脳腫瘍 手術実績
2018

脳腫瘍 手術実績
Brain tumor

※ 画像をクリックすると拡大表示します。症例No.は平成29年から起算しています。青背景のタイトルをクリックすると詳細ページを表示します。

※ 表は横スクロールすることができます。

No.
タイトル
手術年月
年齢
病名
術式
断層撮影
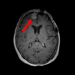
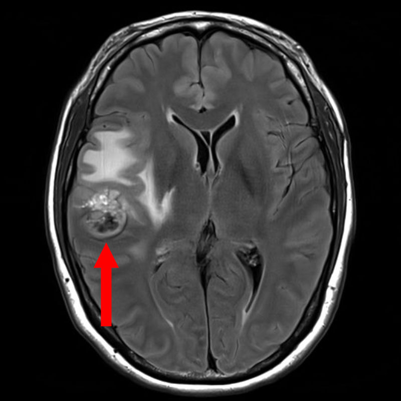
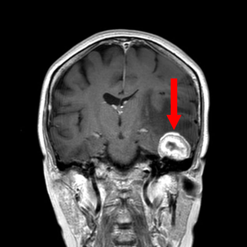
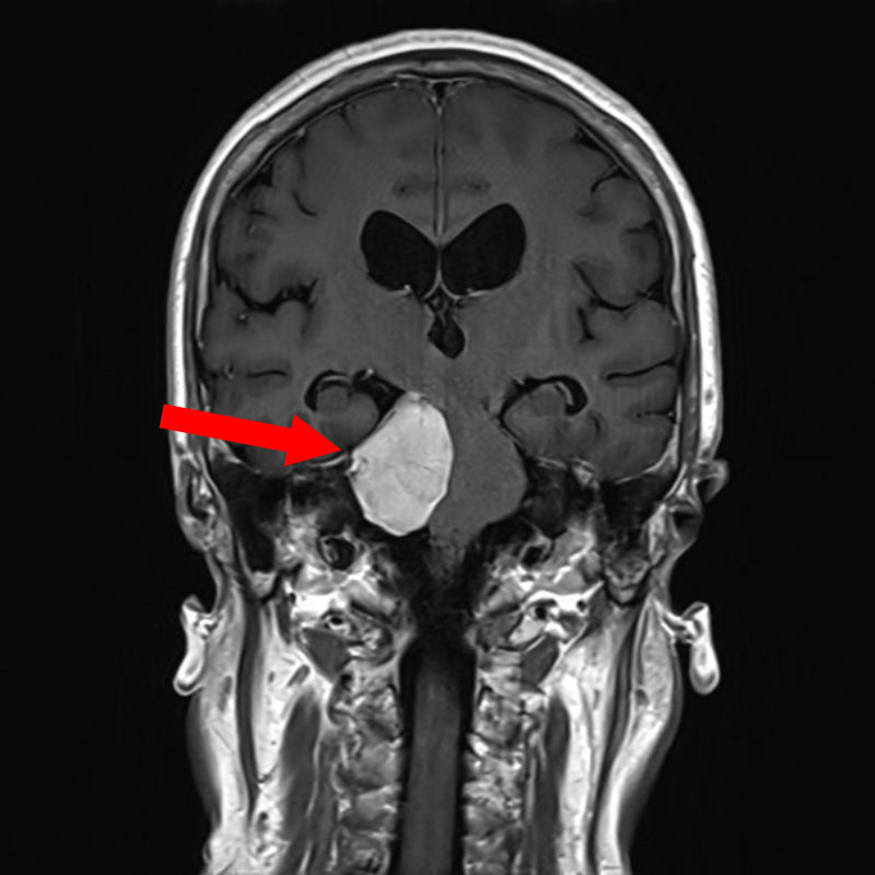
手術前1
手術前2
術中写真
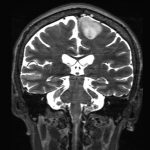
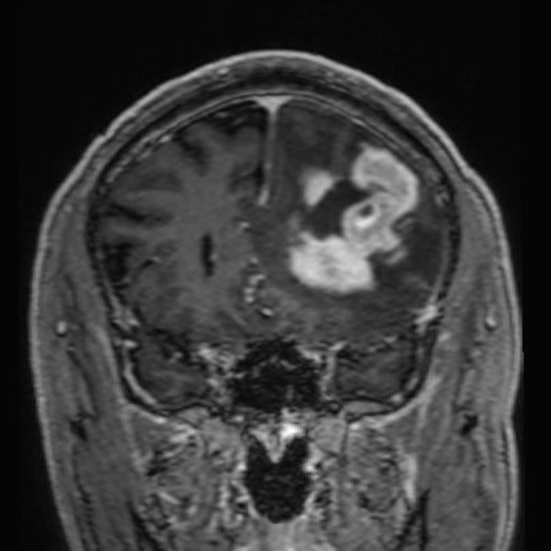
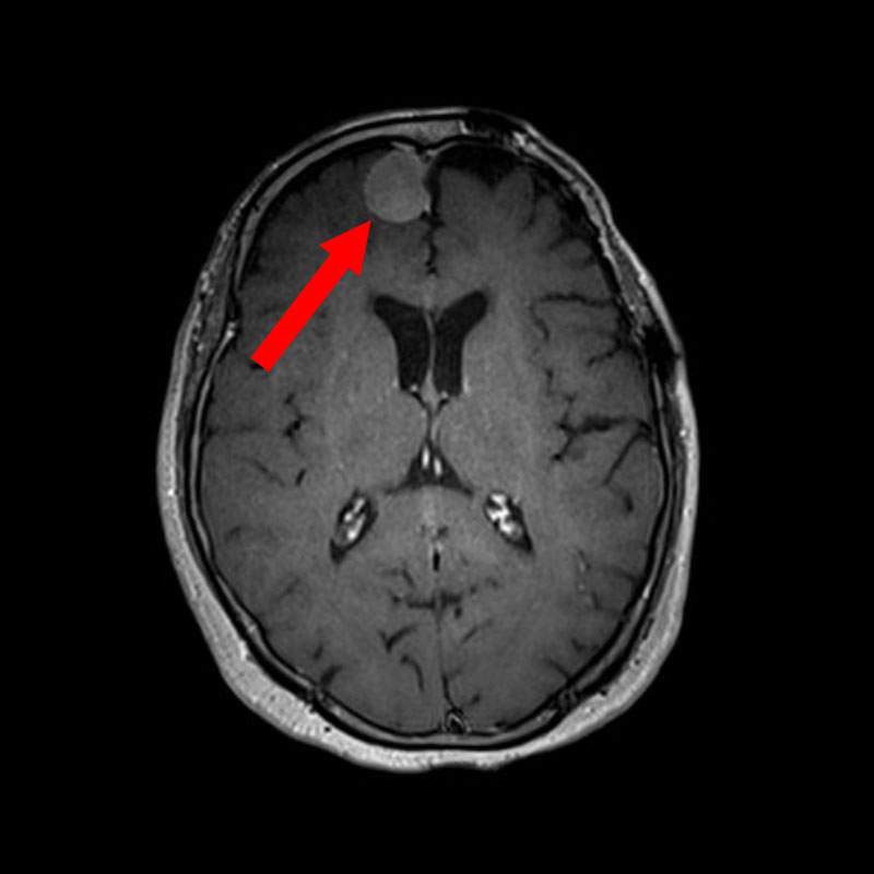
摘出 前
摘出 中
摘出 後

