富永病院

診療科・部門  放射線部 
MRI画像

MRI画像
Radiology MRI-image

脳動脈瘤
急性期脳梗塞
陳旧性脳梗塞
脳出血
陳旧性脳出血
脳腫瘍
その他

脳動脈瘤

脳動脈瘤が破裂すると、くも膜下出血を引き起こし命に関わることがあります。

MRA
MRA

急性期脳梗塞

脳梗塞とは脳の血管が突然つまって血流が途絶え、脳の細胞が死んでしまう病気です。早期に適切な治療を受けないと後遺症をきたしたり、死亡してしまう可能性があります。

T2画像ではわからない急性期脳梗塞をDWI画像では描出することができます。

DWI
DWI
T2
T2
MRA
MRA

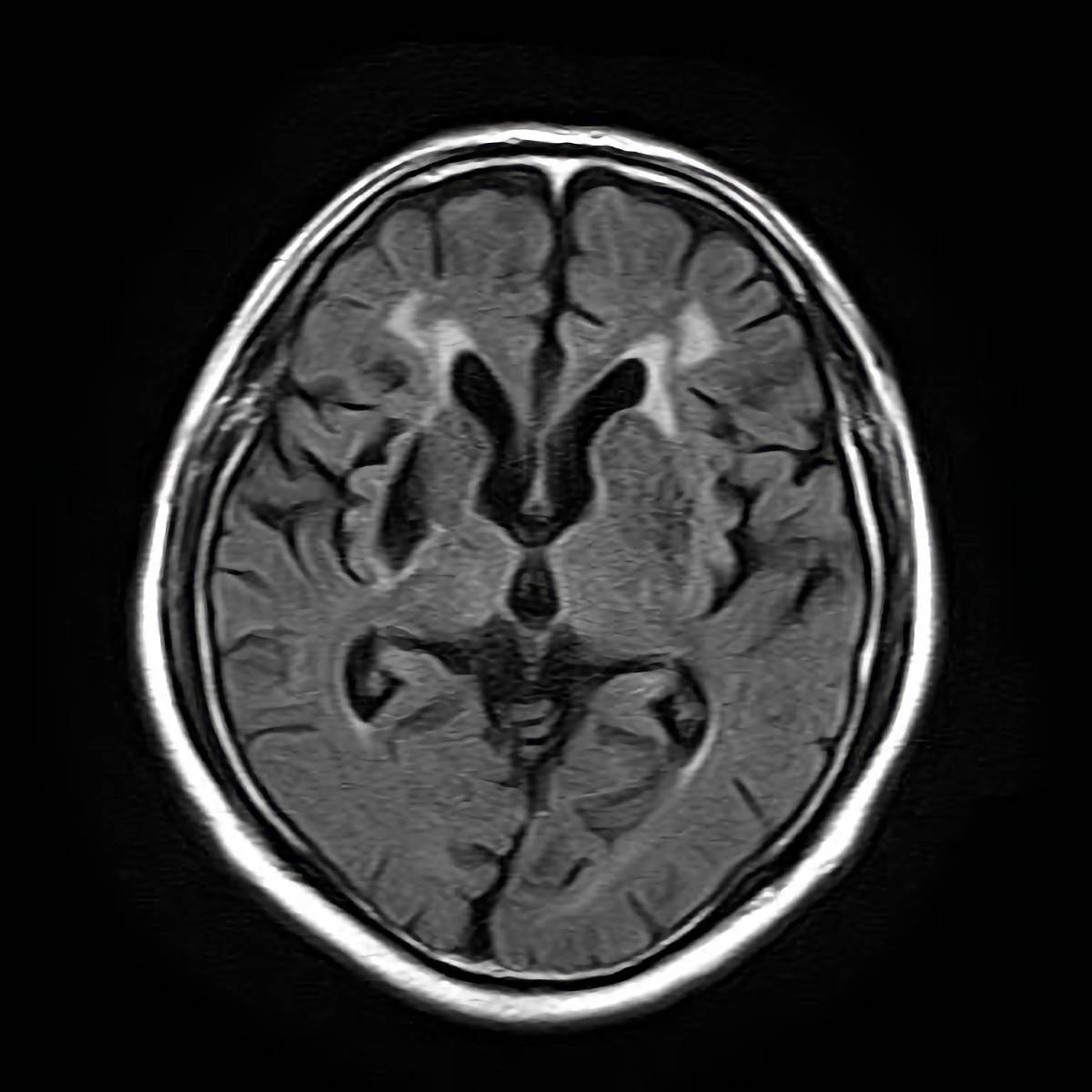
陳旧性脳梗塞

発症から長時間経過した梗塞で慢性期脳梗塞ともいいます。

DWI
DWI
T2
T2

脳出血

脳出血とは脳の血管が破けてしまい出血を起こしてしまっている状態です。
血管から流れ出た血液は血腫や浮腫により脳内が圧迫され様々な機能障害が起きます。

T2
T2
T1
T1
T2☆
T2☆

陳旧性脳出血

長時間経った出血はCTでは梗塞と判別が困難であるがMRIでは陳旧性出血はヘモジデリンによりT2で低信号となるので簡単に判別できます。特にT2☆はスピンエコー系では困難な出血も容易に描出できます。

DWI 
DWI 
T2
T2
FLAIR
FLAIR
T2☆
T2☆

脳腫瘍

T2画像、T1画像ではわかりにくいですが、造影剤を注射することで腫瘍がはっきり描出することができます。

T2
T2
腰部レントゲン
T1
頭部レントゲン
T1 造影

その他

当院では頭部以外の様々な部位の検査も行っています。
頚椎や腰椎などの脊椎MRIは関節や椎間板、神経などもわかり椎間板ヘルニアや脊柱管狭窄や脊椎空洞症の診断に非常に有用です。四肢などのMRIにおいては靭帯や骨の内部の損傷も描出することができます。

頚椎
頚椎
腰椎
腰椎
股関節
股関節
肩関節
肩関節
膝関節
膝関節
膝関節
膝関節

電話でのお問い合わせ

代表 06-6568-1601

専用フォームでのお問合せ

お問い合せ
矢印TOP