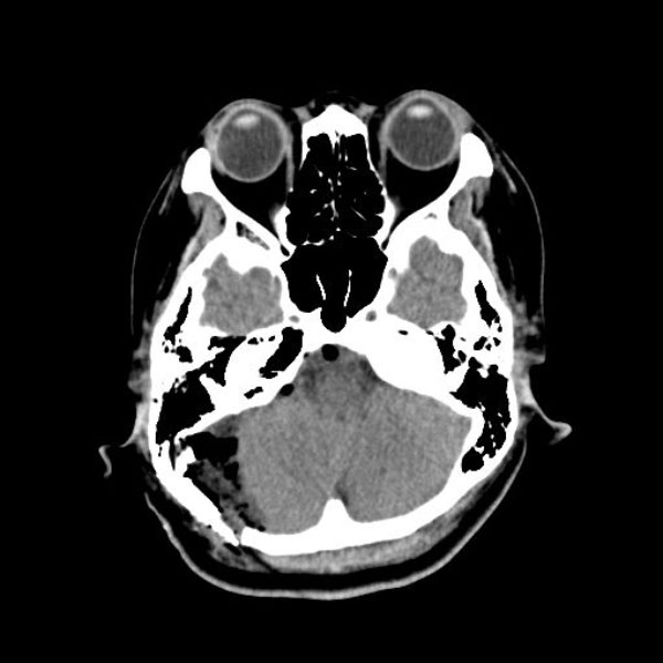
手術前
減圧前
減圧後
手術後
588
京都府の病院
'26年4月
40代
右三叉神経痛
(顔面の痛みをとること)
手術前
減圧前
減圧後
術後血管撮影
前の症例へ
次の症例へ
電話でのお問い合わせ
代表
06-6568-1601
専用フォームでのお問合せ
お問い合せフォーム
お問い合せ
矢印
TOP