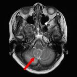
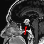
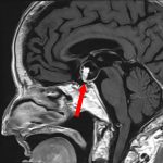
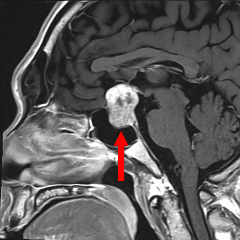
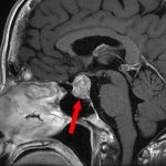
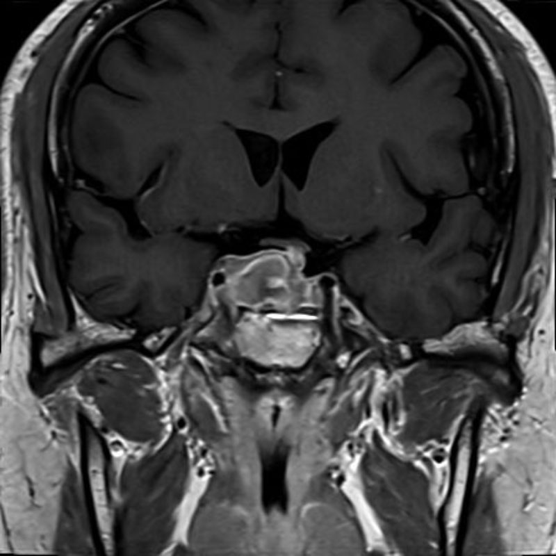
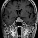
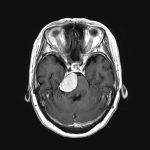
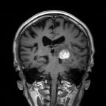
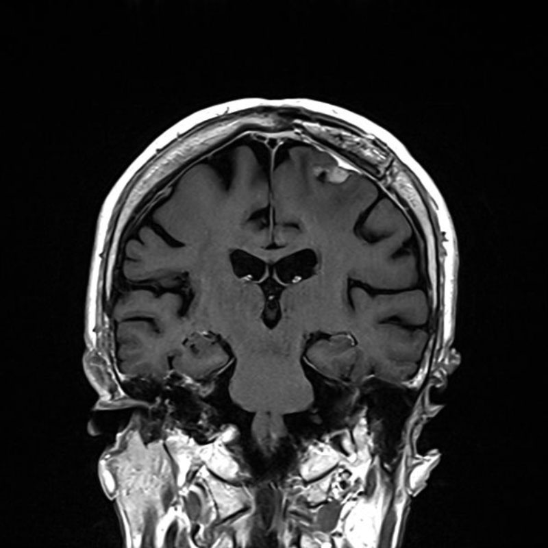
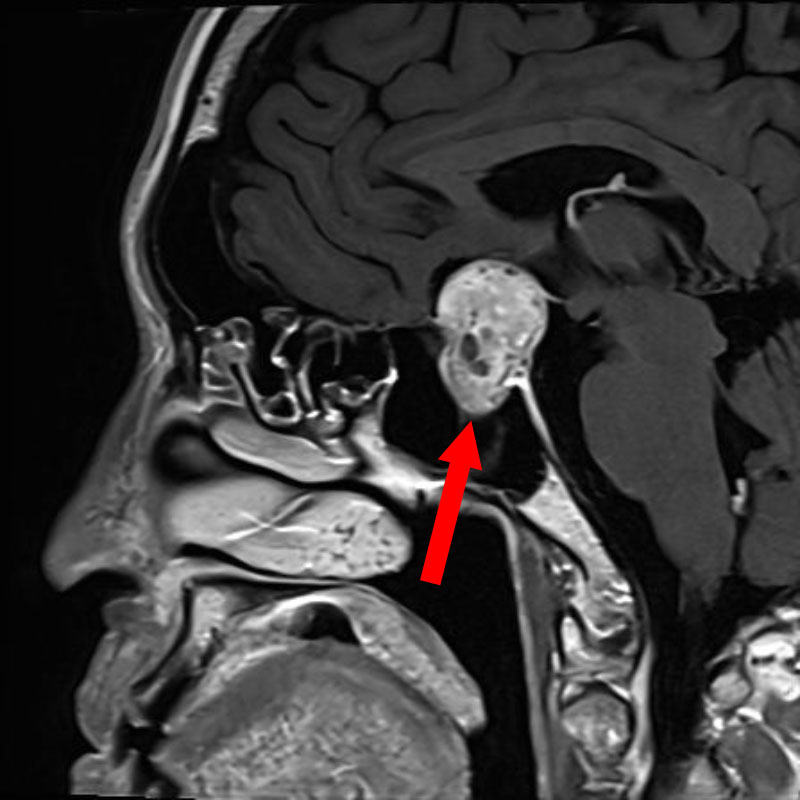
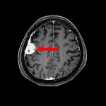
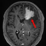
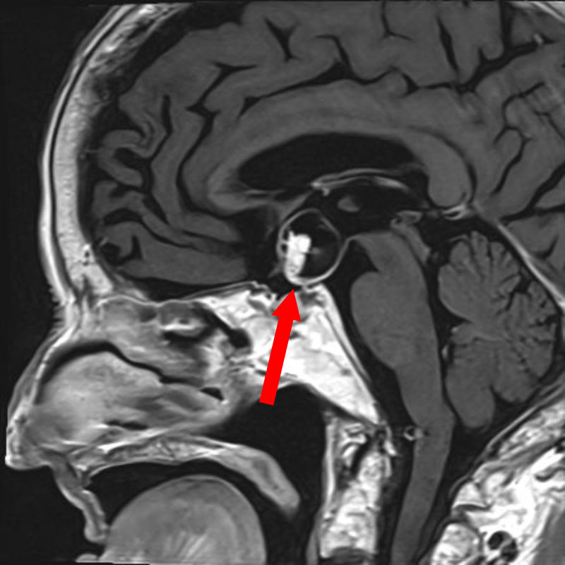
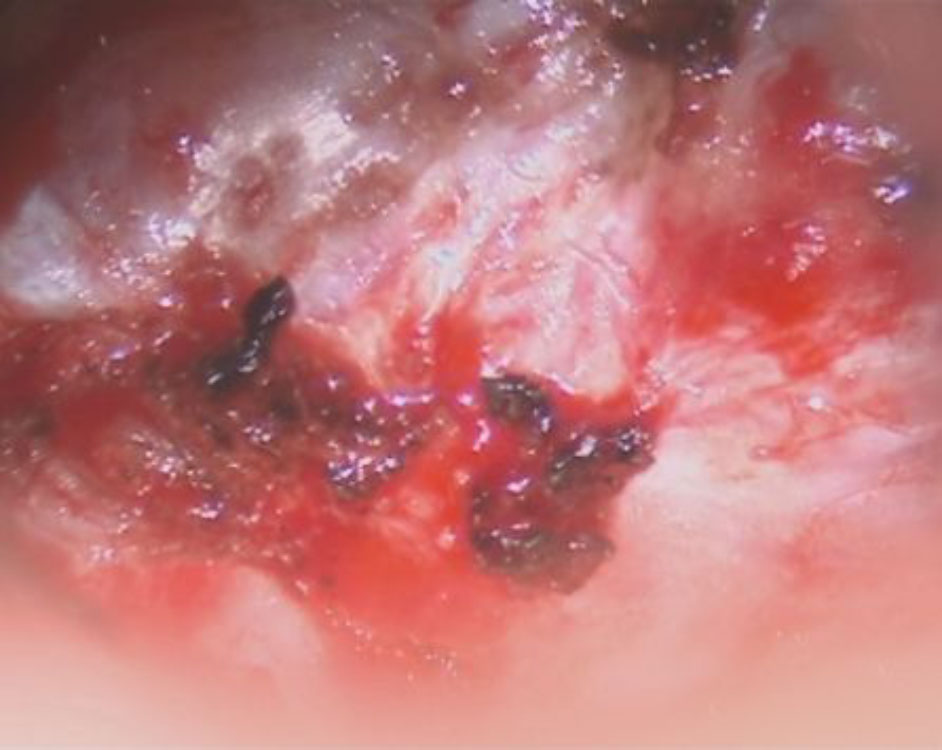
