脳腫瘍 手術実績
症例 '14年5月 No.

症例 '14年5月 No.

※ 画像をクリックすると拡大表示します。症例No.は平成29年から起算しています。

No.
年_番号
手術年月
患者年齢
’14_86
'14年5月
70代
病名
術式
備考
脳腫瘍
断層撮影
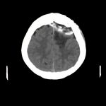
手術前1
手術前2
手術後
No.’14_86 手術前1
No.’14_86 手術後
術中写真
摘出 前
摘出 中
摘出 後
No.’14_86 摘出 前
No.’14_86 摘出 後

電話でのお問い合わせ

代表 06-6568-1601

専用フォームでのお問合せ

お問い合せ
矢印TOP