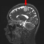
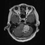
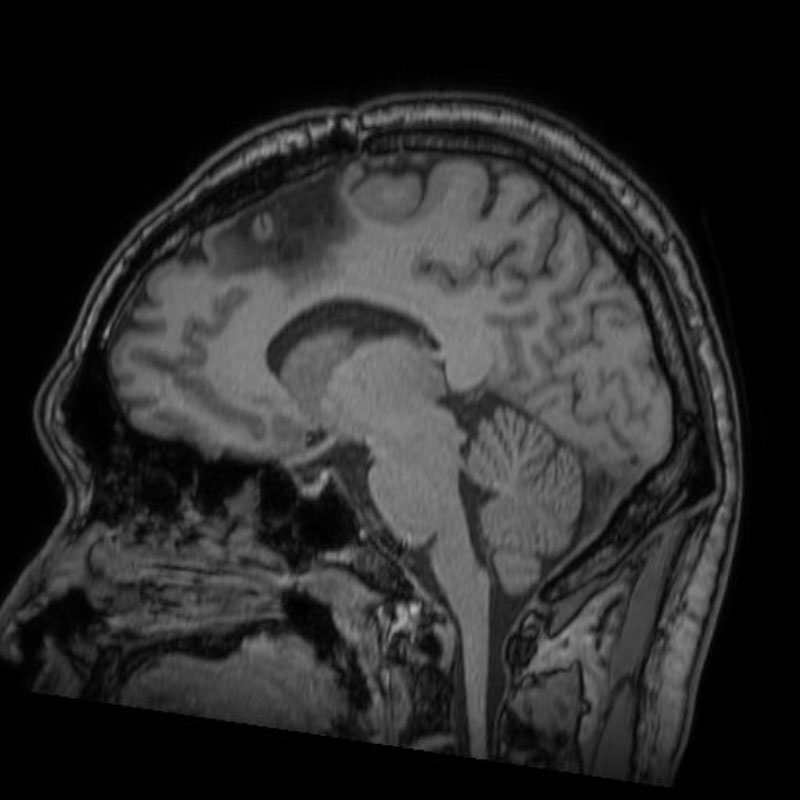
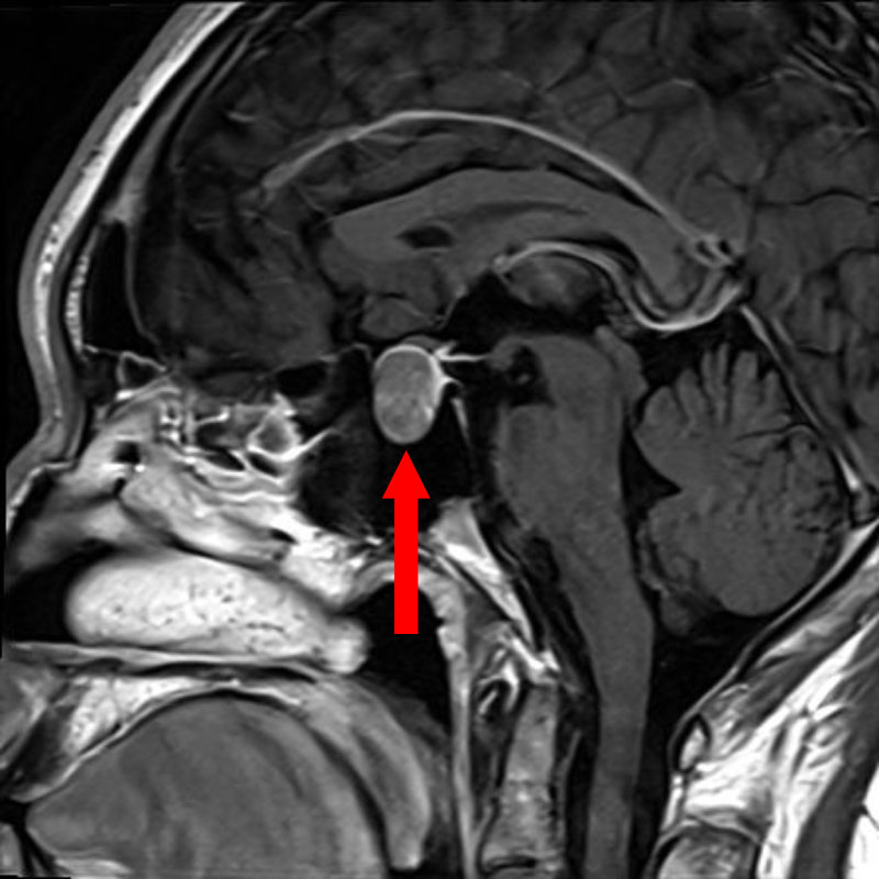
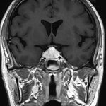
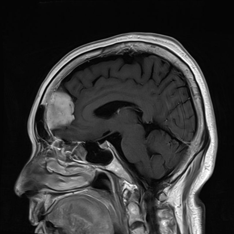
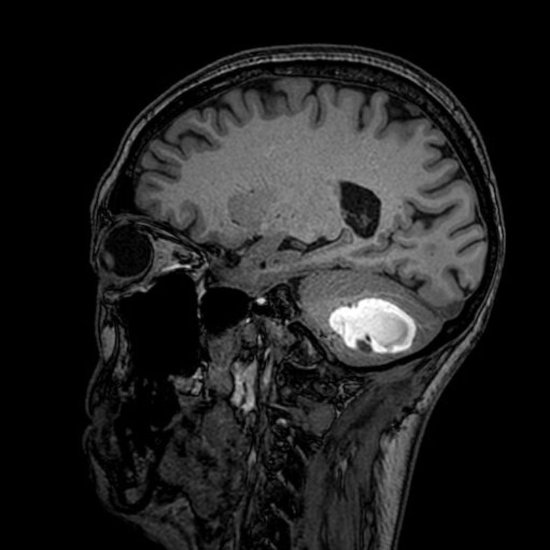
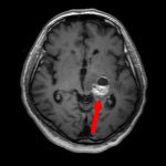
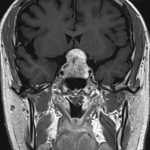
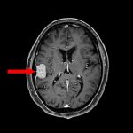
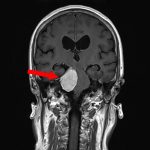
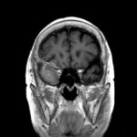
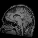
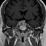
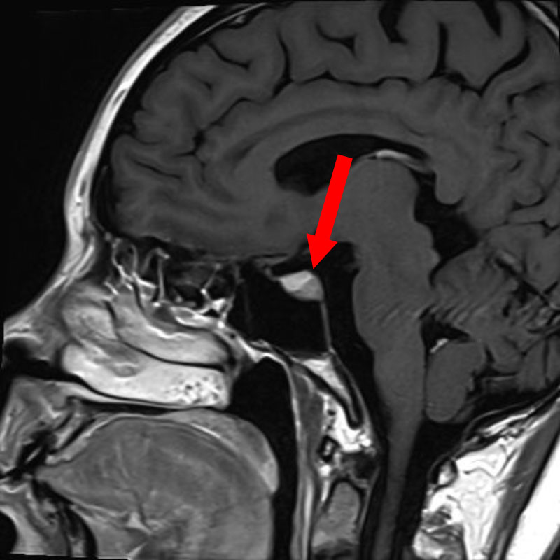
712

'25年12月
70代
下垂体腫瘍
頭蓋内腫瘍摘出術
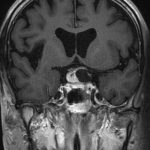
No.’25_114 手術前1
No.’25_114 手術前2
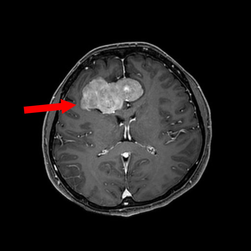
No.’25_114 摘出 前
No.’25_114  摘出 中
No.’25_114 摘出 後

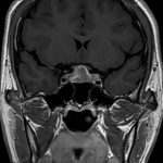
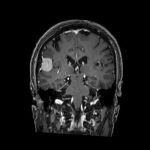
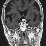
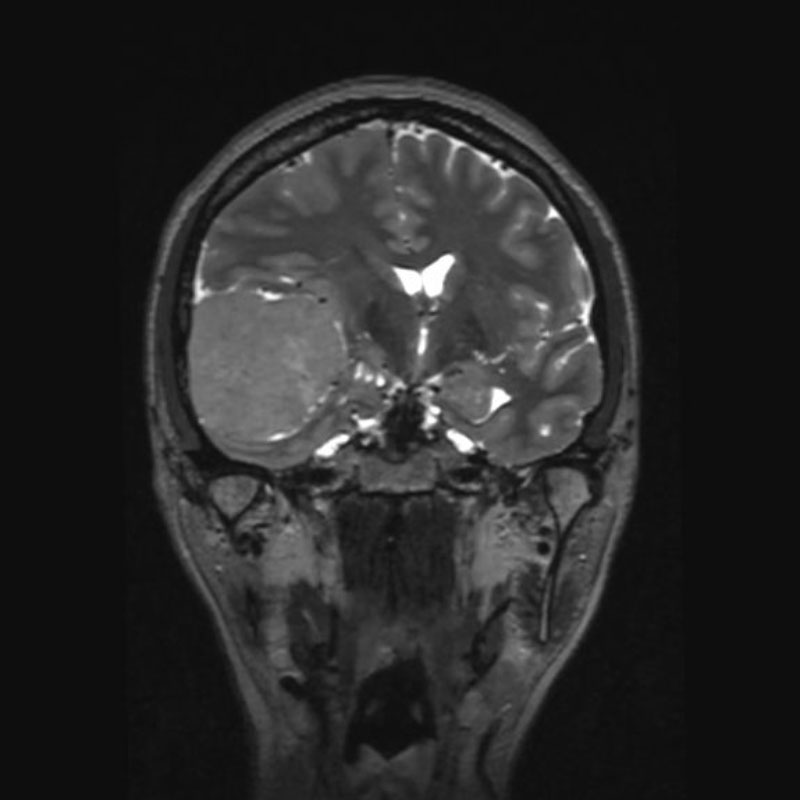
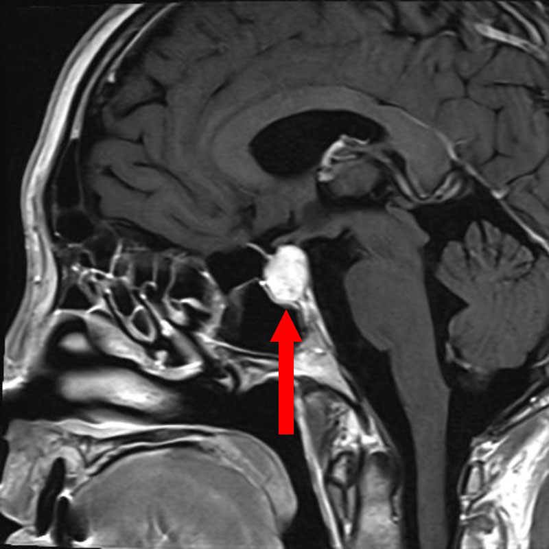
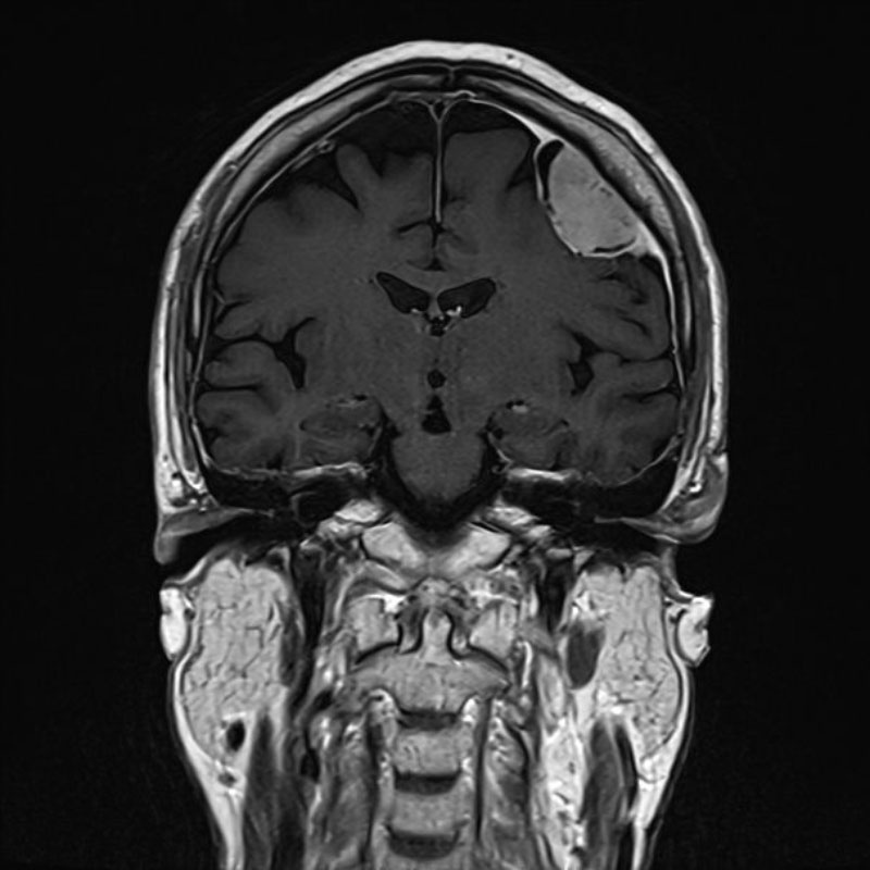
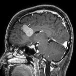
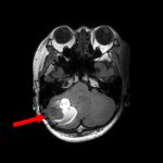
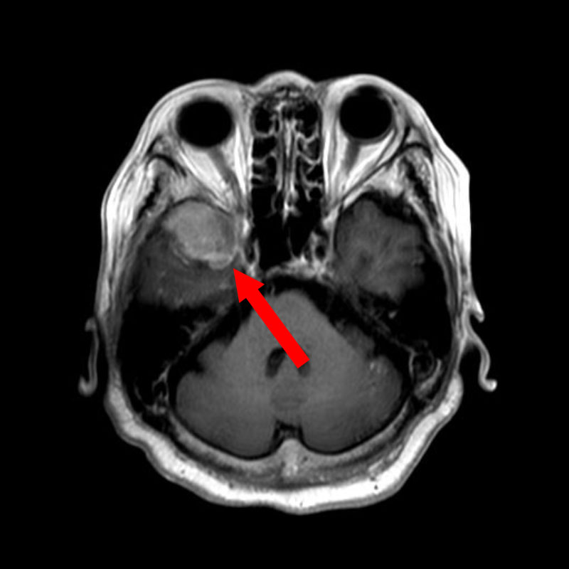
711

'25年12月
60代
良性頭蓋咽頭腫
頭蓋内腫瘍摘出術
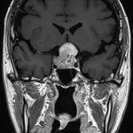
No.’25_113 手術前1
No.’25_113 手術前2
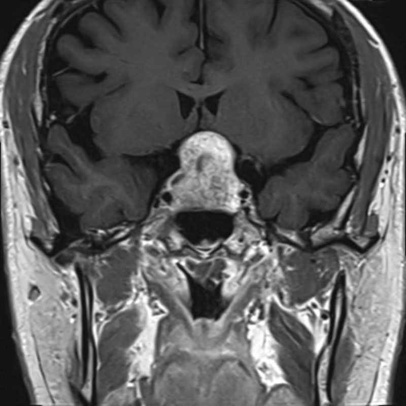
No.’25_113 摘出 前
No.’25_113  摘出 中
No.’25_113 摘出 後

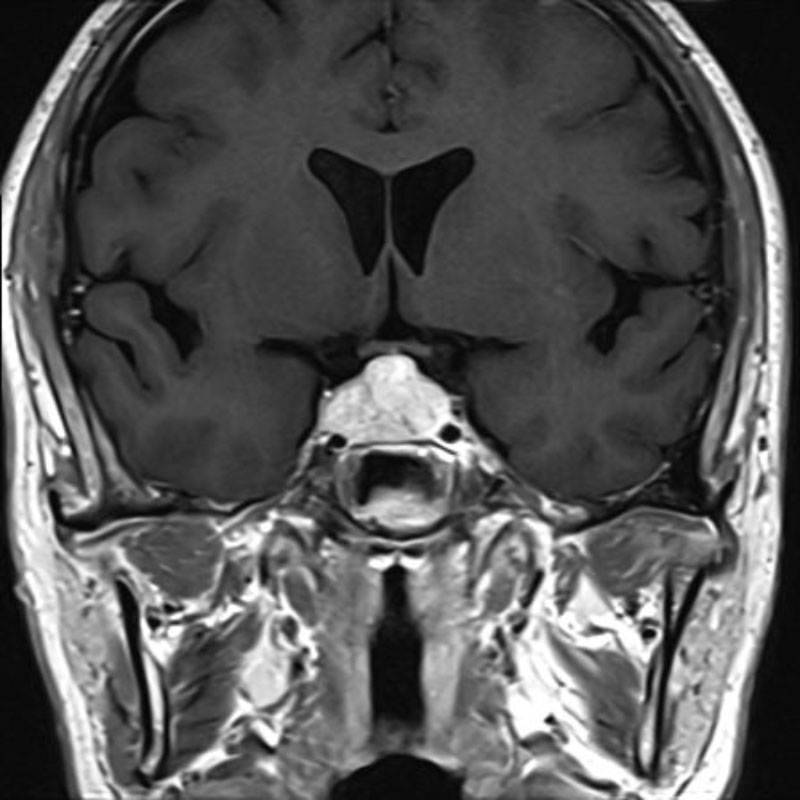
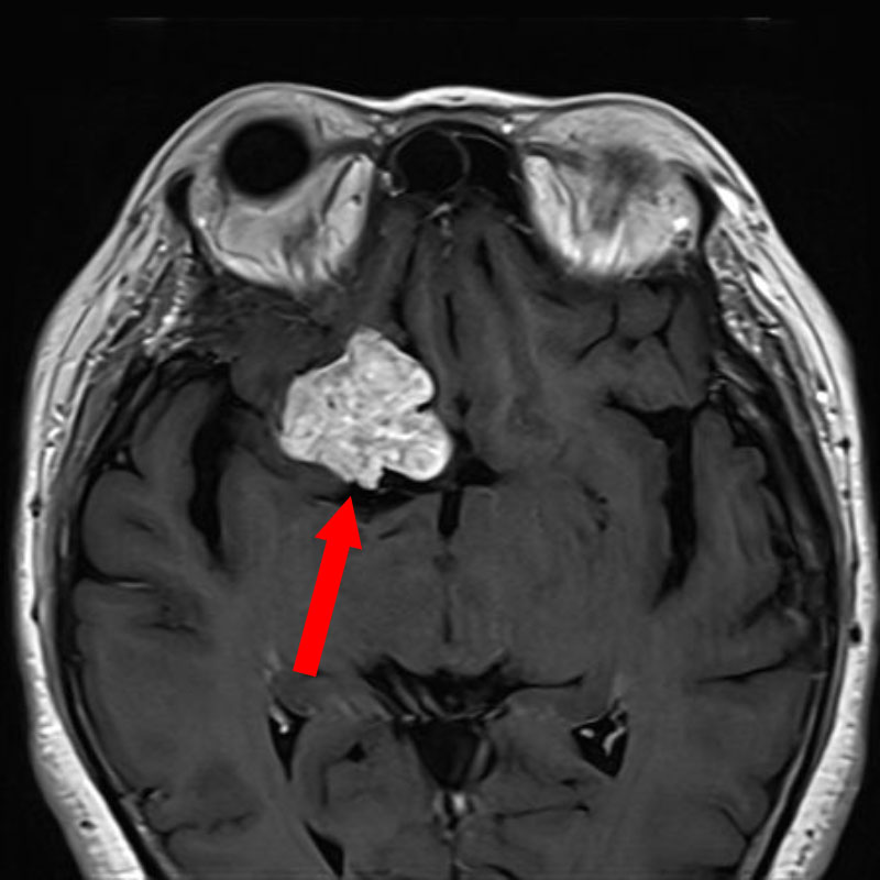
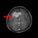
710

'25年12月
70代
下垂体腺腫
頭蓋内腫瘍摘出術
No.’25_112 手術前1
No.’25_112 手術前2
No.’25_112 摘出 前
No.’25_112  摘出 中
No.’25_112 摘出 後

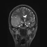
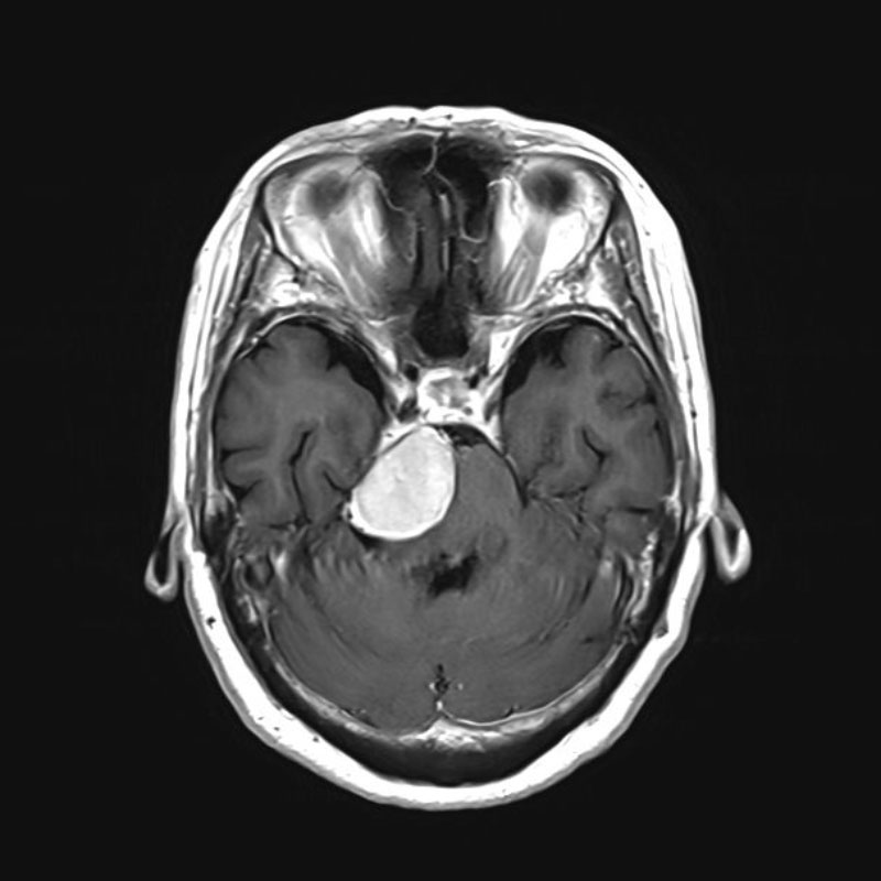
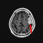
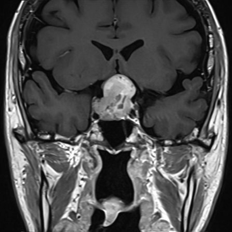
709

'25年12月
60代
左頭蓋窩腫瘤
頭蓋内腫瘍摘出術
No.’25_111 手術前1
No.’25_111 摘出 前
No.’25_111 摘出 後

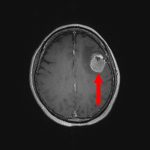
708

'25年12月
60代
左後頭葉腫瘍
頭蓋内腫瘍摘出術
No.’25_110 手術前1
No.’25_110 手術前2
No.’25_110 摘出 前
No.’25_110  摘出 中
No.’25_110 摘出 後

707

'25年12月
80代
髄膜腫
頭蓋内腫瘍摘出術
No.’25_109 手術前1
No.’25_109 手術前2
No.’25_109 摘出 前
No.’25_109  摘出 中
No.’25_109 摘出 後

706

'25年12月
80代
右頭頂葉腫瘍
頭蓋内腫瘍摘出術
No.’25_108 手術前1
No.’25_108 手術前2
No.’25_108 摘出 前
No.’25_108  摘出 中
No.’25_108 摘出 後

705

'25年12月
60代
下垂体腺腫
頭蓋内腫瘍摘出術
No.’25_107 手術前1
No.’25_107 手術前2
No.’25_107 摘出 前
No.’25_107  摘出 中
No.’25_107 摘出 後

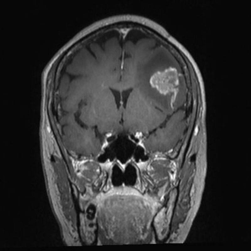
704

'25年12月
50代
脳腫瘍
頭蓋内腫瘍摘出術
No.’25_106 手術前1
No.’25_106 手術前2
No.’25_106 摘出 前
No.’25_106  摘出 中
No.’25_106 摘出 後

703

'25年12月
50代
先端巨大症
頭蓋内腫瘍摘出術
No.’25_105 手術前1
No.’25_105 手術前2
No.’25_105 摘出 前
No.’25_105  摘出 中
No.’25_105 摘出 後

702

'25年11月
40代
右中頭蓋窩髄膜腫
頭蓋内腫瘍摘出術
No.’25_104 手術前1
No.’25_104 手術前2
No.’25_104 摘出 前
No.’25_104  摘出 中
No.’25_104 摘出 後

701

'25年11月
70代
左小脳腫瘍
頭蓋内腫瘍摘出術
No.’25_103 手術前1
No.’25_103 手術前2
No.’25_103 摘出 前
No.’25_103  摘出 中
No.’25_103 摘出 後

700

'25年11月
70代
下垂体腺腫
頭蓋内腫瘍摘出術
No.’25_102 手術前1
No.’25_102 手術前2
No.’25_102 摘出 前
No.’25_102  摘出 中
No.’25_102 摘出 後

699

'25年11月
50代
左前頭葉腫瘍
頭蓋内腫瘍摘出術
No.’25_101 手術前1
No.’25_101 手術前2
No.’25_101 摘出 前
No.’25_101  摘出 中
No.’25_101 摘出 後

698

'25年11月
40代
右前頭葉腫瘍
頭蓋内腫瘍摘出術
No.’25_100 手術前1
No.’25_100 手術前2
No.’25_100 摘出 前
No.’25_100  摘出 中
No.’25_100 摘出 後

697

'25年11月
50代
左前頭葉腫瘍
頭蓋内腫瘍摘出術
No.’25_99 手術前1
No.’25_99 手術前2
No.’25_99 摘出 前
No.’25_99  摘出 中
No.’25_99 摘出 後

696

'25年11月
70代
眼窩腫瘍
頭蓋内腫瘍摘出術
No.’25_98 手術前1
No.’25_98 手術前2
No.’25_98 摘出 前
No.’25_98  摘出 中
No.’25_98 摘出 後

695

'25年11月
70代
髄膜腫
頭蓋内腫瘍摘出術
No.’25_97 手術前1
No.’25_97 手術前2
No.’25_97 摘出 前
No.’25_97  摘出 中
No.’25_97 摘出 後

694

'25年11月
90代
頭蓋咽頭腫
頭蓋内腫瘍摘出術
No.’25_96 手術前1
No.’25_96 手術前2
No.’25_96 摘出 前
No.’25_96  摘出 中
No.’25_96 摘出 後

693

'25年11月
60代
左前頭葉腫瘍
頭蓋内腫瘍摘出術
No.’25_95 手術前1
No.’25_95 手術前2
No.’25_95 摘出 前
No.’25_95  摘出 中
No.’25_95 摘出 後

692

'25年11月
50代
脳腫瘍
頭蓋内腫瘍摘出術
No.’25_94 手術前1
No.’25_94 手術前2
No.’25_94 摘出 前
No.’25_94  摘出 中
No.’25_94 摘出 後

691

'25年11月
50代
下垂体腫瘍
頭蓋内腫瘍摘出術
No.’25_93 手術前1
No.’25_93 手術前2
No.’25_93 摘出 前
No.’25_93  摘出 中
No.’25_93 摘出 後

690

'25年11月
80代
髄膜腫
頭蓋内腫瘍摘出術
No.’25_92 手術前1
No.’25_92 手術前2
No.’25_92 摘出 前
No.’25_92  摘出 中
No.’25_92 摘出 後

689

'25年11月
30代
左前頭葉腫瘍
頭蓋内腫瘍摘出術
No.’25_91 手術前1
No.’25_91 手術前2
No.’25_91 摘出 前
No.’25_91  摘出 中
No.’25_91 摘出 後

688

'25年11月
80代
蝶形骨稜髄膜腫
頭蓋内腫瘍摘出術
No.’25_90 手術前1
No.’25_90 手術前2
No.’25_90 摘出 前
No.’25_90  摘出 中
No.’25_90 摘出 後

687

'25年11月
70代
神経膠腫
頭蓋内腫瘍摘出術
No.’25_89 手術前1
No.’25_89 手術前2
No.’25_89 摘出 前
No.’25_89  摘出 中
No.’25_89 摘出 後

686

'25年11月
70代
円蓋部髄膜腫
頭蓋内腫瘍摘出術
No.’25_88 手術前1
No.’25_88 手術前2
No.’25_88 摘出 前
No.’25_88  摘出 中
No.’25_88 摘出 後

685

'25年10月
50代
左側頭葉腫瘍
頭蓋内腫瘍摘出術
No.’25_87 手術前1
No.’25_87 手術前2
No.’25_87 摘出 前
No.’25_87  摘出 中
No.’25_87 摘出 後

684

'25年10月
50代
右小脳静脈性血管腫
頭蓋内腫瘍摘出術
No.’25_86 手術前1
No.’25_86 手術前2
No.’25_86 摘出 前
No.’25_86  摘出 中
No.’25_86 摘出 後

683

'25年10月
40代
下垂体腫瘍
頭蓋内腫瘍摘出術
No.’25_85 手術前1
No.’25_85 手術前2
No.’25_85 摘出 前
No.’25_85  摘出 中
No.’25_85 摘出 後

682

'25年10月
40代
下垂体腫瘍
頭蓋内腫瘍摘出術
No.’25_84 手術前1
No.’25_84 手術前2
No.’25_84 摘出 前
No.’25_84  摘出 中
No.’25_84 摘出 後

681

'25年10月
80代
右円蓋部髄膜腫
頭蓋内腫瘍摘出術
No.’25_83 手術前1
No.’25_83 手術前2
No.’25_83 摘出 前
No.’25_83  摘出 中
No.’25_83 摘出 後

680

'25年10月
30代
小脳腫瘍
頭蓋内腫瘍摘出術
No.’25_82 手術前1
No.’25_82 手術前2
No.’25_82 摘出 前
No.’25_82  摘出 中
No.’25_82 摘出 後

679

'25年10月
30代
聴神経腫瘍
頭蓋内腫瘍摘出術
No.’25_81 手術前1
No.’25_81 手術前2
No.’25_81 摘出 前
No.’25_81  摘出 中
No.’25_81 摘出 後

678

'25年10月
70代
脳腫瘍
頭蓋内腫瘍摘出術
No.’25_80 手術前1
No.’25_80 手術前2
No.’25_80 摘出 前
No.’25_80  摘出 中
No.’25_80 摘出 後

677

'25年10月
60代
髄膜腫
頭蓋内腫瘍摘出術
No.’25_79 手術前1
No.’25_79 手術前2
No.’25_79 摘出 前
No.’25_79  摘出 中
No.’25_79 摘出 後

676

'25年10月
20代
脳幹部腫瘍
頭蓋内腫瘍摘出術
No.’25_78 手術前1
No.’25_78 手術前2
No.’25_78 摘出 前
No.’25_78  摘出 中
No.’25_78 摘出 後

675

'25年10月
60代
傍矢状洞髄膜腫
頭蓋内腫瘍摘出術
No.’25_77 手術前1
No.’25_77 手術前2
No.’25_77 摘出 前
No.’25_77  摘出 中
No.’25_77 摘出 後

674

'25年10月
70代
左側前頭葉腫瘍
頭蓋内腫瘍摘出術
No.’25_76 手術前1
No.’25_76 手術前2
No.’25_76 摘出 前
No.’25_76  摘出 中
No.’25_76 摘出 後

673

'25年10月
80代
小脳腫瘍
頭蓋内腫瘍摘出術
No.’25_75 手術前1
No.’25_75 手術前2
No.’25_75 摘出 前
No.’25_75  摘出 中
No.’25_75 摘出 後

672

'25年9月
40代
下垂体腫瘍
頭蓋内腫瘍摘出術
No.’25_74 手術前1
No.’25_74 手術前2
No.’25_74 摘出 前
No.’25_74  摘出 中
No.’25_74 摘出 後

671

'25年9月
70代
下垂体腺腫
頭蓋内腫瘍摘出術
No.’25_73 手術前1
No.’25_73 手術前2
No.’25_73 摘出 前
No.’25_73  摘出 中
No.’25_73 摘出 後

670

'25年9月
70代
小脳橋角部髄膜腫
頭蓋内腫瘍摘出術
No.’25_72 手術前1
No.’25_72 手術前2
No.’25_72 摘出 前
No.’25_72  摘出 中
No.’25_72 摘出 後

669

'25年8月
60代
聴神経腫瘍
頭蓋内腫瘍摘出術
No.’25_71 手術前1
No.’25_71 手術前2
No.’25_71 摘出 前
No.’25_71  摘出 中
No.’25_71 摘出 後

668

'25年8月
70代
側頭葉神経膠腫
頭蓋内腫瘍摘出術
No.’25_70 手術前1
No.’25_70 手術前2
No.’25_70 摘出 前
No.’25_70  摘出 中
No.’25_70 摘出 後

667

'25年8月
50代
下垂体腺腫
頭蓋内腫瘍摘出術
No.’25_69 手術前1
No.’25_69 手術前2
No.’25_69 摘出 前
No.’25_69  摘出 中
No.’25_69 摘出 後

666

'25年8月
60代
左大脳髄膜腫
頭蓋内腫瘍摘出術
No.’25_68 手術前1
No.’25_68 手術前2
No.’25_68 摘出 前
No.’25_68  摘出 中
No.’25_68 摘出 後

665

'25年8月
70代
脳腫瘍
頭蓋内腫瘍摘出術
No.’25_67 手術前1
No.’25_67 手術前2
No.’25_67 摘出 前
No.’25_67  摘出 中
No.’25_67 摘出 後

664

'25年8月
40代
下垂体腫瘍
頭蓋内腫瘍摘出術
No.’25_66 手術前1
No.’25_66 手術前2
No.’25_66 摘出 前
No.’25_66  摘出 中
No.’25_66 摘出 後

663

'25年8月
10代
脳腫瘍
頭蓋内腫瘍摘出術
No.’25_65 手術前1
No.’25_65 手術前2
No.’25_65 摘出 前
No.’25_65  摘出 中
No.’25_65 摘出 後

662

'25年8月
20代
下垂体腺腫
頭蓋内腫瘍摘出術
No.’25_64 手術前1
No.’25_64 手術前2
No.’25_64 摘出 前
No.’25_64  摘出 中
No.’25_64 摘出 後

661

'25年8月
70代
傍矢状洞悪性髄膜腫
頭蓋内腫瘍摘出術
No.’25_63 手術前1
No.’25_63 手術前2
No.’25_63 摘出 前
No.’25_63  摘出 中
No.’25_63 摘出 後

660

'25年8月
30代
聴神経腫瘍
頭蓋内腫瘍摘出術
No.’25_62 手術前1
No.’25_62 手術前2
No.’25_62 摘出 前
No.’25_62  摘出 中
No.’25_62 摘出 後

659

'25年7月
50代
脳腫瘍
頭蓋内腫瘍摘出術
No.’25_61 手術前1
No.’25_61 手術前2
No.’25_61 摘出 前
No.’25_61  摘出 中
No.’25_61 摘出 後

658

'25年7月
70代
脳幹腫瘍
頭蓋内腫瘍摘出術
No.’25_60 手術前1
No.’25_60 手術前2
No.’25_60 摘出 前
No.’25_60  摘出 中
No.’25_60 摘出 後

657

'25年7月
30代
脳腫瘍
頭蓋内腫瘍摘出術
No.’25_59 手術前1
No.’25_59 手術前2
No.’25_59 摘出 前
No.’25_59  摘出 中
No.’25_59 摘出 後

656

'25年7月
20代
下垂体腺腫
頭蓋内腫瘍摘出術
No.’25_58 手術前1
No.’25_58 手術前2
No.’25_58 摘出 前
No.’25_58  摘出 中
No.’25_58 摘出 後

655

'25年7月
60代
髄膜腫
頭蓋内腫瘍摘出術
No.’25_57 手術前1
No.’25_57 手術前2
No.’25_57 摘出 前
No.’25_57  摘出 中
No.’25_57 摘出 後

654

'25年7月
60代
髄膜腫
頭蓋内腫瘍摘出術
No.’25_56 手術前1
No.’25_56 手術前2
No.’25_56 摘出 前
No.’25_56  摘出 中
No.’25_56 摘出 後

653

'25年7月
50代
髄膜腫
頭蓋内腫瘍摘出術
No.’25_55 手術前1
No.’25_55 手術前2
No.’25_55 摘出 前
No.’25_55  摘出 中
No.’25_55 摘出 後

652

'25年7月
50代
右側頭葉神経膠腫
頭蓋内腫瘍摘出術
No.’25_54 手術前1
No.’25_54 手術前2
No.’25_54 摘出 前
No.’25_54  摘出 中
No.’25_54 摘出 後

651

'25年7月
60代
右頭頂葉腫瘍
頭蓋内腫瘍摘出術
No.’25_53 手術前1
No.’25_53 手術前2
No.’25_53 摘出 前
No.’25_53  摘出 中
No.’25_53 摘出 後

650

'25年7月
70代
左円蓋部髄膜腫
頭蓋内腫瘍摘出術
No.’25_52 手術前1
No.’25_52 手術前2
No.’25_52 摘出 前
No.’25_52  摘出 中
No.’25_52 摘出 後

649

'25年7月
60代
神経鞘腫
頭蓋内腫瘍摘出術
No.’25_51 手術前1
No.’25_51 手術前2
No.’25_51 摘出 前
No.’25_51  摘出 中
No.’25_51 摘出 後

648

'25年6月
60代
左蝶形骨稜髄膜腫
頭蓋内腫瘍摘出術
No.’25_50 手術前1
No.’25_50 手術前2
No.’25_50 摘出 前
No.’25_50  摘出 中
No.’25_50 摘出 後

647

'25年6月
60代
神経膠腫
頭蓋内腫瘍摘出術
No.’25_49 手術前1
No.’25_49 手術前2
No.’25_49 摘出 前
No.’25_49  摘出 中
No.’25_49 摘出 後

646

'25年6月
50代
脳腫瘍
頭蓋内腫瘍摘出術
No.’25_48 手術前1
No.’25_48 手術前2
No.’25_48 摘出 前
No.’25_48  摘出 中
No.’25_48 摘出 後

645

'25年6月
50代
神経鞘腫
頭蓋内腫瘍摘出術
No.’25_47 手術前1
No.’25_47 手術前2
No.’25_47 摘出 前
No.’25_47  摘出 中
No.’25_47 摘出 後

644

'25年6月
70代
髄膜腫
頭蓋内腫瘍摘出術
No.’25_46 手術前1
No.’25_46 手術前2
No.’25_46 摘出 前
No.’25_46  摘出 中
No.’25_46 摘出 後

643

'25年6月
70代
大脳悪性腫瘍
頭蓋内腫瘍摘出術
No.’25_45 手術前1
No.’25_45 手術前2
No.’25_45 摘出 前
No.’25_45  摘出 中
No.’25_45 摘出 後

642

'25年6月
50代
下垂体腫瘍
頭蓋内腫瘍摘出術
No.’25_44 手術前1
No.’25_44 手術前2
No.’25_44 摘出 前
No.’25_44  摘出 中
No.’25_44 摘出 後

641

'25年6月
40代
髄膜腫
頭蓋内腫瘍摘出術
No.’25_43 手術前1
No.’25_43 手術前2
No.’25_43 摘出 前
No.’25_43  摘出 中
No.’25_43 摘出 後

640

'25年6月
80代
傍矢状洞髄膜腫
頭蓋内腫瘍摘出術
No.’25_42 手術前1
No.’25_42 手術前2
No.’25_42 摘出 前
No.’25_42  摘出 中
No.’25_42 摘出 後

639

'25年6月
50代
聴神経腫瘍
頭蓋内腫瘍摘出術
No.’25_41 手術前1
No.’25_41 手術前2
No.’25_41 摘出 前
No.’25_41  摘出 中
No.’25_41 摘出 後

638

'25年5月
60代
左前頭葉髄膜腫
頭蓋内腫瘍摘出術
No.’25_40 手術前1
No.’25_40 手術前2
No.’25_40 摘出 前
No.’25_40  摘出 中
No.’25_40 摘出 後

637

'25年5月
10代
錐体斜台部髄膜腫
頭蓋内腫瘍摘出術
No.’25_39 手術前1
No.’25_39 手術前2
No.’25_39 摘出 前
No.’25_39  摘出 中
No.’25_39 摘出 後

636

'25年5月
50代
下垂体腺腫
頭蓋内腫瘍摘出術
No.’25_38 手術前1
No.’25_38 手術前2
No.’25_38 摘出 前
No.’25_38  摘出 中
No.’25_38 摘出 後

635

'25年5月
50代
円蓋部髄膜腫
頭蓋内腫瘍摘出術
No.’25_37 手術前1
No.’25_37 手術前2
No.’25_37 摘出 前
No.’25_37  摘出 中
No.’25_37 摘出 後

634

'25年5月
50代
大脳鎌髄膜腫
頭蓋内腫瘍摘出術
No.’25_36 手術前1
No.’25_36 手術前2
No.’25_36 摘出 前
No.’25_36  摘出 中
No.’25_36 摘出 後

633

'25年5月
30代
左聴神経鞘腫
頭蓋内腫瘍摘出術
No.’25_35 手術前1
No.’25_35 手術前2
No.’25_35 摘出 前
No.’25_35  摘出 中
No.’25_35 摘出 後

632

'25年5月
70代
下垂体腺腫
頭蓋内腫瘍摘出術
No.’25_34 手術前1
No.’25_34 手術前2
No.’25_34 摘出 前
No.’25_34  摘出 中
No.’25_34 摘出 後

631

'25年5月
60代
下垂体腺腫
頭蓋内腫瘍摘出術
No.’25_33 手術前1
No.’25_33 手術前2
No.’25_33 摘出 前
No.’25_33  摘出 中
No.’25_33 摘出 後

630

'25年5月
40代
下垂体腺腫
頭蓋内腫瘍摘出術
No.’25_32 手術前1
No.’25_32 手術前2
No.’25_32 摘出 前
No.’25_32  摘出 中
No.’25_32 摘出 後

629

'25年5月
50代
円蓋部髄膜腫
頭蓋内腫瘍摘出術
No.’25_31 手術前1
No.’25_31 手術前2
No.’25_31 摘出 前
No.’25_31  摘出 中
No.’25_31 摘出 後

628

'25年5月
70代
脳腫瘍
頭蓋内腫瘍摘出術
No.’25_30 手術前1
No.’25_30 手術前2
No.’25_30 摘出 前
No.’25_30  摘出 中
No.’25_30 摘出 後

627

'25年4月
20代
視床腫瘍
頭蓋内腫瘍摘出術
No.’25_29 手術前1
No.’25_29 手術前2
No.’25_29 摘出 前
No.’25_29  摘出 中
No.’25_29 摘出 後

626

'25年4月
50代
右聴神経腫瘍
頭蓋内腫瘍摘出術
No.’25_28 手術前1
No.’25_28 手術前2
No.’25_28 摘出 前
No.’25_28  摘出 中
No.’25_28 摘出 後

625

'25年4月
60代
円蓋部髄膜腫
頭蓋内腫瘍摘出術
No.’25_27 手術前1
No.’25_27 手術前2
No.’25_27 摘出 前
No.’25_27  摘出 中
No.’25_27 摘出 後

624

'25年4月
70代
後頭葉膠芽腫
頭蓋内腫瘍摘出術
No.’25_26 手術前1
No.’25_26 手術前2
No.’25_26 摘出 前
No.’25_26  摘出 中
No.’25_26 摘出 後

623

'25年4月
70代
聴神経腫瘍
頭蓋内腫瘍摘出術
No.’25_25 手術前1
No.’25_25 手術前2
No.’25_25 摘出 前
No.’25_25  摘出 中
No.’25_25 摘出 後

622

'25年4月
30代
下垂体腺腫
頭蓋内腫瘍摘出術
No.’25_24 手術前1
No.’25_24 手術前2
No.’25_24 摘出 前
No.’25_24  摘出 中
No.’25_24 摘出 後

621

'25年4月
20代
神経膠腫
頭蓋内腫瘍摘出術
No.’25_23 手術前1
No.’25_23 手術前2
No.’25_23 摘出 前
No.’25_23  摘出 中
No.’25_23 摘出 後

620

'25年4月
60代
円蓋部髄膜腫
頭蓋内腫瘍摘出術
No.’25_22 手術前1
No.’25_22 手術前2
No.’25_22 摘出 前
No.’25_22  摘出 中
No.’25_22 摘出 後

619

'25年4月
60代
脳腫瘍
頭蓋内腫瘍摘出術
No.’25_21 手術前1
No.’25_21 手術前2
No.’25_21 摘出 前
No.’25_21  摘出 中
No.’25_21 摘出 後

618

'25年4月
40代
小脳血管芽腫
頭蓋内腫瘍摘出術
No.’25_20 手術前1
No.’25_20 手術前2
No.’25_20 摘出 前
No.’25_20  摘出 中
No.’25_20 摘出 後

617

'25年3月
80代
大脳悪性腫瘍
頭蓋内腫瘍摘出術
No.’25_19 手術前1
No.’25_19 手術前2
No.’25_19 摘出 前
No.’25_19  摘出 中
No.’25_19 摘出 後

616

'25年3月
50代
下垂体腫瘍
頭蓋内腫瘍摘出術
No.’25_18 手術前1
No.’25_18 手術前2
No.’25_18 摘出 前
No.’25_18  摘出 中
No.’25_18 摘出 後

615

'25年3月
60代
髄膜腫
頭蓋内腫瘍摘出術
No.’25_17 手術前1
No.’25_17 手術前2
No.’25_17 摘出 前
No.’25_17  摘出 中
No.’25_17 摘出 後

614

'25年3月
80代
脳腫瘍
頭蓋内腫瘍摘出術
No.’25_16 手術前1
No.’25_16 手術前2
No.’25_16 摘出 前
No.’25_16  摘出 中
No.’25_16 摘出 後

613

'25年3月
50代
左頭頂葉腫瘍
頭蓋内腫瘍摘出術
No.’25_15 手術前1
No.’25_15 手術前2
No.’25_15 摘出 前
No.’25_15  摘出 中
No.’25_15 摘出 後
1 2 3 4 5 6 17

電話でのお問い合わせ

代表 06-6568-1601

専用フォームでのお問合せ

お問い合せ
矢印TOP